Our heroes are Diana Averill-Bates and Fathey Sarhan, two pension-age professors at University of Québec in Montreal (UQAM). The stuff they published is ridiculously bad, and some of that was recently retracted. But their university disagrees, and finds no issues with their research. UQAM leadership ordered me to delete my past reporting of December 2025 Shorts, so of course I just had to write this instead.
Averill is toxicologist and cancer researcher, and New Zealand native. She came to Canada in 1983 as postdoc and became professor at UQAM in 1986, a position she still seems to hold, maybe she is about to retire soon, being around 70 years old. Her faculty colleague Sarhan is a plant scientist, a native Egyptian who came to Canada in 1960ies to study, joined UQAM in 1978 as postdoc and soon rose to full professor. He became emeritus already in 2010, received in 2011 a Gold Medal from the Canadian Society for Plant Physiology, and must be around 80 years old now.
Both have horrendously bad PubPeer records, here is Diana’s, and here is Fathey’s, with a substantial overlap. In December 2025, Elisabeth Bik caused three retractions for these Canadian scholars, with hopefully many more to follow.
Moshe Szyf demands an apology
“We demand that you publicly apologize to our clients and retract all your statements within one week from today. Failure to do so will result in our taking an action in both public and private law, against you and McGill University.” – Moshe Szyf and Michael Meaney, via lawyer
This paper was flagged in May 2025, the first author Francine Hamel used to be Sarhan’s postdoc, while Mélanie Grondin was his PhD student. Francine Denizeau (now Beaudoin-Denizeau) is another UQAM professor, long since retired:
Francine Hamel, Mélanie Grondin, Francine Denizeau, Diana A. Averill-Bates, Fathey Sarhan Wheat extracts as an efficient cryoprotective agent for primary cultures of rat hepatocytes Biotechnology and Bioengineering (2006) doi: 10.1002/bit.20953

Elisabeth Bik: “Concerns about Figure 3. Boxes of the same shape and color highlight unexpected repetitive features in panels B, C, and D.”
Retracted on 2 December 2025 (highlights mine):
“The retraction has been agreed due to concerns raised by third parties. Specifically, the micrographs presented in Figure 3B, C and D were found to contain numerous repetitive elements (i.e., cells) suggesting inappropriate image processing. Investigation by the publisher has confirmed the validity of the concerns.
The authors were unable to retrieve the raw data underlying Figure 3 due to the time elapsed since original publication. They also stated that the images presented in Figure 3 were acquired as original images and have not been altered in any form. They conducted an independent analysis of the magnified published images, highlighting that the cells identified as duplicated exhibit differences. According to the authors, the observed similarities are characteristic of cells within a homogeneous population (i.e., hepatocytes) and are therefore to be expected, thereby refuting allegations of inappropriate image editing. The authors stated that the issues identified do not affect the conclusions of the article.
However, the editors have deemed the clarification from the authors as insufficient to resolve their concerns. The similarities detected in Figure 3 were found to outweigh the differences highlighted by the authors and were considered unlikely to result solely from morphological resemblance within a homogeneous population of primary isolated hepatocytes. The editors have determined that the new experimental data generated by the authors to replace the images in Figure 3 were unsuitable for direct comparison with the originally published data, due to the substantial time gap between the two experimental sets. Therefore, the concerns of the editors were not addressed acceptably and accordingly, the article must be retracted. The authors disagree with the retraction decision.”
Consider: scientists constantly fail to store data for longer than 5 years, but here some retired but not yet clinically demented professors claim to be perfectly able to preserve reagents and even frozen cell lines for decades and repeat any ancient experiment in a matter of weeks, in order to replace their old fake figures.
Motherisk crook Gideon Koren now at Ariel University
The Israeli Ariel University recruited a doctor from hell to their newly established medical school: Gideon Koren, infamous for Motherisk and deferiprone scandals.
Also: that fraudulent liver research paper ended with: “In memory of Moustafa Shereen and Madeleine Gobeille-Labrie, great friends, whose courage in fighting
liver disease inspired us to work in this area of research.” Wow.
The second retracted paper by the same team (sans Denizeau) is even worse:
Mélanie Grondin , Francine Hamel , Diana A. Averill‐Bates, Fathey Sarhan Wheat proteins improve cryopreservation of rat hepatocytes Biotechnology and Bioengineering (2009) doi: 10.1002/bit.22270

See Fig 2 of
Mélanie Grondin , Francine Hamel , Diana A. Averill-Bates, Fathey Sarhan Wheat proteins enhance stability and function of adhesion molecules in cryopreserved hepatocytes Cell transplantation (2009) doi: 10.3727/096368909788237104
This is the Fig 4 (or Fig 4, depending on the paper):

Elisabeth Bik: “Most importantly, panels in this paper’s Figure 4 – as well as those in Cell Transplantation (2009) Figure 2 – appear to contain duplicated elements.”
The retraction from 2 December 2025 had almost the same wording:
“The retraction has been agreed due to concerns raised by third parties. Specifically, several micrographs presented in Figure 4 were found to contain numerous repetitive elements (i.e., cells) suggesting inappropriate image processing. Furthermore, data presented in Figure 4 and part of the data presented in Figure 1 were found to have been previously published by the same author group [Grondin et al, (2009); https://doi.org/10.3727/096368909788237104]. Investigation by the publisher has confirmed the validity of the concerns.
The authors were unable to retrieve the raw data underlying Figure 4 due to the time elapsed since original publication. They also stated that the images presented in Figure 4 were acquired as original images and have not been altered in any form. They conducted an independent analysis [….]
The editors have determined that the new experimental data generated by the authors to replace the images in Figure 4 were unsuitable […] The authors disagree with the retraction decision.”
Mr ACE2 Josef Penninger, Greatest Scientist of Our Time
As a young Wunderkind, Josef Penninger discovered the ACE2 receptor. Now he invented the cure for the coronavirus which will work in his hands where Big Pharma failed. He was never found guilty of research misconduct and never retracted a paper. Dr Penninger is a Genius making a COVID-19 vaccine.
Here a related paper by these same clown troupe, again about frozen liver cells preserved with wheat extract:
Mélanie Grondin , Francine Hamel , Fathey Sarhan, Diana A. Averill-Bates Metabolic activity of cytochrome p450 isoforms in hepatocytes cryopreserved with wheat protein extract Drug metabolism and disposition (2008) doi: 10.1124/dmd.108.021162

Several panels appear to contain repetitive elements.”

You might wonder, why so much fraud to convince readers that wheat extract can be used to freeze mammalian cells. Well, Sarhan, Averill, Hamel, Grondin, Denizeau and Denizeau’s first husband Jacques patented this stuff two decades ago! This patent is meanwhile abandoned, probably because Sarhan’s company ICE Biotech Inc was “dissolved for non-compliance” in 2011.
Trials and Errors of Martin Gleave
“The magnitude was much greater than we had expected or hoped for,” – Martin Gleave
As you can imagine, Averill has much more of that fake stuff on PubPeer, courtesy of Bik’s sleuthing. Here is a third retraction, again in the same Wiley journal, the last author is Sarhan’s former postdoc Francois Ouellet, who is by now full professor at UQAM. Sarhan himself only featured in acknowledgments (“We thank Professor Emeritus Fathey Sarhan, initiator of this research program, for ongoing fruitful discussions regarding cell cryopreservation with plant products.”)
Mélanie Chow‐shi‐yée , Mélanie Grondin , Diana A. Averill‐Bates, François Ouellet Plant protein 2‐Cys peroxiredoxin TaBAS1 alleviates oxidative and nitrosative stresses incurred during cryopreservation of mammalian cells Biotechnology and Bioengineering (2016) doi: 10.1002/bit.25921

This was the retraction from 3 December 2025:
“The retraction has been agreed due to concerns raised by third parties. Specifically, Figure 4A was found to contain repetitive elements (i.e., cells) suggesting inappropriate image processing. Investigation by the publisher has confirmed the validity of the concerns.
The authors were unable to retrieve the raw data underlying Figure 4A due to the time elapsed since original publication. They also stated that the images presented in Figure 4A were acquired as original images and have not been altered in any form. The authors conducted an independent analysis […]”
And so on, you read this insanity already, about “observed similarities […] to be expected” and “new experimental data generated by the authors”.
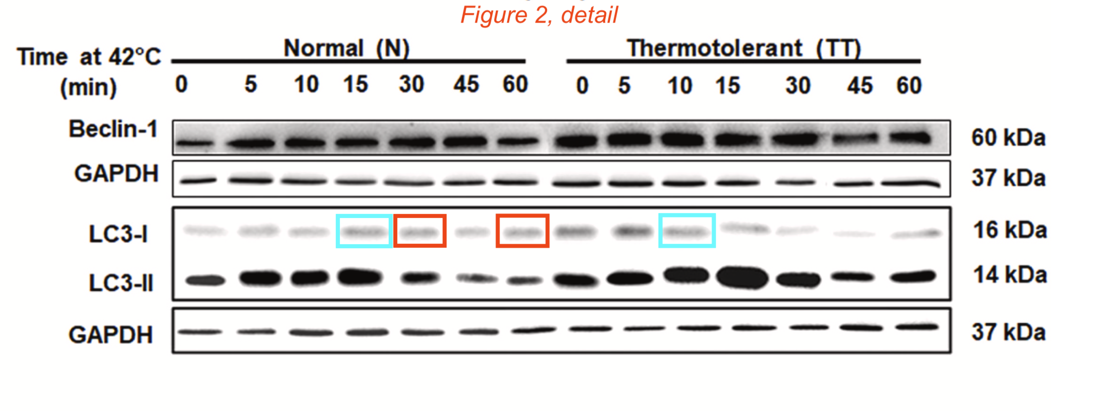
This was not retracted (yet), again with Sarhan’s former PhD student Grondin:
Sarah Kassis , Mélanie Grondin , Diana A. Averill-Bates Heat shock increases levels of reactive oxygen species, autophagy and apoptosis Biochimica et Biophysica Acta (2021) doi: 10.1016/j.bbamcr.2020.118924


After I published those December 2025 Shorts, Averill went to PubPeer to protest. She “enlarged the image” and found out that “There was no duplication of bands” and “no duplication of cells“, and anyway, “These images do not affect the results, interpretation or scientific conclusions of the paper.” If those figures were so irrelevant, why are they in the paper then? Is any data in Averill’s papers relevant to her conclusions?
David Goltzman’s cowardice
“It is cowardly to be anonymous. […] This is harassment, for whatever benefit you will gain from this. Please cease and desist” – David Goltzman
In case you missed the dashing Denizeau (do appreciate that bizarre photo of her in the lab, from 1981), here she is again with Averill:
Khadidja Haidara , Michel Marion , Marielle Gascon-Barré , Francine Denizeau , Diana A. Averill-Bates Implication of caspases and subcellular compartments in tert-butylhydroperoxide induced apoptosis Toxicology and Applied Pharmacology (2008) doi: 10.1016/j.taap.2008.01.010

Boxes of the same color highlight lanes that look unexpectedly similar. One pair is in mirror image”



Denizeau and Averill, what a duo… Bik found that “Several Western blots in this paper appear to contain duplicated lanes”:
Magdalena Jurkiewicz, Diana A Averill-Bates, Michel Marion , Francine Denizeau Involvement of mitochondrial and death receptor pathways in tributyltin-induced apoptosis in rat hepatocytes Biochimica et Biophysica Acta (2004) doi: 10.1016/j.bbamcr.2004.04.001




Did anyone every consider the possibility that the highly toxic biocide tributylin can also cause gel band duplication? Again Averill, Denizeau, plus again their UQAM colleague Michel Marion, who died in 2020 aged 67, thus spared the shame:
Mélanie Grondin , Michel Marion , Francine Denizeau , Diana A. Averill-Bates Tributyltin induces apoptotic signaling in hepatocytes through pathways involving the endoplasmic reticulum and mitochondria Toxicology and Applied Pharmacology (2007) doi: 10.1016/j.taap.2007.03.028

Elisabeth Bik: “Concerns about Figure 4: Boxes of the same color highlight several lanes that appear to look similar to each other”
Yet another fake paper, shall we blame Averill’s PhD student here, Ahmed Bettaieb, who made it to associate professor at University of Tennessee in Knoxville, USA? Or the other coauthor?
Ahmed Bettaieb, Diana A. Averill-Bates Thermotolerance induced at a mild temperature of 40°C alleviates heat shock-induced ER stress and apoptosis in HeLa cells Biochimica et Biophysica Acta (2015) doi: 10.1016/j.bbamcr.2014.09.016

Yellow boxes: Two panels appear to overlap with each other
Pink boxes: Two other panels appear to overlap with each other”



Also Claire Francis briefly joined the treasure hunt in Averill’s papers, here again her pet topic of curing cancer with heat:
Audrey Glory , Ahmed Bettaieb , Diana A. Averill-Bates Mild thermotolerance induced at 40 °C protects cells against hyperthermia-induced pro-apoptotic changes in Bcl-2 family proteins International journal of hyperthermia (2014) doi: 10.3109/02656736.2014.968641


Also this is an orgy of fake gels, will Averill still have the raw data, after 6 years have passed?
Marceline Tchouagué , Melanie Grondin , Audrey Glory , Diana Averill-Bates Heat shock induces the cellular antioxidant defenses peroxiredoxin, glutathione and glucose 6-phosphate dehydrogenase through Nrf2 Chemico-Biological Interactions (2019) doi: 10.1016/j.cbi.2019.06.030

Here we have fake blots, fake microscopy, and fake flow cytometry, no wonder Bettaieb is professor now:
Paulina K. Wrzal, Ahmed Bettaieb, Diana A. Averill-Bates Molecular Mechanisms of Apoptosis Activation by Heat Shock in Multidrug-Resistant Chinese Hamster Cells Radiation Research (2008) doi: 10.1667/rr1214.1


PInk boxes: Two lanes appear to be visible twice, but in mirror image.”


Green boxes: Two flow cytometry panels are remarkably similar”
Well done, Dr Bettaieb! And of course, well done, Dr Averill:
Julie Roy , Pragathi Pallepati , Ahmed Bettaieb, Diana A. Averill-Bates Acrolein induces apoptosis through the death receptor pathway in A549 lung cells: role of p53 Canadian journal of physiology and pharmacology (2010) doi: 10.1139/y09-134

Pink arrows: splice lines appear to be visible between the first and second, and between the fourth and the fifth lane
Green arrows: a horizontal splice line might be visible in the second, third, and fifth lanes.
Yellow boxes: The 85 kDa band in the first lane looks like that in the fifth lane. As noted above, some straight background transition lines appear be visible around the latter.
Blue boxes: The top bands in the second and fifth lane look very similar.”
Well done indeed, that’s how one becomes professor….
Julie Roy , Pragathi Pallepati , Ahmed Bettaieb, André Tanel , Diana A. Averill-Bates Acrolein induces a cellular stress response and triggers mitochondrial apoptosis in A549 cells Chemico-Biological Interactions (2009) doi: 10.1016/j.cbi.2009.07.001

Red boxes: In the Cytosol Cytochrome c panel, the 7 uM and 14 mM lane bands look remarkably similar.”

Yes, Averill’s students wilfully participated in this fraud. But the main culprit is not them.
Pragathi Pallepati , Diana A. Averill-Bates Mild thermotolerance induced at 40°C protects HeLa cells against activation of death receptor-mediated apoptosis by hydrogen peroxide Free Radical Biology and Medicine (2011) doi: 10.1016/j.freeradbiomed.2010.11.022


Pragathi Pallepati , Diana Averill-Bates Mild thermotolerance induced at 40 degrees C increases antioxidants and protects HeLa cells against mitochondrial apoptosis induced by hydrogen peroxide: Role of p53 Archives of Biochemistry and Biophysics (2010) doi: 10.1016/j.abb.2009.12.014

Red and blue boxes highlight lanes that look unexpectedly similar”
Same authors, just as fraudulent, and it was corrected by Elsevier:
Pragathi Pallepati , Diana A. Averill-Bates Activation of ER stress and apoptosis by hydrogen peroxide in HeLa cells: Protective role of mild heat preconditioning at 40°C Biochimica et Biophysica Acta (2011) doi: 10.1016/j.bbamcr.2011.07.021

Blue boxes highlight two panels that appear to overlap unexpectedly, with a change in magnification.”


The Corrigendum was issued on 12 November 2025 (highlights mine):
“The authors regret that there is similarity between the two photo panels b and f in the published version of Fig. 1A. It is possible that there was an honest copy-paste mistake during sizing and assembly of the photos for the figure. Given that the original data from 2009 to 2010 is not available after this amount of time, the authors have repeated the experiment and are providing revised photos for Fig. 1A to correct the scientific record. The experiment has been repeated at least three times with distinct cell preparations obtained on different days. The data in Fig. 1A represents a control condition, which does not affect or change the interpretation of any of the results, the interpretation and the overall scientific conclusions of the published paper. To address this issue, the authors have provided a new version of Fig. 1A. The authors would like to apologise for any inconvenience caused.”
I think some pathological liar (who might possibly answer to the name of Diana), is ripe for a mental institution. Instead, she went to PubPeer to claim that the gel bands in Figures 11 and 12 and microscopy images In Fig 16 were never identical because she found differences by enlarging them (raw data obviously is unavailable). Averill also added: “The information shown in these images does not affect or change the results, interpretation or scientific conclusions of the data published in this paper.” And worse: Elsevier agreed with her!
The Timeless Art of Emile Levy
“At no time has the University of Montreal or any other institution, regardless of their mission, had anything to reproach me for.” -Dr Emile Levy
All this fraud went unnoticed over many years. Averill started to troll the scientific community by copy-pasting entire figures, next to each other, see Redza-Dutordoir et al 2016, which was corrected in Sepember 2025 to declare that it “does not affect the results, interpretation, or conclusions of the article“. Why waste time with Photoshop when you can publish shameless Frankengels like this one, here with Ouellet:
Mélanie Chow-shi-yée, Melanie Grondin , Francois Ouellet, Diana A. Averill-Bates Control of stress-induced apoptosis by freezing tolerance-associated wheat proteins during cryopreservation of rat hepatocytes Cell Stress and Chaperones (2020) doi: 10.1007/s12192-020-01115-y

Sometimes however, the Canadian professor is always ready to fight back with fake “raw data”!
Tatiana Souslova, Diana A. Averill-Bates Multidrug-resistant hela cells overexpressing MRP1 exhibit sensitivity to cell killing by hyperthermia: interactions with etoposide International Journal of Radiation Oncology*Biology*Physics (2004) doi: 10.1016/j.ijrobp.2004.07.686

Averill replied on PubPeer with scans of gels:
“We sent the original Western blot films for Figure 4, from about 20 years ago, to the journal. The films prove that there was no duplication or splicing of protein bands or unethical manipulation of our published image. The image is attached. The journal viewed the image and closed the case on May 19, 2025”
See, suddenly two decades old raw data becomes available! Well, not quite. The “original Western blot films” didn’t match the published material, but the published figure was clearly falsified in Photoshop, as Bik showed:

The marker band appears to have disappeared, while a duplicate area is observed in its place (blue boxes)”
I wrote to Averill, and expressed my concerns about her mental health, but received no reply. Also her colleague, the plant scientist Fathey Sarhan, didn’t reply. I then wrote the December 2025 Shorts with the material above, and sent my article to Averill, Sarhan, and the UQAM leadership.
May Griffith innocent of misconduct, decide Montreal, Swedish Court and Ethics Board
After her lawyers threatened Linköping whistleblower Jaywant Phopase, accusing him of slander and demanding money, regmed researcher May Griffith wrote to me. She sent me a whole dossier: all misconduct findings against her were overruled, even in court. Turns out, ethics dumping is good and anyway, she is not responsible for her own publications.
On 23 December 2025, I received this incredible communication from the Vice-Rector for Research, Creation and Dissemination, Lucie Ménard, who is a professor in linguistics:
“Mr. Schneider,
Further to your recent messages and statements published on your website, we believe that your remarks exceed the bounds of acceptable professional conduct, and we hereby request that you cease such conduct immediately.
The Committee that reviewed Professor Averill’s case conducted a thorough and rigorous examination and concluded that the matter did not constitute fraud. The Committee determined that the breach of research integrity and responsible conduct was minor and found that the identified infractions did not materially affect either the conclusions or the substantive validity of the articles in question.
We therefore request that you correct the factual record accordingly.
Vice-rectorat à la recherche, à la création et à la diffusion
Université du Québec à Montréal”
There are some linguistic points I would like to make. First, Professor Menard may decide what “acceptable professional conduct” at her UQAM is, but she doesn’t get to do this at For Better Science. Second, what the f*** is wrong with those people.

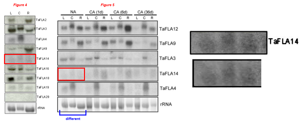
All this prompted Aneurus Inconstans to study other papers by these Quebec clowns, and being a plant researcher, the sleuth focussed on Sarhan, who now has a PubPeer record of his own, separate from Averill. For example, with Norman Huner, Canada Research Chair at University of Western Ontario:
Christian NDong , Jean Danyluk, Kenneth E. Wilson , Tessa Pocock , Norman P.A. Huner, Fathey Sarhan Cold-Regulated Cereal Chloroplast Late Embryogenesis Abundant-Like Proteins. Molecular Characterization and Functional Analyses Plant Physiology (2002) doi: 10.1104/pp.001925


Or how about this, with Sarhan’s former postdocs Ouellet and Mario Houde, whose loyalty earned both of them a UQAM professorship of their own:
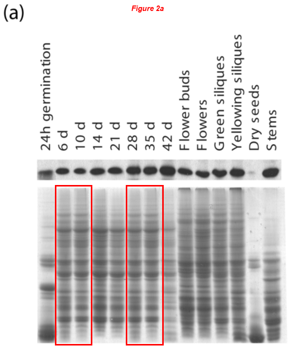
Jean-Benoit F Charron, Francois Ouellet, Mario Houde , Fathey Sarhan The plant Apolipoprotein D ortholog protects Arabidopsis against oxidative stress BMC Plant Biology (2008) doi: 10.1186/1471-2229-8-86

Aneurus inconstans: “Figure 2a: two lanes appear twice within this figure (red boxes).”
In December 2025, Ouellet replied on PubPeer with: “This work was done 20 years ago, and some authors are retired.” Well, you and Houde aren’t retired, and Jean-Benoit Charron is now professor at McGIll university, so own up, boys. Oullet decided not to comment here:
Hélène Adam , François Ouellet , Ndjido A. Kane , Zahra Agharbaoui, Geneviève Major , Yoko Tominaga , Fathey Sarhan Overexpression of TaVRN1 in Arabidopsis promotes early flowering and alters development Plant and Cell Physiology (2007) doi: 10.1093/pcp/pcm089

Here a set of two papers, where Houde lamented on PubPeer that “Some authors are retired including myself” and that he “did not keep contact with all authors and they will be hard to reach“:
- Mohamed Badawi , Yedulla Venkat Reddy , Zahra Agharbaoui , Yoko Tominaga , Jean Danyluk, Fathey Sarhan, Mario Houde Structure and Functional Analysis of Wheat ICE (Inducer of CBF Expression) Genes Plant and Cell Physiology (2008) doi: 10.1093/pcp/pcn100
- Amadou Diallo , Ndjido Kane , Zahra Agharbaoui , Mohamed Badawi , Fathey Sarhan Heterologous expression of wheat VERNALIZATION 2 (TaVRN2) gene in Arabidopsis delays flowering and enhances freezing tolerance PLOS One (2010) doi: 10.1371/journal.pone.0008690

The same image of a WT control plant appears rotaed four times (red boxes) across figure 6A and 6C.
Moreover, several images also appear rescaled in Figures 6A of Diallo et al. 2010 […] where treatments and genotypes are different (controls WT and 35S::GUS, transgenic plants 35S::TaVRN-B2 Line1–Line3.”

Badawi et al 2008: “Two gel mobility shift assays are identical (red boxes), but are supposed to show the binding affinity between TaICE87 and MYC2a (Figure 4B), or between TaICE41 and MYC4g1 (Figure 4C).”
This UQAM fabrication, with Sarhan, his postdoc Hamel, and the UQAM professor Mircea Alexandru Mateescu, appeared in what used to be the official journal of the Canadian Society for Pharmaceutical Sciences, later on the journal was sold to Frontiers. Who’s responsible now? Nobody.
Patrick De Koninck, Denis Archambault, Francine Hamel, Fathey Sarhan , Mircea Alexandru Mateescu Carboxymethyl-starch excipients for gastrointestinal stable oral protein formulations containing protease inhibitors Journal of Pharmacy & Pharmaceutical Sciences (2010) doi: 10.18433/j3b01f

Aneurus inconstans: “Two sets of lanes in Figure 1a appear to be much more similar than expected (red and yellow arrows).
Two bands in Figure 1b seem to appear twice (green arrows).”
Four years later, in 2014, Mateescu won the UQAM Research-Career Prize for research like this.
Here, we had the rare honour of Sarhan himself replying (well, not quite):
Ndjido A. Kane, Jean Danyluk , Guylaine Tardif , François Ouellet, Jean-François Laliberté , Allen E. Limin, D. Brian Fowler, Fathey Sarhan TaVRT-2, a Member of the StMADS-11 Clade of Flowering Repressors, Is Regulated by Vernalization and Photoperiod in Wheat Plant Physiology (2005) doi: 10.1104/pp.105.061762

Aneurus inconstans : “The TaVRT-1 blots in Figure 4A and 4C are identical (red boxes), but the wheat lines are supposedly different.
Moreover, four bands of TaVRT-1 in 4B also appear in 4D (blue boxes).”
The comment was posted using Sarhan’s professional email address, but signed by the UQAM professor Jean Danyluk, whom you already met above:

Danyluk was Sarhan’s MSc and PhD student, he stayed on with Sarhan as postdoc, doing science like this, and eventually earned himself a professorship at UQAM:
Jean Danyluk, Ndjido A. Kane, Ghislain Breton , Allen E. Limin, D. Brian Fowler, Fathey Sarhan TaVRT-1, a putative transcription factor associated with vegetative to reproductive transition in cereals Plant Physiology (2003) doi: 10.1104/pp.103.023523




I can’t prevent anyone from making Dicktoo jokes involving Sarhan and Danyluk. Here is another former postdoc of Sarhan’s shitposting – Ahmed Faik, now professor at Ohio University in USA:
Ahmed Faik , Jaouad Abouzouhair , Fathey Sarhan Putative fasciclin-like arabinogalactan-proteins (FLA) in wheat (Triticum aestivum) and rice (Oryza sativa): identification and bioinformatic analyses Molecular Genetics and Genomics (2006) doi: 10.1007/s00438-006-0159-z

Faik assured on PubPeer:
“Due to the age of the paper (20 years) the raw data is not available to be verified. However, this discrepancy is insignificant and doesn’t affect the impact of the paper.”
I start suspecting that everyone at UQAM suffered some kind of mysterious brain damage.

Donate!
If you are interested to support my work, you can leave here a small tip of $5. Or several of small tips, just increase the amount as you like (2x=€10; 5x=€25). Your generous patronage of my journalism will be most appreciated!
€5.00


Your response to the outrageous “requests” of UQAM was perfect.
LikeLiked by 2 people
Being an early career researcher, I often wonder how many “giants” in biosciences, people who published in the 80s, 90s, and 00s in Nature etc and had razor sharp significance, low p-values were actually fabricating either part or most of their data to hack it in a way so that it was appealing to funders and publishers? And now, when I do an experiment, there is batch-to-batch variability, day-to-day variability, assays that work only on a certain Wednesday, sudden changes in the personality of a cell-line, and NEVER that level of significance and low p-value?
LikeLike
Well, all these amazing breakthroughs in the last 30 years and still no cure for cancer or Alzheimer’s or other things. I wonder why.
LikeLike
Also…
If a pharmaceutical intervention permanently cures a disease with a single administration, it eliminates future revenue from repeat treatments. By contrast, chronic therapies administered over long time horizons can generate stable and predictable revenue streams.
As a result, one-time curative therapies may present challenges related to pricing, reimbursement, and long-term commercial viability under prevailing market structures. These products often exhibit a misalignment between social value and private returns, as their substantial upfront development costs are not offset by recurring sales. To mitigate this incentive problem, firms may need to adopt alternative pricing and reimbursement mechanisms, such as high upfront prices, annuity-based payments, or outcomes-based contracts. In the absence of such mechanisms, pharmaceutical firms may rationally underinvest in curative therapies, even when the expected clinical benefits and scientific merit are high.
LikeLike
You’re totally right, Mr. Jones. Important matters of societal welfare should not be left to the demands of the market. It’s a res publica, a public matter. Just put medical research where it belongs, and stop investors from actually causing the death of fellow citizens out of greed.
LikeLike
What field are you an early career researcher in? It’s unlikely to be untouched by the observations you point out as well. I know that my field was plagued by it … in fact, it was created and sustained by it.
LikeLike
“The information shown in these images does not affect or change the results, interpretation or scientific conclusions of the data published in this paper.”
Yeah, yeah… also the good, old “the results have been reproduced in other laboratories”. I bet the other guys didn’t get the professor jobs though, because they didn’t get the grants and the publication in a better journal for being first. Now if they did get it instead of the guys who copy/pasted, they may have done better science overall, but we’ll never know now.
Anyways, these old people succeeded in life. Full salaries until retirement, a nice life in Montreal with a respectable job, probably had families, and probably a big house in the west of the city, close to the airport so they can fly to their apartment in Miami every winter. The trainees could be in more trouble, but are probably well entrenched enough and/or close to retirement themselves to avoid the worst of it. Science was supposed to be outside of the zero sum societal matrix where you screw the other guy to make it ahead, but obviously quite a few think otherwise.
Well, at least the best French Uni in Montreal is supposed to be UdM and not this place. There is also McGill… (que the links to misconduct at those places that I missed while I haven’t been following this blog over the last ten years).
LikeLike
https://retractionwatch.com/2013/01/25/mcgill-committee-says-nature-figures-were-intentionally-contrived-and-falsified/
LikeLike
Yeah, Maya Saleh, fromer mentee of that awful cheater Doug Green.
LikeLike
“The committee said they could not determine who had falsified the figures, but said that there was no evidence it was Saleh, who was the only common author among the four papers.”
Circumstantial evidence is still evidence…
LikeLiked by 1 person
A completely ridiculous reply by Dr. Averill posted today: https://pubpeer.com/publications/42CFD8A3A7A6B178393C003F9F4877#2
LikeLike
Well, why does Diana always close her conclusions that the images are never identical with ” These representative images do not affect the results or overall scientific conclusions of the paper”?
Unless she means to say all of her figures are pointless and irrelevant and she just enjoys experimenting on small animals for fun.
And this:
“This was a time-consuming animal study that was conducted using a rigorous scientific approach to obtain reproducible and relevant data.”
Diana is barking mad.
LikeLiked by 2 people