Schneider Shorts of 12 September 2025 – obituary for the great protector of women in science, concerns for another woman in science (also at MIT), first retraction to break the ice in Germany, with a Swedish papermiller, some cancer researchers in the UK, and finally, with a brainlessly shameful correction.
Table of Discontent
Obituaries
- A science policy visionary – Nobel laureate David Baltimore is dead
Science Elites
- A great asset to our community – Bengt Sunden suffers from GOCPS
- Lenin’s Komsomol Prize – Grigory Dianov, an Oxford emeritus
- Exceptional research contributions – from Cardiff to Melbourne, with Ryan Moseley and Alastair Sloan
Scholarly Publishing
- For illustration purposes only – Masliah paper corrected with even more fraud
- For artistic purposes only – MIT professor Li-Huei Tsai keeps avoiding retractions
Retraction Watchdogging
- Multiple simultaneous studies – Gareth Williams earns his first retraction
- Part of a series – Fulda & Debatin earn their first retraction
- Moltan metal, Furnce cover! – Grzegorz Krolczyk hosted a papermill entrepreneur
Obituaries
A science policy visionary
David Baltimore, the MIT professor, founding director of the Whitehead Institute and laureate of the 1975 Nobel Prize in Physiology or Medicine, is dead. He died on 6 September 2025, aged 87. MIT wrote:
“The longtime MIT professor and Nobel laureate was a globally respected researcher, academic leader, and science policy visionary who guided the careers of generations of scientists.”
His death is being lamented by all media all over the world now, but I want to recall here Baltimore’s greatest scientific achievements: making science fraud in USA a standard of science and painting science fraudsters as innocent victims of persecution by whistleblowers, who are nothing but rotten failed envious losers. Baltimore even engaged a book author, Daniel Kelves, to spend countless pages of his book “The Baltimore Case” defending Baltimore’s lady friend and science cheater Thereza Imanishi-Kari, and viciously smearing the whistleblower postdoc Margot O’Toole, whose scientific career was successfully destroyed in retaliation. Read here:
How USA embraced research fraud: review of two books
A review of “The Baltimore Case” by the historian Daniel Kelves and “Science Fictions” by the journalist John Crewdson, which also tell the history of the Office of Research Integrity (ORI).
Basically, O’Toole proved that Imanishi-Kari faked the data in her Cell paper Weaver et al 1986, where Baltimore was last author. At that time the Nobel laureate was the President of Rockefeller University, Imanishi-Kari was his, uhm, let’s say mentee. He then started a two-pronged approach: destroying O’Toole and her credibility while saving Imanishi-Kari and their common paper, with a fraudulent correction to it in November 1988.

“These are not material alterations and do not affect the
conclusions of the paper, which remain appropiate and have been the basis of further studies.”
In 1994, Imanishi-Kari was however found guilty of research misconduct by the newly established HHS-ORI and barred from federal research for ten years. Prior to that a retraction was ordered, which took place in May 1991 with baltomore’s but without Imanishi-Kari’s approval.

But Baltimore unleashed lawyers and political networks, the HHS-OR investigator Suzanne Hadley was fired, erased and smeared by the new NIH director as “the Gestapo”. In 1997, all misconduct findings against Baltimore’s lady friend were overthrown, Imanishi-Kari was acquitted in full, Baltimore even succeeded in having that Cell paper de-retracted.
Baltimore’s behaviour in this affair must have been so awful that he had to leave the Rockefeller University. He returned to MIT. His loyal pitbull Kelves was rewarded with a professorship for science history in Yale. Imanishi-Kari is still associate professor at Tufts University.

Baltimore continued with his great science at MIT. Elisabeth Bik analysed this Science paper, which received a hidden Correction in 2007:
Alexander Hoffmann, Andre Levchenko, Martin L Scott, David Baltimore The Ikappa B-NF-kappa B Signaling Module: Temporal Control and Selective Gene Activation Science (2002) doi: 10.1126/science.1071914

Elisabeth Bik: “Figure 3B […]
Red ellipses: The last two bands in the 5′ row look very similar to each other.
Red arrows: possible horizontal or vertical splices. A possible square patch is visible in the 15′ row at 75 min.”

This was “Contributed by David Baltimore“ as National Academy of Sciences member:
Brian Zarnegar, Jeannie Q He, Gagik Oganesyan, Alexander Hoffmann, David Baltimore, Genhong Cheng Unique CD40-mediated biological program in B cell activation requires both type 1 and type 2 NF-kappaB activation pathways Proceedings of the National Academy of Sciences (2004) doi: 10.1073/pnas.0402629101

In 2005, Baltimore’s former mentee and MIT associate professor Luk van Parijs admitted to fraud and was fired. He was then found guilty by HHS-ORI in 2009 of having “engaged in scientific misconduct by including false data in seven published papers, three submitted papers (with two earlier versions submitted for one of
these), one submitted book chapter, and multiple presentations “. Five of his papers, all in the journal Immunity, and two of them with Baltimore as last author, were retracted. In 2011, Science reported that van Parijs “pleaded guilty in a U.S. District Court in Boston to one count of making a false statement on a federal grant application.“. Baltimore was never mentioned, also not in the Retraction Watch‘s coverage of van Parijs’ retractions.

Allow me to end with an advice to young women in science facing sexual harassment from their superiors – from Baltimore’s widow, Caltech professor, and former President of the American Association for the Advancement of Science (AAAS), Alice Huang:
“Imagine what life would be like if there were no individuals of the opposite—or preferred—sex. It would be pretty dull, eh? Well, like it or not, the workplace is a part of life. […] I don’t mean to suggest that leering is appropriate workplace behavior—it isn’t—but it is human and up to a point, I think, forgivable. Certainly there are worse things […]
As long as your adviser does not move on to other advances, I suggest you put up with it, with good humor if you can. Just make sure that he is listening to you and your ideas, taking in the results you are presenting, and taking your science seriously. His attention on your chest may be unwelcome, but you need his attention on your science and his best advice.“
Science Elites
A great asset to our community
Another old white male professor suffers from Geriatric Obsessive-Compulsive Papermilling Syndrome (GOCPS).
Meet Bengt Sundén, emeritus professor and former department head at the Lund University in Sweden. In 2019, Elsevier’s International Journal of Heat and Mass Transfer published a Festschrift by his former mentees, titled: “Professor Bengt Sundén on his 70th Birthday“:

As Maarten van Kampen noted, Sunden published between his 70th and 75th birthday 50 papers per year, with mostly Chinese co-authors. Like this:
Jian Ai , Jie Xue , Jiabang Yu , Xinyu Huang , Pan Wei , Xiaohu Yang , Bengt Sundén Heat and Humidity Transport Analysis Inside a Special Underground Building Frontiers in Heat and Mass Transfer (2023) doi: 10.32604/fhmt.2023.045134

Maarten Van Kampen: “This paper contains worrying out-of-context citations patterns. Many of these are self-citations to works of Xiaohu Yang […] All but one of Refs. [30-36] go to works of Xiaohu Yang. And just one of these citations seems relevant […] . Kamel Hooman is beneficiary of Ref. [33].”
But not only Chinese! There are also Iranians. Look, here is Sunden with papermill giants Nader Karimi, Omid Mahian, Abdul Ghani Olabi and others:
Saman Rashidi , Nader Karimi, Bengt Sunden, Kyung Chun Kim , Abdul Ghani Olabi , Omid Mahian Progress and challenges on the thermal management of electrochemical energy conversion and storage technologies: Fuel cells, electrolysers, and supercapacitors Progress in Energy and Combustion Science (2022) doi: 10.1016/j.pecs.2021.100966
Karimi and Olabi most recently featured here:
The perfect MDPI editor
“I know you cannot understand such matters, since you appear to have strong mother-related problems that most likely have denied you of a satisfactory sexual life”, _ Enrico Sciubba, Editor-in-Chief
Here is Sunden with the papermiller Davood Domiri Ganji, excessively citing another papermiller, Tasawar Hayat:
Alireza Rahbari, Morteza Abbasi , Iman Rahimipetroudi , Bengt Sundén , Davood Domiri Ganji , Mehdi Gholami Heat transfer and MHD flow of non-newtonian Maxwell fluid through a parallel plate channel: analytical and numerical solution Mechanical Sciences (2018) doi: 10.5194/ms-9-61-2018

I trust that until his 80th birthday in 2029, Sunden will be able to raise his scientific output to at least 100 papers per year.
Lenin’s Komsomol Prize
Let us celebrate another old man, this time a russian in England!
Grigory Dianov is emeritus professor at the University of Oxford and former Head of Biochemistry at the CRUK/MRC Gray Institute for Radiation Oncology, he retired in 2018. The university informs us:
“He obtained his Doctor of Biological Sciences degree from the Institute of Cytology and Genetics, Siberian Department of the Russian Academy of Sciences at the age of 36 to become the youngest Doctor of Biological Sciences in the country. The same year Grigory was awarded Lenin’s Komsomol Prize,”
Note: “Doctor of sciences” degree in USSR was the equivalent of German “habilitation“, which is a highle-level degree, entitling to full professorship (the PhD graduate is a “Candidate of sciences” in russian). And here is another laureate of the Lenin’s Komsomol Prize, Alexander Kabanov, who also went west, to USA:
Nanotheranostics with a decisive action
“We will look in each instance thoroughly and take a decisive action in consultation with journals and university in each instance as appropriate”, Sasha Kabanov, winner of the Lenin Komsomol Prize 1988
Thanks to the pseudonymous sleuth Claire Francis, Dianov now has a modest yet problematic PubPeer record of 7 papers. Oxford also says this about our russian hero:
“Dr Dianov moved to England and from 1990 – 1993 worked as a Senior Fellow at the Imperial Cancer Research Fund (London) with Dr. Tomas Lindahl (2015 Nobel Prize in Chemistry for DNA Repair mechanisms), where he worked on the basic mechanisms of DNA repair and genome stability. One of Grigory’s papers published jointly with Dr. Lindahl was cited in the Nobel Prize Committee’s justification for the Nobel Prize. In 1993 Grigory moved to the United States where he continue his work on DNA repair as a visiting Professor at the Southwestern Medical Center, Dallas with Dr. Errol Friedberg, a legendary figure in DNA repair field and later as a Senior Fellow with Dr. Vilhelm Bohr (National Institute on Ageing, NIH, Baltimore) where he investigated the role of DNA repair in ageing.”
Right, Nobel offspring Vilhelm Bohr will get his own Nobel Prize very soon, for curing old age…
How Vilhelm Bohr disappointed his Grandpa
Will Vilhelm win a Nobel Prize of his own? And for what?
In 2000, Dianov returned to England, where he produced great science like this:
Svetlana V. Khoronenkova , Irina I. Dianova , Nicola Ternette , Benedikt M. Kessler , Jason L. Parsons , Grigory L. Dianov ATM-dependent downregulation of USP7/HAUSP by PPM1G activates p53 response to DNA damage Molecular Cell (2012) doi: 10.1016/j.molcel.2012.01.021

The coauthor above, Irina Dianova, must be Dianov’s wife. His mentee Svetlana Khoronenkova is now group leader at the University of Cambridge. His other, non-russian mentee Jason Parsons is now Chair of Radiobiology at the University of Birmingham. Here they are all again:
Giulia Orlando , Svetlana V. Khoronenkova , Irina I. Dianova , Jason L. Parsons , Grigory L. Dianov ARF induction in response to DNA strand breaks is regulated by PARP1 Nucleic Acids Research (2014) doi: 10.1093/nar/gkt1185

Another paper by Dianov’s lab, parsons is first author:
Jason L. Parsons , Phillip S. Tait , David Finch , Irina I. Dianova , Sarah L. Allinson , Grigory L. Dianov CHIP-mediated degradation and DNA damage-dependent stabilization regulate base excision repair proteins Molecular Cell (2008) doi: 10.1016/j.molcel.2007.12.027

Then there are inappropriately spliced gels, which may seem to some a sa non-issue, but this renders the entire figure useless at best. And fake at worst.

Fig 3E

Fig 3D
And another one:
Garth Hamilton , Aswin G. Abraham , Jennifer Morton , Oliver Sampson , Dafni E. Pefani , Svetlana Khoronenkova , Anna Grawenda , Angelos Papaspyropoulos , Nigel Jamieson , Colin McKay , Owen Sansom , Grigory L. Dianov , Eric O’Neill AKT regulates NPM dependent ARF localization and p53mut stability in tumors Oncotarget (2014) doi: 10.18632/oncotarget.2178


In February 2014, Dianov became adjunct professor and member of the International Supervisory Board at his russian alma mater, the University of Novosibirsk. He deepened his collaboration with russia as it annexed Crimea and waged the separatist war in eastern Ukraine. In 2016, Dianov entered a consulting relationship with the genomics company Genotek in Moscow. He continued publishing with russian colleagues, and the University of Oxford proudly informs us today:
“Grigory is […] a frequent reviewer for the Grants Council of the Russian Federation Government”
Boycott Russian Science (and Everything Else) – Thoughts on War in Ukraine
The state it’s in, we don’t need Russian science anyway.
I wrote to Dianov’s Oxford email account, which turned out to be defunct.
Exceptional research contributions
We remain in Britain, in Wales in particular. The following studies of regenerative dentistry were done at the University of Cardiff by professor of tissue repair Ryan Moseley together with his former Head of School and Dean, Alastair Sloan. Who is since 2020 far away in Australia, as Pro Vice-Chancellor for Research Collaboration of the University of Melbourne.
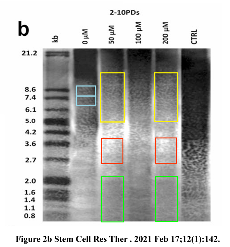
Nadia Y A Alaidaroos , Amr Alraies , Rachel J Waddington , Alastair J Sloan , Ryan Moseley Differential SOD2 and GSTZ1 profiles contribute to contrasting dental pulp stem cell susceptibilities to oxidative damage and premature senescence Stem Cell Research & Therapy (2021) doi: 10.1186/s13287-021-02209-9
Their coauthor Rachel O’Brien-Waddington is professor of oral biochemistry and Director of Staff Wellbeing and Development at the Cardiff University. I wish they had a Director for Data Wellbeing in Cardiff, but no, they like their research data being fake there, read here:
Cardiff: no misconduct by TCM professor Wen Jiang, report secret
Cardiff university declared their oncology professor and TCM peddler Wen Jiang innocent of any data manipulation. It then issued then a press release accusing me personally of having slandered Jiang with false allegations of misconduct.
Here another joint paper, again flagged by Claire Francis. It is a rat study with bone marrow cells for degenerative medicine, Sloan was still Dean of School of Dentistry in Cardiff:
Norhayati Yusop , Paul Battersby , Amr Alraies , Alastair J. Sloan , Ryan Moseley , Rachel J. Waddington Isolation and Characterisation of Mesenchymal Stem Cells from Rat Bone Marrow and the Endosteal Niche: A Comparative Study Stem Cells International (2018) doi: 10.1155/2018/6869128

Before they blame Waddington, she is not on this one, something about pomegranate peels for oral wound healing:
Vildan Celiksoy , Rachael L. Moses , Alastair J. Sloan , Ryan Moseley , Charles M. Heard Evaluation of the In Vitro Oral Wound Healing Effects of Pomegranate (Punica granatum) Rind Extract and Punicalagin, in Combination with Zn (II) Biomolecules (2020) doi: 10.3390/biom10091234

Fig 4, how does one “accidentally” copy-paste the image, but then draws very different cell borders on it?
Here an image from an older paper wandered into one of Sloan’s younger papers, where the then-Cardiff Dean declared an additional affiliation with the Fourth Military Medical University in China:
Amr Alraies , Nadia Y. A. Alaidaroos , Rachel J. Waddington , Ryan Moseley , Alastair J. Sloan Variation in human dental pulp stem cell ageing profiles reflect contrasting proliferative and regenerative capabilities BMC Cell Biology (2017) doi: 10.1186/s12860-017-0128-x

Wenkai Jiang , Diya Wang , Amr Alraies , Qian Liu , Bangfu Zhu , Alastair J Sloan , Longxing Ni , Bing Song Wnt-GSK3/-Catenin Regulates the Differentiation of Dental Pulp Stem Cells into Bladder Smooth Muscle Cells Stem Cells International (2019) doi: 10.1155/2019/8907570

Fig 2, duplicated gel bands and inappropiate splicing
Sloan is also Chair of the Australian and New Zealand Council for the Care of Animals in Research and Teaching (ANZCCART), and Vice-President of the International Association for Dental Research (IADR), Australia and New Zealand Division. We are told that in 2022, Sloan received the IADR Distinguished Scientist Award for his “his exceptional research contributions“.
Fried Divine Comedy, featuring anti-cancer cockroach and phallic fungus
This is a follow-up to the previous article, about a misconduct investigation at the Cardiff University in UK into the published works of cancer researcher Wen Jiang, professor of Surgery and Tumour Biology, Fellow of Royal Society of Medicine and chair of Cardiff China Medical Research Collaborative. The following guest post by my regular contributor Smut…
I wrote to Moseley, Sloan and Waddington, but nobody replied.
Scholarly Publishing
For illustration purposes only
Eliezer Masliah was exposed as a research fraudster by Mu Yang and her colleagues, then sacked by NIH and found guilty of research misconduct. Several of his papers were retracted. But some journal editors still feel it is the sleuths who are the baddies.
Cerebrolysin: Sharmas, Masliah, and EVER Pharma
“Poking around PubMed (Dysdera the spider is always on the hunt for new hornet’s nests) [..], I came across one image in two papers by Eliezer Masliah. […] By a conservative count, I contributed to about 160 out of 300 slides in the final dossier” – Mu Yang
This Masliah paper, authored by members of his usual team led by now-deceased Edward Rockenstein, was published in a journal by Oxford University Press, was corrected now, almost a year after it was flagged by Mu Yang on PubPeer and reported to the journal in September 2024:
Edward Rockenstein , Silke Nuber , Cassia R. Overk , Kiren Ubhi , Michael Mante , Christina Patrick , Anthony Adame , Margarita Trejo-Morales , Juan Gerez , Paola Picotti , Poul H. Jensen , Silvia Campioni , Roland Riek , Jürgen Winkler , Fred H. Gage , Beate Winner , Eliezer Masliah Accumulation of oligomer-prone α-synuclein exacerbates synaptic and neuronal degeneration in vivo Brain (2014) doi: 10.1093/brain/awu057




The Correction from 24 June 2025 went (highlights mine):
“The authors would like to apologize for errors in Figs 2, 5 and 9 of the original published article. In Fig. 2E, in the Fila1 row, Lines 9 and 16 were duplicated during figure preparation. In Fig. 5B, an incorrect image was used to represent the E57K tg Line 9 pSer129 condition. In Fig. 9C, in the first and third panels of the Non-tg section, a processing issue occurred while preparing the figure.
These figures were for illustration purposes and the errors do not change the results or conclusions.
These details have been corrected in this correction notice to preserve the published version of record.”
The authors didn’t just replace the figures. They digitally edited them to remove the duplications inside the images! This however resulted in new duplications:

On board of this paper are two German professors: Beate Winner and Jürgen Winkler of University Clinic Erlangen (they have several more problematic papers on PubPeer, not only with Masliah). In 2023, Winkler assured me regarding another common paper with cloned gel bands and duplicated images (Minakaki et al 2018, read below):
“we will make every effort to resolve this first internally and then externally“.
Two years on, the Minakaki paper was never even corrected, maybe that’s because as Vice-Dean for Sustainability, Winkler doesn’t like throwing things away, especially things made from recycled materials.
The potential problems of Eliezer Masliah
“the confusion occurred while utilizing prior panels as example ” – emeritus professor Eliezer Masliah
You see how much effort Winkler put into resolving the problem with the Brain paper. Other coauthors are less-regular: a Swiss professor (Roland Riek of ETH Zürich), and a Danish professor (Poul Jensen of Aarhus University).

Sholto David: “Figure 7A: There is a small cloned region in the corner of one of the images, presumably this was done to remove a scale bar.”
And then there is Fred “Rusty” Gage, the former President of the Salk Institute, who is an extremely powerful person in US neuroscience. Gage is in fact so powerful that his mini-brained mentee Alysson Muotri at UC San Diego gets showered with money (even from NASA) and celebrated for whatever new mini-brain stupidity that clown presses into some elite journal, all likely thanks to Gage’s string-pulling. Read here:
Alysson Muotri, a minibrain
Autistic Neanderthal minibrains operating crab robots via brain waves of newborn babies are to be launched into outer space for the purpose of interstellar colonization. No, I am not insane. Science Has Spoken.
On 4 September 2025, Mu Yang protested about that bizarre correction to the Editor-in-Chief Masud Husain, professor at the University of Oxford in UK:
“I would really love to understand the mechanisms of these clones —both in terms of how they occurred in the first place, and how the images were fixed in the correction. I am sure your guidance on the science and technicalities of this matter will be extremely valuable.”
Husain replied on 7 September with questions of his own:
“Dear Dr Yang
Thank you for your email.
- Have you emailed the authors to put your query to them?
- Would you have any objections to us forwarding your message to them? Or would and your colleagues prefer to be anonymous?
- Finally, do you have any conflict of interest in this matter?”

The first and second points are somewhat insane. Husain really seems to believe that the publisher pays him as Editor-in-Chief to protect science fraudsters from sleuthing pests.
The reference to “conflict of interest” insinuates that Mu must be exposing fraudsters to enrich herself, because a professional academic will never lift a finger to do anything unless there’s financial reward.
But then again, Husain is an expert in apathy.
Anyway, as indicated above, here are more fake papers by Masliah with his German friends Winner & Winkler (should be the name of a cartoon series).
Leslie Crews , Hideya Mizuno , Paula Desplats , Edward Rockenstein , Anthony Adame , Christina Patrick , Beate Winner , Juergen Winkler, Eliezer Masliah Alpha-synuclein alters Notch-1 expression and neurogenesis in mouse embryonic stem cells and in the hippocampus of transgenic mice Journal of Neuroscience (2008) doi: 10.1523/jneurosci.0066-08.2008


And again Winner & Winkler with Masliah’s gang:
Zacharias Kohl , Beate Winner , Kiren Ubhi , Edward Rockenstein , Michael Mante , Martina Münch , Carolee Barlow , Todd Carter , Eliezer Masliah , Jürgen Winkler Fluoxetine rescues impaired hippocampal neurogenesis in a transgenic A53T synuclein mouse model European Journal of Neuroscience (2012) doi: 10.1111/j.1460-9568.2011.07933.x

Winner & Winkler, with many other Germans and Rusty Gage, yet no Masliah to blame:
Himanshu K Mishra , Iryna Prots , Steven Havlicek , Zacharias Kohl , Francesc Perez-Branguli , Tom Boerstler , Lukas Anneser , Georgia Minakaki , Holger Wend , Martin Hampl , Marina Leone , Martina Brückner , Jochen Klucken , Andre Reis , Leah Boyer , Gerhard Schuierer , Jürgen Behrens , Angelika Lampert , Felix B Engel , Fred H Gage , Jürgen Winkler, Beate Winner GSK3ß-dependent dysregulation of neurodevelopment in SPG11-patient induced pluripotent stem cell model Annals of Neurology (2016) doi: 10.1002/ana.24633

No Masliah to blame here either for Winner & Winkler:
Franz Marxreiter , Silke Nuber , Mahesh Kandasamy , Jochen Klucken , Robert Aigner , Ralf Burgmayer , Sebastien Couillard-Despres , Olaf Riess , Jürgen Winkler , Beate Winner Changes in adult olfactory bulb neurogenesis in mice expressing the A30P mutant form of alpha-synuclein European Journal of Neuroscience (2009) doi: 10.1111/j.1460-9568.2009.06641.x

I asked WordPress AI to make a picture of the cartoon characters Winner & Winkler:
For artistic purposes only
An Expression of concern for Li-Huei Tsai, fellow of academies in USA and China, Director of the Picower Institute for Learning and Memory at MIT, Boston, USA. In September 2023 Shorts I wrote about some bad papers by Tsai and how EMBO Press declared to do absolutley nothing for Kim et a 2007, with David Sinclair!) that “At this resolution the bands are not definitely identical” and that “in our assessment the conclusion stands irrespective of the datapoints“.
Naturally, there are other bad papers by Tsai on PubPeer. This Nature paper helped its first author Tsai’s German mentee, Andre Fischer, to became full professor at the University of Göttingen in Germany. Today, Fischer and his university list it as one of his most important scientific achievements:

The paper was first criticised on PubPeer in 2017:
Andre Fischer, Farahnaz Sananbenesi , Xinyu Wang , Matthew Dobbin , Li-Huei Tsai Recovery of learning and memory is associated with chromatin remodelling Nature (2007) doi: 10.1038/nature05772

“In Fig 3a, all the different histone acetylation stainings clearly come from different gels, as evidenced by the drastically different shapes of the bands. Yet, only one control is shown for total H3 histone and one for total H4. To which acetylated bands it corresponds then? Where are the controls for the rest?”
More was found in February 2025:

Actinopolyspora biskrensis: “In Supplemental Figure 2e and S3h a portion of a gel slice clearly seems to have been used to represent different conditions, after 180° rotation.”
On 10 September 2025, Nature issued a paywalled Expression of Concern, maybe COPE’s guidelines about the need of Open Access for such editorial notices have changed?
“The Editors would like to alert the readers that concerns were raised regarding highly similar images in this article. Specifically:
- Fig. 1e β-catenin (lanes 2-3) and Supplementary Fig. 3h N-cadherin (lanes 1-2) appear highly similar;
- Supplementary Fig. 2e cortex β-catenin and Supplementary Fig. 3h N-cadherin (lanes 1-2) appear highly similar with different exposure;
- Supplementary Fig. 3g NeuN middle and right images appear to overlap (flipped horizontally);
- Supplementary Fig. 3d GAP43 (lanes 2-3) and Supplementary Fig. 4e actin appear highly similar;
- Supplementary Fig. 4e N-cadherin SB and B-catenin SB appear highly similar (flipped horizontally and stretched vertically). “
Due to the age of the article, the authors have been unable to sufficiently address these concerns. While the main conclusions of the article remain supported by the rest of the data in the article, as well as subsequent studies, readers are advised to interpret the data listed above with caution.”
I made some illustrations:




Supplementary Fig. 4e N-cadherin SB and B-catenin SB appear highly similar (flipped horizontally and stretched vertically).”
Normally this travesty would be retracted, but you can’t do this to an MIT professor.
By the way, Fischer is also Speaker of the German Center for Neurodegenerative Diseases (DZNE) at its Göttingen iste, worth noting that the Director of DZNE itself (in Bonn) is the cheater Pierluigi Nicotera, read about him here:
Cell Death and Depravity
Is the journal Cell Death and Disease a disease itself, parasitised by Chinese paper mills? Can it be cured? Not with this team of doctors on editorial board.
Returning to Tsai, here are more of her bad papers (next to those already discussed in September 2023 Shorts):
Asaf Marco, Hiruy S. Meharena , Vishnu Dileep , Ravikiran M. Raju , Jose Davila-Velderrain , Amy Letao Zhang , Chinnakkaruppan Adaikkan, Jennie Z. Young , Fan Gao , Manolis Kellis , Li-Huei Tsai Mapping the epigenomic and transcriptomic interplay during memory formation and recall in the hippocampal engram ensemble Nature Neuroscience (2020) doi: 10.1038/s41593-020-00717-0

Red boxes: the same section is shown to represent Activated early, Activated late, and Reactivated, albeit cropped differently and with differences in red signal. […] The schematic in a) suggests there were differently treated animals.”

Pink boxes: the Activated-late and Reactivated panels show the same green signal. I am probably misunderstanding something, but based on the schematic I would have expected these not to be from the same animals/sections”
But there is no need for Nature to act on this journal, because you see, Tsai explained (highlights hers):
“Because FACS nuclei isolation exhausts the tissue, the brains processed for sequencing could not also be used for histology; so we re-used an unrelated micrograph for artistic purposes only. It is not intended to convey, imply, or summarize experimental outcomes.”
This was supposed to be left in peace, but then Cell Press had to at least issue a correction:
Karun K. Singh , Gianluca De Rienzo , Laurel Drane , Yingwei Mao , Zachary Flood , Jon Madison, Manuel Ferreira , Sarah Bergen, Cillian King , Pamela Sklar , Hazel Sive, Li-Huei Tsai Common DISC1 polymorphisms disrupt Wnt/GSK3β signaling and brain development Neuron (2011) doi: 10.1016/j.neuron.2011.09.030


In April 2018, Tsai announced on PubPeer to be “working with the journal to resolve this issue as soon as possible.” But then she lost interest. In february 2025, new evidence arrived:


A long Correction was published on 21 May 2025 (and covered by Retraction Watch):
“We were made aware of duplication errors in Figures 2A, 2B, 3B, 3C, S2A, and S2B in our published article. We carefully investigated our data by comparing the display figures to our source data, and this brought to light a mislabeled western blot film for Figure 2 and inadvertent mistakes made during the construction of cropped versions of Figures 3 and S2. […]”
In August 2025, the PubPeer user Yong‐Chang Zhou noticed that the Correction was frauudlent:

This one was at least easy to fix:
Damien Rei , Xenos Mason , Jinsoo Seo , Johannes Gräff , Andrii Rudenko , Jun Wang , Richard Rueda , Sandra Siegert , Sukhee Cho , Rebecca G. Canter , Alison E. Mungenast , Karl Deisseroth , Li-Huei Tsai Basolateral amygdala bidirectionally modulates stress-induced hippocampal learning and memory deficits through a p25/Cdk5-dependent pathway Proceedings of the National Academy of Sciences of the United States of America (2015) doi: 10.1073/pnas.1415845112

Actinopolyspora biskrensis: “It appears that in Figure 1B and Supplemental Figure S1G the same controls are used, but the accompanying panel is different.”
In February 2025, Tsai announced to be “actively searching for the original, uncropped scans, as well as documentation” and to be “committed to maintaining scientific integrity“. The Correction appeared on 14 August 2025:
“The authors note that SI Appendix, Fig. S1G appeared incorrectly: “The β-Tub. blot from Fig. 1B was inadvertently duplicated in SI Appendix, Fig. S1G. We have identified the original films for the Western blots for both Fig. 1B and SI Appendix, Fig. S1G and confirmed the original synaptophysin (SYP) and β-Tub. blots depicted in SI Appendix, Fig. S1G were incorrect. We regret this error.””
Retraction Watchdogging
Multiple simultaneous studies
The British nanotechnologist and cancer healer Gareth Williams, professor of pharmaceutical materials science at UCL, earns his first retraction, hopefully with many more to come. After all, the man built a spectacular career on little else but coauthorships on fake papers with his Chinese collaborators. Read here:
Shocked, angered and appalled
“I have been following the comments on PubPeer, and have been shocked, angered and appalled by the issues […] there can be no explanation for this other than systemic fraud “- Prof Gareth Williams, UCL
The above article discusses papers by Williams and his associate, Li-Min Zhu. This one was flagged on PubPeer by Sholto David in July 2025:
Ying Wang , Gareth R. Williams , Yilu Zheng , Honghua Guo , Shiyan Chen , Rong Ren , Tong Wang , Jindong Xia, Li-Min Zhu Polydopamine-cloaked Fe-based metal organic frameworks enable synergistic multidimensional treatment of osteosarcoma Journal of Colloid and Interface Science (2023) doi: 10.1016/j.jcis.2023.07.146




The Retraction was issued by Elsevier already on 3 September 2025:
“This article has been retracted at the request of the Editor-in-Chief and the authors. Specifically, the authors have requested retraction based on image overlaps in several figures:
- Figure 4A: III + X-ray and IV + X-ray groups
- Figure 4D(b): Free Rhm B and L-Arg/Rhm B@MOF(Fe) groups
- Figure 5A: II + X-ray, IV + X-ray, and VI + X-ray groups
- Figure 5C: Free D-Arg + X-ray and I + X-ray groups
- Figure 8: V and VI groups in the Ki67 staining
The Editor-in-Chief has confirmed the occurrence of identical image elements claimed in the article to describe results for different samples. The authors state that the origin of this is mistakes caused due to multiple simultaneous studies. The journal cannot, however, exclude either gross negligence or ethical misconduct. This multiple occurrence of potential image and data manipulation undermines the credibility and reliability of the experimental data presented in the manuscript, as well as the validity of the conclusions drawn from it. Apologies are offered to readers of the journal.”
A stupid and foolish question
“Those noises have no scientific meanings, suggest nothing, forming no any judgments, and have no any influences on the experimental results. ” – Professor Deng‐Guang Yu
UCL is presumably investigating, although they already hinted to whitewash Williams as a victim of foreign fraud, if all else fails that is.
Williams has over 40 fake papers on PubPeer. Zhu has over 30 papers on PubPeer, most of them with Williams. Despite Williams having sworn never to work with Chinese cheaters again, he and Zhu just published another paper in the same Journal of Colloid and Interface Science, announcing “an innovative route for targeted tumor metalloimmunotherapy” (Xu et al 2025). That in addition to several other freshly issued joint publications by Williams and Zhu.

“A great pleasure to welcome Prof Limin Zhu from Donghua University to @ucl @School_Pharmacy for the first time in a long while. He’s been telling us about his research work and helping our MSc students understand how to succeed in careers in China.” (Williams on X, 2024)
Part of a series
Congratulations to the German geniuses of cancer research, Simone Fulda and her former mentor at the University of Ulm, Klaus Michael Debatin, on their first retraction. As reminder, Fulda was removed as President of the University of Kiel, then whitewashed by her past employers, the Universities of Frankfurt and Ulm, then, just when they felt they won and ready to sue everyone for reputational and financial damage, she and Debatin were found guilty of research misconduct by the German Research Council (DFG, read July 2025 Shorts).
Fulda & Debatin: Reproducibility of Results in Medical and Biomedical Research
“Basic and advanced training for researchers should focus much more on self-reflection, openness and a culture of error acceptance.”
Being a rich German professor with networks and expensive lawyers is generally the best retraction insurance, and indeed, so far Fulda and Debatin managed to weasel themselves out of retractions, the worst so far were some expressions of concern, read here:
Concerns for whites, retractions for the rest?
“Expressions of Concern may be used as an interim notice to flag a potential issue that may be ultimately resolved with another amendment outcome (e.g. retraction or correction) or they may remain as the final outcome in cases where conclusive evidence cannot be obtained. ” – COPE
But here is their first, for self-plagiarism. A reader flagged this paper in May 2025 on PubPeer as a copy of Fulda & Debatin Current Pharmacogenomics 2003, and notified the editors.
Simone Fulda, Klaus-Michael Debatin Modulation of apoptosis signaling for cancer therapy Archivum Immunologiae et Therapiae Experimentalis (2006) doi: 10.1007/s00005-006-0019-x


“The review “Modulation of apoptosis signaling for cancer therapy” (first published: 2006) appears to be part of a series of reviews between 2001 and 2008 by Simone Fulda and Klaus-Michael Debatin that substantially reuse previously published material without appropriate citation.“
Felimare zebra
The Retraction appeared on 6 August 2025:
“A significant overlap (78%) occurs between the mentioned above article and the article entitled „Apoptosis in drug response”, Current Pharmacogenomics
1, 9–16 (2003), by the same authors, who did not respond to our request for comments. The article is therefore retracted.”
Here are two more reincarnations of this same review, one wonders what will happen to them:
- Simone Fulda, Klaus-Michael Debatin Genes Involved in Apoptosis Regulation: Implications for Cancer Therapy Current Genomics (2005) doi: 10.2174/138920205775811407
- Simone Fulda, Klaus-Michael Debatin Apoptosis Signaling in Tumor Therapy Annals of the New York Academy of Sciences (2004) doi: 10.1196/annals.1322.016
Simone Fulda: Open4Work!
“I am taking this step with a heavy heart and a sense of responsibility for the university since a sufficient foundation of mutual trust no longer remained with some parts of the university to ensure successful cooperation”, – Simone Fulda
By the way, my reader foudn this PowerPoint presentation from Debatin, titled “Scientific fraud/sloppiness in data handling/data reproducibilty“. You see, Debatin used to be not only DFG Senator, but also the Ombudsman for research integrity at the Heidelberg Academy of Sciences, thus nobody say Germans have no sense of humour.
In that presentation, Debatin discussed several science fraud cases, including the Cell paper by David Baltimore and Thereza Imanishi-Kari (“Sloppyness in data handling vs. faking data“). He also addressed the case of cancer researchers Friedhelm Herrmann and Marion Brach as “The major german scandal in biomedicine leading to the so far largest investigation of scientific fraud in Germany with subsequent action by the DFG and universities“. Debatin lamented there: “All fakes escaped the reviewers attention“.
This dude, eh?
Moltan metal, Furnce cover!
Grzegorz Krolczyk almost became the boss of all science in Poland. But then my reporting exposed this nanotechnology professor as papermiller, the Polish media picked up the story, Polish politicians interfered, Krolczyk stepped down as already appointed chair of governmental commission, then as vice rector of his Opole University of Technology, and he is probably not yet done rolling downhill into the ditch.
Sons of Poland
“Jeszcze Polska nie zginęła, Kiedy my żyjemy. Co nam obca przemoc dała, odpłacimy fabrykom artykułów.
Now yet another retraction for the papermill rabbit, and look what celebrity coauthors he has! The legendary Chinese papermiller and citation scammer Changhe Li! The Egyptian papermill fraudster Sayed M Tag El Din who writes his name in many different ways so he can peer-review his own papers!
Ravinder Kumar , Kanishka Jha , Shubham Sharma, Vineet Kumar , Changhe Li , Elsayed Mohamed Tag Eldin, S. Rajkumar , G. Królczyk Effect of particle size and weight fraction of SiC on the mechanical, tribological, morphological, and structural properties of Al-5.6Zn-2.2Mg-1.3Cu composites using RSM: fabrication, characterization, and modelling Heliyon (2022) doi: 10.1016/j.heliyon.2022.e10602


Thallarcha lechrioleuca: “Fig.1 Number of spelling errors:
- Rotating motAr
- MoltAn metal
- Furnce cover
- Thermo couple
- preheated particalE”
The retraction was recorded by Elsevier on 4 September 2025 and was for different reasons than the fake Fig 5:
“This article has been retracted at the request of the Editor.
Post-publication, an investigation conducted on behalf of the journal by Elsevier’s Research Integrity & Publishing Ethics team identified a concern around the authenticity of the following figures/image panels:
- Figure 7 from the current article and Figure 5 from the article published in Materials & Design by some of the same authors of the current article and which was available online prior to the current article having been submitted to Heliyon appear to depict the same source image, but are described as representing different experimental samples.
- Figure 12 (b) from the current article and Figure 10 (b) from the article published in Materials & Design by some of the same authors of the current article and which was available online prior to the current article having been submitted to Heliyon appear to depict the same source image, but are described as representing different experimental samples.
Article: Ravinder Kumar, Suresh Dhiman, A study of sliding wear behaviors of Al-7075 alloy and Al-7075 hybrid composite by response surface methodology analysis, Materials & Design, Volume 50, 2013, Pages 351-359, ISSN 0261-3069, https://doi.org/10.1016/j.matdes.2013.02.038
The authors were requested to provide comment on these concerns, as well as the original unprocessed image files to aid investigation.
It was felt that the explanation provided was unsatisfactory in resolving these concerns.
The Editor has determined that the findings of the article cannot be relied upon, and has decided to retract the article.
The authors disagree with the retraction and dispute the grounds for it.”
Polish science eaten by Papermill Krolczyk
“Prof. Grzegorz Królczyk, Vice-Rector for Science and Development of the Opole University of Technology, was elected President of the Council for Innovation in Higher Education and Science.”
Krolczyk was most likely gifted his coauthorship by an Indian friend: Shubham Sharma, who at that time was affiliated with the Opole University of Technology (next to Chandigarh University in India). These days Sharma claims affiliations with Chitkara University in India, Western Caspian University in Azerbaijan, and Jadara University in Jordan, and Lebanese American University in Lebanon.
Sharma also recently retracted two conference proceedings papers, they fell in the publisher’s purge of scamferences, read January 2025 Shorts about E3S conferences. Here one in India called “3rd International Conference on Applied Research and Engineering (ICARAE2023)“:
- Kahtan A. Mohammed , Sharif Fadhil Abood Al-alawachi , Ameer Ali Hassan , Adel H. Omran Alkhayatt , Mohammad Malik Abood , Mohammed Ayad Alkhafaji , Rahman S. Zabibah , Sameer Algburi , Shubham Sharma The Impact of Polymer Matrix Type On the Optical Properties of Silver Nanocomposites E3S Web of Conferences (2024) doi: 10.1051/e3sconf/202450501017
- Amer N. Jarad , Ahmed S. Abed , Kahtan A. Mohammed , Rahman S. Zabibah , Mohammed Al-khafaji , Sameer Algburi , Shubham Sharma Preparing and studying of Au Nanocomposites Synthesized with different polymer matrix E3S Web of Conferences (2024) doi: 10.1051/e3sconf/202450501035
“This proceeding volume has been retracted from the publication because we found some solid reasons to believe that it has infringed our integrity criteria and now presents a risk for our journal and scholarly science in general. Different types of malpractice are involved, in particular citation manipulation and inappropriate references. We are extremely concerned by such malpractice which considerably impacts the image of our title and our Publisher’s reputation.”
Retraction notice
By trying to find out where Sharma works now, I accidentally found proof that Sharma is indeed the papermill salesman, and not just a customer. Here are De Gruyter’s records of authorship changes performed by Sharma as corresponding author (3 authors removed, 4 added):
Maninder Singh , Mukhtiar Singh , Mandeep Singh Rayat , Ajay Sharma , Harjit Singh , Rajeev Kumar , Shubham Sharma , V.K. Bupesh Raja , Abinash Mahapatro , Parveen Kumar , Renu Dhiman , Deepak Gupta , Ehab El Sayed Massoud Corrosion analysis of stainless steel exposed to Karanja oil biodiesel: a comparative study with commercial diesel fuel, surface morphology analysis, and long-term immersion effects in alternative fuels International Journal of Chemical Reactor Engineering (2025) doi: 10.1515/ijcre-2024-0205
“As far as the incorporation of the newly added authors, Dr. V.K. Bupesh Raja, Dr. Abinash Mahapatro, Dr. Deepak Gupta, Dr. Ehab El Sayed Massoud are concerned, as they jointly have made substantial contributions during the revisions stage and offering one indispensable testing characterization that the reviewers have asked to perform during revisions stage and additionally, they played a pivotal role in the manuscript by meticulously addressing some of the laborious technical comments of the learnt referees and editors,”
“While as far the removal of one of the co-authors named, Dr. V Nagabhushana Rao, Dr. Rajesh Singh, and Dr. Abhinav Kumar are concerned, as they have not made any sort of valuable contributions and inputs during the initial submissions, in addition, they have not made substantial contributions to the conception or design of the work; analysis, or interpretation of data for the work; although they have not involved in revised drafting of the work.””

Donate!
If you are interested to support my work, you can leave here a small tip of $5. Or several of small tips, just increase the amount as you like (2x=€10; 5x=€25). Your generous patronage of my journalism will be most appreciated!
€5.00






I think I recognize the authors on the Change of Authorship Form. But I know them under different names.
Maninder Singh should probably sign as MV Boli.
Mukhtiar Singh should probably sign as Monotype Corsiva.
Harjit Singh should probably sign as Bradley Hand.
LikeLike
One a more positive note, If David Baltimore hadn’t founded the Whitehead Institute, David Sabatini couldn’t have been sacked from it.
LikeLiked by 2 people
Fulda & Debatin punished for plagiarism sounds similar to Al Capone being convicted for tax evasion.
LikeLiked by 1 person
But Al Capone spent 7 years in Alcatraz and here is the punishment for Fulda and Debatin:
“The Joint Committee issued a written reprimand against both researchers. It also imposed a one-year ban on Fulda from submitting proposals to the DFG.”
LikeLiked by 2 people
Mark Spector was lined up to do a post-doc in David Baltimore’s lab when he was found out. A nice write-up in Science 214: 316 (1981). “Prominent scientists, including David Baltimore of MIT, Robert Gallo, George Todaro, and Edward Scolnick of the National Cancer Institute, and Tony Hunter of the Salk Institute were impressed by Spector’s work and started to apply his results to their own research.”
LikeLike
Ha, Gallo and Hunter also….
LikeLike
Baltimore was a proponent of the “sue first, ask questions later” approach. This was facilitated in part by a team of voracious lawyers happy to take his money. Key among them, Normand Smith of Burns & Levinson, who later went on to represent Gizem Donmez in her failed attempt to sue me.
Sad to lose a big customer, but there are plenty more in Boston.
LikeLiked by 4 people
Unsurprisingly, putin is eagerly awaiting the anti-aging “science” to come through (https://meduza.io/news/2025/09/03/72-letnie-putin-i-si-tszinpin-pered-paradom-v-pekine-obsudili-vozmozhnost-dozhit-do-150-let-i-dostich-bessmertiya)
LikeLiked by 3 people
…an exciting prospect to have the anti-aging researchers recruited and all sent to russia.
LikeLiked by 2 people
You laugh, but there are many russians in the US anti-aging community.
Starting with the late Blagosklonny, then we have Gladyshev, Zhavoronkov, and many others.
In russia, there’s a cult of anti-aging and transhumanism, and that’s why they recruited Macchiarini back then. It’s not putin’s invention to live forever by replacing organs, it’s a dogma of russian science.
LikeLiked by 2 people
I’m not laughing. 😉 This is my field and I know and have met these people. Also you left out Gorbunova. Actually some of the early work in the field of biogerontology was published by russian scientists in russian journals, though a lot of it was rather esoteric and theoretical by today’s “standards” (I use the term loosely). Working within the field, I can say I may be one of its greatest critics, having an intimate understanding of the technical means by which the trickery is perpetrated to create a fictional narrative.
LikeLike
How could I forget Vera and her husband Andrey! My apologies!
LikeLiked by 1 person
“Due to the age of the article, the authors have been unable to sufficiently address these concerns. While the main conclusions of the article remain supported by the rest of the data in the article, as well as subsequent studies, readers are advised to interpret the data listed above with caution.” The old “Back to the Future” defense. I bet the buggers reviewed a paper, slagged it off and hastily assembled a pastiche to steal the ideas. Prove me wrong. That is how things worked in the good old days. Sad thing is: no cure for cancer.
LikeLiked by 1 person
Exactly right.
LikeLike
Exceptional research contributions – from Cardiff to Melbourne, with Ryan Moseley and Alastair Sloan
It would be disproportionate if Stem Cell Research & Therapy allowed a correction for PubPeer – Differential SOD2 and GSTZ1 profiles contribute to contrasti… as
Sajeev Gupta only issued a correction in Stem Cell Research & Therapy for PubPeer – Switching of mesodermal and endodermal properties in hTERT-m…
LikeLike