Obituaries for explosive developments in cancer research
"Michael Waterfield,a key figure in the explosive developments in cancer research in the late twentieth century [....] leaves an enormous legacy, not just in the landscape of cancer therapies which he did so much to transform, but also in the training and promotion of the careers of so many leading scientists"
Join me in honouring the academic heritage of not one, but two dead great British cancer researchers.
In May 2023, the British biologist Mike Waterfield died, aged 82. Here is an obituary published by The Francis Crick Institute:
“We were very sorry to hear of the death earlier this month of Michael Waterfield, a key figure in the explosive developments in cancer research in the late twentieth century and a transformative influence at the Imperial Cancer Research Fund, precursor to the Francis Crick Institute’s co-founder and major funder, Cancer Research UK. […]
Mike left ICRF in 1986 to set up the Ludwig Institute for Cancer Research at University College London. […] e then drove forward the development of inhibitory drugs targeting this enzyme, first in collaboration with the pharmaceutical company Yamanuchi, then setting up the biotech company Piramed, together with Peter Parker and Paul Workman. […]
Mike wound up his lab in 2008, […] He leaves an enormous legacy, not just in the landscape of cancer therapies which he did so much to transform, but also in the training and promotion of the careers of so many leading scientists…”
You may have recognised the name of Waterfield’s business partner, Paul Workman, former President of the Institute of Cancer Research (ICR) London. Workman published lots of fake science.
Before biology became digital, with its -omics and big data, there were mostly gels and microscopy images. The peak of image use in biomedical papers was reached at the turn of the century, those became the golden times of Photoshop-assisted data manipulation. To celebrate that period, I selected an example of the British cancer researcher…
In 2008, Waterfield and Workman sold their company Piramed to the pharma giant Roche for $ 160 million. That was the year when Waterfield retired, leaving many successful mentees at the helm of the British cancer research.
The obituary was written by Waterfield’s former PhD student and now Senior Group Leader at ICR London and The Crick professor, Julian Downward, who has a very serious PubPeer record of bad science.
After doing PhD with Waterfield, Downward continued his science training at MIT in USA with the cheater Bob Weinberg; with years, Downward established for himself a very impressive PubPeer record. On the occasion of the retraction of his Nature paper Kumar et al 2014, Downward explained in 2015 to Retraction Watch that, “Following a series of exhaustive London Research Institute (LRI) internal and external investigations, it was concluded” that he was an innocent victim of a fraud by his Indian mentee, Madhu S Kumar.
A breast cancer foundation celebrates its research heroes. Read now here about how great US scientists from Harvard, MIT, Weill Cornell and MD Anderson cure cancer.
Julian Downward: “We have asked the journal to publish a corrected version of this figure with the right image in place for the WT/- VEGF-A panel. […] This revision does not alter the conclusions of the paper.”
Now, a collaborative study by Downward and his visiting scientist, now Cancer Research UK officer David Hancock, with many big names of international cancer research on it:
Cancer Research UK is a charity which relies on donations, volunteer work and fundraising. What if these citizens knew their money goes to fund bad science?
Julian Downward: “We have asked the journal to publish a corrected version of figure 3 […] Please note that this error in no way affects the conclusions of the paper.”
But then again, can anyone explain this Downward paper:
And here a rather recent paper by a certain Olivier Pardo, who has a number of papers on PubPeer and who, importantly, used to be Downward’s postdoc. Nowadays Pardo is now reader at Imperial College London, where he presumably was installed by the Imperial College professor Michael Seckl. Seckl in turn did his PhD at Waterfield’s Imperial Cancer Research Fund, quite possibly it was Waterfield who then installed his mentee as faculty member at Imperial. And yes, also Seckl has his own PubPeer record, often with Pardo.
“No paper — I would wager quite heavily that a large percentage, probably over 90% of papers in the public domain, have errors in them. Whether or not they be known, I would suggest that would be the case.” – Prof Martin Bushell
As it happens, Seckl did PhD at UCLA in USA with Enrique Rozengurt, who has his own worrisome PubPeer record. Here is Seckl with Pardo, reusing data from Seckl’s paper with a former postdoc of Waterfield’s: a certain Alexandre Arcaro, who until a few years ago used to be group leader at the University of Bern in Switzerland. It is not clear why Arcaro disappeared in Bern (his PubPeer record is very bad, but when did that ever matter in academia?), or where he works now.
The older paper in Clinical cancer research received a correction on 17 February 2025:
“In the original version of this article (1), the SCLC-positive image in Fig. 1A did not coincide with the SCLC-positive 200× image, and the Western blots used to represent Total Akt, S6, and beta-actin in Fig. 2C were misaligned with the lane labels. The figure panels in the authors’ original manuscript did not contain these errors; the errors were introduced when the authors submitted subsequent revisions to the journal.”
Here is a lovely study by Waterfield and his mentees Seckl and Arcaro:
That other paper, in Cell Signalling, is authored by Seckl and Arcaro (plus the Edinburgh professor Margaret Frame, who has a problematic PubPeer record of her own):
The JBC paper was retracted in 2015, with the only note of “This article has been withdrawn by the authors.” The Oncogene paper received an Erratum in December 2014:
“Most of these errors concern duplication of small amounts of negative control data that appeared in the Oncogene manuscript and that were reused in the J Biol Chem paper without proper attribution to the original publication in Oncogene. […] We have therefore repeated these experiments and presented the replacement figures to J Biol Chem. Importantly, the results confirm our original findings. Moreover, none of the errors have any impact on the interpretation of the data or conclusions presented in our original Oncogene manuscript.”
Arcaro as you can imagine has a very serious PubPeer record. Here a paper of his with a Swiss bigwig Michael Grotzer, Medical Director of the University Children’s Hospital Zurich:
Danielle Boller , Kathrin T Doepfner , Angela De Laurentiis , Ana S Guerreiro , Marin Marinov , Tarek Shalaby , Paul Depledge , Anthony Robson , Nahid Saghir , Masahiko Hayakawa , Hiroyuki Kaizawa , Tomonobu Koizumi , Takahide Ohishi , Sarah Fattet , Olivier Delattre , Anelia Schweri-Olac , Katrin Höland , Michael A Grotzer, Karl Frei , Olivier Spertini, Michael D Waterfield, Alexandre Arcaro Targeting PI3KC2β impairs proliferation and survival in acute leukemia, brain tumours and neuroendocrine tumoursAnticancer Research (2012) 32 (8) 3015-3027;
Retraction September 2021: “The article […] is retracted due to the similarity of Figure 2C with Figure 1A of the article published in Clinical Cancer Research 14(4): 1172-1181, 2008. Efforts of the Editorial Office of Anticancer Research to communicate with the Authors were unsuccessful.”
Guess what Arcaro, Waterfield, Grotzer and their many coauthors did. They just republished that paper, in the same journal, as Boller et al 2022, and they kept the recycled blot!
Grotzer has more bad papers with Arcaro. Like this:
Correction 7 December 2022: “The authors apologise for the inconvenience caused and confirm this does not have any impact on the interpretation of the results.”
There is of course more forged science by Arcaro and Waterfield. Here they are with a certain German superstar named Axel Ullrich, after whom a whole medal and a lecture was named, courtesy of the Max Planck Institute in Dortmund (read March 2024 Shorts). Ullrich has 3 retractions and a worrisome PubPeer record.
Meet two grand cancer researchers from Milan: Pier Paolo Di Fiore and Pier Giuseppe Pelicci. Then decide if you want to give them your tax and charity money.
The first author Roy Katso went on to work for pharma industry and died in 2018, aged 47. The coauthor Anne Ridley, now professor at the University of Bristol, began her PI career at Waterfield Ludwig Cancer Institute. She also has a problematic PubPeer record, including a retraction with the infamous Sam W Lee.
England leads the world in science, any fule kno. Meet some more of the star jesters: Nick Lemoine, Peter St George-Hyslop and Xin Lu. They are curing cancer and Alzheimer with Photoshop.
Here is a paper of Ridley’s with Waterfield and a former postdoc of Waterfield’s: John Timms, who made it to associate professor at UCL, but then died in January 2021, aged only 51.
Actinopolyspora biskrensis: “A gel slice in this paper seems to have previously been published in a paper with some common authors (at different exposure and after change in aspect ratio).”
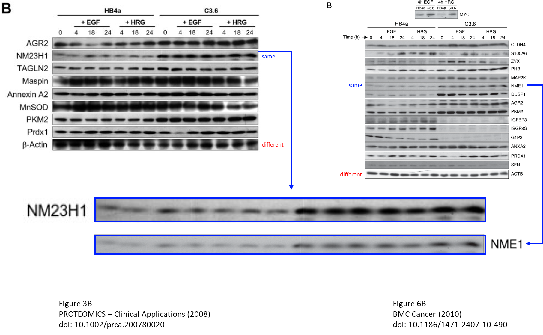
Data from Proteomics paper appeared in another study by Timms:
“Actinopolyspora biskrensis: “They seem to have different exposures and while they appear to be described similarly, the accompanying controls are not the same.”
The BMC Cancer paper in turn reused data from an older study by Timms and Waterfield:
“John Timms who was Associate Professor of Cancer Proteomics at the Elizabeth Garrett Anderson Institute for Women’s Health (IfWH) was an outstanding scientist in the pioneering development and application of proteomic technologies in cancer research. John gained his DPhil from Oxford University in 1995 going on to a Leukemia Society of America Fellowship in Prof Benjamin Neel’s laboratory at Harvard Medical School. He returned to the UK in 1999 as a postdoctoral research fellow with Prof Mike Waterfield at the UCL Ludwig Institute for Cancer Research and in 2002 he became an Assistant Member of the Ludwig, leading a successful cancer proteomics research group.”
The UCL announcement also linked to Timm’s obituary written by “Prof Martin Widschwendter, personal friend and John’s previous Head of Department”:
“Simply put, John was a shining beacon in the world of academia, a world that at times can be uncompromising and difficult to negotiate.”
The aforementioned Benjamin G. Neel is now Director of the Perlmutter Cancer Center at NYU Langone Health, he once reportedly kicked out Sam W Lee from Beth Israel Deaconess Medical Center (BIDMC) and had him moved to the very periphery of Harvard Medical School. It is not clear whether that was because Lee being fraudster who also tortured animals, or because of Lee’s antisemitism.
Neel published quite a lot of bad science, with some very problematic people, including Robert Weinberg, as I discussed in August 2023 Shorts. One such coauthor of Neel was Weinberg’s postdoc Julian Downward. Yet Neel saw no problem with those spliced gels:
Moving on. here is Waterfield with the UCL professor Parmijit Jat, who did his PhD in 1982 at the Imperial Cancer Research Fund, and who has a worrisome PubPeer record of his own:
And here is Jat with Downward, the last author is UCL professor Nicholas Wood, who collaborated with awful people like Frédéric Checler and, well, see if you recognise some very big fish here. The duplication was corrected soon after the publication:
I publish exclusively two uncensored UCL screening panel reports into the David Latchman and Anastasis Stephanou affair. Now we know which papers were investigated and which requested retractions didn’t happen.
Here is Jat with some very toxic people from ICR London, Christopher Lord and his mentor Alan Ashworth, who until his escape to California used to be President of ICR and thus the predecessor of Waterfield’s business partner Workman:
With nobody above him, ICR director Paul Workman was seemingly investigating himself, and found two female colleagues guilty of placing fake data into his papers, primarily the ICR emeritus Ann Jackman. One paper was retracted, another received an outrageous correction. The previous ICR CEO, Alan Ashworth, together with his right-hand man Chris Lord, have their…
Concluding, whatever Waterfield’s own scientific achievements were, as a mentor and business partner he damaged science by installing and promoting all the wrong people. Including Timms, who is also dead now.
But you know what Max Planck said.
Donate!
If you are interested to support my work, you can leave here a small tip of $5. Or several of small tips, just increase the amount as you like (2x=€10; 5x=€25). Your generous patronage of my journalism will be most appreciated!
You really have to appreciate how the British Establishment uses all techniques to cover-up the problematic data of Anne E Willis, OBE. Ranging from the usual “you mustn’t say anything”, to more advanced diversity, equality and inclusion bludgeon. The elephant in the room is that so-called mammalian IRES sequences likely don’t work. Sure, you can find sequences which are a bit like viral IRES sequences, but that doesn’t mean that they can start translation. Often explained by things we already know such as splicing. Why go against Occam’s Razor and invent a schtick to get you on, unless it is to get you on? Sorry to disappoint, but Occam (Oakham) was an Englishman, not some exotic foreigner. The english were cleverer in the Middle Ages than now.
“That other paper, in Cell Signalling, is authored by Seckl and Arcaro (plus the Edinburgh professor Margaret Frame, who has a problematic PubPeer record of her own)”
Another one, the third retraction for Julian Downward, the Judi Dench of British science, Judi Dench, Judi Dench, Judi Dench, Julian Downward, Julian Downward, Julian Downward, he must be a good actor. He’s with the bricks, nothing will happen. He’s nice and polite on Pubpeer, a few corrections have happened, he plans to repeat experiments years after the event. All very British, doodle pip! As they say the Germans are too honest to be polite (although the Dutch fit that better, more honest than Germans when it comes to science) and the British are too polite to be honest.
Editorial Expression of Concern: Effects of ErbB-2 overexpression on mitogenic signalling and cell cycle progression in human breast luminal epithelial cells John F. Timms, Sarah L. White, Michael J. O’Hare & Michael D. Waterfield Oncogene (2026)
The Editors-in-Chief would like to alert readers that concerns were raised regarding the similarity of the cdk4 band of Figure 3c with that of ACTB band of Figure 6B in [1]. Therefore, readers are advised to interpret the data listed above with caution.
Authors John F Timms and Michael D Waterfield are deceased. The publisher has not been able to obtain current email addresses for Sarah L White and Michael J O’Hare.
Reference Worthington J, Bertani M, Chan HL, Gerrits B, Timms JF. Transcriptional profiling of ErbB signalling in mammary luminal epithelial cells – interplay of ErbB and IGF1 signalling through IGFBP3 regulation. BMC Cancer. 2010;10:490. https://doi.org/10.1186/1471-2407-10-490.
This is so funny. Part of the UCL (The Royal Free is a teaching hospital within UCL) fake factory, with aristocratic knobs on it. It is the British way!
PubPeer – Activation of key profibrotic mechanisms in transgenic fibro…
PubPeer – Fibroblast-specific expression of a kinase-deficient type II…
Carol Black (rheumatologist) – Wikipedia
Pubpeer record: PubPeer – Search publications and join the conversation.
David Abraham | About | University College London
PubPeer – Search publications and join the conversation.
London works miracles. This one only got corrected, and there is more wrong with it. PubPeer – Thrombospondin 1 is a key mediator of transforming growth fa…
Tough it out, ignore the science, win the day! Works like a dream. Odd that the Freud Museum is just around the corner. Freud’s imagination is more real than their “experiments”.
This is Royal Free and University College Medical School, University College London (Hampstead Campus), London, United Kingdom, holy crap, and they can’t even clear up the crap after themselves.
“job at the Royal Free teaching hospital in Hampstead,[1] later becoming a professor and then the hospital’s medical director. The rheumatology unit she established there has a strong interest in scleroderma: it is a national tertiary referral centre for patients with the illness and is the major European centre for clinical research into the disease, with a particular focus on trying to understand the pathological process of fibrosis or scarring that characterises the condition at a histological level. The unit also has a strong tradition of high-quality teaching aimed at medical students and specialists-in-training.[7][8]
Black is an international expert on scleroderma. Partly as a result of her work, much can now be done to ameliorate the effects of the condition, although a specific treatment for the disease remains elusive.”
On balance is London bad for science? It doesn’t have the quality of say Cambridge, and I would argue is worse quality than the rest of the country. The rest of the U.K. could easily take up the slack if the “science” institutes/universities in London were closed and turned into luxury flats for oligarchs rather than universities to which oligarchs send their children, who either cannot pass the exams in their own countries, or the children just like “the London experience”, or sending their children to London is on the trinket wish-list of oligarchs, just like oligarchs like to have property in the same Postcode as the King. Although the University of London and other universities in London act like private companies they are all state universities and so could be directed by Acts of Parliament to repurpose, i.e. close their doors, and that slice of the science budget spent elsewhere. The nicest thing for oligarchs about the U.K. is that you can always get your money out, not like some awkward countries, and launder it in the meantime.
Roy M. Katso, Olivier E. Pardo , Andrea Palamidessi, Clemens M. Franz, Marin Marinov , Angela De Laurentiis , Julian Downward, Giorgio Scita, Anne J. Ridley, Michael D. Waterfield , Alexandre Arcaro Phosphoinositide 3-Kinase C2beta regulates cytoskeletal organization and cell migration via Rac-dependent mechanisms Molecular Biology of the Cell (2006) doi: 10.1091/mbc.e05-11-1083
Anything in Mol Biology of the Cell is as safe as houses.
Same first author
PubPeer – Functional analysis of H-Ryk, an atypical member of the rece…
How to explain?
LikeLike
I don’t think Katso’s death was a tragedy, for science at least.
LikeLike
By the way, Angela de Laurentis is a former PhD student of Arcaro’s.
I may have even met her during my time at IFOM-IEO.
Click to access CV-Angela-de-Laurentiis-N.pdf
LikeLike
Her career appears to have taken … a ‘turn’ since then, it seems:
https://www.linkedin.com/in/angela-de-laurentiis-6b56a734/
LikeLike
Alexandre Arcaro, who until a few years ago used to be group leader at the University of Bern in Switzerland
PubPeer – Questioning the role of selected somatic PIK3C2B mutations i…
PubPeer – The role of phospholipase D in modulating the MTOR signaling…
How to explain?
LikeLike
Imperial College professor Michael Seckl
PubPeer – Critical role for lipid raft-associated Src kinases in activ…
5 star salami! How to explain?
PubPeer – Two distinct phosphoinositide 3-kinases mediate polypeptide…
2-for1 offer here. How to explain?
LikeLike
Very nice indeed

LikeLike
We know what the answer will be.
https://pubpeer.com/publications/E76D4CD96F41333C88C84A8EFBC57C#5
“I see no merit in retracting these important publications or publishing an erratum at this late stage…”
“The investigation stated that the conclusions made from the published studies were valid and important, even accounting for these reporting errors.”
LikeLike
Fresh problematic data Arcaro and Michael Grotzer.
PubPeer – Targeting the PI3K p110alpha isoform inhibits medulloblastom…
LikeLike
Swiss bigwig Michael Grotzer, Medical Director of the University Children’s Hospital Zurich
Another one, perhaps everything is kosher, but I doubt it.
https://pubpeer.com/publications/B28B877A57348F482BC2DA92FCCB78
LikeLike
Correction for Michael Grotzer. Author Correction: Computer-assisted quantification of motile and invasive capabilities of cancer cells | Scientific Reports
LikeLike
Anne E Willis, Director of the MRC Toxicology Unit at the University of Cambridge
Retraction. Retraction: Translational reprogramming following UVB irradiation is mediated by DNA-PKcs and allows selective recruitment to the polysomes of mRNAs encoding DNA repair enzymes – PubMed
LikeLiked by 1 person
Nice to have a prize.
Anne Willis awarded the John Barnes Prize for 2025 | MRC Toxicology Unit
LikeLike
Retraction Watch reporting. Director of Cambridge toxicology institute retracts paper for potential image manipulation – Retraction Watch
LikeLike
That’s great, RW even erased you from history now!
LikeLike
2022 correction appears to overlap with uncorrected data in the original 2009 paper, but is described differently. PubPeer – Correction to ‘The human insulin receptor mRNA contains a fu…
LikeLike
More comes to light in this paper, or was it all there since 2013? If the journal procratinates for long wnough it is the same as doing nothing. PubPeer – Identification of internal ribosome entry segment (IRES)-tra…
LikeLike
You really have to appreciate how the British Establishment uses all techniques to cover-up the problematic data of Anne E Willis, OBE. Ranging from the usual “you mustn’t say anything”, to more advanced diversity, equality and inclusion bludgeon. The elephant in the room is that so-called mammalian IRES sequences likely don’t work. Sure, you can find sequences which are a bit like viral IRES sequences, but that doesn’t mean that they can start translation. Often explained by things we already know such as splicing. Why go against Occam’s Razor and invent a schtick to get you on, unless it is to get you on? Sorry to disappoint, but Occam (Oakham) was an Englishman, not some exotic foreigner. The english were cleverer in the Middle Ages than now.
LikeLike
From the same era. Very clever stuff. PubPeer – Upregulation of chicken p15INK4b at senescence and in the de…
LikeLike
“That other paper, in Cell Signalling, is authored by Seckl and Arcaro (plus the Edinburgh professor Margaret Frame, who has a problematic PubPeer record of her own)”
Another one for Margaret Frame: PubPeer – Mislocalization of the E3 ligase, β-transducin repeat-contai…
LikeLike
“Senior Group Leader at ICR London and The Crick professor, Julian Downward, who has a very serious PubPeer record of bad science.”
Third retraction for Julian Downward.
Nature retracts paper for data manipulation by Ph.D. student – Retraction Watch
Another one, the third retraction for Julian Downward, the Judi Dench of British science, Judi Dench, Judi Dench, Judi Dench, Julian Downward, Julian Downward, Julian Downward, he must be a good actor. He’s with the bricks, nothing will happen. He’s nice and polite on Pubpeer, a few corrections have happened, he plans to repeat experiments years after the event. All very British, doodle pip! As they say the Germans are too honest to be polite (although the Dutch fit that better, more honest than Germans when it comes to science) and the British are too polite to be honest.
LikeLike
“Michael Waterfield,a key figure in the explosive developments in cancer research in the late twentieth century [….] leaves an enormous legacy”
23 April 2026 Editorial Expression of Concern https://www.nature.com/articles/s41388-026-03803-y
Editorial Expression of Concern: Effects of ErbB-2 overexpression on mitogenic signalling and cell cycle progression in human breast luminal epithelial cells John F. Timms, Sarah L. White, Michael J. O’Hare & Michael D. Waterfield Oncogene (2026)
Editorial Expression of Concern to: Oncogene https://doi.org/10.1038/sj.onc.1205847, published online 23 September 2002
The Editors-in-Chief would like to alert readers that concerns were raised regarding the similarity of the cdk4 band of Figure 3c with that of ACTB band of Figure 6B in [1]. Therefore, readers are advised to interpret the data listed above with caution.
Authors John F Timms and Michael D Waterfield are deceased. The publisher has not been able to obtain current email addresses for Sarah L White and Michael J O’Hare.
Reference Worthington J, Bertani M, Chan HL, Gerrits B, Timms JF. Transcriptional profiling of ErbB signalling in mammary luminal epithelial cells – interplay of ErbB and IGF1 signalling through IGFBP3 regulation. BMC Cancer. 2010;10:490. https://doi.org/10.1186/1471-2407-10-490.
LikeLike
It is difficult to know where they belong, but some more London contributions.
Typical Hampstead riddle (Royal Free).
Which came first, the chicken , or the egg?
PubPeer – Loss of protein kinase Cepsilon results in impaired cutaneou… PubPeer – Loss of protein kinase Cε results in impaired cutaneous woun…
Hiding in plain sight in Hampstead.
PubPeer – Matrix Contraction by Dermal Fibroblasts Requires Transformi…
Dizzy? PubPeer – Endothelial to Mesenchymal Transition Contributes to Endothe…
LikeLike
This is so funny. Part of the UCL (The Royal Free is a teaching hospital within UCL) fake factory, with aristocratic knobs on it. It is the British way!
PubPeer – Activation of key profibrotic mechanisms in transgenic fibro…
PubPeer – Fibroblast-specific expression of a kinase-deficient type II…
Carol Black (rheumatologist) – Wikipedia
Pubpeer record: PubPeer – Search publications and join the conversation.
David Abraham | About | University College London
PubPeer – Search publications and join the conversation.
London works miracles. This one only got corrected, and there is more wrong with it. PubPeer – Thrombospondin 1 is a key mediator of transforming growth fa…
Tough it out, ignore the science, win the day! Works like a dream. Odd that the Freud Museum is just around the corner. Freud’s imagination is more real than their “experiments”.
LikeLike
Who said that the Royal Touch is no longer employed? Everything can be anything and dogs are people too.
PubPeer – Thrombospondin 1 is a key mediator of transforming growth fa…
It’s O.K. because the UCL-based journal allowed a correction.
Quality of journal edited by UCLH/UCL BRC investigator highlighted by unofficial Impact Factor. | UCLH Biomedical Research Centre
LikeLike
This is Royal Free and University College Medical School, University College London (Hampstead Campus), London, United Kingdom, holy crap, and they can’t even clear up the crap after themselves.
PubPeer – Angiogenic effects of stromal cell-derived factor-1 (SDF-1/C…
LikeLike
David Abraham | About | University College London
Exemplary record. PubPeer – Search publications and join the conversation. People with exemplary records displace others. That’s what can be said for people with exemplary records.
LikeLike
Carol Black (rheumatologist) – Wikipedia
“job at the Royal Free teaching hospital in Hampstead,[1] later becoming a professor and then the hospital’s medical director. The rheumatology unit she established there has a strong interest in scleroderma: it is a national tertiary referral centre for patients with the illness and is the major European centre for clinical research into the disease, with a particular focus on trying to understand the pathological process of fibrosis or scarring that characterises the condition at a histological level. The unit also has a strong tradition of high-quality teaching aimed at medical students and specialists-in-training.[7][8]
Black is an international expert on scleroderma. Partly as a result of her work, much can now be done to ameliorate the effects of the condition, although a specific treatment for the disease remains elusive.”
and PubPeer – Search publications and join the conversation.
Can two contradictory things be true at the same time?
LikeLike
One view is that if the authors retracted this paper, which has glaring internal problematic data PubPeer – Matrix Contraction by Dermal Fibroblasts Requires Transformi… it would help to prop up this already corrected nonsense PubPeer – Thrombospondin 1 is a key mediator of transforming growth fa…
another view is that it is all nonsense. It’s a calculation the authors might make.
LikeLike
On balance is London bad for science? It doesn’t have the quality of say Cambridge, and I would argue is worse quality than the rest of the country. The rest of the U.K. could easily take up the slack if the “science” institutes/universities in London were closed and turned into luxury flats for oligarchs rather than universities to which oligarchs send their children, who either cannot pass the exams in their own countries, or the children just like “the London experience”, or sending their children to London is on the trinket wish-list of oligarchs, just like oligarchs like to have property in the same Postcode as the King. Although the University of London and other universities in London act like private companies they are all state universities and so could be directed by Acts of Parliament to repurpose, i.e. close their doors, and that slice of the science budget spent elsewhere. The nicest thing for oligarchs about the U.K. is that you can always get your money out, not like some awkward countries, and launder it in the meantime.
Charles Darwin’s house has officially been in London since 1965, although during his time he would have thought his house was outside London. Home of Charles Darwin – Down House | English Heritage
Problematic data produced in London has a detrimental effect on science, there is a Natural Selection for bad science/many papers. It’s not just a bad joke gone wrong, but really fucks up science. The natural selection of bad science | Royal Society Open Science | The Royal Society
LikeLike