Research integrity Sholto David

Ken Suzuki: The King of Hearts at QMUL

"The only difficult part might be deciding whether Ken has been intentionally deceptive or wildly incompetent, although the difference in practice doesn't seem so important." - Sholto David

For Better Science is proud to introduce to you a new guest post author: Sholto David. This is his real name, and Sholto is, among his many other talents, an active PubPeer user and has a cool YouTube channel (@AddictedToIgnorance) with very professionally-done videos debunking pseudoscience.

Sholto would like you to meet the heart researcher Ken Suzuki, Professor of Translational Cardiovascular Therapeutics at the Queen Mary University London (QMUL) who developsstem cell therapy and gene therapy for heart diseases“. Suzuki is also a cardiac surgeon at Barts Health NHS Trust. The man who literally holds the lives of many patients in his hands. So he better be honest, right?

Professor Suzuki works since 2007 at the William Harvey Research Institute (WHRI), which is part of QMUL and which was originally founded by the Nobel Prize laureate Sir John Vane. The WHRI business branch, William Harvey Research Ltd, is directed by Vane’s former trusty mentees, Christoph Thiemermann, Mauro Perretti and Suzuki’s past own mentor, Magdi Yaqoob. Read about those folks in earlier Friday Shorts.

The English science supremacy

England leads the world in science, any fule kno. Meet some more of the star jesters: Nick Lemoine, Peter St George-Hyslop and Xin Lu. They are curing cancer and Alzheimer with Photoshop.

WHRI is a naughty place where research fraud and financial scams are the daily routine. Its former director Professor Sir Mark Caulfield, presently Vice Principal for Health for QMUL Faculty of Medicine and Dentistry and CEO of Barts Life Sciences, i.e. the boss of the Barts Cancer Institute at QMUL. Caulfield is according to my information determined to keep things quiet, under control, the money flowing and the whistleblowers disciplined. This is why all research fraudsters at Barts and WHRI are safe to continue. But the whistleblowers, even those outside of QMUL, are not.

Now I am glad Sholto joins me at annoying QMUL, WHRI and Sir Mark Caulfield a bit more. Get the Science Police!


Ken Suzuki: The King of Hearts at QMUL

By Sholto David

Ken Suzuki is a researcher who specialises in the development of stem cell treatments for heart failure. Trained in Japan, he previously worked at Imperial College, before starting his research group at Queen Mary University of London in 2007. According to John Vane Science Centre, Ken’s work is “extremely important in science, clinics, economy, and society”.

Over the last several months, Ken has earned PubPeer comments on fifteen of his research papers for inappropriate image duplication. Several papers have attracted multiple comments about different figures.

Probably the worst example can be found in a paper published in Scientific Reports in 2018, the purpose of this study was to test the efficacy of a stem cell treatment for heart failure in rats:

Kazuya Kobayashi , Yuki Ichihara , Nobuko Tano , Laura Fields , Nilaani Murugesu , Tomoya Ito , Chiho Ikebe , Fiona Lewis , Kenta Yashiro , Yasunori Shintani, Rakesh Uppal , Ken Suzuki Fibrin Glue-aided, Instant Epicardial Placement Enhances the Efficacy of Mesenchymal Stromal Cell-Based Therapy for Heart Failure Scientific Reports (2018) doi: 10.1038/s41598-018-27881-5 

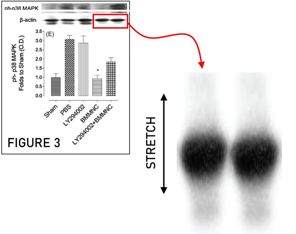
In Figure 1 immunofluorescence images of rat hearts are shown. Unfortunately, one of the images in this panel had already been published by Ken in Narita et al Molecular Therapy 2013, and was labelled as being taken on Day 3 rather than Day 28. The rotation and intensity of the colours have been altered, making the duplication more difficult to spot.

Kazuya Kobayashi , Yuki Ichihara , Nobuhiko Sato , Nobuyoshi Umeda , Laura Fields , Masafumi Fukumitsu , Yoshiyuki Tago , Tomoya Ito, Satoshi Kainuma , Mihai Podaru , Fiona Lewis-McDougall , Kenichi Yamahara , Rakesh Uppal , Ken Suzuki On-site fabrication of Bi-layered adhesive mesenchymal stromal cell-dressings for the treatment of heart failure Biomaterials (2019) doi: 10.1016/j.biomaterials.2019.04.014 

In Figure 2 more immunofluorescence images are presented, however, one of the panels of control images was subsequently published by Ken a year later in Biomaterials and labelled as showing a different treatment condition (heart treated with a dressing rather than an injection). The rotation and stretch of the images have been altered again.

Finally, in Figure 5, histology images of heart tissue stained with picrosirius red are shown, one of the images labelled as a control (fibrin glue treatment only) had previously been published in the supplementary data of the 2014 Molecular Therapy paper, labelled as a sham control (open chest surgery only):

Nobuko Tano , Takuya Narita , Masahiro Kaneko , Chiho Ikebe , Steven R Coppen , Niall G Campbell , Manabu Shiraishi , Yasunori Shintani , Ken Suzuki Epicardial placement of mesenchymal stromal cell-sheets for the treatment of ischemic cardiomyopathy; in vivo proof-of-concept study Molecular Therapy (2014) doi: 10.1038/mt.2014.110 

It’s hard to imagine that such duplication and republication can happen purely by mistake. The article in question was received by Scientific Reports in 2018, the two previously published papers from which images were “borrowed” were submitted in 2012, and 2014, the article which later recycled an image was submitted in 2019.

Ken seems particularly challenged by picrosirius red stained images, here’s another interesting example, including an overlap within one figure, and image recycling between papers:

Yusuke Shintani, Tomoya Ito, Laura Fields, Manabu Shiraishi , Yuki Ichihara, Nobuhiko Sato, Mihai Podaru, Satoshi Kainuma, Hiroyuki Tanaka, Ken Suzuki IL-4 as a Repurposed Biological Drug for Myocardial Infarction through Augmentation of Reparative Cardiac Macrophages: Proof-of-Concept Data in Mice Scientific Reports (2017) doi: 10.1038/s41598-017-07328-z 

And yet another example of recycling picrosirius red images with slight recolouring and rotation is shown below.

Nobuko Tano, Masahiro Kaneko, Yuki Ichihara, Chiho Ikebe, Steven R. Coppen, Manabu Shiraishi, Yasunori Shintani, Kenta Yashiro, Anthony Warrens, Ken Suzuki Allogeneic Mesenchymal Stromal Cells Transplanted Onto the Heart Surface Achieve Therapeutic Myocardial Repair Despite Immunologic Responses in Rats Journal of the American Heart Association (2016) doi: 10.1161/jaha.115.002815

Some of Ken’s muddles are buried in supplemental data (again, making them much harder to spot), his most recent paper includes at least two overlaps, see below for an example…

Manabu Shiraishi, Ken Suzuki, Atsushi Yamaguchi Effect of mechanical tension on fibroblast transcriptome profile and regulatory mechanisms of myocardial collagen turnover The FASEB Journal (2023) doi: 10.1096/fj.202201899r

Supplementary Figure 1C
Figure 3F

In response, his co-author Manabu Shiraishi says:

“I believe this image mishandling does not affect the conclusions of the paper.”

One is always left to wonder exactly what the point of including images in papers is, because showing the wrong one almost never seems to impact the conclusions.

Ken’s extensive image mix-ups leads to some unpleasant thoughts about his research; the experiments often involve giving open chest surgery to rats and causing heart attacks. Research with obvious harms to animals should be balanced by benefits… when data is reported in such a way that undermines all scientific meaning, laboratories become torture chambers for animals.

A quick google shows that Ken has accepted nearly three million pounds of funding from charities including Heart Research UK and the British Heart Foundation, and over two million more from UKRI. Repeatedly publishing such obvious errors falls far short of what charity donors and taxpayers expect from scientists.

It is worth mentioning an unfortunate association: Ken Suzuki works with Christoph Thiemermann at the William Harvey Institute based at QMUL. Christoph earned himself a spot in last week’s Schneider shorts for his own impressive PubPeer record. Ken and Christoph rarely publish together, but they are both co-authors on at least two papers with suspect western blots, see below for example. Bad research practices trickle down – the high resolution images of the bands below were sourced from PhD thesis of a graduate student who was supervised by Christoph, and used Ken’s lab facilities.

Matthew J. Lovell , Mohammed Yasin , Kate L. Lee , King Kenneth Cheung , Yasunori Shintani , Massimo Collino , Ahila Sivarajah , Kit-yi Leung , Kunihiko Takahashi , Amar Kapoor , Mohammed M. Yaqoob , Ken Suzuki , Mark F. Lythgoe , John Martin , Patricia B. Munroe, Chris Thiemermann, Anthony Mathur Bone marrow mononuclear cells reduce myocardial reperfusion injury by activating the PI3K/Akt survival pathway Atherosclerosis (2010) doi: 10.1016/j.atherosclerosis.2010.07.045

Update 25.07.2023 by LS: Another one by Ken Suzuki and Chris Thiemermann, falsified western blots found by Sholto:

Kiran K. Nandra , Kunihiko Takahashi , Massimo Collino , Elisa Benetti , W. S. Fred Wong , Fera Y. Goh , Ken Suzuki , Nimesh S. A. Patel, And Chris Thiemermann Acute Treatment With Bone Marrow–Derived Mononuclear Cells Attenuates the Organ Injury/Dysfunction Induced by Hemorrhagic Shock in the Rat Shock (2012) doi: 10.1097/shk.0b013e31824e4c0d

There are some bands and areas here that look much more similar than you would expect by chance
There are also apparent splice sites (for example red rectangle)

Interestingly Ken hasn’t disputed any of the commentary on PubPeer, in one case (Kobayashi et al 2019) he agreed that there was an inappropriate image:

Otherwise, he has simply replied to say that he will investigate each paper. Not entirely trusting Ken’s ability to investigate himself, in March 2023 I emailed the university to inform them of the image duplications. James Patterson, who is a “Research Integrity and Assurance Officer” replied to say that the university will “look into this matter“. In June and July 2023, I emailed some further image duplications and asked for any updates, James says he can’t tell me anything yet. Whilst James hasn’t really been rude, I do feel that he has been a little ungrateful towards me for doing his job for him. I asked Ken if he has anything he’d like to say, since I’m writing this blog – Ken said that he can’t comment until the university investigation is finished. How long should it take to “investigate” obvious academic misconduct like this? The only difficult part might be deciding whether Ken has been intentionally deceptive or wildly incompetent, although the difference in practice doesn’t seem so important.

With thanks to imagetwin.ai which I used to spot some of the more recent duplications – although most were spotted by eye, so I don’t want to let any of the reviewers or Ken’s colleagues off the hook. Also thanks to several anonymous PubPeer contributors who have annotated Christoph Thiemermann’s research on PubPeer extensively.

I comment on PubPeer as Mycosphaerella Arachidis. I tweet here and makes YouTube videos here.


28 comments on “Ken Suzuki: The King of Hearts at QMUL

  1. Zebedee's avatar

    Nobel Prize laureate Sir John Vane’s legacy in the form of Christoph Thiemermann,

    https://pubpeer.com/search?q=Thiemermann

    and Ken Suzuki, seems to be a curse on science. Unintended legacy, but that is how it appears.

    Like

  2. Zebedee's avatar

    Queen Mary, University of London, Leadership.

    https://www.qmul.ac.uk/about/whoswho/

    You have mentioned this in the article, but how sinister to see it in the flesh!

    Second in command.

    “Mark Caulfield, presently Vice Principal for Health for QMUL Faculty of Medicine and Dentistry and CEO of Barts Life Sciences, i.e. the boss of the Barts Cancer Institute at QMUL.”

    How is Sir Mark Caulfield going to clean up a mess of his own making? Queen Mary, University of London, emphasises quantity. That’s exactly what they got with Christoph Thiemermann. Tonnes of it, and it is steaming! Good for growing rhubarb!

    Like

    • Zebedee's avatar

      https://www.qmul.ac.uk/about/whoswho/

      [Mark Caulfield] was Director of Queen Mary’s William Harvey Research Institute between 2002-2020.

      That’s where Christoph Thiemermann was and is. How come Mark Caulfield didn’t detect Christoph’s Thiemermann’s long-term, prolific, problematic data?

      If the Principal of Queen Mary, University of London, had any sense he would be distancing himself from Mark Caulfield.

      Like

    • Zebedee's avatar

      The “Sir” is correct..

      https://en.m.wikipedia.org/wiki/Mark_Caulfield

      Looked up his publications. Hundreds and hundreds, yet few that can be scrutinised.

      Like

    • Zebedee's avatar

      It is quite wrong to compare Christoph Thiemermann’s output with shit, steaming, or not. I have been anti-shittist, and I apologise, in no uncertain terms, to any self-respecting turd for the comparison.

      Liked by 1 person

  3. Aneurus's avatar

    45 entries on PubPeer for Thiemermann, and will go all the way through with this guy. Here are below the two new entries from half an hour ago:

    https://pubpeer.com/publications/A87D7EED87519280A4A2B18905177D

    https://pubpeer.com/publications/5990E097F6D9DE233BA248F91E387D

    This one below, posted a few days ago, it’s noteworthy because it’s about fake RT-PCR and Western blots. Just to underline that this guy handles a whole set of techniques.

    https://pubpeer.com/publications/FE9D4555402AAF705C8E00ABFDB745

    Like

  4. Zebedee's avatar

    “A quick google shows that Ken has accepted nearly three million pounds of funding from charities including Heart Research UK and the British Heart Foundation, and over two million more from UKRI. Repeatedly publishing such obvious errors falls far short of what charity donors and taxpayers expect from scientists.”

    I think that taxpayers expect real data, I am not so sure about the charity donors.

    This type of “thing”, faking, has been going on for years, yet the charity donors don’t take a stand.
    Heads of the big charities are paid BFS (big fat salaries).

    https://www.cancerresearchuk.org/about-us/our-organisation/how-we-spend-your-money

    “Our Chief Executive, Michelle Mitchell, was paid £247,100 base salary between April 2021 and March 2022. ”

    Is there more than the “base salary”? How much in total was the Chief Executive paid in total?

    I suspect the big charities are complicit in money laundering.

    Like

  5. Zebedee's avatar

    https://www.bhf.org.uk/what-we-do/our-policies/charity-bag-fraud

    British Heart Foundation should look to itself.

    How come it hasn’t notice Ken Suzuki’s problematic data?

    Like

  6. Zebedee's avatar

    King’s College, University of London, another part of the University of London just like Queen Mary, University of London, has been retracting Hans Eysenck’s papers at a rate of knots. Perhaps James Patterson, the scientific integrity deflection officer at Queen Mary, University of London, should call his counterpart at King’s College and find out how it could be possibly done.

    http://retractiondatabase.org/RetractionSearch.aspx#?auth%3dEysenck%252c%2bHans%2bJ

    61 retractions for controversial psychologist Hans Eysenck? That’s a significant underestimate, says his biographer

    Like

  7. owlbert's avatar

    Regarding: One is always left to wonder exactly what the point of including images in papers is, because showing the wrong one almost never seems to impact the conclusions.
    One dodge I have seen is that the images are merely “representative” – which I guess means they keep the real data “round the back.” Of course if the fake shit really is representative, then that’s a Freudian slip.

    Liked by 2 people

    • Leonid Schneider's avatar

      Well, you saw the Dalli situation. Nobody minds he published “illustrations” and there never was any real data. He very likely draws bigger salary as QMUL prof than you 😉

      Liked by 1 person

  8. Zebedee's avatar

    “Bad research practices trickle down – the high resolution images of the bands below were sourced from PhD thesis of a graduate student who was supervised by Christoph, and used Ken’s lab facilities.”

    Selling fake PhDs common practice in London.

    Several PhD theses with fake data in comments section below.

    Eric Lam: shady research at Imperial to cure breast cancer

    Liked by 1 person

  9. Zebedee's avatar

    “Ken Suzuki is a researcher who specialises in the development of stem cell treatments for heart failure. Trained in Japan, he previously worked at Imperial College, before starting his research group at Queen Mary University of London in 2007. ”

    Ken Suzuki’s return to Japan would be highly problematic.

    https://en.wikipedia.org/wiki/W._Edwards_Deming

    [W. Edwards Deming] is also known as the father of the quality movement and was hugely influential in post-WWII Japan.

    Ask any Japanese person and you will be informed that: “Mr. Deming taught us quality control”.

    Ken Suzuki’s problematic data will also cause problems for his Japanese co-authors once the system in Japan becomes aware of those data. Unlike in the U.K. where problematic data are ignored, problematic data in Japan will be rooted out.

    Liked by 1 person

  10. Zebedee's avatar

    The big “de-discovery” of the 2010s.

    It’s O.K. though, Ken Suzuki can still regenerate adult hearts.

    Liked by 1 person

  11. Zebedee's avatar

    Problematic cardiology research is not limited to QMUL in the U.K..

    The University of Bristol is coming up on the radar.

    https://pubpeer.com/search?q=paolo+madeddu

    Liked by 1 person

  12. Zebedee's avatar

    “A quick google shows that Ken has accepted nearly three million pounds of funding from charities including Heart Research UK and the British Heart Foundation, and over two million more from UKRI. Repeatedly publishing such obvious errors falls far short of what charity donors and taxpayers expect from scientists”

    I think that is true of taxpayers, but I don’t think that is true of the charities Heart Research UK and the British Heart Foundation, or UKRI because they have not be able to detect the problematic data, yet are funding the problematic data. It is beneath their long English noses to look at the data. That is something for workmen to do, not the members of committees who dish out the money to their friends.

    Like

    • Zebedee's avatar

      https://pubmed.ncbi.nlm.nih.gov/30811411/

      It’s worse than giving the money to their friends, the committee members give to other members of the committee. Sometimes I feel that many are a bit too critical of Italy for mafia-run science rings, with a high degree of nepotism. The British also have mafias (groups that fund each other, when by objective measures the members of the group are not the best candidates). The British are better at hiding things, and have had nearly 1,000 years’ practice. The last regime change was in 1066, whereas the present Italian Republic dates from 1946.

      “….UK-based authors of peer-reviewed papers that were published between January 2006 and February 2018 and received over 1000 citations in Scopus. We explored whether these authors have held a grant from the National Institute for Health Research (NIHR), the Medical Research Council (MRC) and the Wellcome Trust and compared the results with UK-based researchers who serve currently on the boards of these bodies. From the 1,370 papers relevant to medical, biomedical, life and health sciences with more than 1000 citations in the period examined, we identified 223 individuals from a UK institution at the time of publication who were either first/last or single authors. Of those, 164 are still in UK academic institutions, while 59 are not currently in UK academia (have left the country, are retired, or work in other sectors). Of the 164 individuals, only 59 (36%; 95% CI: 29-43%) currently hold an active grant from one of the three funders. Only 79 (48%; 95% CI: 41-56%) have held an active grant from any of the three funders between 2006-2017. Conversely, 457 of the 664 board members of MRC, Wellcome Trust, and NIHR (69%; 95% CI: 65-72%) have held an active grant in the same period by any of these funders. Only 7 out of 655 board members (1.1%) were first, last or single authors of an extremely highly-cited paper.”

      Like

Leave a comment