Schneider Shorts of 15 September 2023 – officially innocent scientists in Germany, USA and Sweden, Italian etnobotanist befriends Indian papermill, Harvard to sack first professor, with a successful and a failed biotech, a computer conspiring against editors, and finally, how Nature invented the climate change.
Table of Discontent
Science Elites
- Manipulations in gels will not be objected – German DFG drops investigation of Michael Naumann
- Not considered falsified – US HHS-ORI declared Vanesa Gottifredi and Carol Prives innocent
- Happened by mistake and without intention – Swedish NPOF declares Ulla Stenius et al not guilty of misconduct
- Italian Ethnobotany – Vincenzo De Feo and his Indian papermill friends
- Harvard’s gender bias against women – Harvard plans to sack its first professor, Francesca Gino
Industry Giants
- Science requires the same creativity, inventiveness, and passion that we expect from artists – fraudulent supplements by LifeVantage
- Refined medicinal marijuana – Paul Mainwaring’s Xing biotech imploded
Scholarly Publishing
- Concerns have been raised – in Journal of Energy Storage
- A configuration error – Microprocessors & Microsystems explains retractions
- The Full Truth – Patrick Brown of Climate Change Denial Institute accuses Nature of conspiracy
Science Elites
Manipulations in gels will not be objected
A blast from the past! Years ago, even before For Better Science, and when still writing for a German magazine, I followed up the case of Michael Naumann – not the former German government’s minister of culture, but professor for inner medicine at the University of Magdeburg in Germany. The same university which recruited the toxic trachea transplanters Heike and Thorsten Walles as professors, and bullied journals and publishers into dropping all attempts to retract Walleses’ fraudulent papers despite the fraud findings of their former employer (read here).
Heike Walles guilty of research misconduct
Former star of German regenerative medicine Heike Walles gets slapped with research misconduct and a retraction by her former employer, the University of Würzburg. She and her husband, the Macchiarini-trained surgeon Thorsten Walles, left Würzburg years ago for Magdeburg where nobody minds.
So, Naumann. I never got to publishing his case, and then forgot about it. The evidence was posted on PubPeer 8 to 6 years ago by Clare Francis, who then notified the German Research Council (DFG) in June 2022, because absolutely nothing was happening. Stuff like this:
Michael Naumann, Silja Wessler , Cornelia Bartsch , Björn Wieland , Antonello Covacci , Rainer Haas , Thomas F. Meyer Activation of activator protein 1 and stress response kinases in epithelial cells colonized by Helicobacter pylori encoding the cag pathogenicity island Journal of Biological Chemistry (1999) doi: 10.1074/jbc.274.44.31655

Or this, again with apparently duplicated gel bands:
Eike Hollenbach , Manfred Neumann , Michael Vieth , Albert Roessner , Peter Malfertheiner , Michael Naumann Inhibition of p38 MAP kinase- and RICK/NF-kappaB-signaling suppresses inflammatory bowel disease The FASEB Journal (2004) doi: 10.1096/fj.04-1642fje


Or this, same issue, plus gel splicing:
Dawadschargal Dubiel, Maria Elka Gierisch , Xiaohua Huang , Wolfgang Dubiel , Michael Naumann CAND1-dependent control of cullin 1-RING Ub ligases is essential for adipogenesis Biochimica et Biophysica Acta (2013) doi: 10.1016/j.bbamcr.2013.01.005

The DFG now investigated, and this is their highly confidential report I publish here because neither DFG nor Naumann protested:
Ten papers were investigated, and this is the outcome (highlights mine):
“We ask you to continue to treat the allegations and especially the fact that the DFG is conducting an investigation as confidential.
The Research Integrity Team conducted a preliminary review procedure to assess your allegations and held a hearing with Mr. Naumann regarding the accusation – though without disclosing its origin. Additional investigations were
carried out to enlighten the circumstances of the alleged splicing. […]In autumn 2022, the DFG Committee of Inquiry on Allegations of Scientific Misconduct has held that until the year 2010, undisclosed gel splicing was considered as bad scientific practice within the scientific community, but it could not be classified as sanctionable research misconduct under the DFG Rules of Procedure (“falsification of data”) as it was not vehemently rejected by the community as a whole.
In contrast, due to the changed perception in the scientific community, undisclosed splicing can constitute sanctionable research misconduct since 2011.The entire procedure has now been discontinued considering Mr. Naumann’s statements. At least three of the suspected four figures in publication no. 2 appear to contain undisclosed splicing indeed. However, neither intention nor
gross negligence on the side of Mr. Naumann personally could be established. This is – among other aspects – due to Elsevier’s publicly available policy on image splicing, which states that manipulations in gels will not be objected as
long as they aim at clarifying the scientific results only, and are not intended to deceive readers / the scientific community. We have found that this policy was in force already in 2014. Mr. Naumann plausibly stated that any splicing did not
happen in order to deceive, and that it does not affect the scientific findings and statements of the publication. We have not concluded otherwise.Pursuant to section III item 1 (b) para. 4 VerfOwF, we are notifying you of our decision to discontinue the procedure first.”
Because this one with a digitally slapped-on gel lane is from 2014, it was not included in the investigation to avoid finding what must not be found:
Olga Sokolova , Gunter Maubach , Michael Naumann MEKK3 and TAK1 synergize to activate IKK complex in Helicobacter pylori infection Biochimica et Biophysica Acta (2014) doi: 10.1016/j.bbamcr.2014.01.006

This was exempt form the investigation because “published before or in 2010“. Its raw data was unavailable already in 2016, when it was corrected with “Fig. 10B, C contains spliced lanes. The authors repeated the experiments“
Silja Wessler , Ulf R. Rapp , Bertram Wiedenmann , Thomas F. Meyer , Torsten Schöneberg , Michael Höcker , Michael Naumann B-Raf/Rap1 signaling, but not c-Raf-1/Ras, induces the histidine decarboxylase promoter in Helicobacter pylori infection The FASEB Journal (2002) doi: 10.1096/fj.01-0766fje

This is how DFG decided on the following paper and fudged figure: “Publication no. 8 could not be reviewed in detail as we found that it does not relate to DFG funding.”
Olga Sokolova , Przemyslaw M. Bozko , Michael Naumann Helicobacter pylori suppresses glycogen synthase kinase 3beta to promote beta-catenin activity Journal of Biological Chemistry (2008) doi: 10.1074/jbc.m801818200

Basically, the trick is to investigate only things which can be explained, like faint and deniable gel splicing. Things which can’t be explained are either too old, too new, or too something else. Next time when DFG publicly beats their chest because they sanctioned some nameless small sausage for plagiarism, remember the above and their other cunning decisions:
DFG and Marburg drop misconduct investigation of Roland Lill papers
German Research Foundation (DFG) terminated the investigation against their Senator and Marburg University professor Roland Lill, after having found no research misconduct. No comments are issued on the integrity of the data in his papers on yeast biochemistry, or on some unusual image manipulations which were already admitted by Lill and his former PhD students…
DFG decision: Antonia Joussen innocent victim of co-authors’ data manipulations
“The committee […] requests of you for future publications to assess well ahead and to question critically your responsibility for the contributions of the co-authors, also for your own protection.”
And as for the so-called “University” of Magdeburg in the Nazi-infested state of Sachsen-Anhalt, and in particular their medical school: it is a dump.
Tiwari’s IAAM honours Magdeburg
Ashutosh Tiwari’s scamference activities continue. Now the University of Magdeburg in Germany is very excited about a medal from the International Association of Advanced Materials.
Not considered falsified
New information has arrived and I have to admit, wholeheartedly and shamefully, that the PubPeer-listed papers by Columbia University professor Carol Prives (fellow of several academies) and her mentee Vanesa Gottifredi (now president of the Instituto Leloir in Buenos Aires, Argentina) were never fraudulent. In fact, all those duplicated gel bands were supposed to be duplicated, because this is how science really works. This 5 year old article of mine is evil and is to be from now on only spat and sneezed at:
Carol Prives, innocent victim of Susana Gonzalez’ data manipulations?
Did NAS Member Carol Prives know anything about these suspected manipulations in her lab’s papers? And how will journals act on the evidence?
How do I know where For Better Science went wrong? Dr Gottifredi, star researcher of the National Scientific and Technical Research Council (CONICET), honoured by the Alexander von Humboldt Foundation award, L’Oreal-UNESCO Women in Science Award, Bernardo Houssay Award by Argentina’s Ministry of Science, and Ben Barres Spotlight Award from eLife, now explained to me in two emails:
“I learned about these allegations of falsification during an international investigation solicited by the U.S. HHS Office of Research Integrity. Such investigation took place from December 2021 until June 2022.
After a thorough investigation, the data in the examined papers were not considered falsified, and I was not found at fault. […]
The same decision was reached that there was no scientific misconduct by Dr. Prives.“
For reference of what is not considered falsified, refer to my 2017 article. This cancer research paper in particular is NOT fraudulent:
V. Gottifredi, S.-Y. Shieh, Y. Taya, C. Prives p53 accumulates but is functionally impaired when DNA synthesis is blocked Proceedings of the National Academy of Sciences (2001) doi: 10.1073/pnas.98.3.1036


Here are further examples of reliable, trustworthy and exemplary quality science:
Vanesa Gottifredi , Kristine McKinney , Masha V. Poyurovsky , Carol Prives Decreased p21 levels are required for efficient restart of DNA synthesis after S phase block Journal of Biological Chemistry (2004) doi: 10.1074/jbc.m310373200

A bit more unfalsified science by Professor Prives:
Charles J. Di Como , Christian Gaiddon, Carol Prives p73 function is inhibited by tumor-derived p53 mutants in mammalian cells Molecular and Cellular Biology (1999) doi: 10.1128/mcb.19.2.1438


For fairness, it should be mentioned that the French researcher Christian Gaiddon from Strasbourg has his own impressive PubPeer record, mentioned here (also as Prives collaborator):
The Strasbourg Swamp
You know Voinnet, but now meet other great life scientists of Strasbourg: Drouard, Loeffler, Boutillier, Mr and Mrs Egly, and many others.
These cancer research masterpieces by Dr Gottifredi from her PhD period in Rome were not investigated by HHS-ORI, but I wish to reassure you, on behalf of all Italian academia, that these fabrications are 110% reliable quality science:
V. Gottifredi , A. Peschiaroli , G.M. Fimia , R. Maione p53-independent apoptosis induced by muscle differentiation stimuli in polyomavirus large T-expressing myoblasts Journal of Cell Science (1999) doi: 10.1242/jcs.112.14.2397


Vanesa Gottifredi , Giuliana Pelicci , Eliana Munarriz , Rossella Maione, Pier Giuseppe Pelicci , Paolo Amati Polyomavirus large T antigen induces alterations in cytoplasmic signalling pathways involving Shc activation Journal of Virology (1999) doi: 10.1128/jvi.73.2.1427-1437.1999



Read about Pier-Guiseppe Pelicci (and his sister Giuliana) here:
Pier Paolo and Pier Giuseppe, the titans of IFOM-IEO
Meet two grand cancer researchers from Milan: Pier Paolo Di Fiore and Pier Giuseppe Pelicci. Then decide if you want to give them your tax and charity money.
And finally, this cloned gel is not research fraud:
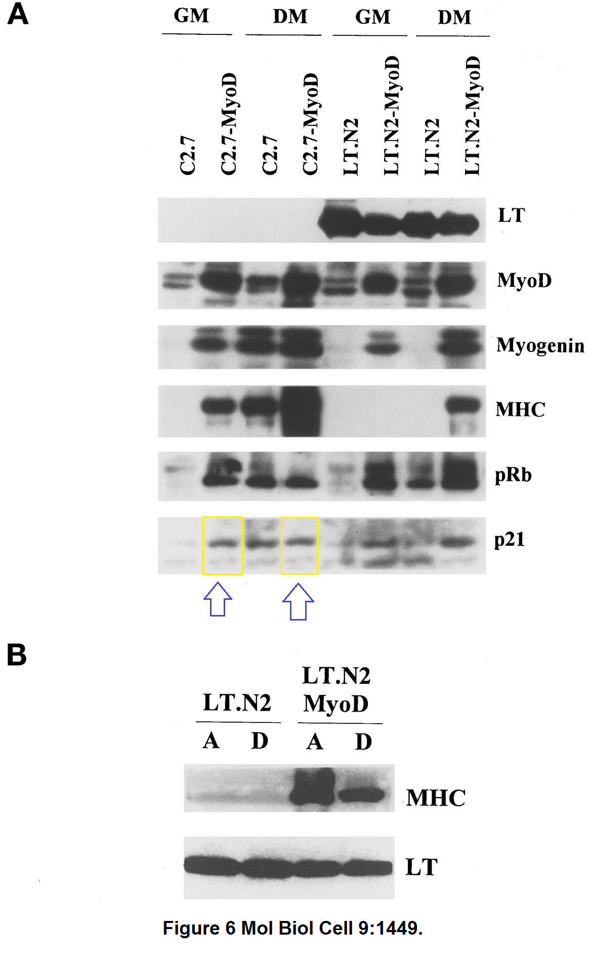
Gian Maria Fimia , Vanesa Gottifredi , Barbara Bellei , Maria Rosaria Ricciardi , Agostino Tafuri , Paolo Amati, Rossella Maione The activity of differentiation factors induces apoptosis in polyomavirus large T-expressing myoblasts Molecular Biology of the Cell (1998) doi: 10.1091/mbc.9.6.1449

For those still unsure how HHS-ORI works: it only finds those guilty whom their academic employers want to be found guilty. Those who need to be whitewashed, like Prives and Gottifredi, get whitewashed.
How USA embraced research fraud: review of two books
A review of “The Baltimore Case” by the historian Daniel Kelves and “Science Fictions” by the journalist John Crewdson, which also tell the history of the Office of Research Integrity (ORI).
As it happens, Prives is the ex-wife of the Stony Brook professor Joav Prives, who in turn then betrothed the NYU Langone Heath Vice-President Dafna Bar-Sagi, who in turn recently almost got a new job for the sacked sexual predator from MIT and mTOR cheater David Sabatini. Science is a village, and they sure do take care of each other.
And Dr Gottifredi? A role model for all the young female researchers in Argentina, celebrated by the government as “one of the most relevant scientists on the national scientific landscape.”
Happened by mistake and without intention
Yet another investigative report, this time from Sweden, on the case of Karolinska Institutet professor Ulla Stenius and her colleagues. The investigation started in 2016:
Mass investigation of 9 senior scientists at Karolinska Institutet
The scandal-shaken Swedish Karolinska Institutet (KI) invited nine of their research group leaders and professors to explain themselves about data integrity concerns raised in regard to their publications. They have time until November 24th 2016 to address of the suspicions of image duplications which were posted on PubPeer by anonymous watchdogs and subsequently reported to…
One paper (Nr 4a in the report) was already retracted and therefore not investigated:
Aram Ghalali , Zhi-wei Ye , Johan Högberg , Ulla Stenius Phosphatase and tensin homolog deleted on chromosome 10 (PTEN) and PH domain and leucine-rich repeat phosphatase cross-talk (PHLPP) in cancer cells and in transforming growth factor β-activated stem cells Journal of Biological Chemistry (2014) doi: 10.1074/jbc.m113.537241

The retraction notice from 2017 mentioned that Figures 1C, 1E and 7B were falsified but that “The authors state that these errors do not affect the interpretation of their data or conclusions of this work.” So Stenius et al simply republished it in a different journal: Ghalali et al Biomed Pharmacother 2020. NPOF decided not to investigate any of that.
Here is the full report by the Swedish Research Misconduct Review Board (NPOF), sent to Clare Francis as original notifier:
“The board’s conclusion is therefore that any falsification in Article 1, 2 and 3 constitutes a serious deviation from good research practice.”
Papers older than 10 years were were excluded from investigation. Like these two:
Maria Malmlöf , Emilie Roudier , Johan Högberg , Ulla Stenius MEK-ERK-mediated phosphorylation of Mdm2 at Ser-166 in hepatocytes. Mdm2 is activated in response to inhibited Akt signaling Journal of Biological Chemistry (2007) doi: 10.1074/jbc.m604953200


The Correction from 2016 informed that “This correction does not affect the results or conclusions of this work.” But no correction here:
Emilie Roudier, Oras Mistafa , Ulla Stenius Statins induce mammalian target of rapamycin (mTOR)-mediated inhibition of Akt signaling and sensitize p53-deficient cells to cytostatic drugs Molecular Cancer Therapeutics (2006) doi: 10.1158/1535-7163.mct-06-0352

These were the papers 1-3 which NPOF found to contain falsifications:
- Rongrong Wu , Johan Högberg , Mikael Adner , Patricia Ramos-Ramírez , Ulla Stenius , Huiyuan Zheng Crystalline silica particles cause rapid NLRP3-dependent mitochondrial depolarization and DNA damage in airway epithelial cells Particle and Fibre Toxicology (2020) doi: 10.1186/s12989-020-00370-2


- Sandeep Kadekar , Ilona Silins , Anna Korhonen , Kristian Dreij , Lauy Al-Anati , Johan Högberg , Ulla Stenius Exocrine pancreatic carcinogenesis and autotaxin expression PLoS ONE (2012) doi: 10.1371/journal.pone.0043209

- Lauy Al-Anati , Matti Viluksela , Anna Strid , Åke Bergman , Patrik L. Andersson , Ulla Stenius , Johan Högberg Hydroxyl metabolite of PCB 180 induces DNA damage signaling and enhances the DNA damaging effect of benzo[a]pyrene Chemico-Biological Interactions (2015) doi: 10.1016/j.cbi.2015.07.002

Especially the duplication in the 3rd paper is nasty. But this is the NPOF verdict (Google-translated):
“The board notes that the researchers gave acceptable explanations for the failure of Western BIot panels published in Figure 3a in Article 1, in Figure 4a in Article 2, and in Figure 3c in Article 3, and that they were able to present the correct images. The board’s assessment is that the incorrect publications in all three articles have happened by mistake and without intention, and that the inaccuracies are to be regarded as oversights or carelessness and constitute
negligence. In light of the fact that these are individual errors, where the the circumstances show that carelessness or inadvertent mistakes have occurred, the board further states that, in an overall assessment, it has not been shown that the notified researchers acted grossly negligently.
Summary of decisions
In summary, the board decides that Mikael Adner, Lauy Al-Anati, Kristian Dreij, Aram Ghalali, Johan Högberg, Sandeep Kadekar, Anna Korhonen, Patricia Ramos-Ramirez, Ilona Silins, Ulla Stenius, Fredrik Wiklund, Rongrong Wu, Zhi-Wei Ye and Huiyuan Zheng are not guilty of research misconduct.”
Italian Ethnobotany
Meet Vincenzo De Feo, not the dead Italian fascist admiral and colonialist, but the living professor of ethnobotany at the University of Salerno in Italy. This elder gentleman (CV here) has acted as WHO’s expert for traditional medicine since 1999
In recent years, Prof De Feo established productive ethnobotanical collaborations with Indian and Pakistani fraudsters, resulting (thanks to Smut Clyde) in this PubPeer record. Some examples:
Tarun K. Dua , Saikat Dewanjee , Ritu Khanra , Swarnalata Joardar , Sujata Barma , Shilpa Das , M. Zia-Ul-Haq , Vincenzo De Feo Cytoprotective and Antioxidant Effects of an Edible Herb, Enhydra fluctuans Lour. (Asteraceae), against Experimentally Induced Lead Acetate Intoxication PLoS ONE (2016) doi: 10.1371/journal.pone.0148757



[right] Fig 11A,B from “Water Spinach, Ipomoea aquatica (Convolvulaceae), Ameliorates Lead Toxicity by Inhibiting Oxidative Stress and Apoptosis” (Dewanjee et al 2015).”


The next study provides a clue who is behind this Indian papermill, namely most likely Saikat Dewanjee, professor at Jadavpur University. It is his email account all other authors except De Feo were assigned.
Tarun K Dua , Saikat Dewanjee, Ritu Khanra, Niloy Bhattacharya, Bhuvan Bhaskar, Muhammad Zia-Ul-Haq , Vincenzo De Feo The effects of two common edible herbs, Ipomoea aquatica and Enhydra fluctuans, on cadmium-induced pathophysiology: a focus on oxidative defence and anti-apoptotic mechanism Journal of Translational Medicine (2015) doi: 10.1186/s12967-015-0598-6





“Clockwise from upper left: Fig 3c from “Carnosic Acid, a Natural Diterpene, Attenuates Arsenic-Induced Hepatotoxicity via Reducing Oxidative Stress, MAPK Activation, and Apoptotic Cell Death Pathway” (Das et al 2018).
Fig 1C from “Carnosic Acid Attenuates Cadmium Induced Nephrotoxicity by Inhibiting Oxidative Stress, Promoting Nrf2/HO-1 Signalling and Impairing TGF-β1/Smad/Collagen IV Signalling” (Das et al 2019). Fig 3e.”


Another regular coauthor, Muhammad Zia-ul-Haq, is also not to be confused with the deceased Pakistani military dictator – he is some alive dude affiliated with the Patent Office in Karachi. Here another one by this team:
Niloy Bhattacharjee , Ritu Khanra , Tarun K. Dua , Susmita Das , Bratati De , M. Zia-Ul-Haq , Vincenzo De Feo , Saikat Dewanjee Sansevieria roxburghiana Schult. & Schult. F. (Family: Asparagaceae) Attenuates Type 2 Diabetes and Its Associated Cardiomyopathy PLoS ONE (2016) doi: 10.1371/journal.pone.0167131





One more, and I will stop, honestly:
Tarun K. Dua , Swarnalata Joardar , Pratik Chakraborty , Shovonlal Bhowmick , Achintya Saha , Vincenzo De Feo, Saikat Dewanjee Myricitrin, a Glycosyloxyflavone in Myrica esculenta Bark Ameliorates Diabetic Nephropathy via Improving Glycemic Status, Reducing Oxidative Stress, and Suppressing Inflammation Molecules (2021) doi: 10.3390/molecules26020258

[below] Fig 12E from “Rosmarinic Acid Attenuates Cadmium-Induced Nephrotoxicity via Inhibition of Oxidative Stress, Apoptosis, Inflammation and Fibrosis” (Joardar et al 2019).”



I think you got the gist of Prof De Feo’s contribution to ethnobotany. He chose not to reply to my emails.
Harvard’s gender bias against women
Harvard University is about to sack a tenured professor, apparently it’s the first time they do it in the last 80 years. Normally, Harvard sacks whistleblowers:
Losing research ethics and mental health in Daley lab
A former Harvard postdoc from the lab of George Q Daley tells his story.
Student newspaper Harvard Crimson reported on 28 August 2023:
“Harvard Business School professor Francesca Gino — who faces allegations of data fraud — was notified on July 28 by Harvard’s Office of the President that the school had begun the process of reviewing her tenure for potential revocation, according to an attorney for Gino. […]
In a series of four posts in June, data investigation blog Data Colada accused Gino of data fraud in four research papers she co-authored. After an HBS investigation committee determined that research misconduct had occurred, Business School Dean Srikant M. Datar placed Gino on unpaid administrative leave, barred her from campus, and revoked her named professorship.
Two of Gino’s papers were retracted following the posts from Data Colada — a third had been retracted in September 2021 — and the fourth is scheduled to be retracted in September 2023.
On Aug. 2, Gino filed a lawsuit against Harvard, Datar, and the three professors behind Data Colada — Uri Simonsohn, Leif D. Nelson, and Joseph P. Simmons — alleging that they conspired to damage her reputation with false allegations. […]
The suit also alleges that “Harvard’s gender bias against women was a motivating factor in HBS’s decision to subject Plaintiff to an onerous investigation and to impose upon her severe penalties,” in violation of federal anti-sex discrimination law Title IX.”
You can read about the fake psychology by Francesca Gino and her colleague at Duke University, the lying wanker Dan Ariely, in earlier Friday Shorts, e.g. here. Any suggestions which other tenured research fraudsters Harvard could sack? I have many, for example:
C Ronald Kahn and The Problem of Irreproducible Bioscience Research
“not everyone in the research community accepts that the problem requires such attention; some believe it is overblown.” -Jeffrey Flier, emeritus dean of Harvard Medical School
Industry Giants
Science requires the same creativity, inventiveness, and passion that we expect from artists
A recent lengthy STAT News article by Lindsay Gellman reports about the supplement company LifeVantage:
“At first glance, LifeVantage, worth some $84 million, looks decidedly mainstream. It boasts plaudits from Nasdaq, has blue-chip investors like Fidelity and BlackRock, and Erin Brockovich, the iconic crusader for corporate accountability, sits on its board of directors. Its products are widely available; a bottle of its main supplement goes for around $56 on Amazon.
But in interviews with LifeVantage distributors, executives, and former scientists, as well as in court filings, documents obtained through records requests, and online material, a pattern emerged in the way the company and its representatives have sought to straddle the mainstream and the fringe.
LifeVantage and some of its distributors promote — and in many cases, distort — scientific evidence to tout the benefits of the products they’re selling. While that might be common among supplement companies, what has experts and some employees uniquely concerned is how LifeVantage has capitalized on conspiracist thinking about Covid-19 and the broader health care system to draw customers and sellers looking to resist mainstream medicine altogether.”
LifeVantage sells worldwide the product named Protandim which they say is an “Nrf2 Synergizer—a patented blend shown by multiple studies to activate your body’s ability to increase antioxidants and defend against damaging oxidative stress.” Cheshire got inspired, and looked into the company’s papers.
Delira Robbins , Xin Gu , Runhua Shi , Jianfeng Liu , Fei Wang , Jacqulyne Ponville , Joe M. McCord, Yunfeng Zhao The Chemopreventive Effects of Protandim: Modulation of p53 Mitochondrial Translocation and Apoptosis during Skin Carcinogenesis PLoS ONE (2010) doi: 10.1371/journal.pone.0011902


The last author Yunfeng Zhao, associate professor at Louisiana State University in USA, replied on PubPeer by posting irrelevant pictures of irrelevant gels. Joe McCord is described by STAT News as “a biochemist credited with inventing the Protandim compound who went on to serve as the company’s lead scientific officer“.
A Here another Protandim paper, a collaboration with Ohio State University:
Binata Joddar , Rashmeet K. Reen , Michael S. Firstenberg , Saradhadevi Varadharaj , Joe M. McCord, Jay L. Zweier , Keith J. Gooch Protandim attenuates intimal hyperplasia in human saphenous veins cultured ex vivo via a catalase-dependent pathway Free Radical Biology and Medicine (2011) doi: 10.1016/j.freeradbiomed.2010.12.008

And this study, done in collaboration with VU Medical Center in Amsterdam, Netherlands, where McCord insisted to have “no conflicts of interest” except having been “previously associated with LifeVantage Corp., the manufacturer of Protandim, but currently has no affiliation with, nor financial interest in the company.” Which is of course hardly credible.
Jamie L Lim, Susanne M A Van Der Pol, Wia Baron, Joe M McCord, Helga E De Vries , Jack Van Horsse Protandim Protects Oligodendrocytes against an Oxidative Insult Antioxidants (2016) doi: 10.3390/antiox5030030

So the preclinical research by LifeVantage is not reliable because possibly fraudulent. And their clinical tests? STAT News writes in this regard:
“A handful of small-scale studies have evaluated Protandim’s effects in humans; by the researchers’ own account, “results were mixed.” A study of 29 adults published in 2005 suggested Protandim reduced measures of oxidative stress after a month, but lacked a placebo group. Another, published in 2016, looked at 38 runners to see whether the supplement improved their performance, or reduced a measure of oxidative stress, over a period of 90 days, and found that it did neither. There is no research demonstrating that reducing oxidative stress can improve health outcomes, though limited studies have linked oxidative stress to a range of health issues.”
Still, the crap sells beautifully.

Refined medicinal marijuana
An Australian biotech startup worth $200 million goes tits up.
ABC reports:
“Curing cancers using genetic sequencing, rapid tests for livestock diseases, a near infallible COVID-19 test, more refined medicinal marijuana — Xing Technologies promised so much.
The Queensland biotech company founded by prominent Brisbane oncologist and researcher Paul Mainwaring, rode a wave of favourable publicity in the late 2010s.
Headlines like “game changer” and “breakthrough” were regularly used to describe the Queensland company’s research involving patents owned by the University of Queensland (UQ).
Offering lab tests to detect genetic alterations in cancer patients’ tumours to enable more specific treatment was just one of Xing’s developing fields of research. […]
Some of Dr Mainwaring’s patients also invested. One was Brisbane greengrocer Sam Coco who attributed his recovery from cancer to Dr Mainwaring.”
The Lancet, UNSW and Khachigian’s cancer cure
A dishonest cancer researcher. A dud cancer drug based on rigged lab data. A clinical trial in The Lancet. A greedy university which finds no misconduct. And a medical journal which tramples over patients.
Mainwaring is still listed as “Non-Executive Director” of the Australian company Promethean BioPharma which sells cannabis. And this is what sped up his Xing’s demise – last year’s misconduct findings by the Australian Health Ombudsman against Mainwaring:
“But less than a year after the company launched, one of Dr Mainwaring’s patients died in controversial circumstances.
The 76-year-old cancer patient was alleged to have suffered fatal side effects from immunotherapy treatment prescribed to him by Dr Mainwaring.
An investigation was undertaken by the Health Ombudsman and late last year the Queensland Civil and Administrative Tribunal (QCAT) found Dr Mainwaring’s actions to have constituted “professional misconduct” in relation to the treatment of the patient. […]
Shortly afterwards the company was put into liquidation.”
No worries. There’s plenty biomedical fraud and patient abuse still going on in Australian universities.
Misinformed and Damaged – victim of unethical trial hits back
“I don’t ask TGA staff to risk their lives at work, only that they don’t risk mine and others’ lives by withholding public health information.” – Robert Cockburn
Scholarly Publishing
Concerns have been raised
Elsevier is concerned, as a brief note from 11 September 2023 states:
Expression of Concern to Recent Advances in Battery Thermal Management Special Issue
Subsequent to the acceptance of these special issue papers by the Guest Editors, concerns have been raised about the integrity and rigor of the peer-review process. The journal is currently investigating the concerns. If deemed necessary following this assessment, readers will be further updated in accordance with Elsevier and Committee on Publication Ethics best practices.
The backstory is in this article:
Maybe stop accepting submissions, Herr Prof Dr Sauer?
Who needs science if you can have a 75 paper strong special edition by Afrand and Karimi? A guest post by Alexander Magazinov.
This is the affected special issue in the Journal of Energy Storage. It took 13.5 months since Alexander Magazinov’s first notification to the Expression of Concern:
Recent Advances in Battery Thermal Management
Edited by
- Nader Karimi
- Mohammad Arjmand
- Cong Qi
- Masoud Afrand
These gentlemen are papermillers who publish massive fraud and run citation scams. Afrand and Karimi have been also kicked off the editorial board of another Elsevier journal, Engineering Analysis with Boundary Elements, (read here), the publisher is still investigating how much damage this gang caused. Arjmand however is a heavyweight, the Canadian government stands fully behind him.
Dr. Mohammad Arjmand showcases his work to German President Steinmeier
“The German President and delegation members also spoke with researchers working on challenges relating to clean energy,…”
A configuration error
Elsewhere, in the journal Microprocessors & Microsystems, Elsevier is mass-retracting Chinese papermilled fraud. But because this is Elsevier, they can’t avoid lying in their retraction notice to avert shame and responsibility.
For backstory: in 2021, Alexander Magazinov and two colleagues published a preprint, which focussed on the business relationship this Elsevier journal developed with papermills:
Guillaume Cabanac, Cyril Labbé, Alexander Magazinov Tortured phrases: A dubious writing style emerging in science. Evidence of critical issues affecting established journals arXiv (2021) doi: 10.48550/arXiv.2107.06751
During their investigation, the authors informed the journal’s Editor-in-Chief Lech Jozwiak, Professor Emeritus at the Eindhoven University of Technology in The Netherlands, who in August 2021 replied to them with a promise “to analyse and solve the problems caused by dishonest guest editors and reviewers“. Neither Jozwiak nor his chief editor colleague Francesco Leporati of University of Pavia, Italy, replied to my email in May 2022. So Smut Clyde‘s article about the Microprocessors & Microsystems papermill fraud had to do without their esteemed input:
A rule-based structure of three pigs
Smut Clyde came to check how the Elsevier journal Microprocessors & Microsystems so far handled its “problems caused by dishonest guest editors and reviewers”.
The retraction notices (officially dated 28 June 2023) are all the same, and here is one representative retracted paper with a particularly stupid title:
Jing Li , Chuanzhen Li , Yanhua Shi Big data medical system and analgesic effect of dezocine in alleviating uterine contractions in pregnant women based on embedded processor Microprocessors and Microsystems (2021) doi: 10.1016/j.micpro.2021.103874

A plagiarised schematic. Source is a Xinlinx discussion thread: “20477 – Spartan-3 Configuration – How do I create a 3.3V-tolerant configuration interface?“
The retraction notice, highlights mine:
“This article has been retracted at the request of the Editor-in-Chief.
Significant similarities were noticed post-publication between this special issue article and other published sources. There is an indication that attempts have been made to disguise the copying using automated paraphrasing. Subsequent to acceptance of these special issue papers by the responsible guest editor, Hameem Shanavas, the integrity and rigor of the peer-review process of the Special Issue were investigated and confirmed to fall beneath the high standards expected by Microprocessors & Microsystems. Due to a configuration error in the editorial system, unfortunately neither the Editor in Chief nor the designated Handling Editors received these papers for approval as per the journal’s standard workflow.”
Lie Nr 1: the new Eugenio Villar (professor at University of Cantabria, Spain) was merely unaware of the goings-on because he was not editor-in-chief of Microprocessors and Microsystems when those papers were published. Jozwiak was. However, to be fair, Elsevier claimed already in several Expressions of Concern issued in 2021:
“Due to a configuration error in the editorial system, unfortunately the Editor in Chief or designated Handling Editor did not receive these papers for approval as per the journal’s standard workflow.”
Elsevier also informed Retraction Watch in July 2021 that it was Jozwiak who uncovered the fraud all by himself:
“In the spring of 2021, the Editor in Chief raised concerns regarding some individual accepted papers in various Special Issues. Elsevier then supported the Editor by initiating a broader investigation“
And here comes Lie Nr 2: “Special Issue Editor-in-Chief” Francesco Leporati is certainly not an innocent bunny, and he still remains in this position (i.e., as Special Issue EiC and innocent bunny). Leporati, Jozwiak and an obscure German in his late 70ies (Karl-Erwin Grosspietsch) used to run the society Euromicro with which Microprocessors and Microsystems used to be listed to be “affiliated”. More likely than not, Leporati knew perfectly well what went on in his Special Issues, that being part of his own Diversity & Inclusion Pledge.
Also, Magazinov noticed:
“Leporati is even a co-guest-editor of MicPro’s “Embedded multi/manycore processors for ml/dl in medical cyber physical systems” “special issue”
This is the Special Issue by Leporati, it is now full of retractions. All maintain that “Due to a configuration error in the editorial system, unfortunately neither the Editor in Chief nor the designated Handling Editors received these papers for approval as per the journal’s standard workflow.“
Bloody computers, eh?
The Full Truth
It is very rare I feel the need to defend Nature, but you may have noticed the reporting by conservative and right-wing media that the climate change is nothing but a huge conspiracy of Nature editors. Basically, those many thousands deaths in Libya, the constantly burning forests all over the world, the droughts and the deadly heatwaves, the floods and the enormous stroms: all nothing but an evil conspiracy by left-wing scientists in order to publish their climate change lies in Nature.
“The New Climate War” by Michael Mann – book review
My review of new book by Michael Mann on how to fight the climate change inactivists.
This is the paper in question:
Patrick T. Brown, Holt Hanley , Ankur Mahesh , Colorado Reed , Scott J. Strenfel , Steven J. Davis , Adam K. Kochanski , Craig B. Clements Climate warming increases extreme daily wildfire growth risk in California Nature (2023) doi: 10.1038/s41586-023-06444-3
CarbonBrief has a long read about what really happened:
“The study, led by US scientist Dr Patrick Brown and published in Nature last week, found that rising global temperatures are increasing the risk of “extreme daily wildfire growth” in California.
However, a mere six days later, Brown penned an article online claiming that the research was only published because he “stuck to a narrative I knew the editors would like” regarding the impacts of climate change.
Right-leaning media in the UK and US amplified his claims that he omitted other key contributors to wildfire risk because it would “dilute” the story that journals “wanted to tell”.
However, other scientists were quick to point out that the study’s reviewers had indeed recommended that these other factors were considered.
In addition, Brown and his co-authors themselves had argued in their response to the peer reviewers that including the other factors was “very difficult” and that was “precisely why” they had chosen to focus on “the much cleaner but more narrow question of what the influence of warming alone”.
In a statement, Nature’s editor-in-chief Dr Magdalena Skipper accused Brown of “poor research practices” that were “not in line with the standards we set for our journal”.”

Brown claimed that he was forced by the journal to drop other causes for forest fires, specifically in how own words: “poor forest management and the increasing number of people who start wildfires either accidentally or purposely.” In fact, peer reviewers wanted the authors to discuss confounding factors “Vegetation type (fuel), ignitions (lightning and people), fire management activities (direct and indirect suppression, prescribed fire, policies such as fire bans and forest closures) and fire load” and “changes in atmospheric humidity“. But the authors rejected those concerns and insisted on “studying the influence of warming in isolation“.
I am no expert, but the disastrous socio-economic situation in Libya is also a big confounding factor to explain the many thousands of flood deaths as compared to Greece, which still doesn’t explain why the Mediterranean storm was so massive in the first place. But antropogenic climate change does explain that.
Fixing science: with climate denial, misogyny and white supremacism?
A conservative think tank organises a research integrity conference to prove climate change is not real. It is a white men-only academic event, and there are good reasons for that.
CarbonBrief mentions this interesting fact:
“Dr Patrick Brown is currently co-director of the climate and energy team at the Breakthrough Institute – a controversial thinktank in California which “promotes technological solutions to environmental and human development challenges”.
Breakthrough Institute was founded in 2007 by Michael Shellenberger, a known climate change denialist and nuclear power shill. Here a crazy conspiracy theory: what if Breakthrough Institute and Brown meant to publish his study as a sting all along, for no other purpose but to go cry conspiracy afterwards? It sure worked, look at the media coverage worldwide.
I thank all my donors for supporting my journalism. You can be one of them!
Make a one-time donation:
I thank all my donors for supporting my journalism. You can be one of them!
Make a monthly donation:
Choose an amount
Or enter a custom amount
Your contribution is appreciated.
Your contribution is appreciated.
DonateDonate monthly


“I learned about these allegations of falsification during an international investigation solicited by the U.S. HHS Office of Research Integrity. Such investigation took place from December 2021 until June 2022.
After a thorough investigation, the data in the examined papers were not considered falsified, and I was not found at fault. […]
The same decision was reached that there was no scientific misconduct by Dr. Prives.”
The Pope is only infallible about spiritual matters, not temporal matters such as science.
The U.S. HHS Office of Research Integrity is not up to much. It needs to take another look. There is compelling evidence.
LikeLike
The Pope? Only infallible about spiritual matters?
He has so many nice friends.
LikeLike
https://en.wikipedia.org/wiki/Papal_infallibility
[Pope] speaks ex cathedra is preserved from the possibility of error on doctrine.
This doctrine, defined dogmatically at the First Vatican Council of 1869–1870 in the document Pastor aeternus, is claimed to have existed in medieval theology and to have been the majority opinion at the time of the Counter-Reformation.[3]
“Any doctrine ‘of faith or morals’ issued by the pope in his capacity as successor to St. Peter, speaking as pastor and teacher of the Church Universal [Ecclesia Catolica], from the seat of his episcopal authority in Rome, and meant to be believed ‘by the universal church,’ has the special status of an ex cathedra statement. Vatican Council I in 1870 declared that any such ex cathedra doctrines have the character of infallibility (session 4, Constitution on the Church 4).”[6]
The limitation on the pope’s infallibility “on other matters” is frequently illustrated by Cardinal James Gibbons’s recounting how the pope mistakenly called him “Jibbons”.[26]
LikeLike
Yes, but does HE know?
LikeLike
“New information has arrived and I have to admit, wholeheartedly and shamefully, that the PubPeer-listed papers by Columbia University professor Carol Prives (fellow of several academies) and her mentee Vanesa Gottifredi (now president of the Instituto Leloir in Buenos Aires, Argentina) were never fraudulent.”
Was there a report on the U.S. HHS Office of Research Integrity investigation?
There does seem to be difficult to explain data.
Most recently, scroll up for earlier comments same paper.
https://pubpeer.com/publications/7F42D5F4ECE5608EB1C50352C90994#9
and
https://pubpeer.com/publications/E8FD23D75B6D72895327FDD6D0506A#6
I am very confused by the partial identity, but not full identity of images.
How does that happen?
LikeLike
HHS-ORI: “We can neither confirm nor deny that our office has any records matching the individual(s) and/or allegations you are referencing.
We are sorry we cannot assist you at this time.”
LikeLike
Vanesa Gottifredi first author 1999 J Cell Sci paper. That is considered a prominent journal.
How to explain the vertical mirroring outside a central strip?
How come dark spots on either side of this central strip appear in the same places?
https://pubpeer.com/publications/7A9E92E4CAEF558F5619152F6F048E#3
LikeLike
Wonders will never cease!
Some more identical image slices in the same paper!
How to explain? There should be a logical explanation.
https://pubpeer.com/publications/7A9E92E4CAEF558F5619152F6F048E#4
Vanesa Gottifredi is one in about twenty!
LikeLike
You heard the news, it’s not fraud!

LikeLike
Dear Dr. Schneider,
I have not committed fraud at any time in my career, and there is no fraud in the paper you have indicated in your email.
As of now, I must follow the research compliance lawyer`s advice and cannot engage with you anymore.
Sincerely,
Vanesa
LikeLike
Second author 1999 J Cell Sci paper, Angelo Peschiaroli, crops up here:
https://pubpeer.com/search?q=Peschiaroli
Another New York connection!
Parallel universe biology.
LikeLike
https://www.leloir.org.ar/el-instituto#somos
https://pubpeer.com/search?q=Gottifredi+
LikeLike
The ‘Climate Emergency’ Is a Hoax!
More than 1,600 scientists, including two Nobel laureates, have signed a declaration saying that “There is no climate emergency.”
Click to access WCD-version-081423.pdf
https://www.gatestoneinstitute.org/19962/climate-emergency-hoax
The information provided above does in no way reflect my personal opinion on the matter. Please take issue with the message, not the messenger. Thank you.
LikeLike
Proves my opinion that the f***ing Nobel Prize must be abolished.
The undersigned:
WCD AMBASSADORS
NOBEL LAUREATE PROFESSOR JOHN F. CLAUSER / USA
NOBEL LAUREATE PROFESSOR IVAR GIAEVER NORWAY/USA
PROFESSOR GUUS BERKHOUT / THE NETHERLANDS
DR. CORNELIS LE PAIR / THE NETHERLANDS
PROFESSOR REYNALD DU BERGER / FRENCH SPEAKING CANADA
BARRY BRILL / NEW ZEALAND
VIV FORBES / AUSTRALIA
DR. PATRICK MOORE / ENGLISH SPEAKING CANADA
JENS MORTON HANSEN / DENMARK
PROFESSOR LÁSZIÓ SZARKA / HUNGARY
PROFESSOR SEOK SOON PARK / SOUTH KOREA
PROFESSOR JAN-ERIK SOLHEIM / NORWAY
STAVROS ALEXANDRIS / GREECE
FERDINAND MEEUS / DUTCH SPEAKING BELGIUM
PROFESSOR RICHARD LINDZEN / USA
HENRI A. MASSON / FRENCH SPEAKING BELGIUM
PROFESSOR INGEMAR NORDIN / SWEDEN
JIM O’BRIEN / REPUBLIC OF IRELAND
PROFESSOR IAN PLIMER / AUSTRALIA
DOUGLAS POLLOCK / CHILE
DR. BLANCA PARGA LANDA / SPAIN
PROFESSOR ALBERTO PRESTININZI / ITALY
PROFESSOR BENOÎT RITTAUD / FRANCE
DR. THIAGO MAIA / BRAZIL
PROFESSOR FRITZ VAHRENHOLT / GERMANY
THE VISCOUNT MONCKTON OF BRENCHLEY / UNITED KINGDOM
DUŠAN BIŽIC´ / CROATIA, BOSNIA AND HERZEGOVINA, SERBIA AND
MONTE NEGR
LikeLike
I also note that the vast majority of signatories are wealthy white men, often old to very old. Basically, those LEAST threatened by the climate change. So yes, there is no emergency FOR THEM.
LikeLike
I looked up who this German “professor” Fritz Vahrenholt is. No, he is not a researcher. He is Mr Coal.

He is the manager of the German fossil fuel giant RWE, possibly the biggest coal power enterprise in Europe.
He is such a toxic climate change denialist that he was even kicked out as president by a wildlife foundation he chaired and sponsored!
https://www.welt.de/politik/deutschland/article204515174/Fritz-Vahrenholt-Kollateralschaden-eines-Rauswurfs.html
In case you wonder why this toxic character was allowed to control the country. He is actually a politician, member of the social democrat party SPD, and former Senator for Environment in Hamburg.
LikeLike
Appearing on this WCD ambassadors list is Viscount Monckton of Brenchley, a rather excellent YouTube series on this was released 12 years ago; if only Monckton had watched it: https://youtu.be/fbW-aHvjOgM?si=z8VGDJPk6VNjH3-H
LikeLike
Cornelis le Pair was born in 1936. See https://www.clepair.net/levensbeschrijving/cv.htm for a CV and backgrounds (in Dutch).
LikeLike
Well…. old age and being paid by ‘fossil energy corporations’ surely helps coming to that conclusion.
LikeLiked by 1 person
Looked up the first Dutch entry: Guus Berkhout. Sure enough: worked for Shell. Nasty creatures, all of them.
LikeLike
They all have their snouts in the fossil fuel troughs Of course also the Nobelists.
https://www.desmog.com/john-f-clauser/
May 5, 2023
The CO2 Coalition reported Clauser had joined their board of directors.12
According to the Coalition’s announcement, Clauser “has criticized the awarding of the 2021 Nobel Prize for work in the development of computer models predicting global warming and told President Biden that he disagreed with his climate policies.”
“Dr. Clauser has developed a climate model that adds a new significant dominant process to existing models,” the announcement claimed.
The announcement notes that “Dr. Clauser’s interest in joining the CO2 Coalition was initiated by CO2 Coalition member Dr. James Enstrom.”
What is the CO2 COALition?
https://www.influencewatch.org/non-profit/the-co2-coalition/
“The CO2 Coalition is a right-of-center advocacy organization that educates policy makers and the general public about the importance of carbon dioxide to our lives and the U.S. economy. […] While the CO2 Coalition does not disclose its donors, tax filings confirm donations from Greater Horizons ($225,000 in 2019), 5 the Mercer Family Foundation ($150,000 in 2016), 6 and the Sarah Scaife Foundation ($150,000 in 2018). 7”
https://www.desmog.com/ivar-giaever/
“Giaever resigned from the American Physical Society when he disagreed with their stance on global warming (which they believe is occurring and is “incontrovertible”). [5]
According to Rensselaer Polytechnic Institute, the University of Oslo, and Google Scholar, Ivar Giaever has not published any work in the area of climate science. ”
” The Climate Intelligence Foundation (CLINTEL) — ambassador. [26]
Heartland Institute — “Global warming Expert.” [22]
Cato Institute — Endorser of Cato Institute’s global warming advertisement. [20]”
LikeLike
See https://en.m.wikipedia.org/wiki/Guus_Berkhout for some backgrounds about Guus Berkhout (born in April 1940).
LikeLike
“Vanesa Gottifredi (now president of the Instituto Leloir in Buenos Aires, Argentina) …”
https://en.wikipedia.org/wiki/Vanesa_Gottifredi
Along with Vanesa Gottifredi at National Scientific and Technical Research Council (CONICET),
a long distance runner with a new sport of energy for the home stretch, Mario D Galigniana.
https://ar.linkedin.com/in/mario-d-galigniana-b6b6269
Pubpeer record:
https://pubpeer.com/search?q=mario+galigniana
and
https://pubpeer.com/publications/00F1DD62C98F030DCA3B7916F98D38
Keep watching this space: https://pubpeer.com/search?q=mario+galigniana
LikeLike
with a new spurt of energy…
LikeLike
Vanesa Gottifredi.
“L’Oreal-UNESCO Women in Science Award”.
Just like Anne Dejean-Assemat.
LikeLike
A long distance runner with a new spurt of energy for the home stretch,
Mario D Galigniana. Could Vanesa Gottifredi have a word with Mario D Galigniana?
Seems like a case of community standards.
Does anybody know how these work? I am confused.
https://pubpeer.com/publications/72943AB30690CA846582B31B20D26D
https://pubpeer.com/publications/58C60B99A889672DE4EC5EA95C77AA
https://pubpeer.com/publications/FA45CB84DB93278EADF63EDC96731E
https://pubpeer.com/publications/A28F2C39E0898EAC4EFE677E2A8B8E
https://pubpeer.com/publications/48191FB4482069E53FAB1E0E0876E4
https://pubpeer.com/publications/11001B97070C275419F1E6BF6F3AD4
https://pubpeer.com/publications/B79C6B1B143052AB3E668DBC6C23EA
LikeLike
Vanesa Gottifredi and Mario D Galigiana could do worse than compare notes with
Martin Monte, Universidad de Buenos Aires, Departamento de Química Biológica.
https://uba.academia.edu/martinmonte
Martin Monte was in Trieste, Italy, then moved to Buenos Aires.
https://pubpeer.com/search?q=martin+monte
Martin Monte and Mario D Galigniana have published together.
https://pubpeer.com/publications/11001B97070C275419F1E6BF6F3AD4
https://pubpeer.com/publications/58C60B99A889672DE4EC5EA95C77AA
LikeLike
https://livedna.net/?dna=54.8348
“Dr. Mario Daniel received number of distinctions include, Elsevier Award in Appreciation of Scientific Excellence, Cherni Foundation Accesit Award, University of Buenos Aires, Young Investigator Award and Travel Awards. He is also member of editorial board.”
What more can you say? The committees that made awards to Mario D Galigniana were, and are, infallible. Also an asset as an editor.
LikeLike
Mario D Galigniana “Guggenheimed” it!
Well done!
Money in the bank!
https://www.gf.org/fellows/mario-d-galigniana/
LikeLike
When in Rome, do as the Romans do.
Vanesa Gottifredi in Rome.
https://pubpeer.com/publications/519F5921BB3192E8ACCAD7F46E1BC0
https://pubpeer.com/publications/7A9E92E4CAEF558F5619152F6F048E
https://pubpeer.com/publications/B357E91AE415B553629F7D3D92EFEF
https://pubpeer.com/publications/B79D94D28A83601F6A626CBBA9F36A
The Romans.
Rossella Maione, Sapienza, Rome..
https://research.uniroma1.it/researcher/a0fa260502198d8a5a2f6d61b3a027fd196b8969fc7bcf20cd8bb474
https://pubpeer.com/search?q=rossella+maione
and
https://pubpeer.com/search?q=r+maione
Paolo Amati, Sapienza, Rome.
https://people.embo.org/profile/paolo-amati
https://pubpeer.com/search?q=paolo+amati
and
https://pubpeer.com/search?q=p+amati
LikeLike
“Vanesa Gottifredi , Giuliana Pelicci , Eliana Munarriz , Rossella Maione, Pier Giuseppe Pelicci , Paolo Amati Polyomavirus large T antigen induces alterations in cytoplasmic signalling pathways involving Shc activation Journal of Virology (1999) doi: 10.1128/jvi.73.2.1427-1437.1999 ”
Nice video, shame about the song!
https://pubpeer.com/publications/519F5921BB3192E8ACCAD7F46E1BC0#11
LikeLike
https://www.clarin.com/sociedad/cientificas-argentinas-lideran-investigaciones-entender-propaga-cancer_0_BkLpoMLaW.html
“…Gottifredi, que se graduó en química en la Universidad Nacional de Salta y se doctoró en biología humana en la Universidad “La Sapienza” de Roma, Italia.”
I wonder if the data from these papers from Rome are part of the Ph.D. thesis.
https://pubpeer.com/publications/7A9E92E4CAEF558F5619152F6F048E
https://pubpeer.com/publications/519F5921BB3192E8ACCAD7F46E1BC0
LikeLike
Another blast from the past. Recent developments.
https://pubpeer.com/publications/B79D94D28A83601F6A626CBBA9F36A#3
LikeLike
Mario D Galigniana. It gets more interesting.
https://pubpeer.com/publications/11001B97070C275419F1E6BF6F3AD4
https://pubpeer.com/publications/06513F245A791B18ACEF2EB894B14C
LikeLike
What are the chances of the Guggenheim Memorial Foundation asking for its money back?
https://www.gf.org/fellows/mario-d-galigniana/
LikeLike
“Papers older than 10 years were were excluded from investigation.” – A career in science might last 50 years. Even some PhDs can take 10 years. A paper can be cited for hundreds of years…
Sometimes when reporting concerns about papers from a few years previous, even when the researchers are still working at the same institution, you get this kind of response, like it’s malicious to dig into the ancient history of 2015 and besmirch someone’s reputation. The past is the past apparently, but I can bet those papers still count towards the H index and aren’t missing from the CV.
LikeLike
Poppycock.
University of Oxford excluded papers for being older than THREE YEARS.
LikeLiked by 1 person
Pingback: Submit What is Hot and Get it Accepted | Periodontology
Mario D. Galigniana works at the same IBYME institute of Patricia V. Elizalde, whom we know already:
LikeLike