The following post by Smut Clyde will guide through the circus show of Judy Mikovits, which is basically a sequence of research fraud, antivax quackery and pimping for phony biotech start-ups, which now culminated in her brain-melting “documentary”, Plandemic. Did you know that COVID-19 is actually a global conspiracy of Bill Gates and Anthony Fauci to attack you with a lab-engineered coronavirus, which is not deadly at all but can be cured with chloroquine, all of which serves the sinister purpose of poisoning you with vaccines?
No really, it all makes perfect sense. Do you even doubt that “Dr. Judy Mikovits is a modern-day Rosalind Franklin“? Or that she is the real discoverer of HIV who then went on to invent the virus which she claimed, then denied, then again claimed causes the Chronic Fatigue Syndrome (CFS/ME)? Dr Mikovits even knows how to cure cancer with TCM and how vaccines cause autism, and now she solved COVID-19. Smut Clyde will now show you how we got there.

The Plague of St Judy
By Smut Clyde
Back in May, all the cool science bloggers were error-checking the ‘Plandemic‘ movie — or at least the brief teaser / trailer that had been dropped on social media — and its featured talking head, Dr Judy Mikovits. Science, Skeptical Raptor, Liz Ditz, Orac at Science Based Medicine and Respectful Insolence all had whacks at the piñata; Retraction Watch provided a retrospective survey of Mikovits’ previous ventures into their territory. An intense response to these posts spilled over from FaceBorg, with stanning fanboys infesting the comment threads (most of the comments being variations on a small repertoire), while the last two blogs were brought down for a time by DDOS attacks.
Entr’acte
Plandemic and ‘Plague of Corruption‘ (the associated book by Mikovits and Kent Heckenlively) are examples of the recurring ForBetterScience theme of COVID-portunism, or SARS-ploitation if you prefer. So here I am a month later, preaching to the converted from the lofty pulpit of FBS, “six feet above criticism”. There will be fewer PubPeer threads than usual, and fewer illustrations. It is probably too late to attract all the troll-army attention, so here I provide the points they previously harped upon:
- Mikovits’ fabulation on claims X, Y and Z is irrelevant to her veracity on less easily checked claims.
- She co-wrote a long book, which means she must be generally telling the truth because no-one can lie at length.
- The cross-blog consensus and presentation of overwhelming evidence that Mikovits makes stuff up or misremembers her past is a coordinated response, and the Global Elites would only be determined to discredit her if she threatened their narrative, therefore she must be telling the truth and we can ignore that evidence.
- The truth has been suppressed by YouTube. Censorship! Deplatforming!
Yet that earlier bloggerly coverage of the Plandemic advertising campaign was not complete (Orac, for instance, is noted for his brevity and elliptical style), and I have a few novel observations that further question Mikovits’ credibility. Mainly I am annoyed by its shoddy, plagiarised graphic design. Or “plagueiarised”, to stay in keeping with all these portmanteau neologisms. We shall start with Act III, just because.

Act III: The Whittemore phase
Mikovits’ first 15 minutes of fame was a decade ago when she was ushered into prominence by her discovery of a new plague, rivalling the discovery of AIDS: a newly-encountered retrovirus, XMRV, was widespread in the US population, and the likely cause of ME/CFS (also the cause of prostate cancer and autism and doubtless other health concerns). There was a paper in Science to make it official:
Vincent C. Lombardi, Francis W. Ruscetti, Jaydip Das Gupta, Max A. Pfost, Kathryn S. Hagen, Daniel L. Peterson, Sandra K. Ruscetti, Rachel K. Bagni, Cari Petrow-Sadowski, Bert Gold, Michael Dean, Robert H. Silverman,Judy A. Mikovits Detection of an Infectious Retrovirus, XMRV, in Blood Cells of Patients with Chronic Fatigue Syndrome Science (2009) DOI: 10.1126/science.1179052
The ensuing drama of Lombardi et al 2009 was chronicled by science blogger and retrovirus enthusiast ERV, in a series of hostile and occasionally sweary posts, which some of us followed closely, cheering from the peanut gallery. The illustrations in those posts have been lost during platform migration, but that’s why we have the Wayback Machine.

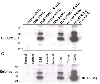
Very briefly: Enthusiastic attempts by Mikovits’ peers to replicate her findings met with results that were at first mixed, then becoming consistently negative as people realised that they didn’t have to force them to be positive. It emerged that her most persuasive diagram had been used previously with different labels, and when seen in that broader context it was not honest. Far from being a rampant contagion XMRV was a laboratory artifact: an in-vitro contaminant of reagents, incapable of infecting living animals, human or otherwise. The other dispositive piece of evidence, a comparison of 12 blood samples in which six from ME/CFS donors were rife with XMRV, was the product of contamination in Mikovits’ laboratory. I am inclined to believe that the samples had been spiked, though a more charitable interpretation is possible in which the six ME/CFS samples were stored in a different place in the laboratory freezer from the six controls, closer to the contaminating container of XMRV.

Anyway, Lombardi et al (2009) was first partially and then fully retracted in 2011, and a definitive, cross-lab trial took place, often called the Blood Working Group. I prefer the title “the Lipkin study”, as it was instigated and coordinated by prominent virologist Ian Lipkin, who believed that Mikovits’ work had been conducted in good faith and deserved a fair judgement (and $1.3 million of NIH funding), so he put his reputation on the line persuading other, more skeptical researchers to include her in the comprehensive attempt at replication. The outcome was resoundingly negative, with no XMRV as far as the eye could see. Mikovits signed cross-lab collaborations in 2011 and 2012 and accepted the ‘laboratory contaminant’ explanation at a joint press conference. In more detail,
“In the summer of 2011, Mikovits and her young lab assistant, Max Pfost, began poring through their notebooks, trying to find where such a contaminant might have entered their process.
In July, she says, she found itan entry from March 2009 indicating that a culture of the XMRV virus had been placed into the same incubator with the rest of the labs blood samples. Mikovits says she was out of town the day this occurred.“
All this comes from the central, keystone phase of Mikovits’ career arc, the third act of five. One might call it the Whittemore Phase, when she was in charge of the Whittemore-Peterson Institute — recruited to lead this project by its main donors, Annette & Harvey Whittemore. So there is already enough here to explain what makes the whole saga so fascinating to science-watchers… a previously-respectable researcher going over to the Dark Side, believing so strongly in her project that she cut corners, ignored mundane explanations, enhanced the evidence and maybe even invented some of that evidence in her confidence that Reality would eventually come around to fit the theory.

Strong feelings were involved, with some energetic members of the ME/CFS support-group community accepting and canonising Mikovits, and brooking no criticism. In imitation of their saviour, they did not restrict themselves tightly to facts when they flooded comment threads at ERV and virology.ws. Sums of money were also at stake: Mikovits had patented a blood test for this putative debilitating virus (marketed by the commercial arm of the WPI, RedLabs, which became VIP/dx) and surrogates in the ME/CFS community promoted it there. The Whittemores were already well-supplied with money and influence, as shown by their ability to strong-arm the Nevada legislature to pay for the premises of their vanity project within the campus of Nevada University at Reno. A later manifestation of their influential status can be seen in Harvey Whittemore’s prison sentence for concealed political donations, but I digress.
Below I will revisit this Act III, for it is punctuated by a great deal more drama, and in the right hands it can be drawn out to novel-length in itself. Any amount of further detail can be found on the sites I listed at the beginning. Some other sources:
By “the right hands” I have in mind Kent Heckenlively, co-author of “Plague of Corruption”… also of “Plague“, an earlier, less-embroidered version of the Mikovits saga. “Plague” is engagingly told, in an episodic short-attention-span style, jumping between story-lines and time-periods to keep the reader’s attention. I am not saying that its virtues include accuracy but it is still a useful primary document. Heckenlively is best-known as an anti-vaccine True Believer, convinced that vaccines are the cause of autism. Also convinced at one point that autistic children can be restored to neurotypicality by force-feeding them bleach in order to drive the Autism Parasites out of their intestines, for he is credulous enough to fall for the cynical MMS fraud peddled by Jim Humble and Kerri Rivera. As Heckenlively wrote in a message:
“I have also been actively working with the parasite protocol with my daughter and have seen significant improvements.“
If readers are still unsated after all this, and crave other perspectives, they might enjoy another primary document: “Chasing the Shadow Virus” 2013). This apologia in the style of journalistic objectivity was written for “Discover” by Hillary Johnston (a close friend and supporter of Mikovits), and shares her viewpoint that “ME/CFS has been shamefully ignored and denied by the medical establishment”. “Shadow Virus” was a conduit that laundered otherwise-undocumented claims into the received narrative as accepted fact. Johnston went on to write the Foreword for Plague.
Here, though, we go back to earlier phases of the saga, for even the backstories have backstories.
Act I: Under Ruscetti’s wings
Act I — the “Mainstream career scientist” phase — lasted two decades from 1980-2001, with Mikovits rising steadily through the ranks of the National Cancer Institute as protegée of Frank Ruscetti, earning her PhD along the way. Make a note of Ruscetti’s name for we will meet him again. There was a brief 1986-1987 dalliance with Upjohn Pharmaceuticals but it was evidently unproductive and unsatisfying for both parties and we do not find it mentioned in Plague. By 1999 she was Lab Directory of the NCI’s Laboratory of Antiviral Drug Mechanisms, LADM (I do not know how many staff there were in LADM to direct). Act I is documented by Mikovits’ academic CV, which is solid enough. PubPeer threads contain critiques of papers from 1999, 2001 and 2001, but the re-use of a few cell-response traces to serve dual purposes could easily happen by error, and does not rise to the threshold of deliberate shenanigans.




Act II: Pimping in the Gig-Economy
In Act II, Mikovits moved on from the NCI and shifted for family reasons from the Eastern to the Western seaboard of the US, where she found new work at the biomed start-up EpiGenX, first as Director of Cancer Biology, then advancing to Chief Scientific Officer. EpiGenX trademarked the new words “Epigenotyping” and “Epipharmacogenomics” and may well have acquired other valuable intellectual property when it was eventually bought by another biotech company (as is the main goal for most start-ups).

At the end of Act II, mutual friends put Mikovits in touch with the Whittemores. ‘Skeptical Raptor‘ and ERV describe Mikovits as working at a bar at this time — creating the impression that her research career had crashed and burned and left her washed up on the beach — but this is an unkind, tendentious spin. Heckenlively explains that she had joined a small yachting club with egalitarian leanings and a rule that everyone took their turn at club-house duties, and I see no reason to doubt that, for Mikovits had other jobs in the scientific gig-economy. In a 2002-2004 interlude from EpiGenX she was Group Leader and Senior Scientist at another biotech start-up, BioSource International, which again was eventually bought. BioSource made (and still make) assay reagents, e.g. for the Luminex platform. This is not mentioned in Plague but is all supported by the institutional-affiliation lines of published papers.
In a third job, Mikovits was Director of Research and VP of Research at ‘Genyous Biomed International’, 2006-2011. ‘Genyous’ was the modestly-titled vehicle of James Dao; it still exists, though now with the name ‘Omnitura Therapeutics’. Note that we have returned to the period of Act III, and this gig was concurrent with her Whittemore role. No papers emerged from the role, but Mikovits’ name is on a 2007 conference presentation heralding the debut of ‘Aneustat’ / OMN54 into the cancer-cure market, and a 2011 patent.

“Ganoderma lucidum, Salvia miltiorrhiza, and Scutellaria barbata?” I hear you say. “Those sound like the typical ingredients of the herbal / fungal decoctions of Traditional Chinese Medicine”. Yes indeed, the Genyous business model was and is to rebrand TCM placebos for the Western market with more clinical-sounding titles to increase their credibility.
Neither Heckenlively nor any other hagiographers of Saint Judy — implacable, incorruptible foe of Big Pharma — mention this episode in her career, when she was a pimp for Big Prostate-Cancer Fraud and a shareholder in the company (though the patent features regularly in publicity for her presence as a speaker at Alt-Med griftathons). To be honest, I struggle to reconcile it with the earlier impression of Act III of l’Affaire Mikovits as the story of an honest researcher led astray from the paths of righteousness.

A 2012-2014 clinical trial for Aneustat was evidently an abject failure and was buried discreetly in an unmarked grave, having produced no results sufficiently encouraging for even the most complaisant journals. This seems to be different from the “phase I clinical trial in cancer patients […] approved in October 2006“, under Mikovits’ watch (in Canada). Her biography disappears from archived versions of the Genyous website some time between June and August 2011. Of course TCM cannot fail, it can only be failed; after Genyous was reborn, Phoenix-like, as Omnitura, we find that company promising a new clinical trial for its flagship scam from 2020-2022.
Act III, again
So we return to Act III. The first time around there was no time for salacious details, including Mikovits’ de-hiring from WPI in Sept. 2011, when cracks were appearing in the XMRV narrative… simultaneous with the unmasking of the “rubber ducky” diagram but before the Lipkin study and the retraction(s) of Lombardi et al (2009).
In the Whittemores’ reckoning, they sacked Mikovits for insubordination when she refused to share data and cell-lines with Lombardi, her co-author and fellow WPI researcher. By her account, Lombardi was not entitled to the materials he needed for his project, and her real fault had been to object to the continued sales of her blood-test for the now-derogated XMRV. Daily Beast writes:
“In July 2011 she told Harvey Whittemore of the potential contamination, she says, and expected that the VIP Dx lab would cease testing patients for the XMRV virus. I just kept saying, stop it, stop it, stop it. We have to sort this out, Mikovits says. According to Mikovits, the testing did not stop. And after a tense summer, she was fired in September.“
The VIP/dx lab — previously RedLabs — had been co-founded by Lombardi and then bought by Harvey Whittemore. Perhaps Mikovits should have addressed her concerns to its vice-president, one J. Mikovits. Anyway, she departed in an atmosphere of acrimony, taking her research notebooks and all the data and documentation on flash-drives (or more precisely, she persuaded her erstwhile student / colleague Pfoste to purloin these items for her). From same newspaper report:
“Mikovits was worried most about the notebooks.I said, ‘Max, secure them. It’s obviously been ransacked.’ … I said, ‘You have to secure them—it’s chaos. Take ’em home, take ’em to your mother’s house.’
Pfost declined to comment on the substance of this article, but in a signed affadivit, given in November 2011 shortly before Mikovits arrest and used by the WPI in its civil case against her, Pfost says he removed the notebooks from the lab at Mikovitss behest and hid them at his mothers house until Mikovits returned to Reno the following month.“
Depending on which re-invented timeline you prefer, this is because she viewed the data and the government grants that paid for them as belonging to her rather than to the institution that received that funding; or to prevent the Whittemores from destroying all the evidence of their malfeasance, by destroying it first. Hearing this part of the story, people tend to ridicule the notion of research notebooks only existing as hard-copies without digital back-ups, but the files had been deleted from WPI computers. As Annette Whittemore said:
“We are still missing information that was erased from the institutes computers and research notebooks.”
And then came the civil lawsuit and the felony-theft criminal charges, and the arrest warrant, and a short spell in jail until Mikovits remembered where the notebooks were stashed, and the bankruptcy filing to avoid paying damages for data destruction, and the Lipkin study. Also her unsuccessful counter-suits against the Whittemores, Lombardi, WPI and another Nevada corporation, University staff, “three unidentified Ventura Country deputy sheriffs”, and a squirrel that ran past the window.

In the aftermath of the Act-III debacle, no longer sought-after as scientist, Mikovits gravitated to the company of antivaxxers, to the surprise of absolutely no-one. As we enter Act IV, she reinvented herself as Whistleblower and Fearless Speaker of Truth to Power and Persecuted Heretic, which was the Damascene-Conversion persona they wanted to hear from. As someone commented:
“She will end up being the next Wakefield, pushing crap “science” and making money off of her followers“
Act IV: The joys of Antivax

This phase culminated with a promised chapter for Controversies in Vaccine Safety (eds Shaw, Dwoskin, Luján & Tomljenovic, we met them before on FBS here and here) — a literary clown-car of illuminaries and usual suspects who are celebrated in antivax circles as World Experts on X whom few else have heard of, billed by Elsevier to appear in 2017. The project collapsed when Elsevier realised that an academic tome on Vaccine Controversies might in fact be controversial, while selling too few copies to reward the negative publicity, even if subsidised by Claire Dwoskin.
The real victims of this tragedy may be Ruscetti’s own career and reputation (remember him?). Public criticism of Ruscetti’s role in the debacle might have reflected badly on his mentor and ‘academic godfather’ Robert Gallo, still a powerful figure [Gallo is infamous for his almost successful theft of HIV discovery credit and his financially very rewarding sabotage of the HIV blood test by the French Institut Pasteur, because of which countless US recipients of AIDS-contaminated blood were sacrificed for Gallo’s ego and American profit. Read this book by John Crewdson. -LS].
Frank and Sandra Ruscetti quietly left NCI without unseemly recrimination, and went into partnership with Mikovits as MAR Consultancy Inc. For Ruscetti remained on Mikovits’ side, with a level of loyalty seldom encountered in academia. In return, Ruscetti was given cameo appearances in Plague, with glowing accounts of his integrity to stand in contrast with Gallo.
Whatever the broader consultancy intentions for MAR Inc. might have been, its business model narrowed quickly to “Antivax ambulance chasing”, i.e. appearing in Vaccine Court hearings to provide expert-witness testimony that a plaintiff’s health issues must have resulted from vaccination (through mechanisms still to be finalised). Ruscetti’s role in MAR slowly dwindled and it became increasingly a one-person band. The MAR website went tits-up in late 2016 though archived versions remain as sources of presentations.
In 2019, contra expert reports from Mikovits and Ruscetti, Chief Special Master Dorsey ruled that vaccinations in 2002-2005 were not the reason why H.S. developed terminal Burkitt’s Lymphoma in 2014 (H/t Prof. D. Reiss).
A 2018 ruling is even more entertaining. Special Master Moran explained at some length why he had rejected Mikovits own assessment of $350 / hour as reflecting the value of her research and testimony, and reduced it to $250, then down to $150 on account of lack of reputation or competence, finally down to $75/hour for wasting the court’s resources.
Based on her reputation and bona fides, Ms. Mikovits credentials are simply not in the same league as experts who are paid $250 (or more) per hour. While this does not mean that Ms. Mikovits is incapable of providing expert testimony on specific topics, it does mean that she cannot expect to be paid the same hourly rate as those with much better reputations than she. Individuals with better reputations are, presumably, in far higher demand. Accordingly, based on the rate that the undersigned found reasonable for non-medically trained immunologists$250 per hourthe undersigned makes an additional deduction of 40%. This deduction reflects Ms. Mikovits relative lack of reputability in the field compared to comparable experts. This results in a rate of $150 per hour for a non-medically trained immunologist of Ms. Mikovits reputation.
[…]
Based on the deficiencies in Ms. Mikovits reports, shortly before the scheduled hearing Mr. Dominguez moved to dismiss his petition, noting that [a]n investigation of the facts and science supporting has demonstrated to the Petitioner that he will be unable to prove that he is entitled to compensation in the Vaccine Program. Petrs Mot., filed Mar. 30, 2018, at 1. He further noted: In these circumstances, to proceed any further would be unreasonable and would waste the resources of the Court, the Respondent, and the Vaccine Program. Id. In the undersigneds opinion, the poor quality of Ms. Mikovits reports resulted in this matter being drawn out far longer than it should have. By filing a report that relied on mischaracterizations, statements that she was not qualified to make, and misdirection, Ms. Mikovits wasted the resources of the Vaccine Program. Based on the inferior quality of her work, the undersigned finds an additional 50% reduction of Ms. Mikovits rate appropriate. Ms. Mikovits work will be compensated at a rate of $75.00 per hour.
I note in passing that the request for reimbursement for Mikovits’ services, addressed in this ruling, came from the litigation ringmaster, Clifford Shoemaker. Shoemaker extracted $11 million from the Vaccine Court for fees and expenses in the course of his ambulance-chasing career, though he recently fell off the Vaccine Litigation gravy-train when he lost his license for stealing from a client’s estate.
Now the downside of keeping the company of antivaxxers is its corrosive effect on one’s integrity, and on one’s capacity for objective scrutiny of oneself and one’s peers. So Mikovits reneged on her earlier concurrence with the “XMRV=Artifact” conclusion of the Lipkin study, and repudiated her signature on the joint paper. She created a new timeline in which the original positive results of Lombardi (2009) had been faked, but not by her: rather, by someone in the laboratory of Silverman, another co-author. In this reality, her original blood samples were all free from XMRV plasmids (both ME/CFS-sourced and controls), so they must have been spiked after sending them to Silverman for the crucial analyses. Ignore that earlier interview.


Therefore (and this is where I stopped following the argument) XMRV is real after all, and lurks in vaccines, and is the cause of autism. All this emerged in the course of Mikovits’ regular presentations to AutismOne meetings (trades-fairs for charlatans; conman corroborees) – in 2014, for instance.
We also find her in 2012 as a Lyme Doctor and Supplement pimp, peddling worthless scammy products for a pyramid scheme multilevel-marketing company Pharmanex / Nu-Skin. Arguably this fits within the window of Act III but it somehow seems more appropriate here. More specifically, Mikovits was drawing on her gravitas in ME/CFS circles to advise her audience to use Pharmanex antioxidants and the BioPhotonic prescription machine (which automates the process of telling suckers that they need to buy more Pharmanex antioxidants) — all to treat the fictitious Chronic Lyme Disease at the root of their problems. I am in slightly in awe of the mental and ethical gymnastics on show here. From Lake Forest Lyme Group meet-up in 2012:
Act V: The Gates-Fauci COVID-19 conspiracy
In Act V of the saga, the opportunities of the COVID-19 pandemic meant that a conspiracy to conceal vaccine-borne disease was no longer enough. In the Plandemic re-imagining of reality, the conspiracy became vastly greater in scale, including but not limited to the engineering of a new virus and the exaggeration of its virulence (bribing hospitals to record any deaths as ‘COVID-19’ whatever their actual causes), to foster public enthusiasm for vaccination.
In this way, l’Affaire Mikovits became an illustrative microcosm of a larger phenomenon: the intersectionality of Conspiracy Culture. Crank Magnetism is a powerful force… to put it another way, the Paranoid Style is self-radicalising. A single conspiracy theory is seldom enough, and if one is lodged in your head it invites in more for company, until your cranium is swarming with mutually-incompatible conspiracies… Bill Gates and 5G cellphones and RFID chips and WHO and the Depopulation Agenda, and all the other ignes fatui emerging like malarial vapours from the right-wing fever swamp, and the Reverse Vampires, an intermeshed tangle of conspiratorial Ptolemaic epicycles.
To wander further from the point, market forces are at play here. Competition in the Conspiracy Economy is intense, with ever more conspiracy entrepreneurs competing for donations from a fixed pool of donors, forcing them to offer ever stronger doses of weirdness and to delve deeper and deeper into the rabbithole (which is fractal, composed of lots of smaller rabbitholes). Robert F. Kennedy Jnr, for instance [who wrote the foreword to Mikovits’ new book, LS], who began his grifting career with a single bogus claim (the cause of autism is a mercury-based antiseptic used in some vaccines!!), and later shifted his scope when the mercury theory became untenable, is now one rant away from denouncing all world leaders as shape-shifting Lizardoid Zionists from Zeta Reticuli.
So here is Mikovits, testifying to the International Tribunal of Natural Justice about the weaponised laboratory origins of COVID-19. The ITNJ is an out-and-out con-job in which a rogues’ gallery of fraudsters and fabulists play jurisprudence dress-up games and pretend to be a recognised, constituted court (needing your donations to continue its work!), unrelieved by any element of “honest delusion” on the part of its participants.

The original video went missing from the ITNJ founder’s Faceborg post, because apparently Youtuba has community standards, but the comments remain for our hilarity. The video, if you want it, is here.
We learn from the Plandemic trailer that face-masks cause disease, activating already-present viruses. Italians receive a special vaccine derived from incubating a virus on dog cells, so a synergistic interaction with dog genes present in COVID-19 is why the COVID fatality rate is so much worse in Italy than in the US (that argument aged well). If the point-by-point ridicule of her claims in earlier links are not enough, here’s another.

Many of Mikovits’ enhancements of reality are self-aggrandising. Evidently she was a pioneer in domesticating Ebola to reduce its lethality to humans. The nearest to this in her published CV is her minor assistance to a theory-based conference poster on differences between the Ebola-Zaire “species” and Ebola-Reston, which is only a danger to monkeys. Early in her career, she and Ruscetti were on the brink of beating Montagnier and / or Gallo to the Nobel Prize by discovering HIV as the cause of AIDS, but they were forestalled by the intervention of Anthony Fauci, who blocked their manuscript (and no trace of it remains) to benefit Gallo.
Fauci occupies a central space in her fantasy life: despite the plethora of conspiracies swarming and buzzing in her head, Mikovits still has room there for him to live rent-free. It emerges, for instance, that Fauci had personally threatened her with arrest if she trespassed on Federal property in the course of the Lipkin study. By now you are probably not expecting any paper or electronic trail.
This aversion to Fauci is a new development, and he is only a minor character in Plague, which was written too soon after the events it describes for Mikovits to remember all of them. Contradictions between Plague and the sequel Plague of Corruption are resolved by explaining that Anthony Fauci imposed a gag order on Mikovits back in Act III (because she KNOWS TOO MUCH), forcing the omission of information from the prior book, so buy the new one as well!! Not a GAG order, that would be a retrovirus joke. You might wonder how a decade-long restraint on speech came to be suddenly lifted, but you might also expect some tangible evidence for its existence.
At any rate, Mikovits does not risk losing popularity by accusing Fauci. He is a safe consensus target: the right-wing conspiracist allance of antivaxxers, Covidiots, Qanons, gun-lickers, Twitter bots and Facebook troll-farms (but I repeat myself) had already converged around the view that Fauci should be sacked from any Govt. advisory position, for reasons that are more symbolic than factual… he seems to embody the inconvenient truth of “inconvenience” and “truth”.
There was a time when retreating into a world of fantasy would have been a disadvantage for one’s career. In today’s America it is more of an asset, with role-models right at the top.
Who keeps Atlantis off the maps?
Who keeps the Martians under wraps?
Fauci, Fauci!

Coda: Lo and behold, virology Alter-natives
Cast your minds back to the beginning o this post, to the apogee of Act III, when Mikovits announced at conferences and in papers that a range of illnesses and conditions were all manifestations of a cryptic, well-camouflaged retrovirus. This was the virological equivalent of discovering Cold Fusion or Dark Matter. Her peers rushed to stake out their own claims within this new research goldmine (nobody wanted to be last), and as noted already, initial attempts to replicate Lombardi et al (2009) were often successful.
So there is an element of truth to Mikovits’ complaint that she was used as a scapegoat for the failings of science more widely. Other papers from that era of enthusiasm might not stand up to close scrutiny either, and I detect a general sense of relief when Mikovits was linked to an undeniable fake, meaning that all the fault could be pinned on her and everyone else could draw a veil across the whole sad episode and agree never to speak of it again.
In particular, there is a story waiting to be told about the early-2012 retraction of Lo et al (2010) from PNAS. This is not the place to tell it, but briefly: FDA programme director Shyh-Ching Lo and NIH virologist Harvey Alter found something in ME/CFS blood samples that wasn’t quite XMRV, but their own pathogenic retrovirus instead, just different enough to give them a priority. Even so, this gave a much-needed boost of confidence for Team Mikovits.
First author Lo had prior form. His previous time in the limelight was in the early 1990s when he decided that HIV had been framed as the cause of AIDS when the real culprit was Mycoplasma fermentans incognito, which his PCR tests and only his tests could detect in every patient he checked (mycoplasmas are a genus of down-sized parasitical bacteria). Lo went on to find it in ME/CFS, and in Alzheimers, and indeed everywhere else he looked, and he even took out patents staking out his claims for detecting and treating the Protean pathogen:
“In addition to AIDS, M. fermentans incognitus has been implicated in a number of other Disease states including Chronic Fatigue Syndrome, Wegeners Disease, Sarcoidosis, respiratory distress syndrome, Kikuchis disease, autoimmune diseases such as Collagen Vascular Disease and Lupus, and chronic debilitating diseases such as Alzheimers Disease. M. fermentans incognitus may be either a causative agent of these diseases or a key co-factor in these diseases”

There were NYTimes headlines about the breakthrough and the heroic doctor responsible. Fauci sounded skeptical:
”We have an open mind and we are trying to see if we can settle this one way or the other over the next several months,” said Dr. Anthony S. Fauci, who heads the National Institutes of Allergy and Infectious Diseases. ”If it is an important pathogen, then let’s see what we can do about it. And if not, let’s move on.”
Other researchers played catch-up with a flurry of large-scale (expensive) studies, but (1) they couldn’t see how “Lo’s Mycoplasma” differed from any other M. fermentans, and (2) they couldn’t replicate his observations. In the end they drew a veil across the whole sad episode and agreed never to speak of it again.
Again in 2012, Lo and Alter couldn’t find their retrovirus any more, so they stood by their work but no longer found it reliable. It appears that infectious-disease biology is an area where there are second acts, and second opportunities to screw up catastrophically. With Lo the second act finished the same as the first with lots of headlines, and lots of time wasted by people trying to replicate his reports.
Lo happened to work at the Armed Forces Institute of Pathology in the 90s, so when conspiracy theorists stumbled upon the story later they seized upon this CONCLUSIVE PROOF that the US Army bioengineered AIDS and EVEN PATENTED IT. Thus M. fermentans incognitus lingers on with a spectral half-life in biowarfare conspiracy blogs. A role-model for XMRV.

Donate to Smut Clyde!
If you liked Smut Clyde’s work, you can leave here a small tip of 10 NZD (USD 7). Or several of small tips, just increase the amount as you like (2x=NZD 20; 5x=NZD 50). Your donation will go straight to Smut Clyde’s beer fund.
NZ$10.00








If you please, sir: that’s Mycoplasma incognitus, which has its very own Wikipedia article. There we learn from the very first paragraph (slightly modified, and either up- or downdated, from Lo’s patent claim quoted above) that “Mycoplasma incognitus is a human invasive Mycoplasma type bacteria, as well as a disease agent that can cause a variety of different diseases.[1][2] Some of these diseases include AIDS, Chronic Fatigue Syndrome, Type 1 Diabetes, Parkinson’s Disease, and Rheumatoid Arthritis.” The Mycoplasmae are a proud clade, and will not be trifled with!
LikeLike
I also spelled Johnson’s name as “Johnston”. What can I say? These English names are so weird.
LikeLike
Damn. Is Smut really your first name? LOL What kind of parents do this to their kids?
Couldn’t resist it…..
LikeLike
Stop insulting Smut’s parents, Dr. Vulgarius and Mrs Profanita Clyde!
LikeLike
You should ask our daughter, Maculata Clyde.
LikeLiked by 1 person
Since I already had “On the banks of the Wabash” cued up in the Google search box (in the interest of commenting about USVP Pence elseblog; by the way, not everyone knows that the lyrics of that song were written by Theodore Dreiser’s brother) it was a matter of seconds to determine that “On the banks of the Clyde” has quite adequately smutty lyrics, though the first several versions I found omitted to include the one from its near relative about walking down by the Royal Albion, in which the flash girls of the city voice their regret that they hadn’t told him before they infected him, thereby forestalling his chance to take possets and pills of white mercury. As my dear old mother always told me (fact!), a night with Venus can mean a lifetime with Mercury.
LikeLike
“As my dear old mother always told me (fact!), a night with Venus can mean a lifetime with Mercury.” This ages your mom to be an adult before penicillin.
“Flash girl”— well, if Trump was (a lot) older, his taste for the Stormy type, and the subsequent treatment, could explain why he seems demented at times.
LikeLike
I learned about Mikovits’ shares in the GenYous company from the list of assets in her 2012 bankruptcy filing, where she values them at $0.00.
She also values her book contract with Skyhorse Publishing (to sign Heckenlively’s “Plague”) at $100, while three prospective lawsuits against the University of Nevada Reno police, against the WPI and against AAAS are valued at $5000 each but then omitted from the total sum of assets.
The whole document is bonkers. On the Liabilities side it includes debts of $114880 run up on various credit cards, which is impressive. Her main liability, though, was the damages that the WPI might potentially collect from her for deleting all the data. She assesses the damage she caused at $15 million dollars. Of course she has inflated this out of self-importance, but it is still an admission of high-level vandalism.
LikeLiked by 1 person
Just watched the whole of “Plandemic”. She forgot to mention “Q” , who is coordinating the effort, including the planned NIH sponsored Wuhan lab release of the engineered virus, followed by faking (albeit in a incompetent manner) data against HCQ from a company, Surgisphere, that is a front company for the NIH, and “giving the viral sequences’ to Moderna and the NIH for vaccine creation which Fauci has stock in and can get patents on to make himself filthy rich at the price of millions of preventable deaths.
Oh, and “Q” is Skye Daniels. Clever women with many talents.
Anyway, she (Mikovitz) seems to believe her own schtick, so I’m wondering if she may be mentally ill. Paranoia Schizo maybe.
Do agree with her assessment of Bayh-Dole. Because of Bayh -Dole, the polio vaccine model of vaccine development completely free of taxpayer dollars/ profits for a few people is completely gone.
LikeLike
“In the summer of 2011, Mikovits and her young lab assistant, Max Pfost, began poring through their notebooks, trying to find where such a contaminant might have entered their process.
In July, she says, she found itan entry from March 2009 indicating that a culture of the XMRV virus had been placed into the same incubator with the rest of the labs blood samples. Mikovits says she was out of town the day this occurred.“
Further details can be gleaned from Mikovits’ attempt to sue WPI — the one where “her complaints and her opposition papers continue to read like novels”. By 24 November 2014, more details had crystallised in her story: she continued to claim that the evidence for the presence of XMRV in ME/CFS blood samples had been faked, while specifically blaming Lombardi for spiking the samples.
(http://retractionwatch.com/wp-content/uploads/2015/05/mikovits-complaint.pdf)
That is to say, she wanted to convince a court that the entire collaboration with Silverman, resulting in the retracted Science paper Lombardi et al (2009), happened behind her back.
We also learn that the commercial test for XMRV — the one patented by Mikovits and Ruscetti — was actually developed by the Whittemores.
LikeLiked by 1 person
Mikovitz mentions in Plandemic that masks are dangerous and will help you get infected, and many in the US public are parroting this:
https://www.cnn.com/videos/politics/2020/06/24/mask-mandate-florida-anger-erupts-coronavirus-vpx.cnn/video/playlists/coronavirus/
If its a contest between ignoring the science to allow maximum citizen-rights versus supporting science that suggests that restriction of these rights, no matter how minimally debilitating may be, may help, the rights over science group will be well supported by at least a good minority of the US population. In the US, its all about personal rights: the right to make others sick, pollute, shoot guns, make a shit load of money by bamboozling others with fake science, etc.
LikeLiked by 1 person
For the masks available on today’s markets the ASTM test for BFE and PFE shows that the resistance factor in both cases is 98%. The suppliers do not provide data on the sizes of pathogens used for testing. BFE stands for bacteria filtration efficiency, and PFE stands for particle filtration efficiency. For masks to be effective, the pathogens larger than 0.3 microns should not be allowed to pass through its filters. If filters allow 2% of bacteria, ranging in size from 1 micron to 5 microns, to pass through them, then how can such a mask protect anyone from a COVID-19. In other words, COVID-19 with or without mask can easily reach inside our internal respiratory system. At this point, I will not elaborate on the issue of how in this case mask makes the situation worse. Even if the filter is of the proper size not allowing pathogens passing through, nothing will stop them to enter our respiratory system through the place where the peripheral parts of the mask are touching the face.
In addition, the public is not properly educated about time for which masks can be utilized or about mask hygiene. The instructions printed on the boxes in which masks are packaged the following is clearly stated: “These masks are single-use only/disposable masks. Re-use or extended use beyond one hour, may lead to infection or cross contaminations. The mask should be stored in a cool, dry place. Avoid excessive heat of 40⁰C or 140⁰F.” I asked many people, pharmacy technicians, some doctors, others working in the public or related sector including those young kids in Starbuck, how often they change their masks. They don’t follow instructions.
They wear the same masks all day and use them again the next day, exposing themselves to all kinds of infections and cross-contamination. People leave new or used masks in cars, usually, on the seats next to them, where the summer temperature in the vehicle easily rises above 50°C. What about car seat hygiene? Do they know and are they aware of the consequences of exposing the already contaminated or infected filter of their masks by the pathogens produced by their own respiration, or picked from dirty car seats, to this temperature level?
Many times I wonder when these preachers of protection with masks are in question, what really these people do, do they preach some kind of masquerade or what else? Did anyone hear Dr. Faust (Antony Fauci) educating the public of how the mask has to be properly worn on any televised show? We saw him how he pushes his fingers under his mask and taking saliva out of his nose. Yes, that is all about this “great” scientist, but I am wondering whom this type of sloppy individual can deliver any solid health advice? And should we really wonder after this, why today, at the time of this epidemic crisis, we have a far greater number of deaths than in 1918?
LikeLike
And should we really wonder after this, why today, at the time of this epidemic crisis, we have a far greater number of deaths than in 1918?
We should wonder what the fuck you are talking about, and how someone can be so ill-informed. Does it come naturally, or did you have to work at it?
1917-1918: In the U.S., about 28% of the population of 105 million became infected, and 500,000 to 850,000 died (0.48 to 0.81 percent of the population).
LikeLiked by 1 person
To Smut Clyde
I did not write about the second wave. We don’t know what would happen in the fall when the virus mutates. The numbers I used are numbers from February to July for both years. I would recommend you to fix your bad temper. There is no reason for this kind o behavior.
LikeLike
The CDC recommends people wear masks to lower transmission. Although viruses on their own are much smaller than bacteria, the virus is stuck to aerosol droplets (think of it as mini-spit droplets) which I suspect are as large or larger than bacteria, so masks should at least block you from spreading virus if you have it and cough or sneeze. Im not sure how will they will protect you from sick people, but they should work protecting others from you if you are sick.
I think it is a (possibly fatal) conceit to think that your (Lukas) anecdotal information should be valued as much, or over those who are health care professionals and infectious disease experts. It could be that smut got angered through your apparent conceit on this issue. I agree, he needs to oppilate more, while listening though a headset connected to his Techinques stereo system that he still owns in his bachelor pad.
https://www.cdc.gov/coronavirus/2019-ncov/prevent-getting-sick/prevention.html
LikeLike
In the beginning, that same CDC preached this virus stays on the solid materials for hours. Two months later subject has been changed and John White told us that the assessment was wrong, and COVID-19 does not survive that long on the solid-state materials. What are you talking about? “…so masks should at least block you from spreading virus…” In the normal circumstances when we exhale air from the respiratory system, the pressure, if my memory serves mi correct, out of the nose is about 0.06psi. Soon as you pout that piece of dirty unsterilized rug (the suppliers of masks do not sterilize them) on your nose the pressure change and rise to who knows, up to 0.3psi. That is enough to push bacteria through the filter. Nevermind that the pressure easily separates pathogens out of droplets and pushes them even further than in normal circumstances. Besides why you changed the subject, I am not talking about symptomatic individuals they are in hospitals coughing and sneezing. I am about healthy people walking down on the streets.
LikeLike
I did not write about the second wave. We don’t know what would happen in the fall when the virus mutates. The numbers I used are numbers from February to July for both years
I apologise for my misunderstanding and my intemperate response.
LikeLike
And We love it. The United States of America is all about personal rights and Freedoms. Be damned the mobs and government agencies, they are subjigut of the individual person. That is THE most important thing in life.
LikeLike
The person who blocked Smut Clyde on Twitter for refusing to praise Dr Mikovits now approached me for medical assistance.

LikeLike
I do know a few me/cfs patients who appear to be in remission on hiv medication but i am a layman and have no idea why that could be.
LikeLike
Pingback: Modelli e scenari - Ocasapiens - Blog - Repubblica.it
One question: Why it is necessary to attack one individual like Dr. Mikovic this way? This is an oppilated article with a single aim to demonize someone who opposes the official line of heavy bureaucracy which behave like unleash mad dog, with no responsibility what so ever. The woman has right on her own opinion, and if public trust her more than her rivals especially controversial Antony Faucy to bad. Honestly, I am not impressed with this article and it is not convincible.
LikeLike
Judy Mikovits has a right to her own deranged ill-informed opinion, and I have a right to ridicule it. Is that a problem?
I also have a right to oppilate,
LikeLiked by 1 person
Order order, Mr Smut! I shall not condone any oppilating activities on this site of learning and scholarly discourse!
LikeLike
Because Mikovits is lying to people about health safety during a pandemic, i.e., committing murder. And murder is bad.
LikeLike
I believe that everyone should watch Plandemic for themselves and decide whether or not they agree with her. They would have a chance, as I have had, to hear the accusations and research them individually for themselves. That’s how freedom of speech works. How do you propose they do that when the short movie gets taken down every time? Anytime the “system” sees fit to censor EVERY INSTANCE OF A VIDEO, most awakened individuals know right away it’s something they need to see as quickly as possible. Can you please explain her accusations in detail and address them all individually? I know you don’t want to do that, but I still am not sure why. Are you short sited/ignorant of what she says or are you more evil than that and want everyone to march in and get whatever vaccine is put out? Are you aware that all the testing going on right now does not follow standard double blind placebo tests? Are you aware that in place of the standard sugar pill placebo, these tests are using another vaccine, did you know that? Do you know why they would do that? And they picked the MMR vaccine to compare it to, the one that killed 1,000 people the first year it was used? Why, in the name of God, would yours the most controversial vaccine as your control? These are the kinds of questions you should be answering you your viewers. Unless your handlers don’t allow you to do that. I personally believe Judy Mikovits is a hero who is fighting to save humanity. If you believed you saw something that was a threat to humanity, what would you do? I would appreciate it if you would stop writing these character assignations and look at the statements she’s making. If you are not able to do that and offer a hearty and heartfelt apology to Dr. Mikovits, I will conclude that you are paid off by the corrupt ones and that no-one should pay any attention to what you have to say about her.
LikeLike
Shneider and Smut are employees of the Rand Corporation, and both speak fluent Chinese. Connect the dots!
LikeLiked by 1 person
We are the Antifa!
LikeLike
these character assignations
Character assignation is the job of the casting director.
Are you short sited
My site is too short? No-one’s complained before.
If you are not able to do that and offer a hearty and heartfelt apology to Dr. Mikovits, I will conclude that you are paid off by the corrupt ones and that no-one should pay any attention to what you have to say about her.
Evidently John will pay attention to what I write, but only if I write stuff that he agrees with.
LikeLike
Judy appears to be not only a somewhat compelling liar, but a delusional emoticon queen. From her twitter feed: https://twitter.com/DrJudyAMikovits/status/1258940808943697920/photo/1
I wonder if something happened between her days at the NCI and Nevada. She really appears to have jumped the shark.
LikeLike
You do have a problem, because your whole pseudoguise is under some pretense of Enlightenment-drivel scientific “truth” mongering, which conveniently bashes anyone who would dare attempt to, gasp, question normative governmental mandates with an undercover, suppressed story that worked in Fauci’s lab! Yes, we do need to be “for better science”. And your article of lambasting under the pretense that this is for better science is a sham. And I wouldn’t be surprised if you vendor me too, given how much you just haaate anyone who would go against the norm. Lol. Maybe you’re a member of the Royal Society, making ca$h incentives for posting crummily researched articles from hyper-rationalists in an ideologically tinged, hatred and mockery deriding nonsense. Such has been the onset of misinformation overload on the Internets along with all the bigwigs making VAST amounts of money from covid, grinning ear to ear that their TECH companies are rolling in mad bank!!! Ahh, Enlightenment indeed. What a scam, and a normative example of how easily stigmatized that suppressed, hidden information is skewed and warped into falsehoods, derided mockery. Yuck. Just yuck. At least change your website name, “for loaded, normative agenda driven science with a polemic twinge based in Enlightenment idealization and government love”. Lol.
LikeLike
What is all this socio-babble? It reads as if the Sokal Hoax attained sentience and started posting comments,
LikeLike
“Dr Mikovits even knows how to cure cancer with TCM and how vaccines cause autism, and now she solved COVID-19.”
Turner Classic Movies? In context with the Dr’s other claims, it doesn’t sound so absurd.
LikeLike
Pingback: Brian Deer’s book on Andrew Wakefield: “The Doctor Who Fooled the World” – For Better Science
So you ban/delete her film and then you attack her ideas without giving me the possibility to judge myself.
How stupid can you be?
LikeLike
Is this a challenge? Hold my beer…
LikeLike
Pingback: Christian Perronne and other Chronic Lymericks – For Better Science
Had people recommending her to me as a credible source this summer. I still talk to them, but not about this, dammit anyhow!
LikeLike
Do not be fooled by this article full of false accusations. This woman worked side by side with Fauci. Let’s look at his track record. In his field of infectious disease for several decades and our population has only gotten sicker ? So why is he still in charge. That is crap politics. Let’s also not forget he has millions invested in vaccines and big pharma—any bias there? Hmmmmmm
LikeLike
No, she did not work side by side with Fauci, that is false. In fact, she probably barely knows him, and him her.
The population has gotten sicker? Lets see: US life expectancy has gone up 4 years when Fauci NIAID director from 1984-2021:
https://www.macrotrends.net/countries/USA/united-states/life-expectancy
Fauci has stock in big Pharma? Everybody who invests does, you are probably don’t have enough money to do that, right?
You post reveals you to be a blithering fool. Stop posting at once, and get your news from a reputable source. Only then can you come back.
LikeLiked by 1 person
Pingback: Gesundheit! Israeli Scientists treat autism with stem cells – For Better Science