Update 30.10.2018. Catherine Jessus announced today to her colleagues that she will resign as head of CNRS biology unit by the end of this year 2018.
Some rather jaw-dropping corrections for the French martyr saint of research integrity, Catherine Jessus, head of biology branch at the French CNRS, professor of developmental biology at Sorbonne University in Paris. Jessus is the feared CNRS executive whose case divided French academics and even media into loyal Stalinists and enemies of the people, after Sorbonne whitewashed their professor in a parody of an investigation. The Stalinists being the over 500 signature supporters of Jessus, the enemies of the people to be rooted out are 10 critical authors of a counter-report and the daily newspaper Le Monde. The fresh corrections were now issued by the UK-based non-profit academic publisher The Company of Biologists, in their two journals Development and Journal of Cell Science. Two of these four papers, the worst ones, feature as first author Jessus’ mentee Anthi Karaiskou (now associate professor at Sorbonne University). All these works of science contain such appalling Photoshop manipulations (while the relevant raw data was reliably missing) that the academic publisher had to bend over backwards to invent the reason why they did not retract those. In one case, there wasn’t even a correction. The journal simply issued a strange “publisher’s note”, telling which figures have been rigged and that original data was unavailable.
The argument went: the investigation by the Sorbonne University declared those copy-pasted gel bands to be good scientific practice, and even announced in advance on behalf of the journals that no corrections will be necessary. Based on that investigative report (which, as it was leaked, was written by Jessus’ personal ally and subordinate colleague Francis-Andre Wollman, assisted by Jessus herself), namely that manipulated data has no impact on the scientific message of the paper, the two journals resorted to the guidelines by the Committee on Publication Ethics (COPE) which say that a retraction is not appropriate where scientific message is solid. The circle of Pravda-esque idiocy was complete, and here come the three corrections and the bizarre “publisher’s note”, illustrated by the evidence from my site and on PubPeer. Do compare them with what now serves as replacement, the scientific message is not really always the same.
Correction: Phosphatase 2A and polo kinase, two antagonistic regulators of Cdc25 activation and MPF auto-amplification (J. Cell Sci. 112, 3747-3756)
Anthi Karaiskou, Catherine Jessus, Thierry Brassac, René Ozon
J Cell Sci 2018 131: jcs222190 doi: 10.1242/jcs.222190 Published 30 July 2018Journal of Cell Science was made aware of several issues raised by readers concerning duplication of data in Fig. 6A, Fig. 10B, Fig. 7A and Fig. 8A,B in J. Cell Sci. (2000) 113, 1127-1138.
After discussion with the corresponding author, Catherine Jessus, the journal referred this matter to Université Pierre et Marie Curie (UPMC, now Sorbonne Université), who investigated and cleared the authors of any wrongdoing. The UPMC committee concluded that no correction was necessary (full reports available at: http://www2.cnrs.fr/sites/communique/fichier/rapport_conclusions.pdf and http://www2.cnrs.fr/sites/communique/fichier/rapport_analyse_detaillee.pdf).
The editorial policies of Journal of Cell Science state that: “Should an error appear in a published article that affects scientific meaning or author credibility but does not affect the overall results and conclusions of the paper, our policy is to publish a Correction…” and that a Retraction should be published when “…a published paper contain[s] one or more significant errors or inaccuracies that change the overall results and conclusions of the paper…”. Journal of Cell Science follows the guidelines of the Committee on Publication Ethics (COPE), which state: “Retraction should usually be reserved for publications that are so seriously flawed (for whatever reason) that their findings or conclusions should not be relied upon”. The standards of figure assembly and data presentation in this paper fall short of current good scientific practice. However, given that the investigating committee at UPMC declared that the conclusions of the paper were not affected by the errors, the appropriate course of action – according to COPE guidelines – is to publish a Correction, which the journal has made as detailed as possible.Readers should note that the policy of the UPMC is that authors should retain original data for 10 years and that this paper falls outside this period.
Although the authors were unable to locate all the original data, they did produce replicates of experiments carried out at the same time showing similar results for most blots; the authors have therefore assembled new figure panels. However, they were unable to find the original data for the pTyr Cdc2 blot in Fig. 3B or Plkk1 blot in Fig. 3C and so have requested that these blots be disregarded. The authors state that as Cdc2 kinase activity is also shown in Fig. 3A, the conclusions are not affected by removal of the pTyr Cdc2 blot; the authors also state that the Plkk1 panel in Fig. 3C does not bring any input to the scientific conclusion.
The new panels for Figs 3 and 5 and the corrected legends are shown.
As a result of corrections to these figures, readers of J. Cell Sci. 112, 3747-3756 should ignore text related to the blot removed from Fig. 3B on p. 3750 (second column): ‘This linear activation of Cdc2 kinase is correlated with a slight and progressive tyrosine dephosphorylation (Fig. 3B).’ Also, p. 3750 (bottom of second column) should now read: ‘After addition of ATP or ATP together with okadaic acid in the F40, Plx1 kinase is activated in parallel with Cdc2 kinase, as judged by its electrophoretic mobility and Plx1 kinase assay (Fig. 3C,D).’
Readers should also note that there may be unmarked splicing of lanes from western blots in this paper, which although not acceptable by today’s standards was prevalent in 1999 when the paper was published.
The authors apologise to the journal and readers for these errors.
Journal of Cell Science refers readers to other notices related to the UPMC investigation:
Journal of Cell Science previously corrected another Jessus paper (Daldello et al 2015), by letting her replace a duplicated image with something which didn’t really fit either (see my analysis here). That correction is first in the list above. There were now two more corrections in J Cell Science, which I quote and illustrate below. The main part about the journal’s hands being allegedly tied by Sorbonne University, its own editorial guidelines and COPE, was the same in all editorial notes, so I give here the specific sections.
Correction: The phosphorylation of ARPP19 by Greatwall renders the auto-amplification of MPF independently of PKA in Xenopus oocytes (doi:10.1242/jcs.126599)
Aude Dupré, Eulalie Buffin, Chloé Roustan, Angus C. Nairn, Catherine Jessus, Olivier Haccard
J Cell Sci 2018 131: jcs222182 doi: 10.1242/jcs.222182 Published 30 July 2018Journal of Cell Science was made aware by a reader of issues regarding background cloning in Fig. 4D in J. Cell Sci. (2013) 126, 3916-3926 (doi:10.1242/jcs.126599).
The journal contacted the authors, who said that keratin spots in two control lanes of Fig. 4D had been blurred. After discussion with the corresponding author, Olivier Haccard, the journal referred this matter to Université Pierre et Marie Curie (UPMC, now Sorbonne Université). The UPMC committee decided that the conclusions of the paper were not affected by the error and recommended correction of the paper (full reports available at: http://www2.cnrs.fr/sites/communique/fichier/rapport_conclusions.pdf and http://www2.cnrs.fr/sites/communique/fichier/rapport_analyse_detaillee.pdf). […]
The original blot for Fig. 4D was available and the corrected figure panel is shown below.
During analysis of the original data for the UPMC investigating committee, the authors also found a problem with Fig. 2C. The autoradiographic films used did not arise from the samples illustrated in Fig. 2B. Although this error did not affect the overall scientific conclusions, the authors would like to correct this panel as shown below.
Readers should note that, in addition to a splice in Fig. S4, which was highlighted by a reader, there are several other instances of unmarked splicing of lanes in western blots in this paper. The authors state that splicing was performed solely for presentation purposes, and provided the journal with all the original data from which the figures were assembled. Although such unindicated splicing is not acceptable by today’s standards, it was still widespread in 2013 when this paper was published. Journal of Cell Science guidelines for figure preparation regarding splicing were introduced early in 2013, after this paper was accepted. […]
Aude Dupre is now tenured staff scientist at Paris-Seine University. Sadly, Sorbonne investigation did not illustrate what exactly happened to Figure 2. Maybe my readers will be interested?
For the last paper, Journal of Cell Science even refused to issue a correction. A “publisher’s note” sufficed. Just read the notice and look at the evidence. Can you take this journal seriously afterwards?
Publisher’s Note: Progesterone regulates the accumulation and the activation of Eg2 kinase in Xenopus oocytes (J. Cell Sci. 113, 1127-1138)
Marie Frank-Vaillant, Olivier Haccard, Catherine Thibier, René Ozon, Yannick Arlot-Bonnemains, Claude Prigent, Catherine Jessus
J Cell Sci 2018 131: jcs222240 doi: 10.1242/jcs.222240 Published 30 July 2018Journal of Cell Science was made aware of several issues raised by readers concerning duplication of data in Fig. 6A, Fig. 10B, Fig. 7A and Fig. 8A,B in J. Cell Sci. (2000) 113, 1127-1138.
After discussion with the corresponding author, Catherine Jessus, the journal referred this matter to Université Pierre et Marie Curie (UPMC, now Sorbonne Université), who investigated and cleared the authors of any wrongdoing. The UPMC committee concluded that no correction was necessary (full reports available at: http://www2.cnrs.fr/sites/communique/fichier/rapport_conclusions.pdf and http://www2.cnrs.fr/sites/communique/fichier/rapport_analyse_detaillee.pdf). […]
The authors were unable to locate original data for this paper. The policy of the UPMC is that authors should retain original data for 10 years and the paper falls outside this period.
The authors justify the use of the same control data in blots in Fig. 6A and Fig. 10B, and Fig. 7A and Fig. 8A,B since the conditions were exactly the same in each case. They use two alternative phrases, a precise one (‘2 hours later’) and a more global one (‘when 100% GVBD was reached’), to indicate the same time of collection of oocytes and state that: “The re-use of Cyclin B2 and Eg2 blots is fully justified as they arise from one single experiment, using the same oocytes and same conditions, from which different parts are illustrated in different figures. The same controls were re-used each time and are identical despite the slightly different wording [in the figure legends]”.
Readers should also note that there are unmarked splices on some of the blots in the paper. Although such splicing is not acceptable by today’s standards, it was a common practice when the paper was published, which was before the journal’s policy on figure manipulation was implemented (early in 2013). […]
Now the craziest correction of them all, in the journal Development. But first, some relevant side story.
One of Development‘s editorial board members is the CNRS scientist Patrick Lemaire , who sent in May 2018 a round email to his colleagues protesting the signature campaign of his peers which called for the head of a Le Monde journalist. Here some translated excerpts, pertinent to the case at hand:
“Because I’m a member of Editorial Board of Development, and that journal is involved, I have thoroughly perused the first official report (and unfortunately anonymous …) and the counter expertise, which is also anonymous. The first evaluation report is, to say the least, sloppy and covered with too many approximations (not able to recognize an RT-PCR …) even embarrassing omissions (it is not anywhere in the article Karaiskou et al in Development, if the experiments were repeated, and the expert report does not mention in any way that did they seek to find and analyse the repetitions of the incriminated experiments). One of the most problematic claims of this report, and repeated in the text of the petition, is that corrections in some journals (Development, Journal of Cell Science) were accepted. They are still not, more than 3 months after the publication of the report. […]
I really appreciate Catherine’s work at INSB and I regret deeply that it is she, because of her position and exposure which goes with it, who pays the price for questionable methods that we all applied to varying degrees at that time. I have carefully studied what is criticized in the articles she is a corresponding author (I did not look at others). I do not think that what has been done in these articles, which extract mainly qualitative messages (the band is there or not), go beyond negligence, certainly guilty, but which do not call into question the scientific message of the articles.”
Now let us see what Lemaire and his Development colleagues served us, after they finally did agree to issue a correction Sorbonne requested.
Correction: Polo-like kinase confers MPF autoamplification competence to growing Xenopus oocytes (doi:10.1242/dev.01050)
Anthi Karaiskou, Anne-Claire Leprêtre, Golbahar Pahlavan, David Du Pasquier, René Ozon, Catherine Jessus
Development 2018 145: dev169573 doi: 10.1242/dev.169573 Published 30 July 2018Development was made aware by a reader of potential duplication of data in Fig. 2A, Fig. 5C, Fig. 6 and Fig. 7A of Development (2004) 131, 1543-1552 (doi:10.1242/dev.01050).
The journal contacted the authors who said that some of the bands in western blots were duplicated during figure compilation. After discussion with Anthi Karaiskou and Catherine Jessus, Development referred this matter to Université Pierre et Marie Curie (UPMC, now Sorbonne Université), who investigated and cleared the authors of any wrongdoing. The UPMC committee decided that the conclusions of the paper were not affected by the errors and recommended correction of the paper (full reports available at: http://www2.cnrs.fr/sites/communique/fichier/rapport_conclusions.pdf and http://www2.cnrs.fr/sites/communique/fichier/rapport_analyse_detaillee.pdf). Development’s editorial policies state that: “Should an error appear in a published article that affects scientific meaning or author credibility but does not affect the overall results and conclusions of the paper, our policy is to publish a Correction…” and that a Retraction should be published when “…a published paper contain[s] one or more significant errors or inaccuracies that change the overall results and conclusions of a paper…”. Development follows the guidelines of the Committee on Publication Ethics (COPE), which state: “Retraction should usually be reserved for publications that are so seriously flawed (for whatever reason) that their findings or conclusions should not be relied upon”. The standards of figure assembly and data presentation in this paper fall short of current good scientific practice. However, given that the investigating committee at UPMC declared that the conclusions of the paper were not affected by the errors, the appropriate course of action – according to COPE guidelines – is to publish a Correction, which Development has made as detailed as possible.
Readers should note that the policy of the UPMC is that authors should retain original data for 10 years; the paper falls outside this period. The authors were unable to find all the original data, but replicates of experiments carried out at the same time showing the same results were found for most blots and several new figure panels have been assembled.
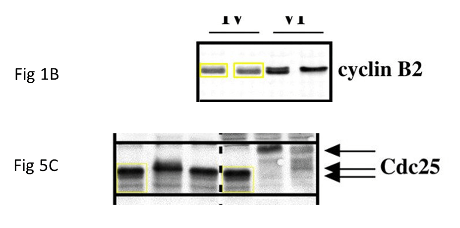
In Fig. 2A, no data for the cyclin B2 blot could be found. The authors say that as the same results are also shown in Fig. 1B, and Figs 3 and 6, the cyclin B2 blot can be removed without affecting the conclusions. The new Fig. 2A is shown below. Development has not seen the original data for these results.
Fig. 4B had unmarked splicing that the authors would like to correct. Original data could not be found for these blots but results from a replicate experiment carried out at the same time are shown.
For Fig. 5C, most of the original blots were found and the corrected figure panel is shown below. Note that original data were not found for the Cdc2 kinase activity, so this autoradiogram has been removed. The authors state that this does not affect the conclusions as Cdc2 activity is reflected by its tyrosine phosphorylation level and the graph in Fig. 5B. Lines indicating where the blots in Fig. 5A have been spliced have also been added; however, Development has not seen the original data for Fig. 5A.
In Fig. 6, original blots were found for all panels except P-MAPK and the corrected figure with lines indicating splices is shown.
In Fig. 7A, replicate results from the same experiment were found. No original data were found for the H1 kinase activity, so this has been removed. The authors state that absence of these data does not affect the conclusions because Cdc2 activity is reflected by its tyrosine 15 phosphorylation level. Lines indicating where the blots in Fig. 7B have been spliced have also been added. The new figure is shown here.
As a result of corrections to these figures, readers of Development (2004) 131, 1543-1552 (doi:10.1242/dev.01050) should ignore reference to H1 kinase activity on p. 1549. The second paragraph should now read: ‘The high H1 kinase activity generated by cyclin B1 addition in the presence of Plk1 indicates that, despite the partial phosphorylation of Cdc2, the cyclinB1-Cdc2 neocomplexes are mainly active (Fig. 5C).’ Text in the fourth paragraph should read: ‘Constitutively active Plk1 expression did not allow stage IV oocytes to respond to progesterone, as indicated by the absence of Cdc25 and Myt1 electrophoretic shift and the maintenance of Tyr15 phosphorylation of Cdc2 (Fig. 7A).’ […]
You see how elegantly Lemaire and his Development colleagues solved the predicament Jessus et al were in. Because, as Lemaire said, we all apply such questionable methods. Not everyone agrees, so here is another “enemy of the people” not afraid of the Stalinist prosecution.
Jack Falcon is marine biologist, emeritus at CNRS. Try as they might, there is not much those Stalinists can do to him now. Though you never know. This is Falcon’s comment to me about Lemaire’s defence of Jessus:
“Patrick Lemaire explains why he did not sign the petition in support of C. Jessus. He adds in his open letter “questionable methods that we all applied at this time. How can he write this? No, I cannot subscribe to this; all my career I’ve been chasing these methods as a researcher, team leader or referee, I never “played” with Photoshop, and I do not think to be an exception, although I did see practices of the kind (e.g., a colleague taking used gels from the trash because he was too lazy to make new ones. What happened to him? Nothing). Saying that we all practiced such methods is an attempt to minimize the fault, it brings discredit on the whole French profession, and it is seriously defacing the image of the CNRS and its researchers! How to accredit the conclusions of CNRS and AERES decision-makers on the future of research teams or that of individual researchers, knowing that some of their members with high positions in the hierarchy have so “flexible” criteria?”
Outside of France, no media mentions the Jessus affair. Meanwhile, CNRS President Antoine Petit promoted Jessus (so she gets paid more) and is still searching for the ten traitors who wrote the counter report. To “speak” to them.


Donate!
If you are interested to support my work, you can leave here a small tip of $5. Or several of small tips, just increase the amount as you like (2x=€10; 5x=€25). Your generous patronage of my journalism will be most appreciated!
€5.00














Hi Leonid
I think this calls again for the nuclear option: CNRS delenda est!!
Cheers, Oliver
LikeLike
As I mentioned before: https://forbetterscience.com/2018/07/31/dfg-and-marburg-drop-misconduct-investigation-of-roland-lill-papers/#comments
Copy and paste whether of bands, of microscope pictures, etc it was seen as a good and accepted practice not long ago…
LikeLike
Duplication of data may double your publication record and secure your position, but for scientific progress, patients and society it is a disaster. It is really sad to see that the research institutions,grant providers, patient organizations, publishers and the pharmaceutical industry only appreciate prestige and mammon. The scientific truth is totally forgotten.
LikeLiked by 1 person
Funny to see that Mrs Jessus got promoted despite the fact that her ‘methods’ are in question. When it came to my promotion she blocked it and said to the members of the committee that put me on the list of promoted people that I was “a source of problems well known from the CNRS head staff”. No more details; when I asked her for explanations and an interview she replied “no need, all has been said”. And she and the CNRS director Fusch, even didn’t answer letters of support and a petition that colleagues (mostly not French) sent to them…
LikeLike
It sounds like Mrs Jessus is a clinical psychopath (cluster B personality disorder) plain and simple. That would include precisely this type of behaviour. In fact I would propose that most people conducting full blown scientific fraud are psychopaths.
LikeLiked by 1 person
“Funny to see that Mrs Jessus got promoted despite the fact that her ‘methods’ are in question.” Mrs Jessus got promoted BECAUSE she uses the methods encouraged by CNRS. French scientific institutions have two main roles : supporting the French bibliometric Indexes and giving advices that support the French companies.
LikeLike
Perhaps you’re right, perhaps not; which institutions, wide world are not doing this?
The organization of the CNRS is made in such a way that once at the top it is very difficult to be dethroned. This opens the way to totalitarianism … “a banana republic” as someone from inside the CNRS told me once… In a system like this, you better be the friend of the friend that has good relationships with the “top” than the black sheep. Good for everything, including career and promotions…
LikeLike
This is not specific to CNRS but is common in the French hierarchy. There is a word that cannot be translated in French, accountability. If a French hierarch is found guilty (in French, coupable) of something, he will say “je suis responsable” or “responsable mais pas coupable” as if responsibility could exonerate from guilt.
LikeLike
LikeLike
Pingback: Why Nature Genetics overlooks Voinnet cheatings – For Better Science
Pingback: Fraud proven in papers of former CNRS president Anne Peyroche – For Better Science
Pingback: Olivier Voinnet, the new Dreyfus? – For Better Science
Pingback: Spanish elites rally in support of data manipulation – For Better Science
Pingback: Inspector Voinnet, Wollman in fraud-overdrive, and Farewell to Jessus – For Better Science
Pingback: CEA declares Anne Peyroche's data fakery scientifically correct – For Better Science