Sholto David found a Chinese one-man papermill. Another one, how boring, you say? Well, how about a one-man papermill at Yale University, sponsored by the Thousand Talents Plan of the Chinese Communist Party?
And don’t expect any of those papers to be retracted. For one, the former Yale professor of pathology Wang “Mike” Min often made sure to include a prominent Yale colleague on his papers, and then: Yale informed Sholto that his notification won’t be admitted anyway.
We don’t know why Yale behaves like this. Maybe they decided that exposing science fraud is the same kind of anti-science terror which the Trump regime now commits. But fraudsters don’t need to worry, their networks will protect them from any NSF and NIH grant terminations and funding cuts. If anything, there will be even more money to embezzle when the honest scientists are all defunded and sacked!
And now, see what Sholto uncovered going on in Yale for at least two decades.

Yale Fayle
By Sholto David
An attractive new prospect: Install the Chinese paper mill directly at Yale University, where research oversight is presumably less stringent than in the PRC and NIH funds are more easily accessed to piss up the wall.
Meet Wang “Mike” Min who was (until late 2020) a tenured professor at Yale. According to his CV, he had a postdoctoral stint at Yale in the nineties, subsequently worked in industry and then at the University of Rochester, before being recruited back to Yale’s department of Pathology and Vascular Biology in 2003. Another biography states that from 2015 on, Min was sponsored by the “Thousand Talents Plan” from the Chinese Communist Party.

His frequent co-authors are Jenny Huanjiao Zhou (who remains at Yale as an Assistant Professor of Pathology), and Hai Feng Zhang (an associate research scientist, also still at Yale).
The trouble seems to have started just as soon as Wang Min landed back at Yale with the usual western blot transformations snowballing into just about everything overlapping by the 2020s. I’m going to do these papers in chronological order but feel free to scroll towards the end where some of the worst examples are…
Anyway, starting in 2003 and it is worth noting that Wang Min has a particular fondness for mirroring or flipping western blots. The penultimate author is one of Finland’s top cancer researchers, Kari Alitalo of University of Helsinki.
Rong Zhang, Yingqian Xu, Niklas Ekman, Zhenhua Wu, Jiong Wu, Kari Alitalo, Wang Min Etk/Bmx transactivates vascular endothelial growth factor 2 and recruits phosphatidylinositol 3-kinase to mediate the tumor necrosis factor-induced angiogenic pathway Journal of Biological Chemistry (2003) doi: 10.1074/jbc.m310678200


Also from 2003, we can see more examples of flipped and overlapping western blots:
Rong Zhang, Xiangrong He, Weimin Liu, Meng Lu, Jer-Tsong Hsieh, Wang Min AIP1 mediates TNF-α–induced ASK1 activation by facilitating dissociation of ASK1 from its inhibitor 14-3-3 The Journal of clinical investigation (2003) doi: 10.1172/jci17790

Wang Min and colleagues have the tricky habit of recycling blots not only between figures in the same paper, but also between figures in different papers, adding greatly to the task of untangling the muddle. Here is a blot that makes its first appearance in 2004, and then resurfaces in another paper three years later, having apparently participated in a new experiment.
On both of these papers (and several more) Wang Min collaborated with Jordan S. Pober who remains a professor and Vice-Chair of the Department of Immunology at Yale… In fact they are still writing together in 2024 as you will see later. No wonder, since, as Min’s hagiographic CV mentions (Google-translated):
“The one who had the greatest influence on him during this period was Jordan Pober, a postdoctoral supervisor at Yale University School of Medicine. […] For Wang Min, Jordan Pober is a good teacher and friend for more than 20 years and a long-term collaborator, and he is also the guide for his entry into vascular translational medicine research.”
The first paper informs us already in the authors list that Min is “Established Investigator of the American Heart Association“.
- Haifeng Zhang, Rong Zhang, Yan Luo, Alessio D’Alessio, Jordan S. Pober, Wang Min AIP1/DAB2IP, a novel member of the Ras-GAP family, transduces TRAF2-induced ASK1-JNK activation Journal of Biological Chemistry (2004) doi: 10.1074/jbc.m407617200
- Haifeng Zhang, Yan Lin, Jiehui Li, Jordan S. Pober, Wang Min RIP1-mediated AIP1 phosphorylation at a 14-3-3-binding site is critical for tumor necrosis factor-induced ASK1-JNK/p38 activation Journal of Biological Chemistry (2007) doi: 10.1074/jbc.m701148200

The Zhang et al 2007 paper above sports a further duplication, also note the mirror transformation:

Continuing on in 2004, this time working with some more non-Chinese authors including Rafia Al-Lamki and John Bradley CBE MA DM FRCP who are now at Cambridge (the former as Senior Clinical Scientist and the latter as director of NIHR Cambridge Biomedical Research Centre), demonstrating the lasting career benefits of manipulating western blots.
Rong Zhang, Rafia Al-Lamki, Lanfang Bai, Jeffrey W. Streb, Joseph M. Miano, John Bradley, Wang Min Thioredoxin-2 inhibits mitochondria-located ASK1-mediated apoptosis in a JNK-independent manner Circulation Research (2004) doi: 10.1161/01.res.0000130525.37646.a7

The following year back in JBC, the first example of an image other than a western blot duplicated, and naturally the cells have been mirrored.
Xianghong Li, Rong Zhang, Dianhong Luo, Sang-Joon Park, Qian Wang, Yongsok Kim, Wang Min Tumor necrosis factor alpha-induced desumoylation and cytoplasmic translocation of homeodomain-interacting protein kinase 1 are critical for apoptosis signal-regulating kinase 1-JNK/p38 activation Journal of Biological Chemistry (2005) doi: 10.1074/jbc.m414262200

Figure 3a: Unexpected similarity between images that should show different time points and treatment conditions.
I am not the first to stumble across Wang Min (although it seems I am the first to tug firmly on this thread). Previously an anonymous account made observations on a 2005 paper authored with William C Sessa (who has since retired to emeritus professor of Yale and ascended to a captain of industry role as a Senior Vice President and CSO of Internal Medicine Unit at Pfizer).
Rong Zhang, Dianhong Luo, Robert Miao, Lanfang Bai, Qingyuan Ge, William C Sessa, Wang Min Hsp90-Akt phosphorylates ASK1 and inhibits ASK1-mediated apoptosis Oncogene (2005) doi: 10.1038/sj.onc.1208548

I contributed a further analysis in this paper, picking up another mirrored blot:

Back to the Journal of Biological Chemistry, which was a favourite outlet for Wang Min’s earlier fictions. This contribution from 2005 features Peter Storz, then in Harvard, now professor at Mayo Clinic in Florida:
Wei Zhang, Shusen Zheng, Peter Storz, Wang Min Protein kinase D specifically mediates apoptosis signal-regulating kinase 1-JNK signaling induced by H2O2 but not tumor necrosis factor Journal of Biological Chemistry (2005) doi: 10.1074/jbc.m414674200

Onto 2008 in the The Journal of Clinical Investigation with William C Sessa again, several have contributed analyses of western blots, including, much to my surprise, a flip in the other axis!
Haifeng Zhang, Yun He, Shengchuan Dai, Zhe Xu, Yan Luo, Ting Wan, Dianhong Luo, Dennis Jones, Shibo Tang, Hong Chen, William C Sessa, Wang Min AIP1 functions as an endogenous inhibitor of VEGFR2-mediated signaling and inflammatory angiogenesis in mice The Journal of Clinical Investigation (2008) doi: 10.1172/jci36168

Arthothelium galapagoense on PubPeer: “Unexpected similarity between two bands in figure 6D and Figure 3E.”
Also in the same paper…

Published in 2009, another mirrored western blot in the more familiar axis:
Shengchuan Dai, Yun He, Haifeng Zhang, Luyang Yu, Ting Wan, Zhe Xu, Dennis Jones, Hong Chen, Wang Min Endothelial-Specific Expression of Mitochondrial Thioredoxin Promotes Ischemia-Mediated Arteriogenesis and Angiogenesis Arteriosclerosis Thrombosis and Vascular Biology (2009) doi: 10.1161/atvbaha.108.180349

This is as good a place as any to point out that Wang Min was in regular receipt of NIH (and occasionally Chinese) funds to complete these art projects, see for example from the above paper:
“This work was supported by grants from NIH grants R01 HL-65978-8, R01 HL077357-1 and P01HL070295-6, R01 HL085789-01, and an Established Investigator Award from the American Heart Association (0440172N), and a National Nature Science Foundation of China (30828032) to W.M.”
Money well spent I say!
Dana-Farberications at Harvard University
“Imagine what mistakes might be found in the raw data if anyone was allowed to look!” – Sholto David
In the following PNAS paper (communicated by National Academy of Sciences member Xiaodong Wang of University of Texas), Wang Min even managed to help a colleague waste some money from the US Army, perhaps he really is a foreign agent?
“We thank Drs. Lai Wang and Sudan He for their technical advice. This work was supported in part by United States Army Grant W81XWH-04-1-0222 (to J.-T.H.).”
Min’s token westerner coauthor here is Robert Vesella, until his retirement urology professor at University of Washington:
Daxing Xie, Crystal Gore, Jian Zhou, Rey-Chen Pong, Haifeng Zhang, Luyang Yu, Robert L. Vessella, Wang Min, Jer-Tsong Hsieh DAB2IP coordinates both PI3K-Akt and ASK1 pathways for cell survival and apoptosis Proceedings of the National Academy of Sciences (2009) doi: 10.1073/pnas.0908458106


Returning to the Journal of Biological Chemistry, now in 2009, yet another group of mirrored bands! Min’s coauthor Anton M. Bennett is another professor at Yale.
Luyang Yu, Wang Min, Yun He, Lingfeng Qin, Haifeng Zhang, Anton M. Bennett, Hong Chen JAK2 and SHP2 Reciprocally Regulate Tyrosine Phosphorylation and Stability of Proapoptotic Protein ASK1 Journal of Biological Chemistry (2009) doi: 10.1074/jbc.m809740200

In 2010, the American Association for the Advancement of Science (AAAS) was the next to publish a paper with a duplicate. This one has a Correction already, but it seems the purpose was to appease someone’s ego:
“The authors wish to designate H. Chen as an additional corresponding author for this paper.”
Corrections are (in fact) easily sought and applied to many papers in order to settle such squabbles. Only correcting the data is actually difficult.
Anyway, joining Wang Min here is Murat Gunel MD, FACS, FAHA, FAANS, who is still at Yale and a Chair of Neurosurgery, as well as Titus J. Boggon, an associate professor at Yale.
Yun He, Haifeng Zhang, Luyang Yu, Murat Gunel, Titus J. Boggon, Hong Chen, Wang Min Stabilization of VEGFR2 Signaling by Cerebral Cavernous Malformation 3 Is Critical for Vascular Development Science Signaling (2010) doi: 10.1126/scisignal.2000722

This isn’t the only paper with Murat Gunel. In this PNAS contribution from 2011 there seems to be some confusion over the age of the animal used to generate an image that partially appears in two figures. The diagram below is a little small, the black spots on the left are arrows added by the authors.
Angeliki Louvi, Leiling Chen, Aimee M. Two, Haifeng Zhang, Wang Min, Murat Günel Loss of cerebral cavernous malformation 3 ( Ccm3 ) in neuroglia leads to CCM and vascular pathology Proceedings of the National Academy of Sciences (2011) doi: 10.1073/pnas.1012617108

In 2013 Wang Min dipped his toes into ophthalmology, a favourite pastime of image cheaters.
My Big Fat Greek Ophthalmology
From fake cancer research to fake ophthalmology – just follow Mitsi and Vassiliki and you’ll meet Dementios and other bad eye doctors, including a horrible German we hoped to never see again.
This is the first appearance of Huanjiao Jenny Zhou in a troubled paper, and she will now become a regular in the rotation. An anonymous PubPeer contributor added some useful analysis of the Western blots in Figure 6 (Yes, they are also flipped).
Ting Wan, Zhe Xu, Huanjiao Jenny Zhou, Haifeng Zhang, Yan Luo, Yonghao Li, Wang Min Functional analyses of TNFR2 in physiological and pathological retina angiogenesis Investigative Ophthalmology & Visual Science (2013) doi: 10.1167/iovs.12-10364

Every Yale scientist is of course entitled to publishing in mighty journals such as Cell, and to be fair this is a safe choice, given that the team at Cell are far too important to retract anything. I recognise Justin D. Lathia, Vice Chair for Cardiovascular at Cleveland Clinic, from this author list… In response to my emails about fraud in this (unrelated) Chigurupati et al Cancer Research 2010 paper, he insisted that he merely “provided reagents” and “generated data“, thus absolving him of any responsibility for fixing the mess. The penultimate author on that paper and on the following one with Min was a certain Jeremy Rich, Deputy Director and CSO at UNC Lineberger Comprehensive Cancer Center, Another important white man is Roger Mclendon, Chief of Neuropathology at Duke University. I wonder what Lathia’s, Rich’s and Mclendon’s roles in this Cell paper were?
Lin Cheng, Zhi Huang, Wenchao Zhou, Qiulian Wu, Shannon Donnola, James K. Liu, Xiaoguang Fang, Andrew E. Sloan, Yubin Mao, Justin D. Lathia, Wang Min, Roger E. McLendon, Jeremy N. Rich, Shideng Bao Glioblastoma stem cells generate vascular pericytes to support vessel function and tumor growth Cell (2013) doi: 10.1016/j.cell.2013.02.021


In 2014, the three miscreants that I mentioned at the opening paragraphs finally link up for their first team project, with Jenny at the helm, Hai Feng Zhang playing in midfield, and Wang Min naturally filling the last authorship spot, a configuration that will become familiar…
Huanjiao Jenny Zhou, Xiaodong Chen, Qunhua Huang, Renjing Liu, Haifeng Zhang, Yingdi Wang, Yu Jin, Xiaoling Liang, Lin Lu, Zhe Xu, Wang Min AIP1 Mediates Vascular Endothelial Cell Growth Factor Receptor-3–Dependent Angiogenic and Lymphangiogenic Responses Arteriosclerosis Thrombosis and Vascular Biology (2014) doi: 10.1161/atvbaha.113.303053

In 2015 Wang Min did something unexpected and published a duplicate western blot… not with a flip, but with a 180° rotation! This effort was produced in collaboration with some scientists from the pharma company Gilead, and other colleagues at Yale including Frank Giordano who remains an associate professor there.
Qunhua Huang, Huanjiao Jenny Zhou, Haifeng Zhang, Yan Huang, Ford Hinojosa-Kirschenbaum, Peidong Fan , Lina Yao , Luiz Belardinelli, George Tellides, Frank J. Giordano, Grant R. Budas, Wang Min Thioredoxin-2 Inhibits Mitochondrial Reactive Oxygen Species Generation and Apoptosis Stress Kinase-1 Activity to Maintain Cardiac Function Circulation (2015) doi: 10.1161/circulationaha.114.012725

Figure 8 and Figure 5: Unexpected duplicated western blots.
It is worth noting that by this time both Huanjiao Jenny Zhou and Wang Min had taken to listing not only the Yale affiliation but also an affiliation to the Center for Translational Medicine, The First Affiliated Hospital, Sun Yat-Sen University, Guangzhou, China. Taking up residence in multiple ivory towers was the custom at the time (especially for scientists participating in Chinese spying operations and talent programmes). In all seriousness, copying and pasting western blots in PowerPoint is a task too important to be contained within one laboratory and must naturally progress to become an intercontinental activity, and what better enabler than AACR? Here’s Jenny, Haifeng Zhang, Titus J. Boggon, and Wang Min publishing in Cancer Research in 2015.
Weidong Ji, Yonghao Li, Yun He, Mingzhu Yin, Huanjiao Jenny Zhou, Titus J Boggon, Haifeng Zhang, Wang Min AIP1 Expression in Tumor Niche Suppresses Tumor Progression and Metastasis Cancer Research (2015) doi: 10.1158/0008-5472.can-15-0088




An image in this Cancer Research paper later reappeared in a Frontiers paper three years after…
Jiqin Zhang, Chaofei Chen, Li Li, Huanjiao J. Zhou, Fenghe Li, Haifeng Zhang, Luyang Yu, Yuxin Chen, Wang Min Endothelial AIP1 Regulates Vascular Remodeling by Suppressing NADPH Oxidase-2 Frontiers in Physiology (2018) doi: 10.3389/fphys.2018.00396

Here comes Nature Communications to join the fray. This is a journal where plausibly deniable nonsense can always find a home.
Lan Shao, Huanjiao Jenny Zhou, Haifeng Zhang, Lingfeng Qin, John Hwa, Zhong Yun, Weidong Ji, Wang Min SENP1-mediated NEMO deSUMOylation in adipocytes limits inflammatory responses and type-1 diabetes progression Nature Communications (2015) doi: 10.1038/ncomms9917

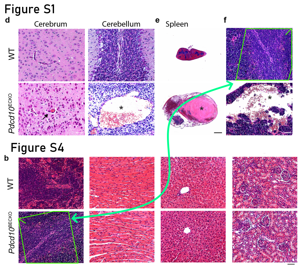
Figure S4E: Unexpected similarity between images that should show WT and KO. I’ve added the coloured rectangles to show where I mean.
Not to be outdone when there is money to made, Nature Medicine swoops in for their share of the APC slush fund. At the time of publishing Germaine Fuh was at Genentech, her LinkedIn most recently lists her as a senior research fellow at 23andMe… your data is in safe hands! Derek Toomre remains a professor of cell biology at Yale. This paper was accompanied by a press release and some breathless science “journalism” which quoted Wang Min:
“We have discovered a new and effective therapy for this potentially debilitating disorder”
Of course, making mice sick and then making them better again is an age-old wheeze which mostly does not lead to effective therapies, but if a Yale scientist says it, who am I to doubt? Why bother with the human trials when the therapy can simply be declared effective?
Huanjiao Jenny Zhou, Lingfeng Qin, Haifeng Zhang, Wenwen Tang, Weidong Ji, Yun He, Xiaoling Liang, Zongren Wang, Qianying Yuan, Alexander Vortmeyer, Derek Toomre, Germaine Fuh, Minghong Yan, Martin S Kluger, Dianqing Wu, Wang Min Endothelial exocytosis of angiopoietin-2 resulting from CCM3 deficiency contributes to cerebral cavernous malformation Nature Medicine (2016) doi: 10.1038/nm.4169

Oh well, so what if they scrambled up all the data? Good academics also write, they innovate, they teach! And at Yale they recycle text from other people’s abstracts into new “review papers” with all the skill of an extremely lazy undergraduate essayist.
Lan Shao, Boya Feng, Yuying Zhang, Huanjiao Zhou, Weidong Ji, Wang Min The role of adipose-derived inflammatory cytokines in type 1 diabetes Adipocyte (2016) doi: 10.1080/21623945.2016.1162358


And now we reach the paper that first attracted my attention to Wang Min. Recently, I have been screening papers in Nature Communications and a few other journals. At first I only spotted a more minor overlap, but returning later with ImageTwin.ai was able to label a serious mix up between Figure 5 and Figure 7.
You may recognise the coauthor Michael Simons, who in 2014 was removed as Director of Cardiovascular Center but kept as professor at Yale because he sexually harassed his postdoc and then retaliated against her and her husband, who was Frank Giordano (whom you met above). Read here:
Dirty Old Men
Does being a science genius entitle you to sexual harassment, as academic authorities in Yale and elsewhere insist? Let’s look at papers by Michael Simons, Joseph Schlessinger and Arnold Levine.
Pay attention to the thin rectangles showing overlapping edges in Figure 7.
Huanjiao Jenny Zhou, Zhe Xu, Zongren Wang, Haifeng Zhang, Zhen W. Zhuang, Michael Simons, Wang Min SUMOylation of VEGFR2 regulates its intracellular trafficking and pathological angiogenesis Nature Communications (2018) doi: 10.1038/s41467-018-05812-2

Nature Communications has a policy of demanding raw data for western blots, which sounds like a good idea, but is often quite useless in practice because no one actually looks at these blots.


This same paper also borrowed from the troubled 2008 Journal of Clinical Investigation paper already noted above, there is a gap of ten years, frankly it is impossible for me to understand how such things happen “innocently”.

In 2019, Cell Reports published another masterpiece of Wang Min’s, this time the allocated white person was Hugh Taylor who (drum roll) remains a professor at Yale. Did anyone at Yale decline to add their name to Wang Min’s papers?
Mingzhu Yin, Huanjiao Jenny Zhou, Caixia Lin, Lingli Long, Xiaolei Yang, Haifeng Zhang, Hugh Taylor, Wang Min CD34+KLF4+ Stromal Stem Cells Contribute to Endometrial Regeneration and Repair Cell Reports (2019) doi: 10.1016/j.celrep.2019.04.088


In 2020 a tricky-to-spot duplicate was published, look carefully at the DAPI staining in particular. This time it was the turn of Lawrence Young (Yale professor of course) to add his name to this dubious roll of honour.
Bicheng Yang, Yanrui Huang, Haifeng Zhang, Yan Huang, Huanjiao Jenny Zhou, Lawrence Young, Haipeng Xiao, Wang Min Mitochondrial thioredoxin-2 maintains HCN4 expression and prevents oxidative stress-mediated sick sinus syndrome Journal of Molecular and Cellular Cardiology (2020) doi: 10.1016/j.yjmcc.2019.10.009

Figure 6: This is not really easy to see but in part C the ccsKO images are similar to the ccsKO + mitotempo images in part D. These images should be from animals in different treatment conditions, so the similarity is certainly not expected. It’s easiest to see in the DAPI channel, I’ve added the red rectangles to show where I mean, the yellow and pink rectangles should also help locate the similarities. I guess these are the same samples imaged with different settings.
In 2021 associate professor Rachel J. Perry and professor Gerald I. Shulman MD PhD MACP MACE FRCP (both still at Yale) took the opportunity to increase their H-index with Wang Min’s assistance. The second overlap seems likely problematic to me, but the description in the paper doesn’t seem quite complete enough to decide for sure. Answers are invited in the comments!
Feng He, Yanrui Huang, Zhi Song, Huanjiao Jenny Zhou, Haifeng Zhang, Rachel J. Perry, Gerald I. Shulman, Wang Min Mitophagy-mediated adipose inflammation contributes to type 2 diabetes with hepatic insulin resistance Journal of Experimental Medicine (2021) doi: 10.1084/jem.20201416


In 2020 and 2021, a pair of Wang Min papers efficiently shared a western blot between different experiments. Jordan S. Pober made a reappearance. Did Wang Min run out of other Yale conspirators?
- Kang Wang, Haifeng Zhang, Yun He, Quan Jiang, Yoshiaki Tanaka, In-Hyun Park, Jordan S. Pober, Wang Min, Huanjiao Jenny Zhou Mural Cell-Specific Deletion of Cerebral Cavernous Malformation 3 in the Brain Induces Cerebral Cavernous Malformations Arteriosclerosis Thrombosis and Vascular Biology (2020) doi: 10.1161/atvbaha.120.314586
- Kang Wang, Haixuan Chen, Zhongyang Zhou, Haifeng Zhang, Huanjiao Jenny Zhou, Wang Min ATPIF1 maintains normal mitochondrial structure which is impaired by CCM3 deficiency in endothelial cells Cell & Bioscience (2021) doi: 10.1186/s13578-020-00514-z

No, he didn’t run out of Yale academics, because in 2020 he wrote yet another paper with an overlapping image together with Yale associate professor Richard W. Pierce.
Zhao Li, Mingzhu Yin, Haifeng Zhang, Weiming Ni, Richard W. Pierce, Huanjiao Jenny Zhou, Wang Min BMX Represses Thrombin-PAR1-Mediated Endothelial Permeability and Vascular Leakage During Early Sepsis Circulation Research (2020) doi: 10.1161/circresaha.119.315769

Figure 2B: Unexpected overlapping areas.
In 2021 a triumphant return to Nature Communications with a quite epic stuff up, and yes, of course, Jaime Gutzendler is a professor at Yale (and Vice-Chair Research for Neurology).
Huanjiao Jenny Zhou, Lingfeng Qin, Quan Jiang, Katie N. Murray, Haifeng Zhang, Busu Li, Qun Lin, Morven Graham, Xinran Liu, Jaime Grutzendler, Wang Min Caveolae-mediated Tie2 signaling contributes to CCM pathogenesis in a brain endothelial cell-specific Pdcd10-deficient mouse model Nature Communications (2021) doi: 10.1038/s41467-020-20774-0






By December 2021, Wang Min was still using a Yale affiliation, but now submitting a Gmail account as a correspondence address instead of his Yale email. Huanjiao Jenny Zhou also superseded him as last author. It seems logical to me that Wang Min left Yale when he started using the Gmail address, and indeed, one of his two LinkedIn profiles suggests he quit Yale in October 2020, another lists December 2022 as time of departure. Both profiles claim Min now works as Senior Scientific Director at the local biotech Virscio, yet neither the current company website nor its archived versions list Min as team member. In reality, he seems to be back in China.


It isn’t clear why Min left Yale. One could speculate that all the fraud was discovered and he was forced out, but this is extremely unlikely, as a rule universities don’t investigate fraud and certainly don’t fire people for it. Perhaps he just fancied a change of scenery, or was paid handsomely to return to China? In any case this isn’t the end of the story:
Lingfeng Qin, Haifeng Zhang, Busu Li, Quan Jiang, Francesc Lopez, Wang Min, Jenny Huanjiao Zhou CCM3 Loss-Induced Lymphatic Defect Is Mediated by the Augmented VEGFR3-ERK1/2 Signaling Arteriosclerosis Thrombosis and Vascular Biology (2021) doi: 10.1161/atvbaha.121.316707

Figure 2A and Figure 6G: Unexpected image duplication. These should show different strains and experimental conditions. I’ve added the red shapes to show where I mean. Would the authors please check and comment?

I considered whether the authors were able to simultaneously stain for VEGFR3, CD31, LYVE1, and pERK1/2. Based on the species of the antibodies provided in the paper, I can’t see how it would be done. Seems like there are too many rabbits? Perhaps I am missing something. LYVE1 signal looks very similar to pERK1/2 to me, and they are both rabbit antibodies. Is this a clue?
Here again Wang Min leaves the last authorship position for Jenny. Anne Eichmann is a professor at Yale (in case there was any doubt).
Haifeng Zhang, Busu Li, Qunhua Huang, Francesc López-Giráldez, Yoshiaki Tanaka, Qun Lin, Sameet Mehta, Guilin Wang, Morven Graham, Xinran Liu, In-Hyun Park, Anne Eichmann, Wang Min, Jenny Huanjiao Zhou Mitochondrial dysfunction induces ALK5-SMAD2-mediated hypovascularization and arteriovenous malformations in mouse retinas Nature Communications (2022) doi: 10.1038/s41467-022-35262-w

Figure S8c: Unexpected overlap between images that should show different treatment conditions.
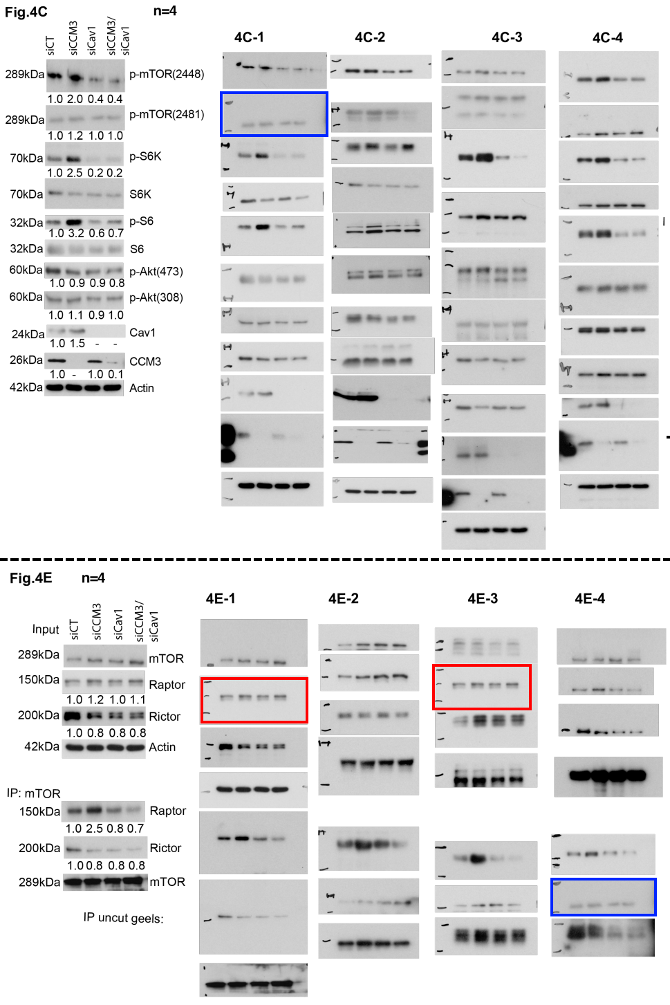
In 2024 more blots are provided in the supplementary data of a paper published in Circulation Research proving (once again) that it is pointless to provide raw data that no one looks at.
Wang Min, Lingfeng Qin, Haifeng Zhang, Francesc López-Giráldez, Ning Jiang, Yeaji Kim, Varsha K. Mohan, Minhong Su, Katie N. Murray, Jaime Grutzendler, Jenny Huanjiao Zhou mTORC1 Signaling in Brain Endothelial Progenitors Contributes to CCM Pathogenesis Circulation Research (2024) doi: 10.1161/circresaha.123.324015


Bringing us up to date, the most recent paper with an error that I can find was published in 2024. Wang Min is the last author again, now affiliated to the Nanjing Drum Tower Hospital (part of Nanjing University Medical School), but curiously still publishing with his mentor Jordan Pober and other long time colleagues at Yale. Their coauthor Min Zhou is chief physician at Nanjing Drum Tower Hospital.
Yue Xu, Haifeng Zhang, Yuxin Chen, Jordan S. Pober, Min Zhou, Jenny Huanjiao Zhou, Wang Min SRF SUMOylation modulates smooth muscle phenotypic switch and vascular remodeling Nature Communications (2024) doi: 10.1038/s41467-024-51350-5

Quote from the above paper:
“This work was partly supported by NIH grants US National Institutes of Health (NIH) grants HL157019 and R01EY033333.”
These grants are awarded to Jenny, so NIH is paying millions for her to do research at Yale, but you can judge from the authorship position where the real loyalties lie. Somehow Wang Min left Yale years ago but still pulls the strings and takes the senior authorship spot… No wonder China is such a “global research powerhouse”!


But please, we simply must have another lecture on the impossibly competitive nature of NIH grants, how thoroughly the applications are vetted, with only the very tippity top receiving the money. And of course how all this (somehow) massively benefits taxpayers. It’s the new trickle down economics.

Conclusion: There are virtually no controls to prevent academics from rampant cheating. Sure, you can run a papermill in China or Iran and sell the authorship spots on Facebook Marketplace, but you could also shart out a pile of nonsense from the comparative safety of Yale, and there will still be plenty of eager academics to hop on as authors for the exact same reasons; career advancement, dick measuring against peers, and so on. Only at Yale you don’t have to send money with PayPal! Maybe the NIH indirect costs cover it or something? I wouldn’t know, I don’t publish in Cell. I look forward to the BlueSky tutorial!
Maneesha Joshi, the Director of Research Integrity at Yale, provided the following statement after some encouragement:
“My office did not reply and we normally would not in these instances.“
I think that confirms that the matter is resolved and I am expected to stop my harassment effective immediately.
To their credit, Jenny Zhou and Mike Min have replied to my emails with promises to look at the papers. Min predictably planning to blame former lab members:
“I will take a close look and discuss with my former postdoc and students seriously to go through all the concerns you have raised.
We may address the most recent ones first and go back to the old ones after.“
Jordan Pober said he merely provided “advice re experimental design” and “suggested additional experiments” which hardly seems sufficient to qualify as an author (but I have an H-index of three so I shouldn’t really comment).
Perhaps Jordan also had a consulting role on this paper, which already has two corrections for authorship and institution squabbles but none for the error in Figure 1:
Xue Li, Quan Jiang, Guiyu Song, Mahsa Nouri Barkestani, Qianxun Wang, Shaoxun Wang, Matthew Fan, Caodi Fang, Bo Jiang, Justin Johnson, Arnar Geirsson, George Tellides, Jordan S. Pober, Dan Jane-wit A ZFYVE21-Rubicon-RNF34 signaling complex promotes endosome-associated inflammasome activity in endothelial cells Nature Communications (2023) doi: 10.1038/s41467-023-38684-2

I will email the journals when I am in the mood to waste some more time on thankless tasks.
Coda
Fraud is so prevalent in biomedical sciences that cheaters themselves are often stolen from by other cheaters. See for example the case of John G. Pastorino, former associate professor from Rowan University School of Osteopathic Medicine, who stole from two of Wang Min’s papers to help produce his own masterpiece in JBC in 2008.
How JBC sold its Soul to the Devil
All good things come to an end.
Findings of misconduct were reported in the Federal Register in 2016, and a string of comments have been left on PubPeer but this never motivated JBC into taking any action.
John G. Pastorino, Nataly Shulga Tumor necrosis factor-alpha can provoke cleavage and activation of sterol regulatory element-binding protein in ethanol-exposed cells via a caspase-dependent pathway that is cholesterol insensitive Journal of Biological Chemistry (2008) doi: 10.1074/jbc.m800237200


There is another example; a 2016 PLoS ONE paper (where Wang Min was a middle author) was stolen from by a 2019 paper in a Molecular Medicine Reports. Spandidos retracted the paper following my comments on PubPeer in 2023. I never thought to look at the “victims” of this theft at the time.
Zhang Sheng Xiong, Song Feng Gong, Wen Si, Taipeng Jiang, Qing Long Li, Tie Jun Wang, Wen Jie Wang, Rui Yue Wu, Kun Jiang Effect of metformin on cell proliferation, apoptosis, migration and invasion in A172 glioma cells and its mechanisms Molecular Medicine Reports (2019) doi: 10.3892/mmr.2019.10369

With thanks to the anonymous contributors on PubPeer, and the people who have kindly chosen to support me on Patreon, as well as an anonymous correspondent for extensive discussion of images related to Wang Min.






I used to think that Yale was better than Harvard, but now I think that it only appears to be better because it is smaller.
LikeLiked by 1 person
‘But please, we simply must have another lecture on the impossibly competitive nature of NIH grants, how thoroughly the applications are vetted, with only the very tippity top receiving the money. And of course how all this (somehow) massively benefits taxpayers.’
Ok, here you are. ;p
Lecture Transcript: “NIH Grants: A Celebration of Suffering and Scientific Purity”
Lecturer: Dr. Jones, PhD Department of Desperation & Biomedical Hustle Room 302, Hall of Crushing Competition
[Slide 1: Title Slide]
“NIH Grants: Where Dreams Go to Be Reviewed, Scored, Rejected, and Occasionally Funded”
Good afternoon, colleagues, aspiring masochists, and grant survivors. Today we gather to reflect—no, marvel—at one of the most punishing and noble rites of modern academia: applying for NIH funding.
[Slide 2: The Odds]
Let’s begin with some light-hearted stats.
Each year, roughly 80,000 applications compete for NIH grants. Roughly 10% are funded. For those in the back, let me say that another way:
[Slide 3: The Review Process]
Applications are reviewed by Study Sections—elite panels composed of overworked scientists who volunteered for this honor, sometimes while delirious on caffeine and resentment.
They evaluate your proposal based on:
You may receive a priority score. If that score is above 10th percentile?
[Slide 4: What Success Looks Like]
Behold, the rare and majestic R01 awardee.
They are:
Their proposal has survived:
They now carry the torch of taxpayer-funded glory, and will spend the next five years doing the research, writing annual progress reports, and applying for their next grant before this one even begins.
[Slide 5: But It’s All Worth It, Right?]
Ah, yes. Let us not forget the moral of this Sisyphean tale:
It’s a little like The Hunger Games, but with more pipettes and slightly less blood.
And the taxpayer? They benefit from:
Yes. It’s all for them. For the people. Never forget the people.
[Slide 6: The Takeaways]
[Closing Remarks]
In conclusion, the NIH grant process is a towering monument to scientific rigor, ambition, and bureaucratic endurance. And remember:
Thank you. Please direct all complaints to your department chair.
LikeLiked by 1 person
Great work, thanks alot for posting the full response of Maneesha Joshi.
LikeLike
Wang Min appears several times with William Sessa.
William C Sessa without Wang Min, but with Jack Elias, who was Chief Physician at Yale, then moved to Brown University to become Dean of the medical school, only to “transition” to something else.
PubPeer – IL-13 receptor α2-arginase 2 pathway mediates IL-13-induced…
Am I missing something?
Jack A. Elias transitions to new role as senior health advisor | Office of the President | Brown University
LikeLike
William C Sessa and Jack Elias again.
PubPeer – Essential role of nitric oxide in VEGF-induced, asthma-like…
LikeLike
William C Sessa as senior author on a 2000 paper in J Biol Chem, in which sedimentary rock is being formed. As the say, it has stood the test of time, so must be rock.
PubPeer – Reconstitution of an endothelial nitric-oxide synthase (eNOS…
LikeLike
William C Sessa with Michael Simons, who in 2014 was removed as Director of Cardiovascular Center but kept as professor at Yale because he sexually harassed his postdoc and then retaliated against her and her husband.
PubPeer – Up-regulation of thrombospondin-2 in Akt1-null mice contribu…
LikeLike
William C Sessa in the middle of a lot of people who are happy to randomly slot things together. Where the things came from nobody knows.
PubPeer – Antifibrotic properties of caveolin-1 scaffolding domain in…
LikeLike
A small thing, but even if the analysis is wrong, could William C Sessa let us know, he is the senior author.
PubPeer – Selective inhibition of tumor microvascular permeability by…
In a Republic one of the qualities is fraternity, which can express itself in responding to criticism and making the data available.
LikeLike
Could William C Sessa nudge the others? Has a mistake been made, or is it all kosher?
PubPeer – Akt-mediated phosphorylation of the G protein-coupled recept…
LikeLike
Could William C Sessa tell us if they are the same or different?
PubPeer – Diabetic mouse angiopathy is linked to progressive sympathet…
LikeLike
Same group. Could William C Sessa tell us if they are the same or different?
PubPeer – Endothelial nitric oxide synthase activation is critical for…
LikeLike
William Sessa resigned from his Pfizer job two weeks ago.

LikeLiked by 1 person
“I look forward to the BlueSky tutorial!” LOL! From Jeremy Berg, perhaps?
LikeLiked by 1 person
16 September 2025 Expression of Concern in J Clin Invest for Wang Min.
JCI – Expression of Concern for AIP1 functions as an endogenous inhibitor of VEGFR2-mediated signaling and inflammatory angiogenesis in mice
LikeLike
Retraction for Wang Min from Nature Communications: https://www.nature.com/articles/s41467-018-05812-2
https://pubpeer.com/publications/1E57F80A4418124605D36D4B734480
LikeLike