Schneider Shorts

Schneider Shorts 4.04.2025 – Give people the benefit of the doubt

Schneider Shorts 4.04.2025 - cancer center director in USA and university rector in Austria need to check their papers, Egyptian geniuses recycle a spectrum 12 times, with amazing corrections by ACS and Elsevier, Nazi paper retracted, and finally, a Dutch sexual predator sacked by court order.

Schneider Shorts of 4 April 2025 – cancer center director in USA and university rector in Austria need to check their papers, Egyptian geniuses recycle a spectrum 12 times, with amazing corrections by ACS and Elsevier, Nazi paper retracted, and finally, a Dutch sexual predator sacked by court order.


Table of Discontent

Science Elites

Scholarly Publishing

Retraction Watchdogging


Science Elites

Not aware of any issue

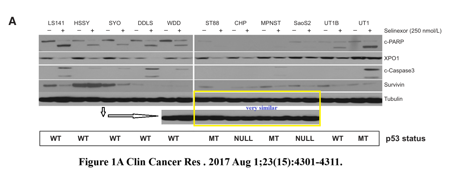
Meet the cancer researcher Gary Schwartz, previously chief of melanoma service at Memorial Sloan-Kettering Cancer Center (MSKCC), then Deputy Director of the Herbert Irving Comprehensive Cancer Center at Columbia University, since 2023 director of the Case Comprehensive Cancer Center and Vice Dean for Oncology at Case Western Reserve University in Cleveland, Ohio. His PubPeer record includes some worrisome data manipulations, and he announced to investigate.

The findings were made by the pseudonymous sleuth Claire Francis.

Jayasree S. Nair, Elgilda Musi , Gary K. Schwartz Selinexor (KPT-330) Induces Tumor Suppression through Nuclear Sequestration of IκB and Downregulation of Survivin Clinical cancer research (2017) doi: 10.1158/1078-0432.ccr-16-2632 

Fig 1A
Fig 5B and F

Schwartz again with his former mentee Javassree Nair, now associate professor at Weill Cornell. Two different studies with two different drugs, yet same images:

An even older one by Nair and Schwartz:

Jayasree S. Nair , Elisa De Stanchina , Gary K. Schwartz The Topoisomerase I Poison CPT-11 Enhances the Effect of the Aurora B Kinase Inhibitor AZD1152 both In vitro and In vivo Clinical cancer research (2009) doi: 10.1158/1078-0432.ccr-08-1826 

Fig 5D

As you will see, it is not just one rogue mentee. How can this duplication happen by accident:

Tahir N. Sheikh , Parag P. Patwardhan , Serge Cremers , Gary K. Schwartz Targeted inhibition of glutaminase as a potential new approach for the treatment of NF1 associated soft tissue malignancies Oncotarget (2017) doi: 10.18632/oncotarget.21573 

What kind of cancerous research is this:

Brandi H Gorden , Jhuma Saha , Ali Khammanivong , Gary K Schwartz , Erin B Dickerson Lysosomal drug sequestration as a mechanism of drug resistance in vascular sarcoma cells marked by high CSF-1R expression Vascular cell (2014) doi: 10.1186/2045-824x-6-20 

Fig 5

Schwartz also insisted to have had absolutely no financial conflicts of interests in those older studies, which is barely credible knowing his later declarations.

Many other flagged papers are rather new, so raw data must be definitely available for an investigation. If it ever existed as such. And if there ever will be an investigation.

Grazia Ambrosini , Alex J. Rai , Richard D. Carvajal , Gary K. Schwartz Uveal Melanoma Exosomes Induce a Prometastatic Microenvironment through Macrophage Migration Inhibitory Factor Molecular cancer research (2022) doi: 10.1158/1541-7786.mcr-21-0526 

Fig 3A-B

Same first author Grazia Ambrosini, who followed Schwartz from MSKCC to Columbia, and was then left behind there:

Grazia Ambrosini , Catherine Do , Benjamin Tycko , Ronald B. Realubit , Charles Karan , Elgilda Musi , Richard D. Carvajal , Vivian Chua , Andrew E. Aplin , Gary K. Schwartz Inhibition of NF-κB–Dependent Signaling Enhances Sensitivity and Overcomes Resistance to BET Inhibition in Uveal Melanoma Cancer Research (2019) doi: 10.1158/0008-5472.can-18-3177 

Fig 2A and 6A
Fig 4D-E

The coauthor above, Richard Carvajal, is director of Melanoma Service at Columbia University Medical Center. Here an older joint study, again with Ambrosini:

Grazia Ambrosini, Raya Khanin , Richard D. Carvajal , Gary K. Schwartz Overexpression of DDX43 mediates MEK inhibitor resistance through RAS Upregulation in uveal melanoma cells Molecular Cancer Therapeutics (2014) doi: 10.1158/1535-7163.mct-14-0095 

Fig 1B, D
Fig 2A,C

Ambrosini again, mentored by Schwartz:

Grazia Ambrosini, Elgilda Musi , Alan L Ho , Elisa De Stanchina , Gary K Schwartz Inhibition of mutant GNAQ signaling in uveal melanoma induces AMPK-dependent autophagic cell death Molecular Cancer Therapeutics (2013) doi: 10.1158/1535-7163.mct-12-1020 

Fig 1A, 5C
Fig 1A, 5B

And again Schwartz and Ambrosini:

Grazia Ambrosini , Ashley D. Sawle , Elgilda Musi , Gary K. Schwartz BRD4-targeted therapy induces Myc-independent cytotoxicity in Gnaq/11-mutatant uveal melanoma cells Oncotarget (2015) doi: 10.18632/oncotarget.5179 

Fig 1B and 6E
Fig 1B,C

Forging preclinical data does hurt patients. Here is a clinical study by Carvajal, Ambrosini and Schwartz with 29 melanoma patients, all of whom experienced an adverse effect:

Shaheer Khan , Sapna P. Patel , Alexander N. Shoushtari , Grazia Ambrosini , Serge Cremers , Shing Lee , Lauren Franks , Shahnaz Singh-Kandah , Susana Hernandez , Naomi Sender , Kristina Vuolo , Alexandra Nesson , Prabhjot Mundi , Benjamin Izar , Gary K. Schwartz , Richard D. Carvajal Intermittent MEK inhibition for the treatment of metastatic uveal melanoma Frontiers in Oncology (2022) doi: 10.3389/fonc.2022.975643 

Fig 3A, “Much more similar than expected for 2 different proteins.”

And another clinical study by the same team:

Alexander N. Shoushtari , Shaheer Khan , Kimberly Komatsubara , Lynn Feun , Nicolas Acquavella , Shahnaz Singh-Kandah , Tiffany Negri , Alexandra Nesson , Kelly Abbate , Serge Cremers , Elgilda Musi , Grazia Ambrosini , Shing Lee , Gary K. Schwartz , Richard D. Carvajal A Phase Ib Study of Sotrastaurin, a PKC Inhibitor, and Alpelisib, a PI3Kα Inhibitor, in Patients with Metastatic Uveal Melanoma Cancers (2021) doi: 10.3390/cancers13215504 

Fig 3

I wrote to Schwartz about his PubPeer record. On 23 March 2025, he replied to me in an email:

Thank you for bringing this to my attention. I was not aware of any issue until you brought this to my attention. I plan to address each of these issues in turn.”

There are still no replies on PubPeer, by any of the authors.


No change in the message

Claire Francis kindly informed me who presides over the University of Innsbruck in Austria since 2023 – the cancer researcher Veronika Sexl, previously institute director and senate member at the University of Veterinary Medicine Vienna.

Sexl was elected as Innsbruck rector in June 2022 by the university board, and took her office on 1 March 2023. Later in 2023, she was awarded by the Catholic Church with the Cardinal Innitzer Prize for natural sciences.

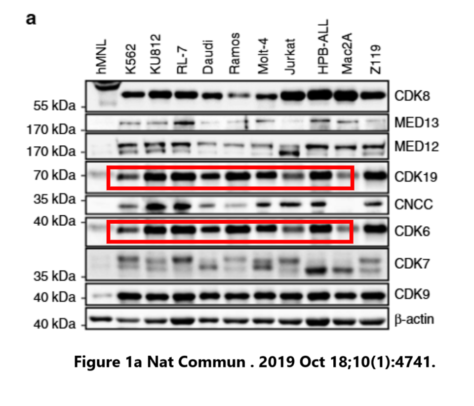
My previous interaction with Sexl as journalist was from June 2015, about which I wrote in a German magazine. Back then, the sleuth Morten Oksvold published his analysis of image duplications in cancer research (Oksvold 2015), Sexl’s paper was one of those he flagged:

Karoline Kollmann , Gerwin Heller , Christine Schneckenleithner , Wolfgang Warsch , Ruth Scheicher , Rene G. Ott , Markus Schäfer , Sabine Fajmann , Michaela Schlederer , Ana-Iris Schiefer , Ursula Reichart , Matthias Mayerhofer , Christoph Hoeller , Sabine Zöchbauer-Müller , Dontscho Kerjaschki , Christoph Bock , Lukas Kenner , Gerald Hoefler , Michael Freissmuth , Anthony R. Green , Richard Moriggl, Meinrad Busslinger, Marcos Malumbres, Veronika Sexl A kinase-independent function of CDK6 links the cell cycle to tumor angiogenesis Cancer Cell (2013) doi: 10.1016/j.ccr.2013.07.012 

“Fig. 3: duplication of microscopy data (patient samples)”

Sexl replied to me right away, assured that the mistake doesn’t affect any conclusions, placed the responsibility on the first author, and announced a correction. Which was published a year later in August 2016.

This was also flagged in 2015 and corrected, 3 years later:

Ruth Scheicher , Andrea Hoelbl-Kovacic , Florian Bellutti , Anca-Sarmiza Tigan , Michaela Prchal-Murphy , Gerwin Heller , Christine Schneckenleithner , María Salazar-Roa , Sabine Zöchbauer-Müller , Johannes Zuber , Marcos Malumbres , Karoline Kollmann , Veronika Sexl CDK6 as a key regulator of hematopoietic and leukemic stem cell activation Blood (2015) doi: 10.1182/blood-2014-06-584417 

Correction August 2018: “In Figure 7G on page 99 in the 1 January 2015 issue, the image on the right is a duplicate copy of the middle image in a different orientation.”

Sexl explained the issue in April 2018 on PubPeer with:

It appears that we have indeed made a mistake and made a picture of the same area twice without noticing. […] There is no change in the message of the paper

Now, Sexl’s coauthor on the first paper above also a former close associate of hers at University of Veterinary Medicine Vienna – Richard Morrigl, since March 2023 is professor at the Paris Lodron University Salzburg. Moriggl doesn’t know how to do western blots and therefore had to retract a paper (Javaheri et al 2016, also see also my article from December 2018).

On Western blot loading controls: lessons from Richard Moriggl lab

Western blot, a method to separate proteins by size and analyse their relative expression levels, is a much maligned technique of molecular cell biology. The website PubPeer is flooded with evidence of manipulated Western blots, where gel lanes were inappropriately spliced, or where bands digitally duplicated or erased. Some even question the technology as such,…

Here we have another paper by Moriggl and Sexl:

Katrin Friedbichler , Marc A. Kerenyi , Boris Kovacic , Geqiang Li , Andrea Hoelbl , Saliha Yahiaoui , Veronika Sexl , Ernst W. Müllner , Sabine Fajmann , Sabine Cerny-Reiterer , Peter Valent, Hartmut Beug , Fabrice Gouilleux , Kevin D. Bunting , Richard Moriggl Stat5a serine 725 and 779 phosphorylation is a prerequisite for hematopoietic transformation Blood (2010) doi: 10.1182/blood-2009-12-258913 

Actinopolyspora biskrensis: “Figure 6A and 6B, it appears that one mouse may have had the misfortune of being harvested twice.”

Now, one of the coauthor above was the Veterinary Medical University of Vienna professor Hartmut Beug, Sexl’s and Moriggl’s mentor and one of the founders of the Institute of Molecular Pathology (IMP) in Vienna. Beug died in June 2011, but this definitely didn’t prevent him from publishing seven research papers after his death and until 2015.

One such paper was Kovacic et al 2012, by Sexl, Moriggl and Beug as last author. Beug”s Vienna affiliations are duly listed, but not the rather relevant circumstance that he was deceased and thus couldn’t really have approved to this publication and its contents.

Western blot loading control libraries and beyond

Too many scientists defend the practice of not probing for loading controls for each protein gel. They say a “library” method perfectly suffices, when one separate loading control gel is run once for reference. Such sloppiness can sometimes be a hint of even worse practices taking place.

Here a paper by Beug (then alive), plus Sexl, Moriggl, and, ta-da, my former PhD advisor at University of Düsseldorf Roland Piekorz (not at all fondly remembered), plus the common postdoctoral advisor of all three at St Jude’s Children’s Hospital in USA, James Ihle. So many great scientific minds and not one of them knows how to run western blots. But then again, nobody at Cell knows either.

Richard Moriggl , Veronika Sexl , Lukas Kenner , Christopher Duntsch , Katharina Stangl , Sebastien Gingras , Angelika Hoffmeyer , Anton Bauer , Roland Piekorz , Demin Wang , Kevin D. Bunting , Erwin F. Wagner , Karoline Sonneck , Peter Valent , James N. Ihle , Hartmut Beug Stat5 tetramer formation is associated with leukemogenesis Cancer Cell (2005) doi: 10.1016/j.ccr.2004.12.010 

“Splice in one WB panel, but not in the accompanying panel does make it difficult to compare the panels.”

What exactly is the scientific message of this figure? The top panel shows one continuous gel, the P-Y-Stat5 panel in the middle is obviously made from two different gels, and the bottom Stat5 panel consists of fragments of FOUR gels. Who knows where those really came from.

On the topic of Stat5 protein, here is another paper by Sexl and Piekorz. Yes, they are not lead authors, but either it is your research and your co-responsibility or you accepted gift authorship, right?

Christopher P. Shelburne , Margaret E. McCoy , Roland Piekorz , Veronica Sexl , Kwan-Ho Roh , Sarah M. Jacobs-Helber , Sheila R. Gillespie , Daniel P. Bailey , Paria Mirmonsef , Meredith N. Mann , Mohit Kashyap , Harry V. Wright , Hey Jin Chong , L. Andrew Bouton , Brian Barnstein , Carlos D. Ramirez , Kevin D. Bunting , Steven Sawyer , Chris S. Lantz , John J. Ryan Stat5 expression is critical for mast cell development and survival Blood (2003) doi: 10.1182/blood-2002-11-3490 

Fig 1C

That was never a mistake of oversight.

This was flagged in November 2024, thus giving Sexl one or three years to consider a correction.

Dagmar Gotthardt , Eva M. Putz , Elisabeth Straka , Petra Kudweis , Mario Biaggio , Valeria Poli , Birgit Strobl , Mathias Müller , Veronika Sexl Loss of STAT3 in murine NK cells enhances NK cell–dependent tumor surveillance Blood (2014) doi: 10.1182/blood-2014-03-564450 

Fig 6E

Not only are those two cloned images shifted, they also have a different colour tone. How does one explain that with a mistake of oversight?

Flow cytometry for blood cells is Sexl’s specialty. Well, there are still some things even she could learn, and in fact then teach to her new subordinates in Innsbruck. Because this paper was done together with the Innsbruck colleagues:

M Sochalska , F Schuler , J G Weiss , M Prchal-Murphy , V Sexl , A Villunger MYC selects against reduced BCL2A1/A1 protein expression during B cell lymphomagenesis Oncogene (2017) doi: 10.1038/onc.2016.362 

Fig 6a

Sexl’s paper Kazemi et al 2016 has a similar problem of duplicated FACS plots. And so does Jelencic et al 2018.

Zahra Kazemi , Christian Bergmayr , Michaela Prchal-Murphy , Tahereh Javaheri , Madeleine Themanns , Ha T. T. Pham , Wolfgang Strohmaier , Veronika Sexl, Michael Freissmuth , Eva Zebedin-Brandl Repurposing Treprostinil for Enhancing Hematopoietic Progenitor Cell Transplantation Molecular Pharmacology (2016) doi: 10.1124/mol.116.103267 
Daniela Prinz , Klara Klein , Julia List , Vanessa M Knab , Ingeborg Menzl , Nicoletta Leidenfrost , Gerwin Heller , Bojan Polić , Eva Maria Putz , Agnieszka Witalisz-Siepracka , Veronika Sexl, Dagmar Gotthardt Loss of NKG2D in murine NK cells leads to increased perforin production upon long-term stimulation with IL-2 European Journal of Immunology (2020) doi: 10.1002/eji.201948222 
Vedrana Jelenčić , Marko Šestan , Inga Kavazović , Maja Lenartić , Sonja Marinović , Tim D. Holmes , Michaela Prchal-Murphy , Berislav Lisnić , Veronika Sexl , Yenan T. Bryceson , Felix M. Wensveen , Bojan Polić NK cell receptor NKG2D sets activation threshold for the NCR1 receptor early in NK cell development Nature Immunology (2018) doi: 10.1038/s41590-018-0209-9 

Only the Jelencic et al 2018 paper was corrected, in November 2024. Both LY49H plots were replaced with new data, yet the quantifications strangely remained the same.

Here another paper from Sexl’s lab, featuring the Stanford professor Nathanael Gray, who has a rather massive PubPeer record and was most recently mentioned in the article above.

Ingeborg Menzl , Tinghu Zhang , Angelika Berger-Becvar , Reinhard Grausenburger , Gerwin Heller , Michaela Prchal-Murphy , Leo Edlinger , Vanessa M. Knab , Iris Z. Uras , Eva Grundschober , Karin Bauer , Mareike Roth , Anna Skucha , Yao Liu , John M. Hatcher , Yanke Liang , Nicholas P. Kwiatkowski , Daniela Fux , Andrea Hoelbl-Kovacic , Stefan Kubicek , Junia V. Melo, Peter Valent, Thomas Weichhart, Florian Grebien, Johannes Zuber, Nathanael S. Gray, Veronika Sexl A kinase-independent role for CDK8 in BCR-ABL1 leukemia Nature Communications (2019) doi: 10.1038/s41467-019-12656-x 

Fig 1a

Here the most recent finding, Sexl is declared to have “jointly supervised this work” with the head of horse surgery at University of Veterinary Medicine Vienna, Florien Jenner:

Gil Lola Oreff, Barbara Maurer , Ahmed N. ELKhamary , Iris Gerner , Veronika Sexl, Florien Jenner Immortalized murine tenocyte cells: a novel and innovative tool for tendon research Scientific Reports (2023) doi: 10.1038/s41598-023-28318-4 

Sholto David: “Figure 2: Unexpected overlap between images of cells that should show different passages.”

Serious culpable acts

In Netherlands, a neuroscience professor was sacked in 2023 for sexual misconduct. Here is a court record from Limburg Court, 18 October 2023, Google translated:

“Dissolution of the employment contract with immediate effect due to serious culpable acts or omissions of the employee. No transition payment granted.”

It is quite detailed, we learn that the unnamed perpetrator was employed at Maastricht University since 1 October 2004, most recently as associate professor, after being after temporarily appointed from 1 February 2018 to 25 April 2023 as profiling professor of “Experimental Neuropsychopharmacology”. On 1 January 2010, he was fully appointed at the Faculty of Health, Medicine and Lifesciences, FHML and the Psychiatry department. His lab was located within the school for Mental Health and Neuroscience (“MHeNs”), where he is said to have been Head of Division. The decision to sack him for sexual misconduct was made on 26 April 2023, the employment formally ended on 18 October 2023, which the court upheld in full.

Now look at the LinkedIn profile of the former Maastricht professor of neuropharmacology Jos Prickaerts, who by the end of 2023 suddenly stopped being the MHeNs head of division, and is since 2024 a “self-employed” pharma consultant:

LinkedIn

There are no other professors whose CV would so neatly match the description of the sexual predator in the Limburg court record. Just Prickaerts.

We can read that the faculty dean reported the defendant’s sexual transgressions in September 2022. Who initially admitted only to having had a sexual relationship with one of his PhD students in 2020. An investigation began in October 2022, the defendant had to “immediately lay down his managerial duties within MHeNs until further notice“. He was also banned from his own lab and from teaching students.

Whistleblowers were interviewed in November 2022. Between November 2022 and January 2023, the defendant admitted:

– “that he kissed one of the interviewees ([name 1]) and that he touched her breasts. He pushed her shirt and bra aside.

– that he took one of the interviewees ([name 2]) home after a party, while [name 2] was drunk, after which [name 2] spent the night in the house of [defendant].

– that he kissed one of the interviewees ([name 3]), who was very drunk at the time, in a cafe when she threw her arms around his neck.

– that he had a sexual relationship with one of the interviewees ([name 4]) and that he did not report this relationship.”

The defendant knew that his sexual relationship with his own PhD student was against the employment rules. And he sexually harassed other lab members:

“In addition to entering into a long -term relationship with a subordinate, according to the investigation, the person concerned made sexual advances towards several students and/or subordinate employee. These were (largely) experienced by them as undesirable. […]

In addition to feelings of shame and guilt, they were also afraid that this could have consequences for their study or career opportunities. The person concerned does not deny that he has been intimate with students, he only believes that these intimate contacts took place with mutual consent. The latter is strongly contradicted by the ‘victims’ (with the exception of [name 3]). […]

It follows from the present investigation that the person concerned contacted some of them after the incident to make it clear that they better shouldn’t talk about it, or he tried to make some kind of agreement with them about this.”

And there is this:

“Spread over several years, various incidents have occurred in which the person concerned sought intimate contact with them, whether or not under the influence of alcohol. In that respect there also seems to be a pattern in his behavior.
What is also striking is that the person concerned sometimes showed this behavior very openly, in the presence of other students or subordinate colleagues.”

The court files mention that during a student party in 2016, the defendant openly chased his victim (described as [name 2]), and didn’t even let go when someone publicly confronted him. Instead, he took the heavily intoxicated victim to his home for the whole night. He didn’t even show any regret when confronted again by email the next day.

Jos Prickaerts did not react to my LinkedIn attempt to contact him. He continues publishing research papers, using his business affiliation of Peitho Translational.


Scholarly Publishing

Give people the benefit of the doubt

In December 2024 Shorts, I reported Sholto David‘s investigation of the fake science of the the British-Iranian nanotechnologist Alexander Seifalian, who was sacked by UCL in 2017 for having made the plastic tracheas which Paolo Macchiarini (but also Martin Birchall) used to kill people with.

UCL trachea transplant inquiry: scapegoating, obfuscation and a lost nose

In 2017, UCL invited an external expert commission to investigate the deadly trachea transplants performed by the former UCL honorary professor Paolo Macchiarini. An already sacked UCL nanotechnology professor, Alexander Seifalian, whose lab made the two UCL plastic POSS-PCU tracheas in 2011, was announced as the main culprit on UCL side. All this despite Seifalian’s…

After his sacking Seifalian teamed up with Iranian papermill fraudsters. One such fabrication now received a correction. Which will need to be corrected again.

The Iranian paper in the ACS journal Biomacromolecules features next to Seifalian and a pile of Iranians another Brit – the Lancaster University professor John Hardy, two Portuguese – the University of Minho professors Rui Reis and Subhas Kundu, and a Polish postdoc in USA, Aleksandra Urbanska.

Mazaher Gholipourmalekabadi, Alexander M. Seifalian, Aleksandra M. Urbanska , Mir Davood Omrani , John G. Hardy, Zahra Madjd , Seyed Mahmoud Hashemi , Hossein Ghanbarian, Peiman Brouki Milan , Masoud Mozafari , Rui L. Reis , Subhas C. Kundu , Ali Samadikuchaksaraei 3D Protein-Based Bilayer Artificial Skin for the Guided Scarless Healing of Third-Degree Burn Wounds in Vivo Biomacromolecules (2018) doi: 10.1021/acs.biomac.7b01807 

Sholto DavidFigure 5: There are multiple overlapping areas crossing between different sampling days and different experimental conditions.”
Fig 7
Fig 8

Seifalian, Urbanska, Reis and Kundu published other fake stuff with Mazaher Gholipourmalekabadi and Masoud Mozafari, like this:

Hatef Ghasemi Hamidabadi , Zahra Rezvani , Maryam Nazm Bojnordi , Haji Shirinzadeh , Alexander M. Seifalian , Mohammad Taghi Joghataei , Mojgan Razaghpour , Abbas Alibakhshi , Abolfazl Yazdanpanah , Maryam Salimi , Masoud Mozafari, Aleksandra M. Urbanska , Rui. L. Reis , Subhas C. Kundu , Mazaher Gholipourmalekabadi Chitosan-Intercalated Montmorillonite/Poly(vinyl alcohol) Nanofibers as a Platform to Guide Neuronlike Differentiation of Human Dental Pulp Stem Cells ACS Applied Materials & Interfaces (2017) doi: 10.1021/acsami.6b14283 

Tetraphleps parallelus: “Identical XRD patterns.”

In December 2024, Sholto exchanged some emails with Hardy. The University of Lancaster professor put his foot down right away:

Hopefully Mahazer Gholipourmalekabadi, Masoud Mozafari, and Ali Samadikuchaksaraei can provide better data for the biological studies ASAP.”

But then Hardy must have seen what else was on PubPeer, and he changed his mind:

I like to give people the benefit of the doubt the first time, but having seen the other comment on the other paper I’m not sure I’d believe them any more.”

On 5 March 2025, the Biomacromolecules travesty was fixed by Hardy and his valued collaborators, in agreement with the Editor-in-Chief Sébastien Lecommandoux, with this Correction:

“The authors regret that Figure 5a, panel Day 14; Figure 5b, Day 7 of AM/ESF and Day 14 of AM; Figure 7a, Day 14 of AM/ESF and Day 28 of AM/ESF and AM/ESF-AT-MSCs; Figure 8a, images Col I in NTW, Col I in AM, and Col IV in NTW published in this manuscript were incorrect, and now are updated with the new corrected figures, Figures 5, 7, and 8, in this Addition/Correction.

These corrections do not affect the interpretation and conclusion of the article. The authors confirm that the new data presented are obtained from the system studied in the work.

The authors would like to apologize for any inconvenience caused.

The authors are committed to maintaining the highest standards of scientific integrity and appreciate the opportunity to correct these errors.”

Case closed? Not quite, because Sholto is a cruel abuser of innocent fluffy little scientists, and he found duplications in the correction:

Sholto David: “The correction has unexpected overlapping images, I’ve added a diagram below.”

You probably suspect that Hardy is not a clueless nerd living inside an ivory tower. he is actually an expert in Iranian appermilling, as I in fact wrote in the same December 2024 Shorts. Hardy himself admitted to me to have once befriended by Sahba Mobini, who introduced him to Ali Samadikuchaksaraei , who then invited Hardy to conferences in China, Germany and the UK, where Hardy then met Gholipourmalekabadi and Mozafari, with the result you saw above. Hardy also educated me that this collaboration was “an important step towards addressing the UN’s Sustainable Development Goals.

Sometime in 2016/2017 I got an invitation to speak at an international conference in Tehran which I accepted; speaking at such conferences is a part of academic life, important for networking, but tricky to schedule in 2016/2017 I also presented research in China, Germany and the UK. Ali was one of the conference organisers, and it was there I met him, Mazaher Gholipourmalekabadi and Masoud Mozafari

Back then, I reported Hardy’s activities to his University of Lancaster, and the interim Pro-Vice-Chancellor for Research and Enterprise Malcolm Joyce announced to investigate. I asked for an update, silence back. Was the current correction a result of this investigation?


Mice should be replaced with rabbits

Also Elsevier corrected a paper. But in that case, there were not even any white authors in need of support and protection, all authors are from Pakistan, led by the papermiller Muhammad Imran Khan. His PubPeer record is awe-inspiring, and includes celebrity papermillers like Rafael Luque, or the russian army officer Roman Fediuk. Another coauthor is the papermiller Muhammad Furqan Akhtar, a paper of his (Akhtar et al 2022) was retracted by Springer Nature in 2023 without being flagged on PubPeer before. Also Asadullah Madni is a serious offender, see his PubPeer record, which also includes Thomas Webster.

Qurat-ul-Ain Umar , Muhammad Imran Khan, Zulcaif Ahmad , Muhammad Furqan Akhtar , Muhammad Farhan Sohail , Asadullah Madni , Alia Erum , Badarqatul Ayesha , Qurat Ul Ain , Aamir Mushtaq Dissolving Microneedles Patch: A Promising Approach for Advancing Transdermal Delivery of Antischizophrenic Drug Journal of Pharmaceutical Sciences (2024) doi: 10.1016/j.xphs.2024.08.011 

Archasia belfragei: “Figure 10 has multiple overlapping panels between the control and the treated group.”

Those image duplications were probably the smaller issue! As the sleuth Archasia beifragei noted, the abstract of the paper referred to “histopathological assessment of vital organs in rabbits“, while the entire methods section was about mice, referring to “Histopathological analysis of mice skin“, “Histological evaluation of major organs in mice“. The figure legend above referred to mice, while the results section describing that exact Figure 10, was again about rabbits:

“n our study, the vital organs of rabbits were observed, and the results in Fig. 10 indicate that no damage or serious toxicity symptoms were observed in the treated group. This suggests that the QTP-loaded DMNP did not induce significant pathological changes in the examined organs of the rabbits.”

Also the conclusions repeatedly referred to rabbits.

The Corrigendum from 3 February 2025, approved by the Editor-in-Chief Kenneth L. Audus, emeritus dean of the pharmacy faculty at University of Kansas in USA, fixed everything very elegantly:

“The authors regret that there was an error in Fig. 10, to rectify this the correct version of Fig. 10 is attached.

The authors regret that there are three sentences in the manuscript where the word “mice” should be replaced with the word rabbits.

The three sentences where this error appears are listed below:

  • Histological examination of vital organs in mice was carried out to evaluate whether DMNP-2 caused any tissue deterioration, patholog-ical changes such as necrosis, or inflammation.
  • This comprehensive assessment is crucial for understanding the safety profile of DMNP-2 and their potential impact on major organ systems in mice.
  • Fig. 10. Histological evaluation of major organs in mice after exposure to the QTP-loaded DMNP-2formulation; (a)Braincontrol,(b)Braintreated,(c)Heartcontrol,(d)Hearttreated,(e)Livercontrol,(f)Livertreated,(g)Stomachcontrol,(h)Stomachtreated,(i)Kidneycontrol,(j)Kidneytreated,(k)Lungscontroland(l)Lungstreated.Q.-u.-A.Umaretal./JournalofPharmaceuticalSciences113(2024)3078−30873085

The authors would like to apologise for any inconvenience caused.”

Simple, replace mice with rabbits. Also, the papermillers couldn’t be bothered to provide images which would at least fit their “scientific” claims in the paper. The reason why the images were duplciated in the first place, was because the treatment was supposed to show no effect of toxicity. The new randomly chosen images of unknown tissues of unknown animals look very different.

But hey, it passed peer review.

Anyway, this is how one must deal with papers by Imran Khan and Madni, here a Dove Press / Taylor & Francis journal, which used to be run by Madni’s associate Thomas Webster before he was sacked as editor and as professor at Northeastern University in USA. In fact, the russian-born couathor Vladimir Torchilin not only laureate of the Lenin Prize in Science & Technology, but also Director of the Center for Pharmaceutical Biotechnology and Nanomedicine at Northeastern University. Torchilin and Webster seem to be still friends, hanging out at same predatory conferences even today!

Farzana Parveen , Asadullah Madni, Vladimir P Torchilin , Mubashar Rehman , Talha Jamshaid , Nina Filipczak , Nadia Rai , Muhammad Muzamil Khan, Muhammad Imran Khan Investigation of Eutectic Mixtures of Fatty Acids as a Novel Construct for Temperature-Responsive Drug Delivery International Journal of Nanomedicine (2022) doi: 10.2147/ijn.s359664 

Mycosphaerella arachidis: “Figure 11: There are multiple overlapping areas in samples that are described as showing different experimental condtions.[…] Additionally, the histology image of the heart in Group 1 has been published elsewhere and described as the test group.
Mycosphaerella arachidis: “additional finding in Figure 11 by ImageTwin.ai, an image overlaps with another paper.”

Both referenced papers were coauthored by Madni, one of them contained these insane hand-drawn spectra, shown on the right:

The Pharmaceutics paper was not retracted because it’s MDPI, but Taylor & Francis did act. That despite Madni having announced on PubPeer in October 2023 that “we are pursuing for corrections” and “Investigating all and doing rectification through these journals.”

The International Journal of Nanomedicine paper was retracted on 7 November 2023:

“We, the Editors and Publisher of International Journal of Nanomedicine, have retracted the following article.

Following publication of the article, concerns were raised about the duplication of images from Figure 11 with images from other unrelated articles and with images within the same figure. Specifically,

  • The image for Figure 11, Heart, Group-I, has been duplicated with the image for Figure 6, Heart, Test Group from Shah H, Madni A, Khan MM, et al. pH-Responsive Liposomes of Dioleoyl Phosphatidylethanolamine and Cholesteryl Hemisuccinate for the Enhanced Anticancer Efficacy of Cisplatin. Pharmaceutics. 2022;14(1):129. https://doi.org/10.3390/pharmaceutics14010129.
  • The images for Figure 11, Heart, Group-II and Group III, have been duplicated with the image for Figure 7, Heart, Group-I from Khan S, Madni A, Rahim MA, et al. Enhanced in vitro release and permeability of glibenclamide by proliposomes: Development, characterization and histopathological evaluation. Journal of Drug Delivery Science and Technology. 2021;63:102450. https://doi.org/10.1016/j.jddst.2021.102450.
  • The images for Figure 11, Heart, Group-II and Group-III, have been duplicated.
  • The images for Figure 11, Spleen, Group-II and Group-III, have been duplicated.
  • The images for Figure 11, Kidney, Group-1, Group-II and Group-III, have been duplicated.

When approached for an explanation, the authors were cooperative and provided some data for their study. However, the author’s explanation and the provided data was unable to sufficiently explain how the duplication of these images occurred and was unable to alleviate the journal’s concerns regarding the validity of the findings. As verifying the validity of published work is core to the integrity of the scholarly record, we are therefore retracting the article and the authors were notified of this.”

The 79 year old Torchilin learned absolutely nothing from all that. He continues papermilling, even with Madni and Imran Khan (e.g., Ali et al 2025), and here is this fine russian man with a bunch of Iranians:

Yasamin Davatgaran Taghipour , Amir Zarebkohan, Roya Salehi, Mehdi Talebi , Reza Rahbarghazi , Monireh Khordadmehr , Sharareh Khavandkari , Fahimeh Badparvar , Vladimir P. Torchilin Enhanced docetaxel therapeutic effect using dual targeted SRL-2 and TA1 aptamer conjugated micelles in inhibition Balb/c mice breast cancer model Scientific Reports (2024) doi: 10.1038/s41598-024-75042-8 

Deprea purpurea: “In Figure 5 histological images of conditions C and D share similar patterns.”

As it happens, Torchillin’s superior, the Associate Dean of Bouvé College of Health Sciences and Dean of the School of Pharmacy, is his fellow russian Tatiana Bronich, who used to collaborate with the russian cheaters at University of North Carolina, Alexander Kabanov and Elena Batrakova, including on a book edited by Torchilin. Expect a totally unbiased investigation at Northeastern.


Retraction Watchdogging

Compare and get the truth

A Springer Nature journal retracted 3 papers by an Egyptian fraudsters, all reusing the same spectrum. Those were originally flagged by Mu Yang. the key author is Ibrahim S Yahia, professor at Ain Shams University in Egypt and King Khalid University in Saudi Arabia. Yahia owns a busienss called Egyptian Carbon Materials Company and informs us that he is “Among Top 2% Scientists Worldwide with best ranking of 42373

Google Scholar

Yahia has 20 more fake papers on PubPeer, most with his Egyptian colleague Kh. S. Shaaban, whose own retractions featured in January 2025 Shorts. These are the three retracted Yahia papers, the first two were submitted in parallel:

Dysdera arabisenen: “These three papers contain identical XRD.”

All 3 retractions were published on 27 March 2025 (one, two and three), and had a similar wording:

“The Editor-in-Chief has retracted this article. Image integrity issues were found in Figure 3. Specifically, the two traces were found to overlap. This image was also found within Figure 1 of another publication by the same authors, under consideration at the same time (Gomaa et al. 2024). The authors failed to provide a response that sufficiently explained these concerns. The Editor has lost confidence in the data and conclusions of this article.

Authors Hosam M. Gomaa, I. S. Yahia and H. Y. Zahran disagree with this retraction.”

As Mu Yang found out, Yahia and his Egyptian colleagues reused that same spectrum in NINE more papers:

  1. N. M. Ebrahem , Hosam M. Gomaa , H. A. Saudi , R. M. El Shazly , W. M. El-Meligy , F. M. El-Hossary Influence of La-impurities and plasma treatment on the structural and optical properties of some bismuth calcium borate glasses Optical and Quantum Electronics (2021) doi: 10.1007/s11082-021-03318-8 
  2. Hosam M. Gomaa , H.A. Saudi , I.S. Yahia , M.A. Ibrahim , H.Y. Zahran Influence of exchanging CeO2 with Cu2O3 on structural matrix, shielding, and linear/nonlinear optical parameters of the cerium-sodium borate glass Optik (2022) doi: 10.1016/j.ijleo.2021.168267 
  3. Hosam M. Gomaa , H. A. Saudi , I. S. Yahia , H. Y. Zahran Enhanced the optical, electrical, and shielding properties of some alkali-borate glasses doped with lanthanide cerium oxide, CeO2 Journal of Materials Science: Materials in Electronics (2022) doi: 10.1007/s10854-021-07529-3 
  4. Hosam M. Gomaa , H. A. Saudi , I. S. Yahia , H. Y. Zahran Extraction of the terahertz parameters from the UV–Vis optical conductivity of some (NaB)2O4 glasses doped with cerium oxide: A novel correlation between electrical & optical conductivities Journal of Materials Science: Materials in Electronics (2022) doi: 10.1007/s10854-022-08197-7 
  5. Hosam M. Gomaa , I.S. Yahia , H.Y. Zahren , H.A. Saudi , Ahmed H. El-Dosokey Effect of replacement of SiO2 with BaTiO3 on the cadmium calcium-borate glass: Aiming to obtain an active glass for optical and shielding applications Radiation Physics and Chemistry (2022) doi: 10.1016/j.radphyschem.2021.109955 
  6. Hosam M Gomaa , H. A. Saudi , I. S. Yahia , H. Y. Zahran , B. M. A. Makram Estimate of the effect of adding CoCl 2 in different amounts on the structural, optical properties, and the radiation shielding ability of arsenic borate glasses containing Na+, Ca++, and Pb++ cations Optical and Quantum Electronics (2023) doi: 10.1007/s11082-023-04808-7 
  7. Hosam M. Gomaa , H. A. Saudi , I. S. Yahia , H. Y. Zahran , B. M. A. Makram Effect of Y2O3 Content on the Structural, Optical, and Shielding Properties of the Ca/Na Lead Borovanadate Multi-Component Oxide Glass Journal of Inorganic and Organometallic Polymers and Materials (2023) doi: 10.1007/s10904-023-02549-4 
  8. Hosam Mohamed Gomaa , H. A. Saudi New mathematical formulas for more accurate physical descriptions of the optical and optoelectric conductivities of an optical medium Journal of Materials Science: Materials in Electronics (2023) doi: 10.1007/s10854-023-10969-8 
  9. Hosam M. Gomaa , H.A. Saudi , I.S. Yahia , H.Y. Zahran , B.M.A. Makram Effects of Ce2O3 on multi-component borovanadate glass structural, optical, and attenuation characteristics Radiation Physics and Chemistry (2023) doi: 10.1016/j.radphyschem.2023.110847 

Mu shared her findings on LinkedIn, and there the coauthor on all of these 12 papers, Hosam Gomaa (associate professor at the Pharaohs Higher Institute in Giza), replied:

“Hell Mu YangMu Yang, It is Hosam M gomaa, Yes to respectful criticism, but no to mockery and defamation. Criticism has its well-known and established methods. For your knowlage, All these papers ae reviewed and contain original data which are not falsified, they are avalible when request. If you encounter any problems with our X-ray diffraction (XRD) patterns, I hope if you can simply prepare our examined samples, obtain XRD patterns for your new obtained samples, and compare them to ours before commenting on our data. I am here to discus any miss understand if you wish”

I advised to this Giza papermiller is that once in his life, he himself tries for a change to prepare some samples in the lab, instead of lazily fabricating papers with spectra copy-pasted a dozen of times at least. But Gomaa prefers to order others around, and to issue veiled threats, as he did in his LinkedIn reply to me:

Please be careful, I you interested you can prepare any of the studied samples then obtain their xrd to can compare and get the truth. Please take care”


Normatively biased language

In September 2024 Shorts, I reported about a paper published by two outright Nazis, Emil Kirkegaard and Edward Dutton. The journal editors never replied to me, but Wiley now acted: the paper was finally retracted, and I was notified by email.

Which is remarkable given that Kirkegaard is a close friend of the far-right racist and eugenics Jordan Lasker aka @cremieuxrecueil, who in turn is regularly endorsed on X by Elon Musk (read March 2025 Shorts). Read about Kirkegaard and Dutton here:

MDPI and racism

In 2019, MDPI published a Special Issue “Beyond Thirty Years of Research on Race Differences in Cognitive Ability”, one year later its owner Shu-Kun Lin expressed admiration for Trump and said “Black Lives Matter. White Lives Matter. All Lives Matter.”

Their racist and antisemitic papers in MDPI remain safe as houses. But this one in Wiley is now gone:

Edward Dutton , Emil Kirkegaard Do conservatives really have an advantage in mental health? An examination of measurement invariance Scandinavian Journal of Psychology (2024) doi: 10.1111/sjop.13065 

The study claimed that those affected by “wokeness” (defined as “leftism“, “liberalism“, atheism, vegetarianism, “concern for environmental issues“, and “non-standard gender identity and non-heterosexuality“), were mentally and genetically defective, as opposed to conservatives who are smarter, healthier, sexier and genetically superior.

The retraction was published on 26 March 2025, I am the mentioned third party:

“Following publication of this article, concerns were raised by third parties about the conclusions drawn by the authors based on the data provided. The publisher and the journal have investigated these concerns and have concluded that the article contains major errors involving methods, theory, and normatively biased language. These errors bring into doubt the conclusions drawn by the authors. Therefore, the parties agree that the article must be retracted. The authors disagree with the decision.”


Misrepresented, fabricated and falsified

One more retraction for the Australian neuroscientists, Gilles Guillemin and his former mentee and Nady Braidy. Their fake science as recorded on PubPeer was exposed in this article, which I shared with their employers, Guillemin’s Macquarie University and Braidy’s University of New South Wales (UNSW):

As reminder, Guillemin and his wife Robyn Tolhurst (they embezzled the university funds together, read January 2023 Shorts) were kicked out of Macquarie in 2023 and turned to selling food supplements (read October 2024 Shorts). Sir Gilles (as he used to call himself) also briefly tried to buy authorships from Iranian papermills, on whatever topic they had on offer (read December 2023 Shorts).

Braidy was also investigated, but remained remains listed as UNSW senior fellow, yet an email I sent him how bounced (see November 2024 Shorts). Now this new retraction arrived:

Diba Sheipouri , Ross Grant , Sonia Bustamante , David Lovejoy , Gilles J. Guillemin , Nady Braidy Characterisation of the Kynurenine Pathway in Skin‐Derived Fibroblasts and Keratinocytes Journal of Cellular Biochemistry (2015) doi: 10.1002/jcb.25019 

Mycosphaerella arachidis: “Figure 5D: According to my reading of the methods these two sections should show samples stained with different antibodies, they appear to show a zoom/stretch of the same image.”
“Figure 5B: […] these should be cells stained with different antibodies. After adjusting for some difference in stretch, I don’t think it is credible that KATII and QPRT are actually different cells.”

The retraction appeared on 31 March 2025:

“The journal received notice from a third party regarding evidence of duplication and image manipulation between the QPRT and KMO panels in Figure 5D as well as the QPRT and KAT-II panels in Figure 5B. The publisher confirmed these duplications. Some authors responded to an inquiry by the publisher but were not able to provide an explanation for the duplicated panels and were not able to provide original data for verification. An initial investigation by the University of New South Wales Conduct & Integrity Office concluded that the immunochemistry data presented in this article had been misrepresented, fabricated and/or falsified and warranted further investigation by an independent research misconduct inquiry panel. The retraction has been agreed to because the evidence of image duplication and manipulation compromises the integrity of the study and the conclusions presented in the article. S.B. and D.L. agree with the retraction. All other authors did not respond to our notice regarding the retraction.”

Guillemin may have left science more than 2 years ago, but he continues publishing research papers, not just thanks to papermills, but also thanks to his former colleagues, especially his former mentee Benjamin Heng, now senior fellow at Macquarie University. The two neuroscientists published in December 2024 on the topic of colon cancer.


3 out of 8

A retraction for Masayasu Iwase, oral oncology professor at the Showa University in Tokyo, Japan. The affair was exposed by Aneurus Inconstans in March 2022:

Oral oncology at Showa University

“”Dear Aneurus Inconstans, thank you for your series of valuable suggestions. We will sincerely verify the matters pointed out. I’m sorry, many collaborators have already resigned from academia.”

I reported about an earlier retraction for Iwase in March 2023 Shorts. This is the recent retraction:

Iwase M, Takaoka S, Uchida M, Kondo G, Watanabe H, Ohashi M, Nagumo M. Accelerative effect of a selective cyclooxygenase-2 inhibitor on Fas-mediated apoptosis in human neutrophils Int. Immunopharmacol. (2006) doi: 10.1016/j.intimp.2005.08.017

Aneurus inconstans: “Figure 1: undisclosed splice (arrow), but not in control. Figure 2: much more similar than expected (blue boxes).”
Actinopolyspora biskrensis: “There may be additional issues in these two figures (cyan).”

On PubPeer, Iwase pleaded in February 2021:

“Dear Dr. Aneurus Inconstans Thank you for the appropriate comments. I quit university 11 years ago and haven’t been doing any research since then. My colleagues Dr. Kondo, Dr. Takaoka and Dr. Uchida also retired from college more than 10 years ago. I have tried to visit the academia to verify and confirm the data against your comment. However, because of COVID-19, the government is requesting restrictions on movement and actions. I would be grateful if you could give me some time.“

The retraction arrived on 28 March 2025:

“This article is being retracted at the request of the Editor-in-Chief.

Western blots images in Figs. 1 and 2 were questioned by readers and commented on Pubpeer: https://pubpeer.com/publications/B512FE05AFB00CF7605644C207BE27. The previous Editor-in-Chief contacted the corresponding author regarding these accusations, and the author sent his replies. However, the corresponding author’s explanation did not satisfactorily address the Editor’s concerns. Although the Editor and the journal tried to contact the author again for more information, they did not get any reply from him.

Moreover, Showa University, the institution where the research took place, recommended that this paper, along several others by the same author et al., should be retracted: https://www.showa-u.ac.jp/news/albums/abm.php?d=4820&f=abm00039533.pdf&n=調査結果概要.pdf

The current Editors-in-Chief assessed the case and decided to retract the article as they were no longer confident that the experimental data supported the conclusions.”

Iwase was publicly shamed and likely let go by Showa University. Research fraud is considered a bad thing in Japan, such silly culture, don’t you agree.

Retraction Watch reported in January 2021 about the Showa University investigation, which found Iwase guilty of fraud and requested retractions of 8 papers. Only 3 were retracted so far: the study above, then Yoshiba et al 2010 (see also March 2023 Shorts) and Iwase et al 2003 (retracted in March 2023).


Donate!

If you are interested to support my work, you can leave here a small tip of $5. Or several of small tips, just increase the amount as you like (2x=€10; 5x=€25). Your generous patronage of my journalism will be most appreciated!

€5.00

4 comments on “Schneider Shorts 4.04.2025 – Give people the benefit of the doubt

  1. Klaas van Dijk's avatar
    Klaas van Dijk

    See https://www.observantonline.nl/Home/Artikelen/id/60349/ik-reken-het-hem-zwaar-aan-dat-hij-zijn-macht-heeft-misbruikt [apparently only in Dutch] for more backgrounds about the case at Maastricht University.

    Liked by 1 person

  2. Zebedee's avatar

    “No change in the message – celebrating Innsbruck’s rector Veronika Sexl”

    17 February 2026 Editorial Expression of Concern for Veronika Sexl.

    Editorial Expression of Concern: Increased NK cell immunity in a transgenic mouse model of NKp46 overexpression | Scientific Reports

    Editorial Expression of Concern: Increased NK cell immunity in a transgenic mouse model of NKp46 overexpression

    Ariella Glasner, 
    Batya Isaacson, 
    Sergey Viukov, 
    Tzahi Neuman, 
    Nehemya Friedman, 
    Michal Mandelboim, 
    Veronika Sexl, 
    Jacob H. Hanna & 
    Ofer Mandelboim 

    Scientific Reports volume 16, Article number: 6713 (2026) 

    Editorial Expression of Concern to: Scientific Reports https://doi.org/10.1038/s41598-017-12998-w, published online 12 October 2017

    The Editors are issuing an Editorial Expression of Concern to alert readers that concerns were raised regarding similarities within the FACS plots in Figure 1E and Supplementary Figure 2A of this Article. The Authors provided explanations for the matters raised; however, the original data were no longer available. As such, it was not possible to determine whether the descriptions of these figures are accurate. Readers are therefore advised to interpret the data presented in Figure 1E and Supplementary Figure 2A with caution.

    Ariella Glasner, Batya Isaacson, Michal Mandelboim and Ofer Mandelboim disagreed with this Expression of Concern; Sergey Viukov and Jacob H. Hanna did not explicitly state their agreement or disagreement; Tzahi Neuman, Nehemya Friedman and Veronika Sexl did not respond to correspondence from the Editor.

    It is a relatively recent paper, odd that the original data are no longer available.

    Like

Leave a comment