Schneider Shorts

Schneider Shorts 25.10.2024 – All those errors occurred inadvertently

Schneider Shorts 25.10.2024 - successful papermilling in Canada and Germany, less successful papermilling in Spain and Ukraine, an open letter to Springer, UK Biobank letting bad guys in, with a dead psychologist, a Spanish cancer warrior in France, an evaporated water institute, haggling Vietnamese, and finally, why coffee and alcohol are good news.

Schneider Shorts of 25 October 2024 – successful papermilling in Canada and Germany, less successful papermilling in Spain and Ukraine, an open letter to Springer, UK Biobank letting bad guys in, with a dead psychologist, a Spanish cancer warrior in France, an evaporated water institute, haggling Vietnamese, and finally, why coffee and alcohol are good news.


Table of Discontent

Science Elites

Obituary

  • A true pioneer – Philip Zimbardo, who staged Stanford prison experiment, is dead

Scholarly Publishing

Retraction Watchdogging

Science Breakthroughs


Science Elites

Flushed down the drain

As I wrote in September 2024 Shorts, Thomas Müller, industry-sponsored professor for brown coal greenwashing research at the University of Bochum in Germany and an associate of the scamference fraudster Ashutosh Tiwari, opened another lawsuit against me. It is about Müller being a member of the Executive Board of Tiwari’s new scam called International Institute of Water (IWW), which is so embarrassing that Müller just had to sue me for finding it out. Read here:

Thomas Müller’s Own Goal

“There is a justified concrete suspicion that third-party funders would from their side terminate the financial support of our client because of the above mentioned representation of our client. This would lead to significant financial losses.”

Well. Now it backfired so badly, certainly for Tiwari, that he had to shut down his IIW. The IIW website was deleted completely (here an archive.ph version, here on Wayback Machine). But only days before, IIW was doing great, here recent news:

“On September 23, 2024, a Memorandum of Understanding (MoU) was signed between the National Law University, Jodhpur (NLUJ) and International Institute of Water (Asia), Jodhpur.”

“The programme was graced by the officials of IIW (Asia) including Dr. Ashutosh Tiwari – Global President, IIW; Dr. Rajendra Singh “Waterman of India” – Member, Governing Council, IIW; Dr. Rajendra Kumar Tiwari, I.A.S. – Chairman, Policy & Governance Council, IIW; Prof. Debashish Chakraborty – Member, Executive Committee, IIW (Asia); Dr. Stephen Hinton – Global Advisor, IIW; Prof. Vandana Singh, Vice Chancellor, Purvanchal University and Member of Executive Committee, IIW (Asia); Dr. Ashutosh Shukla – Assistant Director, IIW Jodhpur Campus; Dr. Ayushi Tiwari – Global Public Health Advisor, IIW; Dr. Akhilesh – Assistant Director , IIW, Prayagraj Campus; and Dr. Prashant – Faculty, IIW Jodhpur.”

All links in this announcement of the 2nd International Conference on Water by Tiwari’s IIW, which was supposed to take place on 24 September 2024, are dead:

“Call for Abstracts: 2nd International Conference on Water Date: 24th September 2024 Location: International Institute of Water (Asia), Jodhpur Organizers: Indian Institute of Technology Jodhpur and International Institute of Water (Asia) Abstract Submission Deadline: 28th August 2024 Submit Abstract: Submit Abstract at https://docs.google.com/forms/d/e/1FAIpQLScvU_eicNYtfm6hHHAzX5stXkHnOpkHO3TkC6eUFLbjixPkqg/viewform More Information: Conference Details, https://icwater.org | Conference Brochure, https://drive.google.com/file/d/1p7zCHEhPRHLXhQLEPHmtxMRPJtJkGroA/view

As every organiser of predatory conferences, Tiwari was running several of them at the same place at the same time. The deleted water conference coincided with non-deleted Composite Materials Congress (24-26 September 2024) by Tiwari’s IAAM, set at the Jodhpur hotel where IIW is registered. Do you think the paying participants of this scamference will get their money back from Tiwari?

source

Tiwari even published “research” papers with IIW affiliation, like this:

Tiwari et al 2024

International Institute of Water is gone, like water under the bridge, washed away with the rain, gone like a morning dew, cleared like a fog, flushed down the drain.

Tiwari also deleted his recently published list of all IAAM award recipients, so here is the version I saved:

In that January 2024 brochure, Müller is of course an IAAM fellow:


All those errors occurred inadvertently

Meet yet another Canadian superstar. Chul B. Park, PhD, P.Eng., FRSC, FCAE, FKAST, FNAEK, FAAAS, FASME, FCSME, FEIC, FSPE, is professor of mechanical Engineering at the University of Toronto.

Park won many awards and leads a Consortium “with 20+ industrial sponsors from Canada and around the world”, his research specialises on foamed plastics. And on excessively citing the papermill fraudster Changhe Li.

On 10 April 2023, Alexander Magazinov contacted the authorities of the University of Toronto with concerns about this paper by Park and his mentee and department colleague, associate professor Patrick C. Lee, the first author being a certain Iranian named Rezgar Hasanzadeh:

Rezgar Hasanzadeh , Taher Azdast , Patrick C. Lee , Chul B. Park A review of the state-of-the-art on thermal insulation performance of polymeric foams Thermal Science and Engineering Progress (2023) doi: 10.1016/j.tsep.2023.101808 

“In short, the references [30, 31, 33, 70, 71, 79, 80, 95, 99, 111, 122] are misrepresented: they are cited in support of statements specific to foaming, and in case of [70, 71] are represented as if they contained foaming-specific numerical data. However, no such claims or data are found in these references. Moreover, these references are from unrelated fields of study, mainly lubrication in mechanical processing of metals. It is therefore impossible that these references are cited in confusion.
Additionally, all the references in question are co-authored by Changhe Li from Qingdao Technological University. The most evident explanation is that the authors are deliberately boosting the citation statistics of the named researcher.”

A. Magazinov

The Toronto leaders were also provided with an article about about C. Li’s citation scams:

Park grants blocks of citation to other important men. Especially to himself:

Amirjalal Jalali , Ruiyan Zhang , Reza Rahmati , Mohammadreza Nofar , Mohini Sain, Chul B. Park Recent progress and perspective in additive manufacturing of EMI shielding functional polymer nanocomposites Nano Research (2023) doi: 10.1007/s12274-022-5053-4 

Elisabeth Bik: “The introduction has one sentence with 12 references: “Countless research projects suggest that constant exposure to radiation from electronic devices could potentially jeopardize human health [1-12].” None of the 12 references show that. Several of them are about electromagnetic interference shielding, but it appears none of these tested the effect of radiation on human health. Five of these references (shown with green highlights) are from Park CB”

In may 2023, Park had to correct the references in this paper with Hasanzadeh:

Rezgar Hasanzadeh, Taher Azdast, Mehran Mojaver, Chul B. Park High-efficiency and low-pollutant waste polystyrene and waste polystyrene foam gasification: Comprehensive comparison analysis, multi-objective optimization and multi-criteria decision analysis Fuel (2022) doi: 10.1016/j.fuel.2022.123362 

Yet another paper by Park with Hasanzadeh was flagged on PubPeer for incorrect referencing. As you probably figured it out, Hasanzadeh is a papermiller. This paper of his with the same Taher Azdast you met above, in the papermill-only International Journal of Hydrogen Energy, is yet another citation vehicle to C. Li. These two Hasanzadeh papers are particularly interesting:

As Magazinov recorded on PubPeer, the first one contains contains blocks of citations to the papermill fraudster and citation buyer Yu-Ming Chu, the second one to YM Chu and C. Li. Read about YM Chu for example here:

Russkiy Mir at Elsevier and MDPI

Alexander Magazinov presents you two russian professors whom Elsevier and MDPI consider respectable: a Lt Colonel of putin’s mass-murdering army, and a machine-gun totting rascist. Both buy from papermills.

You may have noticed a non-Iranian name, who is indeed another Canadian: Marc A. Rosen, professor of Automotive, Mechanical and Manufacturing Engineering at Ontario Tech University. Rosen has a PubPeer record of papermilling, including with notorious papermill fraudsters Ibrahim Dincer and Afshin Davarpanah. Rosen is also Editor-in-Chief of the MDPI journal Sustainability. He also publishes there himself, stuff like this:

Aldo Alvarez-Risco , Sabina Mlodzianowska , Verónica García-Ibarra , Marc A. Rosen , Shyla Del-Aguila-Arcentales Factors Affecting Green Entrepreneurship Intentions in Business University Students in COVID-19 Pandemic Times: Case of Ecuador Sustainability (2021) doi: 10.3390/su13116447 

Sinodiaptomus valkanovi: “The first sentences of the introduction are densely populated by the first author’s self-citations. This part consists of only generic assertions”

But we we talking about Park in Toronto.

In June 2023, Lori Ferris, Associate Vice-President for Research Oversight and Compliance at University of Toronto, announced to investigate the affair. The engineering professor Bryan Karney was appointed as “administer” on Magazinov’s complaint. The latter then shared additional insight into C. Li citation scams and why those are a clear sign of papermilling. The investigation dragged on for one and a half years, and only concluded in October 2024.

Here is the final report:

In April 2024, Park wrote to Kerney:

Prof Taher Azdast and I are in the process of a correction paper to rectify this. Prof Taher Azdast’s father has passed away 2 months ago and he just came back to his office. We will get back to you once a Corrigendum to this paper is completed.

It is a very long funeral, by the time of writing in October 2024 the correction is still not published. But:

“Having followed up with Professor Park in October of 2024, a copy of the Corrigendum has been obtained and is attached here. This Corrigendum has been accepted for publication in the Journal Thermal Science and Engineering Progress and removes all eleven references in question as well as four additional ones involving other authors.

The original addition of the eleven inappropriate citations associated with this Complaint falls below the standard expected of our faculty, but a further investigation would not enhance the integrity of the process. Since the Corrigendum has been accepted for publication by the journal, I do not recommend that this allegation go to a full investigation.”

And that’s it, case closed with nothing. Kerney (“for over a decade, I have been the
primary instructor of the compulsory “Research Ethics” course taught to all graduate-level research students in the Faculty
“) is firmly convinced that millions of dollars are invested into production of scientific papers for the sole benefit and entertainment of one person, namely the Editor-in-Chief of the journal where the paper is question is published. If that editor is happy, nobody shall ever complain.

With the Holy Corrigendum, the natural order of science is restored. With a text announced in the Toronto report, this Corrigendum was published on 15 October 2024, highlight mine:

“The authors regret the need of a corrigendum with the following changes:

There are more relevant references in some cases and these references need to be modified according to the following table. We guarantee that it does not affect the findings of the paper. All those errors occurred inadvertently, and the correction does not impact the scientific findings reported in the paper.”

15 references were then replaced.

Park continues publishing with Iranians as if there’s no tomorrow. And here a paper of Park’s highly-publishing PhD student, Meysam Salari, flagged by Maarten van Kampen:

Meysam Salari, Sara Mohseni Taromsari , Reza Bagheri, Mohammad Ali Faghihi Sani Improved wear, mechanical, and biological behavior of UHMWPE-HAp-zirconia hybrid nanocomposites with a prospective application in total hip joint replacement Journal of Materials Science (2019) doi: 10.1007/s10853-018-3146-y 

Orchestes quercus: “Fig. 7(c) and (e) should respectively show SEM images of UHZ(6) and UHZ(10). But the panels show the same sample at different magnification.”
Fig. 12(d) should show UHZ(6), Fig. 12(e) UHZ(10). The images shown an area of overlap and hence are of the same sample.”


Key factors for the cure of patients

In France, yet another bad scientist is treated as a national hero, here a three year old announcement in local media from the Dijon region, from 14 October 2021:

“Exceptional medical event in Dijon: the Pink Ribbon Grand Prize for Research was awarded to Carmen Garrido, Director of Exceptional Class Research at INSERM in Dijon. She is also part of the Center Georges-François Leclerc (CGFL) and her work is recognized throughout the world. […]

This Pink Ribbon Research Grand Prize, which this year is worth €200,000, recognizes the excellence of this Dijon researcher. There was unanimity on her name and her work on “heat shock proteins (HSP) for a theranostic approach to breast cancer: from structure to design of drug candidates”. In other words, for ordinary patients, this research would make it possible to increase the effectiveness of anti-cancer drugs by stimulating an anti-tumor immune response and early detection, which are key factors for the cure of patients.”

Lopez-Otin and Kroemer: birds of a feather flock together

Following my reporting, the cancer researcher Carlos López-Otín abandoned his ERC-funded 36-member-strong “Degradome” lab at the University of Oviedo in Spain and moved in with his collaborator in Paris, France, Guido Kroemer. Yet Lopez-Otin’s data integrity issues seem as poppycock compared to what Kroemer and his life partner Laurence Zitvogel dished out to the scientific…

Gosh, thank you Carmen Garrido for curing cancer! 24 fake papers on PubPeer, mostly flagged by Clare Francis and already available in 2021, prove that this €200k Pink Ribbon Grand Prize could never be given to an honest cancer researcher. And will you be surprised that some of these fake Garrido papers have Guido Kroemer as co-author? For example:

Sandeep Gurbuxani , Elise Schmitt , Celine Cande , Arnaud Parcellier , Arlette Hammann , Eric Daugas , Ilektra Kouranti , Chris Spahr , Alena Pance , Guido Kroemer , Carmen Garrido Heat shock protein 70 binding inhibits the nuclear import of apoptosis-inducing factor Oncogene (2003) doi: 10.1038/sj.onc.1206794 

With Kroemer’s Austrian friend Joseph Penninger and, a rare appearance, with Guido’s brother Romano Kroemer:

Elise Schmitt , Arnaud Parcellier, Sandeep Gurbuxani , Celine Cande , Arlette Hammann , Maria Celia Morales , Clayton R Hunt , David J Dix , Romano T Kroemer , Fabrizio Giordanetto , Marja Jäättelä , Josef M Penninger, Alena Pance , Guido Kroemer , Carmen Garrido Chemosensitization by a non-apoptogenic heat shock protein 70-binding apoptosis-inducing factor mutant Cancer Research (2003) 63 (23): 8233–8240

Here she is with Kroemer and her supporter in Dijon, Eric Solary:

Elise Schmitt, Arnaud Parcellier , François Ghiringhelli , Noelia Casares , Sandeep Gurbuxani , Nathalie Droin , Ahmed Hamai , Marie Pequignot , Arlette Hammann , Monique Moutet , Annie Fromentin , Guido Kroemer , Eric Solary , Carmen Garrido Increased immunogenicity of colon cancer cells by selective depletion of cytochrome C Cancer Research (2004) doi: 10.1158/0008-5472.can-03-2475 

Fig 3A

Or this one, flagged in May 2021:

Jean-Marie Bruey , Cécile Ducasse , Philippe Bonniaud , Luigi Ravagnan , Santos A. Susin , Chantal Diaz-Latoud , Sandeep Gurbuxani , André-Patrick Arrigo , Guido Kroemer , Eric Solary , Carmen Garrido Hsp27 negatively regulates cell death by interacting with cytochrome c Nature Cell Biology (2000) doi: 10.1038/35023595 

Back then, Garrido replied on PubPeer:

After retrieving the corresponding bands and zooming them, it is clear that although there is a resemblance between the bands, they are clearly not identical. Please note the top of the higher band and lower band that the shape is quite different. Carmen Garrido

In 2011, Solary then became research director of Kroemer’s Gustave Roussy Institute (and Scientific Director of the Canceropole Ile de France and President of the Scientific Committee of the French foundation for Cancer Research (ARC). In his position, Solary made sure Kroemer never paid the price for his massively fake science. For good reason, after all Solary himself published many bad papers thanks to Garrido:

Carmen Garrido, Jean‐Marie Bruey , Annie Fromentin , Arlette Hammann , André Arrigo , Eric Solary HSP27 inhibits cytochrome c-dependent activation of procaspase-9 The FASEB Journal (1999) doi: 10.1096/fasebj.13.14.2061 

Here are Garrido and Solary with yet another French cheater, Saadi Khochbin. I wrote about his fake science in March 2023 Shorts.

Arnaud Parcellier , Elise Schmitt , Sandeep Gurbuxani , Daphné Seigneurin-Berny , Alena Pance , Aurélie Chantome , Stéphanie Plenchette , Saadi Khochbin, Eric Solary, Carmen Garrido HSP27 is a ubiquitin-binding protein involved in I-kappaBalpha proteasomal degradation Molecular and Cellular Biology (2003) doi: 10.1128/mcb.23.16.5790-5802.2003 

Fig 6A

In October 2024, Khochbin replied on PubPeer to blame Garrido while insisting “I could easily see that the signal intensity and distribution inside the bands are very different (see the uploaded image). It seems, therefore that these bands are not identical.” This was his proof, apparently this works in France:

Same gang, again:

Arnaud Parcellier, Mathilde Brunet , Elise Schmitt , Edwige Col , Céline Didelot , Arlette Hammann , Keiko Nakayama , Keiichi I. Nakayama , Saadi Khochbin, Eric Solary , Carmen Garrido HSP27 favors ubiquitination and proteasomal degradation of p27Kip1 and helps S-phase re-entry in stressed cells The FASEB Journal (2006) doi: 10.1096/fj.05-4184fje 

Fig 1A and 10
Fig 7C
Fig 1D
Fig 1

Garrido stated on PubPeer that FASEB editors disagree:

The answers to the comments for this paper were sent to the editors of the paper that were satisfied with our answers, which included a power point with the magnified figures. They considered the matter closed and that not scientific misconduct was involved. Carmen Garrido

With Solary and Garrido in charge of French cancer research, what can go wrong?

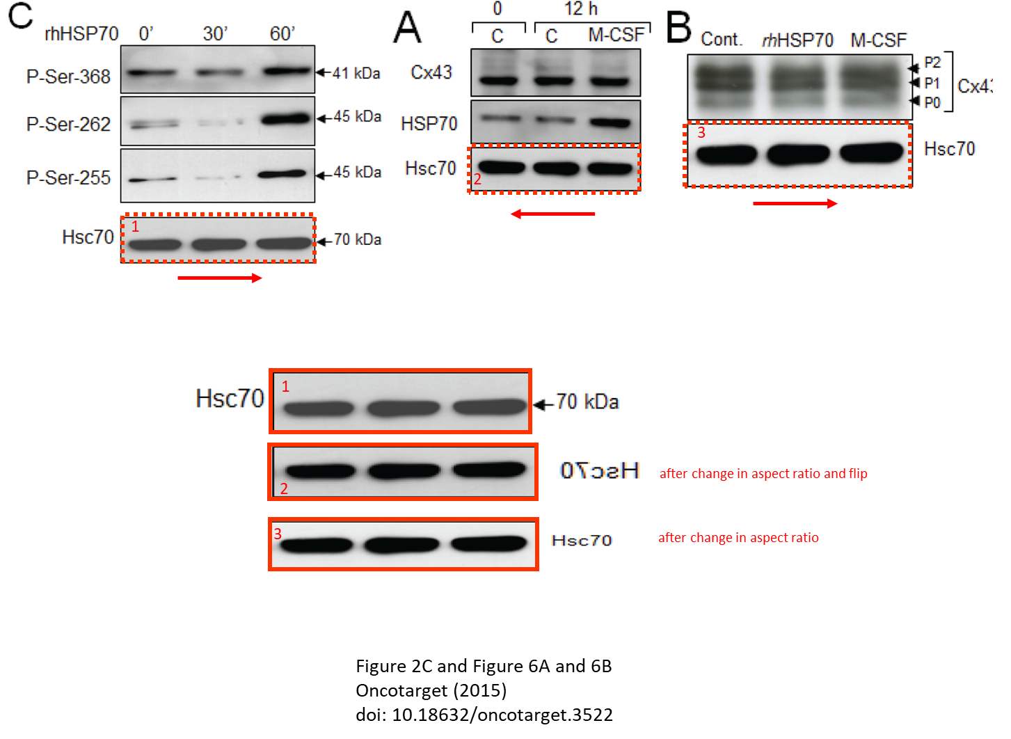
This, in Oncotarget, was corrected.

Dominique Thuringer, Kevin Berthenet, Laurent Cronier, Gaetan Jego, Eric Solary , Carmen Garrido Oncogenic extracellular HSP70 disrupts the gap-junctional coupling between capillary cells Oncotarget (2015) doi: 10.18632/oncotarget.3522 

Correction July 2021: “Due to errors during figure assembly, the ‘calcien’ and ‘phase’ micrograph image panels in Figure 7D are accidental duplicates of the micrograph image panels in row 2, columns 1 and 2, in Figure 6F. The corrected Figure 7, obtained using the original data, is shown below. The authors declare that these corrections do not change the results or conclusions of this paper.”

Unfortunately, Garrido’s and Solary’s correction was fraudulent, as Cheshire found out:

Actinopolyspora biskrensis: “Unfortunately, the “Corrected” Figure 7D may also have an overlapping field of view, this time with images in Figure 7A.”

Then Cheshire and Clare Francis found even more:

Actinopolyspora biskrensis: “It seems as if one Hsc70 band has been used three times to represent different experiments, after horizontal flip and/or change in aspect ratio.”
Reused in:
Dominique Thuringer, Arlette Hammann , Naïma Benikhlef , Eric Fourmaux , André Bouchot , Guillaume Wettstein , Eric Solary , Carmen Garrido Transactivation of the epidermal growth factor receptor by heat shock protein 90 via Toll-like receptor 4 contributes to the migration of glioblastoma cells Journal of Biological Chemistry (2011) doi: 10.1074/jbc.m110.154823 

Reused in:
Dominique Thuringer, Gaetan Jego , Guillaume Wettstein , Olivier Terrier , Laurent Cronier , Nadhir Yousfi , Sophie Hébrard , André Bouchot , Adonis Hazoumé , Anne‐Laure Joly , Martin Gleave , Manuel Rosa-Calatrava , Eric Solary , Carmen Garrido Extracellular HSP27 mediates angiogenesis through Toll‐like receptor 3 The FASEB Journal (2013) doi: 10.1096/fj.12-226977 

And the corrected Figure 7D from that Oncotarget 2015 paper was already used in this Oncotarget paper, and not just that figure:

Dominique Thuringer, Gaetan Jego , Kevin Berthenet , Arlette Hammann , Eric Solary , Carmen Garrido Gap junction-mediated transfer of miR-145-5p from microvascular endothelial cells to colon cancer cells inhibits angiogenesis Oncotarget (2016) doi: 10.18632/oncotarget.8583 

Actinopolyspora biskrensis: “The western blot image in Figure 1E seems to have been previously published by the authors in the same journal.”
Reused in:
Dominique Thuringer , Kevin Berthenet , Laurent Cronier , Eric Solary , Carmen Garrido Primary tumor- and metastasis-derived colon cancer cells differently modulate connexin expression and function in human capillary endothelial cells Oncotarget (2015) doi: 10.18632/oncotarget.4894 

More on PubPeer.


Closer to racism than science

A scandal in UK. The Guardian reported on 17 October 2024:

“Recordings made by the anti-racism campaign group Hope Not Hate show members of a “race science” network discussing UK Biobank data they claimed to have accessed. Some of the group have been blacklisted by the facility on the grounds they are “not bona fide” academics, but the footage suggests they may have circumvented its controls. It shows them saying they obtained a “large” haul of the data. One of their associates acknowledges they are “not meant to have that”.

Founded in 2003 by the Department of Health and medical research charities, UK Biobank holds the genetic information, survey responses, blood samples and medical records of 500,000 volunteers.[…]

The group of race science researchers, which claims to have obtained UK Biobank data, is led by Emil Kirkegaard. A Danish blogger and publisher, he runs the research arm of a secretive network called the Human Diversity Foundation. Kirkegaard is a named author on more than 40 papers published in the journal Mankind Quarterly, a longstanding outlet for race science theories.”

Now, Emil Kirkegaard is a Nazi without much academic training who also used to promote paedophilia. Read about him here:

MDPI and racism

In 2019, MDPI published a Special Issue “Beyond Thirty Years of Research on Race Differences in Cognitive Ability”, one year later its owner Shu-Kun Lin expressed admiration for Trump and said “Black Lives Matter. White Lives Matter. All Lives Matter.”

But I personally don’t believe for a second that Kirkegaard and his Nazi friends hacked UK Biobank from the outside. Rather, I believe they were smuggled in. In fact, this institution used to eagerly invite research progects with a strong stench of eugenics and even racism, for example read about this study by Britain’s greatest research ethics hero Stuart Ritchie and his mentor Ian Deary:

Bah Humbug

Edinburgh psychologists announce in Nature Communications genes for being rich. A Christmas Carol.

Very likely, some of the eugenicists among the British scholars with UK Biobank access who hold sympathies with the worldview of Kirkegaard and his ilk, let them in into the UK Biobank. This expert opinion in Guardian is actually funny:

“The geneticist Adam Rutherford told the Guardian that Mankind Quarterly and similar periodicals were so discredited that it would be “career suicide” for a genuine academic to publish in them. Kirkegaard’s positions appear closer to racism than science”

Yes, I know, Adam Rutherford is officially Britain’s Chief Anti-Racist and Chief Feminist. But I previously wrote about his defence of eugenics research performed by his white British friends using UK Biobank data:

I am not a racist but…

Some geneticists have very unorthodox ideas. These might sound like racism or eugenics to simple folks, but it is really high science. UK Biobank is apparently on board.

I am surely not saying Rutherford let Kirkegaard have access to UK Biobank, or that he knows who did. But it is quite possible that Rutherford might count those who did open UK Biobank’s backdoor for Nazis as his valuable scientific peers, or even friends.

Well. Another Guardian article from 19 October 2024 reports about the eugenics startup Heliospect Genomics:

“Heliospect Genomics, has worked with more than a dozen couples undergoing IVF, according to undercover video footage. The recordings show the company marketing its services at up to $50,000 (£38,000) for clients seeking to test 100 embryos […] The information has emerged from video recordings made by the campaign group Hope Not Hate […] A Heliospect employee, who has been helping the company recruit clients, outlined how couples could rank up to 100 embryos based on “IQ and the other naughty traits that everybody wants”, including sex, height, risk of obesity and risk of mental illness.

The startup says its prediction tools were built using data provided by UK Biobank…”

And now the kicker:

“Heliospect was granted access to UK Biobank data in June 2023.”

The linked proposal was about “Complex traits and diseases, like Type II diabetes, coronary artery disease, and schizophrenia“, it didn’t mention IQ.

“UK Biobank said Heliospect’s use of the data appeared to be “entirely consistent with our access conditions”

Indeed, eugenics is always consistent with UK Biobank’s ToS.


Obituary

A true pioneer

Stanford University mourns the demise of professor Philip G. Zimbardo, “the most prolific and influential psychologists of his generation – a true pioneer of the field of social psychology“, who died on 14 October 2024, aged 91. Here the Stanford obituary:

“Broadly, Zimbardo’s research explored how environments influence behavior. He is most known for his controversial 1971 study, the Stanford Prison Experiment, […] The study, intended to examine the psychological experiences of imprisonment, revealed the shocking extent to which circumstances can alter individual behavior. To this day, it is used as a case study in psychology classes to highlight both the psychology of evil as well as the ethics of doing psychological research with human subjects.

Yet Zimbardo’s research went far beyond the prison experiment. In a career that spanned overfive decades, Zimbardo examined topics including persuasion, attitude change, cognitive dissonance,hypnosis, cults, alienation, shyness, time perspective, altruism, and compassion. “

Problem is, that Zambardo was a fraud and his famous Stanford prison experiment was fraudulent. Vox wrote about it in June 2018, referencing a Medium article by Ben Blum, it was then updated with a 2019 article by Thibault Le Texier in American Psychologist:

“…the guards in the experiment were coached to be cruel. It also shows that the experiment’s most memorable moment — of a prisoner descending into a screaming fit, proclaiming, “I’m burning up inside!” — was the result of the prisoner acting. […]
There’s even more evidence that the “guards” knew the results that Zimbardo wanted to produce, and were trained to meet his goals. It also provides evidence that the conclusions of the experiment were predetermined.”

Bascially, it was all staged by Zambardo. The Stanford obituary mentions:

“In high school, he established a lifelong friendship with fellow classmate Stanley Milgram, who also went on to become a well-known psychologist. “

Milgram’s famous obedience experiments claimed to prove that everyone will electrocute random people on orders from a random person in white coat. That was fraud also, as the science historian Gina Perry found out by studying Milgram’s secret archives.


Scholarly Publishing

A case study of all the red flags

Oxford University’s emeritus professor of psychology Dorothy Bishop published on 16 October 2024 an Open Letter to Springer Nature, which I happen to have co-signed.

It is primarily addressed to Chris Graf, Research Integrity Director at Springer Nature and Chair Elect of the World Conference on Research Integrity (WCRI) Foundation Governing Board:

“It is encouraging to hear that the Springer Nature research integrity group doubled in size in 2023. Nevertheless, we have a growing sense that all is not well concerning the mega journal Scientific Reports. Some of the work that has been published is so seriously flawed that it is not credible that it underwent any meaningful form of peer review. In other cases, when we have reported flawed papers to the editor or integrity team, the response has been inadequate.”

Specifically, this example is named:

Umesh Kumar Lilhore , Surjeet Dalal , Neetu Faujdar , Martin Margala , Prasun Chakrabarti , Tulika Chakrabarti , Sarita Simaiya , Pawan Kumar , Pugazhenthan Thangaraju , Hemasri Velmurugan Hybrid CNN-LSTM model with efficient hyperparameter tuning for prediction of Parkinson’s disease Scientific Reports (2023) doi: 10.1038/s41598-023-41314-y 

The Open Letter explains:

“This article had been flagged up by Guillaume Cabanac as containing numerous “tortured phrases” that are indicative of fraudulent authors attempting to bypass plagiarism checks; the authors were allowed to “correct” the article by merely removing some (not all) of the tortured phrases. This led some of us to look more closely at the article. As is evident from comments on PubPeer, it turned out to be a kind of case study of all the red flags for fraud that we look for. As well as (still uncorrected) tortured phrases, it contained irrelevant content, irrelevant citations, meaningless gibberish, a nonsensical figure, and material recycled from other publications.”

N. H. Wise: “figure 20 of this paper features exactly the same 9 images from the dataset as figure 11 of A Novel Approach Using Learning Algorithm for Parkinson’s Disease Detection with Handwritten Sketches’ (2023), published 8 months earlier. In fact, the neural network developed in this paper achieved exactly the same performance as the earlier paper.” There are no common authors.

The Open Letter provides a list of other egregious cases, and ends with a recommendation for Springer Nature to “Employ a task force of people with the necessary expertise to carry out an urgent audit of all editors of Scientific Reports“, to scrutinise all papers handled by questionable editors, and to “open peer review for all journals” and publishing the names and Orcid-IDs of handling editors for all articles.

A list of Scientific Reports editors with PubPeer records is provided, which includes Macchiarini’s associate Alessandro Gonfiotti, the plagiarists siblings Massimiliano Galdiero and Stefania Galdiero, and the German Max Planck Institute researcher Soni Savai Pullamsetti, read about her here:

Inspector Schermuly Investigates!

Somebody vandalised the “bed-to-bedside” research of the pulmonology professor Ralph Schermuly. His Giessen University appointed the best investigator they had to solve the case!

And then there are outright papermill fraudsters among the editors, like Ghulam Md Ashraf, Ilyas Khan or Karthik Rajendran.

Also on the list is Vittorio Calabrese, an associate of Salvatore Cuzzorea, who is also a Scientific Reports editor.

Cuzzocrea’s Magnificent Fall

“These unscrupulous charlatans in Messina should be fired on the spot tomorrow morning, forced to return twenty years of undeserved wages and sent to work the land” – Aneurus Inconstans

Derek Lowe picked up on Bishop’s Open Letter on his own blog at Science and commented:

“As the letter goes on to note, deploying more AI and automated systems is not going to be enough to fix this problem. Actual humans are going to have to hit some buttons here, and some of those buttons need to be labeled “delete”.”


Retraction Watchdogging

Threats against my physical integrity

Manuel Absede writes again in El Pais about the new developments in the affair of Juan Manuel Corchado, rector of the University of Salamanca. 75 of his papers are baout to be retracted after Springer Natur “initiated an investigation in May after EL PAÍS revealed internal messages indicating that Corchado had requested his employees add citations to his work in their papers to create the illusion that he was among the most cited scientists globally, a practice that had been going on for years.“. He also created 30 sockpuppet accounts on ResearchGate to “author” citation vehicles to himself, “including one paragraph on smart buildings that contained 227 citations to his own work.”

The El Pais article from 17 October 2024:

“Chris Graf, director of scientific integrity at Springer Nature, says that the retraction of the 75 studies is underway. “Our investigations identified various concerns, including, but not limited to, compromised editorial handling, inappropriate or unusual citation behavior, and undisclosed competing interests,” says Graf.

Corchado’s group organized numerous conferences and utilized the related papers — published by Springer Nature — to artificially inflate the number of citations to the rector, even when those references were irrelevant to the subject matter. This newspaper reported in May that, across just 75 publications, Corchado’s collaborators cited him nearly 1,700 times, a tactic that propelled him into international rankings as one of the most cited scientists in his field.”

Previously, the University fo Salamanca appointed Corchado’s friend to investigate him, predictably nothing at all untowards was found, Corchado was declared a victim of media slander. El Pais mentions that “A report commissioned by the Spanish Committee on Research Ethics in September confirmed the “deliberate” and “systematic” manipulation of Corchado’s CV.” And:

“Corchado’s response was a 54-page document titled “In Defense of My Rights,” published on September 30. In this statement, the rector of the University of Salamanca alleges a conspiracy against him involving the Spanish Committee on Research Ethics, EL PAÍS, and the two professors from Granada.”

Corchado announces to sue everyone

It is not clear if Corchado also blames Soros and the Rotschilds. But he delivers the classic “they want to kill me” lie which every narcissistic fraudster brings:

““I have reported threats against my physical integrity received through my personal email, which is linked to my candidacy for rector of the University of Salamanca. These threats, sent from anonymous accounts, contained messages urging me to end my life,” he states. The rector of the University of Salamanca also claims that his identity has been stolen. “All the crimes have been reported to the relevant police and judicial authorities and are currently under investigation, so I cannot provide any further details,” he adds in the document “In Defense of My Rights.””

At the same time, the Rector Magnificus announces to commit even more papermill fraud:

“Corchado dismisses the retraction of 75 studies by his group as “a minor issue.” “We neither agree with nor accept the withdrawal of these articles, which have undergone thorough peer review and contain essential references. Ultimately, the removal of these articles — just a few dozen out of the thousands we have published— represents a minuscule fraction.”

And it is not just Corchado:

“Thanks to these practices, he claimed to be the fourth most cited scientist in Spain in his field. The second most cited researcher was Enrique Herrera Viedma. A study he co-authored with Corchado — where more than 50% of the citations were to the Salamanca professor — was previously retracted. Herrera assumed the role of rector at the University of Granada in September.”

As it happens, Granada’s rector has around 50 papers on PubPeer, flagged for inappropriate citations or for nonsense maths (by Rhipidura albiventris). One of Herrera’s regular coauthors is the papermiller Rubén González Crespo, see his PubPeer record, and read about him here:

Research on Intelligent Trash Can Garbage Classification Scheme

“It’s not as if the Special-Issue Guest Editors or the imaginary ‘Peer Reviewers’ pay attention to the provenance of the images that fill the Figure-shaped gaps, or care whether the supposed alternatives in these horse-races are even algorithms at all.” – Smut Clyde

Spain’s universities are in good, capable, and honest hands.


Unwillingness to be acknowledged

This was published in June 2024 and retracted by Elsevier just recently:

Sobia Naseem , Muhammad Rizwan , Arjumand Iqbal Durrani , Aisha Munawar , Sofia Siddique , Farzana Habib Green and efficient synthesis of cellulose nanocrystals from Hamelia patens leftover via hydrolysis of microwave assisted-ionic liquid (MWAIL) pretreated microcrystalline cellulose International Journal of Biological Macromolecules (2024) doi: 10.1016/j.ijbiomac.2024.132791 

The undated retraction notice went:

“This article has been retracted at the request of the Editor-in-Chief.

The case was brought to the journal’s attention when the corresponding author, Muhammad Rizwan, requested to exclude the acknowledgment for M.E. Aqsa University, Palestine, as they expressed their unwillingness to be acknowledged in the publication (acknowledged without permission). Upon screening, concerns were raised regarding an instance of image duplication in Figure 6, Panel B (IL-80), where a part of the image is duplicated within the same figure. The corresponding author responded to this concern but was unable to provide a satisfactory explanation. Consequently, the Editor-in-Chief have decided to retract the article.”

This Palestinian university have more ethics than many others in the area. Bad luck for Muhammad Rizwan, who as you can imagine is a massive papermill fraudster from Pakistan.

Correction 7.11.2025. As a reader noted, there are several Pakistani cheaters named Muhammad Rizwan on PubPeer, this retraction (Elahi Zaher et al 2022) likely belongs to the character above, while these retractions belong to a different person: Mohiyuddin et al 2022, or this:

Rabia Abid , Celestine Iwendi, Abdul Rehman Javed, Muhammad Rizwan, Zunera Jalil, Joseph Henry Anajemba, Cresantus Biamba An optimised homomorphic CRT-RSA algorithm for secure and efficient communication Personal and Ubiquitous Computing (2023) doi: 10.1007/s00779-021-01607-3 

Guillaume Cabanac: “This Springer article contains several tortured phrases that make some passages hard to parse”

The retraction from 28 August 2023 mentioned “compromised editorial handling and peer review process, inappropriate or irrelevant references or not being in scope of the journal or guest-edited issue“.


National Cecurity Cervice

This was also retracted, by Emerald. Appreciate the topic:

Oleksandr D. Dovhan , Oleksandr M. Yurchenko , Juliana O. Naidon , Oleg S. Peliukh , Nataliia I. Tkachuk , Kamal Gulati Formation of the counter intelligence strategy of Ukraine: national and legal dimension World Journal of Engineering (2022) doi: 10.1108/wje-06-2021-0358 

“The purpose of this study is to develop the Counterintelligence Strategy as a conceptual document in the field of state security of Ukraine, identifying current security threats to Ukraine, which global landscape has been significantly transformed since the adoption of the Law of Ukraine “On Counterintelligence”, is substantiated.”

The first five authors are from “National Academy of Cecurity Cervice of Ukraine” (sic!), the last author is unexpectedly from Amity University in India. Most likely, the text was written by ChatGPT or some other AI.

The retraction was published on 15 October 2024:

“An internal investigation into a series of submissions has uncovered evidence that the peer review process was compromised. As a result of these concerns, the findings of the article cannot be relied upon. This decision has been taken in accordance with Emerald’s publishing ethics and the COPE guidelines on retractions. The authors of this article would like to note that they do not agree with the content of this notice.

The publishers of the journal sincerely apologize to the readers.”

Ukrainian papermills – symptom, not a cause

“Prof. Dr. Svetlana Drobyazko, The European Academy of Sciences Ltd and Scientific Publication Service are a symptom, not a cause, of the current problems in academic publishing. ” – Nick Wise

The presence of the Indian associate professor Kamal Gulati, who has a PubPeer record and four other retractions already, suggests that this scholarly study is not a home-made product of some Ukrainian papermill, but rather one of those typical Indian university sweat-shops where unpaid students are forced to write manuscripts for their professor, in this case, Gulati at Amity University, who then sells authorships, in this case to a group of Ukrainian academics working in “National Cecurity Cervice”.

Here one of Gulati’s retracted papers, debunked on PubPeer by Dorothy Bishop:

Sobia Wassan , Chen Xi, Tian Shen , Kamal Gulati , Kinza Ibraheem , Rana M. Amir Latif Rajpoot The Impact of Online Learning System on Students Affected with Stroke Disease Behavioural Neurology (2022) doi: 10.1155/2022/4847066 

What can I say? This paper , in a special issue on Early Detection of Stroke-Initiated Behavioral Disorder edited by Hong Lin, makes no sense.
Despite random mentions of stroke, insofar as it is about anything, it is about sleep deprivation. Even a cursory read of the abstract makes it clear that this should not have been published in a scientific journal.

Dorothy Bishop

From the 8 August 2023 retraction notice:

“This article has been retracted by Hindawi following an investigation undertaken by the publisher [1]. This investigation has uncovered evidence of one or more of the following indicators of systematic manipulation of the publication process: (1)Discrepancies in scope(2)Discrepancies in the description of the research reported(3)Discrepancies between the availability of data and the research described(4)Inappropriate citations(5)Incoherent, meaningless and/or irrelevant content included in the article(6)Peer-review manipulation…”


Changes made without validation

An Elsevier journal once fuelled by papermills is now leaking retractions.

C. Prabhu , B. Navaneetha Krishnan , T. Prakash , V. Rajasekar , Dhinesh Balasubramanian , Van Vang Le , Nguyen Viet Linh Le , Phuoc Quy Phong Nguyen , Van Nhanh Nguyen Biodiesel unsaturation and the synergic effects of hydrogen sharing rate on the characteristics of a compression ignition engine in dual-fuel mode Fuel (2023) doi: 10.1016/j.fuel.2022.126699 

The citation behavior in this article is unusual. There are 59 of 141 (42%) references with the author Anh Tuan Hoang. The rules for omitting authors in references are inconsistent.”

Parashorea tomentella

Now, Anh Tuan Hoang is a Vietnamese papermiller who used to be the chief editor of Fuel until he was exposed by Alexander Magazinov, read here:

Elsevier chooses Papermills and Patriarchy, Chief Editor resigns

“Among these candidates that you “vetted” were people with no expertise in the field (either 0 or 1 publication), people with longer PubPeer profiles and more retractions than most people have articles on their CVs, and people whose names appear as authors on sold paper sites. ” – Jillian Goldfarb

Now, the recently issued undated retraction (highlights here and below mine):

“Authorship changes were made during the revision of this paper. Two authors were removed at the paper’s first revision stage. Two authors were added at the paper’s first revision stage (Thi Anh Em Bui, Van Nhanh Nguyen). Two authors were added at the paper’s second revision stage (Thanh Hai Truong, Phuoc Quy Phong Nguyen), while one author was subsequently removed at the second revision stage despite having been added at the first revision stage. One additional author was added at the third revision stage (Nguyen Viet Linh Le), while one author was subsequently removed at the third revision stage despite having been added at the second revision stage. These changes were made without validation or authorisation. This breached the journal’s policy on authorship. The Corresponding (and other) Authors responded promptly to requests for clarification on these points, but those explanations did not satisfactorily address the concerns. As such and due to the nature of the irregularities uncovered, the Editor has lost confidence in the validity/integrity and findings of the article and decided to retract the article. The scientific community takes a very strong view on this matter and apologies are offered to readers. The Authors do not agree with the decision to retract the paper and dispute the grounds for it.”

Dear scientists, authorship market is a serious business, and not some kind of oriental bazaar! No haggling!

A similar retraction for thsi paper in the same journal, where Maarten van Kampen previously determined a Hoang-index of 45 (45% of citations in thais paper are to Hoang, “many citations to Hoang that are sometimes ‘hidden’ by moving ‘Hoang’ to the ‘et. al’ part“):

Zafar Said , Duc Trong Nguyen Le , Prabhakar Sharma , Viet Ha Dang , Huu Son Le , Dinh Tuyen Nguyen , Thi Anh Em Bui , Van Giao Nguyen Optimization of combustion, performance, and emission characteristics of a dual-fuel diesel engine powered with microalgae-based biodiesel/diesel blends and oxyhydrogen Fuel (2022) doi: 10.1016/j.fuel.2022.124987 

“Authorship changes were made during the revision of this paper. Two authors were removed at the paper’s first revision stage. Four authors were added at the paper’s first revision stage (Duc Trong Nguyen Le, Viet Ha Dang, Huu Son Le, Thi Anh Em Bui). These changes were made without validation or authorisation. This breached the journal’s policy on authorship. A large number of references linked to one non-author (Anh Tuan Hoang) were added to the manuscript at the first revision without being highlighted as changes to the Manuscript. A number of these references used “et al.” in place of some of the author names, including Anh Tuan Hoang. In addition, acceptance of the article was also wholly based upon the positive advice of two reviewers who were linked with several of the authors; one reviewer with Zafar Said and Prabhakar Sharma and the 2nd reviewer with Zafar Said and Huu Son Le.”

Retraction

And even Hoang’s own papers are not safe anymore. He just earned 3 retractions at a journal where he once was the chief editor.

  1. R. Hussain Vali , Anh Tuan Hoang , M. Marouf Wani , Harveer Singh Pali , Dhinesh Balasubramanian , Müslüm Arıcı , Zafar Said , Xuan Phuong Nguyen Optimization of variable compression ratio diesel engine fueled with Zinc oxide nanoparticles and biodiesel emulsion using response surface methodology Fuel (2022) doi: 10.1016/j.fuel.2022.124290 

“Two authors were removed at the paper’s first revision. The authors Van Tam Bui and Xuan Phuong Nguyen were added at the same stage. One of these added authors was then subsequently removed at the final revision. One additional author (Zafar Said) was also added to the paper at the final revision.”

Retraction October 2024
  1. Krupakaran Radhakrishnan Lawrence , Zuohua Huang , Xuan Phuong Nguyen , Dhinesh Balasubramanian , Vidyasagar Reddy Gangula , Raghurami Reddy Doddipalli , Van Vang Le , Sachuthananthan Bharathy , Anh Tuan Hoang Exploration over combined impacts of modified piston bowl geometry and tert-butyl hydroquinone additive-included biodiesel/diesel blend on diesel engine behaviors Fuel (2022) doi: 10.1016/j.fuel.2022.124206 

“Authorship changes were made during the final (2nd) revision of this paper; one author was removed, and the author Van Vang Le added to the final revised paper without validation or authorisation. […] In addition, acceptance of the article was partly based upon the positive advice of one reviewer who was linked with the handling editor Abdulaziz Atabani and four of the authors (Anh Tuan Hoang, Zuohua Huang, Xuan Phuong Nguyen, Dhinesh Balasubramanian); and also partly based upon the positive advice of a 2nd reviewer who was linked with three of the authors (Anh Tuan Hoang, Zuohua Huang, Xuan Phuong Nguyen). A number of these co-authored papers were under consideration at the same time as this paper was undergoing review for FUEL.”

Retraction October 2024
  1. P.V. Elumalai , Santosh Kumar Dash , M. Parthasarathy , N.R. Dhineshbabu , Dhinesh Balasubramanian , Dao Nam Cao , Thanh Hai Truong , Anh Tuan Le , Anh Tuan Hoang Combustion and emission behaviors of dual-fuel premixed charge compression ignition engine powered with n-pentanol and blend of diesel/waste tire oil included nanoparticles Fuel (2022) doi: 10.1016/j.fuel.2022.124603 

“Authorship changes were made during the revision of this paper. One author was removed at the paper’s revision stage despite having been author on the submission of the paper. Two authors were added at the paper’s revision stage (Thanh Hai Truong and Anh Tuan Le). […] In addition, the review process for this paper was handled by Editor Zuohua Huang, despite a recent record of collaboration, including co-publication, with 2 of the authors (Anh Tuan Hoang and Dhinesh Balasubramanian). A number of these co-authored papers were under consideration at the same time as this paper was being considered for FUEL.”

Retraction October 2024


Independent Researcher, Germany

Retraction in that awful Elsevier journal Science of Total Environment, where even Ashutosh Tiwari publishes (it was just put on hold by Web of Science).

Shahida Anusha Siddiqui, Shreya Singh , Sekobane Daniel Kolobe , Bara Yudhistira , Ali Ahmad, Mabelebele Monnyet The role of black soldier fly in eliminating the putrid odor of organic waste and its product application – A comprehensive review The Science of The Total Environment (2024) doi: 10.1016/j.scitotenv.2024.175956 

Undated recent retraction (highlight mine):

“Post-publication, the editor discovered suspicious changes in authorship between the original submission and the revised version of this paper. In summary Ali Ahmad, who had not been part of the authorship of the original submission, was added as the new and only Corresponding Author. Shahida Anusha Siddiqui remained as part of the authorship, but no longer as sole Corresponding Author. These changes to the revised paper without explanation and without exceptional approval by the journal editor are contrary to the journal policy on changes to authorship. Both authors were contacted for an explanation. Shahida Anusha Siddiqui confirmed that sole corresponding authorship should be bestowed upon Ali Ahmad, but otherwise failed to provide a satisfactory explanation for these changes. Ali Ahmad did not respond. Overall, the editor feels that the findings of the manuscript cannot be relied upon and that the article needs to be retracted.”

Ali Ahmad declares as affiliation University of Duisburg-Essen, Germany. He is a student assistant there, obviously just at a begin of a papermilling career. Shahida Anusha Siddiqui (h-index 34!) obtained MSc degree at University of Duisburg-Essen (see her LinkedIn), currently she is a PhD student at Technical University of Munich, working at the other end of Germany at German Institute for Food Technology (DIL) in Quackenbrück. In 2021, she was in charge of screening thesis applicants there!

In her masses of obviously papermilled publications (54 in 2022, 66 in 2023, currently 54 in 2024) Siddiqui used these two German affiliations: TU Munich and DIL. Most are indeed somehow connected to food technology, but before she established her reliable papermill supplier, Siddiquie had to buy whatever the papermill market offered. So she became an expert in agriculture, and even in nanotechnology and in mathematics and engineering, see examples here, here, here or here.

Even a full-time German PhD student salary can’t buy so many authorships and citations. Siddiquie must have some very rich parents back in Emirates!

I reached out to the German supervisors of Ahmad and Siddiqui. Ahmad’s boss, the University of Duisburg-Essen professor Martina Schnellenbach-Held, refused communication. The PhD thesis advisor of the Siddiqui, TU Munich professor Klaus Menrad wrote to me (translated):

Thanks for pointing out Shahida Anusha Siddiqui’s article. We know about the case and her numerous publications. The TU Munich has already initiated and implemented measures that affect Ms. Siddiqui. For legal reasons I cannot provide any further details. Thank you again for your support in this matter.”

Sergiy Smetana, head of department Food Data Group at DIL, informed me that Siddiqui is employed there until the end of 2024, and that she was ordered not to use the DIL affiliation for her “leisure” activities.

Which is why Siddiqui since September 2024 declares her affiliation as “Independent Researcher, Germany“, see also her recent papers with Ahmad here and here. With a bunch of russians, our Bavaria-based Independent Researcher just published in Scientific Reports some word salad about “Sustainable detergent-disinfectant agent based on whey mineralizate and silver nanoparticles for cleaner production in dairy industry“.


Science Breakthroughs

Coffee or death

Once again, science has proven that coffee prevents death. Science Alert alerted on 14 October 2024:

“A new study has now confirmed a link between caffeine intake and spinal fluid markers for Alzheimer’s disease. […] A team in France looked at data from a prospective study that evaluated patients with mild cognitive impairment or Alzheimer’s between 2010 and 2015.

Their analysis of 263 participants aged over 70 included a baseline clinical evaluation and a detailed survey of consumption of foods and beverages such as coffee, chocolate, tea, and soda to assess the amount of caffeine absorbed by their bodies each day. Volunteers also had MRI scans taken, and provided samples of blood and cerebrospinal fluid (CSF).

Those who consumed an average of just over 200 milligrams of caffeine per day were grouped into a ‘low’ caffeine sample, with those who drank more considered to be higher caffeine consumers. […]

In fact, those in the low-caffeine consumption group were nearly 2.5 times more likely to have a diagnosis of mild cognitive impairment with impaired memory or Alzheimer’s.

A closer look at proteins in the participants’ spinal fluid also revealed significant differences in ratios and concentrations of specific forms of beta-amyloid proteins…”

200 mg caffeine equals 2 cups of coffee or one “energy” drink. Thus, it is not enough to have a cup of coffee in the morning to avoid Alzheimer’s. You must drink at least four cups per day otherwise your brain will rot. Science has spoken. Save your children, make them drink Red Bull NOW!

Here is the paper:

David Blum, Emeline Cailliau, Hélène Béhal, Jean-Sébastien Vidal, Constance Delaby, Luc Buée, Bernadette Allinquant, Audrey Gabelle, Stéphanie Bombois, Sylvain Lehmann, Susanna Schraen-Maschke, n, BALTAZAR study group Association of caffeine consumption with cerebrospinal fluid biomarkers in mild cognitive impairment and Alzheimer’s disease: A BALTAZAR cohort study, Alzheimer’s & Dementia (2024) doi: 10.1002/alz.14169

This silliness is a side product of the French “New Biomarker for Alzheimer’s Disease Diagnostic (BALTAZAR)” clinical trial NCT01315639, it was so revolutionary and groundbreaking that its main results were published in Frontiers (Duron et al 2018).

Lumbar puncture is a very painful and potentially dangerous procedure. But the participants didn’t suffer in vain. A cure for Alzheimer’s was found and it is caffeine.


Being a moderate or heavy drinker

Scientists led by the University of Texas Southwestern professor of psychiatry Sherwood Brown found out that the best way for white people to signal their superior intelligence is to get drunk.

Again, Science Alert from 17 october 2024:

“According to a new study of predominantly White men and women in the US, the higher someone’s IQ score is in their first year of high school, the greater chance they have of regularly drinking alcohol in adulthood […] For women, moderate drinking was defined as 1–29 alcoholic beverages a month, and for men, it was defined as 1–59 beverages. Heavy drinking was considered anything over that.

The study included health, education, and financial information from 6,300 men and women in the state of Wisconsin, who graduated from high school in 1957. […] For every one-point increase in IQ score, researchers found a 1.6 percent increase in being a moderate or heavy drinker as opposed to an abstainer. […]

“While it’s not possible to capture all the underlying mechanisms that mediate the relationship between drinking and IQ, we know that income partially explains the pathway between the two,” says neuroscientist Jayme Palka from UT.”

In fact, 99% of participants were old whites “from Wisconsin, all born around 1939“. You see, when white people drink, that’s because they are that intelligent. This is the paper:

Natalie Druffner , Donald Egan , Swetha Ramamurthy , Justin O’Brien , Allyson Folsom Davis , Jasmine Jack , Diona Symester , Kelston Thomas , Jayme M Palka , Vishal J Thakkar , Edson Sherwood Brown IQ in high school as a predictor of midlife alcohol drinking patterns Alcohol and Alcoholism (2024) doi: 10.1093/alcalc/agae035 

Science Alert also references other studies cited by Druffner et al, which linked higher IQ and higher income to alcoholism, again only in white people. And they specifically write “Previous studies have also linked higher IQ scores to higher household incomes.” The link goes to a 2022 paper by the racist Brian Pesta in MDPI, which is also prominently cited by Druffner et al.

in 2020, I wrote about Pesta’s racist activities in MDPI, obviously he was welcome to continue:

MDPI and racism

In 2019, MDPI published a Special Issue “Beyond Thirty Years of Research on Race Differences in Cognitive Ability”, one year later its owner Shu-Kun Lin expressed admiration for Trump and said “Black Lives Matter. White Lives Matter. All Lives Matter.”

Rational Wiki describes Pesta as “a hereditarianism pseudoscientist, vexatious litigant, self-described “racial realist” and former editor-in-chief of Psych who has written controversial racialist papers for the white supremacist journal Mankind Quarterly.” he was sacked by Cleveland State University for beign a racist who associates with Nazis, in fact he even “admitted to receiving money from the eugenics Pioneer Fund“. Reassuring to know how much the UT Southwestern professor Brown respect Pesta and his views.

Brown is no stranger to racism himself. He once claimed that “African Americans showed less neighbor trust than Caucasians and Hispanics” because of their brain shape (Sadhu et al 2019b). He also checked the effect of “race or ethnicity” on patient’s trust in physicians, failed to find hack a correlation, and settled on individual’s brain shape (Sadhu et al 2019a). In 2017, the Texan psychiatrist claimed that depression was associated with longer telomeres (sic!), but in whites only (Wignall et al 2017).


Donate!

If you are interested to support my work, you can leave here a small tip of $5. Or several of small tips, just increase the amount as you like (2x=€10; 5x=€25). Your generous patronage of my journalism will be most appreciated!

€5.00

24 comments on “Schneider Shorts 25.10.2024 – All those errors occurred inadvertently

  1. PEDIA's avatar

    So sad to understand that the Canadian “U of T” doesn’t pay as much to the a.m. Chul B. Park, as he has decided to chase/trap the Iranian (desperate) researchers in order to make some more illegitimate $(s) out of it?!

    It is worth (but very sad) to mention that the a.m. Marc A. Rosen (the Head of the Cartel) is truly contaminating the “Scientific Community”…

    Like

    • Anonymous's avatar

      Maybe this will sound like a badass comment, but I don’t agree with the “desperate” part. They have been playing this “desperate” card for so long that the largest majority of engineering faculties in Canadian universities are Iranian. They manipulate people’s consciences by saying “we had to flee our beloved country”, and at the same time they continue their fraud of papers and citations with the methods they learned from Iran.

      Iran or any other country… Would someone who flees a country, especially if they are “scientists”, continue to collaborate with the country from which they fled? What an interesting escapist adventure that after fleeing their country, their biggest partners in academic publications are Iranian universities. For some reason, Iranians are only interested in academic positions, while people from different parts of the world flee from certain things and build their lives in other countries and build different jobs in life. It’s a bit too optimistic to call it desperate.

      Moreover, once they get a position, these profiles that were expecting equality and justice suddenly turn into ruthless Iranian nationalists and do everything in their power to get only Iranians into academic positions. Canadian universities have fallen victim to this story long enough. There are no innovative ideas coming out of the engineering faculties of Canadian universities anymore, because the university staffs have been turned into Iranian staffs. Canadian universities are now so Iranianized that even Iranians now see Europe as their new destination.

      As for Marc Rosen… Even though Rosen is not as big a papermiller as Dincer, when it comes to working with Iranian papermiller researchers, you will not find a profile like Marc Rosen in North America or even the world. Just by looking at his GS profile you can see how much he took advantage of being a “white guy” in the Iranian papermill services. The papermiller researchers that he has been feeding have already gone to Iran and formed organizations that provide citation and article services to other Iranian researchers around the world. Yes, Chitsaz is one of them, but there are bigger ones. He has been mentioned many times on this blog.

      Moreover, Rosen is probably not doing all this “humanitarian work” just for citations and articles. In one of the Shorts in July, N.R. stated that he thought Rosen was making serious money. You can find it in the comments.

      In short, yes, there are some people here who are in a desperate situation, but they are not Iranians. It is universities with damaged academic ethics, trust, and institutions, and researchers who are still trying to do decent work in those universities.

      Like

      • Leonid Schneider's avatar

        People in the west don’t understand how totalitarian states like Iran, China or russia work.
        They just assume science is outside of everything and based solely on merit.
        In Iran, you won’t graduate if you are not loyal to the regime. You won’t ever graduate with top grades and allowed to go to the west if you are not an agent for the regime.
        That’s incidentally also how it worked in USSR.
        Those people are the opposite of dissidents no matter what their cover story is.

        Like

      • Anonymous's avatar

        I used to think similarly, but lately I’ve come to think of it as optimism. There is migration to the West from all over the world. And these people are isolated and unfortunately powerless. The latest example is Ukraine, let’s go with Ukraine as an example. A very small percentage of Ukraine’s population fled to the West, but in just 2 years Western countries started to complain “find a new place, we can’t host you anymore”. Some countries are saying “clean the roads and toilets or find another place”. And these people are fleeing the war. This has happened in just two years. This is what happens to people who literally have to leave their countries.

        And then when you see the privilege given to Iranians, I don’t think it’s naive anymore. There must be a reason why Iranians are privileged even from people who are really in a difficult situation and I don’t understand it. Universities, research funding, publishing services… Everything is openly abused and no matter what, these guys’ victim cards don’t expire. When you consider the fact that Iranian universities are not training the best researchers in the world and that Iran is not in a state of war within its own borders, but only threatens surrounding countries with missiles, I don’t see why Iranians should be so privileged. As you said, you can’t even get a bachelor’s degree without the regime approving it.

        Dissent is already being destroyed. Those who agree with the regime can get a degree. This is very obvious. And these guys come and do all the academic abuses they want. They don’t get consequences for it. It’s really hard for me to understand. Or is someone in Western academia still crunching the Aryan in 2000s? Because there is no backlash when this mentality is abusing public funds and slowing down academic progress for their own benefit. But someone who has left their country because of the war can be pressured to join the clean-up jobs “to contribute to society”.

        “Hello, I had to leave my country because of the war. How would you like me to serve society? If I need to clean the streets to put my traumas aside and stay in your country, I’ll do that, that’s fine. Or I could misuse academic funds created with public money? It’s not a lot of money, a few million euros won’t bother anyone. First you give me an academic position. I will give them to my brothers, relatives and friends in turn. And don’t worry about the salary, I will have a high enough citations and h-index to get the research grants from the government, thanks to my service providers in Iran.”

        Like

      • Leonid Schneider's avatar

        The sad truth is: the west really thinks Iranian researchers.are superior. Look gow much they publish and how highly cited they are. Maybe Iranian regime is indeed superior.
        Heck, lets finance global terrorism and torture women to death , maybe that will boost our science performance also.

        Like

  2. exactlydrivenfeacb911d8's avatar
    exactlydrivenfeacb911d8

    I am a doctoral student from China. I subscribed to the author’s blog. I have become a fan of the author. Ha ha.
    I have a question.
    If one day I find that there is something wrong with my published paper.
    I will query the original data.
    And I will try my best to repeat the experiment and correct it as much as possible.
    Is that respect for science?
    I have just entered the field of science.
    I will ensure that my scientific research work is as error free as possible.
    But no scientific research work is perfect.
    Because I can’t guarantee that there will be no problems in the work of my collaborators.
    Thank the authors again for their work.

    Like

    • Leonid Schneider's avatar

      It is important not to collaborate with fraudsters. If you notice bad practices, don’t participate.

      Liked by 2 people

      • exactlydrivenfeacb911d8's avatar
        exactlydrivenfeacb911d8

        Okay, thank you for your answer.

        You possess a high level of professional expertise and ethical standards.
        All researchers should learn from you.
        Maybe I don’t understand slang in English, but I try my best to express my feelings. ha-ha

        I’m ecstatic.

        Wishing you good luck, good health, all the best, and a happy family life.

        I will continue to read your blog and share it with my classmates.

        Liked by 1 person

  3. magazinovalex's avatar
    magazinovalex

    One more retraction for AT Hoang.

    https://doi.org/10.1016/j.fuel.2021.122232

    This is quite something. Because it is also naming-and-shaming Hoang’s predecessor as co-EiC, Z Huang.

    Like

  4. Extranov's avatar

    Having control on a scholarly journal helps a lot for papermill researchers to manage business. For example, UofT Park has been EIC of a small journal Cellular Polymers for many years. Through this Journal, he successfully gathered his citation cartel and papermill collaboration as Editorial Board under one umbrella. With Impact factor of 1.3, it has been serving academic fraudsters safely for many years because the subject and scope of journal not so attractive to researchers, even in engineering and polymer materials subjects. That kind of isolation made a security for that journal, EIC and Editorial Board members to survive all these years. Other researchers named above also benefit a lot from connection to journals.

    Liked by 1 person

  5. Zebedee's avatar

    “Key factors for the cure of patients – Carmen Garrido awarded 3 years ago”

    Expression of Concern for Carmen Garrido.

    https://academic.oup.com/jnci/advance-article/doi/10.1093/jnci/djae308/7917504

    Liked by 1 person

    • Zebedee's avatar

      Another Expression of Concern for Carmen Garrido.

      https://bpspubs.onlinelibrary.wiley.com/doi/10.1111/bph.17430

      Like

    • Zebedee's avatar

      15 January 2025 Expression of Concern for Carmen Garrido.

      https://faseb.onlinelibrary.wiley.com/doi/10.1096/fsb2.70317

      Expression of Concern: A. Parcellier, M. Brunet, E. Schmitt, E. Col, C. Didelot, A. Hammann, K. Nakayama, K. I. Nakayama, S. Khochbin, E. Solary, and C. Garrido, “HSP27 Favors Ubiquitination and Proteasomal Degradation of p27Kip1 and Helps S-Phase Re-Entry in Stressed Cells,” The FASEB Journal 20, no. 8 (2006): 1179–1181, https://doi.org/10.1096/fj.05-4184fje

      This Expression of Concern is for the above article, published online on April 26, 2006 in Wiley Online Library (wileyonlinelibrary.com), and has been published by agreement between the journal Editor-in-Chief, Loren E. Wold; the Federation of American Societies for Experimental Biology; and Wiley Periodicals LLC. This Expression of Concern has been published due to concerns raised by a third party regarding highly similar image sections within Figures 1A, D, E, F, and H, Figures 5A and B, Figure 7C and Figure 10A; a potential duplication between Figure 1A and Figure 10A; and unacknowledged splicings within Figure 2B, and Figures 3A and B. The authors were informed about the concerns, and they were able to provide a satisfactory explanation and partial raw data to the concerns regarding Figures 1A, 2B, 3A, 3B, and 1D. However, without an adequate explanation of the anomaly in the rest of the figures and in the absence of the original raw data, the journal team could not verify the authenticity of these figures and could not exclude that these concerns affect the related conclusions of the article. Therefore, the journal has decided to issue an Expression of Concern to inform and alert the readers.

      Like

      • Leonid Schneider's avatar

        Is it just me or is the new COPE guideline

        If in doubt:
        Expressions of Concern for the whites,
        Retractions for the rest?

        Like

      • Mr Hughes's avatar

        Expressions of concern do not make a sense for various papers. It makes perfectly sense for young papers where problems may be solved with existing and presentable data. For old papers there is a very small chance to remove the doubts by old data which are often discarded. Therefore in this and many other cases if the severity permits, the papers should be retracted to show that misconduct is not tolerated and shitty stuff should not be cited.

        Like

      • Leonid Schneider's avatar

        yes sure, but what if the author is a white professor in the west?

        Like

      • Zebedee's avatar

        08 February 2025 retraction for Carmen Garrido from FASEB J

        RETRACTION: Extracellular HSP27 Mediates Angiogenesis Through Toll‐Like Receptor 3 – 2025 – The FASEB Journal – Wiley Online Library

        RETRACTION: D. Thuringer, G. Jego, G. Wettstein, O. Terrier, L. Cronier, N. Yousfi, S. Hébrard, A. Bouchot, A. Hazoumé, A.-L. Joly, M. Gleave, M. Rosa-Calatrava, E. Solary, and C. Garrido, “Extracellular HSP27 Mediates Angiogenesis Through Toll-Like Receptor 3,” The FASEB Journal 27, no. 10 (2013): 4169-4183, https://doi.org/10.1096/fj.12-226977

        The above article, published online on 26 June 2013 in Wiley Online Library (wileyonlinelibrary.com), has been retracted by agreement between the authors; the journal Editor-in-Chief, Loren E. Wold; the Federation of American Societies for Experimental Biology; and Wiley Periodicals LLC. The retraction has been agreed upon following an investigation into concerns raised by a third party which revealed inappropriate image panel duplications between this (Figure 3A) and another article published previously in a different scientific context. The investigation also revealed that the western blot panels of Figure 4E were later reused in a publication of the same author group, depicting different experimental conditions. Due to the number and the level of errors identified in the published figures, the authors and the editors have lost confidence in the presented data and consider the conclusions substantially compromised.

        Like

      • Leonid Schneider's avatar

        The authors lost confidence?

        Liked by 1 person

      • Zebedee's avatar

        https://www.francebleu.fr/emissions/l-info-d-ici-ici-bourgogne/bourse-ruban-rose-a-la-chercheuse-dijonnaise-carmen-garrido-une-recompense-comme-celle-la-ca-motive-enormement-4256894

        Mardi 21 janvier 2025 à 7:31 – Mis à jour le mardi 21 janvier 2025 à 15:17

        La chercheuse Dijonnaise Carmen Garrido récompensée pour ses recherches contre le cancer du sein, avec la Bourse Ruban Rose. Un prix de 200.000 euros, qui lui a été remis jeudi 17 janvier, à l’Assemblée nationale.

        Like

      • Zebedee's avatar

        08 February retraction from FASEB J is the second retraction for Eric Solary.

        Previous retraction here:

        Retraction Watch Database

        Like

      • Zebedee's avatar

        31 December 2025 Retraction for national heroine, Carmen Garrido:

        PubPeer – Oncogenic extracellular HSP70 disrupts the gap-junctional co…

        Quel rire!

        Like

      • Leonid Schneider's avatar

        Lol, retracted by Oncotarget

        Like

  6. Zebedee's avatar

    10 April 2025 Editorial Expression of Concern for Martin Gleave amongst others.
    https://www.nature.com/articles/s41388-025-03407-y

    Editorial Expression of Concern Published: 10 April 2025 Editorial Expression of Concern: Heat shock protein 27 confers resistance to androgen ablation and chemotherapy in prostate cancer cells through eIF4E C. Andrieu, D. Taieb, V. Baylot, S. Ettinger, P. Soubeyran, A. De-Thonel, C. Nelson, C. Garrido, A. So, L. Fazli, F. Bladou, M. Gleave, J. L. Iovanna & P. Rocchi Oncogene (2025)

    Editorial Expression of Concern to: Oncogene https://doi.org/10.1038/onc.2009.479, published online 18 January 2010

    The Editors-in-Chief would like to alert the readers that concerns have been raised about some of the blots presented in this article. Specifically,

    Fig. 2b anti-4E-BP1 lanes 5 and 6 appear highly similar to Fig. 6b anti-4E-BP1 lanes 4 and 3 (blot flipped horizontally and stretched differently).

    Fig. 6a anti-eIF4E IB lanes 3 and 4 appear highly similar.

    Readers are therefore advised to interpret these results with caution.

    A. So, M. Gleave, and P. Rocchi agree with this Editorial Expression of Concern. The Publisher has not been able to obtain a current email address for S. Ettinger. None of the other authors have responded to any correspondence from the Publisher about this Editorial Expression of Concern.

    Like

  7. Clara's avatar

    Hi, the information in this article is little incorrect. Please see this Muhammad Rizwan is not the one that you are referring as paper-mill. Just names are same but their research are complete different.

    “while providing links to two articles he co-authored together with the paper-miller Mohammad Rizwan (see October 2024 Shorts)” this is a different one. And Same goes here [https://forbetterscience.com/2024/10/25/schneider-shorts-25-10-2024-all-those-errors-occurred-inadvertently/#elsevier1].

    Please double check and correct your other articles about him.

    Thanks!

    Like

Leave a comment