Schneider Shorts of 21 November 2025 – with long Shorts about a fountain of youth found in grape seeds, rodents tortured for fake science in Brazil, an Iranian papermill operating from Canada, plus second servings for French couple and a Danish wildlife ecologist.
Table of Discontent
Industry Giants
- Living to 150 is definitely realistic – a fountain of youth found in Chinese grapeseeds
Science Elites
- New metal-organic framework for the delivery of curcumin – Sohrab Rohani, a Canadian papermiller
Retraction Watchdogging
- Validity and reliability remain uncompromised – rodents tortured for fake science in Brazil
- According to the legislation anonymous reports are not considered – Szunerits’s and Boukherroub’s trouble probably just starts
- Validity and authenticity – Christian Sonne not MOF expert after all
Industry Giants
Living to 150 is definitely realistic
On 8 November 2025, The New York Times visited a Chinese anti-aging conference in China and reported exciting news, which were then picked up by the media all over the world. It seems, NYT followed and quoted the US professors and anti-aging entrepreneurs Vadim Gladyshev of Harvard and Steve Horvath of UCLA, who were described as “serious scientists” and “a legend in the field“. Also featuring are David Furman of Buck Institute in Stanford and a certain David Barzilai, “founder of Barzilai Longevity Consulting“, who is most likely the son of another US professor and anti-aging entrepreneur, Nir Barzilai.
Heads and hearts
“Imagine what effect might ensue from a young donor body (say, in her 20’s) nourishing with her young blood 24/24, 7/7 the head of an aging body recipient!” – Sergio Canavero
So this is the hot story in NYT, turns out the grapeseeds prolong life! Furman said it was “promising” and announced that hsi Buck Institute will start trials to “demonstrate efficacy and validate” grapeseed extract:
“When a Chinese state television microphone recently caught China’s top leader, Xi Jinping, and President Vladimir V. Putin of Russia musing about the possibility of living to 150 and perhaps even forever, many reacted with anxious consternation.
But there has been no tut-tutting in the laboratory of Lonvi Biosciences, a longevity medicine start-up in the southern Chinese city of Shenzhen. “Living to 150 is definitely realistic,” said Lyu Qinghua, the chief technology officer of the company, which has developed anti-aging pills based on a compound found in grapeseed extract. “In a few years, this will be the reality.” […] “In five to 10 years, nobody will get cancer,” he predicted. […]
[Lonvi] opened a lab in 2022 in a business tower on the edge of the sprawling Chinese city next to Hong Kong after scientists in Shanghai discovered that a natural compound found in grapeseed extract — procyanidin C1 or PCC1 — increased the life span of mice by selectively killing senescent, or aged, cells and protecting healthy cells. (Lonvi is not connected to the Shanghai scientists.)
Mice treated with the compound lived 9.4 percent longer across their lifetime — and 64.2 percent longer from the start of treatment.
The findings, published in an article in Nature Metabolism in 2021, were groundbreaking. But in September, the journal issued an editor’s note alerting readers to “errors in the data,” though it did not retract the article. Subsequent studies, including one in Japan, have supported the initial claims.”
This is the paper, not exactly purely from Shanghai as NYT wants you to think. It is actually coauthored by US professors and anti-aging entrepreneurs James Kirkland of Mayo Clinic and Judith Campisi of Buck Institute. The latter died aged 73, maybe she took the wrong anti-aging supplements.
Qixia Xu , Qiang Fu , Zi Li , Hanxin Liu , Ying Wang , Xu Lin , Ruikun He , Xuguang Zhang , Zhenyu Ju , Judith Campisi , James L. Kirkland , Yu Sun The flavonoid procyanidin C1 has senotherapeutic activity and increases lifespan in mice Nature Metabolism (2021) doi: 10.1038/s42255-021-00491-8

The last author is Yu Sun, who studied and ran a lab in Canada and USA, and who is since 2014 professor of Chinese Academy of Sciences at the Shanghai Institute of Nutrition and Health. As I wrote in November 2024 Shorts, one paper by Sun, Campisi and Kirkland in Nature Aging (Zhang et al 2021) was retracted a year ago for data forgery. And those are most certainly not the only papers by these people with dodgy data. Here, Campisi’s last opus with Sun, curing old age with quercetin (too late for Campisi…):
Hanxin Liu , Qixia Xu , Halidan Wufuer , Zi Li , Rong Sun , Zhirui Jiang , Xuefeng Dou , Qiang Fu , Judith Campisi , Yu Sun Rutin is a potent senomorphic agent to target senescent cells and can improve chemotherapeutic efficacy Aging Cell (2024) doi: 10.1111/acel.13921

Another paper by Sun with Campisi, and this is where it starts to get crazy:
Xuefeng Dou , Qiang Fu , Qilai Long , Shuning Liu , Yejun Zou , Da Fu , Qixia Xu , Zhirui Jiang , Xiaohui Ren , Guilong Zhang , Xiaoling Wei , Qingfeng Li , Judith Campisi , Yuzheng Zhao, Yu Sun PDK4-dependent hypercatabolism and lactate production of senescent cells promotes cancer malignancy Nature Metabolism (2023) doi: 10.1038/s42255-023-00912-w




Boyi Zhang , Da Fu , Qixia Xu , Xianling Cong , Chunyan Wu , Xiaoming Zhong , Yushui Ma , Zhongwei Lv , Fei Chen , Liu Han , Min Qian , Y. Eugene Chin , Eric W. -F. Lam , Paul Chiao , Yu Sun The senescence-associated secretory phenotype is potentiated by feedforward regulatory mechanisms involving Zscan4 and TAK1 Nature Communications (2018) doi: 10.1038/s41467-018-04010-4
I previously discussed the above mentioned Zhang et al 2018 and two more outrageously fraudulent papers with Yu as last author (Xu et al 2019, Zhang et al 2021) in April 2024 Shorts, on the occasion of Campisi’s demise, because she coauthored two of these studies (and Kirkland one). There was another prominent coauthor, who also featured on Sun’s retraction with Kirkland and Campisi – the fraudster Eric Lam, sacked in UK by Imperial College London two years after my reporting (read below and June 2021 Shorts).
Eric Lam: shady research at Imperial to cure breast cancer
Eric Lam is yet another of the many “Curing Cancer with Photoshop” researchers which PubPeer is full of. This professor of molecular Oncology at Imperial College in London is responsible for several papers with duplicated gel bands, but does it matter? He has 250 more.
So here are Sun and Lam again:
Fei Chen , Qilai Long , Da Fu , Dexiang Zhu , Yan Ji , Liu Han , Boyi Zhang , Qixia Xu , Bingjie Liu , Yan Li , Shanshan Wu , Chen Yang , Min Qian , Jianmin Xu , Suling Liu , Liu Cao , Y. Eugene Chin , Eric W.-F. Lam , Jean-Philippe Coppé , Yu Sun Targeting SPINK1 in the damaged tumour microenvironment alleviates therapeutic resistance Nature Communications (2018) doi: 10.1038/s41467-018-06860-4


Another one by Sun and Lam, reusing data from the aforementioned studies, including from that decisive Procyanidin C1 study, Xu et al 2021:
Liu Han , Qilai Long , Shenjun Li , Qixia Xu , Boyi Zhang , Xuefeng Dou , Min Qian , Yannasittha Jiramongkol , Jianming Guo , Liu Cao , Y. Eugene Chin , Eric W.-F. Lam , Jing Jiang , Yu Sun Senescent Stromal Cells Promote Cancer Resistance through SIRT1 Loss-Potentiated Overproduction of Small Extracellular Vesicles Cancer research (2020) doi: 10.1158/0008-5472.can-20-0506

Fig 8C Zhang et al 2018 ,
Fig 6b Xu et al 2021
Fig 6F of Chen et al 2018
Fig 7c of Boyi Zhang , Qilai Long , Shanshan Wu , Qixia Xu , Shuling Song , Liu Han , Min Qian , Xiaohui Ren , Hanxin Liu , Jing Jiang , Jianming Guo , Xiaoling Zhang , Xing Chang , Qiang Fu , Eric W-F Lam , Judith Campisi , James L. Kirkland, Yu Sun KDM4 Orchestrates Epigenomic Remodeling of Senescent Cells and Potentiates the Senescence-Associated Secretory Phenotype Nature Aging (2021) doi: 10.1038/s43587-021-00063-1 RETRACTED
Fig 8C Qixia Xu , Qilai Long , Dexiang Zhu , Da Fu , Boyi Zhang , Liu Han , Min Qian , Jianming Guo , Jianmin Xu , Liu Cao , Y. Eugene Chin , Jean‐Philippe Coppé , Eric W.‐F. Lam , Judith Campisi , Yu Sun Targeting amphiregulin (AREG) derived from senescent stromal cells diminishes cancer resistance and averts programmed cell death 1 ligand (PD‐L1)‐mediated immunosuppression Aging Cell (2019) doi: 10.1111/acel.13027



Sun, Lam and Campisi made those mice reappear again:
Changxu Wang , Qilai Long , Qiang Fu , Qixia Xu , Da Fu , Yan Li , Libin Gao , Jianming Guo , Xiaoling Zhang , Eric W.-F. Lam , Judith Campisi , Yu Sun Targeting epiregulin in the treatment-damaged tumor microenvironment restrains therapeutic resistance Oncogene (2022) doi: 10.1038/s41388-022-02476-7

Yong‐Chang Zhou: “The same mouse was used across different articles (with varying fluorescence signals but highly similar mouse characteristics), yet represent different experimental results.” Fig 6f vs Fig 5f of Xu et al 2019

Ah, and here is another retraction for Sun, in Oncogene:
Y Sun, D Zhu , F Chen , M Qian , H Wei , W Chen , J Xu SFRP2 augments WNT16B signaling to promote therapeutic resistance in the damaged tumor microenvironment Oncogene (2016) doi: 10.1038/onc.2015.494


Luis Gomez-Sarosi , Yu Sun , Ilsa Coleman , Daniella Bianchi-Frias , Peter S. Nelson DNA Damage Induces a Secretory Program in the Quiescent TME that Fosters Adverse Cancer Phenotypes Molecular Cancer Research (2017) doi: 10.1158/1541-7786.mcr-16-0387
The retraction from 19 November 2024 went:
“The Editor-in-Chief has retracted this article because the authors were not able to provide documentation of approval from an appropriate ethics committee. Additionally, concerns have also been raised about some of the data reported:
- In Figure 5c, the panels for Vehicle Control PSC27RAD and PSC27C appear to be duplicates.
- In Figure 6b, the panels for MIT-treated and Placebo-treated PC3/PSC27+IgG appear to overlap.
The Editor-in-Chief no longer has confidence in the reliability of this article’s finds and conclusions.”
By the way, Oncogene‘s Editor-in-Chief Justin Stebbing is not just Lam’s former colleague at Imperial, but also himself a cheater, patient abuser and anti-aging entrepreneur:
Stebbing and the Necromaniac Sisters
“If we can target necrosis, we could unlock entirely new ways to treat conditions ranging from kidney failure to cardiac disease, neurodegeneration, and even aging itself.” – Dr Carina Kern, a genius
Sun’s fraudulent papers were of course never even hinted at by NYT, those are after all professional journalists. It is probably clear now that everything Sun ever published is most likely fake. Including his Procyanidin C1 discovery.
NYT expects us to believe that Sun is not connected to the company Lonvi. Its website doesn’t tell anyway who founded it or sits on its advisory board, but the company does sell the “Procyanidin C1 Senotherapeutic Supplements” for $99 for a 3 day course. Yes, it’s a thousand dollars a month. If you are rich and want to spend many more years with your wealth, the investment is worth it.
NYT advocates that “Lonvi claims to have isolated molecules” from grapeseeds which will “kill zombie cells” – an old senolytics story Kirkland and Campisi were trying to get rich with.
“This is not just one more pill. This is the holy grail,” said Yip Tszho, who goes by the name Zico, Lonvi’s chief executive.
The company thinks its pills, combined with a healthy lifestyle and good medical care, can help people live past 100 and up to 120.”
Send in the Senolytics!
“The authors declare no competing financial interests.”
On their website, Lonvi also provides a preprint as a form of advertisement:
Jiaxin Liang, Qun Wang, Jie Li, Xueying Lu, Ling Wang, Qinghua Lyu, Procyanidin C1: a Natural Dual- Mode Senotherapeutic for Pan- Organ Senescence Regulation MDPI Preprints (2025) doi: 10.20944/preprints202509.1608.v2
“”The authors declare no conflicts of interest.”
Of course.
Science Elites
New metal-organic framework for the delivery of curcumin
Meet professor Sohrab Rohani, former department chair at the University of Western Ontario (UWO) in London, Canada. Originally in Iran, he studied in Switzerland and UK, and arrived to Canada in 1982. His research area is in crystal biochemistry, and sometimes in Iranian papermills. Sleuths flagged several Rohani papers on PubPeer. It is bad.
Dr. Mohammad Arjmand showcases his work to German President Steinmeier
“The German President and delegation members also spoke with researchers working on challenges relating to clean energy,…”
How can anyone at this university consider this paper to be sane? Curcumin-loaded MOFs for cancer therapy, really?
Hafezeh Nabipour , Farhang Aliakbari , Kathryn Volkening , Michael J Strong , Sohrab Rohani New metal-organic framework coated sodium alginate for the delivery of curcumin as a sustainable drug delivery and cancer therapy system International Journal of Biological Macromolecules (2024) doi: 10.1016/j.ijbiomac.2023.128875

Archasia belfragei: “Figure 2: One of the XRD patterns contains “random” noise signatures that appear repetitive”
The fabrication reappeared in another paper about MOF-curcumin for cancer, published in parallel. The penultimate author, the neurology professor Michael Strong, used to be President of the Canadian Institutes of Health Research and Dean of the Schulich School of Medicine at UWO:
Hafezeh Nabipour , Farhang Aliakbari , Kathryn Volkening , Michael J. Strong , Sohrab Rohani The development of a bio-based metal-organic framework coated with carboxymethyl cellulose with the ability to deliver curcumin with anticancer properties Materials Today Chemistry (2024) doi: 10.1016/j.mtchem.2024.101976

Elsevier’s International Journal of Biological Macromolecules specialises on papermill fraud, and it was founded by the British papermiller John F Kennedy (not the dead US president!). Read about Kennedy and his journals here:
The Miracle-Polymer-Dumbsterfire
“Read the damn paper and look at the figures before publishing it; it’s not that hard” – Archasia belfragei
Therefore, here is another MOF-curcumin for cancer fabrication from Iranian papermills, this time with chitosan even, authored by Rohani:
- Hafezeh Nabipour , Farhang Aliakbari , Kathryn Volkening , Michael J. Strong , Sohrab Rohani Novel metal-organic framework coated with chitosan-κ-carrageenan as a platform for curcumin delivery to cancer cells International Journal of Biological Macromolecules (2025) doi: 10.1016/j.ijbiomac.2025.140027
- Hafezeh Nabipour , Farhang Aliakbari , Kathryn Volkening , Michael J. Strong , Sohrab Rohani Development of metal-organic framework biocomposites from chitosan as drug delivery vehicles: In vitro evaluation on HeLa and SH-SY5Y cell lines International Journal of Biological Macromolecules (2024) doi: 10.1016/j.ijbiomac.2024.138878




The clearest give-away that Rohani gets his papers from Iranian papermills is his collaboration with the notorious Iranian papermill fraudster Mohammad Reza Saeb, read about this professor in Gdansk, Poland, here:
Boys from Brazil
“We can always make mistakes in our publications but never acting intensionally. Regarding Prof. Eder works, I know him well and I don’t believe he has anything wrong” – Glaydson S. Dos Reis
The collaboration with Saeb was likely mediated by Hafezeh Nabipour, first author on the fake curcumin papers above and member of Rohani’s lab. Or maybe by Rohani’s PhD student from Iran, Amir Kazemi. The paper was already corrected:
Amir Kazemi , Mohammad Hossein Afshari , Hasan Baesmat , Faranak Manteghi, Hafezeh Nabipour , Sohrab Rohani , Mohammad Reza Saeb Tunable Zn-MOF-74 nanocarriers coated with sodium alginate as versatile drug carriers Polymer Bulletin (2024) doi: 10.1007/s00289-024-05426-3
“After careful investigation, we realized that there is a need for citation and permission note in some figures. The synthesis of nanostructure was previously published by Springer, which was conducted by the same research group. However, this correction does not affect the results and significant outcomes of the present study, which is unique and completely different from previous work [1]. This correction is hereby noted for clarity and completeness, following an error that occurred during proof-reading (Figs. 2, 4, 5, 6).”
Correction 31 August 2024

Amir Kazemi , Mohammad Hossein Afshari , Hasan Baesmat , Bahareh Bozorgnia , Faranak Manteghi , Hafezeh Nabipour , Sohrab Rohani , Hooman Aghamirza Moghim Aliabadi , Setare Adibzadeh , Mohammad Reza Saeb Polydopamine-Coated Zn-MOF-74 Nanocarriers: Versatile Drug Delivery Systems with Enhanced Biocompatibility and Cancer Therapeutic Efficacy Journal of Inorganic and Organometallic Polymers and Materials (2024) doi: 10.1007/s10904-024-03173-6


1. DOX@RN-MOF-74/PDA and DOX@RA-MOF-74/PDA in Journal of Inorganic and Organometallic Polymers and Materials or
2. DOX@RN-MOF-74/ALG and DOX@RA-MOF-74/ALG in Polymer Bulletin.”
There were many more issues in that corrected paper, also this was found, showing how primitive Saeb’s Iranian papermill is:

Annulohypoxylon stygium: “SEM and TEM images in Fig. 1 are missing scale bars despite having scale labels”
Now, meet Rohani’s colleague, William Andrew Goddard III. Not, he is not a king, but the 88 year old director of the Materials and Process Simulation Center at the California Institute of Technology (Caltech) in USA. Goddard is so important that (as Wikipedia mentions), ACS celebrated his 70th birthday in 2007 with a 5-day symposium titled, “Bold predictions in theoretical chemistry.”
Well, here are some bold predictions from Iranian papermills by Goddard and Rohani with his student Kazemi:
- Amir Kazemi , Mohammad Mohammadi , Mahyar Ashourzadeh Pordsari , Mohsen Tamtaji, Hasan Baesmat , Saber Keshavarz , Fateme Zeinali , Faranak Manteghi , Mohammad Fasihi, Ahad Ghaemi, Sohrab Rohani , William A. Goddard Eco-friendly mixed-metal MOF embedded in PVA-based packaging films for ethylene adsorption and enhancing fresh produce shelf-life Food Packaging and Shelf Life (2025) doi: 10.1016/j.fpsl.2025.101517
- Amir Kazemi , Mahyar Ashourzadeh Pordsari , Mohsen Tamtaji, Faranak Manteghi, Ahad Ghaemi, Sohrab Rohani, William A. Goddard Environmentally friendly synthesis and morphology engineering of mixed-metal MOF for outstanding CO2 capture efficiency Chemical Engineering Journal (2025) doi: 10.1016/j.cej.2024.158951
- Amir Kazemi , Mahyar Ashourzadeh Pordsari , Mohsen Tamtaji, Fatemeh Zainali , Saber Keshavarz , Hasan Baesmat , Faranak Manteghi , Ahad Ghaemi , Sohrab Rohani , William A. Goddard III Eco-Friendly Synthesis and Morphology Control of MOF-74 for Exceptional CO2 Capture Performance with DFT Validation Separation and Purification Technology (2025) doi: 10.1016/j.seppur.2024.131328
Bulimina elongata, “Although in Figure 3d a small portion at the top of the image seems to have been cropped, the two figures are clearly identical.”
More by Goddard on PubPeer. As for Rohani: he didn’t reply to my emails, and his university neither. They don’t care that their research is run by papermillers who probably are agents of Iranian regime. National security, shmecurity.
Retraction Watchdogging
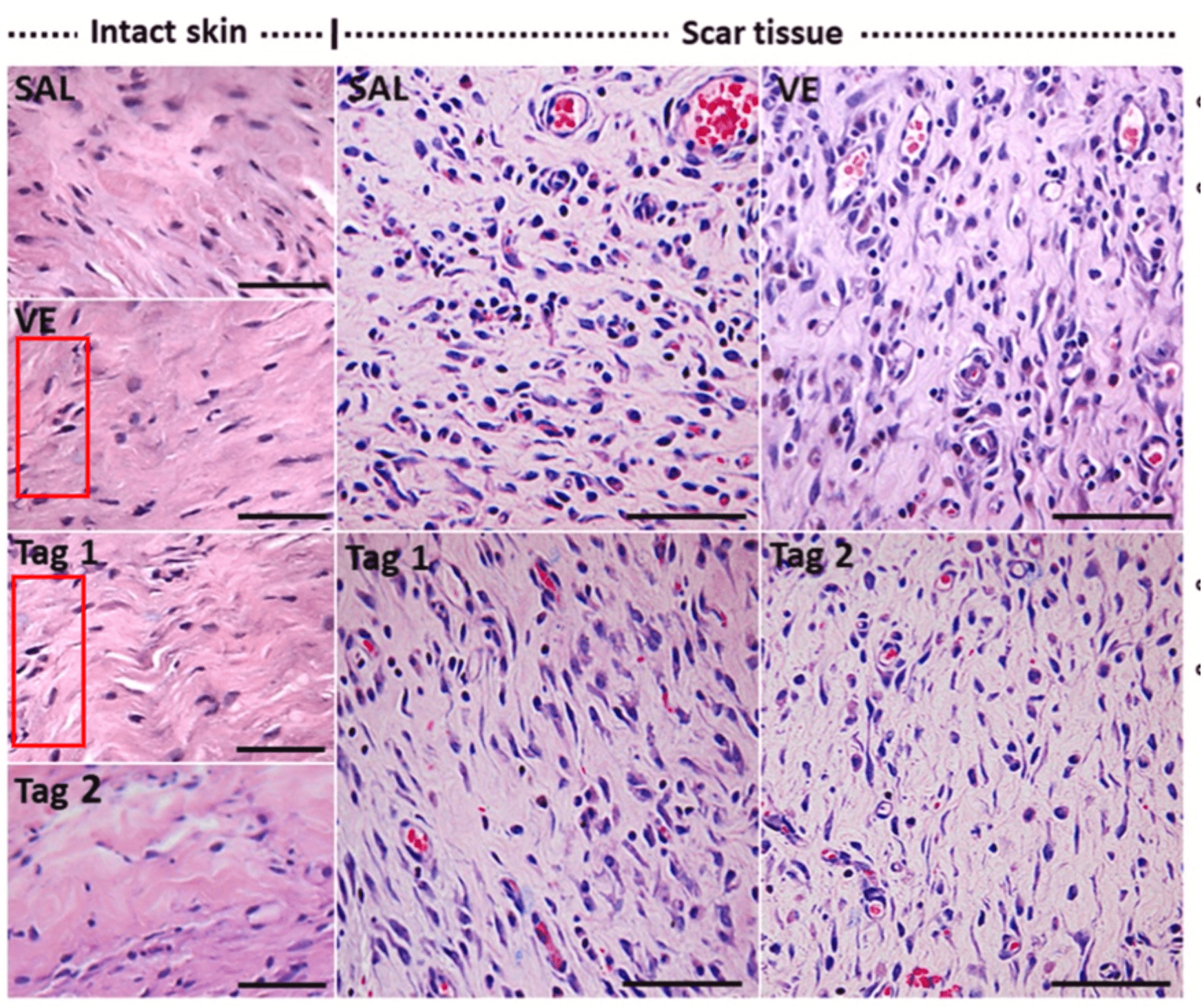
Validity and reliability remain uncompromised
Reggiani Vilela Gonçalves is a physiotherapist and associate professor at the Federal University of Viçosa In Brazil, and she decided that cabbage can help with wound healing. Her first author is a fellow professor, Mariáurea Matias Sarandy, they both previously worked as postdocs at North Carolina State University in USA. This retracted study appeared in Wiley’s quackery journal dedicated to TCM and Ayurveda:
Mariáurea Matias Sarandy , Rômulo Dias Novaes , Sérgio Luiz Pinto Da Matta , Jose Mario Da Silveira Mezencio , Marcelo Barreto Da Silva , José Cola Zanuncio , Reggiani Vilela Gonçalves Ointment of Brassica oleracea var.capitata Matures the Extracellular Matrix in Skin Wounds of Wistar Rats Evidence-based Complementary and Alternative Medicine (2015) doi: 10.1155/2015/919342




The retraction arrived on 14 November 2025, and it credited the sleuth:
“The retraction has been agreed due to figure concerns, raised by Fabian Wittmers, as well as on PubPeer [1]. On further investigation, the below concerns have been identified:
- In the Day 4 column of Figure 1, the Sunflower and Ointment panels appear to contain repetitive elements.
- In Figure 1, the Control panel for Day 4 appears identical to the Sal panel for Day 7 (F1) in Figure 3 of [2].
- In Figure 1, the Sunflower panel for Day 4 appears identical to the LE10 panel for Day 7 (F1) in Figure 3 of [2].
- In Figure 1, the Ointment panel for Day 4 appears identical to the LE5 panel for Day 7 (F1) in Figure 3 of [2].
- In Figure 1, the Day 0 panels appear identical to the Day 0 panels of [3], despite representing different conditions.
- In Figure 1, the Day 8 panels appear identical to the Day 8 panels of [3], despite representing different conditions.
- In Figure 1, the Day 16 panels appear identical to the Day 16 panels of [3], despite representing diffferent conditions.
- In Figure 1, the Day 20 panels appear identical to the Day 20 panels of [3], despite representing different conditions.
- Figure 2(a) appears similar, when rotated and resized, to the L30/Day 7 and L90/Day 14 panels in Figure 2 of [4].
- In the Day 4 column of Figure 3, the control and Balsam panels appear to contain repetitive elements.
- In the Day 20 column of Figure 3, the Sunflower and Balsam panels are identical.
After assessment of the author’s response and the concerns, the results are no longer reliable and the article is retracted.
The authors did not respond to the retraction notice.”
Reference 1 is:
1. Belfragei A., Ointment of Brassica oleracea var. capitata Matures the Extracellular Matrix in Skin Wounds of Wistar Rats, PubPeer. (2025) https://pubpeer.com/publications/6711F0C92E5A931DFBC2E8968B183A.
Both other papers are authored by Sarandy and Gonçalves, the latter holds patents on baldness treatment with cabbage and rosemary, and (apparently important for racists in Brazil) for skin lightening with cabbage. Both of them have much more on PubPeer.
One of the papers mentioned above (Goncalves et al. PRP 2013), shares data with another paper about wound healing, with cabbage and lasers! Flagged again by Fabian:
Reggiani Vilela Gonçalves, Mariáurea Matias Sarandy , Sérgio Luis Pinto Da Matta , Rômulo Dias Novaes , Marcus Vinicius De Mello Pinto Comparative study of the effects of laser photobiomodulation and extract of Brassica oleracea on skin wounds in wistar rats: A histomorphometric study Pathology – Research and Practice (2013) doi: 10.1016/j.prp.2013.07.006

R.V. Gonçalves, J.M.S. Mezêncio , G.P. Benevides , S.L.P. Matta , C.A. Neves , M.M. Sarandy , E.F. Vilela Effect of gallium-arsenide laser, gallium-aluminum-arsenide laser and healing ointment on cutaneous wound healing in Wistar rats Brazilian Journal of Medical and Biological Research (2010) doi: 10.1590/s0100-879×2010007500022

Reggiani V. Gonçalves , Rômulo D. Novaes, Marli C. Cupertino , Bruna M. Araújo , Emerson F. Vilela , Aline T. Machado , João P.V. Leite , Sérgio L.P. Matta Bathysa cuspidata Extract Modulates the Morphological Reorganization of the Scar Tissue and Accelerates Skin Wound Healing in Rats: A Time-Dependent Study Cells, tissues, organs (2014) doi: 10.1159/000365504
The data from Figure 4 of Concalves et al PRP 2013 appeared in this paper from 2021, which also shares data with the retracted Sarandy et al 2015:
Laíla Pereira Silva , Eliziária Cardoso Santos , Bruno Arantes Borges , Marcia Paranho Veloso , Daniela Aparecida Chagas-Paula , Reggiani Vilela Gonçalves , Rômulo Dias Novaes Tagitinin F has anti-inflammatory, anti-nociceptive and anti-matrix metalloproteinase properties: An in silico, in vitro and in vivo study Pharmacological research (2021) doi: 10.1016/j.phrs.2020.105303


The third (or second, depending on how you count) reincarnation of that figure happened in that other study mentioned in the retraction for Sarandy et al 2015. It was also about lasers, but without cabbage, and had more issues:
Reggiani Vilela Gonçalves , Rômulo Dias Novaes, Marli Do Carmo Do Carmo Cupertino , Bruna Moraes , João Paulo Viana Leite , Maria Do Carmo Gouveia Do Carmo Gouveia Peluzio , Marcus Vinicius De Mello De Mello Pinto , Sérgio Luis Pinto Da Matta Time-dependent effects of low-level laser therapy on the morphology and oxidative response in the skin wound healing in rats Lasers in Medical Science (2013) doi: 10.1007/s10103-012-1066-7

Archasia belfragei: “Figure 2 contains extensive overlap across timepoints and treatment levels”
Also, the data from the retracted paper Sarandy et al 2015 appeared in a PLOS One study where a different plant was used:
Mariáurea Matias Sarandy , Lyvia Lopes Miranda , Luciana Schulthais Altoé , Rômulo Dias Novaes , Virgínia Vinha Zanuncio , João Paulo Viana Leite , Reggiani Vilela Gonçalves Strychnos pseudoquina modulates the morphological reorganization of the scar tissue of second intention cutaneous wounds in rats PLOS One (2018) doi: 10.1371/journal.pone.0195786


That however was also retracted, already on 30 September 2025:
“After this article [1] was published, concerns were raised regarding results presented in Figs 1-3.
Specifically:
- The following panels appear similar:
- The following panels appear to fully or partially overlap:
- Fig 2 appears to show the quantification results of Fig 3.
- Figs 1B and 1C in [1] appear similar to Figs 1E and 1F in [3, corrected in 4] respectively.
Co-first author MMS stated that the results in Fig 3 are incorrect and that the original image data underlying Figs 1B and 1C are no longer available. They provided the original underlying data for Fig 3 as well as the individual-level quantitative data underlying the remainder of the figures in [1]. Upon editorial review, these underlying data were insufficient to resolve the above concerns, and raised further concerns for the reliability and validity of the published results.
In light of the above concerns, the PLOS One Editors retract this article.
RVG did not agree with the retraction. […]”
The notice also mentioned concerns about humane animal research issues, but I hope that in reality no rats or mice were tortured for this and other completely fabricated studies by Concalves and Sarandy. The alternative, namely scientists torturing animals just for fun, because they trash all data and fake all results at the end, is honestly too unsettling to consider.
Torturing Small Animals
Animal abuse and bad science go hand in hand. Meet professors Ute Moll, Jordi Muntané, Sam W Lee and others.
Now, the data from that PLOS One paper was later reused in another study by our heroes, which is again about good old cabbage:
Lyvia Lopes Miranda , Mariáurea Matias Sarandy, Luciana Schulthais Altoé , Daniel Silva Sena Bastos , Fabiana Cristina Silveira Alves Melo , Rômulo Dias Novaes, Debora Araújo Esposito, Reggiani Vilela Gonçalves Antioxidant and Anti-Inflammatory Potential of Brassica oleracea Accelerates Third-Degree Burn Healing in Rats Cosmetics (2024) doi: 10.3390/cosmetics11010027

Archasia belfragei: “2 images in Figure 1 overlap with images in an article from 2018 by some of the same authors”
Sarandy educated the sleuth on PubPeer that “The image used in the manuscript is representative” and that “the validity and reliability of the results remain uncompromised“. The publisher MDPI agreed and issued this Correction on 26 May 2025:
“In the original publication [1], there was an error in Figure 1E,F, where an incorrect image was inserted. […] The authors state that the scientific conclusions are unaffected. This correction has been approved by the Academic Editor, and the original publication has been updated accordingly.”
Here is more for Concalves and Sarandy to correct:
Mariáurea Matias Sarandy , Silvânia Mól Pelinsari , Lorena Miranda De Souza , Rômulo Dias Novaes , Virginia Vinha Zanuncio , Reggiani Vilela Gonçalves l-arginine and l-citrulline supplementation accelerates second intention wound healing in iNOS knockout mice Journal of Functional Foods (2023) doi: 10.1016/j.jff.2022.105395

Daiane Figueiredo Rosa , Mariáurea Matias Sarandy , Rômulo Dias Novaes , Mariella Bontempo Freitas , Maria Do Carmo Gouveia Pelúzio , Reggiani Vilela Gonçalves High-Fat Diet and Alcohol Intake Promotes Inflammation and Impairs Skin Wound Healing in Wistar Rats Mediators of Inflammation (2018) doi: 10.1155/2018/4658583

Mariáurea M. Sarandy , Rômulo D. Novaes , Antônio A. Xavier , Camilo E. Vital , João P. V. Leite , Fabiana C. S. A. Melo , Reggiani V. Gonçalves Hydroethanolic Extract of Strychnos pseudoquina Accelerates Skin Wound Healing by Modulating the Oxidative Status and Microstructural Reorganization of Scar Tissue in Experimental Type I Diabetes BioMed Research International (2017)
doi: 10.1155/2017/9538351
This is the Sarandy paper, reusing data from Rosa et al 2018 and from Sarandy et al 2022, and there is no Conclaves on it:
Mariáurea Matias Sarandy, Leandro José Gusmão , Gislaine Aparecida Purgato, Mayra Soares Píccolo, Sérgio Luis Pinto Da Matta, Virgínia Ramos Pizziolo , Gaspar Diaz-Munoz , Marisa Alves Nogueira Diaz Hydroalcoholic extract of Remijia ferruginea accelerates the closure of skin wounds by modulating tissue morphology and antioxidant profile: An in vitro and in vivo study Journal of Ethnopharmacology (2022) doi: 10.1016/j.jep.2022.115464



In February 2025, Sarandy replied on PubPeer with:
“We acknowledge that there was an error in the published figure, where the same image was inadvertently used for two different groups. This was likely a mistake made during the process of selecting and inserting the representative wound images.
However, we want to emphasize that this figure was included solely for illustrative purposes to demonstrate the wound healing progression. […] The results and conclusions presented in the study remain valid.”
Sarandy then announced to “reach out to the journal editor to discuss the possibility of issuing an erratum, if deemed necessary.”
To be fair, Concalves has fake many papers without Sarandy:
Jamili D.B. Santos , Andréa A.S. Mendonça , Rafaela C. Sousa , Thaiany G.S. Silva , Solange M. Bigonha , Eliziária C. Santos , Reggiani V. Gonçalves , Rômulo D. Novaes Food-drug interaction: Anabolic steroids aggravate hepatic lipotoxicity and nonalcoholic fatty liver disease induced by trans fatty acids Food and Chemical Toxicology (2018) doi: 10.1016/j.fct.2018.04.056

Archasia belfragei: “image that previously was published […] in black-and-white” Fig 2 vs Fig 4 of
Reggiani Vilela Gonçalves , Sérgio Luis Pinto Da Matta , Rômulo Dias Novaes , João Paulo Viana Leite , Maria Do Carmo Gouveia Peluzio , Emerson Ferreira Vilela Bark Extract of Bathysa cuspidata in the Treatment of Liver Injury Induced by Carbon Tetrachloride in Rats Brazilian Archives of Biology and Technology (2014)
doi: 10.1590/s1516-89132014005000019
There’s much more on PubPeer for Concalves. We started with a Wiley retraction, let’s end with a Wiley correction:
Rômulo D. Novaes , Reggiani V. Gonçalves, Marli C. Cupertino , Bruna M. Araújo , Rafael M. Rezende , Eliziária C. Santos , João Paulo V. Leite , Sérgio Luis P. Matta The energy density of laser light differentially modulates the skin morphological reorganization in a murine model of healing by secondary intention International Journal of Experimental Pathology (2014) doi: 10.1111/iep.12063

Archasia belfragei: “Figure 3 contains multiple panels that overlap although representing distinct experimental conditions.”
The Correction from 18 October 2025 was an extercise in piss-taking:
“…the authors acknowledged an image compilation error in Figure 3, where duplicate histological subpanels were mistakenly included. They provided the original images and identified the cause of the error: certain subpanels (SAL Day 7 and 14, L3 Day 7, 14 and 21) were initially in the background but were inadvertently moved to the foreground during the final layout arrangement. The authors confirm that all experimental results and conclusions remain unchanged.”
According to the legislation anonymous reports are not considered
The curtains are about to fall for the French mega-cheater Sabine Szunerits and her charming husband Rabah Boukherroub, both professors at the University of Lille. The investigation by their university and CNRS was prompted by this article:
Lille Papermille
French nanotechnologists Sabine Szunerits and Rabah Boukherroub put EU Commission’s money to good use. The EU cannot afford a papermill gap to Iran and China!
The now retracted MDPI paper was, like several others from Szunerits’s lab, done in collaboration with colleagues from Ukraine. The first author Rostyslav Bilyy is professor at Danylo Halytsky Lviv National Medical University, where other Ukrainian coauthors are also from, Galyna Bila is almost certainly his wife:
Rostyslav Bilyy , Quentin Pagneux , Nathan François , Galyna Bila , Roman Grytsko , Yuri Lebedin , Alexandre Barras , Jean Dubuisson, Sandrine Belouzard , Karin Séron , Rabah Boukherroub, Sabine Szunerits Rapid Generation of Coronaviral Immunity Using Recombinant Peptide Modified Nanodiamonds Pathogens (2021) doi: 10.3390/pathogens10070861

In fact, this nanodiamond picture was used in 5 papers, Maarten van Kampen made a summary for Turcheniuk et al 2016, and a list:
- 2014-12 Antimicrobial activity of menthol modified nanodiamond particles
- 2015-03 Toward Multifunctional “Clickable” Diamond Nanoparticles
- 2015-11 Unprecedented inhibition of glycosidase-catalyzed substrate hydrolysis by nanodiamond-grafted glycosides
- 2016-08 Affinity of Glycan-Modified Nanodiamonds towards Lectins and Uropathogenic Escherichia Coli
- 2021-06 Rapid Generation of Coronaviral Immunity Using Recombinant Peptide Modified Nanodiamonds
Now, the joke is that MDPI previously fixed that paper with a stealth correction, as PubPeer users reported in November 2023. Only on 30 November 2023, the publisher MDPI issued this Correction notice:
“In the original publication [1], there was a mistake in Figure 2a as published. The TEM image of a modified ND rather than an ND itself is shown. The TEM image of the ND has been reported before and a link to the reference is provided. […] The authors apologize for any inconvenience caused and state that the scientific conclusions are unaffected. The original publication has also been updated.“
The correction was fraudulent:

More image reuse was found:

Also, it turned out other data was reused from an earlier paper by Szunerits, Boukherroub and Bilyy, which used nanoparticles functionalised with fluorescent dye CF790:
S. Ya. Paryzhak , T. I. Dumych , S. M. Peshkova , E. E. Bila , A. D. Lutsyk , A. Barras , R. Boukherroub , S. Szunerits , R. O. Bilyy Interaction of 4 allotropic modifications of carbon nanoparticles with living tissues The Ukrainian Biochemical Journal (2019) doi: 10.15407/ubj91.02.041

I previously communicated with Bilyy, here is his message to me again:
“These aspects do not reflect aspects of my work or my group. But, rather, it looks invented and directed against my co-author. Prof. Szuneritz is a sincere scientist whose contribution to science is much envied. And in many cases, the criticism seems to have been pulled out from thin air, […]The problems solved by Prof. Szuneritz and her group are of great scientific interest and have practical value, because they are embodied in sensors and diagnostic devices that really help people. […]
As for reasonable criticism – I’m always for it, but according to the legislation in force in my (and probably your) country – anonymous reports are not considered (those times have already passed).“
Yes, Bilyy equalled PubPeer critics to Stalin’s henchmen.
Taras Persidskyy and Arik of Negev, Shahed Hunters
“He has embarked on a path of unacceptable slander, not only against me, but also against my colleagues (Prof. Oleg Smutok, Prof. Arnold Kiv, Prof. Vladimir Solovyov). We have all the necessary evidence to bring Leonid Schneider to justice for slander and moral turpitude.” – Taras Kavetskyy.
On 19 November 2025, MDPI published this Retraction notice, where we were told that only Bilyy and Szunerits disagreed to it:
“Following the publication of a correction to this article [2], further concerns were brought to the attention of the Editorial Office regarding the integrity of a number of images presented in this publication [1].
Adhering to our standard procedure, the Editorial Office and Editorial Board conducted an investigation that confirmed an overlap between Figure 2A published in [1] and Figure 2B published in [3], as well as between Figure 6C in [1] and Figure 5 published in [4] later corrected in [5]; and identified overlap between Figure S2D published in [1] and Figure 2B in [6] previously published by a similar authorship group, being the same material however. While the authors fully collaborated within this process, supporting material and explanations provided did not meet Editorial Board expectations in order to resolve the issues raised. As a result, the Editorial Board has lost confidence in the integrity of the findings and decided to retract this publication”
I don’t believe for a second that MDPI investigated anything, remember they were happy with a stealth correction even. Rather, the CNRS investigation of Szunerits and her husband must be coming to an end, and retraction requests are being sent to the publishers.
The only retraction Szunerits had so far happened due to her collaboration with ther French colleague Jolanda Spadavecchia, who also lost papers after CNRS found her guilty of research misconduct:
Good luck, Jolanda Spadavecchia!
CNRS research director Jolanda Spadavecchia was sanctioned with two years suspension for “serious and repeated breaches of her duty of scientific integrity”, 19 retractions were requested.
Update 21.11.2025: as a reader pointed out, I missed out several other retractions by Szunerits and Boukherroub!
Lionel Marcon, Corentin Spriet , Yannick Coffinier, Elisabeth Galopin, Claire Rosnoblet , Sabine Szunerits, Laurent Héliot, Pierre-Olivier Angrand , Rabah Boukherroub Cell Adhesion Properties on Chemically Micropatterned Boron-Doped Diamond Surfaces Langmuir (2010) doi: 10.1021/la101757f

April 2025 Retraction: “Images of fluorescent microscopy in Figure 1a and Figure 1d show signs of manipulation from a single original image, and the authors are unable to trace it.”
Lionel Marcon , Mei Wang , Yannick Coffinier , Francois Le Normand , Oleg Melnyk , Rabah Boukherroub, Sabine Szunerits Photochemical immobilization of proteins and peptides on benzophenone-terminated boron-doped diamond surfaces Langmuir (2010) doi: 10.1021/la903012v


Manakamana Khanal , Volodymyr Turcheniuk , Alexandre Barras, Elodie Rosay , Omprakash Bande , Aloysius Siriwardena , Vladimir Zaitsev , Guo-Hui Pan , Rabah Boukherroub, Sabine Szunerits Toward Multifunctional “Clickable” Diamond Nanoparticles Langmuir (2015) doi: 10.1021/acs.langmuir.5b00643


Izabela Kaminska , Wang Qi , Alexandre Barras , Janusz Sobczak , Joanna Niedziolka‐Jonsson , Patrice Woisel , Joel Lyskawa , William Laure , Marcin Opallo , Musen Li , Rabah Boukherroub, Sabine Szunerits Thiol–Yne Click Reactions on Alkynyl–Dopamine‐Modified Reduced Graphene Oxide Chemistry – A European Journal (2013) doi: 10.1002/chem.201300225

September 2024 Retraction: “concerns were raised by third parties regarding Figure 2. The authors provided some of the original data, but were unable to provide a satisfactory explanation.”
Validity and authenticity
We started with MOFs, we will end with MOFs. Congratulation to the Danish ecology professor Christian Sonne, his papermilling starts to pay off, because he now earned his second retraction.
Hier kommt Herr Sonne
“Go and change the globe to a more positive future instead”
All because Sonne’s Aarhus University wastes the time of their lawyers on threatening me (read in September 2025 Shorts and October 2025 Shorts), instead of the much more important task of threatening journals to prevent such retractions as this one:
Rajit Sikka , Pawan Kumar , Jechan Lee , Christian Sonne Aqueous-phase biofunctionalized NH2-MIL-53(Al) MOF for biosensing applications Journal of Porous Materials (2022) doi: 10.1007/s10934-021-01192-z
Inquiring minds might wonder how did Sonne, an Arctic wildlife ecologist specialising on marine mammals, evolved the capacity to write papers on metal-organic frameworks. The paper was not flagged on PubPeer before, and still Springer Nature issued this Retraction on 12 November 2025:
“The Editor-in-Chief has retracted this article. After publication, concerns were raised regarding the physical validity and authenticity of the data presented in Figs. 1B and 7. Furthermore, the reported crystal size for synthesized NH2-MIL-53(Al) MOF is smaller than the average size for the individual atoms of the material’s constitutive elements, which is not physically possible. The authors provided some source data on request from the Publisher, but this was insufficient to address the concerns raised. The Editor-in-Chief therefore no longer has confidence in the results and conclusions reported in this article.
The authors disagree with this retraction.”
I made an illustration:



zoom-in Fig 7
Still waiting for the Aarhus University to sue me as they promised.

Donate!
If you are interested to support my work, you can leave here a small tip of $5. Or several of small tips, just increase the amount as you like (2x=€10; 5x=€25). Your generous patronage of my journalism will be most appreciated!
€5.00

Donate!
If you are interested to support my work, you can leave here a small tip of $5. Or several of small tips, just increase the amount as you like (2x=€10; 5x=€25). Your generous patronage of my journalism will be most appreciated!
€5.00




In fact Szunerits and Boukherroub have 6 papers retracted so far. But indeed one with Spadavecchia and also one with Suman L. Jain who has a huge pubpeer record.
10.1021/acs.langmuir.5c00518
10.1021/acs.langmuir.5c01161
10.1021/acs.langmuir.5c03463
10.1021/acs.analchem.4c04819
10.1002/chem.202403161
https://doi.org/10.3390/pathogens14111184
LikeLike
Thank you, I totally missed all of those!
Here are the links:
https://pubpeer.com/publications/D8A5AF43446D56886F95273A94768E#null
Retraction April 2025: https://pubs.acs.org/doi/10.1021/acs.langmuir.5c00518
https://pubpeer.com/publications/68785C703CCC69CEB8B7D50103AFF3
Retraction May 2025: https://pubs.acs.org/doi/10.1021/acs.langmuir.5c01161
https://pubpeer.com/publications/326444E82364319917FBCB41017D0B
Retraction July 2025: https://pubs.acs.org/doi/10.1021/acs.langmuir.5c03463
https://pubpeer.com/publications/FA4ABD243E8518B6C72024EDB98DFA
Retraction September 2024: https://pubs.acs.org/doi/10.1021/acs.analchem.4c04819
https://pubpeer.com/publications/32714981D1874BFD78FD40E8E97583
Retraction September 2024: https://chemistry-europe.onlinelibrary.wiley.com/doi/10.1002/chem.202403161
LikeLiked by 1 person
Yes, I know this Tribute. Very strange account of his childhood days. I think that Prof. Galus, a famous Polish electrochemist, must not be very proud of his student.
LikeLike
“Marcin Opallo was born in Warsaw, Poland, in 1956. Since his early childhood he was talented in identifying essential details of the surrounding world. He was quick to observe and learn
new things, including language. His aunt felt quite embarrassed and ashamed coming back home after having a walk with baby Marcin across a street under construction. From the construction workers, he heard for the first time a few words of a kind that was not used in his home. Marcin happily demonstrated his new verbal skills in front of his parents and embarrassed aunt”
I am sure, years later Marcin continued shouting KURWA, GAWNO, CHUJ CI W DUPE, and PIERDOLIC TWOJA MATKE, but now at his lab members.
LikeLike
This one is with several superstars from the Institute of Physical Chemistry, Polish Academy of Sciences
Retraction: Thiol–Yne Click Reactions on Alkynyl–Dopamine‐Modified Reduced Graphene Oxide – 2024 – Chemistry – A European Journal – Wiley Online Library
LikeLike
“A Tribute to Marcin Opallo on his 65 th Birthday: Electrochemistry over 40 Years”

By Joanna Niedziółka-Jönsson et al, Opallo’s coauthor on this retracted masterpiece :
https://pubpeer.com/publications/32714981D1874BFD78FD40E8E97583
LikeLiked by 1 person
Such “tribute” articles are so cringy. How does someone’s personal photos, recollections, and reflections contribute to the scientific record?
LikeLike
Leonid, thanks for explanations. Working on Saeb’s papers I was not aware that they involved another superstar – Rohani.
LikeLiked by 1 person
I have an impression that MR Saeb has been blessed by some ancient iranian gods (or by contemporary IRGC agents) and is now magically protected from retractions even in the most obvious cases: https://pubpeer.com/publications/87D014F559FF815F15BDAF9E862EB9
LikeLiked by 1 person
Only Saeb? While based at Western universities, almost no Iranian who engaged in papermilling and citation fraud had their articles retracted. It doesn’t matter if it’s Poland, Canada, Sweden, the Netherlands, or Denmark. As long as they have affiliations in Western countries, publishers don’t touch these fraudsters. Retraction decisions are easier to make for papers by those who follow almost exactly the same method but are located in Asia or Africa. In summary, if you are Iranian and at a Western university, no one will touch you.
I genuinely believe there is a powerful Iranian lobby in Western academia, and that’s why no one can touch them, no matter what fraud they do. Everything is easily accessible to these people: journal papers, tolerance for fraudulent citations, phd positions, faculty positions, research funding, and more. Their card as persecuted researchers who escaped a harsh regime opens every single gate.
LikeLike
New superstars coming soon?
Click to access Wyniki_na_1strone.pdf
LikeLike
https://pubpeer.com/publications/235DE484CEAE1DECC177623B5F4607
one of the emerging stars’ paper contains an obvious image manipulation.
Yet another NAWA awardee published several papers in BMC Complementary and Alternative Medicine and Journal of Ethnofarmacology
https://scholar.google.com/citations?user=BxEDp_oAAAAJ&hl=en
LikeLiked by 1 person
“From the construction workers, he heard for the first time a few words of a kind that was not used in his home. Marcin happily demonstrated his new verbal skills in front of his parents and embarrassed aunt”
Ah, this is the sort of content that enriches scientific literature and fosters the progress of humanity. I’m glad they spared us a photo of his first poop.
LikeLike
Some scientific LLM is likely going to have this stuff in the training set.
LikeLiked by 1 person
I get messages that academic Poland is now clutching their pearls because I spelled out the words this Opallo Festschrift says.
LikeLike
“This is the paper, not exactly purely from Shanghai as NYT wants you to think. It is actually coauthored by US professors and anti-aging entrepreneurs James Kirkland of Mayo Clinic and Judith Campisi of Buck Institute.”
“Qixia Xu , Qiang Fu , Zi Li , Hanxin Liu , Ying Wang , Xu Lin , Ruikun He , Xuguang Zhang , Zhenyu Ju , Judith Campisi , James L. Kirkland , Yu Sun The flavonoid procyanidin C1 has senotherapeutic activity and increases lifespan in mice Nature Metabolism (2021) doi: 10.1038/s42255-021-00491-8 “
23 February 2026 Editorial Expression of Concern
Editorial Expression of Concern: The flavonoid procyanidin C1 has senotherapeutic activity and increases lifespan in mice | Nature Metabolism
LikeLike
Got a long message from
Reggiani Vilela Gonçalves
“Dear Mr. Schneider,
In view of the article published on November 21, 2025, in which my name is mentioned in relation to alleged irregularities in scientific research, I would like to present substantiated clarifications that prove the integrity of my team’s work and the data obtained.
“Regarding my ‘omission’ or delay in responding to the journals
I became aware of the event and the recently published article because I was absent from my duties at the Federal University of Viçosa for months due to maternity leave. Law No. 8.112/1990, article 207 (Brazilian law). My leave period was from May 2025 to November 2025. I am attaching the official documentation relating to this leave for your records.
“Regarding the overlaps in the photomicrographs.”
As the corresponding author, I acknowledge and assume full responsibility for the use of duplicate images in all these publications. We recognize that it is often difficult to determine whether the figures correspond to those used in other manuscripts, especially in the final stages of manuscript correction, as images of collagen fibers and cells can appear remarkably similar. To understand the origin of these errors, I contacted Dr. Sarandy, who worked in my laboratory as a doctoral and postdoctoral student for eight years. After our review, we wish to clarify the technical origin of these flaws and confirm the validity of the underlying data:
1. Data vs. Illustration: In each article, the reported results (tables and graphs) are derived from the analysis of over 100 distinct photographs obtained from histological sections of each group. These counts were performed using a more 100-point grid and analyzed via Quantum or Image ProPlus software (histomorphometric analyses). The aim is to perform quantitative analyses based on protomicrographs. These analyses were conducted by independent researchers who were blinded to the experimental groups.
2. Verification of Raw Data: The raw numerical data in each article are unique and authentic, as we can see in the tables and graphs presented (There is not overlap in the number presented) (please see Table 2 in the article https://doi.org/10.1155/2015/919342/, figures 2 and 3 of the article https://doi.org/10.1016/j.prp.2013.07.006/, Table 3 and Table 4 of the article https://doi.org/10.1590/S0100-879X2010007500022/, and Table 3 and Table 4 of the article https://doi.org/10.1155/2015/919342).
Although the photomicrographs were intended only to illustrate the results (such as Sirius Red for collagen or H&E for vessels), I recognize that these overlaps are unacceptable in published work. We have verified with the original researchers that the graphs and tables accurately reflect the experimental findings, and we are working with the journals to correct these visual discrepancies.
Regarding patent BR 10 2024 001044 2:
I would like to clarify that our research on brassinosteroids was conducted strictly at the cellular level to investigate treatments for melasma, a common hyperpigmentation disorder. Our focus is entirely on dermatological science and the development of therapeutic options for patients. There was never any intention to promote or practice misogyny; our work is dedicated to advancing health science and pharmacology.
Regarding citations in PubPeer
For articles in which I served as a co-author, I contacted the corresponding authors, who confirmed that the corrections had been submitted or had already been published in the respective journals. For co-authored works:
• I contacted Professor Romulo Dias Novaes about the article by Jamili et al.; he confirmed that he is in contact with the journal to resolve all pending issues.
As for manuscripts in which I am the corresponding author, we have already processed the necessary corrections or retractions. I want to make it clear that I fully agree with these actions. I believe that maintaining the integrity of the scientific record is fundamental, and I support the journals’ decisions to retract or correct these works, to ensure that only verified and accurate data remain in the literature.”
Regarding Ethical Protocols and Animal Welfare (DOI: 10.1371/journal.pone.0195786)
Regarding the concerns raised about animal welfare in our study, I categorically affirm that all procedures were conducted under rigorous ethical supervision. I didn’t find the place to attach the formal letter of approval from the Ethics Committee on the Use of Animals of the Federal University of Viçosa (Protocol No. 730/2014), but if you send me your email, I can send it to you, including all approvals from the ethics committee for my research. In the study in which Strychnos pseudoquina was tested, other plants were tested alongside it. Our research was conducted in full compliance with Brazilian legislation (Law No. 11,794, 2008) and the guidelines established by CONCEA/MCTI (Brazilian Guideline for Practice for the Care and Use of Animals for Scientific Purposes and Teaching).
Although the protocol number was correctly cited in the article, we unfortunately omitted specific mention of the anesthetic agents used—ketamine and xylazine—to induce sedation. This was a regrettable omission in the manuscript, but it does not reflect the actual conduct of the study, which prioritized animal welfare and the absence of pain. I am providing the ethical documentation now to clarify that these procedures were legally approved and conducted in a humane manner.
Your report highlighted the need for more rigorous oversight of our data management protocols. I will be much more cautious in my analysis and presentation of images going forward.
Sincerely,
Professor Reggiani Vilela Gonçalves, Federal University of Viçosa”
LikeLike