Slightly over a year ago, I published a story about Sholto David‘s failed attempts to achieve a meaningful interaction with the Queen’s University of Belfast (QUB). Their Head of Research Governance, Ethics and Integrity, Louise Dunlop, accused Sholto of being “determined to undermine people’s reputations“, while QUB’s Director of Research Wendy McLoone, officially declared their professor of being merely guilty of tiny, modest, and easily correctable mistakes. Read here:
Queen’s University Belfast fights Welsh Terrorism
“your scatter gun approach has undermind a process that is undertaken confidentially […] It is sad that you are determined to undermine people’s reputations in the way you do.” – Queen’s University of Belfast to Sholto David.
That professor was Raghu Raj Singh Thakur, he is also Founder & former Chief Technical Officer of the ophthalmology biotech Re-Vana. It was very important for QUB to avoid retractions or other problems for Thakur, because they were about to sell Re-Vana’s technology to the German pharma giant Boehringer. In July 2025, Boehringer licensed the technology and could end up paying Thakur and QUB up to 1 BILLION dollars – if the technology actually works and they can sell it, while Thakur stopped being Re-Vana’s CTO and became a mere “Board Observer“. If his history of collaboration with papermill fraudsters is anything to go by, Boehringer might regret this deal eventually. Here is a recent find by Fabian Wittmers:
Alok Mahor, Sunil Kumar Prajapati, Amita Verma, Rishikesh Gupta, Thakur Raghu Raj Singh, Prashant Kesharwani Development, in-vitro and in-vivo characterization of gelatin nanoparticles for delivery of an anti-inflammatory drug Journal of Drug Delivery Science and Technology (2016) doi: 10.1016/j.jddst.2016.09.007

Now, Thakur used to collaborate with the heroes of Sholto’s new investigation of QUB’s School of Pharmacy. Thakur et al 2016, titled “Rapidly dissolving polymeric microneedles for minimally invasive intraocular drug delivery“, had as last authors Ahlam A. Ali, Helen McCarthy and Ryan F. Donnelly. Sholto studied their own science on microneedles, which in fact led to yet another QUB spin-off. There is so much more for Dunlop and McLoone to investigate!
Fraud by Thousand Needles
By Sholto David
Sometimes it is good to revisit old friends like Louise Dunlop at Queen’s University Belfast (QUB). Louise is head of research governance, ethics, and integrity at QUB, and is a very important, well qualified, and competent individual. Her star has risen so high, in fact, that she even works alongside Chris Gaffe Graf (Springer Nature’s director of research integrity) and Saint Andrew George (now martyred, see September 2025 Shorts) on the UK Committee on Research Integrity (UKCORI).
Andrew George and the Virtues of Research Integrity
“One of the UK research system’s strengths is having established processes that allow for this review so that we maintain an accurate and robust research record. Promoting and improving this system, and encouraging more openness and transparency, is why I became involved in the UK Committee on Research Integrity.” – Andrew J T George
Last year Louise even lectured on the topic of “what is good science” at an event hosted by the Royal Irish Academy. She was kind enough to join a panel discussion to explain: “what good science looks like, what corrupts it, what challenges it, and what fosters it”.
So why not see all the good science festering, sorry fostering, under Louise’s watchful eyes at QUB?

Ahlam and Helen
It really was as simple as scrolling through a few staff pages in the pharmacy school and I soon happened up on Ahlam A. Ali, who did her PhD and a postdoc at QUB. This 2023 paper includes numerous flipped and duplicated western blots, its last author, the QUB professor Ken Mills, is recently retired.
Ahlam A. Ali, Lauren V. Cairns, Kathryn M. Clarke, Jaine K. Blayney, Katrina M. Lappin, Ken I. Mills Combination Therapies Targeting Apoptosis in Paediatric AML: Understanding the Molecular Mechanisms of AML Treatments Using Phosphoproteomics International Journal of Molecular Sciences (2023) doi: 10.3390/ijms24065717

It also shares western blots with another MDPI paper published three years earlier and on an entirely different subject, see here:
Ahlam Ali, Fengyu Zhang, Aaron Maguire, Tara Byrne, Karolina Weiner-Gorzel, Stephen Bridgett, Sharon O’Toole, John O’Leary, Caitlin Beggan, Patricia Fitzpatrick, Amanda McCann, Fiona Furlong HDAC6 Degradation Inhibits the Growth of High-Grade Serous Ovarian Cancer Cells Cancers (2020) doi: 10.3390/cancers12123734


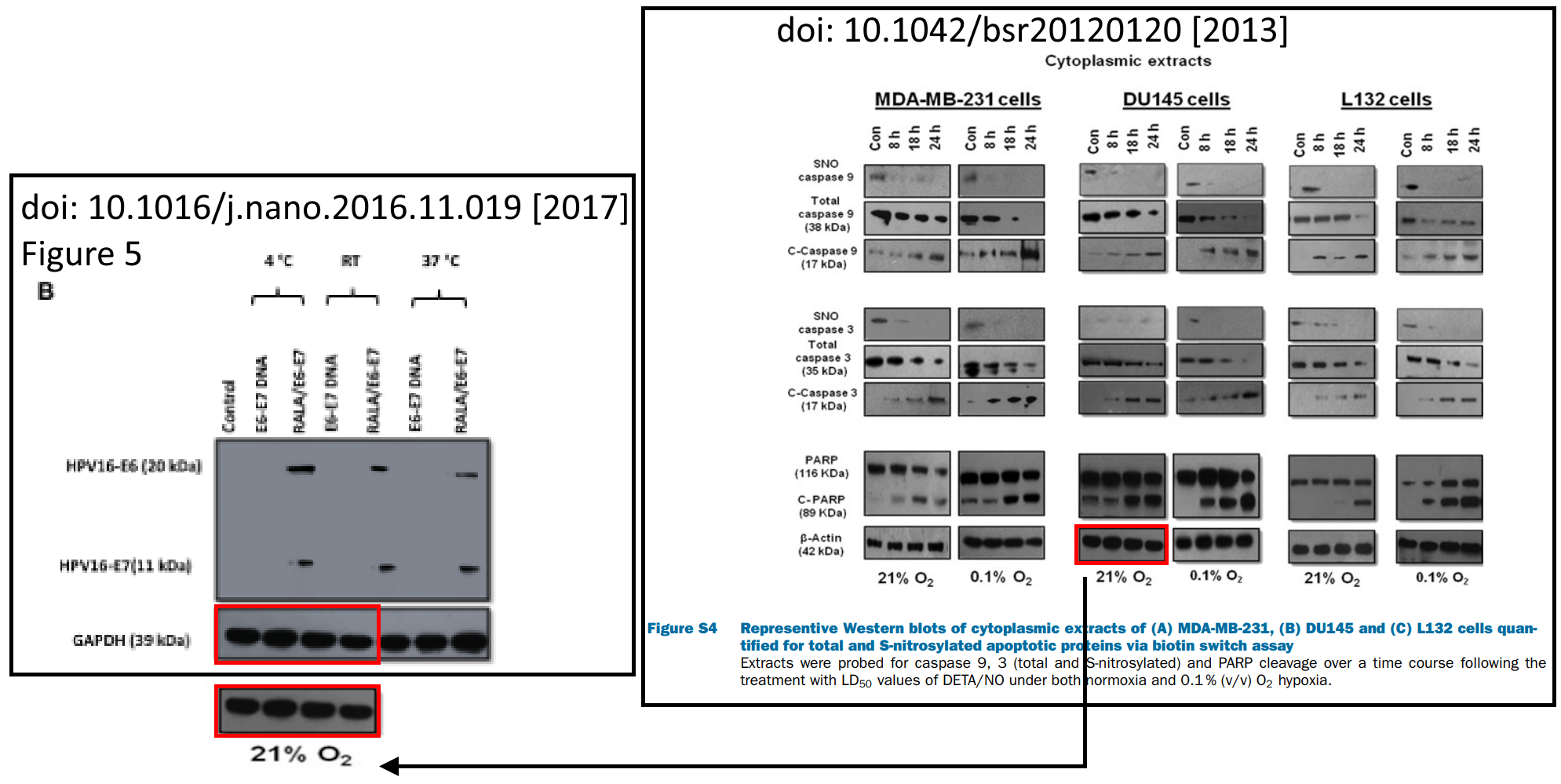
In fact, in various forms this batch of western blots can be traced from 2023 all the way back to 2013 in projects studying leukemia, cervical cancer, ovarian cancer, and nitric oxide biology. It seems impossible to understand how these kind of muddles happen “on accident”:
- Grace Cole, Ahlam A. Ali, Cian M. McCrudden, John W. McBride, Joanne McCaffrey, Tracy Robson, Vicky L. Kett, Nicholas J. Dunne, Ryan F. Donnelly, Helen O. McCarthy DNA vaccination for cervical cancer: Strategic optimisation of RALA mediated gene delivery from a biodegradable microneedle system European Journal of Pharmaceutics and Biopharmaceutics (2018) doi: 10.1016/j.ejpb.2018.02.029
- Ahlam A. Ali, Cian M. McCrudden, Joanne McCaffrey, John W. McBride, Grace Cole, Nicholas J. Dunne, Tracy Robson, Adrien Kissenpfennig, Ryan F. Donnelly, Helen O. McCarthy DNA vaccination for cervical cancer; a novel technology platform of RALA mediated gene delivery via polymeric microneedles Nanomedicine : nanotechnology, biology, and medicine (2017) doi: 10.1016/j.nano.2016.11.019
- Ahlam A. Ali, Jonathan A. Coulter, Claire H. Ogle, Marie M. Migaud, David G. Hirst, Tracy Robson, Helen O. McCarthy The contribution of N2O3 to the cytotoxicity of the nitric oxide donor DETA/NO: an emerging role for S-nitrosylation Bioscience Reports (2013) doi: 10.1042/bsr20120120





I can’t find Ali’s PhD thesis online but I would have to guess this library of blots go back as far. So I have to wonder; has anyone at QUB even seen her in the lab in the last decade? The last author above, Helen McCarthy, is professor at QUB and founder and CEO of the now defunct company pHion Therapeutics (archived website here). If only this RALA technology to end cancer was based on reliable science…

Ali’s latest work includes papers on myeloma with another PhD student of Mills’, Maryam Ahmed S. Al Barashdi, their other doctoral advisor was QUB professor Mary Frances McMullin:
Maryam Ahmed S. Al Barashdi, Ahlam Ali, Mary Frances McMullin, Ken Mills CD45 inhibition in myeloid leukaemia cells sensitizes cellular responsiveness to chemotherapy Annals of Hematology (2024) doi: 10.1007/s00277-023-05520-y

The qPCR gels in the above paper also overlap with a 2025 paper in Sultan Qaboos University Medical Journal, the highly similar bands in the pink and blue rectangles are labelled as showing different samples. The first author on both these papers recent PhD thesis is available online, perhaps Louise should take a look? (hint hint)
Maryam Ahmed Al Barashdi, Ahlam Ali, Mary Frances McMullin, Ken Mills IL-6 Induces CD45 Expression on Myeloid Cells Sultan Qaboos University Medical Journal (2025) doi: 10.18295/2075-0528.2872

Ahlam Ali has now escaped to Wolverhampton University where she became a lecturer and describes herself as a “distinguished researcher” who plays “a pivotal role in advancing the field of nanomedicine“. No doubt she’ll be conducting clinical studies with humans and teaching the next generation of healthcare students. Wolverhampton University will soon open a medical school, so nothing to worry about.
Ryan
Moving back to QUB, and another distinguished researcher who signed onto two of the DNA vaccine papers mentioned above – Ryan F. Donnelly. Ryan is a professor and director of research at the School of Pharmacy, we are informed that he is “pioneering novel microneedle technologies” and “authored more than 1,000 peer-reviewed publications“.
We also learn from QUB that Donnelly’s microneedles inspired McCarthy’s pHion business:
“Professor Donnelly’s work has led to the development of scalable methods of microneedle manufacture at the world’s largest transdermal patch manufacturer, who have now been granted authorisation for Europe’s first GMP Manufacturing Licence for microneedles. He also developed laser engineering as a process for manufacture of microneedle moulds, with an Irish company now selling these moulds globally. […] Now an increasing number of leading companies are engaging with his Group to study delivery of high-dose drugs, particularly for long-acting treatment of HIV and other chronic conditions, such as Parkinson’s disease and schizophrenia.
Professor McCarthy spun this technology into pHion therapeutics in order to realise its potential, winning INVENT NI and the All Ireland Seedcorn awards for the most investable start-up in 2017.”
In some of his papers, Donnelly declares that he “is an inventor of patents that have been licenced to companies developing microneedle-based products and is a paid advisor to companies developing microneedle-based products.” But in some others, he claims to have no conflicts of interests whatsoever. Also McCarthy doesn’t feel that owning a company which sells the exact technology your study is about qualifies as any kind of conflict of interest.
I decided to scroll through a few of his papers and noticed an MDPI facilitated collaboration with Syrian scientists (published during the Assad regime). Amusingly Ryan is listed as “providing support” in the author contributions, nothing else.
Basem Battah, Lama Shbibe, Osama Ahmad, Chadi Soukkarieh, Souad Mahmoud Al Okla, Teresa Chianese, Luigi Rosati, Lalitkumar K. Vora, Li Zhao, Alessandra Marrazzo, Marco Ferrari, Linlin Li, Ryan F. Donnelly, Stefania Zanetti, Vittorio Mazzarello, Matthew Gavino Donadu Juniperus oxycedrus L. ssp. Essential Oil Microneedles: A Promising Antimicrobial and Wound Healing Activity Pharmaceuticals (2023) doi: 10.3390/ph17010040


In fact the transgression here is not so surprising, I have seen so many worse examples in wound healing papers, but the response from the authors was confusing and frustrating, so I felt motivated to look through all of Ryan’s papers and was rewarded.
Ryan normally publishes with his own postdocs or PhD students, only occasionally “providing support” to Assad’s scientists. Qonita Kurnia Anjani is presumably one of his former students. According to LinkedIn, she completed a PhD at QUB in just 2 years and was recently awarded as an “Outstanding Pharmacy Early-Career Researcher Award” by the Royal Pharmaceutical Society. Qonita is first author on these two papers where biocompatibility tests for different materials show many of the same cells:
- Qonita Kurnia Anjani, Anjali K. Pandya, Sara Demartis, Juan Domínguez-Robles, Natalia Moreno-Castellanos, Huanhuan Li, Elisabetta Gavini, Vandana B. Patravale, Ryan F. Donnelly Liposome-loaded polymeric microneedles for enhanced skin deposition of rifampicin International Journal of Pharmaceutics (2023) doi: 10.1016/j.ijpharm.2023.123446
- Qonita Kurnia Anjani, Akmal Hidayat Bin Sabri, Khuriah Abdul Hamid, Natalia Moreno-Castellanos, Huanhuan Li, Ryan F. Donnelly Tip loaded cyclodextrin-carvedilol complexes microarray patches Carbohydrate Polymers (2023) doi: 10.1016/j.carbpol.2023.121194

The numerous similarities highlighted by the pink circles (which I have added) must preclude these being independent samples in different treatment conditions.
Another paper is involved in this muddle where Qonita is the second author:
Akmal Hidayat Bin Sabri, Qonita Kurnia Anjani, Pratik Gurnani, Juan Domínguez-Robles, Natalia Moreno-Castellanos, Li Zhao, Aaron R J Hutton, Ryan F Donnelly Fabrication and characterisation of poly(sulfonated) and poly(sulfonic acid) dissolving microneedles for delivery of antibiotic and antifungal agents International Journal of Pharmaceutics (2023) doi: 10.1016/j.ijpharm.2023.123292

Also from one of the International Journal of Pharmaceutics papers above, images which should show skin treated with different formulations are unexpectedly similar:

Two more papers where Qonita is the first author include image problems:
- Qonita Kurnia Anjani, Avelia Devina Calista Nainggolan, Huanhuan Li, Andang Miatmoko, Eneko Larrañeta, Ryan F. Donnelly Parafilm® M and Strat-M® as skin simulants in in vitro permeation of dissolving microarray patches loaded with proteins International Journal of Pharmaceutics (2024) doi: 10.1016/j.ijpharm.2024.124071
- Qonita Kurnia Anjani, Natalia Moreno-Castellanos, Yaocun Li, Akmal Hidayat Bin Sabri, Ryan F. Donnelly Dissolvable microarray patches of levodopa and carbidopa for Parkinson’s disease management European Journal of Pharmaceutics and Biopharmaceutics (2024) doi: 10.1016/j.ejpb.2024.114304


Here are another two papers with Qonita and Ryan. Showing up all too often in here is Helen McCarthy again. The pHion Tx CEO declared together with her coauthors to “have no known competing financial interests or personal relationships“:
- Rand Ghanma, Yara A Naser, Qonita Kurnia Anjani, Akmal Hidayat Bin Sabri, Aaron R J Hutton, Lalitkumar K Vora, Achmad Himawan, Natalia Moreno-Castellanos, Brett Greer, Helen O McCarthy, Alejandro J Paredes, Ryan F Donnelly Dissolving microarray patches for transdermal delivery of risperidone for schizophrenia management International Journal of Pharmaceutics (2024) doi: 10.1016/j.ijpharm.2024.124342
- Linlin Li, Li Zhao, Mingshan Li, Yushi Tao, Akmal Hidayat Bin Sabri, Natalia Moreno-Castellanos, Rand Ghanma, Brett Greer, Qonita Kurnia Anjani, Helen O. McCarthy, Ryan F. Donnelly, Eneko Larrañeta Schizophrenia Treatment Based on Sustained Release of Risperidone from Poly(lactic-co-glycolic) Acid Implantable Microarray Patch ACS Applied Materials & Interfaces (2025) doi: 10.1021/acsami.4c20010

Andi
Frequently authoring with Qonita is another of Ryan’s former PhD students and the real star of the show, Andi Dian Permana. His accomplishments include:
- “Grand finalist of the 2025 L-Men of The Year” (a sort of beauty pageant for Indonesian men)
- “Youngest Professor at Hasanuddin University at the age of 34”
- “Listed in World’s top 2% Scientists 2024 (According to Standford [sic] University & Elsevier BV)”
- “Editor-in-Chief of Pharmacy and Pharmacology Magazine”



I count 21 papers with problems on PubPeer for Andi, nine of these were authored with Ryan, and the rest published independently since Andi went back to Indonesia for beauty pageants and so on. A lot of these papers claim to analyse multiple microneedle formulations, but careful study of the microscopy images show that many of the images are showing the same few needles in overlapping fields of view. Another very frequent issue are manipulated spectra where parts have been cloned and stretched with graphics editing programs, here I annotated the needles and the spectra were annotated by an anonymous user:
Andi Dian Permana, Alejandro J. Paredes, Fabiana Volpe Zanutto, Muh. Nur Amir, Ismail Ismail, Muh. Akbar Bahar, Sumarheni, Santiago Daniel Palma, Ryan F. Donnelly Albendazole Nanocrystal-Based Dissolving Microneedles with Improved Pharmacokinetic Performance for Enhanced Treatment of Cystic Echinococcosis ACS Applied Materials & Interfaces (2021) doi: 10.1021/acsami.1c11179


Here’s another paper with worrying duplicated parts of spectra, and potentially a free-hand sketched part.
Achmad Himawan, Nana Juniarti Natsir Djide, Sandra Aulia Mardikasari, Rifka Nurul Utami, Andi Arjuna, Ryan.F. Donnelly, Andi Dian Permana A novel in vitro approach to investigate the effect of food intake on release profile of valsartan in solid dispersion-floating gel in-situ delivery system European Journal of Pharmaceutical Sciences (2022) doi: 10.1016/j.ejps.2021.106057

Here’s one I annotated, it might have become a little busy, but that’s not really my fault, so I won’t apologise for it.
Andi Dian Permana, Emilia Utomo, Muhammad Rezky Pratama, Muh. Nur Amir, Qonita Kurnia Anjani, Sandra Aulia Mardikasari, Sumarheni Sumarheni, Achmad Himawan, Andi Arjuna, Usmanengsi Usmanengsi, Ryan F. Donnelly Bioadhesive-Thermosensitive In Situ Vaginal Gel of the Gel Flake-Solid Dispersion of Itraconazole for Enhanced Antifungal Activity in the Treatment of Vaginal Candidiasis ACS Applied Materials & Interfaces (2021) doi: 10.1021/acsami.1c03422

Figure 2A: The spectra in this figure appear to consist of component parts of noise, areas are duplicated within and between spectra. If you reverse C, you are able to see that it matches parts of B (and A).
The same paper above partially shares a spectra from an MDPI paper:
Andi Dian Permana, Maelíosa T. C. McCrudden, Ryan F. Donnelly Enhanced Intradermal Delivery of Nanosuspensions of Antifilariasis Drugs Using Dissolving Microneedles: A Proof of Concept Study Pharmaceutics (2019) doi: 10.3390/pharmaceutics11070346

Here’s another example of microneedles overlapping, it’s a diagram that has so many overlaps it is hard to interpret again.
Andi Dian Permana, Alejandro J. Paredes, Fabiana Volpe-Zanutto, Qonita Kurnia Anjani, Emilia Utomo, Ryan F. Donnelly Dissolving microneedle-mediated dermal delivery of itraconazole nanocrystals for improved treatment of cutaneous candidiasis European Journal of Pharmaceutics and Biopharmaceutics (2020) doi: 10.1016/j.ejpb.2020.06.025

The microneedle problems in the following paper are easier to see, as are the issues in the spectra, the peeks appear to be stuck on, and you can clearly see where the line thickness changes.
Andi Dian Permana, Qonita Kurnia Anjani, Sartini, Emilia Utomo, Fabiana Volpe-Zanutto, Alejandro J Paredes, Yayu Mulsiani Evary, Sandra Aulia Mardikasari, Muh Rezky Pratama, Irma Nurfadilah Tuany, Ryan F Donnelly Selective delivery of silver nanoparticles for improved treatment of biofilm skin infection using bacteria-responsive microparticles loaded into dissolving microneedles Materials Science and Engineering C (2021) doi: 10.1016/j.msec.2020.111786


Here’s another example with overlapping microscopy images and manipulated spectra.
Andi Dian Permana, Maria Mir, Emilia Utomo, Ryan F. Donnelly Bacterially sensitive nanoparticle-based dissolving microneedles of doxycycline for enhanced treatment of bacterial biofilm skin infection: A proof of concept study International Journal of Pharmaceutics: X (2020) doi: 10.1016/j.ijpx.2020.100047


Looking again at Figure 1h I can see that NP-2 seems to be derived from the same spectra as NP-5. Hopefully the authors can share the raw data for these as well.
There are a few more minor papers with Ryan and Andi (and Helen), see Permana et al 2019, Paredes et al 2022, and Permana et al 2020. But truthfully it might be excessively long to cover all transgressions. Since Andi went back to Indonesia and became a full professor he has shown that he certainly does not need Ryan to cheat his way to the top 2%. Here, for example, is a paper with all the same types of problems, I strongly suspect that the scanning electron microscopy images of microneedles were never taken in Indonesia.
Anugerah Yaumil Ramadhani Aziz, Ulfah Mahfufah, Nor Atikah Syahirah, Habibie, Rangga Meidianto Asri, Risfah Yulianty, Ria Fajarwati Kastian, Yessie Widya Sari, Lutfi Chabib, Hasyrul Hamzah, Andi Dian Permana Dual delivery systems combining nanocrystals and dissolving microneedles for improved local vaginal delivery of fluconazole Drug Delivery and Translational Research (2023) doi: 10.1007/s13346-023-01483-9


Repetitive noise and partially duplicated spectra remain a continued feature in Andi’s papers. It won’t be worth trying to post everything, see here for example:
Sulistiawati, Kadek Saka Dwipayanti, Muhammad Azhar, Latifah Rahman, Ermina Pakki, Achmad Himawan, Andi Dian Permana Enhanced skin localization of metronidazole using solid lipid microparticles incorporated into polymeric hydrogels for potential improved of rosacea treatment: An ex vivo proof of concept investigation International Journal of Pharmaceutics (2022) doi: 10.1016/j.ijpharm.2022.122327

If you think asking for the raw data will help solve these problems, think again:

Also, very typically, animal lives simply must be thrown into the grinder to fuel the L-Men ascent.
Muh. Bisfain Asaf, Khairiyah, Irfan Kurniawan, Nurafni Annisa Achmad, Rachmatya W. Tuna, Achmad Himawan, Latifah Rahman, Aliyah , Rina Agustina, Juan Dominguez-Robles, Sartini, Andi Dian Permana Amphotericin B nanocrystals integrated with bilayer dissolving microneedles: a new strategy for transmucosal delivery of amphotericin B to improve the effectiveness of oral candidiasis therapy Journal of Pharmaceutical Investigation (2025) doi: 10.1007/s40005-025-00726-w

How did Donnelly’s patented microneedles end up pricking animals in Indonesia?
Putri Wulandari Resky Ananda, Diany Elim, Hilman Syamami Zaman, Wahdaniyah Muslimin, Muhamad Gilang Ramadhan Tunggeng, Andi Dian Permana Combination of transdermal patches and solid microneedles for improved transdermal delivery of primaquine International Journal of Pharmaceutics (2021) doi: 10.1016/j.ijpharm.2021.121204

Did they raze even more Indonesian rain forest for this palm oil nonsense?
Khusnul Humayatul Jannah, Christopher Kosasi Ko, Felicia Virginia Thios, Jihan Nabilah Isma, Anugerah Yaumil Ramadhani Aziz, Andi Dian Permana Development of Pluronic-Based Micelles from Palm Oil Bioactive Compounds Incorporated by a Dissolvable Microarray Patch to Enhance the Efficacy of Atopic Dermatitis Therapy Molecular Pharmaceutics (2025) doi: 10.1021/acs.molpharmaceut.4c00990

Brain delivery???
Andi Dian Permana, Muhammad Alif Sya’ban Mahfud, Miftakul Munir, Arni Aries, Amal Rezka Putra, Ahsanal Fikri, Herlan Setiawan, Isa Mahendra, Asep Rizaludin, Anugerah Yaumil Ramadhani Aziz, Yulia Yusrini Djabir, Aryadi Arsyad, Yahdiana Harahap, Wahyu Dita Saputri, Ria Fajarwati, Noviyan Darmawan A Combinatorial Approach with Microneedle Pretreatment and Thermosensitive Gel Loaded with Rivastigmine Lipid Nanoparticle Formulation Enables Brain Delivery via the Trigeminal Nerve ACS Applied Materials & Interfaces (2024) doi: 10.1021/acsami.4c16024

Of course it’s not just Andi at this, even in 2017 Ryan published this without him (but with Helen). Perhaps Ryan harbours L-Men ambitions of his own?
Eva M. Vicente-Perez, Eneko Larrañeta, Maelíosa T.C. McCrudden, Adrien Kissenpfennig, Shauna Hegarty, Helen O. McCarthy, Ryan F. Donnelly Repeat application of microneedles does not alter skin appearance or barrier function and causes no measurable disturbance of serum biomarkers of infection, inflammation or immunity in mice in vivo European Journal of Pharmaceutics and Biopharmaceutics (2017) doi: 10.1016/j.ejpb.2017.04.029

There really is plenty more to explore on PubPeer for Andi and Ryan, and I suspect a lot more spectra are overlapping between papers, which is a quite tedious task to annotate. My extremist opinion is that any paper where the data have been manipulated with the obvious intent to mislead the reader should simply be retracted. I suspect Louise has a far more nuanced and intelligent perspective so I look forward to seeing how she deals with the fall-out, I have so much to learn. I asked Ryan and Andi if they had any comment for the disaster on PubPeer and neither replied to my email. To finish this section I will simply leave you with Andi’s (translated) “SELF APPRECIATION POST” from just two months ago, starting with “As an academic who places great value on integrity…” – Me too, except I’m not an academic so perhaps I misunderstood “integrity”.

“As an academic who places great value on integrity and collaboration, I always ensure that all publications within our
research group are eligible and contribute to knowledge. This is evident in the fact that 72.4% of our research group’s publications are ranked in the Top 25% by CiteScore”
Vasanth
Anyway, back to the pharmacy page at QUB and I decided to have a look at Vasanth Raj Palanimuthu, who is an “Advisor of Studies” at the School of Pharmacy. It seems that Vasanth had a spell as lecturer at QUB some while ago, left, and recently returned. So what is so brilliant about Vasanth’s research that made QUB recruit him not once, but twice?
Yes, it’s publishing the same data over and over again and labelling it as showing whatever is the fashion of the time, here’s an impressive three papers where the gels should show different samples. I suspect more are involved, I got bored looking.
- Hitesh Vitthalbhai Jagani, Venkata Rao Josyula, Vasanth Raj Palanimuthu, Raghu Chandrashekar Hariharapura, Sagar Shantimal Gang Improvement of therapeutic efficacy of PLGA nanoformulation of siRNA targeting anti-apoptotic Bcl-2 through chitosan coating European Journal of Pharmaceutical Sciences (2013) doi: 10.1016/j.ejps.2012.12.017
- P. Vasanth Raj, K. Nitesh, S. Sagar Gang, V. Hitesh Jagani, H. Raghu Chandrashekhar, J. Venkata Rao, C. Mallikarjuna Rao, N. Udupa Protective Role of Catechin on d-Galactosamine Induced Hepatotoxicity Through a p53 Dependent Pathway Indian journal of clinical biochemistry : IJCB (2010) doi: 10.1007/s12291-010-0073-3
- Spandana Koganti, Hitesh V. Jagani, Vasanth Raj Palanimuthu, Jesil A. Mathew, Mallikarjuna C. Rao, J. Venkata Rao In vitro and in vivo evaluation of the efficacy of nanoformulation of siRNA as an adjuvant to improve the anticancer potential of cisplatin Experimental and Molecular Pathology (2013) doi: 10.1016/j.yexmp.2012.10.007

As Viola sheltonii pointed out, in the last paper listed above it’s not only the PCR gels that are duplicated, immunofluorescence images are too:

There are also duplicated western blots, see here for example:
Hitesh Jagani, Josyula Venkata Rao, Vasanth Raj Palanimuthu, Raghu Chandrashekar Hariharapura, Sagar Gang A nanoformulation of siRNA and its role in cancer therapy: in vitro and in vivo evaluation Cellular & Molecular Biology Letters (2013) doi: 10.2478/s11658-012-0043-2

Figure 5: Same actin controls presented for different cell types.
And a classic, duplicate scratch assay panels:
Vyshnavi Tallapaneni, Lavanya Mude, Divya Pamu, Vasanth Raj Palanimuthu, Sai Varshini Magham, Veera Venkata Satyanarayana Reddy Karri, Madhukiran Parvathaneni Growth Factor Loaded Thermo-Responsive Injectable Hydrogel for Enhancing Diabetic Wound Healing Gels (2022) doi: 10.3390/gels9010027

Figure 12: Unexpected duplicated images.
One of the authors responded on PubPeer:
“I saw ur mail and found out it’s duplicated which was unintentional, maybe I didn’t notice when the outsourcing people sent it!! or it is duplicated while uploading
Veera Venkata Satyanarayana Reddy Karri
Will that be okay if we send new figure ?“
I did not dignify this with a response.
Also, duplicated flow cytometry plots. Plots A, B, C, D, and F all show the same data. There is no E because knowing the alphabet is not a requirement for QUB researchers.
Venugopal Vijayan, Krishnan Shalini, V. Yugesvaran, Teh Hui Yee, Siventhiran Balakrishnan, Vasanth Raj Palanimuthu Effect of Paclitaxel-Loaded PLGA Nanoparticles on MDA-MB Type Cell Lines: Apoptosis and Cytotoxicity Studies Current Pharmaceutical Design (2018) doi: 10.2174/1381612824666180903110301

In this PLOS ONE paper the authors flat-out stole data from a paper published eight years previously, no common authors. Vasanth actually used his QUB affiliation here.
Vijayan Venugopal, Shalini Krishnan, Vasanth Raj Palanimuthu, Subin Sankarankutty, Jayaraja Kumar Kalaimani, Sundram Karupiah, Ng Siew Kit, Tang Thean Hock Anti-EGFR anchored paclitaxel loaded PLGA nanoparticles for the treatment of triple negative breast cancer. In-vitro and in-vivo anticancer activities PLOS One (2018) doi: 10.1371/journal.pone.0206109

The other paper is here: 10.1371/journal.pone.0009364
I feel genuinely sad for the students who have to study with this cast of clueless fools as lecturers and professors. I can’t even begin to imagine the psychological damage of joining a lab as a new postgrad student and having people like Ryan F. Donelly as your supervisor and Andi as the postdoc, it must be heartbreaking. Or imagine paying the extortionate overseas fees as an undergraduate and receiving a zoom lecture from Vasanth Raj Palanimuthu, a painful vision of some people’s real experience.
I have a list of around fifty papers that I’ll send across to Louise. Last time it took her two years to reach the wrong conclusion on obvious fraudulent data in two papers with a QUB Pharmacy School last author, Thakur Raghu Raj Singh.
Here’s an idea! Maybe Louise can ask Andrew George for help on this case, because he isn’t too busy these days, and I know he still has a consultancy.
I asked by email for a comment from QUB academics who have a curious aversion to discussing their work by email or on PubPeer, Wendy Mcloon (Director of Research) replied:
“I have been made aware of your request to a number of academics below. QUB Research Governance is actively progressing this matter and undertaking a thorough examination of those publications where QUB is the lead or corresponding author. Once this exercise is complete, where concerns have been highlighted in other manuscripts involving QUB staff, they will work to ensure the science reported is accurate. Journals will be contacted directly, where required.”
Good luck Wendy!
I would like to thank Fabian Wittmers (Archasia belfragei) for helping to analyse the spectra and images. Also – anonymous contributors to PubPeer, Nordenstamia kingii, Viguiera rosei, Viola sheltonii – sorry if I missed any. It is always very exciting to see new accounts who make excellent contributions. As always ImageTwin.ai is a great help for me.



Plots A, B, C, D, and F all show the same data. There is no E because knowing the alphabet is not a requirement for QUB researchers.
I’m laughing to tears!
LikeLiked by 1 person
Sholto, once again you’ve written a piece that leaves me struggling to come up with even a snarky remark. I just read the absurdities and shake my head in silence.
Anyway, well done! It’s very rare that I don’t know what to say.
LikeLiked by 1 person
There is a cruel irony in the dedication of the thesis. She probably began with the motivation to honor a life but thanks to the system it landed here…or maybe in the long run this is how it will honor a life.
Too many hemato-oncology giants are doing giant research that is cutting (corners at the) edge.
LikeLike
Hmm… it is sad. It feels cruel to pick on the students, but those same problems are in the thesis. They are adults too. Everyone involved should take some responsibility.
LikeLike
All big and mighty science fraudsters of today were little PhD students once. Except those who don’t even have a PhD, of which there are many in biomedicine.
LikeLiked by 2 people
Yes, a predominantly negative selection, mostly the dross and the students that have no choice remain with this cast to become the next cast and close the loop. We’re still far from getting out of it, unfortunately.
LikeLiked by 1 person
There is an overlapping author listed on numerous papers containing questionable data, while the thesis author herself appears on only two of them (yes, as first author). Based on the dedication, she lost her father to a form of myeloid malignancy – the very condition investigated in her thesis. If such data entered her work without her realizing – because research often relies on a certain level of trust in others’ contributions, or because of systemic pressures or limited supervision that left her helpless, it is a cruel irony. If it stemmed from indifference, it is a crueler irony. Now that it landed here and shined light on existing problems in hemato-oncology research, it will hopefully make a positive impact on lives of future patients with the same diagnosis as her dad, whom she lost – though I’m sure this was not how she initially hoped to make an impact with her research. That’s all.
LikeLike
Wow, behold the self-appointed “science police,” the great “Sholto David”, working tirelessly day and night, apparently with ambitions grander than Elon Musk’s, not to innovate or create, but to nitpick, misrepresent, and publicly grandstand. One would think the goal is not scientific integrity, but personal relevance.
The irony is almost poetic: the very “mistakes” being paraded as unforgivable sins are the same ones made by nearly every scientist on the planet, including those from the world’s most elite institutions, errors that are widely understood as part of the scientific process. Yet here they are, treated as evidence of fraud rather than fallibility.
This logic is about as sound as demanding Bill Gates shut down Microsoft because a handful of Windows users encountered bugs, then accusing him of theft for it. It’s not rigorous thinking, it’s theatrical outrage dressed up as moral superiority.
In the end, what’s most impressive isn’t the criticism itself, but the confidence with which shallow arguments are delivered, as if volume and persistence could substitute for substance. It’s less a contribution to science, and more a performance, loud, repetitive, and ultimately forgettable.
Conflict of interest: I have no conflict of interest with any of the researchers mentioned above. I simply happened to read a post by the self-appointed science police, the great one and only Sholto David, who is tirelessly working to become a billionaire. He is already a millionaire, having obtained 2.63 million from the Dana-Farber Cancer Institute by damaging its reputation.
LikeLike
Oh look! Well if I’m the self-appointed science police, here we have the self-appointed science police ombudsman! Very good.
You’re right, I do love to nitpick and publicly grandstand, but what exactly did I misrepresent?
Did you read the blog? Do you think every scientist individually copies and pastes sections of spectra, stretches and rotates those sections to make new spectra and then labels them as showing a different sample? That’s a routine activity? OK very good, sir, you must be a real expert.
“It’s not rigorous thinking, it’s theatrical outrage dressed up as moral superiority.” – Delightful, our wordsmith employed the help of a large language model. Please try to write for yourself next time, writing is thinking in the end, and you need to improve at both.
I didn’t get that money by damaging the reputation of Dana-Farber, it was awarded for helping the NIH to recover grant funds. In fact Dana-Farber damaged their own reputation by failing to prevent the fraudulent activities of their own researchers. They can afford very expensive lawyers, they caved because the facts were on our side.
LikeLike
Blatnoi, PhD here. Have a profession aligned with my PhD, just got tenure, and reading this blog more regularly after a 10 year on and off hiatus. Before I stop reading for another few years, let’s clear up some things. Got tenure and have a respectable livelihood now doing research at some university.
After carefully considering the circumstances and the accusations, I do have to fault Sholto David for perhaps being self-appointed and not telling us that he was doing this sooner and giving us his CV. However, we did not have the PRP written up when he started, so it’s partly our fault. We have decided that he is worth of the permit to operate and and he is allowed to do so further. Please cease any further unfounded criticism, as I, and my PhD friends, recognize him as science police now. We will be soon sending him a badge by mail.
From now on, please refer to this person as S.O. David (badge number 100235) when engaging with him on the topic of research misconduct.
LikeLike
Mike, Dana Farber agreed to the terms and also reported themselves to the NIH. I didn’t dig up dirt, I pointed out the problems that everyone agreed about. They also initiated the retraction of a series of studies. You seem very confused about the whole process, and frankly, jealous. As for my job, I work as a scientist in biotech, I value that job a lot, you won’t find it on LinkedIn because of lunatics like you. But yes I work in a field aligned with my PhD, get paid a decent wage and enjoy it very much. And in the evenings and at weekends I take an interest in mistakes, errors, and fraud. Perhaps it is you who is dissatisfied with your station in life? Humble suggestion that well-adjusted people don’t start ranting with ChatGPT on blogs they have never read, major red flag that you keep bringing up the money, it is a lot in one go, but I was already financially comfortable from my work…
LikeLike
I banned “Mike Ross” and deleted all of his comments except the first one, he needs to get out more and get a life.
Instead this sad character keeps posting insults which get automatically deleted without anyone reading them.
Oh, and “Mike Ross” is in India, Karnataka area. Dude so sad he dreams of being white…
LikeLike
So Mike, what exactly is your problem here?
Are you mad that Sholto got paid for his work? Or are you mad that he’s a sleuth?
Sholto’s article is just like other FBS posts. If you think there’s a scientific problem in it, point it out. Otherwise, going after the author instead of the content just makes it look like you’ve got a conflict of interest.
I think sleuths are important people — they’re basically the watchdogs of science. If there were more of them, science wouldn’t be in such a mess right now.
And about the money he made? Good for him. If I were rich, I’d gladly donate part of my income to support sleuths like him.
LikeLike
Looks like you’re one of those clueless people who, instead of actually getting into scientific criticism, just throws out slogans and gets jealous of Sholto’s achievements and prize!!!!
I mean, are you really so dense that you think every strong CV out there was built on cheating???!!!
I’m not even claiming that everything Sholto wrote is definitely fraud — it could very well be honest mistakes. It’s the authors’ job to defend their work.
But the fact that you’re just attacking in a broad, non-specific way without any real critique makes it look a certain way…
So if that’s really how you think, you’re basically anti-science, and I’d suggest either getting some serious therapy for that mindset or just stepping out of the science field altogether.
LikeLike
Hahaha… that actually made me laugh, nice one.
But listen, you clueless little guy — you don’t even know me. I’m not a sleuth and I’m not part of that crowd.
I’m actually a researcher myself, and I’ve even been featured on FBS before. I criticized them and defended myself.
I call them out when it’s needed, and I defend when it’s fair.
You, though, instead of wandering around picking pointless fights, should go do your own science and stop getting so worked up — at this rate, they’ll have to up the dose of your meds!
LikeLike
Okay, Mr. “Successful with a strong CV” whose amazing profile is apparently supposed to make me jealous!
Tell me, why didn’t you defend anyone in the earlier blog posts, and now all of a sudden you show up here to defend these people?
Are you sure you don’t have a conflict of interest???
And how come on the blog post that actually criticized me — where, unlike you, I had the guts to show up under my real name and defend myself — you didn’t say a single word?
LikeLike
One of the above mentioned papers has been retracted: https://portlandpress.com/bioscirep/article/46/2/BSR20120120_RET/237160/Retraction-The-contribution-of-N2O3-to-the
LikeLike
Retraction for Andi and others. An L for the L man. https://pubmed.ncbi.nlm.nih.gov/41905837/ Interestingly they did new experiments and found the results from the original paper could not be replicated.
LikeLike