We are here to celebrate the life achievements of the great Austrian cancer researcher, Erwin F Wagner – the 75 year old professor at the Medical University (MedUni) of Vienna, and one of the founders of the Institute of Molecular Pathology (IMP), also in Vienna.
Wagner is member of several academies, and was awarded with prizes by the Austrian government, the Austrian Academy of Sciences, the Archdiocese of Vienna, the Max Planck Society and EMBO. The only disappointment: Wagner is not related to the famous German composer, sorry. But we shall enjoy the Ring Festival with Wagner and his friends anyway.

Wagner’s amazing achievements in making cancer history can be admired on PubPeer. For example, he coauthored the problematic paper Wada et al 2004 with his Viennese colleague Josef Penninger (since 2023 professor at MedUni), that dodgy study was mentioned in this article:
Mr ACE2 Josef Penninger, Greatest Scientist of Our Time
As a young Wunderkind, Josef Penninger discovered the ACE2 receptor. Now he invented the cure for the coronavirus which will work in his hands where Big Pharma failed. He was never found guilty of research misconduct and never retracted a paper. Dr Penninger is a Genius making a COVID-19 vaccine.
[Note: an earlier version of this article listed Penninger as former IMP director, in reality he was foudning firector of IMBA, also in Vienna]
A bad paper by Wagner with the German-born Harvard professor Konrad Hochedlinger was fixed with an outrageous correction:
Konrad Hochedlinger, Erwin F Wagner and Kanaga Sabapathy Differential effects of JNK1 and JNK2 on signal specific induction of apoptosis Oncogene (2002) doi: 10.1038/sj.onc.1205348

“This correction serves to address concerns raised by readers regarding the Western blot bands in Figs. 2B and 4B of this article [1], which were purported to be highly similar and contain vertical splice marks between samples. […]
These corrections do not change any of the conclusions of our manuscript.”
Correction: 31 May 2023
Yet another paper with a fake gel (Sabapathy et al 2004), with Wagner as last author, plus Hochedlinger and the undead Count Fakula Michael Karin was mentioned in the relevant article below:
AACR conjures undead Count Fakula Michael Karin
What better distraction than the COVID-19 pandemic to revive one of the spookiest parasites in cancer research? AACR uses the COVID-19 cover to award Michael Karin, for his over 50-paper-strong record of data fakery.
Wagner’s and Karin’s other paper, Sabapathy et al 1999, is not to be trusted either. Rather relevant to our Wagner Ring Festival: this naughty Kanaga Sabapathy, now President’s Chair Professor at· Nanyang Technological University in Singapore, is Wagner’s former mentee. The following paper is on PubPeer since 2016, but it cannot be retracted because the almighty MIT professor Rudolf Jaenisch is coauthor (and because Jaenisch and Wagner are EMBO members, and those are exempt from retractions at EMBO Press):
K. Sabapathy , M Klemm , R Jaenisch , E F Wagner Regulation of ES cell differentiation by functional and conformational modulation of p53 The EMBO Journal (1997) doi: 10.1093/emboj/16.20.6217




Wagner worked with many bad guys. A bad paper by Wagner with the US cheater Richard Pestell (Jiao et al 2008) was mentioned in this article:
The Pestilence of Pestell
Richard Pestell MB, BS, MD, PhD, FACP, FRACP. MBA, FRCP, FRSB, AO is the most dashing doctor a girl or a boy can ever dream of. What luck for Michael Lisanti to have been invited for a ride!
Wagner’s PubPeer record also includes a dodgy paper with Laurence Zitvogel, the wife of Guido Kroemer (one wishes they both would cheat on each other instead on science).
Magali Terme , Elena Tomasello , Koji Maruyama , Florent Crépineau , Nathalie Chaput , Caroline Flament , Jean-Pierre Marolleau , Eric Angevin , Erwin F. Wagner , Benoı̂t Salomon , François A. Lemonnier , Hiro Wakasugi , Marco Colonna , Eric Vivier, Laurence Zitvogel IL-4 confers NK stimulatory capacity to murine dendritic cells: a signaling pathway involving KARAP/DAP12-triggering receptor expressed on myeloid cell 2 molecules The Journal of Immunology (2004) doi: 10.4049/jimmunol.172.10.5957

There is also a dodgy paper by Wagner and the sexual harasser Joseph Schlessinger (read about him below):
Dirty Old Men
Does being a science genius entitle you to sexual harassment, as academic authorities in Yale and elsewhere insist? Let’s look at papers by Michael Simons, Joseph Schlessinger and Arnold Levine.
Also on board is EMBO director Fiona Watt:
M Sibilia , A Fleischmann , A Behrens , L Stingl , J Carroll , F M Watt , J Schlessinger , E F Wagner The EGF receptor provides an essential survival signal for SOS-dependent skin tumor development Cell (2000) doi: 10.1016/s0092-8674(00)00026-x

“Figure 5A. Splicing in P-Tyr, Erk2 and possibly SOS1 panels, but not in EGFR, P-Erk1/2 P-Akt or Akt panels.”
That former mentee of Wagner’s, Maria Sibilia, is now not just professor, but also President of the Senate of the MedUni Vienna. Can you imagine any papers of hers or Wagner’s ever being investigated by this university?
Bettina Wagner , Anuradha Natarajan , Sabine Grünaug , Renate Kroismayr , Erwin F Wagner , Maria Sibilia Neuronal survival depends on EGFR signaling in cortical but not midbrain astrocytes The EMBO Journal (2006) doi: 10.1038/sj.emboj.7600988

Fig 1H
Ah, and Sibilia is also an EMBO member, so little hope for even a measly correction. This however was corrected in 2016, after the authors announced on PubPeer that it was the journal editors who falsified their figure after submission:
Maria Sibilia, Bettina Wagner , Astrid Hoebertz , Candace Elliott , Silvia Marino , Wolfram Jochum , Erwin F. Wagner Mice humanised for the EGF receptor display hypomorphic phenotypes in skin, bone and heart Development (2003) doi: 10.1242/dev.00664


Correction December 2016: “In Fig. 6, owing to an error in figure assembly during preparation of the proofs, the incorrect image (a duplication of panel D) was displayed in panel G.”
Wagner opened his lab at MedUni Vienna in January 2019, at the tender age of 69. Before that he worked for a decade as Director of the Cancer Cell Biology Program at CNIO in Madrid, Spain. From Wagner’s time there, a collaboration with the Barcelona cheater Pura Munoz-Canoves, who then recycled an image 8 years later for different experiments:
Vanessa Ruiz-Bonilla , Eusebio Perdiguero , Lionel Gresh , Antonio L. Serrano , Mònica Zamora , Pedro Sousa-Victor , Mercè Jardí , Erwin F. Wagner , Pura Muñoz-Cánoves Efficient adult skeletal muscle regeneration in mice deficient in p38β, p38γ and p38δ MAP kinases Cell Cycle (2008) doi: 10.4161/cc.7.14.6273

Jessica Segalés , Abul B. M. M. K. Islam , Roshan Kumar , Qi-Cai Liu , Pedro Sousa-Victor , F. Jeffrey Dilworth , Esteban Ballestar , Eusebio Perdiguero , Pura Muñoz-Cánoves Chromatin-wide and transcriptome profiling integration uncovers p38α MAPK as a global regulator of skeletal muscle differentiation Skeletal Muscle (2016) doi: 10.1186/s13395-016-0074-x
In the following case, Wagner will need to share responsibility not only with Munoz-Canoves, but also with another major cheater from Barcelona, Manel Esteller!
Manel Esteller, the Schrödinger cat of Barcelona
This text was first published on September 30th as Spanish translation on Hipertextual. The Spanish Institut d’Investigació Biomèdica de Bellvitge (IDIBELL) in Barcelona has discovered a new application of the famous Schrödinger uncertainty theory, by extending quantum mechanics from single atoms to entire scientific publications and its authors. The traditional Schrödinger cat inside a box…
This was flagged on PubPeer already in 2015, and the society publisher EMBO press did nothing because, you probably can guess already, both Munoz-Canoves and Wagner are EMBO members:
Eusebio Perdiguero , Vanessa Ruiz-Bonilla , Lionel Gresh , Lijian Hui , Esteban Ballestar , Pedro Sousa-Victor , Bernat Baeza-Raja , Mercè Jardí , Anna Bosch-Comas , Manel Esteller , Carme Caelles , Antonio L Serrano , Erwin F Wagner, Pura Muñoz-Cánoves Genetic analysis of p38 MAP kinases in myogenesis: fundamental role of p38alpha in abrogating myoblast proliferation The EMBO Journal (2007) doi: 10.1038/sj.emboj.7601587





Munoz-Canoves’s mentee Eusebio Perdiguero now made it to group leader at Altos Labs in California, where he works on “rejuvenation”. He has 11 bad papers on PubPeer. Allow me to briefly detract from Wagner and show you this EMBO Journal paper by Perdiguero with another major cheater from Spain, Angel Nebreda. It cannot be retracted or even corrected because Nebreda is EMBO member:
Eusebio Perdiguero , Marie-Jeanne Pillaire , Jean-Francois Bodart , Florian Hennersdorf, Morten Frödin, Nicholas S Duesbery , Gema Alonso , Angel R Nebreda Xp38gamma/SAPK3 promotes meiotic G(2)/M transition in Xenopus oocytes and activates Cdc25C The EMBO Journal (2003) doi: 10.1093/emboj/cdg559





This, again in EMBO J, was flagged on PubPeer in 2016, and ignored. Wagner is EMBO member, don’t forget, hence – special rules. Wagner’s coauthor Lukas Kenner is another professor of medicine at MedUni Vienna:
Arabella Meixner , Florian Karreth , Lukas Kenner , Erwin F Wagner JunD regulates lymphocyte proliferation and T helper cell cytokine expression The EMBO Journal (2004) doi: 10.1038/sj.emboj.7600133


Here a paper by Wagner and Kenner with their IMP and MedUni colleagues Richard Moriggl, Veronika Sexl (now Rector of the University of Innsbruck, read April 2025 Shorts), plus, ta-da, my former PhD advisor at University of Düsseldorf Roland Piekorz (not at all fondly remembered), plus the common postdoctoral advisor of all three at St Jude’s Children’s Hospital in USA, James Ihle. So many great scientific minds and not one of them knows how to run western blots. But then again, nobody at Cell knows either.
Richard Moriggl , Veronika Sexl , Lukas Kenner , Christopher Duntsch , Katharina Stangl , Sebastien Gingras , Angelika Hoffmeyer , Anton Bauer , Roland Piekorz , Demin Wang , Kevin D. Bunting , Erwin F. Wagner , Karoline Sonneck , Peter Valent , James N. Ihle , Hartmut Beug Stat5 tetramer formation is associated with leukemogenesis Cancer Cell (2005) doi: 10.1016/j.ccr.2004.12.010

What exactly is the scientific message of this figure? The top panel shows one continuous gel, the P-Y-Stat5 panel in the middle is obviously made from two different gels, and the bottom Stat5 panel consists of fragments of FOUR gels. Who knows where those really came from.
On Western blot loading controls: lessons from Richard Moriggl lab
Western blot, a method to separate proteins by size and analyse their relative expression levels, is a much maligned technique of molecular cell biology. The website PubPeer is flooded with evidence of manipulated Western blots, where gel lanes were inappropriately spliced, or where bands digitally duplicated or erased. Some even question the technology as such,…
Kenner has other problematic papers with Moriggl on PubPeer, like this:
Jino Park , Soojin Kim , Joongho Joh , Scot C. Remick , Donald M. Miller , Jun Yan , Zeyad Kanaan , Ju-Hsien Chao , Maxwell M. Krem , Soumit K. Basu , Shotaro Hagiwara , Lukas Kenner , Richard Moriggl , Kevin D. Bunting , William Tse MLLT11/AF1q boosts oncogenic STAT3 activity through Src-PDGFR tyrosine kinase signaling Oncotarget (2016) doi: 10.18632/oncotarget.9759

Oh wait, this by Kenner and Moriggl is even worse. So many authors and nobody noticed the duplications?
Jan Pencik, Michaela Schlederer , Wolfgang Gruber , Christine Unger , Steven M. Walker , Athena Chalaris , Isabelle J. Marié , Melanie R. Hassler , Tahereh Javaheri , Osman Aksoy , Jaine K. Blayney , Nicole Prutsch , Anna Skucha , Merima Herac , Oliver H. Krämer , Peter Mazal , Florian Grebien , Gerda Egger , Valeria Poli , Wolfgang Mikulits , Robert Eferl, Harald Esterbauer, Richard Kennedy, Falko Fend , Marcus Scharpf, Martin Braun, Sven Perner, David E. Levy, Tim Malcolm, Suzanne D. Turner, Andrea Haitel, Martin Susani, Ali Moazzami, Stefan Rose-John, Fritz Aberger, Olaf Merkel, Richard Moriggl, Zoran Culig, Helmut Dolznig , Lukas Kenner STAT3 regulated ARF expression suppresses prostate cancer metastasis Nature Communications (2015) doi: 10.1038/ncomms8736


You see, we have here a proper Kenner of bad science, pardon the German pun. Back to Wagner, here he is with another professor at MedUni Vienna, Peter Petzelbauer:
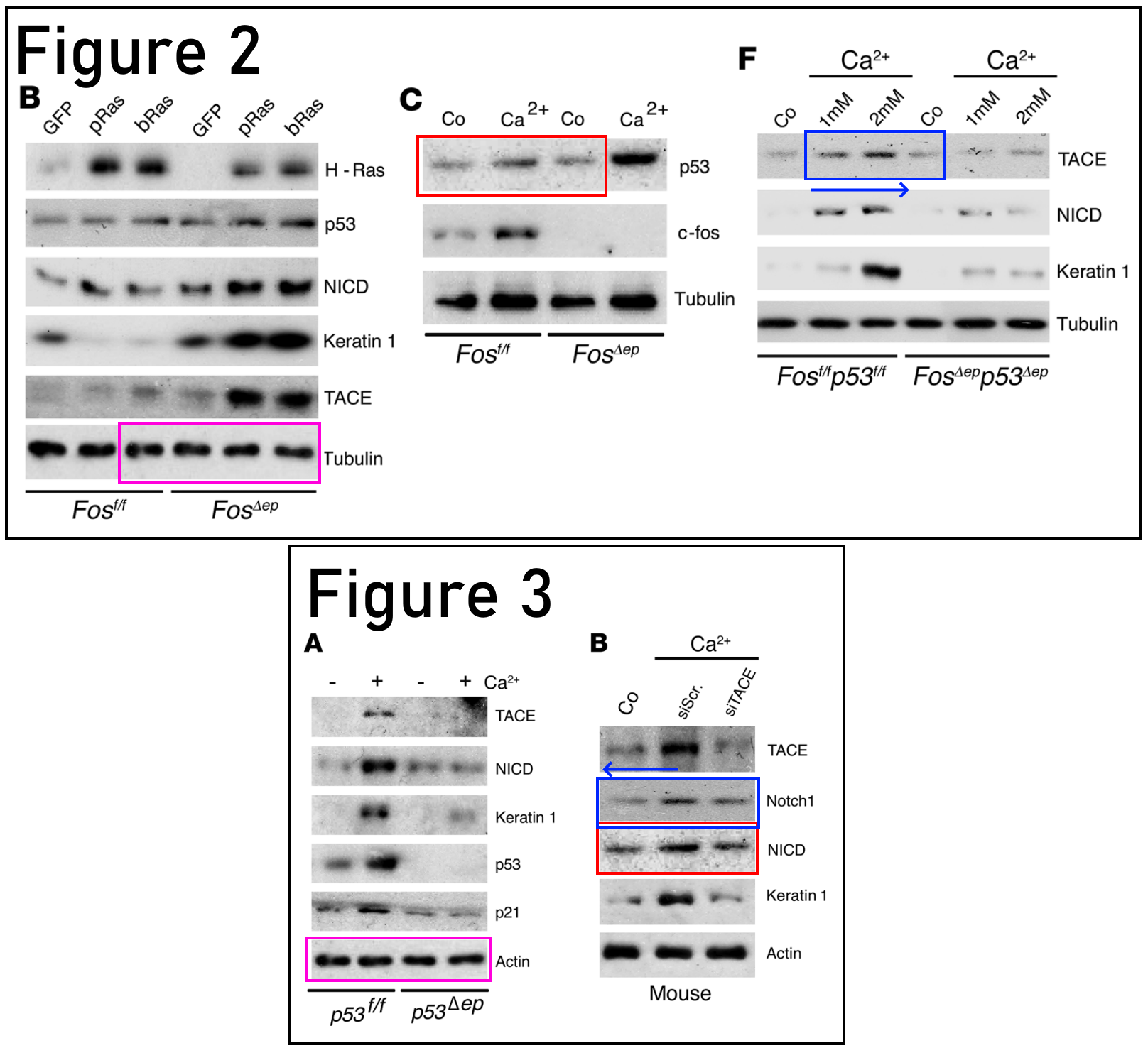
Juan Guinea-Viniegra , Rainer Zenz , Harald Scheuch, María Jiménez, Latifa Bakiri , Peter Petzelbauer, Erwin F. Wagner Differentiation-induced skin cancer suppression by FOS, p53, and TACE/ADAM17 Journal of Clinical Investigation (2012) doi: 10.1172/jci63103


Returning to Spain, here is Wagner again with his Spanish colleagues at CNIO:
Krishna S. Tummala , Ana L. Gomes , Mahmut Yilmaz , Osvaldo Graña , Latifa Bakiri , Isabel Ruppen , Pilar Ximénez-Embún , Vinayata Sheshappanavar , Manuel Rodriguez-Justo , David G. Pisano , Erwin F. Wagner, Nabil Djouder Inhibition of de novo NAD(+) synthesis by oncogenic URI causes liver tumorigenesis through DNA damage Cancer Cell (2014) doi: 10.1016/j.ccell.2014.10.002

The last author Nabil Djouder has another problematic paper on PubPeer, a freshly published Nature paper with image duplications (Del Mar Rigua et al 2025). But here is another Nature paper from Spain, with Wagner:
Isidoro Cobo , Paola Martinelli , Marta Flández , Latifa Bakiri , Mingfeng Zhang , Enrique Carrillo-de-Santa-Pau , Jinping Jia , Víctor J. Sánchez-Arévalo Lobo , Diego Megías , Irene Felipe , Natalia Del Pozo , Irene Millán , Liv Thommesen , Torunn Bruland , Sara H. Olson , Jill Smith , Kristina Schoonjans, William R. Bamlet , Gloria M. Petersen, Núria Malats , Laufey T. Amundadottir, Erwin F. Wagner, Francisco X. Real Transcriptional regulation by NR5A2 links differentiation and inflammation in the pancreas Nature (2018) doi: 10.1038/nature25751


Another paper by Wagner and his postdoc Latifa Bakiri, whom you already met above:
Stefanie Wurm , Jisheng Zhang , Juan Guinea-Viniegra , Fernando García , Javier Muñoz , Latifa Bakiri , Elena Ezhkova , Erwin F. Wagner Terminal epidermal differentiation is regulated by the interaction of Fra-2/AP-1 with Ezh2 and ERK1/2 Genes & Development (2015) doi: 10.1101/gad.249748.114

How about some flawed cytometry? Wagner’s colleague Wolfgang Weninger is also professor at MedUni Vienna:
Özge Uluçkan , Maria Jiménez , Ben Roediger , Jakob Schnabl , Lucía T. Díez-Córdova , Kevin Troulé , Wolfgang Weninger , Erwin F. Wagner Cutaneous Immune Cell-Microbiota Interactions Are Controlled by Epidermal JunB/AP-1 Cell Reports (2019) doi: 10.1016/j.celrep.2019.09.042

Weninger should publish weniger, pardon another German pun, but his PubPeer record suggests he really should stop. Look at this:
Ben Roediger , Ryan Kyle , Szun S. Tay , Andrew J. Mitchell , Holly A. Bolton , Thomas V. Guy , Sioh-Yang Tan , Elizabeth Forbes-Blom , Philip L. Tong , Yasmin Köller , Elena Shklovskaya , Makio Iwashima , Kathy D. McCoy , Graham Le Gros , Barbara Fazekas De St Groth, Wolfgang Weninger IL-2 is a critical regulator of group 2 innate lymphoid cell function during pulmonary inflammation Journal of Allergy and Clinical Immunology (2015) doi: 10.1016/j.jaci.2015.03.043


Back to Wagner. His penultimate coauthor Georg Schett listed an affiliation with MedUni Vienna at that time, and is otherwise director of the German Centre Immunotherapy at the University Clinic Erlangen in Germany:
Liliana F Mellor , Nuria Gago-Lopez, Latifa Bakiri , Felix N Schmidt , Björn Busse, Simon Rauber, Maria Jimenez, Diego Megías , Sergio Oterino-Sogo , Ricardo Sanchez-Prieto , Sergei Grivennikov , Xinzhu Pu , Julia Oxford , Andreas Ramming, Georg Schett, Erwin F Wagner Keratinocyte-derived S100A9 modulates neutrophil infiltration and affects psoriasis-like skin and joint disease Annals of the Rheumatic Diseases (2022) doi: 10.1136/annrheumdis-2022-222229

Fig 2
Why yes, Schett has more on PubPeer, including some bad stuff with the Distler brothers, Jörg Distler in Düsseldorf and Oliver Distler in Zürich. Both these papers were flagged by Sholto David, note that Rudolf Jaenisch is on one of them:

Figure 2 and Figure 6

Figure 2C and Figure 2G
Here Schett shat again, this time as MedUni Vienna professor:
Jochen Zwerina, Birgit Tuerk , Kurt Redlich , Josef S Smolen , Georg Schett Imbalance of local bone metabolism in inflammatory arthritis and its reversal upon tumor necrosis factor blockade: direct analysis of bone turnover in murine arthritis Arthritis Research & Therapy (2006) doi: 10.1186/ar1872

Fig 2 by Penicillium citreoviride
We return to Wagner to meet his Italian colleague, Gian-Paolo Dotto, who until his retirement was simultaneously professor at Massachusetts General Hospital in Boston USA and the University of Lausanne in Switzerland. Dotto has a serious PubPeer record, but that’s OK, the man is a universal genius who is busy writing books and peer-reviewed articles about whether god and life after death exist, and on how to end all wars.

This paper by Dotto and Wagner was corrected, already in 2012 and thus before PubPeer existed:
Vihren Kolev , Anna Mandinova , Juan Guinea-Viniegra , Bing Hu , Karine Lefort , Chiara Lambertini , Victor Neel , Reinhard Dummer , Erwin F. Wagner, G. Paolo Dotto EGFR signalling as a negative regulator of Notch1 gene transcription and function in proliferating keratinocytes and cancer Nature Cell Biology (2008) doi: 10.1038/ncb1750
“The version of this Article initially published lacked sufficient detail on how samples for western blotting were processed. Many experiments involved analysis of multiple proteins of similar molecular weight, making stripping and re-probing of blots often problematic. For this reason, our preferred approach was to analyse the various proteins by parallel gels/blots, with immunoblotting of γ-tubulin or actin being performed to ensure good quality of samples and absence of protein degradation before or after cell extract preparations. For all immunoblot analysis performed in this paper, equal loading and transfer of proteins were verified by poinceau S staining of membranes. Specifically, the γ-tubulin blots shown in Figs 1c,d, 2a,e and 3b,c were from parallel gels, with comparable results being obtained by re-probing the blots. In Figs 1g, 2d and 6d, tubulin expression was assessed by stripping and re-probing blots. In each of these cases, results were confirmed by an independent experiment. In Fig. 5b, EGFR, c-Jun and actin blots were performed by sequential blotting of the same membrane, whereas p53 expression was assessed by a parallel gel/blot.”
Corrigendum December 2012
This is what was obscured by the bullshit about “stripping and re-probing of blots“, as discovered by PubPeer commenters:



As you see, not all of that was corrected. The journal might need to issue a second correction, but of course they won’t. This was flagged in October 2025:


Dotto is also a former collaborator of the mouse torturer and fraudster Sam W Lee, and of Lee’s bully mentor Stuart Aaronson.
“Daddy, we’re afraid of you” – Life in Stu Aaronson’s lab
“Aaronson may have finally realized the need to modify his behavior when his young children confronted him one day and complained, “Daddy, we’re afraid of you”. After he told us this story he added that perhaps he was being too harsh at work as well.”
A common paper by Dotto with Lee and Aaronson, Ongusaha et al 2006, was retracted for fraud. Dotto is of course EMBO member, and so is his coauthor below, Freddy Radtke (professor at EPFL in Lausanne, Switzerland), thus no hope for any action on this paper:
A. Rangarajan , C Talora , R Okuyama , M Nicolas , C Mammucari , H Oh , J C Aster , S Krishna, D Metzger , P Chambon , L Miele , M Aguet , F Radtke, G P Dotto Notch signaling is a direct determinant of keratinocyte growth arrest and entry into differentiation The EMBO Journal (2001) doi: 10.1093/emboj/20.13.3427


Also, Dotto’s and Radtke’s paper Nicolas et al 2003 was criticised for suspected animal abuse. Here another paper by Dotto, “communicated” to PNAS outside of proper peer review by the mega-cheater Robert Weinberg:
Ayyakannu Ayyanan , Gianluca Civenni , Laura Ciarloni , Catherine Morel , Nathalie Mueller , Karine Lefort , Anna Mandinova , Wassim Raffoul , Maryse Fiche , Gian Paolo Dotto , Cathrin Brisken Increased Wnt signaling triggers oncogenic conversion of human breast epithelial cells by a Notch-dependent mechanism Proceedings of the National Academy of Sciences (2006) doi: 10.1073/pnas.0600065103

Returnign again to Wagner. He is the only European author on this paper by Brendan Boyce of University of Ropchester in USA (who has more very bad stuff on PubPeer). Well, Wagner can share the responsibility with Boyce then:
Teruhito Yamashita , Zhenqiang Yao , Fang Li , Qian Zhang , I. Raul Badell , Edward M. Schwarz , Sunao Takeshita , Erwin F. Wagner , Masaki Noda , Koichi Matsuo , Lianping Xing , Brendan F. Boyce NF-kappaB p50 and p52 regulate receptor activator of NF-kappaB ligand (RANKL) and tumor necrosis factor-induced osteoclast precursor differentiation by activating c-Fos and NFATc1 Journal of Biological Chemistry (2007) doi: 10.1074/jbc.m610701200

“Figure 3B. NFATc1 panel. No background. Bands leftmost 2 lanes same.”
Wagner did reply to my email. There’s no point reporting to his university of the Austrian Agency for Research Integrity (OeAWI). They will find me guilty of research misconduct, again.
Research Integrity Fail in Austria
How I ended up charged with research misconduct in Austria.
In fact, OeAWI found me guilty for attempting to report the University of Graz professor Rudolph Zechner (read above). Well, here is him with Wagner, “contributed” to PNAS by academy member Zechner:
Hao Xie , Christoph Heier , Xia Meng , Latifa Bakiri , Isabella Pototschnig , Zhiyuan Tang , Silvia Schauer , Vanessa J. Baumgartner , Gernot F. Grabner , Gernot Schabbauer , Heimo Wolinski , Graham R. Robertson , Gerald Hoefler , Wenwen Zeng , Erwin F. Wagner , Martina Schweiger, Rudolf Zechner An immune-sympathetic neuron communication axis guides adipose tissue browning in cancer-associated cachexia Proceedings of the National Academy of Sciences (2022) doi: 10.1073/pnas.2112840119

No, I am not going to end this with Wagner’s Walkürenritt. This is Vienna after all, not Bayreuth.

Donate!
If you are interested to support my work, you can leave here a small tip of $5. Or several of small tips, just increase the amount as you like (2x=€10; 5x=€25). Your generous patronage of my journalism will be most appreciated!
€5.00


“The only disappointment: Wagner is not related to the famous German composer, sorry.”
I would not rule that out.
“The following paper is on PubPeer since 2016, but it cannot be retracted because the almighty MIT professor Rudolf Jaenisch is coauthor (and because Jaenisch and Wagner are EMBO members, and those are exempt from retractions at EMBO Press)”
The core of it. EMBO members, and those are exempt from retractions at EMBO Press.
It is easy to blame EMBO journal editors, but they are small fish when it comes to the machinations of EMBO. They are employees after all. I doubt they ever make decisions when it comes to EMBO members.
“Richard Moriggl , Veronika Sexl , Lukas Kenner , Christopher Duntsch , Katharina Stangl , Sebastien Gingras , Angelika Hoffmeyer , Anton Bauer , Roland Piekorz , Demin Wang , Kevin D. Bunting , Erwin F. Wagner , Karoline Sonneck , Peter Valent , James N. Ihle , Hartmut Beug Stat5 tetramer formation is associated with leukemogenesis Cancer Cell (2005) doi: 10.1016/j.ccr.2004.12.010 “
Small mention for Harmut Beug, dead, but not forgotten.
String of problematic publications from the days when slapping down any old piece of nonsense on a piece of paper was trying your best. PubPeer – Search publications and join the conversation.
LikeLike
Beug continued publishing papers after his death
LikeLiked by 1 person
Twilight of the blots? Surely the opportunities for Wagnerian puns are endless.
LikeLiked by 1 person
“This correction serves to address concerns raised by readers regarding the Western blot bands in Figs. 2B and 4B of this article [1], which were purported to be highly similar and contain vertical splice marks between samples. […]
These corrections do not change any of the conclusions of our manuscript.”
The use of “were purporting to be” means that the authors do not accept that the images are highly similar. If they did they could have used the word are. The verb to be is very difficult for some to use. It has a repugnance to it. It sticks in the gullet. At all times admit to nothing.
LikeLike
Probably, he is not the one who prepared the manuscripts and assembled the images.
LikeLike
Do you mean the paper that was corrected, or all of the papers which have appeared at Pubpeer?
ICMJE | Recommendations | Defining the Role of Authors and Contributors
2. Who Is an Author?
The ICMJE recommends that authorship be based on the following 4 criteria:
In addition to being accountable for the parts of the work done, an author should be able to identify which co-authors are responsible for specific other parts of the work. In addition, authors should have confidence in the integrity of the contributions of their co-authors.
All those designated as authors should meet all four criteria for authorship, and all who meet the four criteria should be identified as authors.
LikeLike
Shouldn’t really be an author if that is the case.
LikeLike
I agree with you that responsibility lies with all authors. My question is: why are you selectively assigning blame? COPE explicitly emphasizes accountability, stating that authors should be willing to correct errors or address concerns about their work. Why, then, are you targeting those who corrected the record or those who are unable to respond (including deceased authors)?
Not every author has the expertise or tools to detect image duplication—particularly if they have never encountered the issue before or lack specific awareness. Moreover, in manuscripts with many authors, not everyone is involved in preparing or handling the images.
Platforms such as PubPeer and FBS aim to determine genuineness of articles just with an image; if there is an issue, it is fake. And what about articles that show no image manipulation—do you believe they are therefore flawless? All publications, including your own, your articles could also be discussed on PubPeer. In fact, the publisher of this blog already has record in PubPeer. What I mean- no one is resistant to pubpeer record or comments.
LikeLike
“Not every author has the expertise or tools to detect image duplication—particularly if they have never encountered the issue before or lack specific awareness. ” That’s up to the authors. Others are not responsible for what authors do.
“Moreover, in manuscripts with many authors, not everyone is involved in preparing or handling the images.” Suggest you read ICMJE | Recommendations | Defining the Role of Authors and Contributors 2. Who Is an Author?
“Why, then, are you targeting those who corrected the record or those who are unable to respond (including deceased authors)?” Targeting is not a word I would use as implies unfairness. Because they did it. It wasn’t somebody else. The extant authors should be able to answer for any deceased ones. There may be papers where all authors are deceased, yet the papers need to be corrected or retracted. Soon, with the application of AI for example, many more papers contaminating the scientific record will likely be detected in which all the authors will be deceased. If only the publishing industry were to divert a small proportion of its vast profits the scientific record could be substantially improved.
LikeLiked by 1 person
That’s one big problem with PubPeer, that increasingly dishonest actors use it as a resource to attack their enemies by leaving one comment on as many articles as possible. Often the comment is not made in good faith, such as ‘I disagree with the method used’ without elaborating.
The goal is to get a person to have a lot of articles flagged on PubPeer so that you can say this to others on social media or on a blog, or just in private conversations during lunch. ‘X has a lot of articles flagged on PubPeer’, and because many believe that the best strategy with comments made in bad faith is not to answer them, they can also add, ‘and they never answered the concerns!’.
Now, if you actually take the time to read the comments, and especially the original paper(s), it’s pretty obvious they are spurious, but many people will not read them, especially those not in the field. Administrators for example…
It’s a big problem that PubPeer is starting to become a tool of political retaliation in that regard. It is targeted mostly at those with a scientific background, so the effect it can have is limited, as people still follow through on checking allegations more than the general populace. And for now, it is not such a big problem and the positives are outweighed by this one negative. Pubpeer does delete comments if you complain to them and they check it and find your complaint to be valid, I believe, but many professors targeted by someone in their department/university with this tactic: don’t know this, believe that Pubpeer is a malicious tool, are too depressed, etc… and refuse to complain. They also then casually comment that Pubpeer has no legitimate purpose, and start hating it because they never heard of it before being targeted. (Obviously this happened to someone I know). Even one or two bad faith comments on just one paper is enough to get this effect out of a person.
LikeLike
Today, on “things that happened to someone else that I cannot name, nor I can’t give an exemple of, but surely I can moan about for hundreds of characters”
LikeLiked by 1 person
Bait
LikeLike
I also agree with your point about why certain individuals are being “selectively” targeted.
With respect to COPE, my view is precisely the same: accountability and correction of the scientific record are essential. However, it seems that the criticism is directed at those who have actually attempted to correct the record or who have responded to comments.
Furthermore, while I agree that visual similarity in images can sometimes be assessed, what about papers that contain no figures at all, where authors can insert essentially any numerical data they choose? Are such papers even evaluable? I am personally heard of cases in which, from start to finish, no real experimental work was conducted, and a student wrote the entire paper using fabricated data, with only his own name listed as the author!
LikeLike
“Gian-Paolo Dotto, who until his retirement was simultaneously professor at Massachusetts General Hospital in Boston USA and the University of Lausanne in Switzerland.”
24 February 2026 Editorial Expression of Concern for Gian-Paolo Dotto for 2010 Nature paper.
Editorial Expression of Concern: Opposing roles for calcineurin and ATF3 in squamous skin cancer | Nature
PubPeer – Opposing roles for calcineurin and ATF3 in squamous skin can…
LikeLike