Schneider Shorts of 20 February 2026 – One Max Planck Institute director victimised, another enjoyed russian hospitality, a papermill meltdown in Poland, Canadian biotech founder criticised, Frontiers research integrity AI in action, and finally, the many opportunities in Romanian academia.
Table of Discontent
Science Elites
- For peaceful and prosperous societies – Klaus Müllen had fun in russia
- The presumption of innocence – Peter Seeberger investigates his naughty postdoc
Industry Giants
- Groundbreaking research by Dr. Ranju Ralhan – does Proteocyte’s cancer test even work?
Scholarly Publishing
A layered, more defensible integrity framework – Frontiers gets ahead of Thiemermann problem
Retraction Watchdogging
- At least a Pentium 4 – Ştefan Ţălu and the many opportunities in Romanian academia
- I hope you will be fine – Gdansk Polytechnic professor Roberto Castro-Muñoz in trouble
- Stay tuned for updates – Gdansk Polytechnic professor Samaneh Shahsavarifar in trouble
Science Elites
For peaceful and prosperous societies
As russia continues its genocidal war against Ukraine, the United Nations’ organisation UNESCO happily continues issuing a chemistry prize together with the russian government. And the bribe money is very good.
Boycott Russian Science (and Everything Else) – Thoughts on War in Ukraine
The state it’s in, we don’t need Russian science anyway.
On 23 January 2026, a new Call for Nominations was published:
“Awarded annually to two prizewinners, the prize recognizes individuals for outstanding achievements in the development, dissemination, and international cooperation of the basic sciences, with significant transformational impact at the regional or global level. Each prizewinner receives a financial award of USD 250,000, a gold medal, and a diploma.”
The Prize is being awarded by UNESCO and putin’s regime since 2021:
“The UNESCO-Russia Mendeleev International Prize in the Basic Sciences aims to raise awareness of the importance of these disciplines for peaceful and prosperous societies.”
Yes, they are that cynical.

The announcement from 4 February 2026 on the russian side was made by russia’s infamous foreign ministry ork Maria Zakharova:
“We are also looking forward to the announcement of winners in the third contest, as approved by the new UNESCO Director-General Khaled El-Enany. The award ceremony will take place in 2026 at the UNESCO Paris headquarters.
The deadline for submitting applications for the Mendeleev Prize’s fourth edition is March 15, 2026.”
Now, you might wonder, what kind of a sick person would be interested in such a prize and its blood money while russia daily murders Ukrainian civilians with drone and missiles, with particular dedication to bombing maternity hospitals, schools and kindergartens. Many UNESCO heritage sites are destroyed or damaged, too, not that UNESCO really gives a f***.
In November 2021, as russian armed forces were surrendering Ukraine in preparation of the full-scale attack, the lucky winners were: some russian man (expected) and Vincenzo Balzani, emeritus professor of University of Bologna in Italy. The $250k prize money were assigned “on the recommendation of an eminent international jury chaired by Professor Jean-Pierre Sauvage, winner of the 2016 Nobel Prize in Chemistry.” Sauvage seems to love everything russian, read here:
Nobelists advertise for russian papermill?
“I never agreed to collaborate with this organization. END OF STORY!” – Sir J Fraser Stoddart “I do not know what your business is, and I find the email below highly offensive.” – Morten Meldal
But with the next round two years later, nobody could pretend ignorance about russia’s crimes. In December 2023, the Mendeleev award went again to a russian and to a foreigner, here Klaus Müllen, the 79 years old emeritus director of the Max Planck Institute (MPI) for Polymer Research in Mainz, Germany. UNESCO informed:
“Professors Beletskaya and Müllen were selected by the Director-General of UNESCO for this second edition of the prize on the recommendation of an eminent international jury chaired by Professor Ana María Cetto Kramis, President of the Mexican Physical Society.”
Yes, Müllen did personally travel to Moscow, despite flight bans from the EU. He can be seen at the December 2023 award ceremony, where he met orks like Dmitry Chernyshenko (Deputy Prime Minister), Valery Falkov (Minister of Higher Education), Alexander Pankin (Deputy Foreign Minister), and other people. Müllen seems very happy about the famous russian hospitality:


Müllen must have had such fun in russia, that he later gave an online seminar to his russian friends in February 2024, titled totally not cynically “‘Is the Future Black?” The only sad bit is that, being almost 80, Müllen doesn’t have much time left to fully enjoy that russian blood money of quarter a million of dollars.
I asked the Max Planck Society (MPG) to explain Müllen’s behaviour, and their Head of Communications told me this (translated):
“This is an individual decision over which the MPG has no influence. Just as it is a purely personal decision of our Nobel Prize winner Ferenc Krausz to resign his membership in the Russian Academy of Sciences due to the Russian war of aggression.
As an institution, the MPG has taken a clear position on the matter: With the start of the war of aggression, institutional cooperation with Russia was put on hold.
But the following also applies here: The MPG has no influence on bilateral cooperation, as this would restrict the academic freedom of its scientists.”
Yet Müllen’s own MPI Mainz (my last job in science happened to have been at that institute!) is very happy about that russian award:

“Congratulations to our former director, Klaus Müllen! 🏆👏
[…]
He has also been honored with the prestigious UNESCO -Russia Mendeleev International Prize in the Basic Sciences. 🏅 The award acknowledges the lasting impact of his outstanding achievements in fundamental chemical and polymer material sciences. 💡”
(MPIP Mainz on LinkedIn. Link goes to UNESCO announcement)
The MPG spokesperson told me that this announcement is not problematic because it is by the institute and not by the society. Indeed, individual Max Planck Institutes are perfectly free to continue their collaborations with russia, never mind what the society at large may have announced (see September 2024 Shorts).
Müllen himself never replied to my emails.
The presumption of innocence
Elsewhere a Germany, at another Max Planck Institute, a very prominent professor, who is even the Vice-President of the German Research Council (DFG) and thus basically in charge of research integrity in all of Germany, became victim of a cheater. Peter Seeberger, director of the Max-Planck Institute (MPI) for Colloids and Surfaces in Potsdam, featured on this site before, as the hero who saved the world from the COVID-19 pandemic with wormwood teas sold by his own company.
Buy Professor Seeberger’s Artemi-Tea to survive COVID-19!
Science communication by press release. No paper is published, no data available, but a Max Planck Institute director is eager to announce a possible cure for COVID-19: artemisia extracts, by his own company.
The groundbreaking discovery never went beyond lab dish experiments published in leading journals Scientific Reports and Virology Journal (Zhou et al 2021 and Nie et al 2021). Having successfully extinguished COVID-19 pandemic, Seeberger’s company ArtemiFlow received in December 2024 $5.8 million in US investment.
But we are here to talk about Seeberger’s other discoveries which are hopefully not affected by the problems in these 3 papers, from the time Seeberger was in transition from ETH Zurich in Switzerland to the MPI Potsdam, other common authors are Raghavendra Kikkeri, now assistant professor at Jackson State University in USA, and Paola Laurino, now professor Okinawa Institute of Science and Technology in Japan:
Raghavendra Kikkeri, Bernd Lepenies, Alexander Adibekian, Paola Laurino, Peter H. Seeberger In Vitro Imaging and in Vivo Liver Targeting with Carbohydrate Capped Quantum Dots Journal of the American Chemical Society (2009) doi: 10.1021/ja807711w

Red boxes: The left panel appears to contain four copies of the same area, albeit in different orientation with a dot added or removed. Cyan boxes: The right panel appears to contain a duplicated area in the bottom right corner.”
In January 2026, Kikkeri replied on PubPeer:
“We respectfully disagree with the interpretation that the highlighted regions represent duplicated areas. […]Such apparent similarities can also result from imaging conditions, including beam-induced contrast changes, uneven staining, or slight differences in particle height relative to the support film. Unfortunately, these experiments were performed many years ago and the original/raw TEM files are no longer available, which prevents further retrospective analysis or verification of acquisition parameters.”
Here another paper, published in one of the top journals in chemistry (not being ironic this time):
Raghavendra Kikkeri, Paola Laurino, Arjan Odedra , Peter H. Seeberger Synthesis of Carbohydrate‐Functionalized Quantum Dots in Microreactors Angewandte Chemie (2010) doi: 10.1002/anie.200905053

Boxes of the same color – a screenshot from ImageTwin – highlight areas that look remarkably similar”
Kikkeri educated Bik that “The regions highlighted by ImageTwin likely reflect similarities introduced by grid or imaging artifacts during data acquisition rather than data manipulation.“
And here is the third paper, reusing that fake image from the second one:
Paola Laurino, Raghavendra Kikkeri, Peter H Seeberger Continuous-flow reactor–based synthesis of carbohydrate and dihydrolipoic acid–capped quantum dots Nature Protocols (2011) doi: 10.1038/nprot.2011.357


Boxes of the same color – a screenshot from ImageTwin – highlight areas that look remarkably similar”
Kikkeri again:
“We respectfully disagree with the above conclusion. There may be a problem with the grid while taking images.”
Elisabeth Bik flagged 19 fraudulent papers by Kikkeri on PubPeer, only the above 3 are with Seeberger. But here is one with Seeberger’s former postdoc and now professor at Seeberger’s MPI Potsdam, Bernd Lepenies (we met him above):
Harikrishna Bavireddi, Raghavendra Vasudeva Murthy, Madhuri Gade, Sivakoti Sangabathuni, Preeti Madhukar Chaudhary, Catherine Alex, Bernd Lepenies, Raghavendra Kikkeri Understanding carbohydrate–protein interactions using homologous supramolecular chiral Ru(ii)-glyconanoclusters Nanoscale (2016) doi: 10.1039/c6nr06431k

Red boxes: The same panel appears to be visible five times, albeit in different orientations
Cyan boxes: The same panel is visible two times”



Boxes of the same color highlight panels that look unexpectedly similar”


Blue and red boxes: matching panels but different labels”
Kikkeri tried to save both the paper and Lepenies (to whom he assigned a gift authorship):
“we identified a clerical error in the visual presentation of certain images. Accordingly, we are submitting this request for correction or retraction, as appropriate, depending on the availability of the underlying data. In this manuscript, Dr. Bernd Lepenies’ contribution was limited to the provision of cell lines and DC-SIGN.”
The rest on PubPeer is just is fraudulent, Kikkeri’s coauthors are in India, where he apparently used to work (Kikkeri has now deleted his LinkedIn account an dlab website). Here is Kikkeri with coauthors from Norway:
Karen Dunker , Kristine Mathingsdal Pedersen , Suraj Toraskar , Sandra Diaz , Ajit Varki, Marit Sletmoen, Raghavendra Kikkeri Human-specific evolutionary genetic loss of addition of a single oxygen atom from sialic acids increases hydrophobicity of cells and proteins Carbohydrate Research (2025) doi: 10.1016/j.carres.2025.109469

I contacted Seeberger, who posted his reply on PubPeer that “Dr. Kikkeri does not speak for all authors when he comments with “we” and his comments were neither seen nor approved by any of the other authors prior to being posted by him.“. To me, Seeberger wrote this (translated):
“Three of these articles were written at a time when Dr. Kikkeri was a postdoc in my group at ETH and MPI. The microscopy images of nanoparticles were taken before we moved from ETH Zurich 17 years ago.
Dr. Bik informed me as a former supervisor as well as the director of IISER Pune via email on January 22, 2026. I replied to her the same day and informed her about what would happen next. As with all suspected cases of scientific misconduct, an investigation into the three articles was immediately started to clarify the matter and the general administration of the MPG [Max Planck Society, -LS] in Munich was informed.
All contacted co-authors were able to confirm that the microscopy images marked by Dr. Bik were taken by Dr. Kikkeri. We have his laboratory journals, which we are currently using to find the original data that were measured 18 years ago at ETH Zurich. With the help of the original data and other, unpublished recordings, we will find out whether data has been changed and clarify the matter. […] The presumption of innocence applies until the investigation is completed.“
I understood that Seeberger presumes all his research papers with Kikkeri to be innocent unless an MPG investigation should prove otherwise. He did not deny this.
Industry Giants
Groundbreaking research by Dr. Ranju Ralhan
Proteocyte is a biotech company based in Toronto, Canada, their product Straticyte™ is a test for oral lesions which claims to be “revolutionizing cancer risk prediction with advanced biomarker analysis and digital pathology.”
The company was founded by Ranju Ralhan, until 2020 professor at University of Toronto, and Michael Siu, since 2012 professor at University of Windsor. Their Proteocyte informs that “Straticyte™ stemmed from groundbreaking research by Dr. Ranju Ralhan and Michael Siu, who identified that the accumulation of the S100A7 biomarker indicated a higher risk of oral lesions developing into cancer.” Other co-founders are University of Toronto professors Kenneth Pritzker and Paul Walfish, the latter died in 2018.
Sholto David has some concerns about the test’s actual performance, given the PubPeer record of one of the founders. It starts with Ralhan being a former associate of the infamous curcumin fraudster Bharat Aggarwal:
Chhavi Sharma , Jatinder Kaur , Shishir Shishodia , Bharat B. Aggarwal , Ranju Ralhan Curcumin down regulates smokeless tobacco-induced NF-kappaB activation and COX-2 expression in human oral premalignant and cancer cells Toxicology (2006) doi: 10.1016/j.tox.2006.07.027

But there are also other issues. Here a blot reused by Ralhan to prove that curcumin cures cancer:
- Ajay Matta, Sudhir Bahadur , Ritu Duggal , Siddhartha D Gupta , Ranju Ralhan Over-expression of 14-3-3zeta is an early event in oral cancer BMC Cancer (2007) doi: 10.1186/1471-2407-7-169
- Chandra P. Prasad , Gayatri Rath , Sandeep Mathur , Dinesh Bhatnagar , Ranju Ralhan Potent growth suppressive activity of curcumin in human breast cancer cells: Modulation of Wnt/β-catenin signaling Chemico-Biological Interactions (2009) doi: 10.1016/j.cbi.2009.06.012

Here are the company’s founders Ralhan and Siu, some gels are just fake, some others are stolen from other bad scientists:
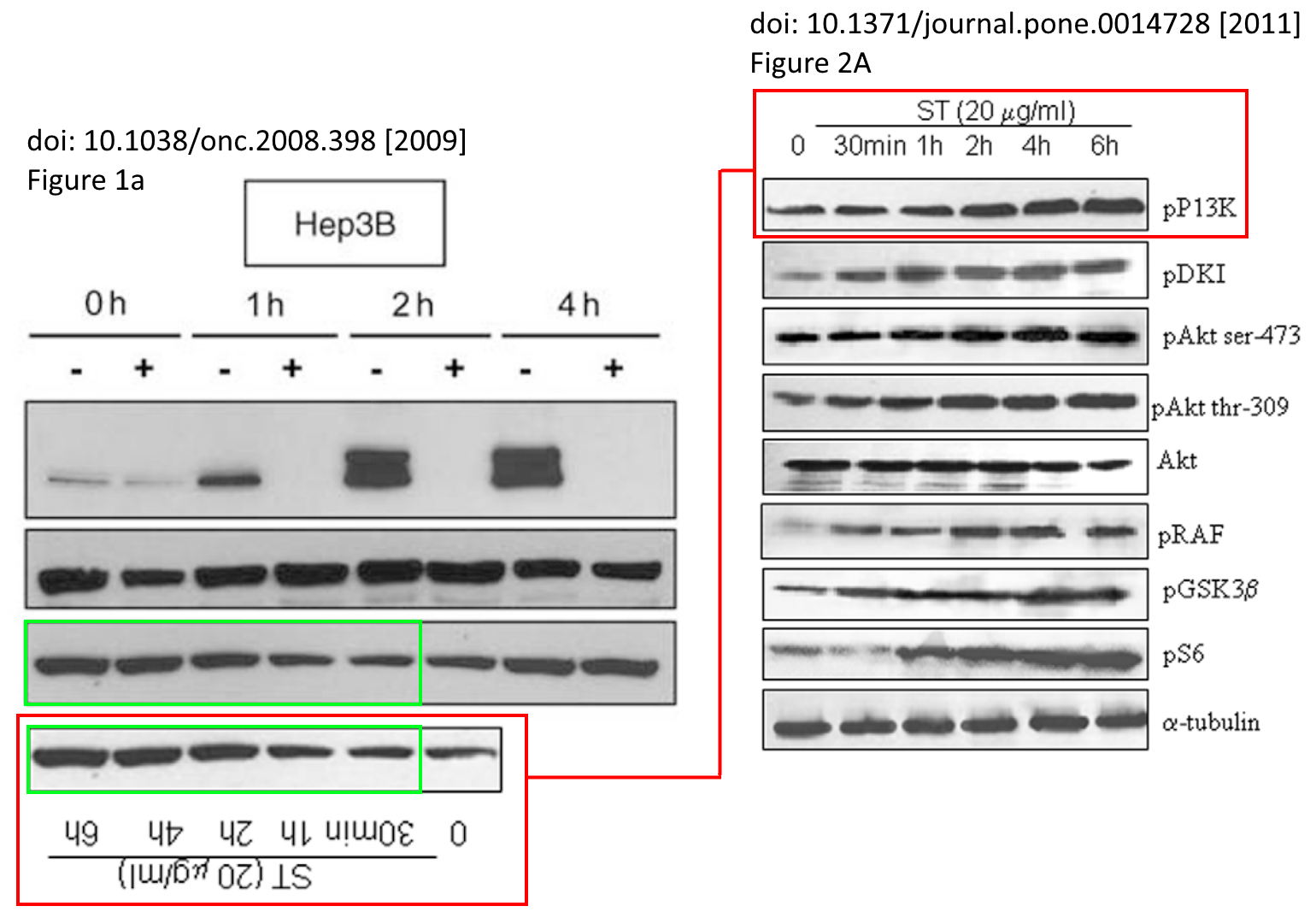
Muzafar A. Macha , Ajay Matta , Shyam Singh Chauhan , K. W. Michael Siu , Ranju Ralhan Guggulsterone targets smokeless tobacco induced PI3K/Akt pathway in head and neck cancer cells PLOS One (2011) doi: 10.1371/journal.pone.0014728


P García-Maceira , J Mateo Silibinin inhibits hypoxia-inducible factor-1α and mTOR/p70S6K/4E-BP1 signalling pathway in human cervical and hepatoma cancer cells: implications for anticancer therapy Oncogene (2009) doi: 10.1038/onc.2008.398

Muzafar A Macha , Ajay Matta , SS Chauhan , KW Michael Siu , Ranju Ralhan 14-3-3 zeta is a molecular target in guggulsterone induced apoptosis in head and neck cancer cells BMC Cancer (2010) doi: 10.1186/1471-2407-10-655
Ralhan and Siu again, with a fake gel:
Ajay Matta , Satyendra Chandra Tripathi , Leroi V. DeSouza , Jörg Grigull , Jatinder Kaur , Shyam Singh Chauhan , Anurag Srivastava , Alok Thakar , Nootan Kumar Shukla , Ritu Duggal , Siddhartha DattaGupta , Ranju Ralhan , K.W. Michael Siu Heterogeneous ribonucleoprotein K is a marker of oral leukoplakia and correlates with poor prognosis of squamous cell carcinoma International Journal of Cancer (2009) doi: 10.1002/ijc.24517

Another badly fake gel by Ralhan:
Sameer Mirza , Gayatri Sharma , Rajinder Parshad , Sidhartha Datta Gupta , Pranav Pandya , Ranju Ralhan Expression of DNA methyltransferases in breast cancer patients and to analyze the effect of natural compounds on DNA methyltransferases and associated proteins Journal of Breast Cancer (2013) doi: 10.4048/jbc.2013.16.1.23

Sholto David: “Figure 3: The gels showing the PCR products have been constructed by cutting and pasting together various duplicate lanes and obscuring parts with dark rectangles or other parts of background.”
Here a whole selection of fake gels in a cancer research papers by Ralhan and her colleagues, all three papers in the same Elsevier journal:

Figure 1:

Figure 1:

Figure 1
Walfish is dead and won’t be able to explain this cloned and recoloured image once spotted by Claire Francis:
Guodong Fu , Raj Thani Somasundaram , Fatima Jessa , Gunjan Srivastava , Christina MacMillan , Ian Witterick , Paul G. Walfish , Ranju Ralhan ER maleate is a novel anticancer agent in oral cancer: implications for cancer therapy Oncotarget (2016) doi: 10.18632/oncotarget.7751

One might say, pah, what does all that massive fraud have to do with the Staticyte cancer test by Proteocyte? Maybe that branch of Ralhan’s research was perfectly honest? Well, this was retracted:
Jason T.K. Hwang, Ying R. Gu , Benjamin J. Dickson , Mi Shen , Ranju Ralhan , Paul G. Walfish , David Mock , Kenneth P.H. Pritzker Straticyte demonstrates prognostic value over oral epithelial dysplasia grade for oral potentially malignant lesion assessment Oral Oncology (2017) doi: 10.1016/j.oraloncology.2017.06.024
“This article has been retracted at the request of the Editor-in-Chief. We have recently been made aware that the sensitivity values and the false-negative values reported in the manuscript were erroneous. The sensitivity values were reported as 71% and 60% in the article, but it was later determined that they were 48% and 36%, and the false-negative value was reported as 6 in the article but was 16. The Editors have determined that the values have changed so greatly that the conclusions of the paper can no longer be supported.”
February 2018 Retraction
Oops.
By the way, Ralhan is also a Wellness Coach and if you pay her, she will advise you how to get rid of cancer:

Scholarly Publishing
A layered, more defensible integrity framework
Frontiers will have to issue another correction, or maybe even a retraction for for a paper by Christoph Thiemermann, professor and institute director at Queen Mary University London in UK.
Queen Mary and John Vane’s Cowboys
Welcome to the the William Harvey Research Institute in London. Meet two proteges of its founder, the late Nobelist Sir John Vane: Chris Thiemermann and Mauro Perretti. Then meet their own rotten mentees, especially Salvatore Cuzzocrea and Jesmond Dalli.
Here it is:
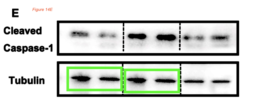
Shireen Mohammad , Caroline E O’Riordan , Chiara Verra, Eleonora Aimaretti, Gustavo Ferreira Alves , Klaus Dreisch , Johan Evenäs , Patrizia Gena, Angela Tesse, Michael Rützler, Massimo Collino, Giuseppe Calamita, Christoph Thiemermann RG100204, A Novel Aquaporin-9 Inhibitor, Reduces Septic Cardiomyopathy and Multiple Organ Failure in Murine Sepsis Frontiers in Immunology (2022) doi: 10.3389/fimmu.2022.900906

Aneurus inconstans (with Claire Francis): “Figures 13A and 13B again: not only the total IKKa/b and tubulin blots are identical, also the Ser 176/180 IKK and Caspase 1 blots are so (magenta boxes)”
On 20 August 2025, two years after the PubPeer concerns were raised, this Correction was issued by Frontiers:
“There was an error in Figure 13 as published. The representative images related to Panel A have been inadvertently duplicated in Panel E..”
As we all are constantly informed by Frontiers, this Swiss publisher is the absolute champion in fighting fake science. Here one random announcement:

“We didn’t just respond to problems. We tried to get ahead of them. […]
In 2025, we strengthened our approach by assessing industry AI tools for papermill detection and integrating two alongside our own quality checks in AIRA. The goal was never to rely on a single signal. It was about patterns, context, and corroboration, and about giving teams better evidence to make difficult calls earlier.
This moved us from isolated checks to a layered, more defensible integrity framework. Detection works best when tools reinforce each other rather than operate in silos.”
(Frontiers February 2025)
You probably know where this is going? That corrceted paper is full of other fraud, which Frontiers and their expert teams with their mighty AI tools didn’t bother to notice, but Elisabeth Bik did:

Green boxes: The two left lanes in panel E look unexpectedly similar to the two middle lanes”

Red boxes: The Sham+Vehicle panel appears to be the same as the Sham+Vehicle panel in [O’Riordan et al., Frontiers in Immunology (2019)]
The vehicle solution and mode of administration are described differently”
In February 2026, Frontiers mumbled something on PubPeer about monitoring PubPeer comments and about a case having “been raised internally to assess the concerns“. A coauthor, Michael Rützler of Lund University in Sweden, also arrived to announce to “attend to the issue!“
Retraction Watchdogging
At least a Pentium 4
A Romanian fraudster suffers a retraction. Stefan Talu is a 61 years old associate professor at the Technical University of Cluj-Napoca. You will soon see why he never made it to full professor, despite all his papermilling activities.
- Niranjan Patra , Prathipati Ramesh , Gudiguntla Ravi , Ștefan Țălu Electroless deposition of nanoscale Ni-Co-Fe-P coatings on carbon fibers for multifunctional applications Diamond and Related Materials (2025) doi: 10.1016/j.diamond.2025.112602
- Niranjan Patra, Ștefan Țălu Enhanced magnetic properties of carbon fibers through carbon nanotube/nanosphere coating with Ni-Co-Fe-P catalyst via chemical vapor deposition Diamond and Related Materials (2025) doi: 10.1016/j.diamond.2025.112527

Elsevier decided to retract only one of the two simultaneously submitted papers, presumably their ethics experts threw a coin, and the first paper lost. Here is the not yet dated retraction notice:
“Concerns about Figure 2 were detailed in the Pubpeer comments: https://pubpeer.com/publications/5283383E255BE520B65BEF213719D8 ; https://pubpeer.com/publications/8375C9FA0341634744C4721FA9BAE2
Concerns about Figure 4 and 6 were identified by the editors.
The authors confirmed that Figure 2 in both papers uses the same XRD pattern for the carbon fiber and Ni-Co-Fe-P coated CF, as the same catalyst coating serves as the starting substrate for CNT/CNS growth in both papers.
The authors confirmed that Figure 6 and Figure 4 use the same baseline materials of pristine CF and Ni-Co-Fe-P–coated CF. Editor analysis determined that the magnetization curves are identical.
The Editor in Chief with the help of an Editor compared the articles, reviewed the concerns, and the authors’ explanations and concluded that the later paper is redundant to the prior publication and lacks sufficient data and novelty to justify separate publication.
Furthermore, the later paper does not cite the earlier work and the relationship between the two papers was not acknowledged when the authors submitted the articles to the journal one day apart, preventing accurate assessment of its novelty.”
Here more by Talu and his Iranian papermill (the penultimate author is some PhD student in USA):
Azadeh Jafari , Mohammad Hosein Alam , Davoud Dastan , Siamak Ziakhodadadian , Zhicheng Shi , Hamid Garmestani , Alex S. Weidenbach , Ştefan Ţălu Statistical, morphological, and corrosion behavior of PECVD derived cobalt oxide thin films Journal of Materials Science (2019) doi: 10.1007/s10854-019-02492-6

More recently, Talu published Anzabi et al 2026 which contains a nonsense reference to the russian papermiller Dmitry Bokov. Another Talu paper (Haddad et al 2025) was flagged by Smut Clyde because “A handful of familiar ‘citation magnets’ adorn the references“. Talu clearly spends a lot of money papermilling. But whose money?
Crunchy Frog and Cockroach Cluster
“On one side: late-career scientists resorting to purchased promotion of their early-career papers. On the other side: whole new genres of paper-shaped artifacts that are little more than packaging for ever-larger citation cargoes, and papermillers no longer bothering to find buyers for naming rights on their products.” – Smut Clyde
This is where it gets really bizarre. Talu is not just a papermill fraudster, he is a literal criminal with a jail record. Here is Romanian local media’s reporting from 2013 (Google-translated):
“In 2006, university lecturer Ştefan Ţălu from the Technical University of Cluj-Napoca – Faculty of Mechanics was accused by several students of asking for a bribe to pass the exam. He was caught red-handed and spent more than a year in custody. Later, the Cluj Court sentenced him to three years of suspended prison. In 2009, the Court of Appeal confirmed the sentence.
In 2013, we find Ștefan Ţălu at the Faculty of Mechanics of the Technical University, at the Department of Road Vehicles and Transport, as a 2nd degree scientific researcher. He is a colleague in the department with the university professor Ioan Rus, the former Minister of the Interior. The head of the department is professor Nicolae Burnete, who is a member of the National Council of Ethics, a body that decided that the 85 pages from the work of Prime Minister Victor Ponta, copied word for word from other legal treatises, do not represent plagiarism. Nicolae Burnete’s department will benefit this year from a huge funding from the Ministry for Higher Education and Research. […]
After he was caught, in 2006, for accepting bribes from students in order to pass them to the autumn session, Ştefan Ţălu was not expelled from the university on the grounds that there was no final sentence. He was not fired even after the sentence in his case remained final. After being released from provisional detention, Ştefan Ţalu was moved to a research department in UTCN.
Prosecutors claim that the current researcher had the students buy him a computer. Students Attile Szekely, Tibor Torok and Răzvan Cibu pitched together and bought an AMD type computer. Șălu was dissatisfied and told the three to buy another computer, ” at least a Pentium 4 “, otherwise he won’t pass the exams.
Another student, Mirela Micle, declared in front of the prosecutors that, in order to pass the exam, Professor Ţalu asked her for 600 lei and to clean the studio he owned in Mihai Viteazul Square.
A total of 18 students complained that they gave the teacher amounts between 150 and 400 euros in order to receive a grade five in the exam.”
In 2016, Talu tried to become Rector of his university, he lost. In 2021, he was one of 12 professors of Technical University of Cluj-Napoca to be included among the Top World Ranking 2% (top 2% of the most-cited scientists).
In Memoriam: Professor Laurentiu “Telocyte” Popescu (1944-2015)
“The idea to call the newly discovered cells telocytes came to me during a break at the Vienna State Opera” – Don Lorenzo aka Preda
I now wonder: how does Talu pay for his papermill authorships? Does he make his student pay for him? Did he bribe Elsevier not to retract other papers of his?
I hope you will be fine
Trouble for the associate professor at Gdansk University of Technology in Poland, Roberto Castro-Munoz, who was installed there with Nobelium and Platinum grants. In December 2024, he was honoured with “First-Degree Awards” by the Rector for “scientfiic and artistic [sic!] achievements”. Last year, the Mexican native won a grant of over €500k from Polish National Science Center. A clever investment into papermilling, but now retractions started to arrive.
In an Elsevier journal:
Vahid Vatanpour, Rabia Ardic , Berk Esenli , Bahriye Eryildiz-Yesir , Parisa Yaqubnezhad Pazoki , Atefeh Jarahiyan , Firouz Matloubi Moghaddam , Roberto Castro-Muñoz , Ismail Koyuncu Defected Ag/Cu-MOF as a modifier of polyethersulfone membranes for enhancing permeability, antifouling properties and heavy metal and dye pollutant removal Separation and Purification Technology (2024) doi: 10.1016/j.seppur.2024.127336




Here is the fresh and not yet dated retraction:
“Concerns were raised about the reliability of the results presented by Figures 2A-B and Figure 3 (top panel), as well as the mismatch between Figures 9(a) and 10 and the text of the paper and the abstract: https://pubpeer.com/publications/0A4E7DB2107AF60894C22B714A5A13.
Post-publication, additional concerns were raised following an investigation conducted on behalf of the journal by Elsevier’s Research Integrity & Publishing Ethics team:
- •Figure 2A, 2B and 3 from this article and Figures 3, 4 and 6(b) from the article published earlier by three of the authors in Scientific Reports 13 (2023) 22518 https://doi.org/10.1038/s41598-023-49670-5 appear to show significant unexpected similarities, but are described as representing different experimental data and conditions.
The authors were requested to provide comment on these concerns, as well as the original unprocessed image files to aid investigation. It was felt that the explanation and data provided were unsatisfactory in resolving these concerns.
The Editor has lost confidence in the results and conclusions of the article and has determined it should be retracted.”
The above mentioned 2023 paper in Scientific Reports was authored by Firouz Matloubi Moghaddam, Atefeh Jarahiyan and Parisa Yaqubnezhad Pazoki.
Nobelium Bilalski, a Gdansk papermiller
“To date, he has authored over 700 peer-reviewed articles, 150 book chapters, 25 edited books, and 10 editorial-type scientific articles in various areas of Science and Engineering. Dr. Bilal has a h-index of 94 with 34 000 citations (Google Scholar).”
Here another recent retraction for Castro-Munoz, about the magical powers of mangoes:
Shafa Iman , Mamoon Ur Rasheed , Hamdy A. Zahran , Haroon Rashid , Mehak Fatima , Zonish Saleem , Yasmeen Bano , Sanobar Gull , Raheeba Akbar , Ayesha Khan , Isam A. Mohamed Ahmed, Eliasse Zongo , Muhammad Abdul Rahim, Roberto Castro‐Muñoz Comprehensive Analysis of Mango (Mangifera indica L.) Seed: Phytochemical Profile, Bioactivity, and Nutraceutical Potential Food Science & Nutrition (2025) doi: 10.1002/fsn3.70390




Mamoon Ur Rasheed , Haroon Rashid, Shifa Iman , Sadaf Oranab , Muhammad Abdul Rahim, Mohamed H. Mahmoud , Roberto Castro-Muñoz, Eliasse Zongo HPLC, GC-MS, XRD profiling, enzyme inhibition and cytotoxicity potential of Phlomis Stewartii extracts using response surface methodology BMC Plant Biology (2025) doi: 10.1186/s12870-025-06997-7
The coauthor Isam A. Mohamed Ahmed (PubPeer record) posted a very long rebuttal on PubPeer, admitted “some spelling mistakes in spectra and graphical self-developed schemes” and provided better quality forgeries. Then another coauthor, Muhammad Abdul Rahim (PubPeer record), arrived to warn the PubPeer critics: “Dear friend, thank you for your comment. I hope you will be fine” and advised them to “consult a pathologist“.
It didn’t help though, Wiley issued this retraction on 19 January 2026:
“A third party reported that overlapping panels were detected between several images in Figure 7 which are meant to report on different tissue samples: 7A and 7B, 7C and 7D, 7G and 7H, and 7I and 7J. Additionally, Figure 3 included several trace and text distortions; distortions and duplicated peaks were detected in Figure 5; and the graphical text had been distorted in all images in Figure 6. Lastly, a modified version of Figure 5 has been published in another article by some of the same authors [Rasheed et al. 2025 (https://doi.org/10.1186/s12870-025-06997-7)]. Both articles were under review by their respective journals at the same time.
The author responded to an inquiry by the publisher and confirmed that the distortions in the figures were due to using software to upscale Figures 5 and 6. Regarding the images duplicated across publications, the authors stated that that the topics of the publications were related and as such the same data were published in both articles. The authors denied that multiple tissue samples in Figure 7 were overlapping and stated that the similarities might be due to the uniform histological architecture of the tissues.
This retraction has been agreed to because of the number of errors in the figures, the instances of data shared across two publications, and the overlapping tissue sections in Figure 7, concerns which fundamentally compromise the editor’s confidence in the results presented. The authors did not respond to our notice regarding the retraction.”
Castro-Munoz currently has 15 papers on PubPeer. Here a fabrication with Czech and French colleagues, also in need of retraction:
Hedvika Schwarzova , Marianne Benoit , Claire Antonelli , Kirill Iablochkin , Roberto Castro-Muñoz, Damien Quémener , Vlastimil Fíla Designing composite membranes based on PIM-1/6FDA-DAM:DABA and PIM-1/Matrimid®5218 for CO2 separation Separation and Purification Technology (2025) doi: 10.1016/j.seppur.2025.133822

Aptly titled Fabrication:
Faiz Khalid, Aashis S. Roy , Ameena Parveen , Roberto Castro-Muñoz Fabrication of the cross-linked PVA/TiO2/C nanocomposite membrane for alkaline direct methanol fuel cells Materials Science and Engineering: B (2024) doi: 10.1016/j.mseb.2023.116929





Faiz Khalid, M. Tabish , Kainat Amin Ismail Bora Novel poly(vinyl alcohol) nanofiltration membrane modified with dopamine coated anatase TiO2 core shell nanoparticles Journal of Water Process Engineering (2020) doi: 10.1016/j.jwpe.2020.101486

This paper by Castro-Munoz with his Gdansk Polytechnic colleague and fellow papermiller, Grzegorz Boczkaj, was struck by the Vickers Curse:
Sana Ullah , Hameed Ul Haq , Muhammad Salman , Faheem Jan , Faisal Safi , Muhammad Balal Arain , Muhammad Shahzeb Khan , Roberto Castro-Muñoz , Grzegorz Boczkaj Ultrasound-Assisted Dispersive Liquid-Liquid Microextraction Using Deep Eutectic Solvents (DESs) for Neutral Red Dye Spectrophotometric Determination Molecules (2022) doi: 10.3390/molecules27186112
“As for dye analysis, UV-Vis spectrophotometry is among the most commonly used analytical techniques, as it is relatively robust, rapid, cheap, accurate, and precise compared to the other mentioned techniques [18,19].”
[18] Vickers, N.J. Animal communication: When i’m calling you, will you answer too? Curr. Biol. 2017, 27, R713–R715.
The Vickers Curse: secret revealed!
How did an editorial about insect pheromone communication get to receive 1200 irrelevant citations, almost all from papermills? Alexander Magazinov reveals The Secret of The Vickers Curse!
It seems Castro-Munoz found a proper home at Gdansk Polytechnic, he even married there! Here is a paper with his Polish wife, the assistant professor Emilia Gontarek-Castro, who just won a big grant of €400k for doing research like this:
Maksymilian Plata-Gryl, Emilia Gontarek-Castro, Roberto Castro-Muñoz Incorporation of multiwalled carbon nanotubes in reduced graphene oxide aerogels for adsorptive separations of alkane vapours Nanotechnology (2025) doi: 10.1088/1361-6528/ade4d3

Stay tuned for updates
We remain at Gdansk University of Technology in Poland. Meet another Nobelium fellow, the associate professor Samaneh Shahsavarifar from Iran, who, we are informed, so far published only 12 papers but with 151 citations. One of these, cited 35 times, was now retracted:
Mohammad Khajavian , Samaneh Shahsavarifar, Ehsan Salehi , Vahid Vatanpour , Majid Masteri-Farahani, Fahimeh Ghaffari , Seyed Ali Tabatabaei Ethylenediamine-functionalized ZIF-8 for modification of chitosan-based membrane adsorbents: Batch adsorption and molecular dynamic simulation Chemical Engineering Research and Design (2021) doi: 10.1016/j.cherd.2021.08.033




[1] Mohammad Khajavian , Ehsan Salehi , Vahid Vatanpour Chitosan/polyvinyl alcohol thin membrane adsorbents modified with zeolitic imidazolate framework (ZIF-8) nanostructures: Batch adsorption and optimization Separation and Purification Technology (2020) doi: 10.1016/j.seppur.2020.116759


The retraction arrived on 11 February 2026:
“The journal was informed of the possibility of multiple signs of data manipulation. Specifically, the XRD patterns of ZIF-8 and EDA/ZIF-8 in Fig. 1(c) are identical down to the backtracking artifact at low angle, but the ZIF-8 trace appears to have been simply stretched vertically. Moreover, the background noise in XRD is stochastic in nature, so it is impossible for two measurements to yield an identical background. Additionally, in Fig. 3(d) there are gaps in the FTIR traces and the line width varies, suggesting some graphical modification of the plot. Indeed, upon closer inspection it is clear that the top trace has been copied over the lower plot, as the remains of the original tick lines are visible. Similarly, Fig. 3(c) has been composed of two low-resolution slices of XRD pattern images with their axes not fully aligned.
In addition to the image manipulation concerns, the authors also misidentified the SEM equipment employed, stating that a ZEISS EVO instrument was used, while the presented images have a metadata bar of an MIRA3 TESCAN microscope. Such misidentification has been linked previously in the community to the unethical activity of so-called “paper mills”.
Following COPE (Committee on Publication Ethics) guidelines, the journal investigated the above concerns by consulting with two independent experts. Those experts agreed that there was sufficient evidence of image manipulation and concluded that the data had either been fabricated or adjusted from previous publications to appear as new data.
The conclusion reached by the Editor-in-Chief is that this article represents a serious misuse of the academic publishing system and should be retracted from the scientific record. The scientific community takes a very strong view on such matters, and apologies are offered to readers of the journal that the issues related to this article were not detected during the submission and peer review process.”
I like the bit where COPE guidelines require that “two independent experts” must decide if all that hilarious papermill fraud had any impact on the main conclusions, before a retraction is considered.
Boys from Brazil
“We can always make mistakes in our publications but never acting intensionally. Regarding Prof. Eder works, I know him well and I don’t believe he has anything wrong” – Glaydson S. Dos Reis
Of course Professor Shahsavarifar has more such hand-drawn fraud on PubPeer, 9 papers currently out of her 12. Often with her former mentors in Iran: Majid Masteri-Farahani, Vahid Vatanpour, and an even bigger papermill fraudster, Mohammad Reza Ganjali. These works include Shahsavarifar et al 2024, which according to Alexander Magazinov is “a self-citation delivery vehicle to a certain M Rahimi-Nasrabadi“, other coauthors being Teofil Jesionowski (rector of Poznan Polytechnic, patron of Muhammad Bilal), Hermann Ehrlich (a German in Poznan), and the King of Papermillers, Rafael Luque (sacked in Spain, now hiding in russia).
Here another representative fabrication by Shahsavarifar, Masteri-Farahani and Ganjali (the three mentioned papers contain even more forgeries, click on their PubPeer links):
Samaneh Shahsavarifar , Majid Masteri-Farahani , Mohammad Reza Ganjali New Water Oxidation Electrocatalyst Based on the Cobalt-Containing Polyoxometalate-Reduced Graphene Oxide Hybrid Nanomaterial Langmuir (2021) doi: 10.1021/acs.langmuir.0c03418

Samaneh Shahsavarifar, Majid Masteri-Farahani, Mohammad Reza Ganjali A New Photoelectrocatalyst for Water Oxidation: A Polyoxometalate-Graphitic Carbon Nitride Hybrid Nanomaterial Langmuir (2022) doi: 10.1021/acs.langmuir.2c01096

Samaneh Shahsavarifar, Majid Masteri-Farahani, Mohammad Reza Ganjali Design and application of a polyoxometalate-ionic liquid-graphene oxide hybrid nanomaterial: New electrocatalyst for water oxidation Colloids and Surfaces A: Physicochemical and Engineering Aspects (2022) doi: 10.1016/j.colsurfa.2021.127812

[1]: Colloids and Surfaces A: (2022)
[2] Mahdiyeh-Sadat Hosseini , Majid Masteri-Farahani , Samaneh Shahsavarifar Chemical modification of reduced graphene oxide with sulfonic acid groups: Efficient solid acids for acetalization and esterification reactions Journal of the Taiwan Institute of Chemical Engineers (2019) doi: 10.1016/j.jtice.2019.05.020
Since recently. Shahsavarifar is affiliated with the Institute of Fundamental Technological Research of Polish Academy of Sciences (IPPT-PAN), funded by the National Science Centre. Her host at Gdansk Polytechnic is Robert Bogdanowicz, they already published together. Bogdanowicz is indeed no stranger to papermilling: his paper with the Gdansk professor Mohammad Reza Saeb, Wisniewaska et al 2023, was struck by the Vickers Curse.
The powerful boys (and some girls) at Gdansk Polytechnic thought they outsmarted everyone in Poland, by recruiting the worst papermillers (especially Bilal, Castro-Munoz and Saeb). It looks like this cunning plan of defrauding the Polish and European public will now backfire badly for all involved.

Donate!
If you are interested to support my work, you can leave here a small tip of $5. Or several of small tips, just increase the amount as you like (2x=€10; 5x=€25). Your generous patronage of my journalism will be most appreciated!
€5.00



Yesterday, Feb 19th, was the Day of Polish Science. Copernicus (whose birthday it commemorates) is turning in his grave.
LikeLike
You think this from the wrong end. Teofil Jesiniowski probably thinks that also Copernikus would put his name on papers by Bilal, Saed and Castro-Munoz!
LikeLike
The funny part is that Copernicus independently formulated what is known as Gresham’s law, which is consistent with the proliferation of papermilling 😀
LikeLike
Let me summarize.
Grzegorz Boczkaj – 2 060 580 PLN
Mohsen Khodadadi Yazdi – 1 978 200 PLN
Maksymilian Plata-Gryl – 2 303 360 PLN
Emilia Gontarek-Castro – 1 715 686
Total: 8 057 826
All from OPUS 29 (announced Nov. 28, 2025), all from panel ST8
Naukowcy Politechniki Gdańskiej zdobyli miliony na badania | Politechnika Gdańska
opus29-lr.pdf
Roberto Castro-Munoz – 2 143 462 PLN (SONATA 20, announced May 27, 2025, also from panel ST8)
Dr Robert Castro-Munoz otrzymał dofinansowanie w programie SONATA | Wydział Inżynierii Lądowej i Środowiska Politechniki Gdańskiej
Total: 10 201 288
Including grants awarded to Grzegorz Boczkaj and Muhammad Bilal in 2023-2024 it’s more than 15 mln PLN.
Grzegorz Boczkaj and Roberto Castro Munoz also received rector’s awards in 2025, Boczkaj 10-11 months after his retractions. So in fact he received this award also for these retracted papers.
Pracownicy uczelni wyróżnieni. Za nami uroczyste posiedzenie Senatu PG | Politechnika Gdańska
Rector Wilde is definitely challenging all honest scientists in Poland.
LikeLiked by 1 person
Those are some expensive retractions!
LikeLike
I don’t think the rector has much to say when it comes to giving the award – there’re some guidelines, based on ministry’s publication points, and if you have enough score, you get it. I doubt there is any formal possibility to say no if there’s no court ruling.
LikeLike
But someone created these rules. They are internal regulations. In Opole University 400 points are required, which means 2 publications in Lancet with 1000+ authors. It’s enough to add a point to these regulations – “retractions = no award”.
LikeLike
“Maksymilian Plata-Gryl
Emilia Gontarek-Castro”
Correct me if I’m wrong, but there’re no serious concerns for these two people on PubPeer.
LikeLike
PubPeer – Search publications and join the conversation.
That’s because nobody has carefully checked these publications so far. There are more serious targets, at least for me.
PubPeer – HPLC, GC-MS, XRD profiling, enzyme inhibition and cytotoxici…
Do you really think that anybody publishing with Boczkaj and Castro-Munoz is clean?
LikeLike
Poland again, maybe someone should take a closer look at the plagiarism of Tomasz Chmielewski published on pubpeer, the dean of engineering from Warsaw is very active
LikeLike
From this Politechnik University is more “active” people. Robert Mroczynski, Marcin Filipiak
LikeLike
Scientific Reports is a leading journal? I’ll need sure to let them know how you respect them 👍
LikeLike
My sarcasm is lost even on you!
LikeLiked by 1 person
Roberto Casto-Munoz got 3rd retraction: https://www.sciencedirect.com/science/article/pii/S0921510723006712?via%3Dihub
There’s also a new one for Mohammad Reza Saeb and Eder Lima: https://pubpeer.com/publications/52BF0B282F0DEADCD6AF0E21B4AC32
LikeLike
Yes, I know. The second one caused by me, although initiated by Desmococcus antarctica. When Boczkaj’s retractions arrived in December 2024 and January 2025 I asked if Roberto will survive 15 months. He didn’t. After 15 months he already has 3. More will soon arrive. Unfortunately he has another competitor for knocking Królczyk (currently 6) off the podium – Agnieszka Najda (currently 5).
LikeLike
What do you think about this scientist: Przemyslaw Kowalczewski https://www.scopus.com/authid/detail.uri?authorId=55191574200&origin=AuthorProfile#
Seems to be very productive as the vice rector of Andrzej Frycz Modrzewski Krakow University
https://pubpeer.com/publications/59C1B94B6EB42547F2B033A8A14F1A
LikeLike