Schneider Shorts of 17 January 2025 – Ex-rector acquitted in Germany, YouTube couple guilty of fraud in Sweden, papermiller kicked out in Poland, with a whodunit retraction, retractions for papermillers and russian scamferencers, and finally, testing the limits of permissible in scholarly publishing.
Table of Discontent
Science Elites
- The source of these allegations has a dubious reputation – Simone Fulda officially an innocent victim of Ukrainian criminal
- Films he has on his YouTube channel – Hari and Aruna Sharma guilty of research fraud
- We do not want to participate in procedures of this type – Gdansk Polytechnic divests of one papermiller
Scholarly Publishing
- We find the authors’ explanation reasonable – Ronald DePinho avoids retraction at Cell Press
- Both baseless and scientifically unethical – Deepak Kalaskar and colleagues borrowed figures from Institut Pasteur director
Retraction Watchdogging
- Different versions of what should be the correct data – Eliezer Masliah, Bob Rissman and Omar El-Agnaf lose a paper
- Dust on the screen or flash of the device – Gordon Ferns and Elisa Giovannetti explore Persian delights
- Not physically possible – 7 retractions in one journal for Kh S Shabaan
- A risk for our journal and scholarly science in general – a thousand russian scamference papers retracted
- Several nonstandard phrases – Scientific Reports struggles with papermillers
Science Elites
The source of these allegations has a dubious reputation
The German bigwig oncologist Simone Fulda, who in February 2024 was made to resign as President of the University of Kiel over my reporting of her massive PubPeer record, has been declared officially innocent by one of her former employers, the University of Frankfurt (where Fulda used to be Vice-Rector for Research).
Fulda & Debatin: Reproducibility of Results in Medical and Biomedical Research
“Basic and advanced training for researchers should focus much more on self-reflection, openness and a culture of error acceptance.”
Fulda avoided retractions so far, by issuing inappropriate corrections like those I described in May 2024 Shorts and in September 2024 Shorts. There were also some Expressions of Concern (see July 2024 Shorts), the most recent was issued by Oncogene in December 2024 for Kilic et al 2007, because “the authors have been unable to conclusively address” the issue of gel duplications, and: “S Fulda and K-M Debatin do not agree to this Editorial Expression of Concern“.
Now, here is the press release by the University of Frankfurt from 10 January 2025, titled “Allegations of data manipulation unfounded”:
“At the turn of the year 2023/24, a science journalist made serious allegations of alleged scientific misconduct against Simone Fulda and brought these to the Goethe University Frankfurt. The university management immediately investigated these allegations and asked the commission for dealing with scientific misconduct in accordance with the “Statute of the Johann Wolfgang Goethe University Frankfurt am Main to ensure good scientific practice” to examine them. […]
Following this extensive review, the Commission has now closed the proceedings on grounds of insignificance, in accordance with its statutes. The Commission found no evidence of data manipulation alleged by a third party in the sense of a intentional and premeditated approach. In cases where the ten-year retention period required by the DFG’s statutes and guidelines had not yet expired, on the contrary, the raw data could be used to prove that the experiments themselves were carried out according to the rules of scientific practice and the results were not falsified.
In individual cases there has been an unintentional confusion between representative example images and similar omissions. However, these did not lead to any changes to the content of the illustrations or the publication as a whole. They were also immediately corrected by the scientist through correction reports in the relevant scientific journals.
As a result, the commission did not find any relevant scientific misconduct by Fulda and, taking into account the fact that Fulda contributed to the clarification and correction of the matter through her comprehensive cooperation, the proceedings were discontinued due to insignificance in accordance with the statutes.”
Most investigated cases were so insignificant that Fulda wasn’t even asked by University of Frankfurt to correct them:
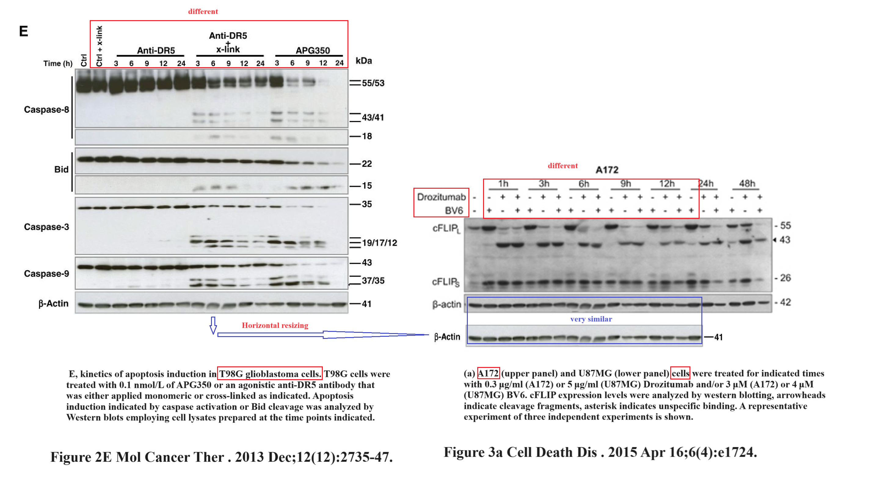
S Cristofanon , B A Abhari , M Krueger , A Tchoghandjian , S Momma , C Calaminus , D Vucic , B J Pichler , S Fulda Identification of RIP1 as a critical mediator of Smac mimetic-mediated sensitization of glioblastoma cells for Drozitumab-induced apoptosis Cell Death & Disease (2015) doi: 10.1038/cddis.2014.592

Also here, even corrections totally out of the question:
C Jennewein , S Karl , B Baumann , O Micheau , K-M Debatin , S Fulda Identification of a novel pro-apoptotic role of NF-κB in the regulation of TRAIL- and CD95-mediated apoptosis of glioblastoma cells Oncogene (2012) doi: 10.1038/onc.2011.333

Ditto here, the identical illustrations do not affect the conclusions, hence no correction:
Dominic Stadel , Andrea Mohr , Caroline Ref , Marion MacFarlane , Shaoxia Zhou , Robin Humphreys , Max Bachem , Gerry Cohen , Peter Möller , Ralf M Zwacka , Klaus-Michael Debatin , Simone Fulda TRAIL-induced apoptosis is preferentially mediated via TRAIL receptor 1 in pancreatic carcinoma cells and profoundly enhanced by XIAP inhibitors Clinical cancer research (2010) doi: 10.1158/1078-0432.ccr-10-0985

Actually, I predicated that outcome already in February 2024. Back then, I withdrew my notification to the University of Frankfurt against Fulda’s publications after they triumphantly informed me to have found absolutely nothing wrong with the papers of another senior professor, Florian Greten, who was trained in USA by Count Fakula Michael Karin. Read here:
Simone Fulda: Open4Work!
“I am taking this step with a heavy heart and a sense of responsibility for the university since a sufficient foundation of mutual trust no longer remained with some parts of the university to ensure successful cooperation”, – Simone Fulda
There wasn’t much to investigate in Frankfurt, most of Fulda’s problematic papers were done in Ulm, together with her mentor there Klaus-Michaal Debatin. The investigation by the University of Ulm and the German Research Council (DFG) is still ongoing. Rest assured that Fulda and Debatin deployed the most expensive lawyers, hoping to make these institutions to cooperate as the University of Frankfurt did. They might even succeed. But let me show what I just reported to University of Frankfurt for further whitewashing. Found just recently by Sholto David:
C. Haag , D. Stadel , S. Zhou , M. G. Bachem , P. Moller , K.-M. Debatin , S. Fulda Identification of c-FLIPL and c-FLIPS as critical regulators of death receptor-induced apoptosis in pancreatic cancer cells Gut (2011) doi: 10.1136/gut.2009.202325

More for Frankfurt to declare as exemplary quality science:
Ellen Preuss , Manuela Hugle , Romy Reimann , Marcel Schlecht , Simone Fulda Pan-Mammalian Target of Rapamycin (mTOR) Inhibitor AZD8055 Primes Rhabdomyosarcoma Cells for ABT-737-induced Apoptosis by Down-regulating Mcl-1 Protein Journal of Biological Chemistry (2013) doi: 10.1074/jbc.m113.495986

Sholto David: “Figure 5a: […] Mcl-1 images appear to be different exposures of the same blot.”

And this, for some reason the S6 protein data is often manipulated in mTOR-related studies:
Lisa Nonnenmacher , Mike‐Andrew Westhoff , Simone Fulda , Georg Karpel‐Massler , Marc‐Eric Halatsch , Jens Engelke , Thomas Simmet , Selim Corbacioglu , Klaus‐Michael Debatin RIST: A potent new combination therapy for glioblastoma International Journal of Cancer (2015) doi: 10.1002/ijc.29138


The Frankfurt press release was swiftly picked up by the German national media. One of them, the Spiegel magazine, delivered a bizarre hit piece on my reporting, it looks as if it was commissioned by Fulda’s lawyers. Its authors are Spiegel journalists Silke Fokken and Armin Himmelrath, the latter is a national celebrity and author of books like “Fake news. A handbook for schools” and “The Fall: Fraud and Forgery in German Science“.
Himmelrath’s own Sündefall from 10 January 2024 accuses the local news sources NDR and Kieler Nachrichten (whose reporting caused Fulda’s resignation as President in Kiel) to have fallen prey to fake news by a Ukrainian criminal:
“The source of these allegations has a dubious reputation. […] in its report about Fulda, the “Kieler Nachrichten” did not refer to “PubPeer”, but rather to a controversial source: an article in the science blog “For Better Science”. The Ukrainian molecular biologist Leonid Schneider made smug comments about Fulda and her former colleague Klaus Debatin, posting a photo of the two of them and retouching clown noses on their faces – this is definitely not at the level of scientific discourse.
Schneider more or less subtly implied that the doctors had benefited from a questionable network of relationships with other researchers, for example at the DFG, in their professional careers. Schneider describes a scientific text that the two of them were involved in as “boring.” And accuses Fulda of scientific misconduct in earlier work, even before 2010, in the area of cancer research. According to a media report, Schneider has already been convicted of defamation several times.”
Well, Spiegel knows exactly who got me sentenced ín court and for what. It was Paolo Macchiarini‘s German acolyte Philip Jungebluth, whose career in degenerative medicine Spiegel did its best to support, celebrating Jungebluth in an April 2015 article as a genius doctor who saved the lives of babies. Back then, Jungebluth was already sacked by Karolinska Institutet in Sweden for several kinds of misconduct, but his German supporters tried (in vain) to continue his thoracic surgery training at the University of Heidelberg, hence the Spiegel coverage. Read here:
Karolinska gets taught German medical ethics
In the aftermath of the scandal around Paolo Macchiarini, which left many patients dead, his former employer Karolinska Institutet requested a retraction a paper. The Swiss-German medical publisher Karger and its journal Respiration however categorically refused and ordered KI not “to patronize the readers of the journal ‘Respiration’.” The German Editor-in-Chief had namely a huge…
All of Spiegel‘s reporting regarding Macchiarini is celebratory, the last one is from 2013, about that disastrous trachea transplant paper by Macchiarini and Jungebluth in Lancet which was retracted for fraud in October 2023. Yet even today Spiegel still falsely insists in a 2018 update: “The research work presented in this article is not one of the withdrawn studies.” Who is the dubious source here, dear elite journalists?
Did Spiegel and Himmelrath mean to present Fulda as innocent and as great a scientist as Jungebluth, whose career now consists of retractions and fraud findings? Seems so! Anyway, Spiegel also quoted Debatin with:
»Our joint publications have been quoted and reproduced hundreds of times over the last 25 years. Nobody found any errors. If someone brings things out now after all these years, I can’t reconcile that with a genuine interest in scientific truth.”
A foreign conspiracy indeed! But I wouldn’t call this scientific truth though:
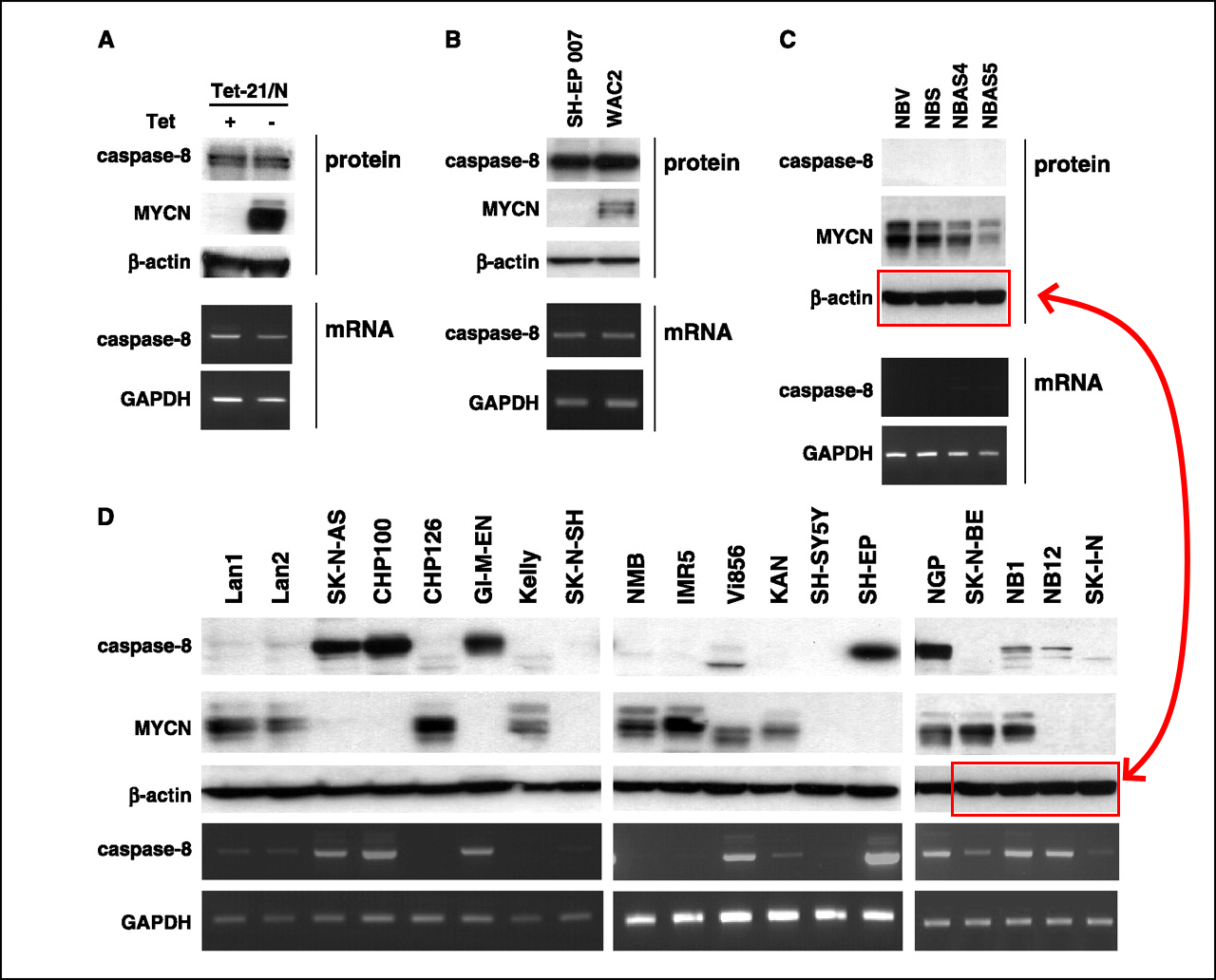
Simone Fulda, Christopher Poremba , Bernd Berwanger , Sabine Häcker , Martin Eilers, Holger Christiansen , Barbara Hero, Klaus-Michael Debatin Loss of Caspase-8 Expression Does Not Correlate with MYCN Amplification, Aggressive Disease, or Prognosis in Neuroblastoma Cancer Research (2006) doi: 10.1158/0008-5472.can-05-4079

Films he has on his YouTube channel
In Sweden, the National Board for Assessment of Research Misconduct (NPOF) made its decision regarding the case of Hari Shanker Sharma and Aruna Sharma at University of Uppsala. Their ridiculous fraud was uncovered by Mu Yang and led to retraction of entire books by now:
In bed with Hari and Aruna
Hari Shanker & Aruna, a YouTube influencer couple in Sweden. With or without Rudolph the Red-Faced Liar. And with Anca and Dafin, two totally innocent and upright Romanians. Pushing pig brain juice an SS Nazi invented. You won’t find a better story for Christmas!
The NPOF investigation covered 56 book chapters and publications and affected only authors with Swedish affiliation. the evidence collected by Mu Yang was on image duplication, image falsification, and unnaturally repetitive numbers in tables indicative of fabrication.
From the report dated 29 November 2024, which I was received from NPOF on 10 January 2025:
“The Research Misconduct Review Committee (hereinafter referred to as the Committee) decides that Preeti Merton, Adriana Miciescu, Fred Nyberg, Aruna Sharma, Hari Sharma and Lars Wiklund guilty of misconduct research.”
Nyberg is professor in Uppsala University, Miciescu is associate professor, Wiklund is emeritus. It was a proper investigation, something not likely to ever happen in Germany, where the Sharmas in fact originally started their careers.
“In addition to the reported suspicions, the committee has added a number of suspected deviations which were identified when the committee read the suspicious publications.”
One representative example of what was investigated, this book chapter was already “REMOVED” by Elsevier “due to substantiated image manipulation” and after “an internal investigation discovered several examples of reused images from different publications“:
Aruna Sharma , Dafin F. Muresanu , Asya Ozkizilcik , Z. Ryan Tian , José Vicente Lafuente , Igor Manzhulo , Herbert Mössler , Hari Shanker Sharma Sleep deprivation exacerbates concussive head injury induced brain pathology: Neuroprotective effects of nanowired delivery of cerebrolysin with α-melanocyte-stimulating hormone Progress in Brain Research (2019) doi: 10.1016/bs.pbr.2019.03.002



The accused were of course interviewed. Associate Professor Hari Sharma denied everything, blamed the duplications on errors in the AI used to find them (i.e., Mu Yang’s brain). he also stated that he alone was “responsible for all figures and tables, and that no others co-authors were involved“. And:
“Hari Sharma has responded that there is no raw data and that the research material that was previously at Uppsala University has been discarded by Uppsala University. However, he has saved the tables from which the diagrams were created.”
Most of his papers on PubPeer are just a few years old, sometimes as fresh as 2023. Yes, this is the defence of an idiot.
Wait, it gets better. Their coauthor, mentor and the guy who installed the Sharmas in Uppsala said this:
“According to Lars Wiklund, Hari Sharma has not had access to a laboratory at Uppsala University since around the time Lars Wiklund retired in 2010. […] Lars Wiklund describes how all research material was thrown away by Uppsala University when he retired, before he had time to take care of the material himself. This is why, among other things, the tissue samples that were analyzed are no longer available.”
So what happened was this: after Wiklund retired and Hari Sharma lost access to a lab to do any experiments, he just established a private papermill using the material he found in Wiklund’s picture archives. That material being limited, image reuse was unavoidable.
“To prove that he did research in different places, in the world, Hari Sharma refers to a number of films he has on his YouTube channel.”
Yes. Here is proof:
The NPOF committee invited four experts, due to the large amount of evidence, each expert was assigned 12 publications. These experts were:
- Martin Hallbeck, professor of pathology at Linköping University, who decided that all allegations of duplications were correct and that such “falsification, fabrication and plagiarism in all cases constitute serious deviations from good research practice.“
- Johan Holmberg, professor of molecular tumour biology at Umea University also found that “all suspicions of plagiarism of images assigned to him are correct” but “since there is no raw data, he believes that he cannot make an assessment of the suspicions of falsification and/or fabrication“
- Cecilia Lundberg, professor of neurobiology at Lund University, decided that “all suspicions regarding image overlap and incorrectly specified size markers assigned to her constitute forgery“, yet she also “cannot make an assessment of the suspicions of falsification and/or fabrication of data shown in the diagram […] because there is no raw data.“
- Niklas Marklund, professor of neurosurgery at Lund University, presented “a balanced assessment that there is very strong evidence of very serious forgery/fabrication and systematic and deliberate research misconduct the material he has had access to“.
The final findings were:
“Hari Sharma has acted intentionally in relation to each of the 122 forgeries in publications 1—22, 24—35 and 37—48 and is thus liable for research misconduct. […]
Aruna Sharma has acted with intent in respect of each of the 119 falsifications in publications 1—22, 24, 26—35, 37—40, and 43—48 and is thus liable for research misconduct. […]
The committee finds that Lars Wiklund did not act grossly negligently in the review of each of publications 3, 4, 8, 14, 16, 20 and 21. However, he acted grossly negligently in the review of each of publications 1, 2, 5—7, 9—13, 15, 17—19, 22 and 45, for which he is liable for research misconduct.”
The full report (in Swedish) is available here:
In between, Mu Yang continued her investigation of Sharma’s miracle drug cerebrolysin (aka Nazi Pig Brain Juice) and found out that also the fallen NIH bigwig Eliezer Masliah used to push it, together with Sharma’s Austrian coauthor and cerebrolysin company CEO Herbert Mössler. Read here:
Cerebrolysin: Sharmas, Masliah, and EVER Pharma
“Poking around PubMed (Dysdera the spider is always on the hunt for new hornet’s nests) [..], I came across one image in two papers by Eliezer Masliah. […] By a conservative count, I contributed to about 160 out of 300 slides in the final dossier” – Mu Yang
We do not want to participate in procedures of this type
The papermill fraudster Muhammad Bilal has been kicked out by his Polish employer, the Gdansk University of Technology. Read the backstory below and in previous January 2024 Shorts:
Nobelium Bilalski, a Gdansk papermiller
“To date, he has authored over 700 peer-reviewed articles, 150 book chapters, 25 edited books, and 10 editorial-type scientific articles in various areas of Science and Engineering. Dr. Bilal has a h-index of 94 with 34 000 citations (Google Scholar).”
Bilal’s departure from Gdansk was reported by Forum Academickie on 10 January 2025, citing Adam Lecibil, the spokesman of Gdansk Polytechnic. He claimed that his university cracked down on papermillers long before I started asking questions in December 2024 (highlight mine):
“We established a commission, drew conclusions and introduced a number of new verification mechanisms […]
The matter is being investigated, currently the doctor is not bound by any contract with us. I would like to emphasize once again that if publications are found to be based on fabricated data, we will take very strict remedial measures. Our primary goal is to achieve scientific position through transparent and fair principles. Unethical publishing practices, including the use of the so-called paper mills are becoming more and more common and have a global reach. We do not want to participate in procedures of this type”

So why is Bilal still celebrated as Gdansk Polytechnic’s Nobelium Fellow? Next to other papermillers like that disastrous Mohammad Reza Saeb, an associate of the worst papermill fraudsters out there? Like Seeram Ramakrishna, on a paper where data was reused from a much earlier publication with an entirely different authors:
Ghasem Sargazi , Daryoush Afzali , Ali Mostafavi , Alireza Shadman , Babak Rezaee , Payam Zarrintaj , Mohammad Reza Saeb, Seeram Ramakrishna , Masoud Mozafari Chitosan/polyvinyl alcohol nanofibrous membranes: towards green super-adsorbents for toxic gases Heliyon (2019) doi: 10.1016/j.heliyon.2019.e01527
Again Gdansk superstar Saeb and his friend Masoud Mozafari:
Peiman Brouki Milan , Sara Khamseh , Payam Zarrintaj , Bahram Ramezanzadeh , Michael Badawi , Sophie Morisset , Henri Vahabi , Mohammad Reza Saeb , Masoud Mozafari Copper-enriched diamond-like carbon coatings promote regeneration at the bone–implant interface Heliyon (2020) doi: 10.1016/j.heliyon.2020.e03798

Sholto David: “Figure 15: There are overlapping areas between images which should show different experimental conditions, worth noting that the same images later appeared elsewhere.”
Some hand-drawn spectra, maybe?
Mohammad Chahkandi, Mahboobeh Zargazi , Khadijeh Boland Ghiasabadi , Jin Suk Chung, Mohsen Khodadadi Yazdi , Mohammad Reza Saeb , Mehdi Baghayeri Graphitic carbon nitride nanosheets decorated with HAp@Bi2S3 core–shell nanorods: Dual S-scheme 1D/2D heterojunction for environmental and hydrogen production solutions Chemical Engineering Journal (2024) doi: 10.1016/j.cej.2024.155886


Detail Fig 4a, hand-drawn, copy-pasted, hand erased and hand-edited.
Do you think Gdansk Polytechnic will ever let Saeb go? Or do I have to write an extra article about that rotten papermiller?
Vahid Vatanpour, Yaghoub Mansourpanah , Seyed Soroush Mousavi Khadem , Sirus Zinadini , Nadir Dizge , Mohammad Reza Ganjali, Somayeh Mirsadeghi , Morteza Rezapour , Mohammad Reza Saeb , Hassan Karimi-Male Nanostructured polyethersulfone nanocomposite membranes for dual protein and dye separation: Lower antifouling with lanthanum (III) vanadate nanosheets as a novel nanofiller Polymer Testing (2021) doi: 10.1016/j.polymertesting.2020.107040




Saeb is surely paid much more than Bilal, being a “PLATINUM Establishing Top-Class Research Team”. In this regard, the Gdansk Polytechnic spokesman corrected my reporting about Bilal’s salary:
“The amount of earnings of PLN 400,000 per year is four times overestimated. The doctor was associated with the program he implemented for 1.5 years, and not for the indicated period of 3 years.”
Really? Slightly over €23k annual salary? Bilal was employed as professor, and even PhD students of the Nobelium program are paid PLN 150k (€35k) per year. Here, proof:

Also, no professor gets a contract of one and half years, other Nobeliums are employed for 2 years at least. Obviously the Gdansk Polytechnic just can’t stop lying.
On Forum Akademickie, one commenter mentioned what Bilal’s host Grzegorz Boczkaj had from all that travesty:
“It is worth mentioning that there is a bonus for each article – if you are the only author from the Gdańsk University of Technology, you can receive about PLN 8k for one article. It’s easy to calculate how Boczkaj has 40 such articles in one year.”
Speakign of financial rewards, here some news from the Poland, published by Portal for Education on 15 January 2025 and citing the reporting by the newspaper DGP (translated):
“As DGP learns, the National Science Center is conducting proceedings in the case of scientists from the Gdańsk, Poznań and Opole Universities of Technology. The agency suspects that researchers from these universities may have participated in the so-called papermills, i.e. informal organizations whose aim is to gain points for published scientific articles on a commercial basis. In this way, researchers build careers and obtain more money for universities, increasing their position in ministerial rankings,” emphasizes “DGP”. […] In the case of the Poznań University of Technology, the refund may include a grant from the National Science Center worth PLN 778,000, and in the case of the Gdańsk University of Technology – nearly PLN 2 million. As for the Opole University of Technology, the NCN does not discloses the amounts,” the newspaper notes.”
Polish science eaten by Papermill Krolczyk
“Prof. Grzegorz Królczyk, Vice-Rector for Science and Development of the Opole University of Technology, was elected President of the Council for Innovation in Higher Education and Science.”
Scholarly Publishing
We find the authors’ explanation reasonable
All scientists are created equal, but some scientists are more equal than others. Sometimes the fakest stuff cannot be retracted when its lead author is someone like Ronald DePinho, former president of MD Anderson Cancer Center, multimillionaire and the most influential cancer researcher in USA whose word is valued by Trump.
Sharpless Ned, or how half a mouse died
“The President’s goal of ending cancer as we know it today is grounded, in part, in the work of scientific discovery that Ned Sharpless has led at NCI”
So this was now fixed with an Expression of Concern, the first author Robert Bachoo is now associate professor at UT Southwestern Medical Center, another coauthor and another DePinho mentee is Ned Sharpless, who used to be director of NIH’s National Cancer Institute (NCI) and then director of FDA in the first Trump administration. When that paper was published, DePinho was still at Dana Farber Cancer Institute in Harvard.
Robert M Bachoo , Elizabeth A Maher , Keith L Ligon, Norman E Sharpless , Suzanne S Chan , Mingjian James You, Yi Tang , Jessica DeFrances , Elizabeth Stover , Ralph Weissleder, David H Rowitch, David N Louis, Ronald A DePinho Epidermal growth factor receptor and Ink4a/Arf Cancer Cell (2002) doi: 10.1016/s1535-6108(02)00046-6

On 9 December 2024, Cell Press published this Expression of Concern (highlight mine):
“In December 2023, we, the editors of Cancer Cell, were made aware of multiple instances of image duplications in cell morphology panels within Figures 1A, 3A, 4A, 4B, 4C, and 4D. We subsequently queried the corresponding author, Dr. Ronald DePinho, who has moved to a different institution since the publication. He and his co-authors were unable to locate the original raw images in question, as they date back over two decades. However, they retrieved photocopies of laboratory notebooks from September 1999 to December 2000, which document the experiments related to these duplicated images. Our review of these records confirms that descriptions of these experiments were documented contemporaneously and are consistent with the reported findings.
The authors believe that the duplications resulted from errors in image assignment during the figure presentation process, given that the images of cell cultures were captured using a hand-held camera through a microscope lens at that time.
After careful consideration, we find the authors’ explanation for the duplications reasonable and have decided not to retract the paper. We apologize for the lengthy resolution process. This Editorial Note serves to alert the community to the duplicated images and to communicate our final decision on this matter.”
Do not try to report any more DePinho papers to Cell Press, the decision is final.
Dana-Farberications at Harvard University
“Imagine what mistakes might be found in the raw data if anyone was allowed to look!” – Sholto David
Both baseless and scientifically unethical
Here is the case where it is not clear if the elite scientist will get away with fraud. On one hand, Deepak Kalaskar is professor of bioengineering at UCL in London, UK (thus rather untouchable), and the Elsevier journal involved couldn’t care less about fraud, because it specialises on Ayurveda and TCM. On the other hand, Kalaskar and his coauthors insolently stole a figure from a rather senior French group at the Pasteur Institute.
Kalaskar and his unhinged attitude to blame “AI pattern recognition” were briefly mentioned at the end of this article, due to his collaboration with the sacked trachea tranplanter Alexander Seifalian:
Martin Birchall, Paolo De Coppi, and other clowns of UCL’s degenerative medicine
Several years ago, UCL investigated the Macchiarini affair and found their surgeon Martin Birchall was not only innocent, but also entitled to more money and more patients to experiment upon. Now, Patricia Murray was awarded for exposing this UCL malfeasance, and Sholto David scrutinised UCL papers for data manipulation.
So here is the freshly published paper, by Kalaskar with Turkish collaborators, the last author is Muhammet Emin Cam, once a postdoc at UCL and now vice-dean and head of department at Istanbul Kent University:
Burcu Uner, Ece Guler , Mustafa Emrah Vicir, Hulya Kayhan , Necmettin Atsu , Deepak Kalaskar, Muhammet Emin Cam Antiviral properties of essential oil mixture: Modulation of E7 and E2 protein pathways in human papillomavirus (HPV) infection Journal of Ethnopharmacology (2024) doi: 10.1016/j.jep.2024.119289

Sholto David: “Figure 7: One of the images contains an unexpected duplicate area, […] There is a 180° rotation.”

The EMBO J paper Buchrieser et al 2020 belongs to the group of Olivier Schwartz, former scientific director of the Institut Pasteur in Paris, now head of the Virus and Immunity Unit there. As Sholto David found out, there is a reason why the images are not exactly identical to the published figures: the stolen images for Figure 7 were cropped as stills from a supplementary video Schwartz’s team provided together with their article.

This is also why the Figure 7 in Kalaskar’s paper has a cloned fragment: they needed to remove the original text “SARS-CoV2”, since in their own paper this figure was designated to be about the HIV virus.
Clear case of data theft obviously. But not everyone agrees!
The first author Burcu Uner, now postdoc at University of Health Science and Pharmacy in St. Louis, USA, protested in her email:
“These claims are both baseless and scientifically unethical.
For clarity, I would like to emphasize that the data in question was generated using advanced methodologies at the McDonnald Institute imaging center-washington university school of medicine St louis, with all experimental procedures and raw data properly documented. The figures provided directly contain raw data, ensuring full transparency and reproducibility in our research.
It is disappointing to witness such unfounded allegations, as they undermine the integrity of scientific collaboration.”
Uner showed the same attitude here:
Burcu Uner, Melahat Sedanur Macit Celebi Anti-obesity effects of chlorogenic acid and caffeine- lipid nanoparticles through PPAR-γ/C/EBP-ɑ pathways International Journal of Obesity (2023) doi: 10.1038/s41366-023-01365-7


Uner assured on PubPeer:
“The images you referenced come from the same experimental setup but reflect different conditions. Some of the similarities you’re seeing could be due to how the samples were prepared and imaged, as microscopy images can sometimes appear visually similar across groups. Additionally, some of these images were taken from video data included in the supplementary materials, which might explain why certain sections appear closely related. I want to emphasize that there was no intention to mislead.“
Indeed, maybe again stolen from somebody else’s published supplemental video. Another paper, Uner et al 2024 from the lab of Cetin Tas at Yeditepe University in Istanbul, contains several copy-pasted flow cytometry plots. Uner hasn’t yet explained why those are just expected to look identical because cropped from some video. And how to explain this, where Uner is the corresponding author:
Juste Baranauskaite, Meryem Aydin , Burcu Uner, Cetin Tas Formulation of Metoclopramide Hydrochloride-Loaded Lipid Carriers by QbD Approach for Combating Nausea: Safety and Bioavailability Evaluation in New Zealand Rabbit AAPS PharmSciTech (2024) doi: 10.1208/s12249-024-02791-0

It is rather clear that should need arise to retract that Ethnopharmacology paper, Uner alone will be blamed for everything.
But here is more by Cam and Kalaskar:
- Ece Guler , Humeyra Betul Yekeler , Gita Parviz , Saliha Aydin , Asima Asghar , Murat Dogan , Fakhera Ikram , Deepak M. Kalaskar, Muhammet Emin Cam Vitamin B12-loaded chitosan-based nanoparticle-embedded polymeric nanofibers for sublingual and transdermal applications: Two alternative application routes for vitamin B12 International Journal of Biological Macromolecules (2024) doi: 10.1016/j.ijbiomac.2023.128635
- Ece Guler, Humeyra B. Yekeler , Zarife N. Ozdemir Kumral , Gita Parviz , Gul S. Ozcan , Burcu Uner , Sinem G. Demirbas , Simge Ayyildiz , Yusufhan Yazir , Deepak Kalaskar, Muhammet E. Cam Fabrication of Oro-Dispersible Sodium Valproate-Loaded Nanofibrous Patches for Immediate Epileptic Innervation ACS Biomaterials Science & Engineering (2024) doi: 10.1021/acsbiomaterials.4c02294

And these two:
- Ece Guler, Humeyra Betul Yekeler , Burcu Uner, Murat Dogan , Asima Asghar , Fakhera Ikram , Yusufhan Yazir , Oguzhan Gunduz , Deepak M Kalaskar, Muhammet Emin Cam In Vitro Neuroprotective Effect Evaluation of Donepezil‐Loaded PLGA Nanoparticles‐Embedded PVA/PEG Nanofibers on SH‐SY5Y Cells and AP‐APP Plasmid Related Alzheimer Cell Line Model Macromolecular Materials and Engineering (2024) doi: 10.1002/mame.202400160
- Ece Guler , Aysen Kopuz , Busra Ertas , Ayse Mine Yilmaz-Goler , Yusufhan Yazir , Deepak M. Kalaskar , Muhammet Emin Cam Anti-Alzheimer’s effect of memantine/donepezil/metformin-loaded PVA/PEO composite nanofibers produced by pressurized gyration: Production, characterization, and in vitro evaluation Journal of Drug Delivery Science and Technology (2024) doi: 10.1016/j.jddst.2024.105795

Retraction Watchdogging
Different versions of what should be the correct data
Another retraction for the fallen NIH bigwig Eliezer Masliah, an outcome of a massive investigation by Mu Yang and others. Read about two previous retractions in November 2024 Shorts and the backstory here:
Cerebrolysin: Sharmas, Masliah, and EVER Pharma
“Poking around PubMed (Dysdera the spider is always on the hunt for new hornet’s nests) [..], I came across one image in two papers by Eliezer Masliah. […] By a conservative count, I contributed to about 160 out of 300 slides in the final dossier” – Mu Yang
This is the newly retracted paper, the evidence was collected by Mu Yang aka Dysdera arabisenen. The last author Robert Rissman is a Keck endowed professor at University of Southern California and a close associate of Masliah, he has around 20 papers on PubPeer and not all of them with Masliah.
Omar El-Agnaf , Cassia Overk , Edward Rockenstein , Michael Mante , Jazmin Florio , Anthony Adame , Nishant Vaikath , Nour Majbour , Seung-Jae Lee , Changyoun Kim , Eliezer Masliah , Robert A. Rissman Differential effects of immunotherapy with antibodies targeting α-synuclein oligomers and fibrils in a transgenic model of synucleinopathy Neurobiology of Disease (2017) doi: 10.1016/j.nbd.2017.05.002



In November 2024, the first author Omar El-Agnaf, now professor at Hamid Ben Khalifa University in Qatar, indirectly blamed Masliah on PubPeer and added:
“…we conducted a thorough review of all relevant data. We have already reached out to the editor of Neurobiology of Disease to express our commitment to taking any required measures to amend the record and evaluate the potential impact on the main conclusions of the paper.“
Indeed, the paper was retracted, how examplary of Dr El-Agnaf (highlights mine). Here is the long retraction notice from 15 January 2025 :
“This article has been retracted at the request of the Editor-in-Chief. The Journal received a complaint regarding Figs. 6 and 9 […] The corresponding author, Dr. Robert Rissman, and first author, Dr. Omar El-Agnaf, were contacted. Dr. Rissman explained that, in discussing with Dr. Masliah, errors had occurred while copying and pasting the individual panels that compose the figures, resulting in a portion of the synuclein tg synf2 condition being pasted into the synuclein tg synO4 position in Fig. 6, and a portion of the split single label synaptophysin FITC image being placed in the non-tg vehicle position in Fig. 9. Dr. Rissman provided corrected versions of Fig. 6 and Fig. 9, along with the individual panel files, provided by Dr. Masliah.
Subsequently, image analysis software identified further possible image duplications and manipulations in the corrected figures. The authors were informed accordingly of the findings.
Dr. Rissman explained that his co-author, Dr. Eliezer Masliah, made the original and revised figures and has all of the original data. Dr. Masliah responded that in reviewing the materials sent to us, he realized that they sent us the incorrect version for the non-tg veh condition that was mislabeled and incorrectly saved. He resent a newly corrected version of Fig. 9a with the correct image for the non-tg veh control.
As Dr. Rissman and Dr. Masliah provided different versions of what should be the correct data and an additional duplication was found in the first version, the Editor-in-Chief did not find the explanations provided satisfactory.
After careful consideration, on the strength of the evidence of manipulation, the Editor in Chief has determined that confidence in the integrity of the images and content of the article has been lost and retraction is warranted.
The notice of retraction was deliverable to all authors except for Dr. Michael Mante and Dr. Changyoun Kim. Dr. Rissman and Dr. El-Agnaf agreed with the retraction, Dr. Masliah disagreed with the retraction, and no response was received from Dr. Cassia Overk, Dr. Jazmin Florio, Dr. Anthony Adame, Dr. Nishant Vaikath, Dr. Nour Majbour and Dr. Seung-Jae Lee. The authors requested to clarify each of their contributions to the paper for transparency.
- Dr. Omar El-Agnaf: Production and characterization of the monoclonal antibodies tested in this study; writing and editing of text; approval of the final manuscript.
- Dr. El-Agnaf and Dr. Masliah: Conceptualization and design of the project.
- Dr. Robert Rissman: Animal work; writing and editing of text; approval of the final manuscript.
- Drs. Rockenstein, Adame, Mante, and Florio (employees of the Rissman lab Transgenic Animal Core and Histopathology Core): Breeding of mice; treatment of mice with antibodies; behavioral testing; sacrifice of mice for endpoint analyses.
- Drs. Kim and Overk (employees of the Masliah lab): Data analysis; writing and editing of text; approval of the final manuscript.
- Dr. Eliezer Masliah: Data analysis; figure preparation; writing and editing of text; approval of the final manuscript.
- Drs. Vaikath and Majbour (employees of Dr. El-Agnaf’s lab): Writing and editing of text; approval of the final manuscript.
- Dr. Lee: Writing and editing of text; approval of the final manuscript.
Apologies are offered to the readers of Neurobiology of Disease that these issues were not detected during the submission and review process.”
Like Masliah, also Rissman is a fan of Nazi Pig Brain Juice (cererolysin). Here his own forays into it, sponsored by the Austrian cerebrolysin maker Ever Pharma:
X Anton Alvarez , Charisse N Winston , James W Barlow , Floyd M Sarsoza , Irene Alvarez , Manuel Aleixandre , Carlos Linares , Manuel García-Fantini , Birgit Kastberger , Stefan Winter , Robert A Rissman Modulation of Amyloid-β and Tau in Alzheimer’s Disease Plasma Neuronal-Derived Extracellular Vesicles by Cerebrolysin® and Donepezil Journal of Alzheimer’s disease (2022) doi: 10.3233/jad-220575

And as for the heroic fraud fighter El-Agnaf, it is not his first retraction. And no Masliah or Rissman to blame here:
Hayate Javed , Sindhu A Menon , Karima M Al-Mansoori , Abdelmojib Al-Wandi , Nour K Majbour , Mustafa T Ardah , Shiji Varghese , Nishant N Vaikath , M Emdadul Haque , Mimoun Azzouz , Omar Ma El-Agnaf Development of Nonviral Vectors Targeting the Brain as a Therapeutic Approach For Parkinson’s Disease and Other Brain Disorders Molecular therapy (2016) doi: 10.1038/mt.2015.232


The authors provided original data to prove that the allegations were wrong. Instead, it was proven that their “raw data” was fake. The retraction from 11 April 2024 went:
“The corresponding author contacted the editorial office with a request to correct Figure 3A. However, image analysis performed by the editorial office revealed the revised Figure 3A still contained image duplication and indicated potential image manipulation in Figure 4D. Additional instances of image duplication were found within Figures S13 (spleen, control, and C2-9r images) and S14 (striatum images). In response, the editors requested all original data to fully investigate the concerns. […] The original data provided did not alleviate the concerns, and so the editors feel that the findings of the manuscript cannot be relied upon. The authors disagree with the retraction and maintain that these issues do not impact the results of their study.”
Mu Yang and other sleuths found more issues with El-Agnaf’s papers, currently 14 on PubPeer. For example:
Simona S. Ghanem , Nour K. Majbour , Nishant N. Vaikath , Mustafa T. Ardah , Daniel Erskine , Nanna Møller Jensen , Muneera Fayyad , Indulekha P. Sudhakaran , Eftychia Vasili , Katerina Melachroinou , Ilham Y. Abdi , Ilaria Poggiolini , Patricia Santos , Anton Dorn , Paolo Carloni , Kostas Vekrellis , Johannes Attems, Ian McKeith , Tiago F. Outeiro , Poul Henning Jensen , Omar M. A. El-Agnaf α-Synuclein phosphorylation at serine 129 occurs after initial protein deposition and inhibits seeded fibril formation and toxicity Proceedings of the National Academy of Sciences (2022) doi: 10.1073/pnas.2109617119

And this, flagged by Mu Yang’s colleague:
Jia-Zhen Wu , Mustafa Ardah , Caroline Haikal , Alexander Svanbergsson , Meike Diepenbroek , Nishant N. Vaikath , Wen Li , Zhan-You Wang , Tiago F. Outeiro , Omar M. El-Agnaf, Jia-Yi Li Dihydromyricetin and Salvianolic acid B inhibit alpha-synuclein aggregation and enhance chaperone-mediated autophagy Translational Neurodegeneration (2019) doi: 10.1186/s40035-019-0159-7

Actinopolyspora biskrensis: “Figure 8G appears to have some images which overlap for differently treated mice. A common area on 3 images is shown.”
In January 2021, the last author Jia-Yi Li of Lund University in Sweden announced on PubPeer to be “thoroughly investigating all the archived raw data and raw materials” and to “a conclusive report on your critique as soon as possible“. He warned though that “it will take a bit longer” due to “the current coronavirus pandemic and lockdowns“. It’s 2025 now, the pandemic ended long ago, but the search continues. Don’t expect her and El-Agnaf to corrcet this either:
Nishant N Vaikath, Nour K Majbour , Katerina E Paleologou , Mustafa T Ardah , Esther Van Dam , Wilma D J Van De Berg , Shelley L Forrest, Laura Parkkinen, Wei-Ping Gai , Nobutaka Hattori , Masashi Takanashi , Seung-Jae Lee , David M A Mann, Yuzuru Imai , Glenda M Halliday, Jia-Yi Li , Omar M A El-Agnaf Generation and characterization of novel conformation-specific monoclonal antibodies for α-synuclein pathology Neurobiology of Disease (2015) doi: 10.1016/j.nbd.2015.04.009


the first author Glenda Halliday, now professor at University of Sydney in Australia, announced in March 2024 on PubPeer that “correct figures do not change the conclusions” and that “corrections to these figures have been submitted to the journal editor and we hope will be published shortly“. 10 months passed with no correction out, but you know, pandemic and lockdowns.
By the way, also the Editor-in-Chief of Neurobiology of Disease, the French INSERM Research Director Erwan Bezard, once published with El-Agnaf. Here is the result:
Marie-Laure Arotcarena, Sandra Dovero , Alice Prigent , Mathieu Bourdenx , Sandrine Camus , Gregory Porras , Marie-Laure Thiolat , Maddalena Tasselli , Philippe Aubert , Niels Kruse , Brit Mollenhauer , Ines Trigo Damas , Cristina Estrada , Nuria Garcia-Carrillo , Nishant N Vaikath , Omar M A El-Agnaf , Maria Trinidad Herrero , Miquel Vila , Jose A Obeso , Pascal Derkinderen , Benjamin Dehay, Erwan Bezard Bidirectional gut-to-brain and brain-to-gut propagation of synucleinopathy in non-human primates Brain (2020) doi: 10.1093/brain/awaa096


In September 2024, Bezard announced on PubPeer to publish a correction:
“The authors apologize for accidental errors in Figs 2B and 5B. In Fig. 2B, two panels were derived from the same slide [LB (Str) and LB (Gut); bottom right panels]. In Figure 5B two panels were duplicated [bottom row, control and LB (Gut)].
The corrected Figures have been provided to the journal “Brain” only in a correction notice to preserve the published version of the record. These corrections do not change the manuscript’s description, interpretation or original conclusions. “Brain” will soon formally release the notice.
We thank the reader for having noticed the issue.“
Also this correction wasn’t published yet.
Dust on the screen or flash of the device
A lesson for old white men not to play with papermillers. It will end in retractions and tears. Professor Gordon Ferns (DSc MD FRCPath FRCP MRCS SFHEA Dip Hlth Mgt FRSA) is deputy dean and head of Department of Medical Education at the University of Sussex in UK, and holder of “Visiting Chairs at the Universities of Surrey, Keele, Tehran and Mashhad“, the latter two obviously in Iran. Here is one of these Iranian fabrications:
Sadaf Ghanaatgar‐Kasbi , Forouzan Amerizadeh , Farzad Rahmani, Seyed Mahdi Hassanian, Majid Khazaei, Gordon A. Ferns , Amir Avan AMP‐kinase inhibitor dorsomorphin reduces the proliferation and migration behavior of colorectal cancer cells by targeting the AKT/mTOR pathway IUBMB Life (2019) doi: 10.1002/iub.2136





The images lack a visible splice line.”

There were also irrelevant citations of course. The coauthor Majid Khazaei replied on PubPeer and dismissed all criticism, including on image duplications: “It doesn not show the similarties or overlab.” That dude has almost 50 ridiculously fraudulent papers on PubPeer.
The paper was retracted on 5 January 2025:
“The retraction has been agreed following an investigation into concerns raised by a third party which revealed that the TBHP image and the Dorso 5μM image in Figure 3b contained an overlap with images published elsewhere by some of the same authors. In both instances of duplication, the images were used to represent different experimental conditions. Furthermore, the western blot in Figure 4D has been inappropriately edited and there is evidence that the bands have been spliced without clearly marking the splice sites. The authors provided an explanation and some data but this was not considered sufficient to address the concerns. As a result, the editors have lost confidence in the data presented and consider the conclusions substantially compromised. The authors disagree with the retraction.”
Here is that other paper by Ferns and his Iranian friends where the image was reused. Another coauthor is Elisa Giovannetti, associate professor at VU Amsterdam Medical Center in The Netherlands, and full professor at University of Pisa in Italy:
Fereshteh Asgharzadeh, Asma Mostafapour , Safieh Ebrahimi, Forouzan Amerizadeh , Reihaneh Sabbaghzadeh , Seyed Mahdi Hassanian , Maryam Fakhraei , Alieh Farshbaf , Gordon A. Ferns , Elisa Giovannetti , Amir Avan , Majid Khazaei Inhibition of angiotensin pathway via valsartan reduces tumor growth in models of colorectal cancer Toxicology and Applied Pharmacology (2022) doi: 10.1016/j.taap.2022.115951


Khazaei explained that the images “were reused across multiple experiments based on ethical committee guidelines to minimize animal use“. Here is one of these papers by the animal protection activists Khazaei, Giovanetti and Ferns:
Farzad Rahmani , Milad Hashemzehi, Amir Avan, Farnaz Barneh, Fereshteh Asgharzadeh, Reyhaneh Moradi Marjaneh , Atena Soleimani , Mohammadreza Parizadeh , Gordon A. Ferns , Majid Ghayour Mobarhan , Mikhail Ryzhikov , Amir Reza Afshari , Mohammad Reza Ahmadian , Elisa Giovannetti , Mohieddin Jafari, Majid Khazaei, Seyed Mahdi Hassanian Rigosertib elicits potent anti-tumor responses in colorectal cancer by inhibiting Ras signaling pathway Cellular Signalling (2021) doi: 10.1016/j.cellsig.2021.110069

Is it ethical to induce a tumor with a 6-7 gr weight in a mouse with a weight of 21 gr?
Is it ethical to induce a tumor with a 5000 mm3 size?“

Deschampsia danthonioides: “Could the authors comment on the concern regarding the overlap in the Western blot bands presented in Figures 4C and 4D in their paper? Some bands appear very similar.”
Here an earlier retraction for Ferns, Giovannetti and their Iranian associates:
Ghazaleh Khalili-Tanha, Hamid Fiuji , Masoumeh Gharib , Meysam Moghbeli , Nima Khalili-Tanha , Farzad Rahmani , Neda Shakour , Mina Maftooh , Seyed Mahdi Hassanian, Fereshteh Asgharzadeh , Soodabeh Shahidsales , Kazem Anvari , M.R. Mozafari , Gordon A. Ferns , Jyotsna Batra, Elisa Giovannetti , Majid Khazaei, Amir Avan Dual targeting of TGF-β and PD-L1 inhibits tumor growth in TGF-β/PD-L1-driven colorectal carcinoma Life Sciences (2023) doi: 10.1016/j.lfs.2023.121865


Fig 2G. Effect of M7824 on a three-dimensional model of CRC, representative pictures of SW-480, HT-29, and Ct-26 spheroids.”

There were many other issues. Last author Amir Avan provided a lenghty explanation assuring that “these clarifications do not change the core meaning or impact of the paper“. Khazaei assured: “we do not expect to see different effect in all conditions in everyday“. Ghazaleh Khalili-Tanha added: “These pictures have been taken by Mobile phones, not professional cameras”.
Luckily the editors were unconvinced. The retraction from 16 October 2024 mentioned:
“The editors were alerted by anonymous readers to issues regarding image anomalies in the paper above that inspired discussions on Pubpeer: https://pubpeer.com/publications/0515AB8BB48F0FC364C80CC3D7176F. The editors contacted the corresponding authors to request raw data and explanation. The corresponding author replied that the similarities among the images are likely due to the dust on the screen or flash of the device, and copy-and-paste error of the names (control of HT-29 and control on Day 3 of the SW480 cells). The editors have carefully examined images alleged to be manipulated (Figure 2G and 3D) and determined that they no longer have confidence in the reliability of these data. Therefore, the editors decide to retract the article.”
In international affairs and paper mills
Alexander Magazinov would like you to meet an Iranian scholar named Ali Akbar Velayati.
Here they all are again:
Forouzan Amerizadeh , Farzad Rahmani , Mina Maftooh , Seyedeh-Najibeh Nasiri , Seyed Mahdi Hassanian , Elisa Giovannetti , Reyhaneh Moradi-Marjaneh , Reihaneh Sabbaghzadeh , Soodabeh Shahidsales , Mona Joudi-Mashhad , Majid Ghayour-Mobarhan , Gordon A Ferns , Majid Khazaei, Amir Avan Inhibition of the Wnt/b-catenin pathway using PNU-74654 reduces tumor growth in in vitro and in vivo models of colorectal cancer Tissue and Cell (2022) doi: 10.1016/j.tice.2022.101853


Giovannetti has 13 papers on PubPeer, many but not all with the Khazaei/Avan gang. This can’t be blamed on any Iranians:
Elisa Giovannetti , Niccola Funel , Godefridus J. Peters, Marco Del Chiaro , Leyla A. Erozenci , Enrico Vasile , Leticia G. Leon , Luca E. Pollina , Annemieke Groen , Alfredo Falcone , Romano Danesi , Daniela Campani , Henk M. Verheul , Ugo Boggi MicroRNA-21 in pancreatic cancer: correlation with clinical outcome and pharmacologic aspects underlying its role in the modulation of gemcitabine activity Cancer Research (2010) doi: 10.1158/0008-5472.can-09-4467

Ferns has almost 30 papers on PubPeer, all with Iranians and feature Khazaei and Avan.
Here is the oldest PubPeer-recorded thread for a silly fabrication by Ferns with the Khazaei gang:
Niloofar Ghobadi , Mehrane Mehramiz , Soodabeh ShahidSales , Arezou Rezaei Brojerdi , Kazem Anvari , Majid Khazaei , Majid Rezayi , Mohammad Sadegh Khorrami , Mona Joudi-Mashhad , Hassan Ramshini , Saeideh Ahmadi-Simab , Ali Moradi , Seyed Mahdi Hassanian , Majid Ghayour-Mobarhan , Mohammad Taher Boroushaki , Gordon A. Ferns , Amir Avan A genetic variant in CDKN2A/2B locus was associated with poor prognosis in patients with esophageal squamous cell carcinoma Journal of Cellular Physiology (2019) doi: 10.1002/jcp.27310

The listed proportion of female, smokers and “family history” do not add up.
I am also questioning the listed weight. Are people in Iran extremely short?”
If you wonder which professional consequences Ferns and Giovannetti face for papermilling with Iranian fraudsters: probably a fat pay-rise for each such paper, including the retracted ones.
Not physically possible
The Elsevier journal Optical Materials has a new Editor-in-Chief: John Ballato of Clemson University in USA. Who in September 2024 received a fat dossier from Mu Yang about a certain Egyptian fraudster named Khamies Saber Shaaban of El Azhar University.
7 retractions in that journal already happened.
- Eman M. Mahrous , Yasser A.M. Ismail , Ateyyah M. Al-Baradi , Wafa M. Al-Saleh , Kh S. Shaaban Significant influence of La2O3 content on synthesis, physical, structural, optical, thermal, and radiation shielding characteristics properties of Na2O–B2O3–Bi2O3–SiO2 glasses for optoelectronic applications Optical Materials (2024) doi: 10.1016/j.optmat.2024.115559
- Eman M. Mahrous , Ateyyah M. Al-Baradi , Haifa M. Almutairi , S. Hassaballa , Kh. S. Shaaban Structural, thermal, optical, and gamma rays attenuation properties of a developed potassium bismuth lanthanum borosilicate glass Optical Materials (2024) doi: 10.1016/j.optmat.2024.115624
- Khalid Alsafi , Hesham M.H. Zakaly , Dalal Abdullah Aloraini , Wafa M. Al-Saleh , Haifa M. Almutairi , Shams A.M. Issa , Kh S. Shaaban Y2O3 reinforced B2O3–SiO2–BaO–Na2O glass system: A characterization study through physical, optical and gamma / neutron shields characteristics Optical Materials (2024) doi: 10.1016/j.optmat.2024.115512
- Khalid Alsafi , Dalal Abdullah Aloraini , Haifa M. Almutairi , Shams A.M. Issa , Hesham M.H. Zakaly , Kh S. Shaaban Comprehensive study of optical, thermal, and gamma-ray shielding properties of B2O3–SiO2–BeO– MgO–La2O3, glasses Optical Materials (2024) doi: 10.1016/j.optmat.2024.115298
- Khalid Alsafi , Dalal Abdullah Aloraini , Kh S. Shaaban Characterizing the properties of Li2O–B2O3–SiO2– P2O5–TiO2 glasses: A multidimensional investigation of their structure, optical properties, and gamma-ray shielding capability Optical Materials (2024) doi: 10.1016/j.optmat.2024.115351
- Kh.S. Shaaban , Ali S. Alzahrani , Dalal Abdullah Aloraini , Yasser A.M. Ismail Radiation attenuation and optical behaviors of glass system: 21SiO2–49B2O3–13ZnO-(17-x)Na2O-xWO3 Optical Materials (2024) doi: 10.1016/j.optmat.2024.114852
- E.A. Abdel Wahab , A.A. El-Maaref , Kh.S. Shaaban , J. Börcsök , M. Abdelawwad Lithium cadmium phosphate glasses doped Sm3+ as a host material for near-IR laser applications Optical Materials (2021) doi: 10.1016/j.optmat.2020.110638







All 7 received a similar retraction notice:
“Upon request of the Editor-in-Chief seven articles have been retracted, among which is the article […]. The XRD traces of selected samples, including across different publications reporting different materials, is exact to the level of the instrument noise. This exactness is not physically possible and indicates that the same data was used for different samples. Therefore, the EiC no longer has confidence in the authenticity of the data. In accordance with the journal’s publishing policy, these articles are retracted. The authors disagree with the retraction and dispute the grounds for it.”
Shabaan has almost 70 more papers on PubPeer, thanks to Mu Yang. Often, the same three XRD spectra were reused over these 70 publications. Occasionally, the great scholar of glasses sometimes replied on PubPeer, like here:
Khalid Alsafi, Dalal Abdullah Aloraini , Wafa M. Al-Saleh, Kh. S. Shaaban Impact of La2O3 on Structural, Optical, Gamma Rays, and Neutron Properties of B2O3-SiO2-ZnO Glasses Journal of Electronic Materials (2024) doi: 10.1007/s11664-024-11095-9

Dysdera arabisenen: “Fig 2: All traces have very similar noises.”
Professor Shabaan shared some wisdom:
“The XRD of the amorphous materials are extremely similar, it is clear that the produced glass’s XRD patterns are identical and devoid of strong diffraction peaks, but that they do have broad humps which are typical of amorphous materials.”
The chief editor of Optical Materials also sent this email to his editor colleagues at other journals hosting Shabaan’s fraud:
“As an informational item to the other editors, we independently reviewed Shaaban’s work in the articles published in our journal (Elsevier’s Optical Materials) and made equivalent findings to those reported by Prof. Yang. We have initiated research misconduct processes.
I strongly suggest you conduct your own reviews and then proceed as warranted.”
Let’s see if any other Elsevier journal retracts anything. For example Silicon, where much of Shabaan’s fake spectra were published.

A risk for our journal and scholarly science in general
A conference publisher retracted almost a thousand of papers!
The Web of Conferences journals publish proceedings from scientific conferences, they are issued by EDP Sciences, which according to Wikipedia used to belong to four French learned societies, until it was sold in 2019 to China Science Publishing & Media, which is the largest science and technology publisher in China. Now entire proceedings volumes were retracted, six volumes. We don’t know why the issues were retracted, maybe the scamference organisers defaulted on their publication payments to EDP Sciences?
These 3 issues of BIO Web of Conferences were retracted, all three on a conferences in russia:
- 2024 – VOLUME 84 EBWFF 2023 – International Scientific Conference Ecological and Biological Well-Being of Flora and Fauna, Part 1, Blagoveschensk, russia, May 22-25, 2023 (~222 conference papers) retracted in full
- 2024 – VOLUME 138 AQUACULTURE 2024 – International Scientific and Practical Conference “Development and Modern Problems of Aquaculture”, Divnomorskoye village, russia, September 2-8, 2024 (~150 conference papers) retracted in full
- 2024 – VOLUME 116 EBWFF 2024 – International Scientific Conference Ecological and Biological Well-Being of Flora and Fauna, Blagoveschensk, russia, May 22-25, 2023 (~175 conference papers) retracted in full
All issues received the same retraction notice:
“This proceeding volume has been retracted from the publication because we found some solid reasons to believe that it has infringed our integrity criteria and now presents a risk for our journal and scholarly science in general. Different types of malpractice are involved, in particular citation manipulation and inappropriate references. We are extremely concerned by such malpractice which considerably impacts the image of our title and our Publisher’s reputation.”
These issues of E3S Web of Conferences were retracted with the same notice, two conferences in russia and one in Ukraine.
- 2023 – VOLUME 420 EBWFF 2023 – International Scientific Conference Ecological and Biological Well-Being of Flora and Fauna. Part 1, Blagoveschensk, russia, May 22-25, 2023 (~266 conference papers) retracted in full
- 2024 – VOLUME 549 International Scientific Siberian Transport Forum – TransSiberia 2024, Novosibirsk, russia, May 27-30, 2024 (~189 conference papers) retracted in full
- 2024 – VOLUME 538 IPFA 2024 – XVI International Scientific-Practical Conference “Actual Problems of Improving Farming Productivity and Agroecology”, Dnipro, Ukraine, April 15-17, 2024 (~168 conference papers) retracted in full
The latter was edited by the russia-loving Ukrainians, Sergey Yekimov and Іgor Sazonets, most conference contributions came from Uzbekistan (incidentally, alsmo many participants in the 5 retracted russian conferences were Uzbek). It is not clear how masses of Uzbek scholars travelled to Ukraine during the full-scale war, unless one assumes this and likely other conferences never happened and were just a dropbox to submit papers for publication.
In this regard, Yekimov owns a scamference business targeted at russian-speaking audience, called Rusnauka (russian science) or “Publishing house Education and Science s.r.o.” It is registered in Prague, Czechia, and has another seat in Kazakhstan.

The retracted conference papers didn’t necessarily had anything to do with the conference’s professed topic. For example, one contribution to AQUACULTURE 2023 was titled “Russian trends in ensuring gender equality in the digital economy“, another one, by Yekimov and Sazonets: “The impact of service maintenance on the quality indicator of manufactured products“. This duo contributed at another retracted conference on the topic of Well-Being of Flora and Fauna the study “Ways to increase the productivity of cashiers in a banking institution” .
Several nonstandard phrases
A bunch of Peruvian researchers invested into a papermill. The result, featuring further coauthors from Egypt, Pakistan and Saudi Arabia, was now retracted. The paper was flagged by Guillaume Cabanac for tortured phrases like “high-exactness” for high resolution and “polymerase chain response” for polymerase chain reaction:
Sayed M. El Din , Adil Darvesh , Assad Ayub , Tanveer Sajid , Wasim Jamshed, Mohamed R. Eid , Syed M. Hussain , Manuel Sánchez-Chero , Sheda Méndez Ancca , Johana Milagritos Ramírez Cerna , Carmen Luisa Aquije Dapozzo Quadratic multiple regression model and spectral relaxation approach for carreau nanofluid inclined magnetized dipole along stagnation point geometry Scientific Reports (2022) doi: 10.1038/s41598-022-22308-8
The retraction was issued on 8 January 2025:
“The Editors have retracted this Article as it contains several nonstandard phrases for which the authors have not been able to provide a suitable explanation. In addition the Article shows evidence of authorship irregularities, which the Authors were not able to satisfactorily explain. The Editors therefore no longer have confidence in the reliability of this Article and its metadata.
Authors Mohamed R. Eid and Syed M. Hussain disagree with this retraction. The other Authors have not responded to correspondence regarding this retraction.”
You can read about El Sayed M. Tag El Din‘s earlier retraction in November 2023 Shorts, and visit his PubPeer record which includes other retractions. His associate and corresponding author Wasim Jamshed also has retractions and other papermill fraud on PubPeer, including two more in Scientific Reports, Jamshed et al 2021 and Jamshed et al 2022, both with Mohamed R. Eid (who also has a serious PubPeer record).
This, by the same team of Eid, Hussain, El Din and Jamshed was published in the same journal and needs to be retracted also:
Ahmad Banji Jafar , Sharidan Shafie , Imran Ullah , Rabia Safdar , Wasim Jamshed, Amjad Ali Pasha , Mustafa Mutiur Rahman , Syed M. Hussain , Aysha Rehman , El Sayed M. Tag El Din , Mohamed R. Eid Mixed convection flow of an electrically conducting viscoelastic fluid past a vertical nonlinearly stretching sheet Scientific Reports (2022) doi: 10.1038/s41598-022-18761-0
“The Keller-box method could be applied to a variety of physical and technical challenges in the future [42-52].”

Of note: many (if not all) references in this batch have nothing to do with “the Keller-box method.” Refs. [51, 52] have been retracted.”
Magazinov also noted that “the same exact batch has been spotted elsewhere“, again in Scientific Reports in fact. Specifcally, here, with only one author (Amjad Ali Pasha) in common. That one was retracted:
Muhammad Bilal Hafeez, Marek Krawczuk, Hasan Shahzad , Amjad Ali Pasha , Mohammad Adil Simulation of hybridized nanofluids flowing and heat transfer enhancement via 3-D vertical heated plate using finite element technique Scientific Reports (2022) doi: 10.1038/s41598-022-15560-5
“After publication of this Article concerns were raised over relevance of some of the references to the content they were cited to support. Editors requested that, in addition to clarification about these concerns, the Authors provide the underlying code for the simulations. An expert post-publication peer review of the provided code showed that it is not suited to reproduce the reported results. Therefore, the Editors lost confidence in the results and conclusions of the Article.
Marek Krawczuk and Amjad Ali Pasha do not agree with the retraction.”
Retraction 15 April 2024
Guess where the Polish scholar Marek Krawczuk is professor at. Gdansk Polytechnic, the Muhammad Bilal university! In fact, Krawczuk used to host yet a namesake there, Muhammad Bilal Hafeez, together they have many joint papers with Pasha, Jamshed, Eid and Tag El Din). Since late 2024, Bilal Hafeez is working at the University of Paderborn in Germany.


Donate!
If you are interested to support my work, you can leave here a small tip of $5. Or several of small tips, just increase the amount as you like (2x=€10; 5x=€25). Your generous patronage of my journalism will be most appreciated!
€5.00


“Rest assured that Fulda and Debatin deployed the most expensive lawyers, hoping to make these institutions to cooperate as the University of Frankfurt did.”
They don’t come cheap and will insist on timely payment.
LikeLiked by 1 person
These two have money, don’t worry.
LikeLike
Good news, RSC Publishing seem to have made good resolutions for the new year: serial fraudster Suman L. Jain was just hit with a strong wave of retractions and expressions of concern.
LikeLike
Even back in 2002, I ‘m pretty sure that Harvard was equipped with microscopes with digital cameras….. and how using a hand-held camera (if you believe it) explains duplicated images?!?!
LikeLike
Reese Richardson’s been on a tear on PubPeer recently on the materials science front. Always love seeing recurring names calling out bullshit.
LikeLike
Oooh, the old ‘shoot the messenger’, ignore the message routine by the former news outlet Der Spiegel!
Dubious source, they say? Is this irony? Did they already forget who they are? What they publish?
https://en.wikipedia.org/wiki/Claas_Relotius Forgotten already?
… “falsified his articles on a grand scale”, inventing facts, persons and quotations in at least 14 of his (60) stories in Der Spiegel!
Well, Der Spiegel defended the journalist fraudster Relotius. Now they defend research fraudsters.
‘Relotius’ superiors initially supported him after he said that the allegations made against him were false, and they suspected Moreno’s allegations might be slanderous.’
Seems to be their modus operandi.
Did they learn from it?
Maria Story Retraction? Just recently. Forgotten?
December 2022, Der Spiegel retracted articles and a podcast concerning the alleged death of a refugee girl named “Maria” on an islet in the Evros River at the Greece–Turkey border. Investigations revealed that the story was fabricated, marking one of the most significant fake news incidents for the magazine since the Relotius scandal.December 2022, Der Spiegel retracted articles and a podcast concerning the alleged death of a refugee girl named “Maria” on an islet in the Evros River at the Greece–Turkey border. Investigations revealed that the story was fabricated, marking one of the most significant fake news incidents for the magazine since the Relotius scandal.December 2022, Der Spiegel retracted articles and a podcast concerning the alleged death of a refugee girl named “Maria” on an islet in the Evros River at the Greece–Turkey border. Investigations revealed that the story was fabricated, marking one of the most significant fake news incidents for the magazine since the Relotius scandal.
Ok, it doesn’t make Dr. Schneider less dubious, but wow ‘the pot calling the kettle black’ much?
LikeLiked by 1 person
Inadvertent copy/paste duplications occurred in my comment above; however, the conclusions remain unaffected.
LikeLike
Be fair. If Fulda’s lawyers approached me with a fat money offer, I would’ve written much worse things about that Schneider.
LikeLike
“Do you think Gdansk Polytechnic will ever let Saeb go? Or do I have to write an extra article about that rotten papermiller?” – I guess it has, the affiliation in 2024’s paper points to Medical University of Gdańsk
LikeLike
Yes, it is very confusing.
Saeb however was awarded by Gdansk Polytechnic in December 2024, as you read. And he remains listed as Nobelium fellow.
LikeLike
He wasn’t sacked, he just decided to transfer to the Medical University’s Pharmacy Dept. (which is, by the way, just a few hundred meters from PG and forms a federation called Fahrenheit Universities along with the University of Gdansk)… it might have something to do with the end of a research project.
LikeLike
Which research project?.Saeb doesn’t do “research”, he buys it.
I hope Polish media will pick up his case eventually
LikeLike
Another E3S event is gone. That one has supposedly been held in London, by Ukrainians.
https://www.e3s-conferences.org/articles/e3sconf/abs/2023/93/contents/contents.html
LikeLike
@Leonid Schneider
Sorry, I didn’t make my point clearly. I know MRS’s research is a pile of dung. PG didn’t sack MRS and there was no inquiry into his “research” even though PubPeer is full of his papers. Our rector pretends nothing happened and Bilal’s papermilling was an isolated case, or not even that: the rector and the spokesman actually suggested Bilal left the position voluntarily due to bad workplace atmosphere and false accusations. MRS grant on PG run out so he moved to another place to exploit another opportunity. I am not aware of any real actions taken by PG or by the ministry of science, which is really depressing for me as a scientist, PG employee, and Polish citizen 😦
LikeLike