Where there is public money and corruption, there is organised crime, and science is no exception. Italy is apparently such a country, as most recently the bizarre case of Giorgio Zauli, rector of University of Ferrara, demonstrates. Meet now a Milanese gang of cancer researchers who embezzle public and charity funds, and their ruthless Photoshop hitwoman, Maria Alfonsina Desiderio, professor of general pathology at the University of Milan. Smut Clyde will guide you through the excessive data fakery which she published and now defends on PubPeer.
The kingpin or the Don of that Milanese mob is Aldo Bernelli Zazzera, the ancient grey eminence of the Institute of General Pathology at the University of Milan. He recruited Desiderio in 1982, both as researcher and as his special lady friend. This is why whatever outrage you might have regarding Desiderio’s cancerous science, her patriarch boyfriend will sure protect her from any disciplinary consequences. Incidentally, his son, Franco Bernelli-Zazzera, is professor of aeronautics at the Milan Polytechnic. But if you think of nepotism, this is nothing: Bernelli Zazzera’s other protege is Gaetano Cairo, who together with Desiderio was recruited to work under Bernelli Zazzera in 1982, and whose qualification for appointment as professor of clinical pathology at University of Milan was his university degree in agriculture.
Cairo now runs his own string of fake science, which he defends on PubPeer with explanations which can only be described as passive-aggressive idiocy. This old paper Tacchini et al 1999 has Cairo’s & Desiderio’s patron Bernelli Zazzera as coauthor, and the already fabricated gel images in it made new appearances in Cairo’s later paper Recalcati et al 2003 as well as in Desiderio’s Tacchini et al 2001 (also with Bernelli Zazzera as coauthor) and again in Bianchi et al 2002.
Cairo explained that he apparently once spied some interesting results from a Canadian lab and decided to catch up by deploying the pathological data fakery of the Bernelli-Zazzera institute:
“…the potential use of the same image for two different blots, though inappropriate, does not affect the results and conclusions of this work, which was highly cited (279 citations in Web of Science, to date) and never criticized. […] Moreover, the paper was published back to back with an independent study from a Canadian group reporting the same findings…”
It should be mentioned that the second-generation fabricator of fake science, Lorenza Tacchini, did very well since, she is presently tenured associate professor at same department as Desiderio. She is said to be a very close personal friend of Cairo, who in return puts lots of effort to advance Tacchini’s academic career. In this regard, another entertaining example from Cairo lab. This gel image in Corna et al 2006 was not just Photoshop-fabricated, but actually originally first used in Desiderio’s paper Tacchini et al 2004:
Cairo, probably believing others to be as dim as he is, assumed on Pubpeer that nobody will notice that both papers came from same Institute of Pathology in Milan, under exactly same postal address in Via Luigi Mangiagalli 31:
“In reply to comments to a few other old papers I did not argue because the original data were no longer available for evaluation. However, in this case the comment of Pandanus Comatus about 18S RNA seems inappropriate because it regards two independent papers with no authors in common. I cannot see how the original image could have been duplicated. This casts some doubts about the accuracy of software-based image comparisons.”
In 2001, Bernelli Zazzera sought to extend his reach over public and charity money by recruiting the bigwig Alberto Mantovani to the University of Milan. Here is an example of the joint output, Tacchini et al 2003:
Mantovani is presently being investigated for suspected fraud by the Milan public prosecutor, together with the heads of another Milanese gang, Pier-Paolo Di Fiore and Pier Guiseppe Pelicci (read more here). Rumour goes, the Mantovani recruitment was devised by the Bernelli Zazzera gang as a mean to quell the Di Fiore & Pelicci’s dominance. More recently, the emeritus Mantovani moved affiliation to the newly founded private Humanitas University, but his nephew, Roberto Mantovani, remains professor at University of Milan. The latter’s PubPeer record of falsified research publications sure rivals that of his uncle.
These are the pathological Bully Boys of Milan, and now please follow Smut Clyde on a tour of the works by their Photoshop hitwoman, Maria Alfonsina Desiderio.

Hypocrisy Loading-control libraries are the tribute vice pays to virtue
By Smut Clyde
Recent news stories have shown that the way to buttress one’s claims with evidence is to copy images and draw over them with a felt-tip pen. In this research tradition, the Milan University group of Maria Alfonsina Desiderio and colleagues were ahead of their time.
So here is a Western Blot electrophoresis image, extant in versions with three, five and four columns, depending on how many lanes have been photocloned and then crudely retouched. They hail respectively from Maroni et al. (2011) (which I assume is the original), Bendinelli et al. (2013) and Maroni et al. (2015) – these are listed below as [6], [14], [9].
Suffice to say that when the two right-hand lanes of the five-lane version are superimposed, they cancel out more than one would expect, in the felt-pen-free sections.
Now Desiderio’s laboratory group labour in the academic groves of molecular cell biology, and specifically, the subgrove devoted to metastatic breast cancer. They map out the network of metabolic proteins and signalling proteins involved when carcinoma cells go metastatic, or adapt to the hypoxic conditions inside a tumour. Their production of papers displays what one might call a kind of artistic unity, with images reappearing in diverse contexts across a decade, tying that oeuvre together in the manner of The Dude’s rug… but also attracting a number of critical threads from the anonymous, incorrigible peanut gallery at Pubpeer.
That last sentence is there to foreshadow a “Loading-control Library” theme, but before diving into that, we have not finished with the “retouching” theme. Here’s Figure 8(d) from [12] — Maroni et al. (2014) if you like — with details enlarged at the right:
The query from “Heterorhabditis Downes” on August 20 evoked a brief rebuttal from the last author on September 2:
“The bands are similar but they are not the same.”
Turning to Bendinelli et al. (2011) [7], the modifications to Figure 3(b) are more subtle, hinting of the airbrush more than the felt-pen. They might go unnoticed without contrast enhancement.

But all of Fig 3(b) deserves to be seen — not just the single panel shown (twice) above. In the unavoidably over-sized diagram below, Fig 3(b) is right of centre. Left of centre is Fig 4A from Matteucci et al. (2013a) [10]; at top, Fig 2A from Bendinelli et al. (2014) [13]; and at bottom, Fig 9A [Hypoxia] from Maroni et al. (2011) [8]. Pay special attention to the ‘vinculin’ bands, which are the loading controls — ensuring equal cell-lysate concentrations across the lanes — made memorable in this case by the repeating ‘sea-serpent’ motif. The Desiderio group prefer vinculin for this purpose on account of its predictable good behaviour.
Evidently I am not alone in thinking “Ave Vinculin Invictus!” every time that useful, versatile protein resurfaces in a new context.
But we are not finished with [7]. ‘Peer 1’ wondered about the similarity in Figure 4D, between the 7th / 8th lanes of the ‘vinculin’ band and the 3rd / 4th lanes.
The same band had appeared slightly earlier in Previdi et al. (2010) [5], not endowed with duplicated lanes because that experiment only had six conditions for it to ensure equal loading across. See below, left. While below right, more airbrushing hides the join in Fig 4(b), between two copies of a single lane (serving to illustrate different treatments).
Peer 1’s concerns with [7] reached the authors who sought to assuage them, not seeing any serious issue:
Figure 4B BBA 1813: We do not understand why the bands in the squares are evidenced because they are insignificant.
Figure 4D BBA 1813: It looks like a technical problem of the photographer in the preparation of the Figure also because there is a number “1” enclosed without significance.
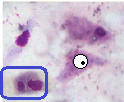
Subsequent questions went unanswered, to the disappointment of anyone who hoped to learn the authors’ current interpretation of Figure 1A. There, cultured carcinoma cells were enticed to migrate through a nutrient gel in a “Matrigel invasion assay”, to test the migration-deterrent properties of different treatments:

Variously-coloured polygons have been added to helpfully highlight some of the duplicated or triplicated cells. The lower middle panel is particularly fertile. Further glitches in the Matrigel probably remain to be spotted (the Figure’s resolution is lamentably low, making it hard to check the nuclear outlines to confirm any match), but after even one pair the horse is dead and will not benefit from further beatings.
Thus we encounter another of the unifying themes in the Desiderio oeuvre. Like a single small fish in a bottle of milk, the presence of a single duplicated cell in a Matrigel invasion assay is enough to erode one’s faith in the veridical nature of the composition, and often there is more than one. From Matteucci et al. (2013b) [11], part of Figure 4E, and Figures 3B, 3D:

Also from 2013, here are the two right-hand panels from Fig 4E of [10]. The two left-hand panels can be omitted here as they duplicate Fig 3D from [11] (albeit rotated through 90° and labeled with different cell counts). We can also omit Fig 2D as its panels reappeared in 2015 as Fig 1C of [14].

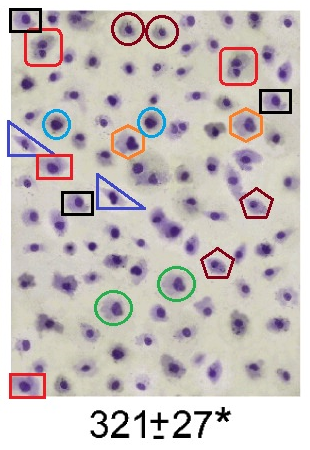
Moving on to 2014, and [13], lovingly-curated collations of cells feature in Figures 1D, 2B, and 3A — someone in the laboratory really enjoys composing them. Cells are spaced at implausibly-regular intervals, copied within but also between panels, increasing the resemblance to wallpaper. We only have space to admire 2B.
In contrast, the panels of Fig 1C from [14] remind me more of leopard-pattern faux-fur. If I were a student at the University of Milan, I would screen-print some of these collages onto t-shirts and sell them from a stall outside the Department of Biomedical Sciences for Health.
This whole line of enquiry was triggered by ‘Actinopolyspora Biskrensis’ when he scanned Fig 3D from Matteucci et al. (2018) [19] with the ‘Forensically‘ duplicate-detection tool.
Evidently Forensically only reported photocloning within one single panel of Fig 3D. This could be taken as a challenge to see if the metal Tleilaxu unaided eye could do any better. Here are the two upper left-hand panels. Your move, Forensically.
A further clue that these images are not entirely kosher could be the sharp horizontal or vertical edges on some of the cells, marked by arrows. Also, the photoshopping of the cells would be vastly improved by turning their nuclei into googly eyes.
With the ‘glitch in the Matrigel’ theme finally out of the way (there are Invasion-assay images from 2008 and 2009 but the resolution is too low to make them worth scrutinising), we can return at last to the “Loading-control Library” theme. The Milan team accept that a loading control is a desirable adornment to an electrophoresis result, removing accidental or unconscious differences between experimental conditions and reassuring the reader that the researchers have not led themselves astray. But they are reluctant to waste time and laboratory resources creating them (vinculin might be a bugger to work with, for all I know), relying instead on a small library of equally-loaded bands, cutting off the desired length as if buying six or eight or 10 links of sausage from a butcher.
Did someone say “links of sausage“?

Fans of “Struwwelpeter” can think of them as collections of severed thumbs if they want an alternative metaphor.
We have already met the ‘sea-serpent’ motif, so now here is another oversized diagram, bringing together manifestations of a vinculin band most closely resembling a trail of burnt matches. The sightings span almost a decade — from Ridolfi et al. (2008) [2], [4], through Bendinelli et al. (2009) [3], [12], Bendinelli et al. (2015) [15], to Matteucci et al. (2016) [17] and most recently Bendinelli et al. (2017) [18].

The band is flipped horizontally in one case, and often chopped into smaller sections as if visited by “The great, long, red-legged scissorman” and then reassembled (depending on the number of experimental lanes requiring calibration), but the shapes of the burnt matches are distinctive.
This is all leading up to the mother of all unavoidably oversized diagrams, in which 10 papers shared fragmentary glimpses of yet another library band. The creator (Clare Frances?) described it as “A slightly tangled web“.

The authors accepted that the loading bands were erroneous but made no promise to correct them ¯\_(ツ)_/¯. For the burnt-match manifestations, Professor Desiderio fire-cracked:
“It looks like an inattention in the graphical assembling of the acquisitions, since the aspect of the vinculins is very similar. In any case the data are calculated on a triplicate.”
An uncredited student was to blame for the Tangled Web, as Desiderio kept stoking the fires:
“A Phd who does not work any more in the group prepared these Figures.”
Just saying, there would be no need to “assemble the acquisitions” if they hadn’t been cut into small pieces. Things got so confusing that two different loading bands were used in Fig 3B of [13] and 7B of [17] — sausages / severed thumbs for the former, and burnt matches for the latter, respectively — to control for expression of the same Snail band.
Although the recurring themes within this corpus of work all have their illustrations now, I am unwilling to stop, for I do not know if I have conveyed its curious timelessness. The repurposing and re-splicing and retouching of images span the decade. One can begin anywhere in the network and finish anywhere by following the threads between Figures.
Begin, by way of example, with Matteucci, Bendinelli & Desiderio (2009) [4]. We pause to admire its most notable feature, Fig 2A — an imposing palisade of immunoprecipitated protein fragments. Close, contrast-enhanced inspection reveals the internal repetitions and symmetries that betray its origins in Photoshop.
But do not let this distract us from Fig 5A, a short train of Wwox blobs. Later the train lost its three central carriages to become part of Fig 1B in Maroni et al. (2015) [14], with the train and caboose directly conjoined (in 2013, 1B was also Fig 2E in [10]).

[14] is a kind of hub station in this Metro-map of pictorial connections, linking in all directions. Consider Fig 6B, at left. It shares bands with Fig 2D from [9], but they flank other bands which are not shared, suggesting another visit from the Scissor-man.
Within [9], Fig 2D invites further comparison with Fig 4E. Lanes have been copied, flipped horizontally, and darkened as if by police constructing an identity line-up.
In keeping with this nascent tradition, Fig 2C (still at [9] by the way) resembles an identity line-up of suspension-bridge towers… “Do you recognise any of these as the Brooklyn Bridge you bought?” But few readers will be surprised to discover that Lane 7 is a horizontally-flipped, retouched version of Lane 4.
Then [9] leads back to [4], by way of a reused B23 loading control for Western blots of nucleus proteins, and a HDM2 band that appears to have been assembled from pieces of a TAZ band (flipping one piece and rotating another through 180°). But I don’t have time to explain that because the Editor is waiting impatiently for this post. Nor is there time to explain the diagram below right, where [4] jumps back a decade, by way of Fig 1D and the lanes it shares with Fig 4B from Maroni et al. (2006) [1].
[1] in turn leads back to [3] from 2009, through forensic dental X-ray comparisons of their RNA blots.

For a change of pace, how about some mice, from [10]?

“Am I missing something with Figure 6A? It appears that for mouse Control 2, the Dorsal and Ventral views are the same at 15 and 22 days, although greater bioluminescence is shown at 22 days. For Control 1, the Dorsal views are different but the Ventral views are the same at 15 and 22 days… but again, greater bioluminescence is claimed for 22.”
I have been neglecting [19], the most recent in this series. In Fig 1E, “Is there some reason why the upper and lower sections of each lane are identical?” In Fig 5B, “the upper and lower extensions of each lane display identical fine texture. Is this a common phenomenon?”
The sheer scale of the insouciant repurposing of lanes, bands and microphotographs is vertiginous. If the reader is exhausted, fair enough, but imagine how I feel after reading all those threads and trying to arrange just a fraction of the cut-and-pastes into some sort of semi-thematic sequence. I am trying to make excuses for the group… perhaps they are convinced that they have an accurate model of how the different proteins interact and cascade within cancer cells as oncogenesis progresses, so collecting visual data that would convince their audience is a mere formality. They might feel justified, then, in taking shortcuts in the production of that evidence.
I didn’t say they were good excuses.
Sources:
- “HGF induces CXCR4 and CXCL12-mediated tumor invasion through Ets1 and NF-kappaB“, Paola Maroni , Paola Bendinelli , Emanuela Matteucci , Maria Alfonsina Desiderio (2006).
Carcinogenesis doi: 10.1093/carcin/bgl129 [PubPeer] - “Inhibitory effect of HGF on invasiveness of aggressive MDA-MB231 breast carcinoma cells, and role of HDACs“, E Ridolfi, E Matteucci, P Maroni, M A Desiderio (2008).British Journal of Cancer doi: 10.1038/sj.bjc.6604726 [PubPeer]
- “NF-kappaB activation, dependent on acetylation/deacetylation, contributes to HIF-1 activity and migration of bone metastatic breast carcinoma cells“, Paola Bendinelli , Emanuela Matteucci , Paola Maroni , Maria Alfonsina Desiderio (2009). Molecular Cancer Research doi: 10.1158/1541-7786.mcr-08-0548 [PubPeer]
- “Nuclear localization of active HGF receptor Met in aggressive MDA-MB231 breast carcinoma cells“, Emanuela Matteucci , Paola Bendinelli , Maria Alfonsina Desiderio (2009). Carcinogenesis doi: 10.1093/carcin/bgp080 [PubPeer]
- “Interaction between human-breast cancer metastasis and bone microenvironment through activated hepatocyte growth factor/Met and beta-catenin/Wnt pathways“, Sara Previdi , Paola Maroni , Emanuela Matteucci , Massimo Broggini , Paola Bendinelli , Maria Alfonsina Desiderio (2010).European Journal of Cancer doi: 10.1016/j.ejca.2010.02.036 [PubPeer]
- “Nuclear co-localization and functional interaction of COX-2 and HIF-1α characterize bone metastasis of human breast carcinoma“. Paola Maroni , Emanuela Matteucci , Alessandro Luzzati , Giuseppe Perrucchini , Paola Bendinelli , Maria Alfonsina Desiderio (2011). Breast Cancer Research & Treatment doi: 10.1007/s10549-010-1240-1 [PubPeer].
- “Comparative role of acetylation along c-SRC/ETS1 signaling pathway in bone metastatic and invasive mammary cell phenotypes“, Paola Bendinelli , Paola Maroni , Emanuela Matteucci , Maria Alfonsina Desiderio (2011). Biochimica et Biophysica Acta doi: 10.1016/j.bbamcr.2011.06.004 [PubPeer]
- “Nuclear co-localization and functional interaction of COX-2 and HIF-1α characterize bone metastasis of human breast carcinoma“, Paola Maroni, Emanuela Matteucci, Alessandro Luzzati, Giuseppe Perrucchini, Paola Bendinelli, Maria Alfonsina Desiderio (2011). Breast Cancer Research & Treatment doi: 10.1007/s10549-010-1240-1 [PubPeer]
- “Hypoxia inducible factor-1 is activated by transcriptional co-activator with PDZ-binding motif (TAZ) versus WWdomain-containing oxidoreductase (WWOX) in hypoxic microenvironment of bone metastasis from breast cancer“, Paola Bendinelli , Paola Maroni , Emanuela Matteucci , Alessandro Luzzati , Giuseppe Perrucchini , Maria Alfonsina Desiderio (2013). European Journal of Cancer doi: 10.1016/j.ejca.2013.03.002 [PubPeer].
- “Bone metastatic process of breast cancer involves methylation state affecting E-cadherin expression through TAZ and WWOX nuclear effectors“, Emanuela Matteucci, Paola Maroni, Alessandro Luzzati, Giuseppe Perrucchini, Paola Bendinelli, Maria Alfonsina Desiderio (2013a). European Journal of Cancer doi: 10.1016/j.ejca.2012.05.006 [PubPeer]
- “Epigenetic control of endothelin-1 axis affects invasiveness of breast carcinoma cells with bone tropism“, Emanuela Matteucci , Paola Maroni , Paola Bendinelli , Alessia Locatelli , Maria Alfonsina Desiderio (2013b). Experimental Cell Research doi: 10.1016/j.yexcr.2013.04.022 [PubPeer]
- “Osteolytic bone metastasis is hampered by impinging on the interplay among autophagy, anoikis and ossification“, P Maroni , P Bendinelli , E Matteucci , A Locatelli , T Nakamura , G Scita , M A Desiderio (2014). Cell Death & Disease doi: 10.1038/cddis.2013.465 [PubPeer]
- “Microenvironmental stimuli affect Endothelin-1 signaling responsible for invasiveness and osteomimicry of bone metastasis from breast cancer“, Paola Bendinelli, Paola Maroni, Emanuela Matteucci, Alessandro Luzzati, Giuseppe Perrucchini, Maria Alfonsina Desiderio (2014). Biochimica et Biophysica Acta (BBA) – Molecular Cell Research doi: 10.1016/j.bbamcr.2013.12.015 [PubPeer]
- “Hypoxia induced E-cadherin involving regulators of Hippo pathway due to HIF-1α stabilization/nuclear translocation in bone metastasis from breast carcinoma“, Paola Maroni , Emanuela Matteucci , Lorenzo Drago , Giuseppe Banfi , Paola Bendinelli , Maria Alfonsina Desiderio (2015). Experimental Cell Research doi: 10.1016/j.yexcr.2014.10.004 [PubPeer].
- “HGF and TGFβ1 differently influenced Wwox regulatory function on Twist program for mesenchymal-epithelial transition in bone metastatic versus parental breast carcinoma cells“, Paola Bendinelli, Paola Maroni, Emanuela Matteucci, Maria Alfonsina Desiderio (2015). Molecular Cancer doi: 10.1186/s12943-015-0389-y [PubPeer]
- “The Autophagic Process Occurs in Human Bone Metastasis and Implicates Molecular Mechanisms Differently Affected by Rab5a in the Early and Late Stages“, Paola Maroni, Paola Bendinelli, Massimo Resnati, Emanuela Matteucci, Enrico Milan, Maria Alfonsina Desiderio (2016). International Journal of Molecular Sciences doi: 10.3390/ijms17040443 [PubPeer]
- “Coordinate regulation of microenvironmental stimuli and role of methylation in bone metastasis from breast carcinoma“, Emanuela Matteucci , Paola Maroni , Andrea Disanza , Paola Bendinelli , Maria Alfonsina Desiderio (2016). Biochimica et Biophysica Acta doi: 10.1016/j.bbamcr.2015.10.010 [PubPeer]
- “Epigenetic regulation of HGF/Met receptor axis is critical for the outgrowth of bone metastasis from breast carcinoma“, Paola Bendinelli, Paola Maroni, Emanuela Matteucci, Maria Alfonsina Desiderio (2017). Cell death & disease doi:10.1038/cddis.2016.403 [PubPeer]
- “Microenvironment Stimuli HGF and Hypoxia Differently Affected miR-125b and Ets-1 Function with Opposite Effects on the Invasiveness of Bone Metastatic Cells: A Comparison with Breast Carcinoma Cells“, Emanuela Matteucci , Paola Maroni, Francesco Nicassio, Francesco Ghini, Paola Bendinelli, Maria Alfonsina Desiderio (2018). International Journal of Molecular Sciences doi: 10.3390/ijms19010258 [PubPeer]

Donate!
If you are interested to support my work, you can leave here a small tip of $5. Or several of small tips, just increase the amount as you like (2x=€10; 5x=€25). Your generous patronage of my journalism, however small it appears to you, will greatly help me with my legal costs.
€5.00



































“two different loading bands were used in Fig 3B of [13] and 7B of [17] — sausages / severed thumbs for the former, and burnt matches for the latter, respectively”
My bad. The loading control in 7B of [17] is not part of the Burnt-Matches tradition.
TO make amends, here’s yet another Desiderio Library Band, working its loading-control magic in six papers from 2008 to 2013:
LikeLike
However, in this case the comment of Pandanus Comatus about 18S RNA seems inappropriate because it regards two independent papers with no authors in common. I cannot see how the original image could have been duplicated. This casts some doubts about the accuracy of software-based image comparisons.”
Prof Cairo is indignant (or at least not entirely dignant) at the suggestion that Fig 2C in a 2004 paper by Tacchini and Desiderio could be in any way connected to Fig 3c in his own 2006 paper. His disavowal of Tacchini, and the argument that the resemblance must be merely a coincidence, are both weakened by the existence of a second parallelism between Figures 2A and 3b respectively.
https://pubpeer.com/publications/FBB0D110FA1B787E9B96345C63BAC1#2
LikeLike
Ms Tacchini will be very sad that Mr Cairo now disavowed her! Heartbroken, in fact.
LikeLike
[1] in turn leads back to [3] from 2009, through forensic dental X-ray comparisons of their RNA blots.
My favourite part of the Dental-X-ray RNA blots was a comment from Prof Desiderio, explaining that they were only for purposes of illustration… artists’ conceptions, as it were. She seemed to be genuinely puzzled that anyone could expect them to be factual.
Figure 2A Mol Cancer Res 7 and Carcinogenesis 28: The RNA 18S and 28S in the yellow square were only illustrative of RNA visualization.
The texture in the dark background of these blots (visible with increased lightness) is so similar from one lane to another, that they’re quite possibly all constructed by photocloning just one lane and then retouching the detailed outlines of the “teeth”.
LikeLike
What is it about breast cancer that draws the Photo Shop artists?
Andrew J Dannenberg adheres to the Maria Alfonsina Desiderio school.
http://vivo.med.cornell.edu/display/cwid-ajdannen
Problematic data.
https://pubpeer.com/search?q=andrew+dannenberg
2019 Expression of Concern.
https://pubpeer.com/publications/A0D814C531ABFB80B7E743422102A3#5
LikeLiked by 1 person
AJ Dannenberg already has a retraction in Lancet. 2006 Feb 4;367(9508):382.
https://www.thelancet.com/journals/lancet/article/PIIS0140-6736(05)67488-0/fulltext
RETRACTED: Non-steroidal anti-inflammatory drugs and the risk of oral cancer: a nested case-control study
Dr J Sudbø, MD Prof JJ Lee, PhD Prof SM Lippman, MD J Mork, MD S Sagen, MPH N Flatner, DDS
A Ristimäki, MD Prof A Sudbø, PhD Prof L Mao, MD X Zhou, MSc W Kildal, MSc JF Evensen, MD
Prof A Reith, MD Prof AJ Dannenberg, MD
AJ Dannenberg
Affiliations
Department of Medicine, Weill Medical College of Cornell University, New York, NY, USA
Published:October 07, 2005DOI:https://doi.org/10.1016/S0140-6736(05)67488-0
This article has been retracted at the request of the Editor-in-Chief. Please see http://www.elsevier.com/locate/withdrawalpolicy.
Reason: We have received confirmation from Professor Anders Ekbom, who chairs the investigating commission appointed by the University of Oslo and Rikshospitalet, that the paper published by Jon Sudbø and colleagues in The Lancet contains fabricated data. This information supersedes our earlier expression of concern (R. Horton, Expression of concern: non-steroidal anti-inflammatory drugs and the risk of oral cancer, Lancet 367 (2006), p. 196; https://doi.org/10.1016/S0140-6736(06)68014-8) and we now retract this article in full.
Funny how this retraction did not prompt a full review of the papers by the senior author.
LikeLike
What is it about female organs/cancers that draws the Photo Shop artists?
Anna Bagnato, Elena Regina Cancer Institute, Rome, (ovarian cancer) adheres to the Maria Alfonsina Desiderio school.
Press attention.
https://www.insalutenews.it/in-salute/tumore-ovarico-individuata-interazione-molecolare-di-tre-proteine-che-promuovono-le-metastasi/
https://roma.corriere.it/notizie/cronaca/17_aprile_11/largo-valanga-rosa-regina-elena-premio-ad-anna-bagnato-0583d446-1ef5-11e7-a4c9-e9dd4941c19e.shtml
Problematic data.
https://pubpeer.com/search?q=anna+bagnato
LikeLike
Maria Felice “3 retractions” Brizzi, Torino (Turin) seems to be another Maria Alfonsina Desiderio adherent.
https://medchirurgia.campusnet.unito.it/do/docenti.pl/Alias?maria.brizzi#profilo
3 retractions.
High glucose via NOX-dependent ROS generation and AKT activity promotes adipose-derived stem cell de-differentiation. Barale C, Dentelli P, Togliatto G, Trombetta A, Olgasi C, Scozzari G, Toppino M, Morino M, Brizzi MF. Stem Cells Dev. 2012 Jan 24. doi: 10.1089/scd.2011.0699. Epub 2012 Jan 24.
Retraction in: Parker GC. Stem Cells Dev. 2012 Apr 10;21(6):995.
PMID: 22272916
MIR221/MIR222-driven post-transcriptional regulation of P27KIP1 and P57KIP2 is crucial for high-glucose- and AGE-mediated vascular cell damage. Togliatto G, Trombetta A, Dentelli P, Rosso A, Brizzi MF.
Diabetologia. 2011 Jul;54(7):1930. doi: 10.1007/s00125-011-2125-5. Epub 2011 Apr 2.
Retraction in: Diabetologia. 2018 Feb 9;:.
PMID: 21461636
Inflammatory microenvironment promotes hemopoietic-derived angiogenic cell expansion and arterial specification. Dentelli P, Brizzi MF. ScientificWorldJournal. 2008 Nov 2;8:1111-5. doi: 10.1100/tsw.2008.142. Retraction in: ScientificWorldJournal. 2018 Aug 9;2018:4082363.
PMID: 18979051
Problematic data.
https://pubpeer.com/search?q=brizzi+maria
LikeLike
Antonio Procopio, Ancona, seems to be another adherent of the Maria Alfonsina Desiderio school.
Is this the new, or old, orthodoxy?
https://www.univpm.it/Entra/Engine/RAServePG.php/P/320710010422/idsel/460/docname/ANTONIO%20DOMENICO%20PROCOPIO
https://pubpeer.com/publications/36E3C068773677878867A03D85BE82
https://pubpeer.com/publications/91E8527038DE4391401FCE61A9D46A
https://pubpeer.com/publications/B79E3C81A7ABD966E7BA2423F816EF
https://pubpeer.com/publications/2AC49559A2905773E23198AB5A0282
https://pubpeer.com/publications/6587961294F01107267CF5E5E5E63A
https://pubpeer.com/publications/B5CFB9420653E095DC40062E30A15B
https://pubpeer.com/publications/DEC26ECE083BAF5CD646CAB6F591E4
https://pubpeer.com/publications/C3B4CAC301AFD146B93889B00E5EAE
https://pubpeer.com/publications/DC0F45B5390B9F908E25D6A0B26A6E
https://pubpeer.com/publications/AE2B956CABE46E45AE44F87DF4A391
https://pubpeer.com/publications/054017220480051524333D85BF9634
https://pubpeer.com/publications/7C4B94B3D3F147F1F435BB0EDD8B52
https://pubpeer.com/publications/14D1B602FDB6C3BFB1C387412DF488
https://pubpeer.com/publications/A51E62BEFCE0400894D082DD934932
https://pubpeer.com/publications/9CF7B203E85289674198969FE689AE
LikeLike
Ancona is giving Milan a run for its money!
Antonio Procopio is joined by Gianluca Svegliati-Baroni.
http://www.ospedaliriuniti.marche.it/portale/index.php?id_oggetto=10&id_cat=-1&id_doc=487&id_sez_ori=0&template_ori=3
Problematic data.
https://pubpeer.com/search?q=+Svegliati-Baroni
LikeLike
Pingback: Zauliade, 22ma puntata - Ocasapiens - Blog - Repubblica.it
Bruno Venerando, Milan.
Click to access bruno_venerando.pdf
Problematic data.
https://pubpeer.com/search?q=bruno+venerando
LikeLike
Carlo Gambacorti-Passerini, Milan.
https://www.unimib.it/carlo-gambacorti-passerini
Problematic data.
https://pubpeer.com/search?q=Gambacorti-Passerini+
LikeLike
Mol Cancer Res. 2013 Feb;11(2):122-32. doi: 10.1158/1541-7786.MCR-12-0569. Epub 2012 Dec 13.
Crizotinib-resistant NPM-ALK mutants confer differential sensitivity to unrelated Alk inhibitors.
Ceccon M1, Mologni L, Bisson W, Scapozza L, Gambacorti-Passerini C.
Author information
1
Department of Health Sciences, University of Milano-Bicocca, Via Cadore 48, Monza 20900, Italy.
Figure 3.
LikeLike
Oncogene. 2016 Jul 21;35(29):3854-3865. doi: 10.1038/onc.2015.456. Epub 2015 Dec 14.
Excess of NPM-ALK oncogenic signaling promotes cellular apoptosis and drug dependency.
Ceccon M#1, Merlo MEB#2,3, Mologni L1, Poggio T2,3, Varesio LM2,3, Menotti M2,3, Bombelli S1, Rigolio R4, Manazza AD2,3, Di Giacomo F2,3, Ambrogio C5, Giudici G6, Casati C7, Mastini C2,3, Compagno M2,3,8, Turner SD9, Gambacorti-Passerini C1,10, Chiarle R2,3,8, Voena C2,3.
Author information
1
Department of Health Science, University of Milano-Bicocca, Monza, Italy.
2
Department of Molecular Biotechnology and Health Sciences, University of Torino, Torino, Italy.
3
Center for Experimental Research and Medical Studies (CERMS), Città della Salute e della Scienza, Torino, Italy.
4
Surgery and Translational Medicine department, University of Milano-Bicocca, Monza, Italy.
5
Molecular Oncology Program, Centro Nacional de Investigaciones Oncológicas, Madrid, Spain.
6
Tettamanti Research Centre, Pediatric Clinic, University of Milano-Bicocca, Monza, Italy.
7
MetaSystems s.l.r., Milano, Italy.
8
Department of Pathology, Children’s Hospital and Harvard Medical School, Boston, USA.
9
Division of Molecular Histopathology, Addenbrooke’s Hospital Cambridge, Cambridge, UK.
10
Section of Haematology, San Gerardo Hospital, Monza, Italy.
#
Contributed equally
Figure 5d.
LikeLike
Additional problematic data figure 3 Mol Cancer Res. 2013 Feb;11(2):122-32.
This time the P-ALK panels. Much more similar than you would expect.
LikeLike
Bernelli Zazzera sought to extend his reach over public and charity money by recruiting the bigwig Alberto Mantovani to the University of Milan. Here is an example of the joint output, Tacchini et al 2003:
That particular publication has other surprises:
LikeLike
That T shirt rocks. I want one.
LikeLike
It is funny that abstract art predicted scientific image manipulation.
LikeLike
Or that scientific manipulation, along with detection and curating, leads to valuable works of art. Carlo Croce could expand his personal collection in this unique manner and be more valuable than he already is.
LikeLike
Hi NMH. Please contact me using a FUNCTIONAL email address. Otherwise it won’t lead anywhere
LikeLike
https://www.pubpeer.com/publications/EA94A9AD4620939E2D2965E4F30015
https://www.pubpeer.com/publications/A2AE6432A968C16AB5690F91C25225
LikeLike
Arianna Donella-Deana, Padova (Padua).
http://www.biomed.unipd.it/people/donella-arianna/
Problematic data.
https://pubpeer.com/search?q=Donella-Deana
LikeLike
Francesco Marampon
https://www.fondazioneveronesi.it/ricerca/i-nostri-ricercatori/francesco-marampon
Problematic data.
https://pubpeer.com/search?q=marampon
Bianca Zani, the Brigitte Bardot of Italian science, Aquila.
https://www.univaq.it/rubrica.php?id=599&docente=on
Problematic data.
https://pubpeer.com/search?q=bianca+zani
LikeLike
Vito Pistoia, Gaslini Institute, Genova (Genoa).
https://www.meduniwien.ac.at/hp/fileadmin/ceppi/pdf/Vito_IMLET_6247.pdf
Problematic data.
https://pubpeer.com/search?q=pistoia
Retraction.
https://pubpeer.com/publications/D9D35B44C1183FD339CE474FBB8C1B
This one is so pretty.
https://pubpeer.com/publications/C3110D52003332DE7C0F46DE944BDF#2
LikeLike
BMC Cancer. 2011 Dec 22;11:525. doi: 10.1186/1471-2407-11-525.
Inhibition of N-linked glycosylation impairs ALK phosphorylation and disrupts pro-survival signaling in neuroblastoma cell lines.
Del Grosso F1, De Mariano M, Passoni L, Luksch R, Tonini GP, Longo L.
Author information
1
Translational Oncopathology, IRCSS A.O.U. San Martino-IST, National Cancer Research Institute, L.go R. Benzi 10, 16132 Genoa, Italy.
Figure 5A. Much more similar than you would expect.
LikeLike
Annarosa Arcangeli, Firenze (Florence).
https://www.unifi.it/p-doc2-2019-0-A-2b3339323a2d-1.html
Problematic data.
https://pubpeer.com/search?q=arcangeli
LikeLike
Paola Briata, Genova (Genoa).
https://moh-it.pure.elsevier.com/en/persons/paola-briata/network-persons/
Problematic data.
https://pubpeer.com/search?q=briata
Retraction.
https://pubpeer.com/publications/998899B87BEA9176D347C014E765AF
Roberta Gherzi, Genova (Genoa).
https://moh-it.pure.elsevier.com/en/persons/roberto-gherzi
Problematic data.
https://pubpeer.com/search?q=gherzi
LikeLike
Rossella Maione, Roma.
https://gomppublic.uniroma1.it/Docenti/Render.aspx?UID=74f59825-bbf1-483e-b69e-fb942edf4217
Problematic data.
https://pubpeer.com/publications/FE9176EF393824259725DE79AE5FE9
https://pubpeer.com/publications/AFCA4F3684B53C598046B06C6043EF
https://pubpeer.com/publications/519F5921BB3192E8ACCAD7F46E1BC0
https://pubpeer.com/publications/978C3EFA8D57CFC8F92E1984EDD0B3
https://pubpeer.com/publications/6CFAB408C0DED4008F5C55EFB5D8F1
https://pubpeer.com/publications/B357E91AE415B553629F7D3D92EFEF
https://pubpeer.com/publications/392A1AC1DF311284D7B53E6BA11450
LikeLike