Aneurus Inconstans Research integrity University Affairs

Mad School of Brown University

"I have filtered out several hundreds biomedical research articles from Brown containing the words "western blot" in the text, and found out the usual, unavoidable ocean of manipulated data." - Corrado Viotti

Corrado Viotti is one of the most prolific internet sleuths who exposed many major research fraudsters in Europe and the Americas. You probably loved his previous work under an assumed name, but this is his first “outing”, so please give Corrado a warm welcome.

This time, Corrado leads us to another major university in USA, specifically to the Warren Alpert Medical School of Brown University, whose probably most famous researcher is the antivaxxer, internet troll and the most shameless science cheater, Wafik El-Deiry. Corrado will introduce you to his faculty colleagues, cardiovascular researchers like Frank Sellke, but also some nephrologists and orthopaedicians.

I contacted the main characters in this story, but none of them replied. Well, their research papers speak for themselves.


Mad School of Brown University

by Corrado Viotti

The Warren Alpert Medical School of Brown University is one of those places where students drop a 350 grand on an education they could have got for $3.50 in late charges at the public library11). While those hefty fees cover the running costs and staff salaries, the research is funded by multi-million dollar government grants, aka public money. I have filtered out several hundreds biomedical research articles from Brown containing the words “western blot” in the text, and found out the usual, unavoidable ocean of manipulated data. After major cases of data manipulation were found at Stanford, Harvard, Duke, MIT, Yale, etc., yet another top-ranked US institution and Ivy League member got caught with hands in the cookie jar.

Cancer at Duke? Better call Sal!

“I have NEVER faked data. If you wish to carry on what appears to be a vendetta please supply me the name of your lawyer and I will have my lawyer contact him.” – Sal Pizzo, Duke University

Frank Sellke

Please meet Frank Sellke, professor and chief of cardiothoracic surgery at the Warren Alpert Medical School (WAMS) and Lifespan Hospitals, and director of the Lifespan Cardiovascular Institute. Dr Sellke received NIH grants worth $9.5 million over the last decade, and sports over 40 papers on PubPeer with a troubling pattern of troubling data spanning 20+ years. Let’s start with a very recent one, where the same blots describe both ischemic and non-ischemic myocardium conditions:

Brittany A. Potz, Sharif A. Sabe, Laura A. Scrimgeour, Ashraf A. Sabe, Dwight D. Harris, M. Ruhul Abid, Richard T. Clements, Frank W. Sellke* Calpain inhibition decreases oxidative stress via mitochondrial regulation in a swine model of chronic myocardial ischemia Free Radical Biology and Medicine (2023) doi: 10.1016/j.freeradbiomed.2023.09.028

Fig 2

The six duplicated blots (PDH, SDHA, SOD1 and their controls) display different exposure times and were rescaled vertically. In the next one, a similar constellation of authors reused the same western blot for different proteins and conditions:

Laura A Scrimgeour, Brittany A Potz, Ahmad Aboul Gheit, Yuhong Liu, Guangbin Shi, Melissa Pfeiffer, Bonnie J Colantuono, Neel R Sodha, M Ruhul Abid, Frank W Sellke* Intravenous injection of extracellular vesicles to treat chronic myocardial ischemia PLOS One (2020) doi: 10.1371/journal.pone.0238879

The same Western blot describes BCL2 for the swine group EVIV in Figure 3, and VEGF-R1 for the swine control group in Figure 4 (red boxes).

Another one below with Dr Brittany Potz in first position, she is now assistant professor at Penn State. Again the same blot, acquired at different exposure times, describes different things:

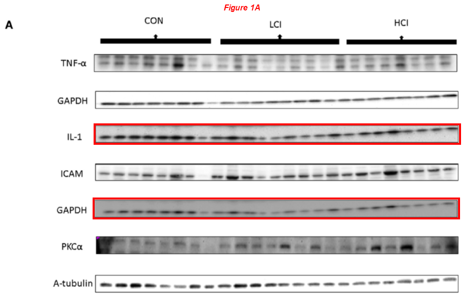
Brittany A. Potz, Ashraf A. Sabe, Nassrene Y. Elmadhun, Sharif A. Sabe, Benedikt J.V. Braun, Richard T. Clements, Anny Usheva, Frank W. Sellke* Calpain inhibition decreases inflammatory protein expression in vessel walls in a model of chronic myocardial ischemia Surgery (2017) doi: 10.1016/j.surg.2016.11.009

Figure 1A: the same blot describes IL-1 and GAPDH (red boxes). The two blots have different exposure time or brightness.

The young authors may change, but the same kind of problems keep cropping up. In the next study, once more the same blot describes both the ischemic and non-ischemic myocardium. Yet, the effect of HEV injection (the key topic of the paper) on angiostatin expression is reported to be significant (P = 0.01) only for the ischemic condition. The blots are also mirrored horizontally:

Dwight D. Harris, Sharif A. Sabe, Mark Broadwin, Christopher Stone, Cynthia Xu, Meghamsh Kanuparthy, Akshay Malhotra, M. Ruhul Abid, Frank W. Sellke* Intramyocardial injection of hypoxia-conditioned extracellular vesicles increases myocardial perfusion in a swine model of chronic coronary disease JTCVS Open (2024) doi: 10.1016/j.xjon.2024.06.003

The same Angiostatin blot has been used in Figure 3 and E1 for ischemic and non-ischemic conditions (see also the different GAPDH controls).

Now let’s go back almost quarter of a century! In this study from 2003, the lower band of p-ERK1/2 was cropped out, mirrored horizontally and presented as p-p38:

Tanveer A Khan, Cesario Bianchi, Eugenio G Araujo, Marc Ruel, Pierre Voisine, Frank W Sellke* Activation of pulmonary mitogen-activated protein kinases during cardiopulmonary bypass Journal of Surgical Research (2003) doi: 10.1016/s0022-4804(03)00236-1

The lower bands of p-ERK1/2 from Figure 2 have been flipped horizontally and used to represent p-p38 in figure 3.

Some of you may be wondering whether Sellke is maybe the victim here, betrayed by young associates seeking fortune and fame, and unaware of all that went on behind his back. The next case may give us some insights. Here we see a rescaled blot representing Tubulin and GAPDH, across papers published three years apart, a kind of forgery one would expect from anywhere but Ivy League universities:

Fig 2B (2018) vs Fig 5A (2015)

This is where it gets interesting. On the issues shown above, Sellke commented at PubPeer with a laconic:

They are not same bands

How it is possible that a thoracic surgeon – who should have excellent eyesight – could fail to recognize the identity of the bands shown above is a mystery I fear could be easily solved.

Jun Feng

The two papers listed immediately above have the same corresponding author. Please meet Jun Feng, long-time Sellke’s associate, former managing director of the department of surgery at the Warren Alpert Med School, who left the harsh climate of New England and moved south to the University of South Florida in 2025. Dr Feng received NIH grants worth $5 million in the last ten years, and sports 23 papers on PubPeer, all with Frank Sellke. Here we have two articles published simultaneously, in the same issue of Circulation, where Sellke is the lead author. At the time twenty years ago, Feng was an eager young mind in Sellke’s group at Harvard University.

The Bax blot of Figure 1 Feng et al. 2005a also appears in Figure 2 of Feng et al. 2005b where it describes Bcl-2 instead (green boxes), and treatments are also different (red and blue boxes).

The same blot describes Bax and Bcl-2 expression under completely different treatments.

In the next one, Feng is again first author and Sellke last. They inform us that “upregulation of COX-2 expression may contribute to bradykinin-induced coronary arteriolar relaxation in diabetic patients undergoing cardiac surgery“. Look at the COX2 blot and at other things:

Jun Feng, Kelsey Anderson, Arun K. Singh, Afshin Ehsan, Hunter Mitchell, Yuhong Liu, Frank W. Sellke* Diabetes Upregulation of Cyclooxygenase 2 Contributes to Altered Coronary Reactivity After Cardiac Surgery The Annals of Thoracic Surgery (2017) doi: 10.1016/j.athoracsur.2016.11.025

Four bands (out of six) of the GAPDH control of Figure 3A also appear rescaled in Figure 3C (red lines), but the first two GAPDH bands are different
Figure 3E: a clear splice is present in the NOX-1 blot (blue arrow), but no splice is visible in the GAPDH control.
Figure 5A: two micrographs are the same image (magenta boxes), just have different horizontal dimensions, but conditions are different.

The next two papers have on board the pharmacology professor at the University of Fribourg, Switzerland, Csaba Szabo, an activist against scientific fraud and contributor at For Better Science.

Dr Szabo found himself entangled in this affair due to an ill-fated collaboration with Sellke that took place 17 years ago. All the experimental work was done in Sellke’s lab. Csaba urged Sellke to take action2, and it actually had an effect, as Sellke began to acknowledge some of the issues on PubPeer.

The first author on both papers is a former collaborator of Sellke, Robert Osipov, now working as surgeon and vein specialist in Arizona. Jun Feng is again on board:

Robert M. Osipov, Michael P. Robich, Jun Feng, Vincent Chan, Richard T. Clements, Ralph J. Deyo, Csaba Szabo, Frank W. Sellke* Effect of hydrogen sulfide on myocardial protection in the setting of cardioplegia and cardiopulmonary bypass☆ Interactive CardioVascular and Thoracic Surgery (2010) doi: 10.1510/icvts.2009.219535

Figure 5B: two of the Total Bad blots (not a pun) do overlap (yellow boxes).
The Vinculin blot of the infusion group in Figure 4d overlaps with the Vinculin blot of the control group in Figure 5d (green boxes).

In the next one, four sets of identical blots describe different proteins and/or conditions in three main figures, some are rescaled:

Robert M Osipov, Michael P Robich, Jun Feng, Yuhong Liu, Richard T Clements, Hilary P Glazer, Neel R Sodha, Csaba Szabo, Cesario Bianchi, Frank W Sellke* Effect of Hydrogen Sulfide in a Porcine Model of Myocardial Ischemia-Reperfusion: Comparison of Different Administration Regimens and Characterization of the Cellular Mechanisms of Protection Journal of Cardiovascular Pharmacology (2009) doi: 10.1097/fjc.0b013e3181b2b72b

Figure 3F: the bolus and infusion eNOS blots are identical (red boxes).
Figure 4E: one lane of p-ERK1/2 is identical to one lane for Total ERK1/2 (yellow boxes). Please note the distinctive light dot to the top-left side (arrows).
The Total Caspase 3 blots for the bolus and infusion groups in Figure 5A are the same blots used for bolus and infusion groups of Cleaved Caspase 3 in Figure 5B (boxes of same color), just rescaled vertically.

There are several regular Sellke’s collaborators on board the article above, namely Brown professors Cesario Bianchi and Neel Sodha, the assistant professor at University of Rhode Island Richard Clements, and finally Michael Robich, now employed at Banner Health in Colorado. Here are two works with Robich as first author:

Michael P Robich, Louis M Chu, Thomas A Burgess, Jun Feng, Cesario Bianchi, Frank W Sellke* Effects of selective cyclooxygenase-2 and nonselective cyclooxygenase inhibition on myocardial function and perfusion Journal of Cardiovascular Pharmacology (2011) doi: 10.1097/fjc.0b013e3182010a96
Fig 4E
Michael P. Robich, Louis M. Chu, Jun Feng, Thomas A. Burgess, Roger J. Laham, Cesario Bianchi, Frank W. Sellke* Effects of selective cyclooxygenase-2 and nonselective cyclooxygenase inhibition on ischemic myocardium The Journal of Thoracic and Cardiovascular Surgery (2010) doi: 10.1016/j.jtcvs.2010.06.057
Fig 7E

Here are two old works with Professor Sodha as lead author. Two micrographs overlap, in both papers the images describe endothelial cell density, but the animals are either treated/not treated with atorvastatin (left) or represent animals diabetic/non-diabetic (right):

Fig 6 Sodha et al 2008 vs Fig 5 Boodhwani et al. 2007

Ruhul Abid

Please meet Ruhul Abid, yet another regular collaborator of Sellke’s, co-author of several papers described above, professor at WAMS and principal investigator at the Cardiovascular Research Center, recipient of $3.3 milion in NIH grants in the last decade. Abid sports 13 papers on PubPeer. In the article below one eNOS blot used to be p-mTOR four years before, Sellke and Feng are on board too:

Fig 2 (2017) vs Fig 5 (2013)

Now two very recent studies by Abid cosigned by Sellke, where blots were reused for different experiments across papers, while others are duplicated. Please also note the individual cropped bands, something that is no longer standard practice for thirty years already:

Cynthia M. Xu, Catherine Karbasiafshar, Rayane Brinck Teixeira, Nagib Ahsan, Giana Blume Corssac, Frank W. Sellke, M. Ruhul Abid* Proteomic Assessment of Hypoxia-Pre-Conditioned Human Bone Marrow Mesenchymal Stem Cell-Derived Extracellular Vesicles Demonstrates Promise in the Treatment of Cardiovascular Disease International Journal of Molecular Sciences (2023) doi: 10.3390/ijms24021674

Figure 1C: upon contrast enhancement it is possible to spot that two HSP70 “blank” blots and three Albumin “blank” blots are identical (boxes of same color).

Here the other postage stamp album, reusing same data:

Cynthia M. Xu, Sharif A. Sabe, Rayane Brinck‐Teixeira, Mohamed Sabra, Frank W. Sellke, M. Ruhul Abid* Visualization of cardiac uptake of bone marrow mesenchymal stem cell‐derived extracellular vesicles after intramyocardial or intravenous injection in murine myocardial infarction Physiological Reports (2023) doi: 10.14814/phy2.15568 

Fig 1C Phys Rep vs Fig 1C IJMS, these are supposed to be different experiments. In fact, the blots of HSP70 and Albumin are different (blue boxes).

Abid was an early adopter. The following one is 22 years old, and Abid is first- and corresponding author. At the time, he was working at the Beth Israel Deaconess Medical Center of Harvard University. Two sets of identical blots describe different proteins, four sets of mRNA controls describe different conditions within this paper and across papers:

Md. Ruhul Abid*, Ivo G. Schoots, Katherine C. Spokes, Sheng-Qian Wu, Christina Mawhinney, William C. Aird Vascular endothelial growth factor-mediated induction of manganese superoxide dismutase occurs through redox-dependent regulation of forkhead and IkappaB/NF-kappaB Journal of Biological Chemistry (2004) doi: 10.1074/jbc.m408285200

The same blot has been reused to describe SOD1 in Figure 3A and Total IκB in Figure 3D (blue boxes).
The same blot has been reused to describe Total IκB in Figure 3B and Nucl-IκB in Figure 5E (magenta boxes).
The same The 28S rRNA control has been used in Figure 1A and 1C, but conditions are different (red boxes).
The same The 28S rRNA control has been used in Figure 1D and 1E, but conditions are different (green boxes).
Fig 2A vs Fig 3B of
Md. Ruhul Abid , Jo C. Tsai , Katherine C. Spokes , Shailesh S. Deshpande , Kaikobad Irani , William C. Aird Vascular endothelial growth factor induces manganese‐superoxide dismutase expression in endothelial cells by a Racl‐regulated NADPH oxidase‐dependent mechanism The FASEB Journal (2001) doi: 10.1096/fj.01-0338fje 
Fig 1C vs Fig 6B of
Md. Ruhul Abid, Shaodong Guo , Takashi Minami , Katherine C. Spokes , Kohjiro Ueki , Carsten Skurk , Kenneth Walsh , William C. Aird Vascular Endothelial Growth Factor Activates PI3K/Akt/Forkhead Signaling in Endothelial Cells Arteriosclerosis, Thrombosis, and Vascular Biology (2004) doi: 10.1161/01.atv.0000110502.10593.06 

Yet another vintage classic for Abid, a quarter of a century old, this time the corresponding author is William Aird, professor of medicine at Harvard Medical School and a practising hematologist at the Beth Israel Deaconess Medical Center. Among other things, please appreciate the all identical flow cytometry plots:

Md. Ruhul Abid, Jo C. Tsai, Katherine C. Spokes, Shailesh S. Deshpande, Kaikobad Irani, William C. Aird* Vascular endothelial growth factor induces manganese‐superoxide dismutase expression in endothelial cells by a Racl‐regulated NADPH oxidase‐dependent mechanism FASEB Journal (2001) doi: 10.1096/fj.01-0338fje

Figure 1: the same actin control has been used for different cell types HCAEC and HPAEC (red boxes).
Figure 5: all three flow cytometry plots are identical,
The same 18S rRNA control has been used in Figure 1A and Figure 2A (blue boxes), but conditions are different.

Another one from William Aird’s lab, Abid is again on board:

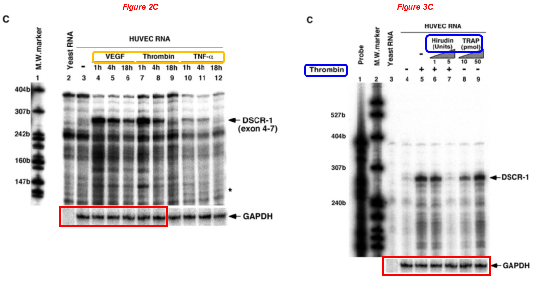
Takashi Minami, Keiko Horiuchi, Mai Miura, Md. Ruhul Abid, Wakako Takabe, Noriko Noguchi, Takahide Kohro, Xijin Ge, Hiroyuki Aburatani, Takao Hamakubo, Tatsuhiko Kodama, William C. Aird* Vascular Endothelial Growth Factor- and Thrombin-induced Termination Factor, Down Syndrome Critical Region-1, Attenuates Endothelial Cell Proliferation and Angiogenesis Journal of Biological Chemistry (2004) doi: 10.1074/jbc.m406454200

Figure 2D: two bands of DSCR-1 exon 1567 have been copied and pasted (yellow boxes)
The same GAPDH control has been used in Figure 2C and 3C (red boxes), but conditions and treatments are different (yellow and blue boxes).

Anny Usheva

Anny Usheva, professor of surgery at WAMS, is the last member of Sellke’s cluster of people that I present you, we have already encountered her in some papers shown above. Dr Usheva is co-recipient with Sellke of an NIH grant worth $5.7 million. She has 8 papers on PubPeer. Here the common problem, a rescaled and mirrored blot represents different experimental conditions:

Martin Lange, Tatsuya Fujikawa, Anna Koulova, Sona Kang, Michael Griffin, Antonio Lassaletta, Anna Erat, Edda Tobiash, Cesario Bianchi, Nassrene Elmadhun, Frank Sellke, Anny Usheva* Arterial territory-specific phosphorylated retinoblastoma protein species and CDK2 promote differences in the vascular smooth muscle cell response to mitogens Cell Cycle (2014) doi: 10.4161/cc.27056

Figure 5B: two blots are the same and mirrored horizontally (red boxes), but treatments are different.
Comparison

Like the paper above, the next one is from the time when Dr Usheva was at Beth Israel Deaconess Medical Center of Harvard, which is the place where also Adid and Sellke used to work before landing at Brown. There seems to be a very special relationship between these institutions.

Boian S. Alexandrov, Vladimir Gelev, Sang Wook Yoo, Ludmil B. Alexandrov, Yayoi Fukuyo, Alan R. Bishop, Kim Ø. Rasmussen, Anny Usheva* DNA dynamics play a role as a basal transcription factor in the positioning and regulation of gene transcription initiation Nucleic Acids Research (2010) doi: 10.1093/nar/gkp1084

Figure 2B

Three sets of lanes are badly duplicated, presumably the reviewers were reviewing while in the shower.

Let’s move away from Sellke & Co and discuss other people at WAMS. Also in their research, you’ll see the issues are just as baffling.

Shougang Zhuang

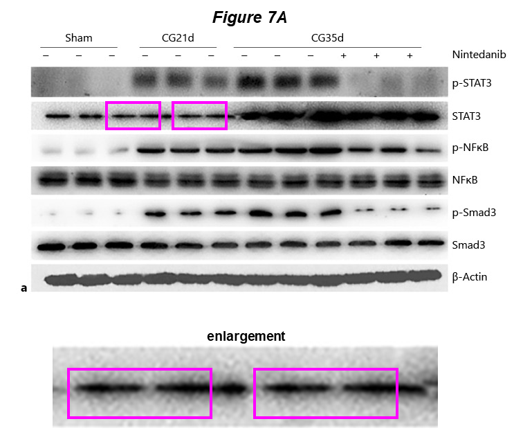
Please meet Shougang Zhuang, professor of medicine at WAMS and director of Kidney Research at Rhode Island Hospital. Dr Zhuang received $2.6 million of NIH grants in the last ten years, and boasts 40 papers on PubPeer. Here is an article about Nintedanib, sold under the brand names Ofev and Vargatef, an oral medication used for the treatment of idiopathic pulmonary fibrosis, which the authors claim has beneficial effects on kidney fibrosis too. Blots describe different proteins across figures, and some others are patchworks of copied & pasted bands. Look at this joke:

Feng Liu, Li Wang, Hualin Qi, Jun Wang, Yi Wang, Wei Jiang, Liuqing Xu, Na Liu, Shougang Zhuang* Nintedanib, a triple tyrosine kinase inhibitor, attenuates renal fibrosis in chronic kidney disease Clinical Science (2017) doi: 10.1042/cs20170134

The same blot describes p-FGFR1 in Figure 4A and p-NFκB in Figure 6A (blue boxes).
The same blot describes actin in Figure 2A and NFκB in Figure 10A (red boxes). The two blots have different brightness/contrast or exposure time
Two sets of bands in the p-Smad3 blot appear identical (boxes of same color).
Some bands of the Src and p-Lck blots seem to be duplicated (boxes of same color)

Again a paper about Nintedanib for treating kidney fibrosis, reusing same gel bands:

Binbin Cui, Chao Yu, Shenglei Zhang, Xiying Hou, Yi Wang, Jun Wang, Shougang Zhuang, Feng Liu* Delayed Administration of Nintedanib Ameliorates Fibrosis Progression in CG-Induced Peritoneal Fibrosis Mouse Model Kidney Diseases (2022) doi: 10.1159/000523852

The Smad3 blot of Figure 7A was used a year before in Figure 5A of Liu et al. 2021 J.Cell.Mol.Med (red boxes), but the conditions are different (yellow and blue boxes).
Figure 7A: two sets of bands in the STAT3 blot are much more similar that expexted (magenta boxes). The enlargement below shows that one of the bands has been modified to the right side

Here two papers published months apart, where the same blot describes SMYD2 and MMP-2. One of the papers focuses on the role of SMYD2 in kidney fibrosis, the other one describes the benefits of simultaneous treatment with Nintedanib and Gefitinib in a murine model:

Fig 1A (2021) vs Fig 2c (2020)

I’ll present you just one more paper by Shougang Zhuang, a scientific atrocity published in Oncotarget, a journal that will allow me to introduce another incredible character from WAMS in the next chapter. Look at these forgeries from an Ivy League university, and follow the PubPeer link to see much, much more:

Jun Wang, Li Wang, Liuqing Xu, Yingfeng Shi, Feng Liu, Hualin Qi, Na Liu, Shougang Zhuang* Targeting Src attenuates peritoneal fibrosis and inhibits the epithelial to mesenchymal transition Oncotarget (2017) doi: 10.18632/oncotarget.20040

Eight Scr bands look identical in Figure 1A (red boxes).
A myriad of bands in Figure 4A have been copied and pasted (boxes and arrows of same color).
Several bands of the GAPDH control in Figure 8A have been copied & pasted (boxes of same color).
Several α-SMA bands in Figure 3A have been copied & pasted (boxes of same color)
Lots of bands in Figure 7A have been copied & pasted (boxes of same color).
Several bands of the GAPDH control in Figure 6A have been copied & pasted (boxes of same color).

As I mentioned, there are 40 such papers on PubPeer for Shougang Zhuang, and I can’t show them all here. So, let’s continue with the Editor-in-Chief of Oncotarget, who incidentally also works at WAMS.

Wafik El-Deiry

Here we finally reach with the legendary Wafik El-Deiry, a man whom regular For Better Science readers know for the truckload of questionable data he published across 30 years, and notorious for his support of the worst of antivaxxers and his wild and bizarre outbursts on social media. El-Deiry sports 94 papers tagged on PubPeer and 1 retraction as of today, yet he received NIH grants worth $4 million in the last decade.

El-Deiry even used to be Trump’s candidate to lead the National Cancer Institute (NCI), because he claimed COVID-19 vaccines would cause cancer. Luckily for American people, his candidacy for that position never materialized, at least so far. More insights about El-Deiry can be gathered from the article below, and also in June 2025 Shorts and January 2026 Shorts.

El-Deiry is most certainly one of the people behind the notorious Science Guardians website, run by a gang of individuals who call the sleuths “The PubPeer Mob” and whine about the “weaponization of post peer-review”, whatever that means. Here are some examples of El-Deiry’s science, in a predatory journal from e-Century:

Cassandra S Parker, Lanlan Zhou, Varun V Prabhu, Seulki Lee, Thomas J Miner, Eric A Ross, Wafik S El-Deiry* ONC201/TIC10 plus TLY012 anti-cancer effects via apoptosis inhibitor downregulation, stimulation of integrated stress response and death receptor DR5 in gastric adenocarcinoma American Journal of Cancer Research (2023) pubmed: 38187068

Two blots have been re-used across Figure 3 and Figure 7 (green and red boxes), while they are supposed to show PARP 116 and PARP 118 expression, respectively (yellow boxes), upon different treatments.

In the last weeks the American Association for Cancer Research (AACR) have issued four Expressions of Concern for El-Deiry‘s fake papers (read March 2026 Shorts), which triggered Wafik’s rage on social media. He asked the NIH, the Department of Health & Human Services and even the White House to investigate AACR and the “weaponization of post peer-review platforms such as PubPeer“.

“Perhaps AACR’s conflicts should be investigated”

Incredible. Truth is, the only person who should be investigated is El-Dery himself. Look at other two examples of Dr El-Deiry’s genius, flagged by Elisabeth Bik:

Amriti R. Lulla, Michael J. Slifker, Yan Zhou, Avital Lev, Margret B. Einarson, David T. Dicker, Wafik S. El-Deiry* miR-6883 Family miRNAs Target CDK4/6 to Induce G Phase Cell-Cycle Arrest in Colon Cancer Cells Cancer Research (2017) doi: 10.1158/0008-5472.can-17-1767 

Elisabeth Bik: “Concerns about Figures 5 and 7. Boxes of the same color highlight blots that look remarkably similar, although they differ in their treatment (Irinotecan vs. 5-FU) or cell line (HCT-116 vs. RKO).”

Just two authors on this paper:

Zhaoyu Jin , Wafik S. El-Deiry* Distinct signaling pathways in TRAIL- versus tumor necrosis factor-induced apoptosis Molecular and Cellular Biology (2006) doi: 10.1128/mcb.00257-06 

Elisabeth Bik: “Summarizing all Figure 1 concerns raised above and adding some new ones (shown with cyan boxes):”

There are 90 such papers on PubPeer for El-Deiry, you decide who should be investigated.

Ting C. Zhao

Please meet surgery professor at WAMS Ting C. Zhao, recipient of NIH grants worth $3 million in the last ten years, who sports 20 papers flagged on PubPeer, the vast majority in collaboration with Shougang Zhuang, encountered above. Dr Zhao’s medical specialty is cardiology, his lab focuses on the molecular mechanisms and translational implications of cardiovascular pathology, metabolic disorders, and tissue repair.

In the paper below from Zhao’s lab, overlapping CLSM micrographs describe different samples, and echocardiographic pictures were reused from Zhao’s earlier works where they describe completely different conditions. Shougang Zhuang is also on board:

Jianfeng Du, Ling Zhang, Zhengke Wang, Naohiro Yano, Yu Tina Zhao, Lei Wei, Patrycja Dubielecka-Szczerba, Paul Y. Liu, Shougang Zhuang, Gangjian Qin, Ting C. Zhao* Exendin-4 induces myocardial protection through MKK3 and Akt-1 in infarcted hearts AJP Cell Physiology (2016) doi: 10.1152/ajpcell.00194.2015 

Figure 5A: two micrographs overlap (yellow boxes), but genotypes and treatments are supposed to be different. Please also see comparison to the right side. The overlapping areas have slightly different fluorescence intensities because the focal depth wasn’t 100% the same.
The WT Sham echocardiographic image of Figure 4E also appears in Figure 2e of
Youfang Chen, Jianfeng Du, Yu Tina Zhao, Ling Zhang, Guorong Lv, Shougang Zhuang, Gangjian Qin, Ting C Zhao Histone deacetylase (HDAC) inhibition improves myocardial function and prevents cardiac remodeling in diabetic mice Cardiovascular Diabetology (2015) doi: 10.1186/s12933-015-0262-8
An echocardiographic image of Figure 4E also appears in Figure 2e of :
Yu Tina Zhao , Jianfeng Du , Youfang Chen , Yaoliang Tang , Gangjian Qin , Guorong Lv , Shougang Zhuang , Ting C. Zhao Inhibition of Oct 3/4 mitigates the cardiac progenitor-derived myocardial repair in infarcted myocardium Stem Cell Research & Therapy (2015) doi: 10.1186/s13287-015-0252-5 

In the next article, Zhao is listed last among the authors, but the lead is Naohiro Yano, a guy currently employed as research associate at the Providence VA Medical Center. This paper has on board also Y. Eugene Chin, who worked for twelve years at Brown University but is now back in China. Eugene Chin has 30 papers on PubPeer and 2 retractions as of today, the latest materialized a few weeks ago. Look at this Yano-Chin-Zhao production:

Naohiro Yano*, Ling Zhang, Dennis Wei, Patrycja M. Dubielecka, Lei Wei, Shougang Zhuang, Ping Zhu, Gangjian Qin, Paul Y. Liu, Y. Eugene Chin, Ting C. Zhao Irisin counteracts high glucose and fatty acid-induced cytotoxicity by preserving the AMPK-insulin receptor signaling axis in C2C12 myoblasts American journal of physiology. Endocrinology and metabolism (2020) doi: 10.1152/ajpendo.00219.2019

Fig 3D, micrographs describing conditions LG and HG+Ins overlap.

Here are two in-house collaborations between Ting Zhao and Patrycja Dubielecka-Szczerba, associate professor of medicine at WAMS and director of translational hematology at the Rhode Island Hospital, who in turn is on board in the paper above:

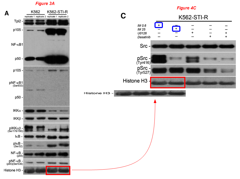
Anna Chorzalska , Nagib Ahsan , R. Shyama Prasad Rao, Karim Roder, Xiaoqing Yu , John Morgan , Alexander Tepper , Steven Hines , Peng Zhang , Diana O. Treaba, Ting C. Zhao, Adam J. Olszewski , John L. Reagan , Olin Liang , Philip A. Gruppuso, Patrycja M. Dubielecka Overexpression of Tpl2 is linked to imatinib resistance and activation of MEK‐ERK and NF‐κB pathways in a model of chronic myeloid leukemia Molecular Oncology (2018) doi: 10.1002/1878-0261.12186
Figure 3A and Figure 4C
Anna Chorzalska , Javier Flores Kim , Karim Roder , Alexander Tepper , Nagib Ahsan , R. Shyama Prasad Rao , Adam J. Olszewski , Xiaoqing Yu , Dmitry Terentyev , John Morgan , Diana O. Treaba , Ting C. Zhao, Olin Liang , Philip A. Gruppuso , Patrycja M. Dubielecka Long-Term Exposure to Imatinib Mesylate Downregulates Hippo Pathway and Activates YAP in a Model of Chronic Myelogenous Leukemia Stem Cells and Development (2017) doi: 10.1089/scd.2016.0262
Figure 3D and Figure 7C

Now a splendid collaboration between Zhao and Gangjian Qin, medicine professor now back in China, at SUSTech in Shenzhen, who worked for 25 years at many US universities like Illinois, Tufts, Northwestern and Alabama. This is a production carrying the Northwestern and Alabama affiliations for Qin. The same rescaled/mirrored blots describe IKKβ and actin, or actin and LaminA:

Shuling Han, Shiyue Xu, Junlan Zhou, Aijun Qiao, Chan Boriboun, Wenxia Ma, Huadong Li , Dauren Biyashev, Liu Yang , Eric Zhang, Qinghua Liu, Shayi Jiang, Ting C. Zhao, Prasanna Krishnamurthy, Chunxiang Zhang, Stéphane Richard, Hongyu Qiu, Jianyi Zhang, Gangjian Qin* Sam68 impedes the recovery of arterial injury by augmenting inflammatory response Journal of Molecular and Cellular Cardiology (2019) doi: 10.1016/j.yjmcc.2019.10.003

Fig 4D and Fig 5D,E

I’ll show you just one more paper by Ting Zhao, an almost 20-year-old work with Naohiro Yano again as first author, with former Brown pediadrics professor James F. Padbury (now at UCSF), and a certain Yi-Tang Tseng, whom I wasn’t able to locate. Tseng is the corresponding author of this nonsense:

Naohiro Yano, Daisuke Suzuki, Masayuki Endoh, Ting C. Zhao, James F. Padbury, Yi-Tang Tseng* A novel phosphoinositide 3-kinase-dependent pathway for angiotensin II/AT-1 receptor-mediated induction of collagen synthesis in MES-13 mesangial cells Journal of Biological Chemistry (2007) doi: 10.1074/jbc.m610537200 

The same PIP signals appear in Figure 1B and in Figure 8A (red boxes), but the conditions are supposed to be different (blue boxes).
The anti-EGFR blot of Figure 8B reappears in figure 10B, where the conditions are different (yellow boxes).
Four PIP signals of Figure 6B reappear in Figure 8A, where they have been mirrored horizontally and assembled differently (blue and pink boxes). The conditions are supposed to be different

Lei Wei

Please meet Lei Wei, associate professor of orthopaedics at WAMS, whose research aims understanding the mechanism of cartilage development to cartilage degeneration. Dr Wei received about $2 million in NIH grants over the last ten years, and sports 20 papers on PubPeer. Look at this gem:

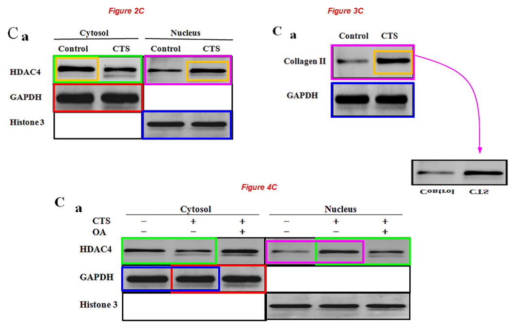
Chongwei Chen, Xiaochun Wei, Shaowei Wang, Qiang Jiao, Yang Zhang, Guoqing Du, Xiaohu Wang, Fangyuan Wei, Jianzhong Zhang, Lei Wei* Compression regulates gene expression of chondrocytes through HDAC4 nuclear relocation via PP2A-dependent HDAC4 dephosphorylation Biochimica et Biophysica Acta (2016) doi: 10.1016/j.bbamcr.2016.04.018

Figure 2C: the two HDAC4 blots for cytosol and nucleus are identical, just mirrored horizonally (red boxes). The same bands appear in Figure 3C as Collagen II (red boxes). Again the same blot appears in Figure 5D as Ps-HDAC4, where one of those bands has been further duplicated and mirrored horizontally (cyan boxes). That particular band reappears also in Figure 4C as HDAC4 and in Figure 5C as GAPDH.
The other HDAC4 band of Figure 4A also apears twice (and mirrored) in Figure 5C as GAPDH (green boxes).
Two GAPDH bands of Figure 2C appear in the same figure as Histone 3, but have been compressed vertically (yellow boxes). The same two bands reappear mirrored in figure 3C.
Two Histone 3 bands of Figure 2C reappear as GAPDH bands in Figure 5C (blue boxes).

Unfortunately for the authors, the next study was plublished at PLOS One, a journal that usually shows little tolerance for blatant fraud. One lab, one style, let’s hope PLOS One will retract this:

Chongwei Chen, Xiaochun Wei, Zhi Lv , Xiaojuan Sun, Shaowei Wang, Yang Zhang, Qiang Jiao, Xiaohu Wang, Yongping Li, Lei Wei* Cyclic Equibiaxial Tensile Strain Alters Gene Expression of Chondrocytes via Histone Deacetylase 4 Shuttling PLOS One (2016) doi: 10.1371/journal.pone.0154951

The two HDAC4_cytosol bands of Figure 2C also appear in Figure 4C as nucleus bands and treatments are also different (green boxes). The same two bands apper another time in the same Figure 4C (green boxes). One of those HDAC4 bands (yellow box) also appear in Figure 3C as Collagen II mirrored vertically. Both the Collagen II bands of Figure 3C appear in Figures 2C and 4C as HDAC4_nucleus (magenta boxes). The Histone 3 bands of Figure 2C also appear in Figures 3C and 4C as GAPDH, and they have been rescaled vertically. And finally, the GAPDH bands of Figure 2C also appear in Figure 4C, but treatments are different.

Regarding the next study, are we really sure that ipriflavone attenuates cartilage degeneration? I wouldn’t necessarily suggest to set up any clinical trial on that:

Li Guo, Xiaochun Wei, Zhiwei Zhang, Xiaojian Wang, Chunli Wang, Pengcui Li, Chunfang Wang, Lei Wei* Ipriflavone attenuates the degeneration of cartilage by blocking the Indian hedgehog pathway Arthritis Research & Therapy (2019) doi: 10.1186/s13075-019-1895-x

The Type X collagen blot of Figure 2B also appears (with a different exposure) in Figure 3C, where it describes MMP-13 (red boxes). Please see enlargement to the bottom.

Here a wonderful collaboration between Lei Wei and some Chinese friends at Kunming Medical University, this time it’s about a fake DNA gel in Figure 6:

Xin Wang, Yanlin Li*, Rui Han, Chuan He, Guoliang Wang, Jianwei Wang, Jiali Zheng, Ming Pei, Mei Pei, Lei Wei Demineralized bone matrix combined bone marrow mesenchymal stem cells, bone morphogenetic protein-2 and transforming growth factor-β3 gene promoted pig cartilage defect repair PLOS One (2014) doi: 10.1371/journal.pone.0116061

Figure 6E is made up. Upon contrast enhancement, it is possible to spot that Figure 6E is a patchwork of assembled pieces.

Qian Chen

Please meet Qian Chen, Michael G. Ehrlich Endowed Chair in Orthopaedic Research, professor of Medical Science, Vice Chair for Research in the Department of Orthopaedics at the Warren Alpert Medical School, and director of Center of Biomedical Research Excellence in Skeletal Health and Repair in Rhode Island Hospital. Dr Chen received $12 million in NIH grants over the past ten years, and sports 10 papers on PubPeer.

Let’s start with this one, the lead author is Lei Wei (discussed above), while Chen is a middle author. Two micrographs in Figure 3 overlap, but represent different immunostainings for MMP-13 and COL-X (red boxes):

Nathan P. Thomas, Pengcui Li, Braden C. Fleming, Qian Chen, Xiaochun Wei, Pan Xiao-Hua, Gang Li , Lei Wei* Attenuation of cartilage pathogenesis in post-traumatic osteoarthritis (PTOA) in mice by blocking the stromal derived factor 1 receptor (CXCR4) with the specific inhibitor, AMD3100 Journal of Orthopaedic Research (2015) doi: 10.1002/jor.22862

Figure 3: two micrographs representing different immunostainings of MMP-13 and COL X overlap (red boxes). The two images are rotated by 180 deg respect one another, and the color balance differ.

Additionally, two micrographs were taken from prior Lei’s work which sounds like a title of a novel (“Disrupting the Indian hedgehog“):

Jingming Zhou , Qian Chen, Beate Lanske , Braden C Fleming , Richard Terek , Xiaochun Wei , Ge Zhang , Shaowei Wang , Kai Li , Lei Wei Disrupting the Indian hedgehog signaling pathway in vivo attenuates surgically induced osteoarthritis progression in Col2a1-CreER T2 ; Ihhfl/fl mice Arthritis Research & Therapy (2014) doi: 10.1186/ar4437 

Figure 5: a COL X micrograph from mice undergone partial medial meniscectomy (PMM) also appears in Figure 5 of Thomas et al. 2015 J Orthop Res (blue boxes), where the image is described coming from mice undergone destabilization of the medial meniscus (DMM) treated with PBS.
Figure 3: the micrograph for TM-Sham also appears in Figure 3 of Zhou et al. 2014 ART (yellow boxes), but the conditions are different (ProSense Sham).

Dr Chen commented at PubPeer about the first image above:

I just want to point out that the two images under question in #1 are different immunohistochemistry images, one reacted with an antibody against MMP-13 and the other reacted with an antibody against COLX. The antibody staining patterns and intensities are clearly different, although they may be from adjacent sections in the same tissue block. […]

This is wrong, the overlapping area is pixel-by-pixel-identical, therefore those pictures can’t represent consecutive sections. Either Dr Chen is trolling, or he is incompetent, and I don’t know what is worse. Dr Chen also added:

I cannot comment on the specifics of the data in inquiry beyond what I described above, since the experiments were done in the laboratory of Dr. Lei Wei, the corresponding author of both papers. Dr. Lei Wei retired several years ago. Any comments by him may be delayed since Dr. Wei is undergoing cancer treatment.

We wish Dr Lei a speedy recovery. Now let’s see some papers where Chen is the lead author. This one for example, where a duplicated and rotated blot describes SOX9 and OCN:

Nan Hu, Yun Gao, Chathuraka T. Jayasuriya, Wenguang Liu, Heng Du, Jing Ding, Meng Feng, Qian Chen* Chondrogenic induction of human osteoarthritic cartilage-derived mesenchymal stem cells activates mineralization and hypertrophic and osteogenic gene expression through a mechanomiR Arthritis Research & Therapy (2019) doi: 10.1186/s13075-019-1949-0

The same blot has been used to describe SOX9 in Figure 2h and OCN in Figure 4j (red boxes). They are rotated by 170 degree respect to one another.

A major forgery in the next one, where a band of Figure 4 reappears rescaled in Figure 5, they supposedly describe different recombinant MATN3 versions probed with either anti-Flag or anti-V5.

Yue Zhang, Zheng-ke Wang, Jun-ming Luo, Katsuaki Kanbe, Qian Chen* Multiple functions of the von Willebrand Factor A domain in matrilins: secretion, assembly, and proteolysis Journal of Orthopaedic Surgery and Research (2008) doi: 10.1186/1749-799x-3-21

Fig 4 and 5

Dr Chen commented bitterly at PubPeer on the issues above (highlights mine):

The images in the paper were the original data without digital manipulation. They include not only the main band but also other light bands and artifacts in the lane during exposure, which may serve as a signature for the lane. First, the two main bands are clearly different even after digital rescaling and manipulation by Aneurus inconstans. Second, other artifacts are different between the two lanes. For example, there is a small dot in the lower left of the indicated “Flag” lane in Figure 4. There is no such a dot at the corresponding position in the V5 lane in Figure 5. Unfortunately, such differences were cut off from the enlarged and manipulated image areas by Aneurus inconstans even though they should be included in the red box areas as indicated.

Chen’s comment is quite blatantly deceptive. The absence of the dot beneath the band in Figure 5 isn’t an argument to refute the concern. The dot was just excluded by the authors with a convenient cropping. As a consequence, the dot wasn’t included in the enlarged comparison, as it is irrelevant to the duplicated area.

Chen with Lei Wei again:

Lei Wei*, Xiao-juan Sun, Zhengke Wang, Qian Chen CD95-induced osteoarthritic chondrocyte apoptosis and necrosis: dependency on p38 mitogen-activated protein kinase Arthritis Research & Therapy (2006) doi: 10.1186/ar1891

Figure 5: micrographs of H33258 staining for control cells and SB-treated cells are identical (yellow boxes), just rotated by 180 deg.

In the next one Chen and Chinese friends investigate the role of Bma11 in cartilage gene expression, but the Bma11 of Figure 5B describes ADAMTS5 in Figure 7D:

Wei Yang, Xiaomin Kang, Jiali Liu, Huixia Li, Zhengmin Ma, Xinxin Jin, Zhuang Qian, Tianping Xie, Na Qin, Dongxu Feng, Wenjie Pan, Qian Chen, Hongzhi Sun*, Shufang Wu* Clock Gene Bmal1 Modulates Human Cartilage Gene Expression by Crosstalk With Sirt1 Endocrinology (2016) doi: 10.1210/en.2015-2042

Two Bmall bands of Figure 5B also appear in Figure 7D as ADAMTS5 (red boxes). The bands display different brightness/contrast or exposure

In the next paper Chen and his Korean friends investigate the beneficial effects of ginseng to prevent and treat muscle atrophy, same blots describe different things across papers:

Ga-Yeon Go, Ayoung Jo, Dong-Wan Seo, Woo-Young Kim, Yong Kee Kim, Eui-Young So, Qian Chen, Jong-Sun Kang, Gyu-Un Bae*, Sang-Jin Lee* Ginsenoside Rb1 and Rb2 upregulate Akt/mTOR signaling–mediated muscular hypertrophy and myoblast differentiation Journal of Ginseng Research (2020) doi: 10.1016/j.jgr.2019.01.007

Four MyoD bands of Figure 5A also appear in Figure 3D, where they describe E2A (blue boxes), in:
Sang-Jin Lee, Young-Eun Leem , Ga-Yeon Go , Younhee Choi , Yoo Jin Song , Insol Kim , Do Yoon Kim , Yong Kee Kim , Dong-Wan Seo , Jong-Sun Kang , Gyu-Un Bae Epicatechin elicits MyoD-dependent myoblast differentiation and myogenic conversion of fibroblasts PLOS One (2017) doi: 10.1371/journal.pone.0175271 

The α-tubulin control of Figure 3B also appears in Figure 2A, where the conditions are different (red boxes), in:
Ga-Yeon Go , Sang-Jin Lee, Ayoung Jo , Jaecheol Lee , Dong-Wan Seo , Jong-Sun Kang , Si-Kwan Kim , Su-Nam Kim , Yong Kee Kim, Gyu-Un Bae Ginsenoside Rg1 from Panax ginseng enhances myoblast differentiation and myotube growth Journal of Ginseng Research (2017) doi: 10.1016/j.jgr.2017.05.006 

Rujun Gong

Please meet Rujun Gong, since 2018 professor of medicine and director of kidney research at the University of Toledo in Ohio, yet from 2004 to 2018 at Brown. Dr Gong’s research was funded with NIH grants worth $5 million over the last decade, he sports 10 papers on PubPeer. Here is one from Gong’s time at WAMS, showing that pharmacological targenting of GSK3β protects against podocytopathy and proteinuria. Of course, anything is possible when you fake a GSK3β blot:

Zhen Wang, Hui Bao, Yan Ge, Shougang Zhuang, Ai Peng, Rujun Gong* Pharmacological targeting of GSK3β confers protection against podocytopathy and proteinuria by desensitizing mitochondrial permeability transition British Journal of Pharmacology (2015) doi: 10.1111/bph.12952

The WT-1 blot of Figure 2B appears much more similar than expexted to the p-GSK3β blot of Figure 7B (red boxes), acquired at slighlty different exposure time.

Below, on the left a cluster of TKPT cells appears in two micrographs describing different samples (yellow boxes), but the surrounding cells are different. Moreover, micrographs 1a and 1i overlap (blue shapes).

Hao Bao, Yan Ge, Shougang Zhuang, Lance D. Dworkin, Zhihong Liu, Rujun Gong* Inhibition of glycogen synthase kinase-3β prevents NSAID-induced acute kidney injury Kidney International (2012) doi: 10.1038/ki.2011.443

Figure 6A. This phenomenon can’t happen without a digital editing process
Micrographs 1a and 1i overlap (blue shapes), but are supposed to represent different conditions.

In the next one, the control TEM micrograph of Figure 5 was representing a GSK3β KO mouse six years before in Ge et al. 2011 (red boxes):

Fig 5 (2017) and Fig 4 (2011)

When he was still at Brown, Gong had fruitful collaborations with the legendary Shougang Zhuang (encountered above). Look at this beauty:

Murugavel Ponnusamy, Na Liu, Rujun Gong, Haidong Yan, Shougang Zhuang* ERK pathway mediates P2X7 expression and cell death in renal interstitial fibroblasts exposed to necrotic renal epithelial cells AJP Renal Physiology (2011) doi: 10.1152/ajprenal.00215.2011

Four GAPDH control bands of Figure 2 have been used in Figure 7C to describe ELK1 (red boxes).

Yet another one with Gong and Zhuang, and Eugene Chin is also on board!

Murugavel Ponnusamy, Maoyin Pang, Pavan Kumar Annamaraju, Zhu Zhang, Rujun Gong, Y. Eugene Chin, Shougang Zhuang* Transglutaminase-1 protects renal epithelial cells from hydrogen peroxide-induced apoptosis through activation of STAT3 and AKT signaling pathways AJP Renal Physiology (2009) doi: 10.1152/ajprenal.00251.2009

The same blot describes actin in Figure 2E and AKT in Figure 4C (red boxes). In Figure 6C, the same bot has been used to describe p-Ser473-AKT and p-Tyr705-STAT3 (blue boxes).

Grant money

Here we have the math: $46 million of taxpayers money were awarded in the last ten years to the people discussed above, for carrying out research rife with questionable data. The steady erosion of trust in science is accompanied by even more tangible economic damage. No matter which research institution we look into, sadly we always manage to find dozens of researchers with a disturbing history of troubling data, even at top universities.

The depth of the rabbit hole

Several other Brown scholars were found having troubling records, I’ll briefly mention some of them below, they are mostly dead:

  • The former chief of the Division of Gastroenterology at WAMS, the late Jack Wands (passed away in 2023), and his protégé Xiaoqun Dong have already had their fifteen minutes of fame in April 2025 Shorts, respective PubPeer records are here and here.
  • There are also the emeritus professor José Behar and the late Piero Biancani (passed away in 2021), both used to collaborate with the still active Brown professor Weibiao Cao. These three guys have a dozen of very problematic articles (see here and here).
  • Worth mentioning is also the late Devasis Chatterjee (passed away in 2021), former collaborator of Eugene Chin, employed at Brown from 2001 to 2018, here is his PubPeer record. Elisabeth Bik wrote about him in her guest post on For Better Science in 2018:

When gel bands go marching in, by Elisabeth Bik

This guest post by Elisabeth Bik will conclude the Fraud Triptych started by Smut Clyde. We shall meet a former mentee of Paul B Fisher, Sujit Bhutia, who is now busy fabricating data at his own lab at National Institute of Technology in India. Our next encounter will be with Fisher’s and Benjamin Bonavida’s past…

And last but not least, let us not forget Jack A. Elias, chief physician at Yale, Dean of Medicine at WAMS, and senior vice president for health affairs at Brown. Dr Elias sports several disconcerting papers on PubPeer, one got retracted in 2024 (not yet listed in Retraction Watch Database, but in August 2024 Shorts). Elias represents another example of how the fish stinks from the head down. On his Brown webpage, it is stated with emphasis and pride that “Dr. Elias is leading an ambitious $300 million effort to increase translational research, create new opportunities for students at all levels of training, and to train the next generation of physician-scientists. External research funding in the Division of Biology and Medicine has increased by greater than 118 percent during his tenure“.


Many data irregularities described in this article were identified with the help of ImageTwin.

  1. Adapted from Good Will Hunting, Miramax Films, 1997. ↩︎
  2. Csaba Szabo provided us with a statement about his colleaboration with Sellke, exceprts:
    By 2007, my group had been working on a hydrogen sulfide–releasing compound with
    potential organ-protective effects. We had already demonstrated efficacy in a mouse model of
    myocardial infarction through a separate collaboration. The next logical step was to test
    whether these effects would scale to large animal models. Frank had exactly such a model. I
    approached him to explore a collaboration. He agreed. The compound itself had been
    developed by a biotech company, which also supported the project through a sponsored
    research agreement. This was not simply an academic exercise; the stakes were higher. The
    data generated in Frank’s lab were intended for, and ultimately included in regulatory
    submissions, when the compound was scheduled to enter clinical trials.
    The division of labor was clear. We provided the compound and provided the overall
    experimental design. The actual experiments were conducted entirely in his laboratory. I was
    not involved in the design or execution of certain ancillary assays, such as Western blot
    analyses. My role included conceptual input and participation in manuscript preparation.
    Before submission, I reviewed the data, including the figures with the blots. I saw nothing
    that raised concern. Neither did the reviewers, the editors, or, presumably, the readers. Until
    17 years later. Then, recently, a series of concerns emerged. Corrado identified repeated
    image duplications and other irregularities across a large number of papers from his group.
    My reaction was immediate: shock. I had no reason to suspect problems in Frank’s work. He
    has long been regarded as a serious, committed investigator. Even now, I find it difficult to
    reconcile these findings with the person I know.[…]
    I have immediately contacted Frank and gave him some suggestions: Don’t try to explain
    away what is unexplainable. Go back and track and check all the data generated around the
    same time. Not only the Western blots, but everything else. Start a serious internal
    investigation, or assist in every way in a University-initiated investigation, if it comes to that.
    Find those who were responsible, and make sure the consequences are serious. And, be
    proactive and initiate yourself the retractions of the papers.
    ↩︎

Donate!

If you are interested to support my work, you can leave here a small tip of $5. Or several of small tips, just increase the amount as you like (2x=€10; 5x=€25). Your generous patronage of my journalism will be most appreciated!

€5.00

10 comments on “Mad School of Brown University

  1. Cheshire's avatar
    Cheshire

    Nice work Corrado!

    I also appreciate the cartoon, Leonid.

    Liked by 1 person

  2. Mieczysław Szewczyk's avatar
    Mieczysław Szewczyk

    Sounds like nearly everyone is out to get El-Deiry, even his neighbors: https://storage.courtlistener.com/recap/gov.uscourts.rid.57839/gov.uscourts.rid.57839.1.0.pdf

    Perhaps WaterviewGuardians will step in to protect him from “The TallTree Mob”?

    <

    p class=”wp-block-paragraph”>

    Liked by 1 person

  3. owlbert's avatar

    “a kind of forgery one would expect from anywhere but Ivy League universities”. You must be new around here. Just kidding. Great work.

    If there’s one field as or even more rotten than cancer research, it’s heart research. Lotta quacks.

    Liked by 1 person

  4. Zebedee's avatar

    Mukesh K. Jain, MD | Division of Biology and Medicine | Brown University

    Mukesh K Jain issues a communication.

    Communications from the Dean | Division of Biology and Medicine | Brown University

    “Legorreta Cancer Center Director

    Dear Members of the BioMed Community,

    I am writing to announce that after seven years, Wafik El-Deiry, MD, PhD, is stepping down as director of the Legorreta Cancer Center and associate dean of oncologic sciences in the Division of Biology and Medicine, as of June 30, 2026. He will continue his faculty commitments as a professor in the Department of Pathology and Laboratory Medicine and as the Mencoff Family University Professor of Medical Science.W

    The same Mukesh K Jain:

    PubPeer – KLF2 Is a novel transcriptional regulator of endothelial pro…

    PubPeer – Kruppel-like factor 15 is a regulator of cardiomyocyte hyper…

    The highest standards at all time, or some other formulation, spouted by various university spokespeople.

    Liked by 1 person

  5. Aneurus's avatar

    RETRACTION to Wang et al. 2014 PLOS One:

    https://pubpeer.com/publications/F35E3A0DDA118C736B88F515AC1D58

    https://journals.plos.org/plosone/article?id=10.1371/journal.pone.0347913

    It took less than three months from the notification to the retraction. If all publishers were like PLOS…

    Like

Leave a comment