In late 2024, the Springer Nature journal Scientific Reports faced some criticism and announced to crack down on research fraud and deploy an enormous research integrity team of full-time employed experts, armed with advanced AI technology, to make sure that no further fraud gets published.
Sholto David looks back at 2025 and he is not convinced the publisher’s plan had worked out.
Scientific Reports 2025: A Year in Review
by Sholto David
Towards the end of 2024 I signed an open letter that was published on Dorothy Bishop’s excellent blog, you can read the letter here. Here’s a short extract:
“[We] are concerned that Springer Nature is failing in its duty to protect the scientific literature from fraudulent and low quality work”
At the time I was reluctant to sign the letter, mostly because I felt that Springer Nature has no interest in my opinion. Since then I have come to regret signing the letter, not because there was anything wrong with the content, but because it betrays a naive assumption that the team at Springer Nature have any interest in fixing the problem. Springer Nature’s research integrity director Chris Gaffe Graf gave to RSC’s Chemistry World a typical response lacking any accountability, if anything it seemed boastful in parts:
“Scientific Reports has an in-house team who are dedicated to ensuring that the journal operates with integrity. They are an excellent team who care enormously about the journal and the research it publishes. They are committed to investigating every issue raised with them, including concerns raised about both editorial board members and papers […]
Fraudulent submissions are a challenge for the entire publishing industry. Ensuring the veracity of the scientific record is a priority for Scientific Reports and everyone at Springer Nature, with our research integrity team dedicated to this goal, and we are continuing to grow and invest in this area. We have increased our full-time employees in pre-checks and in our dedicated research integrity team by almost 200 who, supported by continued investment in detection technology, scrutinise incoming content and address any concerns that may arise either pre or post publication.”
Lashing out at Toxicology Reports
“What exactly will Lash and Elsevier do with these 115 problematic papers? I can only expect a painfully inadequate response.” – Sholto David
In the year since this open letter, Scientific Reports has intensified the publishing frenzy. From 32,181 papers in 2024 up to 47,363 papers in 2025, around a 50% increase. Frankly, it isn’t credible that this “excellent” team managed to increase the article count and the quality.
In this blog I write about papers published by Scientific Reports in 2025, so we could consider it to be a sort of “wrap-up” of highlights and special achievements in the world’s biggest scientific journal™ in 2025.
Starting of course with Chinese cancer research; the problem of overlapping areas in invasion and migration assay images has never been solved, here’s an example that should have been easy to spot, especially with all the work gone into documenting and describing the problem by Reese Richardson and Jennifer Byrne (Richardson et al 2025, see also August 2025 Shorts).
Guanglin Shi, Jiashuai Wei, Subi Rahemu, Jiujian Zhou, Xia Li Study on the regulatory mechanism of luteolin inhibiting WDR72 on the proliferation and metastasis of non small cell lung cancer Scientific Reports (2025) doi: 10.1038/s41598-025-96666-4

A correction was “formally submitted” in May 2025 but never materialised. Here’s another one which did receive a correction, instead of the announced retraction!
Fuao Xing, Yimin Liu, Faming Tian, Xiaoli Hou, Qiangqiang Lian, Yunpeng Hu, Lei Xing, JingYuan Gao, Xinhao Fan BMP2 expression in oral squamous cell carcinoma and its effects on SCC9 cell biological behavior Scientific Reports (2025) doi: 10.1038/s41598-025-96274-2

Scientific Reports‘ excellent team decided to correct the paper instead, in May 2025. I can’t really understand what was corrected, it seems there are still a large number of overlapping areas in both the original and updated article. Does anyone really believe this work is authentic anyway?
This histology collage is also in the bleeding-obvious category. I’ve joked before that if Springer Nature has any tools for image analysis, the one they seem to employ most often is the blindfold:
Kun Deng, Jiaojiao Wang, Xia Zhou, Yuanyuan Geng, Weiquan Liu, Yiheng Zhang, Yuangang Liu, Wei Jiang A promising platform of hypoxia sensitive magnetosomes in hepatocellular carcinoma therapy Scientific Reports doi: 10.1038/s41598-025-10353-y

As I mentioned in the PubPeer thread for the above paper, the authors used cell lines that are long known to be either wrongly categorised (HepG2) or contaminated (HL-7702), Jiang assures however that this was “an error in biological descriptor accuracy and does not invalidate the experimental observations themselves“.
In fact, Scientific Reports publishes a large number of papers with inappropriate, contaminated, or wrongly described cell lines, (often alongside duplicate or manipulated data), for example this paper on gastric cancer used HepG2 cells for no clear reason (in fact the figure legend says they are gastric cancer cells which they are not), as well as the known HeLa contaminated SGC-7901 cell line, and includes a series of duplicate flow cytometry plots for good measure:
Yamin Xing, Guangyuan Li, Ganggang Li, Jixuan Xu, Ting Zhang, Mengxue Li, Chunxiao Gao, Miaoran Fu, Pengyuan Zheng, Xiufeng Chu MT1H inhibits the growth of gastric cancer by regulating SLC6A19/TTC39B/ADM2 and activating p53-dependent autophagy Scientific Reports (2025) doi: 10.1038/s41598-025-91319-y

Similarly, this paper includes overlapping images in addition to reporting analysis of the HeLa contaminated SMMC-7721 and L-02 cell lines, and the wrongly described HepG2 cell line.
Shenglan Huang, Kan Liu, Yongkan Xu, Hua Wang, Shumin Fu, Jianbing Wu
hsa_circ_0008305 facilitates the malignant progression of hepatocellular carcinoma by regulating AKR1C3 expression and sponging miR-379-5p Scientific Reports (2025) doi: 10.1038/s41598-025-85737-1


Figure 3E.
Jianbing Wu assured: “this was unintentional and and does not affect the scientific conclusions“
An Author Correction appeared in September 2025, where “Figure 3E and Figure 8I have been corrected; Figure 7L remains unchanged as it presents accurate results.“
Or, you can see another paper Xing et al 2025, or Xi et al 2025 – one cell line wrongly described, one misnamed, one contaminated, out of four cell lines used. Wrongly categorised and contaminated cell lines are hardly a new problem or something the team at Scientific Reports could claim to be unaware of, the very least they could do is automate this check. Even manually checking in Cellosaurus is a 2-minute task.
Of course there are many other types of daft papers published in Scientific Reports, apart from Chinese cancer research. Every type of carbon nanomaterial must also be fed to animals in the endless games of toxicity top trumps:
Iqra Nasim, Nadia Ghani, Rab Nawaz, Emilio Mateev, Yousef A. Bin Jardan Investigating the impact of Multiwalled Carbon Nanotubes exposure on enzymatic activities and histopathological variations in Swiss albino mice Scientific Reports (2025) doi: 10.1038/s41598-024-77526-z


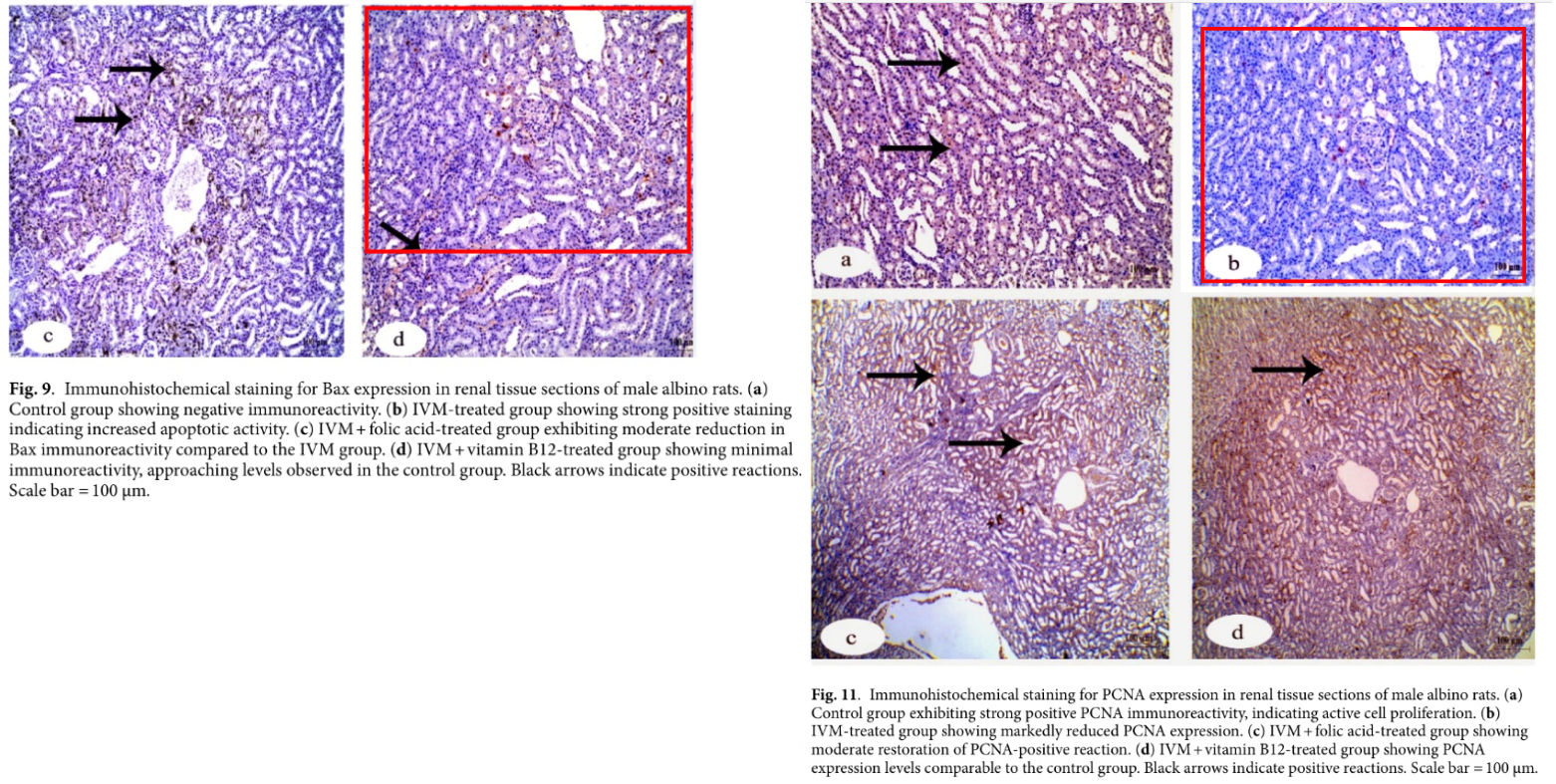
This one is a blatant attempt at search engine optimisation with Vitamin B12, Ivermectin, and Folic acid all namechecked in the title…
Rana A. Ali, Yahia A. Amin, Zeinab A. Mar’ie, Asmaa M. Mosa, Seham A. Mobarak Ameliorative effect of folic acid and vitamin B12 against Ivermectin-induced hepatotoxicity, renal toxicity, oxidative stress and immunohistochemical changes in male albino rats Scientific Reports (2025) doi: 10.1038/s41598-025-23047-2

Figure 7: Unexpected overlap between images that should show different treatment conditions.

And Scientific Reports are still happy to publish these sort of nutty Egyptian articles with crazy photoshopping:
Abdullah Abdel-Aal, Abdel-Aziz A. F, Zakaria El-Khayat, Nadia Mohamed, Merit Rostom, Emad Tolba, Nihal Galal El-Din Shams El-Din, Walaa S. A. Mettwally, Abdelhamid Aly Hamdy Chitosan nanoencapsulation of Turbinaria triquetra metabolites in the management of podocyturia in nephrotoxic rats Scientific Reports (2025) doi: 10.1038/s41598-024-82463-y

Figure 7: There are a very large number of duplicated elements in the histology images and overlapping areas between images.
I made an effort to characterise the format of these articles about a year ago, I suppose no-one at Springer Nature read it:
Egyptian Toxicology Mortal Combat
“Stupid people do stupid things, After all it was an Egyptian who once told me: “10% editing is acceptable as long as we didn’t modify the significant ” – Sholto David
Scientific Reports also hosts fake comet assays which are mostly an Egyptian and Saudi hobby. I also wrote about these earlier this year (read below), apparently to little avail (although Wiley has retracted one).
Comet Hunting
“if you can solve a captcha you should be able to identify fabricated comet assay images. If you can’t, you can absolutely sit this one out, Springer Nature probably has a job for you instead.”- Sholto David
Here’s an example unmolested in Scientific Reports in 2025.
Dina A. Refaay, Mostafa M. El-Sheekh, Yasmin M. Heikal, Ahmed A. Rashed Characterization of some selected macroalgae extracts and assessment of their insecticidal and genotoxicity in Culex pipiens L. mosquito larvae Scientific Reports (2025) doi: 10.1038/s41598-025-86347-7

But it’s not only Egyptians, Saudis, and Chinese that need to paid attention to. Old favourites still find space in Scientific Reports, how about Michael R. Hamblin with a targeted co-delivery?
Ayuob Aghanejad, Shiva Kheiriabad, Maryam Ghaffari, Simin Namvar Aghdash, Neda Ghafouri, Jafar Ezzati Nazhad Dolatabadi, Hashem Andishmand, Michael R. Hamblin Targeted co-delivery nanosystem based on methotrexate, curcumin, and PAMAM dendrimer for improvement of the therapeutic efficacy in cervical cancer Scientific Reports (2025)
doi: 10.1038/s41598-024-82074-7

Figure 3: Each of the four images should show different preparations, but D is a magnification of A which is unexpected.
This figure comes courtesy of scientists at US based biotech Cognition Therapeutics, which develops “oral medications designed to treat neurodegenerative disorders“, especially Alzheimer’s:
Britney N. Lizama, Eloise Keeling, Eunah Cho, Evi M. Malagise, Nicole Knezovich, Lora Waybright, Emily Watto, Gary Look, Valentina Di Caro, Anthony O. Caggiano, J. Arjuna Ratnayaka, Mary E. Hamby Sigma-2 receptor modulator CT1812 alters key pathways and rescues retinal pigment epithelium (RPE) functional deficits associated with dry age-related macular degeneration (AMD) Scientific Reports (2025) doi: 10.1038/s41598-025-87921-9

Figure 4a: Unexpected overlap between images that should show different experimental conditions.
And this one from the university of Delaware…
Nicole J. Toney, Lynn M. Opdenaker, Lisa Frerichs, Shirin R. Modarai, Aihui Ma, Holly Archinal, Grace O. Ajayi, Jennifer Sims-Mourtada B cells enhance IL-1 beta driven invasiveness in triple negative breast cancer Scientific Reports (2025) doi: 10.1038/s41598-025-86064-1

The duplicates in the following figure are from NIH’s very own National Center for Advancing Translational Sciences:
Rintaro Kato, Li Zhang, Nivedita Kinatukara, Ruili Huang, Abhinav Asthana, Claire Weber, Menghang Xia, Xin Xu, Pranav Shah Investigating blood–brain barrier penetration and neurotoxicity of natural products for central nervous system drug development Scientific Reports (2025) doi: 10.1038/s41598-025-90888-2

Figure 7: Pink rectangles are duplicates.
We can also visit France for more green stuff!
Martin Nicol, Benjamin Deniau, Roza Rahli, Magali Genest, Evelyne Polidano, Noma Assad, Jane-lise Samuel, Alexandre Mebazaa, Alain Cohen Solal, Feriel Azibani Streptozotocin-induced hyperglycemia unmasks cardiotoxicity induced by doxorubicin Scientific Reports (2025)
doi: 10.1038/s41598-025-91824-0

Figure 2: Unexpected overlap between images that should show different experimental conditions.
Or we can visit some ophthalmologists in South Korea:
Joo-Hee Park, Choul Yong Park The effect of molecular weight of hyaluronic acid on corneal cell viability Scientific Reports (2025) doi: 10.1038/s41598-025-21960-0

And one must never exclude the Italy in such discussions of image manipulation! Here, the legendary University of Messina in Sicily:
Giovanna Calabrese, Damiano Genovese, Dario Morganti, Maria Giovanna Rizzo, Emanuele Luigi Sciuto, Giuseppe Nicotra, Barbara Fazio, Riccardo Bendoni, Stefano Squarzoni, Luca Prodi, Sabrina Conoci Core-shell silica and fluorogenic hyaluronan nanomaterials in magnesium hydroxyapatite scaffolds for bone regeneration Scientific Reports (2025) doi: 10.1038/s41598-025-21902-w

Associate professor Giovanna Calabrese already managed to publish a bad paper in Scientific Reports a decade ago (Calabrese et al 2016), which Mu Yang flagged in 2024, to no effect unfortunately.
Uni Messina, money for nothing & brothers in arms
“The University of Messina was, in short, a good business that appealed to many, including organized crime on both sides of the Strait of Messina.” – Aneurus Inconstans
Here’s an interesting collaboration between Saudi, Pakistani, and urm… Minneapolis-based researchers at Veterans Affairs (VA):
Saba Naz, Ahmat Khurshid, Syed Mujtaba Ul Hassan, Tayyaba Afsar, Sumbal Javaid, Fohad Mabood Husain, Janeen H. Trembley, Suhail Razak Fagonia indica extract encapsulated in PLGA nanocarriers demonstrated enhanced therapeutic efficacy through improved intracellular uptake of photoactive metabolites Scientific Reports (2025) doi: 10.1038/s41598-025-05163-1



Janeen H. Trembley has more on PubPeer, which probably qualified her to serve as Chair of Institutional Animal Care and Use Committee at Minneapolis VA. Her Saudi-based coauthor Suhail Razak assured “this is truly by editing error“, and announced to correct Figure 12.
Luck in Sight
“It seems hard to accept any explanation that doesn’t somehow incriminate most of the people involved” – Sholto David
My last blog (above) was about a German lab who turned out to have published doctored images in a large number of journals, but the first paper I spotted was (unsurprisingly) published by Scientific Reports this year.
Sabrina Reinehr, Julia P. Zehge, Katharina Klöster, Maike Mueller, Hasan H. Hendek, Michael Sendtner, H. Burkhard Dick, Ralf Gold, Stephanie C. Joachim, Simon Faissner Retinal degeneration driven by brain-derived neurotrophic factor deficiency in microglia and T-lymphocytes Scientific Reports (2025) doi: 10.1038/s41598-025-21423-6

In the category of “does anyone even read the manuscripts”: an “interactome network” with no names, a heat map with labels so crowded it is impossible to interpret, both in the same paper. What are we supposed to understand from these figures?
Pradeep Kumar Yadalam, Deepavalli Arumuganainar, Prabhu Manickam Natarajan, Carlos M. Ardila Predicting the hub interactome of COVID-19 and oral squamous cell carcinoma: uncovering ALDH-mediated Wnt/β-catenin pathway activation via salivary inflammatory proteins Scientific Reports (2025) doi: 10.1038/s41598-025-88819-2


In fact, Scientific Reports contains many squashed, illegible, and meaningless figures. Here’s an EDX spectrum, if you are brave, you might be able to guess what the labels of the peaks show… The same paper also includes overlapping images.
Noha E. AbdElhafeez, Salama M. El-Darier, Tatiana N. Gryazneva, Hussein A. Motaweh, Samy A. El-Aassar, Aliaa M. El-Borai Assessment of the antimicrobial efficacy of probiotics, biosynthesized silver nanoparticles, and their combination with physical irradiations against cattle endometritis pathogens Scientific Reports (2025) doi: 10.1038/s41598-025-18623-5

The author’s response on PubPeer raises more questions. Aliaa M. El-Borai said:
“the yellow letters were given by us to collect figures of different concentrations in one figure. the black marks are not nanoparticles, they are SEM annotation labels. The software displayed measurements spots automatically and we cannot remove them. While the white marks also are not nanoparticles, they are imaging artifacts caused from annotation or compression during figure preparation.”
Although I mostly like to look at images, reading papers is revealing too, here’s a recently published trial, examining the effects of badminton on learning in Chinese children. The researchers chose to exclude any ethnic minorities or left-handers from their study… why?!
Yang Wang, Qiyi Wang, Xiaoxiao Dong, Jia Yang, Kelong Cai, Dandan Chen, Aiguo Chen Effects of 10-week modified badminton curriculum on physical fitness and sustained attention in elementary school children Scientific Reports (2025) doi: 10.1038/s41598-025-25718-6
“The inclusion criteria were as follows: (1) Han ethnicity; (2) fifth-grade students within the designated age range; (3) no severe chronic diseases or motor impairments preventing participation in badminton activities; and (4) right-handedness.”
The same ethics code has been used by the last author (Aiguo Chen) for two other trials on different interventions and participants, one in another Springer Nature journal (Xu et al 2025a), and another in a Frontiers journal (Xu et al 2025b, mostly with Polish-affiliated authors). As the old joke goes: Never ask a woman her age, a man his salary, or a Chinese researcher about their ethical approval.
Chinese genetics of Uyghur face prediction
Who would have known that Uyghur DNA, used by Chinese state security for genetics research into racial profiling and face prediction, was obtained under coercion? Four papers by Caixia Li et al are now retracted.
Here’s a fun paper in the green chemistry category. I sent an email about this to the integrity team at Springer Nature. The problem should be self explanatory to anyone who can read a PubPeer thread.
Shahin Karamifar, Zahra Behrouz, Reza Ahdenov, Sahar Alizadeh A novel electrode design using Cu-TCPP MOF-modified MWCNT for efficient electro-organic cross coupling synthesis of biphenyl derivatives in a Urea/Chol-Cl DES system as a green and sustainable electrolyte Scientific Reports (2025) doi: 10.1038/s41598-025-21256-3


I received an email response from Jaykumar Lohar who has the job title of Executive – Journal Support at Springer Nature Group on his Linkedin profile…
“Greetings for the day! I hope this email finds you well. Can you elaborate on the email please?“
But what can he possibly expect me to elaborate on? The short email I sent contains a link to the PubPeer thread. Do I need to explain every time I email Springer Nature what PubPeer is? Does he need me to explain the concept of scanning electron microscopy, too? Well maybe, apparently he is a political science graduate. Why was he even responding to the email?
In fact, this is now standard practice. Springer Nature has outsourced these jobs to India with predictable results. I sent an email about another paper…
Xiao Wu, Yameng Liu, Yinxi Hu, Fang Su, Zishu Wang, Yongxia Chen, Zhixiang Zhuang Leucine rich repeat containing 15 promotes triple-negative breast cancer proliferation and invasion via the ITGB1/FAK/PI3K signalling pathway Scientific Reports (2025) doi: 10.1038/s41598-025-98661-1



To which I received the following response from Springer Nature’s assistant editor Vidhya Jadhav:
“Thank you for reaching out and for sharing the links to the published article and your comments on PubPeer. Could you please elaborate on the specific issues you are referring to? Additionally, we would appreciate it if you could clarify your relationship to this manuscript—whether you are a co-author, reviewer, or an independent reader—so that we can better understand the context of your concerns and respond appropriately.”
How could I explain this any further? Doesn’t an image say a thousand words?
I also wrote to the excellent team about (another) nanomaterials paper with a huge number of flaws… my favourite error: bacterial mitochondria! (reminder: bacteria are prokaryotes, they do not have mitochondria, read September 2025 Shorts). Such a misunderstanding should be an embarrassment but remains proudly on the Scientific Reports website. Check out the following PubPeer thread, there are 70 other comments on this study from Poland and Pakistan, with fake electron microscopy, fake spectra, fake dishes of bacteria, etc:
Arooj Ali, Syed Raza Ali, Riaz Hussain, Rashida Anjum, Qiang Liu, Mohamed S. Elshikh, Noorah Alkubaisi, Rashid Iqbal, Sylwester Tabor, Marek Gancarz Comparative study of silica and silica-decorated ZnO and ag nanocomposites for antimicrobial and photocatalytic applications Scientific Reports (2025) doi: 10.1038/s41598-025-89812-5

I usually like to focus on chemistry and biology focused articles which are most familiar to me, but Scientific Reports also publishes materials science and geology articles, which seem no better. Here for example, are some problematic studies of concrete, please help me think of a joke about crumbling scientific foundations.
Qianqian Chen, Yongguang Feng, Guosheng Xiang, Yunze Bai, Zhe Huang A non-destructive method for measuring the surface fractal dimension of foam concrete Scientific Reports (2025) doi: 10.1038/s41598-025-18948-1

More concrete concerns about Scientific Reports, from Slovakia:
Taher A. Tawfik, Martin T. Palou, František Šoukal, Eva Kuzielová, Peter Peciar, Mahmoud Gharieb, Sheelan Mahmoud Hama, Jozef Švorec Influence of post-fire recuring regimes on the properties of self-compacting concrete with heavyweight aggregate Scientific Reports (2025) doi: 10.1038/s41598-025-19737-6

Foamed concrete from Africa and Malysia, personally I would not build my house from this.
Afiya Abdul Sattar, Md Azree Othuman Mydin, Altamashuddinkhan Nadimalla, Mohd Mustafa Al Bakri Abdullah, Paul O. Awoyera, Olaolu George Fadugba Mechanical and microscale characterization of foamed concrete with Tianqi aluminosilicate binder Scientific Reports (2025) doi: 10.1038/s41598-025-21184-2

Here’s another materials science focused patchwork image, annotated in great detail by ImageTwin.ai.
Mir Mehdi Hashemi , Farzane Hahseminia , Sadegh Sadeghzadeh Alkyd coated laser induced graphene patches for corrosion resistance of metal substrates Scientific Reports (2025) doi: 10.1038/s41598-025-17456-6

And what about this extensively edited image of rocks? Is nothing safe from the clone tool?
Xiaoliang Zhao, Zhaolin Shen, Bandna Bharti, Fangwei Han, Shaohui Feng
Influence of rock stratification on the performance of tailored wetting agents in open pit coal mines Scientific Reports (2025) doi: 10.1038/s41598-025-16361-2

We had animals, we had minerals, now for some vegetables – there are also troubled plant science articles, too…
Haider Adnan Alvan, Zohreh Jabbarzadeh, Javad Rezapour Fard, Parviz Noruzi Selenium foliar application alleviates salinity stress in sweet william (Dianthus barbatus L.) by enhancing growth and reducing oxidative damage Scientific Reports (2025) doi: 10.1038/s41598-025-89463-6

Figure 5: Unexpected similarity between plants that should be in different treatment conditions.
This was freshly corrected:
Abdelghany S. Shaban, Ragab Abouzeid, Qinglin Wu, Prasanta K. Subudhi Lignin-containing cellulose nanofiber-selenium nanoparticle hybrid enhances tolerance to salt stress in rice genotypes Scientific Reports (2025) doi: 10.1038/s41598-025-98906-z

Prasanta K. Subudhi on Figure 6: “this error does not affect the conclusions presented in the paper.”
The Correction from 30 December 2025 admitted that “some of the images were incorrectly assembled” and replaced them. Here a study from Mexico:
Adrián Esteban Velázquez-Lizárraga, Leopoldo Javier Rios-González, Luis Guillermo Hernández Montiel, Carlos Alberto Galaviz-Acosta, José Humberto Sánchez Robles, Marbella M. Rodas-Hirales, Felipe Ascencio, Paola Magallón-Servín, Ana G. Reyes Transcriptomic profiling reveals Agave Lechuguilla extract as a multi-target pre-emergent bioherbicide candidate against Chenopodium album Scientific Reports (2025) doi: 10.1038/s41598-025-17383-6

Figure 1a: One of the replicates is identical.
So far I’ve left well over 100 similar comments on 2025 papers in Scientific Reports, and I have hundreds left in a queue that I haven’t posted. I haven’t even tried to screen all the papers and I have no particular plan to.

I am fond (too fond perhaps) of aphorisms and quotes. This is the one I keep circling back to when I think about Scientific Reports:
"The purpose of a system is what it does"
Stafford Beer (Sorry Smut, not a beverage).
What does Scientific Reports do? Well it publishes practically anything paper-shaped, in exchange for a hefty fee. Perhaps Scientific Reports is a sort of expensive preprint server. There is no scope, no enforcement of guidelines, no assessment of significance, merely a pretence of a peer review system, and scant oversight post publication. Perhaps it should be delisted?
I will review again in 2026, Leonid can sue me if I don’t.

Donate!
If you are interested to support my work, you can leave here a small tip of $5. Or several of small tips, just increase the amount as you like (2x=€10; 5x=€25). Your generous patronage of my journalism will be most appreciated!
€5.00



Great read. Funny enough, publishers are regularly invited to conferences on research integrity, and Chris Graf is often among them. For instance, among the participants of the Research Integrity Day held in London on 14th November 2025, Springer Nature was represented by 18 people including Graf. All other publishers were present too. I’ve suggested to sleuths friends attending the conference to pose a rethoric question to all of them, which was: “What the heck are you doing here!?” I doubt anyone dared to ask that question, which I would have asked if invited.
I think sleuths and anyone who really cares of research integrity, should keep a more confrontative approach to publishers. Publishers do not exist for the progress of science, they are there for protecting their interests, which amount to 28 billion dollars a year, with a 30% margin. I believe not even Google or Amazon have margins of that size. It’s all pretend what publishers claim are doing to implement scrutinity. They are compulsive liars.
LikeLiked by 1 person
I was puzzled to discover that Springer Nature actually employs something like 40 people directly to work on Scientific Reports. They have more than enough people working on the journal to make sure that every paper is checked for nonsense immediately before it goes live on the site. You could take 20 minutes out of everyone’s day and get it done easily. The fact that they’re not doing that speaks volumes.
LikeLiked by 1 person
The editor-in-chief pretends the journal is run by him and one other, or at least he wants me only to send emails to 2 people. For a time I sent emails to a third and he directed me to only send emails to two people.
LikeLiked by 1 person
The email I used, srep@nature.com, now no longer works.
A good way to avoid criticism.
LikeLike
(srep@nature.com)
“The recipient’s mailbox is full and can’t accept messages now. Please try resending your message later, or contact the recipient directly.”
I wonder why that is.
LikeLike
I am quite confident that the whole ecosystem of papermillers who swamped the Hindawi journals with what Dr Bishop called ‘gobbledegook sandwiches” (until the parasites killed the host) have now moved on to Scientific Reports as an equally congenial and more up-market conduit for their production lines.
LikeLiked by 1 person
Jerry Z. Muller: “The key lesson of the tyranny of metrics is that when measurement becomes a goal, it ceases to be a good measure.” – “The Tyranny of Metrics” (2018)
What is counted becomes what counts. As a result, the literature increasingly reflects the incentives of evaluation rather than the structure of reality.
The challenge is not to abandon measurement, but to design evaluative systems whose incentives align more closely with epistemic values: replication, transparency, cumulative progress, and long-term reliability. Until then, the tyranny Muller describes will remain less a pathology than a faithful reflection of how the system has been asked to perform.
LikeLike
How is it possible? Nature Springer are surely not a predatory publisher!
LikeLike
Perish the thought. Far from being a predator, Springer Nature is an enormous lolling blob that greedily sucks in any and all inputs as long as they are wrapped in a nice fat fee. After a noisy but mostly ineffectual digestion period, the processed items are excreted to be consumed again by those much lower on the food pyramid, who often feel compelled to begin the wonderful cycle again by feeding the blob. Those of discerning tastes have had nothing to do with this sad spectacle for some time. We know that bacterial cannot have mitochondria, although some are willing to fight the oppressor for their right to bear them.
LikeLiked by 1 person
You are so unfair to the journal that was the first to report to the World the breakthrough of picotechnology 😀
https://pubpeer.com/publications/90C0148778799A1E1CD968B3DB4E22
https://pubpeer.com/publications/6E855EC2FAADD686946055141AC211
they are also strongly committed to fostering a circular economy and zero waste attitude by allowing text re-use (imagine how many electrons were saved!)
https://pubpeer.com/publications/3C81B6CFDBA1866A941745DA53FA0E
https://pubpeer.com/publications/FAC39ED834FFC5F98F5DB54E06D878
LikeLiked by 1 person
And Hamed Niroumand, the inventor of picoparticles, is still hapilly employed at Gdansk Tech. 😕 With 90% of his papers listed in the BridgeofKnowledge database published in SciRep. He must have strong connections with this journal.
dr inż. Hamed Niroumand | Politechnika Gdańska
LikeLiked by 1 person
He got Nobellium fellowship https://share.google/DKveXKmWl1Mr9nR1B
LikeLike
I’ll play a devil’s advocate a bit (a very little bit!) – my experience with Sci. Rep. is that they at least respond to reports of integrity issues and actually handle them. I reported several papers for (mostly evident and shameful) manipulations and all of them were retracted within 2-3 months from initial report. Meanwhile in basically all Elsevier’s, Wiley’s, ACS’s and SN’s journals I seldomly got any response (especially beyond an autoresponder message) and nothing was ever retracted (so far?). I know it’s not much for a journal that takes 2.7k USD APC per paper, but it’s still “above the average” experience 😛
LikeLiked by 1 person
Perhaps you are right? Scientific Reports can see the fraud, but only when you place it on a platter under their nose. So why don’t they go looking themselves? Seems like they are (on purpose) trying to find the very limit of acceptable behaviour… As for ACS, they are deeply exploring limits, perhaps it is a publisher level Sokal hoax?
LikeLike
There are rumors that Sholto David plans to donate his windfall fortune to the PubPeer Foundation, FBS, and Retraction Watch to support and promote scientific integrity. If true, it would be admirable to see such commitment from an integrity sleuth.
LikeLike
Where did you hear the rumours? For the record, I want to make it 100% clear that the PubPeer Foundation and Retraction Watch will not be getting a single penny of this windfall. I already bought Leonid a curry in Oxford a few weeks ago.
So I donated my time and efforts to research integrity, and now people expect me to donate the money as well? I would be left back where I started, and the DFCI leaders make more in a year than my supposed “fortune”.
If you think the money is so easily earned that it could be given away, please help yourself, Google Scholar and PubPeer are waiting for your keystrokes! I look forward to your kind donation to Ivan.
LikeLiked by 2 people
Scientific Reports have (eventually) retracted the second mentioned paper in this blot: https://link.springer.com/article/10.1038/s41598-026-42309-1
LikeLike