Sholto David studied some pharmacology papers from Egypt. Turns out, these often operate on the principle of vintage video games about one-on-one combat. A randomly selected substance A is pitted against a randomly selected substance B, some animal experiments and histochemistry data are fabricated to pad up the content, and you have a nice clinically-relevant toxicology research study. Often B is toxic, and A is its antidote. Yet sometimes A is toxic as well, and the poisonous B from one Egyptian paper turns up as a curative antidote A in another.
Importantly, it all passes peer review by expert editors and reviewers, often in allegedly respectable journals. No matter how silly or fake.

Egyptian Toxicology Mortal Combat
By Sholto David
Some fields of research appear to be so overrun with corrupt papers we might know less than nothing about the subject of study. Research into non-coding RNA is probably the greatest example. As publishers finally catch up, reviews of the literature have bibliographies citing dozens of retracted papers and researchers are left to hopelessly search the rubble for any surviving facts. In 2023 the following line concerning the non-coding RNA SNHG1 was published in a BMC Cancer paper:
“Further information regarding the biological activity of SNHG1 in cancer is difficult to ascertain, due to the literature being corrupted by fabrication of papers for profit. In fact, the current studies grew from a now retracted paper connecting SNHG1 to YAP1…”
Zielske et al 2023
I don’t think it is controversial to say that most of the non-coding RNA mischief is produced in China and it is an interesting observation that specific types of research maleficence are favoured in different countries.
The papers are coming from inside the house!
“It feels like half the higher-echelon professors at Jilin University have built their careers on these fairy-tales, with successions of papers itemising the interactions of ADAM10 or GRIM-19. […] if only they had published instead about the Tooth-Fairy circ-RNA and how it targets the Easter-Bunny Pathway…”, – Smut Clyde
To me as a “concerned reader” of toxicology research for several years, it is apparent that Egyptian contributions to the literature are less than convincing. I am not the first to observe this, Leonid wrote about Naunyn–Schmiedeberg’s Archives of Pharmacology (NSAP) in January 2023 – having effectively banned submissions from China (because of the non-coding RNA issue) the journal was instead inundated with fake research from Pakistan, Iran, and Egypt:
An attractive and “natural” target for fraudsters
“In the various excellent texts on paper mills the question is discussed why Naunyn-Schmiedebergs Archives of Pharmacology has become a target for fake papers. I oppose the assumption that we simply want to fill pages with pseudo-scientific content. We actually look for quality and good science.” – Prof Dr Roland Seifert, Editor-in-Chief
While Leonid’s blog covered the full spectrum of fakery published by NSAP, much of it uncovered by Mu Yang under the pseudonym Dysdera arabisenen, I want to zoom in on a particular type of image problem which seems especially favoured by researchers from Egypt, and I will also cast the net more widely to capture a few more of the journals implicated. An excellent place to start is Elsevier’s proud bastion of stupidity, Toxicology Reports! So here is the illuminating example, essential oils curing heavy metal poisoning:
Kawthar A. Diab, Noha E. Ibrahim, Maha A. Fahmy, Emad M. Hassan, Enayat A. Omara Inhibitory activity of flaxseed oil against CdCl2 induced liver and kidney damage: Histopathology, genotoxicity, and gene expression study Toxicology Reports (2020) doi: 10.1016/j.toxrep.2020.08.023

The problem with this figure is the multiple duplicated elements within each image, I’ve added the coloured rectangles to show where I mean… And all of the following examples will contain cloned areas in histology images. I posted on PubPeer about this paper in May of 2023, then shared my findings with the Elsevier and the editor-in-grief Larry Lash in September 2023. In December 2023 I was assured that I would be “timely informed of the outcome” by Elsevier’s infamous “ethics expert”, Mihail Grecea. The dream team have now had 17 months to find the retract button, who knows what the source of delay might be? In fact, there are more duplicated areas in this figure, feel free to add your own rectangles and share with Elsevier or Larry.
Lashing out at Toxicology Reports
“What exactly will Lash and Elsevier do with these 115 problematic papers? I can only expect a painfully inadequate response.” – Sholto David
The last author of the above paper is Enayat A. Omara, according to their ResearchGate profile picture, they are a six-year-old girl, working at the National Research Center, Egypt. Interestingly this stock photo is also used by another related author on ResearchGate, Eman Youness, and an Arabic language Facebook page which translates to “advice for the best wife”, as well as numerous other social media accounts…

Don’t be fooled by her childlike appearance, Omara has published not only in Toxicology Reports (which will publish anything and defend it), but also in several journals hosted by Springer Nature (which, to be fair, isn’t so scrupulous either). The following examples are annotated entirely by ImageTwin.ai, although there are certainly more cloned regions which it does not highlight.
Example Nr 1, spiced by Egyptian sage herb:
Maha A. Fahmy, Kawthar A. Diab, Negm S. Abdel-Samie, Enayat A. Omara, Zeinab M. Hassan Carbon tetrachloride induced hepato/renal toxicity in experimental mice: antioxidant potential of Egyptian Salvia officinalis L essential oil Environmental science and pollution research (2018) doi: 10.1007/s11356-018-2820-6
The journal has been already ridiculed by Alexander Magazinov, as the result the Editor-in-Chief Philippe Garrigues had to stand aside and let the publisher issue mass retractions:
Environmental Pseudoscience and Polluted Research
“We are living in a faked world and there is a lot of un-verified avatars. “, Philippe Garrigues, EiC
Example Nr 2, in the same journal and with the same herb, and again advised as antidote for accidental ingestion of fire extinguisher content:
Kawthar Ae Diab, Maha A Fahmy, Zeinab M Hassan, Emad M Hassan, Adel B Salama, Enayat A Omara Genotoxicity of carbon tetrachloride and the protective role of essential oil of Salvia officinalis L. in mice using chromosomal aberration, micronuclei formation, and comet assay Environmental science and pollution research (2018) doi: 10.1007/s11356-017-0601-2
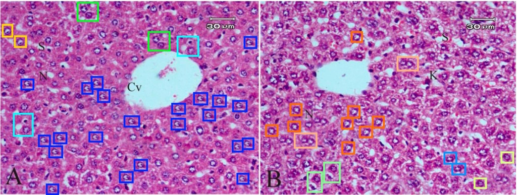
Example Nr 3 recommends mulberries against paracetamol overuse:
Kawthar A. Diab, Maha A. Fahmy, Emad M. Hassan, Zeinab M. Hassan, Enayat A. Omara, Negm S. Abdel-Samie Inhibitory activity of black mulberry (Morus nigra) extract against testicular, liver and kidney toxicity induced by paracetamol in mice Molecular Biology Reports (2020) doi: 10.1007/s11033-020-05265-1
As well as journals hosted by mainstream publishers, Omara also publishes in the usual array of predatory and fringe outlets, for example, who has heard of the British Microbiology Research Journal? Probably not many people, because it was subsequently renamed to Microbiology Research Journal International… Presumably because it was never really British in the first place.
Maybe nobody else could be convinced that a disease-causing and drug-related pathogenic yeast was the cure against fungal toxins in food:
Wafaa Haggag, Enayat Omara, Somaia Nada, Hamdy Eleid, Hassan Amra Rhodotorula glutinis and Its Two Mutants Ameliorate Hepato-Renal Dysfunction Induced by Ochratoxin A on Rats British Microbiology Research Journal (2014) doi: 10.9734/bmrj/2014/10805

Another example in Journal of Applied Pharmaceutical Science, last author Jhehan Micky, sadly the tortured image to prove the curative effects of the Horsetail knotweed was supposedly derived from a rat, depriving us of a satisfying mouse pun.
Sayed Abdel Hamid El-Toumy, Josline Yehia Salib, Nabila Helmi Shafik, Asmaa Sayed Abd Elkarim, Abeer Salama, Enayat Abdel Aziz Omara, Jhehan Micky Evaluation of hepatoprotective activity of Polygonum equisetiforme methanolic extract Journal of Applied Pharmaceutical Science (2019) doi: 10.7324/japs.2019.91107
Fig 1A

Most recently Omara published in the Innovation Forever Publishing Group’s journal Innovation Discovery. This time, it is not about a herb but an amino acid supplement, and it is declared to be an antidote to adrenaline:
Omar M.E. Abdel-Salam, Marawan Abd El Baset, Enayat A Omara, Amany A. Sleem Protection by L-arginine against Epinephrine-induced Arrhythmia and Cardiotoxicity Innovation Discovery (2024) doi: 10.53964/id.2024012 issn: 2959-5150
But it isn’t only Omara with access to Photoshop in Egypt, other teams of apparently unrelated authors engage in the same behaviour. Figure 3A, B, and D below are all derived from the same original image, and this really should have been obvious to anyone who looked at the images, so I guess no one did! This time Taylor & Francis are on the hook. Once again, one substance is declared to be an antidote to another substance. Here, a cardiovascular drug in mortal combat against an oncological chemotherapeutic:
Asmaa Mohamed Abdel-Aziz, Ahmed Sayed Mahmoud Mohamed, Osama Abdelazem, Ahmed Mohamed M. Okasha, Maha Yehia Kamel Cilostazol protects against cyclophosphamide-induced ovarian toxicity in female rats: role of cAMP and HO-1 Toxicology Mechanisms and Methods (2020) doi: 10.1080/15376516.2020.1774829
Another Elsevier-hosted paper about duelling drugs, by a different team of authors, this time in the thematically-named journal The Egyptian Rheumatologist. Betteridge’s Law of Headlines applies:
Afaf S. Osman, Dina A. Aly Labib, Abeer I. Omar Do acid suppressive drugs (pantoprazole and ranitidine) attenuate the protective effect of alendronate in estrogen-deficient osteoporotic rats? The Egyptian Rheumatologist (2018) doi: 10.1016/j.ejr.2017.08.003
Of course, whenever there is money to be made from trash “science” MDPI appears cap in hand, ready to collect their rightful share of the article processing charges. MDPI reliably burnishes papers with outlandish titles so one can be assured there really is no point in reading the contents, hence: “Benchmark Dose Approach to DNA and Liver Damage by Chlorpyrifos and Imidacloprid in Male Rats: The Protective Effect of a Clove-Oil-Based Nanoemulsion Loaded with Pomegranate Peel Extract” was published by Toxics in 2023, perhaps this is an example of aposematic signalling in publishing?
Alia Ahmed Abdel-Hamid Omar, Marwa Farouk Gad, Amel A Refaie, Hemmat Mansour Abdelhafez, Abdel-Tawab H Mossa Benchmark Dose Approach to DNA and Liver Damage by Chlorpyrifos and Imidacloprid in Male Rats: The Protective Effect of a Clove-Oil-Based Nanoemulsion Loaded with Pomegranate Peel Extract Toxics (2023) doi: 10.3390/toxics11070569
Naturally Frontiers earns a mention, but I will grant that these are harder to see… In the blue corner: a noradrenalin derivate, in the red corner: an antibiotic! Fight!
Walaa Yehia Abdelzaher, Sabreen Mahmoud Ahmed, Nermeen N. Welson, Khalaf F. Alsharif, Gaber El-Saber Batiha, Dina A. Aly Labib Dapsone Ameliorates Isoproterenol-Induced Myocardial Infarction via Nrf2/ HO-1; TLR4/ TNF-α Signaling Pathways and the Suppression of Oxidative Stress, Inflammation, and Apoptosis in Rats Frontiers in Pharmacology (2021) doi: 10.3389/fphar.2021.669679
Navigating further up (or perhaps down) the predatory food chain, we arrive at OMICS International’s Journal of Diabetes & Metabolism, where a popular stem cell clinic scam proves effective against diabetes:
Nashwa Fathy El Tahawy, Rehab Ahmed Rifaai, Entesar Ali Saber, Saadia Ragab Saied, Randa Ahmed Ibrahim Effect of Platelet Rich Plasma (PRP) Injection on the Endocrine Pancreas of the Experimentally Induced Diabetes in Male Albino Rats: A Histological and Immunohistochemical Study Journal of Diabetes & Metabolism (2017) doi: 10.4172/2155-6156.1000730

Unfortunately for rats and mice residing in Egypt there are so many toxic substances that might be ingested, and an even greater number of substances poised to ameliorate the resulting damage, I doubt the tormentors will ever run out of ideas. Local publisher “Egyptian Journals” exists to ensure that every last combination of noxious substance vs. miraculous cure will definitely be published somewhere… Supplement: check. Stem cells: check. Exosomes: check. Sleepy melatonin against a ball-breaking chemotherapeutic! Fight!
Rania Mohamady, Mohamed Zaky, Helpies Shenouda, Sahar Abd_elmonem The possible protective role of melatonin and exosomes derived from Mesenchymal stem cells on cisplatin induced testicular injury in adult male albino rats: Histological and Immunohistochemical study Egyptian Journal of Histology (2023) doi: 10.21608/ejh.2023.214373.1902

For those who started to miss Enayat Omara and her herbal weapons of mass destruction. Eucalyptus essential oil against a double-faced antibiotic-chemotherapeutic! Fight!
Asmaa S. Salman, Kawthar A. Diab, Maha A. Fahmy, Emad M. Hassan, Zeinab M. Hassan, Enayat A. Omara, Ayman A Farghaly Eucalyptus globulus Essential Oil modulates Genotoxicity and Histological Alterations Induced by Mitomycin C in Mice Egyptian Journal of Chemistry (2024) doi: 10.21608/ejchem.2024.273311.9399
Fig 5

Another Egyptian teams puts up a popular oriental spice to beat up a chemotherapeutic! Fight!
Shereen Abd-Elaleem, Hala Ahmed, Nashwa El-Tahawy, Ahlam Abdalla, Bothina Kamel Protective Role of Nigella Sativa Oil in Chronic Cyclophosphamide Toxicity on Urinary Bladder and Liver’s Rats Mansoura Journal of Forensic Medicine and Clinical Toxicology (2012) doi: 10.21608/mjfmct.2012.47770
And to finish we can circle back to this start of this blog, because despite Leonid’s January 2023 warning to NSAP, the very next month the following paper was received (another of Enayat Omara’s artistic submissions), reviewed, and then published in June 2023.
Coffee nanoparticles against obesity, who can say no to that?
Hussein G. Sawie, Yasser A. Khadrawy, Mayada M. El-Gizawy, Hagar H. Mourad, Enayat A. Omara, Eman N. Hosny Effect of alpha-lipoic acid and caffeine-loaded chitosan nanoparticles on obesity and its complications in liver and kidney in rats Naunyn-Schmiedeberg’s Archives of Pharmacology (2023) doi: 10.1007/s00210-023-02507-4
Predictably, journals continue to accept new submissions in this genre and (naturally) most of the flawed papers have never been identified, let alone retracted. Whilst I’m sure there must be more, I’m only aware of two retraction notices; one by PLOS ONE (Identified by Cheshire) and another in Elsevier’s Biomedicine & Pharmacotherapy (Identified by Mu Yang).
Apparently synthetic periwinkle extract doesn’t help against arginine, while the latter as we learned above helps against adrenaline… Does adrenaline help against vinpocetine then? An idea for an Egyptian toxicology mortal combat paper, send us money if you wish to be a coauthor!
Walaa Yehia Abdelzaher, Sabreen Mahmoud Ahmed, Nermeen N Welson, Najat Marraiki, Gaber El-Saber Batiha, Maha Yehia Kamel Vinpocetine ameliorates L-arginine induced acute pancreatitis via Sirt1/Nrf2/TNF pathway and inhibition of oxidative stress, inflammation, and apoptosis Biomedicine & Pharmacotherapy (2021) doi: 10.1016/j.biopha.2020.110976
So, the outlook is bleak and there is no positive conclusion, in fact I think the painful truth is that most of this research is pointless and will never lead to any useful or replicable findings even when the figures are not photoshopped. Almost every banana peel, orange skin, camel urine, and Red Bull-related toxicology paper published by Egyptians is unlikely to represent a valuable contribution to scientific knowledge. I think it is quite telling that there are no surprising findings, toxic things are toxic, protective substances always protect, innovation forever indeed!
Some people wonder why these images are digitally altered in the first place, and I mostly don’t care, stupid people do stupid things, it is often best not to spend too long thinking about it. After all it was an Egyptian who once told me (and I quote):
“10% editing is acceptable as long as we didn’t modify the significant features”
Bassma H. Elwakil
It was about snail mucus.
Aalaa A. El-Attar, Hamdy B. El-Wakil, Ahmed H. Hassanin, Basant A. Bakr, Tahani M. Almutairi, Mohamed Hagar, Bassma H. Elwakil, Zakia A. Olama Silver/Snail Mucous PVA Nanofibers: Electrospun Synthesis and Antibacterial and Wound Healing Activities Membranes (2022) doi: 10.3390/membranes12050536
The tools I used to find these errors are ImageTwin.ai and Forensically (clone detection). I also just look very carefully at the images. It is helpful to look for features placed in a similar orientation (i.e. when the image appears to have an unexpected “direction of travel”), or try to find interupted and mismatched biological features such as half a cell, or a perfectly straight line where one is not expected, keep an eye out for a mixture of blurred and focused elements. Feel free to share any more examples, I have a spreadsheet where I collect them.















Very informative post about toxicity studies and some researchers’ ‘toxic’ relationships with their data. It’s great that, to some extend, you are interested in understanding the combat team’s motivations while using your time efficiently and not dwelling on things that seem pointless. Some people wondering about the rationale behind digitally altered images are probably researchers like you, who are habitually asking the question ‘Why ?’. If the incentives are the driving force, it means something in that domain needs to change. Would they do what they do, if there was no ‘authorship’, but contribution to knowledge generation was evaluated using a different criteria ? If this behavior is part of a personality trait, one may ask why so many of these individuals are clustered in one place (academia). Is there something in the system that leaves an open door for people with certain pathological traits ? The answer is likely both. Until these issues are addressed, ‘Imaging for Dummies’ might just save the day.
LikeLike
Sola dosis facit venenum. “All substances are poisons; there is none which is not a poison. The right dose differentiates a poison from a remedy. — Paracelsus” (from my day 1 graduate general toxicology notes 1994, Rutgers University, and quoted from Casarett and Doull’s Toxicology Text, 5th Edition intro page.
Thus this translates to a glorious and endless reservoir of ChatGPT papers and pathology data to be Photoshopped to perfection. =/
LikeLike
Bravo!
LikeLike
Now for some good news: Ranga Dias got canned, finally.
https://www.nature.com/articles/d41586-024-03796-2
Maybe there is a god after all.
LikeLiked by 2 people
Springer Nature concedes that perhaps black mulberry cannot prevent testicular damage caused by paracetamol in mice. Shame! https://link.springer.com/article/10.1007/s11033-026-11459-w
LikeLiked by 1 person