Where others see fraud, Smut Clyde sees art. He now brings you the story of Selvaraj Miltonprabu, or Selvaraj Milton Prabu, or just Milton Prabu, son of Selvaraj.
The scholar in question is a moustache-endowed assistant professor at the University of Madras in India, where he acts as some kind of a witch doctor who can cure all possible poisonings with Indian herbal remedies and Photoshop. His PhD thesis from 2004 explained how paracetomol-induced liver damage can be prevented and cured by consuming Bengal quince. Milton Pradu is new in Madras, he namely originally hails from the Annamalai University, a bizarre place previously exposed by Elisabeth Bik (who now flagged also many of Milton Prabu’s papers on PubPeer).
At Annamalai, data fakery is so excessive that one wonders if this alleged place of higher education is actually a secret governmental test site of research fraud warfare. Many artworks created by Milton Prabu and his Annamalai colleagues make no practical sense. Maybe they are under orders to fake every single figure in Photoshop, even if there is really no need to? Are they retouching labels from images they nicked off internet? Or is the same image reused so often in so many papers that the forgers need to alienate it by modifying small bits in order to avoid detection? Only Milton Prabu and his colleagues can tell.
But instead, Milton Prabu blames some obscure external collaborators, an “out sourcing lab” while boasting his own abilities as peer reviewer and expert in quality science. Maybe he is not even lying about having outsourced the figures. After all, as a proper scientist he invents a story to his own liking and then decorates it with some illustrations, where ever these come from. Another peer reviewed paper in international journal published. If trouble arises: conclusions are not affected.
Any connection to real-world tissue samples is tenuous and fragmentary
By Smut Clyde
It is hard to look away from these Transmission Electron Microscope images. I am half-convinced that they are really high-contrast Gestalt-perception puzzles and that if I stare long enough they will resolve into a Dalmatian trotting across a dappled background. They are either hippocampal neurons or glomerular podocytes, subjected to oxidative stress by either fluorine or arsenic, ameliorated (or not) by either EGCG (Epigallocatechin gallate) or Sulforaphane (Thangapandiyan et al, 2018 [15]; Thangapandiyan et al. 2019 [16]).
The blotchy markings on two nuclei are in fact the map for a fantasy novel set on a mainly-ocean archipelago planet.

Closer attention reveals more graphic elements recurring within and between the images, and quasi-symmetries within them, arousing the melancholic suspicion that the cells never existed at all outside Photoshop.
It seems that some rascally outside microphotography specialists provided the same fictitious images to Professor Selvaraj Miltonprabu‘s research team, for two separate studies. The group are additional victims of misconduct by outside contractors, who never receive credit for their academic contributions but by the same token they suffer no consequences for their malfeasance.
The authors alluded in comments in PubPeer threads to the external provenance of data, explaining that they lack sophisticated software for detecting duplications and fabrications in the material provided by those sources.
Currently the most sophisticated software available for identifying image duplications consists of “careful concentration”.
Professor Miltonprabu is now at Madras University though he was previously at Annamalai University (Kerala State, India) where the present work was conducted, and some of his papers feature in Elisabeth Bik’s overview of the research culture at that institution. He lists several research programs on his ResearchGate profile, all following a generic format:
- An oxidative-stressful toxin (arsenic, cadmium, fluoride);
- A vulnerable tissue or cell class (liver, lungs, kidney, cardiomyocytes); and
- A protective botanical extract (grape-seed proanthocyanidins, epigallocatechin gallate, milk thistle, quercetin, diallyl trisulfide from garlic, sulforaphane from the crucifer / cabbage family…)
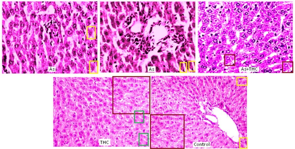
…brought together in a title under the aegis of a sesquipedalian word from the Veblen / Galbraith thesaurus, like ‘attenuate’ or ‘abrogate’ or ‘ameliorate’. For instance, in Miltonprabu, Sumedha & Senthilraja (2017) [14], the cells have been insulted with arsenic and treated with garlic squeezings. Fig 11(B) below at left.
The value of the nuclei in panels (A) and (D) as maps or globes for fantasy planets is reduced by excessive rotational symmetry. Other large chunks repeat between panels with 90° rotation, while Dr Bik’s attempt to mark up all the smaller repeated elements have peppered the Figure with so many rounded-off colour-coded rectangles that at first I mistook it for an exercise in Egyptology and I wasted a lot of time trying to read the hieroglyphic Pharaoh’s name within each cartouche.
Also from [14], Figs 8A and especially 7A could be enlargements from a Pointilliste canvas by Seurat or Signac, with their blue palette and their regular broad brushstrokes. Perhaps too regular.

But I am getting ahead of myself. Sticking with the TEM theme, the low resolution of Fig 4(D) from Milton Prabu & Sumedha (2014) [3] is lamentable (but may be the fault of the journal). Even so some segments are recognisably repeated.
Switching to the “grape-seed proanthocyanidins protecting from cadmium” research area brings us to some higher-resolution images. Below are Figs 14 from Miltonprabu, Bashir & Manoharan (2016) [11] and 10 from Nashir et al. (2019) [17]. Again with this different toxin, the replication of image elements has been a little-discussed effect of oxidative stress, and Dr Bik’s observations have adorned the panels with shoals of festive cartouches. 10(D) could be a Hundertwasser hommage but that might just be me.

Here, Fig 13 from Bashir, Manoharan & Miltonprabu (2016) [10]. The manipulations are more subtle here, and it is hard to see their objective; there is little reason to question an actual real-world origin for the images, but undoubtedly they have spent some time within a Photoshop window.
Also from [10], Fig 12 consists of
“Photomicrographs of sections of the pancreas in control and experimental rats (A) Control group showing granulated cytoplasm of islet cells with small, dark nuclei on the periphery (alpha-cells) (arrow), large nuclei (beta-cells) (N); (B). Section from pancreas of GSP treated rats presented very similar morphology to the control group; (C) pancreas of a Cd treated rats showing islets becoming irregular shaped showing figure like projections entering into the exocrine acini, cytoplasmic degeneration in most islet cells, especially in center of the islet.; (D): Section from rat of GSP +Cd group showed the recovered regular outline of an islet with apparently normal appearance of most cells.”
I reproduce them here because of their resemblance to mosaics made of luncheon sausage; or in the case of (C), to a colour-blind mediæval monk’s painting of the open ocean with Great Cthulhu rising from the waves.

Via Fig 15 (below), [11] provides a convenient segue to a related topic: mitochondria. Fig 12 from Sumedha & Miltonprabu (2015) [8] also deserves attention. In the case of mitochondria, the damage afflicted by oxidative stress extends to pixel borders around their TEM cross-sections, like a brick wall broken along the diagonal, that could easily be mistaken for artefacts from copy-pasting within MS Paint.
Along with the duplicated appearance of some mitochondria (identified by their cristae, as distinctive as a finger-print), these borders inspire doubts whether these images are entirely veridical, and inspired ‘Salsola Zygophylla‘ to describe the interlopers as ‘clumsily helicoptered in‘. Perhaps the reviewers were brassica-phobic and the Figures’ semblance to cross-sections of Brussels Sprouts discouraged them from looking too closely.

The gentle touch of Appearance Enhancing Software has also fallen upon these sliced myofibres – Fig 12(D) from Bashir et al. (2015) [5]. The fibres are losing structure, disintegrating into an inchoate train-wreck of image fragments.

Moving on to fluoride as the toxin, Figure 7 from Thangapandiyan, Miltonprabu & Senthilraja (2016) [13] is a work of art. 7A and 7B are under the influence of Dubuffet in his ‘Hourloupe’ style, while the repeated ‘birdie’ motifs are a reference to Ernst and his Loplop totem. The versions in 7C and 7D, besmeared and stubbly, are formally closer to Guston’s unshaven eye/heads


The authors have taken steps to amend Fig 7, presumably directed through the journal, though they did not explain precisely how it found its way into [13]:
Alert readers will have noticed that Fig 7 involves immunohistochemistry, and optical microphotography. Which is to say that the Annamalai team’s poor service from outside laboratories extend more widely than just TEM. Professor Miltonprabu is confident that he can recognise cloned and altered images, but it may be that he overestimates his capacities (as well as the abilities of publishers).
In Fig 8 from Muthumani & Miltonprabu (2015) [7], the panels display subtle tweaks in the corners with no obvious intent to deceive and no clear motive.

A charitable interpretation is that the images were originally labeled there, in a way that clashed with the journal’s house style, obliging someone to paper over the labels with copy-paste because the original, unlabeled data files were no longer available.
There is a spectrum of manipulation. The intellects vast and cool and unsympathetic who occupy PubPeer could see no issue with most of the histology an immunohistochemistry images in the Miltonprabu oeuvre. Moving along the spectrum a little, we find alternations in the corners or more central, non-trivial but making no real difference to the message of each microphotograph. Below, Figs 5C and 5E from Thangapandiyan & Miltonprabu (2013) [2], and Fig 10 from [5].
Then there are overlaps, indicating that despite being labeled as coming from different conditions, two or three panels are sections of one single microphotograph. The tell-tale overlaps were small in Fig 9 from Thangapandiyan & Miltonprabu (2014) [4], and Fig 11 from Miltonprabu & Thangapandiyan (2015) [6].
Fig 11 from Thangapandiyan & Miltonprabu (2015) [9] made little effort to disguise its triple role.

Figs 5, 6 and 7 from Milton Prabu & Muthumani (2012) [1] are a wild triptych.

At the far end of the spectrum is this garish fabrication: an outcome of multiple cycles of sampling and re-mixing with overlaps as well, where any connection to real-world tissue samples is tenuous and fragmentary. Thangapandiyan et al. (2019) [18] were not well-served by the contractor in Figs 3 and 4. Perhaps the idea was to make the panels so painful to look at that reviewers wouldn’t notice the malpractice.

To be fair to Miltonprabu and his colleagues, the journals’ reviewers and editors did not detect these travesties either. And the problem should not arise in the future, because they have reduced their dependence on anonymous laboratories. To repeat the PP comment quoted above:
“now we have equipped with our own photo microscopy, we didn’t depend on the out sourcing fellows to take the photography our slides”.
Any readers feeling unsated or inexhausted by my coverage are free to explore the relevant PubPeer threads themselves. In particular, I have skipped over the whole area of gel electrophoresis and Western blotting (Figs 6 and 7 from [16]).

And I was unsure whether these mirror-imaged and clone-stamped blood cells were optical or electron microscopy (Fig 9 from Nazima, Manoharan & Miltonprabu, 2016 [12]).

Sources:
- “Silibinin ameliorates arsenic induced nephrotoxicity by abrogation of oxidative stress, inflammation and apoptosis in rats”, S. Milton Prabu, M. Muthumani (2012). Molecular Biology Reports doi: 10.1007/s11033-012-2029-6 [PubPeer].
- “Epigallocatechin gallate effectively ameliorates fluoride-induced oxidative stress and DNA damage in the liver of rats”, Shanmugam Thangapandiyan, Selvaraj Miltonprabu (2013). Canadian Journal of Physiology & Pharmacology doi: 10.1139/cjpp-2012-0347 [PubPeer].
- “Diallyl trisulfide (DATS) abrogates arsenic induced testicular oxidative stress in rats”, Selvaraj Milton Prabu, Naorem Sumedha (2014). International Journal of Pharmacology & Toxicology doi: 10.14419/ijpt.v2i2.2517 [PubPeer].
- “Epigallocatechin gallate supplementation protects against renal injury induced by fluoride intoxication in rats: Role of Nrf2/HO-1 signaling”, S. Thangapandiyan, S. Miltonprabu (2014). Toxicology Reports doi: 10.1016/j.toxrep.2014.01.002 [PubPeer].
- “Cadmium induced cardiac oxidative stress in rats and its attenuation by GSP through the activation of Nrf2 signaling pathway”, Nazima Bashir, Vaihundam Manoharan, Selvaraj Miltonprabu (2015). Chemico-Biological Interactions doi: 10.1016/j.cbi.2015.10.005 [PubPeer].
- “Epigallocatechin gallate potentially attenuates Fluoride induced oxidative stress mediated cardiotoxicity and dyslipidemia in rats”, S. Miltonprabu, S. Thangapandiyan (2015). Journal of Trace Elements in Medicine and Biology doi: 10.1016/j.jtemb.2014.08.015 [PubPeer].
- “Ameliorative efficacy of tetrahydrocurcumin against arsenic induced oxidative damage, dyslipidemia and hepatic mitochondrial toxicity in rats”, M. Muthumani, S. Miltonprabu (2015). Chemico-Biological Interactions doi: 10.1016/j.cbi.2015.04.006 [PubPeer].
- “Cardiac mitochondrial oxidative stress and dysfunction induced by arsenic and its amelioration by diallyl trisulphide”, Naorem Chanu Sumedha, Selvaraj Miltonprabu (2015). Toxicology Research doi: 10.1039/c4tx00097h [PubPeer].
- “Epigallocatechin gallate exacerbates fluoride-induced oxidative stress mediated testicular toxicity in rats through the activation of Nrf2 signaling pathway”, S. Thangapandiyan, S. Miltonprabu (2015). Asian Pacific Journal of Reproduction doi: 10.1016/j.apjr.2015.07.005 [PubPeer].
- “Grape seed proanthocyanidins protects against cadmium induced oxidative pancreatitis in rats by attenuating oxidative stress, inflammation and apoptosis via Nrf-2/HO-1 signaling”, Nazima Bashir, Vaihundam Manoharan, Selvaraj Miltonprabu (2016). Journal of Nutritional Biochemistry doi: 10.1016/j.jnutbio.2016.03.001 [PubPeer].
- “Hepatoprotective effect of grape seed proanthocyanidins on Cadmium-induced hepatic injury in rats: Possible involvement of mitochondrial dysfunction, inflammation and apoptosis”, Selvaraj Miltonprabu, Nazimabashir, Vaihundam Manoharan (2016). Toxicology Reports doi: 10.1016/j.toxrep.2015.11.010 [PubPeer].
- “Oxidative stress induced by cadmium in the plasma, erythrocytes and lymphocytes of rats: Attenuation by grape seed proanthocyanidins”, B Nazima, V Manoharan, S Miltonprabu (2016). Human & Experimental Toxicology doi: 10.1177/0960327115591376 [PubPeer].
- “Epigallocatechin gallate potentially abrogates fluoride induced lung oxidative stress, inflammation via Nrf2/Keap1 signaling pathway in rats: An in-vivo and in-silico study”, Shanmugam Thangapandiyan, Selvaraj Miltonprabu, Poomalai Senthilraja (2016). International Immunopharmacology doi: 10.1016/j.intimp.2016.07.022 [PubPeer]
- “Diallyl trisulfide, a garlic polysulfide protects against As-induced renal oxidative nephrotoxicity, apoptosis and inflammation in rats by activating the Nrf2/ARE signaling pathway”, S. Miltonprabu, N.C. Sumedha, P. Senthilraja (2017). International Immunopharmacology (2017) doi: 10.1016/j.intimp.2017.06.011 [PubPeer].
- “A mechanism underlying the neurotoxicity induced by sodium fluoride and its reversal by epigallocatechin gallate in the rat hippocampus: involvement of NrF2/Keap-1 signaling pathway”, Thangapandiyan Shanmugam, Sharmilabanu Abdulla, Vadivazhagi Yakulasamy, Miltonprabu Selvaraj, Ramesh Mathan (2018). Journal of Basic & Applied Zoology doi: 10.1186/s41936-018-0020-z [PubPeer].
- “Sulforaphane potentially attenuates arsenic-induced nephrotoxicity via the PI3K/Akt/Nrf2 pathway in albino Wistar rats”, Shanmugam Thangapandiyan, Mathan Ramesh, Selvaraj Miltonprabu, Tamilselvan Hema, Gunasekaran Bavithra Jothi, Venkatesan Nandhini (2019). Environmental Science & Pollution Research doi: 10.1007/s11356-019-04502-w [PubPeer].
- “The molecular and biochemical insight view of grape seed proanthocyanidins in ameliorating cadmium-induced testes-toxicity in rat model: implication of PI3K/Akt/Nrf-2 signaling”, Nazima Bashir, Kalist Shagirtha, Vaikundam Manoharan, Selvaraj Miltonprabu (2019). Bioscience Reports doi: 10.1042/bsr20180515 [PubPeer].
- “Sulforaphane Potentially Ameliorates Arsenic Induced Hepatotoxicity in Albino Wistar Rats: Implication of PI3K/Akt/Nrf2 Signaling Pathway”, Shanmugam Thangapandiyan, Mathan Ramesh, Tamilselvan Hema, Selvaraj Miltonprabu, Md Sahab Uddin, Venkatesan Nandhini, Gunasekaran Bavithra Jothi (2019). Cellular Physiology & Biochemistry doi: 10.33594/000000082 [PubPeer].

Donate!
If you are interested to support my work, you can leave here a small tip of $5. Or several of small tips, just increase the amount as you like (2x=€10; 5x=€25). Your generous patronage of my journalism, however small it appears to you, will greatly help me with my legal costs.
€5.00






















Annamalai University is in the state of Tamil Nadu. Chennai (formerly Madras) is the capital city of Tamil Nadu and Madras University is not very far away from Annamalai University.
LikeLike
Amazing digital fakery. Wow. Btw, it is interesting how author names are varying in that country.
LikeLike
It is not uncommon for first and last names to be switched around for South Indians owing to their naming conventions. It is uncommon to be such a relentless faker, and then pawn the whole thing off on “outsourcing fellows.” I’m sure SMP’s various laboratories are fictions, but there is in fact an Annamalai University in Chidambaram, a lovely temple town in the Kaveri delta. Well known for arts and history, not so much for bad microscopy collages.
LikeLike
Looks like DNA fragmentation gels are also outsourced. Fig 2 from Melatonin abrogates cadmium induced oxidative stress related neurotoxicity in rats.

H/t Elisabeth Bik.
LikeLike
Another out-take! Fig 1 from Quercetin potentially attenuates cadmium induced oxidative stress mediated cardiotoxicity and dyslipidemia in rats.
Credit to Dr Bik.
LikeLike
Pingback: Il Piccolo Mulino Verduci Frodotore – For Better Science