In July 2015 I was contacted by a concerned reader, asking me to place on PubPeer on his behalf a concern about a suspicious gel image in a 2009 paper by the plant scientist Sauren Das from the Indian Statistical Institute in Calcutta. The person who contacted me claimed that his attempt to place his comment did not pass moderation by PubPeer. As I had a registered PubPeer account, I succeeded. This excessively spliced gel was what I flagged:

I was harshly criticized by an anonymous commenter, who decreed: “ I’m not sure why you think you are in a position to lecture anyone”.
Now another paper by Das in the same journal, Physiology and Molecular Biology of Plants was set to be retracted by the editors, due to similar concerns of image integrity. The decision was made seven months ago, yet nothing happened since, apparently due to the reluctance to retract from the side of the publisher Springer.
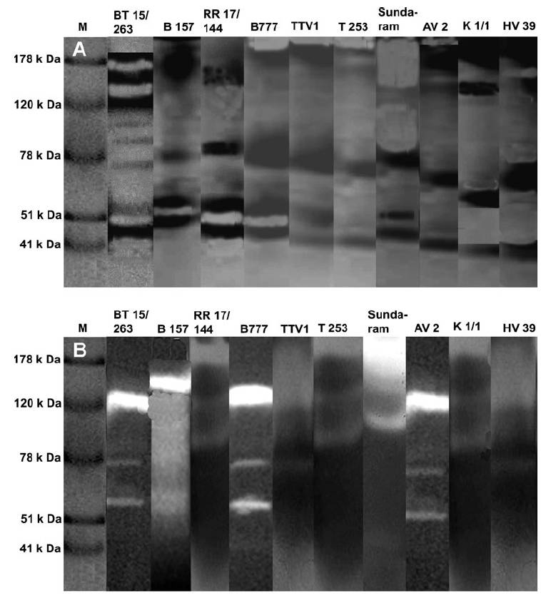
This 2013 paper by Das is to be retracted by the decision of the journal’s Editor-in Chief, N. Raghuram, Dean of the GGS Indraprastha University, India, and the associate editor Sheila Macfie, professor for Biological & Geological Sciences at the Western University, Canada. The problematic image, as presented on PubPeer, is:

Earlier communications forwarded to me revealed that the journal’s editors have uncovered data manipulation like:
- “A large grey box that has been superimposed on lane K 1/1 in Panel A, immediatedly above the lowest band” and “another grey patch at the very top of lane BT15/263”
- “In Panel B, lane BT 15/263 looks very similar to lane AV 2. Also in Panel B, lane TTV1 looks very similar to lane HV 39”.
This is what Raghuram wrote to Das on July 31st 2015:
“Dear Dr. Sauren Das,
In view of PMBP’s committment to maintaining the highest standards of ethics and scientific accuracy in the published scientific record, I was compelled to confront you with the charge of manipulation of gel photograph in your paper published in this journal, as alleged on Pubpeer. You were given an opportunity to respond to the charge, and your defence was rejected following our editorial enquiry and you were given one month to reproduce your results with fresh, unmanipulated data, or face retraction of your paper published in PMBP. Your one month time expired on 29-7-2015.
In view of your lack of response to my last mail forwarded below, as well as in view of your lack of interest to defend your own results and your reputation that was challenged on pubpeer, we presume that you cannot reproduce your data, and/or no longer interested to prove your innocence as per your initial response. Either way, PMBP cannot afford to keep its own reputation in suspended animation any longer and is compelled to editorially retract your paper with the following statement of retraction:
Retraction note to the article: “Antioxidants and ROS scavenging ability in ten Darjeeling tea clones may serve as markers for selection of potentially adapted clones against abiotic stress” by Nirjhar Dasgupta, Prosenjit Biswas, Rakesh Kumar, Narendra Kumar, Biswajit Bera, Sauren Das, Physiology and Molecular Biology of Plants July 2013, Volume 19, Issue 3, pp 421-433
This article has been retracted by the editor on account of falsification/fabrication of data in Figure 3 of the above paper, as the corresponding author failed to defend the charge levelled initially at Pubpeer and validated subsequently through an editorial enquiry at PMBP, and also failed to reproduce fresh results sought by the editor. The employer of the author has been intimated”.
Apparently, nothing has happened since from the side of the publisher Springer. Today, Raghuram wrote to Jaime A. Teixeira da Silva (who originally reported the Pubpeer issue to the editors) and myself in cc:
“Dear colleagues,
The query from Pubpeer with copies to Retraction Watch regarding the article of Sauren Das in PMBP is of serious concern. The editorial decision to retract that paper was communicated to Springer on 31st July 2015 after exercising due diligence on the complaint (see copy of the mail below). Another retraction of the article of Mukhtar et al (2012) [Vol. 18(4):381-6, -LS] in PMBP is also pending. I am copying this email to the concerned staff in Springer to look into why there was a delay in the publication of this retraction and to expedite its publication and inform us accordingly”.
I have now contacted Springer as well and will update here if the publisher should provide any explanations for their reluctance to publish the retraction.
Update 16.03.2016.
I have corrected this article’s title follwoing requests by the EiC Raghuram and Springer, since now it is not at all clear whose oversight or incompetence the delayed retraction was due to. Raghuram refused to answer my questions how he originally communicated his retraction decision to Springer, either by email (to whom) or via publisher software interface. Springer’s senior communications manager, Joan Robinson, followed up the case upon my inquiry and issues this statement:
“The delay in retracting the papers was unfortunately due to a technical oversight. The Springer publishing editor never received the e-mail from editor-in-chief Dr. Raghuram alerting him to the problem in July 2015. Only recently was the issue brought to his attention and he was able to locate the e-mail in his spam filter. He is taking immediate action to have the papers retracted.
There was neither pressure on Springer nor reluctance on the part of Springer to retract the papers. Springer, in order to safeguard the quality of its journal publications, follows the guidelines of the Committee on Publishing Ethics (COPE) and takes its obligation to maintain the integrity of the scientific record seriously”.

It is extremely disconcerting that the retraction notices for two papers that were set to be retracted 8 months ago just “disappeared”. Springer, a COPE member, has plenty of explaining to do.
The second retraction that the EIC of PMBP is referring to, is:
Physiology and Molecular Biology of Plants October 2012, Volume 18, Issue 4, pp 381-386
Influencing micropropagation in Clitoria ternatea L. through the manipulation of TDZ levels and use of different explant types
Seemab Mukhtar 1, Naseem Ahmad 1, Md Imran Khan 1, Mohammad Anis 1/2, Ibrahim M. Aref 2
1. Plant Biotechnology laboratory, Department of Botany, Aligarh Muslim University, Aligarh, 202 002, India
2. Department of Plant Production, College of Food and Agriculture Sciences, King Saud University, PO Box 2460, Riyadh, 11451, Saudi Arabia
DOI: 10.1007/s12298-012-0136-4
http://link.springer.com/article/10.1007/s12298-012-0136-4
http://www.ncbi.nlm.nih.gov/pmc/articles/PMC3550560/
https://pubpeer.com/publications/DD7586286AE40608BB1C4C7BA59497
LikeLike
This is a remarkable state of affairs – surely Springer has a system for retracting papers? What could delay matters once they decide to retract one?
LikeLike
I would hazzard a guess (think of it as a hypothesis while we wait for the Springer officials to respond). 1) An Indian-run journal. 2) Powerful Indian scientists in 3) leading Indian institutes. In the case of Das, an Indian Government institute that could suffer great shame as a result of this retraction. In the case of Anis, an Indian plant science superhero of sorts in a powerful religious-based academic institute* with many ties to the Indian Government. I would not rule out the influence of power on a publisher’s ethical stance. 8 months is unacceptable. What could explain this except for the politics of science ethics? What would be interesting is if there has been a legal challenge on these retractions to save face…
http://www.amu.ac.in/
https://en.wikipedia.org/wiki/Aligarh_Muslim_University
LikeLike
“From: Kapila, Dr. Mamta, Springer IN
Sent: Wednesday, March 09, 2016 2:49 PM
To: Wervone Aguilar, Andrew
Cc: RP Singh; Sheila Macfie; Chua, Marie Veth; Ivan Oransky; Rana Pratap Singh; Adam Marcus; N. Raghuram; Jaime Silva; Leonid Schneider
Subject: RE: Plagiarism: PMBP retraction query: 2013 Darjeeling tea paper
Dear Andrew,
Could you please take this up on your topmost priority and retract the said article with no further delay?
Thank you!
Best Regards,
Mamta”
“On Wednesday, March 9, 2016 3:58 PM, “Wervone Aguilar, Andrew” [email redacted] wrote:
Dear Dr. Kapila,
To proceed with the processing, we need the approval of the journals VP. After which, this will be forwarded to the Quality team for further assessment. The final retraction note should come from them.
Thank you.
Sincerely yours,
Andrew
(Mr.) Andrew Wervone A. Aguilar
Springer
Journals Production
Springer Nature
[details redacted]
http://www.springernature.com
Springer Nature is one of the world’s leading global research, educational and professional publishers, created in May 2015 through the combination of Nature Publishing Group, Palgrave Macmillan, Macmillan Education and Springer Science+Business Media.”
“On Thursday, March 10, 2016 12:52 AM, Jaime Silva [email redacted] wrote:
Dear Andrew and Mamta,
Thank you for copying the communications to all of us.
There seems to be some misunderstanding. As already clearly indicated by the senior editor, Prof. Raghuram, who is also a vice president, we are referring to two retractions in PMBP, and not just one.
These are:
Physiology and Molecular Biology of Plants July 2013, Volume 19, Issue 3, pp 421-433
Antioxidants and ROS scavenging ability in ten Darjeeling tea clones may serve as markers for selection of potentially adapted clones against abiotic stress
Nirjhar Dasgupta, Prosenjit Biswas, Rakesh Kumar, Narendra Kumar, Biswajit Bera, Sauren Das
DOI: 10.1007/s12298-013-0187-1
http://link.springer.com/article/10.1007%2Fs12298-013-0187-1
https://pubpeer.com/publications/9543DEAD0C5A57B5EFA7A7D1B26B88
Physiology and Molecular Biology of Plants October 2012, Volume 18, Issue 4, pp 381-386
Influencing micropropagation in Clitoria ternatea L. through the manipulation of TDZ levels and use of different explant types
Seemab Mukhtar, Naseem Ahmad, Md Imran Khan, Mohammad Anis, Ibrahim M. Aref
DOI: 10.1007/s12298-012-0136-4
http://link.springer.com/article/10.1007/s12298-012-0136-4
http://www.ncbi.nlm.nih.gov/pmc/articles/PMC3550560/
https://pubpeer.com/publications/DD7586286AE40608BB1C4C7BA59497
Given your statement, I have taken the opportunity of also copying the other two VPs, Prof. Tripathi and Prof. Bose.
The plant science community looks forward to seeing these retractions processed, as promised, and also to a formal explanation for the delays.
Sincerely,
Jaime A. Teixeira da Silva”
LikeLike
Andrew Wervone Aguilar refers to the “Quality team” that will finally process and approve the retraction notice(s). Why can the public not see who makes up this “Quality team”, so we can assess their professional credentials? Surely, teams that are responsible for such important decisions should be as visible and transparent as editor boards? Otherwise, how does the public hold the publisher accountable?
LikeLike
“On Thursday, March 10, 2016 2:52 PM, “Kapila, Dr. Mamta, Springer IN” wrote:
Dear Dr. Teixeira da Silva,
Greetings from Springer!
First, I would like to apologize for the long delay as I could see the mails only recently; the mails had come in my spam folder and lying unattended.
As know are well informed of, Springer is a member of COPE and takes cases of plagiarism or violation of publishing ethics very seriously. There is absolute no reluctance on Springer’s part to retract the two-said articles from Springer’s platforms. And, I assure you that it shall be done very soon.
I have already initiated this and I anticipate to have it done soon.
Best Regards,
Mamta”
LikeLike
Physiology and Molecular Biology of Plants October 2012, Volume 18, Issue 4, pp 381-386
Influencing micropropagation in Clitoria ternatea L. through the manipulation of TDZ levels and use of different explant types
Seemab Mukhtar 1, Naseem Ahmad 1, Md Imran Khan 1, Mohammad Anis 1,2, Ibrahim M. Aref 2
1. Plant Biotechnology laboratory, Department of Botany, Aligarh Muslim University, India
2. Department of Plant Production, College of Food and Agriculture Sciences, King Saud University, Kingdom of Saudi Arabia
http://link.springer.com/article/10.1007/s12298-012-0136-4
DOI: 10.1007/s12298-012-0136-4
https://pubpeer.com/publications/DD7586286AE40608BB1C4C7BA59497
Retraction:
http://link.springer.com/article/10.1007/s12298-016-0352-4
DOI: 10.1007/s12298-016-0352-4
“The corresponding author retracts this article due to the erroneous inclusion of Table 3 and Fig. 1C from the previously published article by Mukhtar, S., Anis, M., & Ahmad, N.(2010) titled “In vitro optimization of phytohormones on micropropagation in Butterfly pea (Clitoria ternatea L.)” in the Journal of herbs, spices & medicinal plants 16:2, 98–105. The authors regret the error due to oversight and thank the anonymous complainant and the editor of PMBP for bringing it to their notice.”
https://www.pubpeer.com/publications/BE143C87944AB5C99350C7AE49AC2F
LikeLike
Three more retractions in Springer’s Physiology and Molecular Biology of Plants.
Physiology and Molecular Biology of Plants pp 1-11
First online: 05 March 2016
Expression of a bacterial chitinase (ChiB) gene enhances resistance against E. polygoni induced powdery mildew disease in the transgenic Black gram (Vigna mungo L.) (cv. T9)
D. K. Das
Post Graduate Department of Biotechnology, T. M. Bhagalpur University, Bhagalpur, India
http://link.springer.com/article/10.1007/s12298-016-0344-4
DOI: 10.1007/s12298-016-0344-4
Retraction:
http://link.springer.com/article/10.1007/s12298-016-0344-4
“The editors retract this article published at Online First, due to the author’s unethical inclusion of all the figures and tables, as well as paraphrased text from his previously published research articles listed below:
1. Das, Dilip Kumar, Mrinalini Bhagat, and Sangeeta Shree. “Agrobacterium Mediated Transformation of Vigna mungo (L.) Hepper with Cry1Ac Gene for Insect Resistance.” American Journal of Plant Sciences 7.02 (2016): 316.
2. Das, Dilip K., N. Shiva Prakash, and Neera Bhalla-Sarin. “An efficient regeneration system of black gram (Vigna mungo L.) through organogenesis.” Plant Science 134.2 (1998): 199-206.
3. Das, Dilip K., et al. “Improved method of regeneration of black gram (Vigna mungo L.) through liquid culture.” In Vitro Cellular & Developmental Biology-Plant 38.5 (2002): 456-459.
4. Das, D. K., and A. Rahman. “Expression of a rice chitinase gene enhances antifungal response in transgenic litchi (cv. Bedana).” Plant Cell, Tissue and Organ Culture (PCTOC) 109.2 (2012): 315-325.
5. Das, D. K., and A. Rahman. “Expression of a rice chitinase gene (ChiB) enhances antifungal response in transgenic litchi (cv. Bedana).” Current Trends in Biotechnology and Pharmacy 4.3 (2010): 820-833.
The editors regret that this scientific misconduct escaped the evaluation processes of the journal and thank the complainants and pubpeer for bringing it to their notice. The reviewers of the manuscript and the employer of the author have been alerted of the misconduct.”
Physiology and Molecular Biology of Plants pp 1-8
First online: 09 February 2016
Effect of paclobutrazol on photosynthesis and expression of pyrroline-5-carboxylatesynthase in contrasting wheat genotypes under water deficit stress condition
Sharad Kumar Dwivedi, Santosh Kumar
Division of Crop Research, ICAR Research complex for Eastern Region, Patna, Bihar, 800 014, India
http://link.springer.com/article/10.1007/s12298-016-0343-5
DOI: 10.1007/s12298-016-0343-5
Retraction:
http://link.springer.com/article/10.1007/s12298-016-0343-5
“The corresponding author retracts this article published at online first due to the unreliability of findings arising out of inappropriate handling of the photograph at the bottom right panel of Fig. 2. The authors regret the inappropriate image and thank the anonymous complainant at Pubpeer and the editor of PMBP for bringing it to their notice.”
Physiology and Molecular Biology of Plants pp 1-6
First online: 29 January 2016
Influence of Agrobacterium rhizogenes strains, acitosyringone, inoculum size and temperature on production of active ingredients from Picrorhiza kurrooa
Janhvi Mishra Rawat, Balwant Rawat, Susmita Mishra, Aakriti Bhandari, Rajneesh K Agnihotri, Anup Chandra
http://link.springer.com/article/10.1007/s12298-016-0341-7
DOI: 10.1007/s12298-016-0341-7
Retraction:
http://link.springer.com/article/10.1007/s12298-016-0341-7
“The corresponding author withdraws/retracts this article due to the mistaken inclusion of Fig. 1b from our previously 2011 paper in Acta Physiologiae Plantarum entitled “Hairy root culture of Picrorhiza kurrooa Royle ex Benth.: a promising approach for the production of picrotin and picrotoxinin”. The authors accept the mistake and thank the anonymous complainant and the editor of PMBP for bringing it to their notice.”
LikeLike
Another two Physiology and Molecular Biology of Plants papers being questioned at PubPeer. The authors and editors have been formally contacted today. Will update as the case progresses.
Physiology and Molecular Biology of Plants
April 2013, Volume 19, Issue 2, pp 251-260
In vitro clonal propagation and genetic fidelity of the regenerants of Spilanthes calva DC. using RAPD and ISSR marker
Mohd. Razaq, Monika Heikrujam, Siva K. Chetri, Veena Agrawal
Department of Botany, University of Delhi, Delhi, 110007, India
http://www.ncbi.nlm.nih.gov/pubmed/24431493
http://www.ncbi.nlm.nih.gov/pmc/articles/PMC3656186/
http://link.springer.com/article/10.1007%2Fs12298-012-0152-4
DOI: 10.1007/s12298-012-0152-4
PMID: 24431493
PMCID: PMC3656186
Physiology and Molecular Biology of Plants
October 2014, Volume 20, Issue 4, pp 517-526
Micropropagation and validation of genetic and biochemical fidelity amongst regenerants of Cassia angustifolia Vahl employing RAPD marker and HPLC
Siva K. Chetri, Pratima Rani Sardar, Veena Agrawal
Department of Botany, University of Delhi, Delhi, 110007, India
http://www.ncbi.nlm.nih.gov/pubmed/25320475
http://www.ncbi.nlm.nih.gov/pmc/articles/PMC4185055/
http://link.springer.com/article/10.1007%2Fs12298-014-0257-z
DOI: 10.1007/s12298-014-0257-z
PMID: 25320475
PMCID: PMC4185055
Spilanthes 2013:
https://pubpeer.com/publications/EDB5AB063FCEF7910C501B737D2CFF
https://pubpeer.com/publications/24431493
Cassia 2014:
https://pubpeer.com/publications/05729B4AAC5F81445C083DC4C3E8A2
Relevant figures:
LikeLike
The Sauren Das paper has now been finally retracted:
“This article has been retracted by the editor on account of falsification/fabrication of data in Figure 3 of the above paper, as the corresponding author failed to defend the charge levelled initially at Pubpeer and validated subsequently through an editorial enquiry at PMBP, and also failed to reproduce fresh results sought by the editor. The employer of the author has been intimated.”
http://link.springer.com/article/10.1007%2Fs12298-013-0187-1
LikeLike
There are other cases of PMBP papers (2014-March, 2016) currently being investigated or queried. Below is the latest synthesis. IN all cases, the authors and the editors were alerted, sometime between March 25 and March 30, 2016.
Case 1
Physiology and Molecular Biology of Plants
October 2015, Volume 21, Issue 4, pp 551-558
Oxidative stress induced expression of monodehydroascorbate reductase gene in Eleusine coracana
Jebi Sudan, Bhawana Negi, Sandeep Arora
http://link.springer.com/article/10.1007/s12298-015-0327-x
doi: 10.1007/s12298-015-0327-x
http://www.ncbi.nlm.nih.gov/pubmed/26600681
https://pubpeer.com/publications/3FD42C4A4F3C6D18586280BBC4ED3A
Relevant figures:
Case 2
Physiology and Molecular Biology of Plants
October 2014, Volume 20, Issue 4, pp 411-423
First online: 05 July 2014
Screening of rice landraces for salinity tolerance at seedling stage through morphological and molecular markers
Md. Nasim Ali, Lucina Yeasmin, Saikat Gantait, Rupak Goswami, Somsubhra Chakraborty
http://link.springer.com/article/10.1007/s12298-014-0250-6
DOI: 10.1007/s12298-014-0250-6
http://www.ncbi.nlm.nih.gov/pubmed/25320465
https://pubpeer.com/publications/9F7583A990AA434BC0DE821CC8DA03
Case 5
Physiology and Molecular Biology of Plants
April 2014, Volume 20, Issue 2, pp 235-240
First online: 13 March 2014
Plant regeneration from leaf explants of Aloe barbadensis Mill. and genetic fidelity assessment through DNA markers
Souvagyalaxmi Sahoo, Gyana Ranjan Rout
http://link.springer.com/article/10.1007/s12298-014-0226-6
DOI: 10.1007/s12298-014-0226-6
http://www.ncbi.nlm.nih.gov/pubmed/24757327
Journal of Cell and Tissue Research Vol. 14(1) 4123-4130 (2014)
EFFECT OF GROWTH REGULATORS ON IN VITRO PROPAGATION OF ALOE BARBADENSIS MILL. AND ASSESSMENT OF GENETIC FIDELITY THROUGH RAPD MARKERS
SAHOO, S. AND ROUT, G. R.
Click to access 9583821._Sahoo.pdf
https://pubpeer.com/publications/3BBF3B92834C19CA3674A7A39557AC
Relevant figures:
Case 6
Physiology and Molecular Biology of Plants
April 2014, Volume 20, Issue 2, pp 241-247
First online: 03 April 2014
Synergistic effect of BAP and GA3 on in vitro flowering of Guizotia abyssinica Cass.-A multipurpose oil crop
S. Baghel, Y. K. Bansal
http://link.springer.com/article/10.1007/s12298-014-0229-3
DOI: 10.1007/s12298-014-0229-3
Micropropagation and In vitro Flowering of a Biodiesel Plant Niger Guizotia Abyssinica (Cass.)
Sapna Baghel, Yogendra Kumar Bansal
ASIAN JOURNAL OF EXPERIMENTAL BIOLOGICAL SCIENCES VOL 4(4) 2013: 532-539
http://ajebs.com/
http://ajebs.com/vol4%284%29.html
https://www.researchgate.net/publication/263256640
https://pubpeer.com/publications/DAE01AAA4668240A02DABDE340FC56
Relevant figures:
Case 7
Physiology and Molecular Biology of Plants
pp 1-8
First online: 09 February 2016
Effect of paclobutrazol on photosynthesis and expression of pyrroline-5-carboxylatesynthase in contrasting wheat genotypes under water deficit stress condition
Sharad Kumar Dwivedi, Santosh Kumar
http://link.springer.com/article/10.1007/s12298-016-0343-5
DOI: 10.1007/s12298-016-0343-5
https://pubpeer.com/publications/8537C9EBE42560E845C5DB01932AF9
Relevant figures:
Case 8
Physiology and Molecular Biology of Plants
pp 1-12
First online: 06 February 2016
In vitro propagation, micromorphological studies and ex vitro rooting of cannon ball tree (Couroupita guianensis aubl.): a multipurpose threatened species
Mahipal S. Shekhawat, M. Manokari
http://link.springer.com/article/10.1007/s12298-015-0335-x
DOI: 10.1007/s12298-015-0335-x
https://pubpeer.com/publications/B09FA0F662D60157C9056A2617C667
Case 10
Physiology and Molecular Biology of Plants
pp 1-6
First online: 29 January 2016
Influence of Agrobacterium rhizogenes strains, acitosyringone, inoculum size and temperature on production of active ingredients from Picrorhiza kurrooa
Janhvi Mishra Rawat, Balwant Rawat, Susmita Mishra, Aakriti Bhandari, Rajneesh K Agnihotri, Anup Chandra
http://link.springer.com/article/10.1007/s12298-016-0341-7
DOI: 10.1007/s12298-016-0341-7
Acta Physiologiae Plantarum
September 2011, Volume 33, Issue 5, pp 1841-1846
First online: 09 February 2011
Hairy root culture of Picrorhiza kurroa Royle ex Benth.: a promising approach for the production of picrotin and picrotoxinin
Janhvi Mishra, Himani Bhandari, Mahendra Singh, Sandeep Rawat, R. K. Agnihotri, S. Mishra, S. Purohit
http://link.springer.com/article/10.1007%2Fs11738-011-0724-x
DOI: 10.1007/s11738-011-0724-x
https://pubpeer.com/publications/6BFBCE80A000FFA9CAE853AAF1FAAA
Relevant figures:
Case 13
Physiology and Molecular Biology of Plants
July 2015, Volume 21, Issue 3, pp 417-424
An efficient in vitro shoot regeneration from leaf petiolar explants and ex vitro rooting of Bixa orellana L.- A dye yielding plant
Arifullah Mohammed, Kishore K. Chiruvella, Nima D. Namsa, Rama Gopal Ghanta
http://link.springer.com/article/10.1007/s12298-015-0297-z
DOI: 10.1007/s12298-015-0297-z
http://www.ncbi.nlm.nih.gov/pubmed/26261406
https://pubpeer.com/publications/FF50B8A188916EF52EDA421E8914CC
Relevant figures:
Case 14
Paper 1
Indian Journal of Plant Physiology
December 2015, Volume 20, Issue 4, pp 317-323
Effect of potent cytokinin thidiazuron on in vitro morphogenic potential of broccoli (Brassica oleracea L. var. italica), an important vegetable crop
Pankaj Kumar, D. K. Srivastava
DOI: 10.1007/s40502-015-0179-y
http://link.springer.com/article/10.1007/s40502-015-0179-y
https://pubpeer.com/publications/6C9583D0E00F28F4F3632CCF3141FF
Paper 2
Journal of Crop Improvement 29:4, 432-446 (2015)
Pankaj Kumar, Ayesh Gaur, D. K. Srivastava
Morphogenic Response of Leaf and Petiole Explants of Broccoli Using Thidiazuron
DOI: 10.1080/15427528.2015.1046626
http://www.tandfonline.com/doi/full/10.1080/15427528.2015.1046626
https://pubpeer.com/publications/79AE2A0507E45857741747BC2863F7
Paper 3
Physiology and Molecular Biology of Plants
April 2015, Volume 21, Issue 2, pp 279-285
High frequency organogenesis in hypocotyl, cotyledon, leaf and petiole explants of broccoli (Brassica oleracea L. var. italica), an important vegetable crop
Pankaj Kumar, D. K. Srivastava
DOI: 10.1007/s12298-015-0282-6
http://link.springer.com/article/10.1007/s12298-015-0282-6
http://www.ncbi.nlm.nih.gov/pubmed/25964720
https://pubpeer.com/publications/A433A442144C68E0C601C0A3CAAA00
Paper 4
CURRENT SCIENCE, VOL. 109, NO. 8, pp. 1470-1475, 25 OCTOBER 2015
Molecular analysis of genetic stability in in vitro regenerated plants of broccoli (Brassica oleracea L. var. italica)
Pankaj Kumar, Geetika Gambhir, Ayesh Gaur and D. K. Srivastava
Click to access 1470.pdf
doi: 10.18520/v109/i8/1470-1475 (does not link to PubPeer)
Requested and waiting:
Pankaj Kumar (2012) Clonal propagation in broccoli (Brassica oleracea L. var. italica): plant tissue culture. LAP Lambert Academic Publishing, Germany, 122 pages (May 17, 2012)
http://pdfsr.com/isbn/9783659110207
Relevant figures:
Case 15
Physiology and Molecular Biology of Plants
April 2015, Volume 21, Issue 2, pp 243-247
Validation of SSR markers associated with rust (Uromyces fabae) resistance in pea (Pisum sativum L.)
Anil Kumar Singh, Rashmi Rai, Brahma Deo Singh, Ramesh Chand, Chandra Prakash Srivastava
http://link.springer.com/article/10.1007/s12298-015-0280-8
DOI: 10.1007/s12298-015-0280-8
http://www.ncbi.nlm.nih.gov/pubmed/25964717
https://pubpeer.com/publications/A49EDFEE0C10DA567AF00E0FA20C1C
Relevant figures:
Case 16
Physiology and Molecular Biology of Plants
April 2015, Volume 21, Issue 2, pp 187-196
Transcriptional profiling in pearl millet (Pennisetum glaucum L.R. Br.) for identification of differentially expressed drought responsive genes
Minakshi Choudhary, Jayanand, Jasdeep Chatrath Padaria
http://link.springer.com/article/10.1007/s12298-015-0287-1
DOI: 10.1007/s12298-015-0287-1
http://www.ncbi.nlm.nih.gov/pubmed/25964713
https://pubpeer.com/publications/B2C513C5EA35DE02EEEE60E2B86800
Relevant figures:
Case 17
Physiology and Molecular Biology of Plants
January 2015, Volume 21, Issue 1, pp 117-122
Initial determination of DNA polymorphism of some Primula veris L. populations from Kosovo and Austria
Naim Berisha, Fadil Millaku, Bekim Gashi, Elez Krasniqi, Johannes Novak
http://link.springer.com/article/10.1007/s12298-014-0275-x
DOI: 10.1007/s12298-014-0275-x
http://www.ncbi.nlm.nih.gov/pubmed/25650329
Journal of Applied Biological Sciences 8(3): 59-64 (2014)
Initial determination of DNA polymorphism of some Primula veris L. populations from Kosovo and Austria
Naim BERISHA, Fadil MILLAKU, Bekim GASHI, Elez KRASNIQI, Johannes NOVAK
http://www.nobel.gen.tr/MakaleDetay2.aspx?ID=3511&islem=pdf
Click to access JABS-Issue%203-6aa5d7af8e41428898b949b41d65a2ad.pdf
Publisher: Nobel International Journals
https://pubpeer.com/publications/6027131E0A21281EC851A17E715F3D
Case 18
Physiology and Molecular Biology of Plants
pp 1-11
Expression of a bacterial chitinase (ChiB) gene enhances resistance against E. polygoni induced powdery mildew disease in the transgenic Black gram (Vigna mungo L.) (cv. T9)
D. K. Das
http://link.springer.com/article/10.1007/s12298-016-0344-4
DOI: 10.1007/s12298-016-0344-4
No PubMed entry yet.
Agrobacterium Mediated Transformation of Vigna mungo (L.) Hepper with Cry1Ac Gene for Insect Resistance
American Journal of Plant Sciences Vol.7 No.2, Pub. Date: February 22, 2016
Dilip Kumar Das, Mrinalini Bhagat, Sangeeta Shree
http://www.scirp.org/journal/PaperInformation.aspx?PaperID=63629
DOI: 10.4236/ajps.2016.72031
[1]
Plant Science Volume 134, Issue 2, 5 June 1998, Pages 199–206
An efficient regeneration system of black gram (Vigna mungo L.) through organogenesis
Dilip K Das, N.Shiva Prakash, Neera Bhalla-Sarin
http://www.sciencedirect.com/science/article/pii/S0168945298000442
doi: 10.1016/S0168-9452(98)00044-2
[2]
In Vitro Cellular & Developmental Biology – Plant
September 2002, Volume 38, Issue 5, pp 456-459
Improved method of regeneration of black gram (Vigna mungo L.) through liquid culture.
Dilip K. Das, Prasanna Bhomkar, N. Shiva Prakash, Neera Bhalla-Sarin
http://link.springer.com/article/10.1079/IVP2002336
DOI: 10.1079/IVP2002336
[3]
Current Trends in Biotechnology and Pharmacy 4(3): 820-833 (July, 2010)
Expression of a bacterial chitinase (ChiB) gene enhances antifungal potential in transgenic Litchi chinensis Sonn. (cv. Bedana)
Das, D.K., Rahman, A.
http://abap.co.in/expression-bacterial-chitinase-chib-gene-enhances-antifungal-potential-transgenic-litchi-chinensis-s
http://www.abap.co.in/expression-bacterial-chitinase-chib-gene-enhances-antifungal-potential-transgenic-litchi-chinensis-s
[4]
Plant Cell, Tissue and Organ Culture (PCTOC)
May 2012, Volume 109, Issue 2, pp 315-325
First online: 15 March 2012
Expression of a rice chitinase gene enhances antifungal response in transgenic litchi (cv. Bedana)
D. K. Das, A. Rahman
http://link.springer.com/article/10.1007/s11240-011-0097-2
DOI: 10.1007/s11240-011-0097-2
2016 PMBP:
https://pubpeer.com/publications/13DCE80F38834887D2AC8D3B5616F3
2016 AJPS:
https://pubpeer.com/publications/E6FADB2C85219B0E8E779556798361
2012 PCTOC:
https://pubpeer.com/publications/78C0893198FFC429B2C08B9BBD3F1B
1998 PS:
https://pubpeer.com/publications/C31EC503888E9468CFA63B9DC3487C
2002 IVCDBP:
https://pubpeer.com/publications/06F2678890FAA22419D1266F1C7B1B
Requested file:
Das DK (2012) Transformation of Vigna mungo (Blackgram) for Abiotic stress tolerance using marker free approach. IJPI’s J Biotechnol Biother 3:1–5
Relevant figures: None yet.
LikeLike
Case 11
International Journal of Nanomaterials and Biostructures 2(4): 60-64 (2012)
Silver Nanoparticles Ecofriendly Synthesis by Two Medicinal Plants
Mousa Solgi, Mina Taghizadeh
Department of Horticultural Engineering, Faculty of Agriculture and Natural Resources, Arak University, Arak 38156, Iran
Received 13; November 2012; accepted 01 December 2012
Click to access 20_12v2i4_2.pdf
Physiology and Molecular Biology of Plants
July 2014, Volume 20, Issue 3, pp 279-285
Evaluation of plant-mediated Silver nanoparticles synthesis and its application in postharvest Physiology of cut Flowers
Mousa Solgi
http://link.springer.com/article/10.1007/s12298-014-0237-3
DOI: 10.1007/s12298-014-0237-3
http://www.ncbi.nlm.nih.gov/pubmed/25049454
PMID: 25049454
PMCID: PMC4101138
https://pubpeer.com/publications/CD6C9D57E931A7E6F88D7DB7FC8623
LikeLike
Case 19
Paper 1: PMBP 2015
Physiology and Molecular Biology of Plants January 2015, Volume 21, Issue 1, pp 123-136
Micropropagation and in vitro conservation of the rare and threatened plants Ramonda serbica and Ramonda nathaliae
Bekim Gashi, Kasamedin Abdullai, Valbona Sota, Efigjeni Kongjika
http://link.springer.com/article/10.1007/s12298-014-0261-3
DOI: 10.1007/s12298-014-0261-3
http://www.ncbi.nlm.nih.gov/pubmed/25648356
https://pubpeer.com/publications/B3DFB45C0981DC022E459E41B0E2CC
Paper 2: Ekoloji 2013
Bekim Gashi, Fadil Millaku, Kasamedin Abdullai, Evelina Daskalova, Slaveya Dontcheva, Elez Krasniqi, Valbona Mata, Efigjeni Kongjika
Ecological and morphological characteristics and in vitro conservation of Ramonda serbica Panc. in Kosovo. Ekoloji, 89: 19-28. (2013)
doi: 10.5053/ekoloji.2013.893
Click to access 89-3.pdf
https://www.researchgate.net/publication/259398854
https://pubpeer.com/publications/822274ED7893F69F2F87C860D249F9
Paper 3: B&BE 2012
E. Daskalova, S. Dontcheva, Z. Zekaj, A. Bacu, V. Sota, K. Abdullai, B. Gashi, I. Minkov, V. Toneva & E. Kongjika (2012) Initial Determination of Polymorphism and In Vitro Conservation of Some Ramonda Serbica and Ramonda Nathaliae Populations from Albania, Macedonia and Bulgaria, Biotechnology & Biotechnological Equipment, 26:sup1, 16-25
http://dx.doi.org/10.5504/50YRTIMB.2011.0004
http://www.tandfonline.com/doi/abs/10.5504/50YRTIMB.2011.0004
DOI: 10.5504/50YRTIMB.2011.0004
https://pubpeer.com/publications/19F03B001A8DD6C49A6CDB917BD250
Paper 4: 2012 Proceedings
Bekim Gashi, Fadil Millaku, Kasamedin Abdullai, Elez Krasniqi, Efigjeni Kongjika
Ecological and morphological characteristics of rare and endangered plant Ramonda serbica from different localities of the republic of Kosovo
Proceedings of the 4th Congress of Ecologists of Macedonia with International Participation, Ohrid, 12-15 October 2012, Macedonian Ecological Society, pp. 33-39
https://www.researchgate.net/publication/284552098
Relevant figures:
LikeLike
Case 9
Indian Journal of Biotechnology 9 (July 10): 325-328 (2010)
Intraspecific variation in the internal transcribed spacer (ITS) regions of rDNA in Withania somnifera (Linn.) Dunal
Bilal Ahmad Mir 1, Sushma Koul 1, Arun Kumar 1, Maharaj K. Kaul 1, Amarjit Singh Soodan 2, Soom Nath Raina 3
1 Biodiversity and Applied Botany Division, Indian Institute of Integrative Medicine (CSIR), Jammu 180001, India
2 Department of Botanical and Environmental Sciences, Guru Nanak Dev University, Amritsar, India
3. Amity Institute of Biotechnology, Amity University, Sector – 125, Noida, 201303, UP, India
Click to access IJBT%209%283%29%20325-328.pdf
Plant Systematics and Evolution February 2011, Volume 291, Issue 3, pp 141-151
Utility of a multidisciplinary approach for genome diagnostics of cultivated and wild germplasm resources of medicinal Withania somnifera, and the status of new species, W. ashwagandha, in the cultivated taxon
Arun Kumar 1, Bilal A. Mir 1, Deepmala Sehgal 2, Tanvir H. Dar 2, Sushma Koul 1, Maharaj K. Kaul 1, Soom N. Raina 3, Ghulam N. Qazi 1
1. Indian Institute of Integrative Medicine, Jammu, 180001, India
2. Department of Botany, University of Delhi, Delhi, 110007, India
3. Amity Institute of Biotechnology, Amity University, Sector – 125, Noida, 201303, UP, India
http://link.springer.com/article/10.1007%2Fs00606-010-0372-4
DOI: 10.1007/s00606-010-0372-4
https://www.pubpeer.com/publications/A9E56EC18C6FE8F656E9D73442D054
Journal of Medicinal Plants Research Vol. 6(5), pp. 754-762, 9 February, 2012
Reproductive behaviour and breeding system of wild and cultivated types of Withania somnifera (L.) Dunal
Bilal Ahmad Mir 1,2, Sushma Koul 1, Arun Kuar 1, Shushant Sharma 3, Maharaj K. Kaul 1, Amarjit S. Soodan 3
1 Biodiversity and Applied Botany Division, Indian Institute of Integrative Medicine (CSIR), Jammu 180001, India
2 Department of Botany, University of Kashmir, Hazratbal, Srinagar-160001, India
3 Botanical and Environmental sciences Department, Guru Nanak Dev University, Amritsar, India
DOI: 10.5897/JMPR11.1303
https://www.researchgate.net/publication/233529841
Linked to?
http://repository.up.ac.za/dspace/bitstream/handle/2263/21582/Mir_Reproductive%282013%29.pdf?sequence=1&isAllowed=y
https://www.pubpeer.com/publications/DB991B2B35D6FCF02B9325D9C24708
Industrial Crops and Products 45: 442-446 (2013)
Reproductive biology of Withania ashwagandha sp. novo (Solanaceae)
Bilal Ahmad Mir a,b, Sushma Koul b, Amarjit Singh Soodan c
a Centre for Microbial Ecology and Genomics, Department of Genetics, University of Pretoria 0002, South Africa
b Biodiversity and Applied Botany Division, Indian Institute of Integrative Medicine (CSIR), Jammu 180001, India
c Department of Botanical and Environmental Sciences, Guru Nanak Dev University, Amritsar, India
DOI: 10.1016/j.indcrop.2012.12.023
http://www.sciencedirect.com/science/article/pii/S0926669012006577
https://www.pubpeer.com/publications/8EF5BE83FC43E1C046B1B402559474
Physiology and Molecular Biology of Plants
July 2014, Volume 20, Issue 3, pp 357-364
In vitro propagation and withaferin A production in Withania ashwagandha, a rare medicinal plant of India
Bilal Ahmad Mir 1,2, Shabir Ahmad Mir 3, Sushma Koul 1
1. Biodiversity & Applied Botany Division, Indian Institute of Integrative Medicine, Canal Road, Jammu, 180001, India
2. Department of Genetics, Centre for Microbial Ecology and Genomics (CMEG), University of Pretoria, Pretoria, 0028, South Africa
3. Department of Biochemistry, University of Kashmir, Srinagar, Jammu & Kashmir, 190006, India
http://link.springer.com/article/10.1007/s12298-014-0243-5
DOI: 10.1007/s12298-014-0243-5
http://www.ncbi.nlm.nih.gov/pubmed/25049463
PMID: 25049463
PMCID: PMC4101142
https://pubpeer.com/publications/25049463
Relevant figures:
LikeLike
Pingback: Plant biologist’s paper pulled for falsification, three more questioned on PubPeer - Retraction Watch at Retraction Watch